JavaScript is disabled in your browser. Please enable JavaScript to view this website.
AB2869

Anti-NCX1 抗体 [C2C12]

Anti-NCX1 antibody [C2C12]

5

(4 Reviews)

|

(34 Publications)

Mouse Monoclonal NCX1 antibody. Suitable for Flow Cyt (Intra), IHC-P, IHC-Fr and reacts with Human samples. Cited in 34 publications.

查看别名

CNC, NCX1, SLC8A1, Sodium/calcium exchanger 1, Na(+)/Ca(2+)-exchange protein 1, Solute carrier family 8 member 1

4 Images
Immunohistochemistry (Frozen sections) - Anti-NCX1 antibody [C2C12] (AB2869)
  • IHC-Fr

Lab

Immunohistochemistry (Frozen sections) - Anti-NCX1 antibody [C2C12] (AB2869)

IHC image of NCX1 staining in a section of frozen normal human kidney*. The section was fixed using 10% formaldehyde in 1XPBS for 10 minutes. No antigen retrieval step was performed prior to staining. Non-specific protein-protein interactions were then blocked in TBS containing 0.025% (v/v) Triton X-100, 0.3M glycine and 1% (w/v) BSA for 1h at room temperature. The section was then incubated overnight at +4°C in TBS containing 0.025% (v/v) Triton X-100 and 1% (w/v) BSA with ab2869 at 1μg/ml and ab6046 (Rabbit polyclonal to beta Tubulin - Loading Control) at 1/1000. The section was then incubated with ab150117 (Goat Anti-Mouse IgG H&L (Alexa Fluor® 488), 1/1000)) (shown in green) and ab150080 Goat polyclonal Secondary Antibody to Rabbit IgG - H&L (Alexa Fluor® 594), 1/1000) (shown in red) for 1 hour at room temperature. DAPI was used to stain the cell nuclei (blue) at a concentration of 1.43μM. The secondary-only control insert image is taken from an identical assay without primary antibody. The section was then mounted using Fluoromount®. Image was taken with a confocal microscope (Leica-Microsystems, TCS SP8). For IHC staining systems (automated and non-automated), customers should optimize variable parameters such as antibody concentrations and incubation times. *Tissue obtained from the Human Research Tissue Bank, supported by the NIHR Cambridge Biomedical Research Centre.

Flow Cytometry (Intracellular) - Anti-NCX1 antibody [C2C12] (AB2869)
  • Flow Cyt (Intra)

Unknown

Flow Cytometry (Intracellular) - Anti-NCX1 antibody [C2C12] (AB2869)

Overlay histogram showing HEK293 cells stained with ab2869 (red line). The cells were fixed with 80% methanol (5 min) and then permeabilized with 0.1% PBS-Tween for 20 min. The cells were then incubated in 1x PBS / 10% normal goat serum / 0.3M glycine to block non-specific protein-protein interactions followed by the antibody (ab2869, 1/100 dilution) for 30 min at 22°C. The secondary antibody used was DyLight® 488 goat anti-mouse IgM (mu chain) (ab97007) at 1/500 dilution for 30 min at 22°C. Isotype control antibody (black line) was mouse IgM [ICIGM] (ab91545, 2μg/1x106 cells) used under the same conditions. Acquisition of >5,000 events was performed. This antibody gave a positive signal in HEK293 cells fixed with 4% paraformaldehyde (10 min)/permeabilized in 0.1% PBS-Tween used under the same conditions.

