JavaScript is disabled in your browser. Please enable JavaScript to view this website.
AB196019

重组Anti-NDUFB10抗体[EPR16230-47]

Anti-NDUFB10 antibody [EPR16230-47]

5

(1 Review)

|

(17 Publications)

Rabbit Recombinant Monoclonal NDUFB10 antibody. Suitable for IP, WB, ICC/IF, Flow Cyt (Intra), IHC-P and reacts with Human samples. Cited in 17 publications.

查看别名

NADH dehydrogenase [ubiquinone] 1 beta subcomplex subunit 10, Complex I-PDSW, NADH-ubiquinone oxidoreductase PDSW subunit, CI-PDSW, NDUFB10

5 Images
Immunohistochemistry (Formalin/PFA-fixed paraffin-embedded sections) - Anti-NDUFB10 antibody [EPR16230-47] (AB196019)
  • IHC-P

Supplier Data

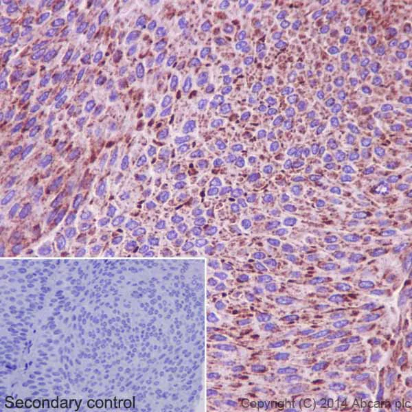
Immunohistochemistry (Formalin/PFA-fixed paraffin-embedded sections) - Anti-NDUFB10 antibody [EPR16230-47] (AB196019)

Immunohistochemical analysis of paraffin-embedded Human transitional cell carcinoma of bladder tissue labeling NDUFB10 with ab196019 at 1/500 dilution followed by Goat Anti-Rabbit IgG H&L (HRP) (ab97051) secondary antibody at 1/500 dilution. Cytoplasm staining on Human transitional cell carcinoma of bladder tissue is observed. Counter stained with Hematoxylin.

Secondary control : Used PBS instead of primary antibody secondary antibody is Goat Anti-Rabbit IgG H&L (HRP) (ab97051) at 1/500 dilution.

Perform heat mediated antigen retrieval with Tris/EDTA buffer pH 9.0 before commencing with IHC staining protocol.

Flow Cytometry (Intracellular) - Anti-NDUFB10 antibody [EPR16230-47] (AB196019)
  • Flow Cyt (Intra)

Lab

Flow Cytometry (Intracellular) - Anti-NDUFB10 antibody [EPR16230-47] (AB196019)

Intracellular Flow Cytometry analysis of HeLa (human cervix adenocarcinoma) cells labelling NDUFB10 (red) with purified ab196019 at a dilution of 1/800. The secondary antibody used was Alexa Fluorr® 488 goat-anti-rabbit IgG (1/2000). Cells were fixed with 4% paraformaldehyde and permeabilised with 90% methanol. Isotype control antibody was rabbit monoclonal IgG (black). The blue line shows cells without incubation with primary and secondary antibody.

Immunocytochemistry/ Immunofluorescence - Anti-NDUFB10 antibody [EPR16230-47] (AB196019)
  • ICC/IF

Lab

Immunocytochemistry/ Immunofluorescence - Anti-NDUFB10 antibody [EPR16230-47] (AB196019)

Immunofluorescent analysis of 4% paraformaldehyde-fixed 0.1% Triton X-100 permeabilized HeLa (Human epithelial cells from cervix adenocarcinoma) cells labeling NDUFB10 with ab196019 at 1/350 dilution followed by Goat anti-rabbit IgG (Alexa Fluor® 488) (ab150077) secondary antibody at 1/500 dilution (green). Cytoplasm staining on HeLa cell line is observed. The nuclear counter stain is DAPI (blue).

Immunoprecipitation - Anti-NDUFB10 antibody [EPR16230-47] (AB196019)
  • IP

Supplier Data

Immunoprecipitation - Anti-NDUFB10 antibody [EPR16230-47] (AB196019)

NDUFB10 was immunoprecipitated from HeLa (Human epithelial cells from cervix adenocarcinoma) whole cell extract with ab196019 at 1/50 dilution. Western blot was performed from the immunoprecipitate using ab196019 at 1/1000 dilution. Anti-Rabbit IgG (HRP), specific to the non-reduced form of IgG, was used as secondary antibody at 1/1500 dilution.

