JavaScript is disabled in your browser. Please enable JavaScript to view this website.
AB133715

重组Anti-NDRG3抗体[EPR9011(B)]

Anti-NDRG3 antibody [EPR9011(B)]

Be the first to review this product! Submit a review

|

(4 Publications)

Rabbit Recombinant Monoclonal NDRG3 antibody. Suitable for IHC-P, WB, ICC/IF and reacts with Human samples. Cited in 4 publications.

查看别名

Protein NDRG3, N-myc downstream-regulated gene 3 protein, NDRG3

4 Images
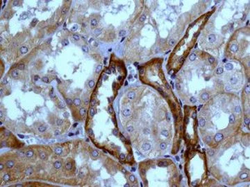
Immunohistochemistry (Formalin/PFA-fixed paraffin-embedded sections) - Anti-NDRG3 antibody [EPR9011(B)] (AB133715)
  • IHC-P

Unknown

Immunohistochemistry (Formalin/PFA-fixed paraffin-embedded sections) - Anti-NDRG3 antibody [EPR9011(B)] (AB133715)

Immunohistochemical analysis of paraffin embedded Human kidney tissue labelling NDRG3 with ab133715 at 1/100.

Perform heat mediated antigen retrieval with citrate buffer pH 6 before commencing with IHC staining protocol.

Immunohistochemistry (Formalin/PFA-fixed paraffin-embedded sections) - Anti-NDRG3 antibody [EPR9011(B)] (AB133715)
  • IHC-P

Unknown

Immunohistochemistry (Formalin/PFA-fixed paraffin-embedded sections) - Anti-NDRG3 antibody [EPR9011(B)] (AB133715)

Immunohistochemical analysis of paraffin embedded Human brain tissue labelling NDRG3 with ab133715 at 1/100.

Perform heat mediated antigen retrieval with citrate buffer pH 6 before commencing with IHC staining protocol.

Immunocytochemistry/ Immunofluorescence - Anti-NDRG3 antibody [EPR9011(B)] (AB133715)
  • ICC/IF

Unknown

Immunocytochemistry/ Immunofluorescence - Anti-NDRG3 antibody [EPR9011(B)] (AB133715)

Immunofluorescent staining of Raji cells labelling NDRG3 with ab133715 at 1/100.

Western blot - Anti-NDRG3 antibody [EPR9011(B)] (AB133715)
  • WB

Unknown

Western blot - Anti-NDRG3 antibody [EPR9011(B)] (AB133715)

All lanes:

Western blot - Anti-NDRG3 antibody [EPR9011(B)] (ab133715) at 1/1000 dilution

Lane 1:

Human fetal brain tissue lysate at 10 µg

Lane 2:

Raji cell lysate at 10 µg

Lane 3:

LnCaP cell lysate at 10 µg

Secondary

All lanes:

Goat anti-rabbit HRP conjugated at 1/2000 dilution

Predicted band size: 41 kDa

false

关键信息

宿主种属

Rabbit

克隆

Monoclonal

克隆号

EPR9011(B)

亚型

IgG

不含载体蛋白

No

反应种属

Human

应用

IHC-P, ICC/IF, WB

applications

免疫原

The exact immunogen used to generate this antibody is proprietary information.

反应性数据

{ "title": "Reactivity Data", "filters": { "stats": ["", "Species", "Dilution Info", "Notes"], "tabs": { "all-applications": {"fullname" : "All Applications", "shortname": "All Applications"}, "IHCP" : {"fullname" : "Immunohistochemistry (Formalin/PFA-fixed paraffin-embedded sections)", "shortname":"IHC-P"}, "IP" : {"fullname" : "Immunoprecipitation", "shortname":"IP"}, "WB" : {"fullname" : "Western blot", "shortname":"WB"}, "ICCIF" : {"fullname" : "Immunocytochemistry/ Immunofluorescence", "shortname":"ICC/IF"} }, "product-promise": { "all": "all", "testedAndGuaranteed": "tested", "guaranteed": "expected", "predicted": "predicted", "notRecommended": "not-recommended" } }, "values": { "Human": { "IHCP-species-checked": "testedAndGuaranteed", "IHCP-species-dilution-info": "1/100 - 1/250", "IHCP-species-notes": "<p></p>", "IP-species-checked": "notRecommended", "IP-species-dilution-info": "", "IP-species-notes": "<p></p>", "WB-species-checked": "testedAndGuaranteed", "WB-species-dilution-info": "1/1000 - 1/10000", "WB-species-notes": "<p></p>", "ICCIF-species-checked": "testedAndGuaranteed", "ICCIF-species-dilution-info": "1/100 - 1/250", "ICCIF-species-notes": "<p></p>" } } }

产品详情

Species reactivity
Mouse, Rat: We have preliminary internal testing data to indicate this antibody may not react with these species.
Please contact us for more information.

Patented technology
Our RabMAb® technology is a patented hybridoma-based technology for making rabbit monoclonal antibodies. For details on our patents, please refer to RabMAb® patents.