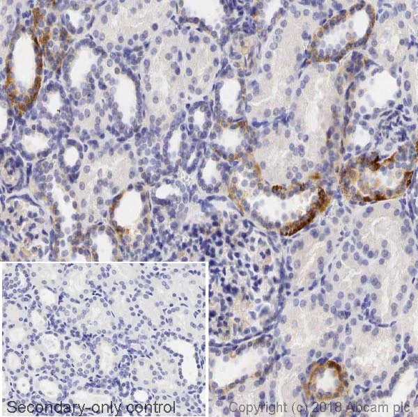
Immunohistochemistry (Formalin/PFA-fixed paraffin-embedded sections) - Anti-NCX1 antibody [C2C12] (AB2869)
  • IHC-P

Lab

Immunohistochemistry (Formalin/PFA-fixed paraffin-embedded sections) - Anti-NCX1 antibody [C2C12] (AB2869)

IHC image of NCX1 staining in a section of formalin-fixed paraffin-embedded normal human kidney* performed on a Leica BONDTM system using the standard protocol F. The section was pre-treated using heat mediated antigen retrieval with sodium citrate buffer (pH6, epitope retrieval solution 1) for 20mins. The section was then incubated with ab2869, 5ug/ml, for 15 mins at room temperature and detected using an HRP conjugated compact polymer system. DAB was used as the chromogen. The section was then counterstained with haematoxylin and mounted with DPX. The inset secondary-only control image is taken from an identical assay without primary antibody.

For other IHC staining systems (automated and non-automated) customers should optimize variable parameters such as antigen retrieval conditions, primary antibody concentration and antibody incubation times.

*Tissue obtained from the Human Research Tissue Bank, supported by the NIHR Cambridge Biomedical Research Centre

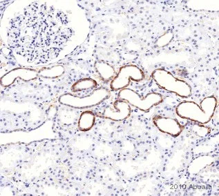
Immunohistochemistry (Formalin/PFA-fixed paraffin-embedded sections) - Anti-NCX1 antibody [C2C12] (AB2869)
  • IHC-P

AbReview19207****

Immunohistochemistry (Formalin/PFA-fixed paraffin-embedded sections) - Anti-NCX1 antibody [C2C12] (AB2869)

ab2869 staining NCX1 in Human kidney tissue sections by Immunohistochemistry (IHC-P - formaldehyde-fixed, paraffin-embedded sections). Tissue was fixed with formaldehyde, permeabilized with 0.05% Tween20 and blocked with 5% normal goat serum in 1XPBS + 0.05% Tween20 for 1 hour at 25°C; antigen retrieval was by heat mediation in sodium citrate (pH 6.0) buffer. Samples were incubated with primary antibody (1/100 in blocking buffer) for 1 hour at 25°C. ab47827 (1/500) was used as the secondary antibody.

This image is courtesy of an anonymous Abreview

关键信息

宿主种属

Mouse

克隆

Monoclonal

克隆号

C2C12

亚型

IgM

不含载体蛋白

No

反应种属

Human

应用

IHC-Fr, IHC-P, Flow Cyt (Intra)

applications

免疫原

The exact immunogen used to generate this antibody is proprietary information.

表位

This antibody recognizes an epitope between amino acids 371-525 on the intracellular side of the plasma membrane.