Lane 1 : HeLa whole cell extract 10 μg (Input). Lane 2 : ab196019 IP in HeLa whole cell extract. Lane 3 : Rabbit monoclonal IgG (ab172730) instead of ab196019 in HeLa whole cell extract.
Blocking and dilution buffer and concentration : 5% NFDM/TBST.

All lanes:

Immunoprecipitation - Anti-NDUFB10 antibody [EPR16230-47] (ab196019)

Predicted band size: 21 kDa

false

Western blot - Anti-NDUFB10 antibody [EPR16230-47] (AB196019)
  • WB

Supplier Data

Western blot - Anti-NDUFB10 antibody [EPR16230-47] (AB196019)

Blocking/Dilution buffer : 5% NFDM/TBST.

All lanes:

Western blot - Anti-NDUFB10 antibody [EPR16230-47] (ab196019) at 1/10000 dilution

Lane 1:

HeLa (Human epithelial cells from cervix adenocarcinoma) cell lysate at 20 µg

Lane 2:

HepG2 (Human liver hepatocellular carcinoma) cell lysate at 20 µg

Lane 3:

Jurkat (Human T cell leukemia cells from peripheral blood) cell lysate at 20 µg

Secondary

All lanes:

Goat Anti-Rabbit IgG, (H+L), Peroxidase conjugated at 1/1000 dilution

Predicted band size: 21 kDa

Observed band size: 21 kDa

false

不同偶联物与剂型 (1)

  • Carrier free

    Anti-NDUFB10 antibody [EPR16230-47] - BSA and Azide free

关键信息

宿主种属

Rabbit

克隆

Monoclonal

克隆号

EPR16230-47

亚型

IgG

不含载体蛋白

No

反应种属

Human

应用

IHC-P, IP, WB, ICC/IF, Flow Cyt (Intra)

applications

免疫原

The exact immunogen used to generate this antibody is proprietary information.

反应性数据

{ "title": "Reactivity Data", "filters": { "stats": ["", "Species", "Dilution Info", "Notes"], "tabs": { "all-applications": {"fullname" : "All Applications", "shortname": "All Applications"}, "IP" : {"fullname" : "Immunoprecipitation", "shortname":"IP"}, "WB" : {"fullname" : "Western blot", "shortname":"WB"}, "ICCIF" : {"fullname" : "Immunocytochemistry/ Immunofluorescence", "shortname":"ICC/IF"}, "FlowCytIntra" : {"fullname" : "Flow Cytometry (Intracellular)", "shortname":"Flow Cyt (Intra)"}, "IHCP" : {"fullname" : "Immunohistochemistry (Formalin/PFA-fixed paraffin-embedded sections)", "shortname":"IHC-P"} }, "product-promise": { "all": "all", "testedAndGuaranteed": "tested", "guaranteed": "expected", "predicted": "predicted", "notRecommended": "not-recommended" } }, "values": { "Human": { "IP-species-checked": "testedAndGuaranteed", "IP-species-dilution-info": "1/50", "IP-species-notes": "<p></p>", "WB-species-checked": "testedAndGuaranteed", "WB-species-dilution-info": "1/10000", "WB-species-notes": "<p></p>", "ICCIF-species-checked": "testedAndGuaranteed", "ICCIF-species-dilution-info": "1/350", "ICCIF-species-notes": "<p></p>", "FlowCytIntra-species-checked": "testedAndGuaranteed", "FlowCytIntra-species-dilution-info": "1/800", "FlowCytIntra-species-notes": "<p></p>", "IHCP-species-checked": "testedAndGuaranteed", "IHCP-species-dilution-info": "1/250", "IHCP-species-notes": "<p></p>" }, "Mouse": { "IP-species-checked": "predicted", "IP-species-dilution-info": "", "IP-species-notes": "", "WB-species-checked": "predicted", "WB-species-dilution-info": "", "WB-species-notes": "", "ICCIF-species-checked": "predicted", "ICCIF-species-dilution-info": "", "ICCIF-species-notes": "", "FlowCytIntra-species-checked": "predicted", "FlowCytIntra-species-dilution-info": "", "FlowCytIntra-species-notes": "", "IHCP-species-checked": "predicted", "IHCP-species-dilution-info": "", "IHCP-species-notes": "" }, "Rat": { "IP-species-checked": "predicted", "IP-species-dilution-info": "", "IP-species-notes": "", "WB-species-checked": "predicted", "WB-species-dilution-info": "", "WB-species-notes": "", "ICCIF-species-checked": "predicted", "ICCIF-species-dilution-info": "", "ICCIF-species-notes": "", "FlowCytIntra-species-checked": "predicted", "FlowCytIntra-species-dilution-info": "", "FlowCytIntra-species-notes": "", "IHCP-species-checked": "predicted", "IHCP-species-dilution-info": "", "IHCP-species-notes": "" } } }

产品详情

Patented technology
Our RabMAb® technology is a patented hybridoma-based technology for making rabbit monoclonal antibodies. For details on our patents, please refer to RabMAb® patents.