What are the advantages of a recombinant monoclonal antibody?
This product is a recombinant monoclonal antibody, which offers several advantages including:

  • - High batch-to-batch consistency and reproducibility
  • - Improved sensitivity and specificity
  • - Long-term security of supply
  • - Animal-free batch production

For more information, read more on recombinant antibodies.

性能和储存信息

形式
Liquid
纯化工艺
Affinity purification Protein A
存储溶液
pH: 7.2 - 7.4 Preservative: 0.01% Sodium azide Constituents: PBS, 50% Tissue culture supernatant, 40% Glycerol (glycerin, glycerine), 0.05% BSA
运输条件
Blue Ice
推荐的短期储存条件
+4°C
推荐的长期储存条件
-20°C
储存信息
Stable for 12 months at -20°C

补充信息

This supplementary information is collated from multiple sources and compiled automatically.

NDRG3 also known as N-Myc downstream-regulated gene 3 is a protein that acts as a stress-responsive molecule. Its molecular mass is approximately 41 kDa. Mechanically NDRG3 functions by interacting with other cellular pathways to ensure a proper stress response. The protein is widely expressed in various tissues with notable expression in the heart skeletal muscle and kidney. NDRG3 plays significant roles in cellular processes by modulating pathways in response to changes in the oxygen levels and nutrient availability.
Biological function summary

NDRG3 participates in processes that involve cell proliferation and differentiation and it can influence tumorigenic behavior. It is not part of a complex but interacts with other signaling molecules to exert its biological functions. NDRG3 responds to hypoxic conditions by stabilizing hypoxia-inducible factor (HIF)-1α promoting cell survival and adaptation under low oxygen availability. This capability makes it an important factor in cell adaptability under stress conditions.

Pathways

Four significant ones connect to NDRG3's involvement including the hypoxia response pathway and the MAPK/ERK signaling pathway. NDRG3 interacts closely with proteins like HIF-1α within the hypoxia response. In the MAPK/ERK pathway it influences downstream signals impacting cellular growth and differentiation. These interactions suggest that NDRG3 is integral to maintaining cellular homeostasis in environmental stress scenarios.

NDRG3 links to cancer progression and ischemic disorders. Its involvement in stabilizing HIF-1α connects it to cancer as the protein supports tumor growth and metastatic potential under hypoxic conditions often found in tumors. Similarly it relates to ischemic conditions in tissues like the heart where it helps regulate cellular responses to oxygen deprivation. Connections to proteins like HIF-1α in these cases highlight NDRG3's potential as a therapeutic target in managing these disorders.

产品实验方案

For this product, it's our understanding that no specific protocols are required. You can visit:

文献 (4)

Recent publications for all applications. Explore the full list and refine your search

The Journal of biological chemistry 299:104802 PubMed37172727

2023

Lactate promotes neuronal differentiation of SH-SY5Y cells by lactate-responsive gene sets through NDRG3-dependent and -independent manners.

Applications

Unspecified application

Species

Unspecified reactive species

Yidan Xu,Joji Kusuyama,Shion Osana,Satayuki Matsuhashi,Longfei Li,Hiroaki Takada,Hitoshi Inada,Ryoichi Nagatomi

Bioscience reports 38: PubMed30413609

2018

NDRG3 overexpression is associated with a poor prognosis in patients with hepatocellular carcinoma.

Applications

Unspecified application

Species

Unspecified reactive species

Ji-Sheng Jing,Hongbo Li,Shun-Cai Wang,Jiu-Ming Ma,La-Qing Yu,Hua Zhou

Disease markers 2018:7293962 PubMed30627227

2018

Rab27b Is a Potential Indicator for Lymph Node Metastasis and Unfavorable Prognosis in Lung Adenocarcinoma.

Applications

Unspecified application

Species

Unspecified reactive species

Louqian Zhang,Weifei Fan,Li Xu,Qixing Mao,Yan Chen,Yuan Mao,Lin Xu,Jun Wang

Neoplasia (New York, N.Y.) 20:140-151 PubMed29248718

2017

Proteomic Characterization of Prostate Cancer to Distinguish Nonmetastasizing and Metastasizing Primary Tumors and Lymph Node Metastases.

Applications

Unspecified application

Species

Unspecified reactive species

Ann-Kathrin Müller,Melanie Föll,Bianca Heckelmann,Selina Kiefer,Martin Werner,Oliver Schilling,Martin L Biniossek,Cordula Annette Jilg,Vanessa Drendel
View all publications

Abcam Product Promise

我们致力于为您的研究提供高质量的试剂,为您科研的每一步提供支持。若我们的产品未能达到预期性能,我们向您提供 Abcam Product Promise 保障。
详情请参阅我们的条款与条件。

Please note: All products are 'FOR RESEARCH USE ONLY. NOT FOR USE IN DIAGNOSTIC OR THERAPEUTIC PROCEDURES'.

For licensing inquiries, please contact partnerships@abcam.com