反应性数据

{ "title": "Reactivity Data", "filters": { "stats": ["", "Species", "Dilution Info", "Notes"], "tabs": { "all-applications": {"fullname" : "All Applications", "shortname": "All Applications"}, "FlowCytIntra" : {"fullname" : "Flow Cytometry (Intracellular)", "shortname":"Flow Cyt (Intra)"}, "IHCP" : {"fullname" : "Immunohistochemistry (Formalin/PFA-fixed paraffin-embedded sections)", "shortname":"IHC-P"}, "IHCFr" : {"fullname" : "Immunohistochemistry (Frozen sections)", "shortname":"IHC-Fr"} }, "product-promise": { "all": "all", "testedAndGuaranteed": "tested", "guaranteed": "expected", "predicted": "predicted", "notRecommended": "not-recommended" } }, "values": { "Human": { "FlowCytIntra-species-checked": "testedAndGuaranteed", "FlowCytIntra-species-dilution-info": "1/20 - 1/100", "FlowCytIntra-species-notes": "<p><a href='/products/primary-antibodies/mouse-igm-b11-7-isotype-control-ab91545'>ab91545</a> - Mouse monoclonal IgM, is suitable for use as an isotype control with this antibody.</p>", "IHCP-species-checked": "testedAndGuaranteed", "IHCP-species-dilution-info": "5 µg/mL", "IHCP-species-notes": "<p></p> Perform heat-mediated antigen retrieval with citrate buffer pH 6 before commencing with IHC staining protocol.", "IHCFr-species-checked": "testedAndGuaranteed", "IHCFr-species-dilution-info": "1 µg/mL", "IHCFr-species-notes": "<p>PubMed: 21408028</p>" }, "Mouse": { "FlowCytIntra-species-checked": "predicted", "FlowCytIntra-species-dilution-info": "", "FlowCytIntra-species-notes": "", "IHCP-species-checked": "predicted", "IHCP-species-dilution-info": "", "IHCP-species-notes": "", "IHCFr-species-checked": "predicted", "IHCFr-species-dilution-info": "", "IHCFr-species-notes": "" }, "Rat": { "FlowCytIntra-species-checked": "predicted", "FlowCytIntra-species-dilution-info": "", "FlowCytIntra-species-notes": "", "IHCP-species-checked": "predicted", "IHCP-species-dilution-info": "", "IHCP-species-notes": "", "IHCFr-species-checked": "predicted", "IHCFr-species-dilution-info": "", "IHCFr-species-notes": "" }, "Dog": { "FlowCytIntra-species-checked": "predicted", "FlowCytIntra-species-dilution-info": "", "FlowCytIntra-species-notes": "", "IHCP-species-checked": "predicted", "IHCP-species-dilution-info": "", "IHCP-species-notes": "", "IHCFr-species-checked": "predicted", "IHCFr-species-dilution-info": "", "IHCFr-species-notes": "" }, "Guinea pig": { "FlowCytIntra-species-checked": "predicted", "FlowCytIntra-species-dilution-info": "", "FlowCytIntra-species-notes": "", "IHCP-species-checked": "predicted", "IHCP-species-dilution-info": "", "IHCP-species-notes": "", "IHCFr-species-checked": "predicted", "IHCFr-species-dilution-info": "", "IHCFr-species-notes": "" }, "Pig": { "FlowCytIntra-species-checked": "predicted", "FlowCytIntra-species-dilution-info": "", "FlowCytIntra-species-notes": "", "IHCP-species-checked": "predicted", "IHCP-species-dilution-info": "", "IHCP-species-notes": "", "IHCFr-species-checked": "predicted", "IHCFr-species-dilution-info": "", "IHCFr-species-notes": "" }, "Rabbit": { "FlowCytIntra-species-checked": "predicted", "FlowCytIntra-species-dilution-info": "", "FlowCytIntra-species-notes": "", "IHCP-species-checked": "predicted", "IHCP-species-dilution-info": "", "IHCP-species-notes": "", "IHCFr-species-checked": "predicted", "IHCFr-species-dilution-info": "", "IHCFr-species-notes": "" } } }

产品详情

Want a custom formulation?
This antibody clone is manufactured by Abcam. If you require a custom buffer formulation or conjugation for your experiments, please contact orders@abcam.com

性能和储存信息

形式
Liquid
存储溶液
Preservative: 0.02% Sodium azide Constituents: PBS, 6.97% L-Arginine
运输条件
Blue Ice
推荐的短期储存时间
1-2 weeks
推荐的短期储存条件
+4°C
推荐的长期储存条件
-20°C
分装信息
Upon delivery aliquot
储存信息
Avoid freeze / thaw cycle

补充信息

This supplementary information is collated from multiple sources and compiled automatically.

NCX1 also known as the Sodium-Calcium Exchanger 1 plays a critical role in removing calcium ions from cells by exchanging them for sodium ions. It operates as an antiporter mechanism facilitating the transport of three sodium ions into the cell in exchange for one calcium ion being transported out. The protein has a molecular mass of approximately 120 kDa. NCX1 is widely expressed in various tissues including heart brain kidney and skeletal muscle indicating its importance in multiple physiological processes.
Biological function summary

NCX1 contributes significantly to controlling intracellular calcium levels important for muscle contraction and neuronal function. The protein forms part of a larger complex that includes several regulatory proteins which modulate its activity according to the cellular environment. By managing calcium ion concentration inside cells NCX1 influences various cellular processes such as muscle relaxation and excitatory signaling in neurons.