What are the advantages of a recombinant monoclonal antibody?
This product is a recombinant monoclonal antibody, which offers several advantages including:

  • - High batch-to-batch consistency and reproducibility
  • - Improved sensitivity and specificity
  • - Long-term security of supply
  • - Animal-free batch production

For more information, read more on recombinant antibodies.

性能和储存信息

形式
Liquid
纯化工艺
Affinity purification Protein A
存储溶液
pH: 7.2 - 7.4 Preservative: 0.01% Sodium azide Constituents: PBS, 40% Glycerol (glycerin, glycerine), 0.05% BSA
运输条件
Blue Ice
推荐的短期储存时间
1-2 weeks
推荐的短期储存条件
+4°C
推荐的长期储存条件
-20°C
分装信息
Upon delivery aliquot
储存信息
Avoid freeze / thaw cycle

补充信息

This supplementary information is collated from multiple sources and compiled automatically.

The NDUFB10 protein also known as NADH dehydrogenase [ubiquinone] 1 beta subcomplex 10 is a component of the mitochondrial respiratory chain complex I. This protein has an approximate mass of 20 kDa. It is expressed mainly in the mitochondria of eukaryotic cells where it plays an important role in the process of oxidative phosphorylation. NDUFB10 is integral to the inner mitochondrial membrane where it acts as part of the machinery that facilitates electron transfer from NADH to ubiquinone.
Biological function summary

NDUFB10 plays a significant role in cellular energy production by being a subunit of complex I in the mitochondrial electron transport chain. As part of this large enzyme complex NDUFB10 contributes to the overall stability and function of complex I facilitating ATP production by driving the conversion of energy derived from nutrients into a usable form. Its presence in the mitochondrial inner membrane highlights its essential role in maintaining efficient energy metabolism and cellular respiration.

Pathways

The electron transport chain pathway incorporates NDUFB10 as a vital component. This pathway plays a major role in oxidative phosphorylation where NDUFB10 interacts closely with other mitochondrial proteins like NDUFS1 and NDUFA1 within complex I. Besides serving in ATP synthesis these interactions help in maintaining overall cellular bioenergetics and proper mitochondrial function demonstrating the integrated role NDUFB10 plays alongside other proteins in energy metabolism.

Malfunction or mutations in NDUFB10 have been linked to mitochondrial disorders including mitochondrial encephalomyopathy and Leber's hereditary optic neuropathy. These conditions often involve disrupted energy metabolism which is critical for tissues with high energy demands. Associated proteins like NDUFS2 and NDUFV1 which also contribute to the function of complex I can compound the severity of these disorders if mutated underlining the importance of NDUFB10 within the broader context of mitochondrial health and disease.

产品实验方案

For this product, it's our understanding that no specific protocols are required. You can visit:

靶点信息

Accessory subunit that is involved in the functional assembly of the mitochondrial respiratory chain complex I. Complex I has an NADH dehydrogenase activity with ubiquinone as an immediate electron acceptor and mediates the transfer of electrons from NADH to the respiratory chain.
See full target information NADH dehydrogenase [ubiquinone] 1 beta subcomplex subunit 10

文献 (17)

Recent publications for all applications. Explore the full list and refine your search

Cancer cell international 25:226 PubMed40544244

2025

Prognostic and therapeutic potential of disulfidptosis-related genes in colon adenocarcinoma: a comprehensive multi-omics study.

Applications

Unspecified application

Species

Unspecified reactive species

Ye Song,Haoran Zhu,Junyang Wei,Shanxue Yin

Communications medicine 5:141 PubMed40289204

2025

Mitochondrial complex I deficiency occurs in skeletal muscle of a subgroup of individuals with Parkinson's disease.

Applications

Unspecified application

Species

Unspecified reactive species

Simon Ulvenes Kverneng,Kjersti Eline Stige,Haakon Berven,Sepideh Mostafavi,Katarina Lundervold,Michele Brischigliaro,Brage Brakedal,Geir Olve Skeie,Irene Hana Flønes,Lilah Toker,Erika Fernandez-Vizarra,Ragnhild Eide Skogseth,Kristoffer Haugarvoll,Yamila N Torres Cleuren,Christian Dölle,Gonzalo S Nido,Charalampos Tzoulis

Scientific reports 15:11698 PubMed40188200

2025

Exercise enhances cardiomyocyte mitochondrial homeostasis to alleviate left ventricular dysfunction in pressure overload induced remodelling.

