JavaScript is disabled in your browser. Please enable JavaScript to view this website.
AB224703

Anti-NCR1/NKp46 抗体 [EPR22403-57]

Anti-NCR1/NKp46 antibody [EPR22403-57]

5

(1 Review)

|

(11 Publications)

Anti-NCR1 antibody [EPR22403-57] (ab224703) is a rabbit monoclonal antibody detecting NCR1 in IHC-P. Suitable for Human.

- Biophysical QC for unrivalled batch-batch consistency

查看别名

CD335, LY94, NCR1, Natural cytotoxicity triggering receptor 1, Lymphocyte antigen 94 homolog, NK cell-activating receptor, Natural killer cell p46-related protein, NK-p46, NKp46, hNKp46

3 Images
Immunohistochemistry (Formalin/PFA-fixed paraffin-embedded sections) - Anti-NCR1/NKp46 antibody [EPR22403-57] (AB224703)
  • IHC-P

Unknown

Immunohistochemistry (Formalin/PFA-fixed paraffin-embedded sections) - Anti-NCR1/NKp46 antibody [EPR22403-57] (AB224703)

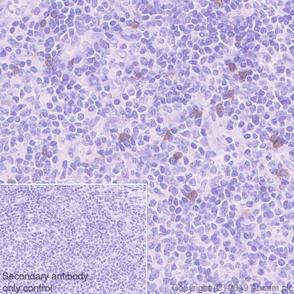
Immunohistochemical analysis of paraffin-embedded human NK/T cell lymphoma tissue labeling NCR1 with ab224703 at 1/1000 dilution, followed by a ready to use Goat Anti-Rabbit IgG H&L (HRP). Positive staining in human NK/T-cell lymphoma (PMID : 24225754) is observed. Counterstained with hematoxylin. Heat mediated antigen retrieval using ab93684 (Tris/EDTA buffer, pH 9.0).

Secondary antibody only control : Used PBS instead of primary antibody, secondary antibody is a ready to use Goat Anti-Rabbit IgG H&L (HRP).

Immunohistochemistry (Formalin/PFA-fixed paraffin-embedded sections) - Anti-NCR1/NKp46 antibody [EPR22403-57] (AB224703)
  • IHC-P

Unknown

Immunohistochemistry (Formalin/PFA-fixed paraffin-embedded sections) - Anti-NCR1/NKp46 antibody [EPR22403-57] (AB224703)

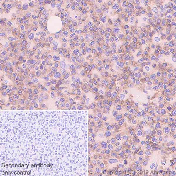
Immunohistochemical analysis of paraffin-embedded human tonsil tissue labeling NCR1 with ab224703 at 1/1000 dilution, followed by a ready to use Goat Anti-Rabbit IgG H&L (HRP). Positive staining in natural killer (NK) cells in marginal zone of human tonsil (PMID : 24225754) is observed. Counterstained with hematoxylin. Heat mediated antigen retrieval using ab93684 (Tris/EDTA buffer, pH 9.0).

Secondary antibody only control : Used PBS instead of primary antibody, secondary antibody is a ready to use Goat Anti-Rabbit IgG H&L (HRP).

Immunohistochemistry (Formalin/PFA-fixed paraffin-embedded sections) - Anti-NCR1/NKp46 antibody [EPR22403-57] (AB224703)
  • IHC-P

Lab

Immunohistochemistry (Formalin/PFA-fixed paraffin-embedded sections) - Anti-NCR1/NKp46 antibody [EPR22403-57] (AB224703)

Immunohistochemical analysis of formalin fixed paraffin embedded human tonsil labelling NCR1 with ab224703 at a concentration of 1µg/ml. The immunostaining was performed on a Ventana DISCOVERY ULTRA (Roche Tissue Diagnostics) instrument with a OptiView DAB IHC Detection Kit. Heat mediated antigen retrieval was performed with DISCOVERY cell conditioning solution (CC1) 100°C, pH8.5 for 32mins.

Anti-NCR1 antibody [EPR22403-57] was incubated for 16mins at 37°C. Sections were counterstained with Hematoxylin II. Image inset shows absence of staining in secondary antibody only control.

Customers are encouraged to optimise antigen retrieval conditions, antibody concentration, incubation times and temperature for best results in their own IHC assay workflow (automated and manual).

不同偶联物与剂型 (1)

  • Carrier free

    Anti-NCR1/NKp46 antibody [EPR22403-57] - BSA and Azide free

关键信息

宿主种属

Rabbit

克隆

Monoclonal

克隆号

EPR22403-57

亚型

IgG

不含载体蛋白

No

反应种属

Human

应用

IHC-P

applications

免疫原

The exact immunogen used to generate this antibody is proprietary information.