Pathways

NCX1 integrates itself into the cellular calcium homeostasis and cardiac excitation-contraction coupling pathways. In the cardiac tissue it works alongside other proteins like the L-type calcium channel contributing to the regulation of the heart’s rhythm and contraction force. Another pathway involves its interaction with the sodium-potassium ATPase which helps maintain the cell's electrochemical gradient essential for proper muscle and nerve function.

NCX1 has been linked to cardiovascular diseases such as heart failure and arrhythmias. Abnormal NCX1 function can disrupt calcium balance leading to these conditions. Moreover the protein's relationship with the L-type calcium channel is important because alterations in their interaction can exacerbate such cardiovascular disorders. Additionally NCX1 has connections to disorders like epilepsy where other ion channels and transporters also play critical roles in maintaining neural excitability and preventing seizure activities.

产品实验方案

For this product, it's our understanding that no specific protocols are required. You can visit:

靶点信息

Mediates the exchange of one Ca(2+) ion against three to four Na(+) ions across the cell membrane, and thereby contributes to the regulation of cytoplasmic Ca(2+) levels and Ca(2+)-dependent cellular processes (PubMed : 11241183, PubMed : 1374913, PubMed : 1476165). Contributes to Ca(2+) transport during excitation-contraction coupling in muscle (PubMed : 11241183, PubMed : 1374913, PubMed : 1476165). In a first phase, voltage-gated channels mediate the rapid increase of cytoplasmic Ca(2+) levels due to release of Ca(2+) stores from the endoplasmic reticulum (PubMed : 11241183, PubMed : 1374913, PubMed : 1476165). SLC8A1 mediates the export of Ca(2+) from the cell during the next phase, so that cytoplasmic Ca(2+) levels rapidly return to baseline (PubMed : 11241183, PubMed : 1374913, PubMed : 1476165). Required for normal embryonic heart development and the onset of heart contractions (By similarity).
See full target information SLC8A1

文献 (34)

Recent publications for all applications. Explore the full list and refine your search

Biological & pharmaceutical bulletin 48:151-161 PubMed39993746

2025

Involvement of the Na/Ca Exchanger in the Automaticity of the Cardiomyocytes from the Guinea Pig Pulmonary Vein but Not the Sinus Node.

Applications

Unspecified application

Species

Unspecified reactive species

Ryosuke Odaka,Kana Sekiguchi,Shogo Hamaguchi,Iyuki Namekata,Hikaru Tanaka

Cell communication and signaling : CCS 22:258 PubMed38711131

2024

NCX1/Ca promotes autophagy and decreases bortezomib activity in multiple myeloma through non-canonical NFκB signaling pathway.

Applications

Unspecified application

Species

Unspecified reactive species

Tingting Li,Pingping Xiao,Dongbiao Qiu,Apeng Yang,Qingjiao Chen,Junfang Lin,Yao Liu,Junmin Chen,Zhiyong Zeng

International journal of biological sciences 19:2256-2269 PubMed37151882

2023

Exploration of spatial heterogeneity of tumor microenvironment in nasopharyngeal carcinoma via transcriptional digital spatial profiling.

Applications

Unspecified application

Species

Unspecified reactive species

Liping Wang,Dujuan Wang,Xiaojiao Zeng,Qian Zhang,Huiqing Wu,Jie Liu,Yang Wang,Guohong Liu,Yunbao Pan

Clinical and experimental medicine 23:1581-1596 PubMed36251145

2022

NCX1 disturbs calcium homeostasis and promotes RANKL-induced osteoclast differentiation by regulating JNK/c-Fos/NFATc1 signaling pathway in multiple myeloma.