Applications

Unspecified application

Species

Unspecified reactive species

Zhichao Ma,Yanling Cen,Weiwei Xun,Caiying Mou,Junwen Yu,Yarui Hu,Chen Liu,Jun Sun,Rui Bi,Yanli Qiu,Mingchao Ding,Li Jin

The Journal of biological chemistry 300:105626 PubMed38211818

2024

Accessory subunit NDUFB4 participates in mitochondrial complex I supercomplex formation.

Applications

Unspecified application

Species

Unspecified reactive species

Gaganvir Parmar,Claire Fong-McMaster,Chantal A Pileggi,David A Patten,Alexanne Cuillerier,Stephanie Myers,Ying Wang,Siegfried Hekimi,Miroslava Cuperlovic-Culf,Mary-Ellen Harper

Basic research in cardiology 118:20 PubMed37212935

2023

SMYD1a protects the heart from ischemic injury by regulating OPA1-mediated cristae remodeling and supercomplex formation.

Applications

Unspecified application

Species

Unspecified reactive species

Marta W Szulik,Steven Valdez,Maureen Walsh,Kathryn Davis,Ryan Bia,Emilee Horiuchi,Sean O'Very,Anil K Laxman,Linda Sandaklie-Nicolova,David R Eberhardt,Jessica R Durrant,Hanin Sheikh,Samuel Hickenlooper,Magnus Creed,Cameron Brady,Mickey Miller,Li Wang,June Garcia-Llana,Christopher Tracy,Stavros G Drakos,Katsuhiko Funai,Dipayan Chaudhuri,Sihem Boudina,Sarah Franklin

Experimental neurology 365:114429 PubMed37105450

2023

POLG genotype influences degree of mitochondrial dysfunction in iPSC derived neural progenitors, but not the parent iPSC or derived glia.

Applications

Unspecified application

Species

Unspecified reactive species

Yu Hong,Cecilie Katrin Kristiansen,Anbin Chen,Gonzalo Sanchez Nido,Lena Elise Høyland,Mathias Ziegler,Gareth John Sullivan,Laurence A Bindoff,Kristina Xiao Liang

International journal of molecular sciences 23: PubMed36142834

2022

Dual Mode of Mitochondrial ROS Action during Reprogramming to Pluripotency.

Applications

Unspecified application

Species

Unspecified reactive species

Elena V Skvortsova,Igor B Nazarov,Alexey N Tomilin,Sergey A Sinenko

Cell cycle (Georgetown, Tex.) 21:2206-2221 PubMed35815665

2022

Comparing the mitochondrial signatures in ESCs and iPSCs and their neural derivations.

Applications

Unspecified application

Species

Unspecified reactive species

Cecilie Katrin Kristiansen,Anbin Chen,Lena Elise Høyland,Mathias Ziegler,Gareth John Sullivan,Laurence A Bindoff,Kristina Xiao Liang

Biomolecules 12: PubMed35740871

2022

Early Forms of -Synuclein Pathology Are Associated with Neuronal Complex I Deficiency in the Substantia Nigra of Individuals with Parkinson's Disease.

Applications

Unspecified application

Species

Unspecified reactive species

Irene Hana Flønes,Harald Nyland,Dagny-Ann Sandnes,Guido Werner Alves,Ole-Bjørn Tysnes,Charalampos Tzoulis

Nature communications 13:2769 PubMed35589699

2022

Mitochondrial calcium uniporter stabilization preserves energetic homeostasis during Complex I impairment.

Applications

Unspecified application

Species

Unspecified reactive species

Enrique Balderas,David R Eberhardt,Sandra Lee,John M Pleinis,Salah Sommakia,Anthony M Balynas,Xue Yin,Mitchell C Parker,Colin T Maguire,Scott Cho,Marta W Szulik,Anna Bakhtina,Ryan D Bia,Marisa W Friederich,Timothy M Locke,Johan L K Van Hove,Stavros G Drakos,Yasemin Sancak,Martin Tristani-Firouzi,Sarah Franklin,Aylin R Rodan,Dipayan Chaudhuri
View all publications

Abcam Product Promise

我们致力于为您的研究提供高质量的试剂,为您科研的每一步提供支持。若我们的产品未能达到预期性能,我们向您提供 Abcam Product Promise 保障。
详情请参阅我们的条款与条件。

Please note: All products are 'FOR RESEARCH USE ONLY. NOT FOR USE IN DIAGNOSTIC OR THERAPEUTIC PROCEDURES'.

For licensing inquiries, please contact partnerships@abcam.com