Applications

Unspecified application

Species

Unspecified reactive species

Tingting Li,Dongbiao Qiu,Qingjiao Chen,Apeng Yang,Junmin Chen,Zhiyong Zeng

Comparative biochemistry and physiology. Part A, Molecular & integrative physiology 272:111266 PubMed35772648

2022

Warm, but not hypoxic acclimation, prolongs ventricular diastole and decreases the protein level of Na/Ca exchanger to enhance cardiac thermal tolerance in European sea bass.

Applications

Unspecified application

Species

Unspecified reactive species

Luca Pettinau,Frédéric Lancien,Yangfan Zhang,Florian Mauduit,Hélène Ollivier,Anthony P Farrell,Guy Claireaux,Katja Anttila

International journal of molecular sciences 23: PubMed35682646

2022

Prophylactic Evidence of MSCs-Derived Exosomes in Doxorubicin/Trastuzumab-Induced Cardiotoxicity: Beyond Mechanistic Target of NRG-1/Erb Signaling Pathway.

Applications

Unspecified application

Species

Unspecified reactive species

Nesrine Ebrahim,Hajir A Al Saihati,Ola Mostafa,Amira Hassouna,Sameh Abdulsamea,Eman Abd El Aziz M El Gebaly,Nashwa Hassan Abo-Rayah,Dina Sabry,Mohamed El-Sherbiny,Abdelmonem G Madboly,Noha Ibrahim Hussien,Raja El Hasnaoui Saadani,Hasnaa Ali Ebrahim,Omnia A M Badr,Nehal M Elsherbiny,Rabab F Salim

Frontiers in cardiovascular medicine 8:644128 PubMed33778025

2021

Seipin Deficiency Accelerates Heart Failure Due to Calcium Handling Abnormalities and Endoplasmic Reticulum Stress in Mice.

Applications

Unspecified application

Species

Unspecified reactive species

Xiaoyue Wu,Xuejing Liu,Huan Wang,Zihao Zhou,Chengzhi Yang,Zijian Li,Youyi Zhang,XiaoLu Shi,Ling Zhang,Yuhui Wang,Xunde Xian,George Liu,Wei Huang

Nutrients 12: PubMed33228037

2020

Effect of Xylo-Oligosaccharides Supplementation by Drinking Water on the Bone Properties and Related Calcium Transporters in Growing Mice.

Applications

Unspecified application

Species

Unspecified reactive species

Hang Gao,Zhenlei Zhou

EMBO molecular medicine 12:e11942 PubMed32715657

2020

A Parkinson's disease CircRNAs Resource reveals a link between circSLC8A1 and oxidative stress.

Applications

Unspecified application

Species

Unspecified reactive species

Mor Hanan,Alon Simchovitz,Nadav Yayon,Shani Vaknine,Roni Cohen-Fultheim,Miriam Karmon,Nimrod Madrer,Talia Miriam Rohrlich,Moria Maman,Estelle R Bennett,David S Greenberg,Eran Meshorer,Erez Y Levanon,Hermona Soreq,Sebastian Kadener

Journal of cellular and molecular medicine 24:6762-6772 PubMed32342656

2020

The effect of Sirt1 deficiency on Ca and Na regulation in mouse ventricular myocytes.

Applications

Unspecified application

Species

Unspecified reactive species

Hsiang-Yu Yang,Feng-Zhi Lin,Hui-Wen Yang,Pei-Ling Yu,Shih-Ming Huang,Yao-Chang Chen,Chien-Sung Tsai,Chih-Yuan Lin
View all publications

Abcam Product Promise

我们致力于为您的研究提供高质量的试剂,为您科研的每一步提供支持。若我们的产品未能达到预期性能,我们向您提供 Abcam Product Promise 保障。
详情请参阅我们的条款与条件。

Please note: All products are 'FOR RESEARCH USE ONLY. NOT FOR USE IN DIAGNOSTIC OR THERAPEUTIC PROCEDURES'.

For licensing inquiries, please contact partnerships@abcam.com