反应性数据

{ "title": "Reactivity Data", "filters": { "stats": ["", "Species", "Dilution Info", "Notes"], "tabs": { "all-applications": {"fullname" : "All Applications", "shortname": "All Applications"}, "IP" : {"fullname" : "Immunoprecipitation", "shortname":"IP"}, "FlowCyt" : {"fullname" : "Flow Cytometry", "shortname":"Flow Cyt"}, "ICCIF" : {"fullname" : "Immunocytochemistry/ Immunofluorescence", "shortname":"ICC/IF"}, "IHCP" : {"fullname" : "Immunohistochemistry (Formalin/PFA-fixed paraffin-embedded sections)", "shortname":"IHC-P"} }, "product-promise": { "all": "all", "testedAndGuaranteed": "tested", "guaranteed": "expected", "predicted": "predicted", "notRecommended": "not-recommended" } }, "values": { "Human": { "IP-species-checked": "notRecommended", "IP-species-dilution-info": "", "IP-species-notes": "<p></p>", "FlowCyt-species-checked": "notRecommended", "FlowCyt-species-dilution-info": "", "FlowCyt-species-notes": "<p></p>", "ICCIF-species-checked": "notRecommended", "ICCIF-species-dilution-info": "", "ICCIF-species-notes": "<p></p>", "IHCP-species-checked": "testedAndGuaranteed", "IHCP-species-dilution-info": "1/1000", "IHCP-species-notes": "<p></p> Perform heat-mediated antigen retrieval with Tris/EDTA buffer pH 9.0 before commencing with IHC staining protocol." } } }

产品详情

What is this antibody validated in?
Anti-NCR1 antibody [EPR22403-57] (ab224703) is a rabbit recombinant monoclonal antibody and is validated for use in Immunohistochemistry (IHC-P) in Human samples.

Trial sizes available!
Test your antibody or perform pre-screening before committing to a larger quantity. Sold in 20µl. Discover our selection of trial-size antibodies.

Other related products
We have a range of other formats of antibody clone [EPR22403-57] also available for your convenience: ab224703, Carrier free - ab254209

Patented technology
Our RabMAb® technology is a patented hybridoma-based technology for making rabbit monoclonal antibodies. For details on our patents, please refer to RabMAb® patents.

What are the advantages of a recombinant monoclonal antibody?
This product is a recombinant monoclonal antibody, which offers several advantages including:

  • - High batch-to-batch consistency and reproducibility
  • - Improved sensitivity and specificity
  • - Long-term security of supply
  • - Animal-free batch production

For more information, read more on recombinant antibodies.

性能和储存信息

形式
Liquid
纯化工艺
Affinity purification Protein A
存储溶液
pH: 7.2 - 7.4 Preservative: 0.01% Sodium azide Constituents: PBS, 40% Glycerol (glycerin, glycerine), 0.05% BSA
运输条件
Blue Ice
推荐的短期储存时间
1-2 weeks
推荐的短期储存条件
+4°C
推荐的长期储存条件
-20°C
分装信息
Upon delivery aliquot
储存信息
Avoid freeze / thaw cycle

补充信息

This supplementary information is collated from multiple sources and compiled automatically.

NCR1 also known as NKp46 is a receptor mainly expressed on the surface of natural killer (NK) cells. Its primary role involves recognizing and binding to ligands present on target cells including tumor cells and virus-infected cells. NCR1 initiates the activation of NK cells leading to the destruction of these abnormal cells. The NCR1 protein has a molecular weight of approximately 46 kDa and is a part of the immunoglobulin superfamily. NCR1 is mainly expressed in the immune system specifically on NK cells which are an important component of the innate immune response.
Biological function summary

The function of NCR1 involves the recognition of stressed transformed or infected cells marking them for elimination by NK cells. It does not typically function as a part of a complex; rather it serves a somewhat autonomous role in cell signaling. However its interaction with other receptors on NK cells including DAP12 enhances its signaling capabilities. Through the activation of cascades NCR1 promotes the release of cytotoxic granules and the production of cytokines therefore mediating the immune response.

Pathways

NCR1 plays a significant role in the regulation of immune surveillance pathways. It is involved in the recognition and elimination pathways that modulate the immune response against infected or cancerous cells. NK cells with NCR1's involvement interact with receptors like NKG2D adjusting the NK cell's cytotoxic activity. These interactions coordinate the broader immune response important for innate immunity effectively bridging innate and adaptive immunity by influencing other immune cells.

NCR1 has been implicated in cancer and infectious diseases. In cancer altered expression or dysfunction of NCR1 may contribute to the evasion of immune surveillance by tumor cells potentially leading to tumor progression. Studies have shown reduced NKp46 expression in some cancerous states linking it to poor prognosis. In infectious diseases NCR1 plays a role in targeting virus-infected cells and its dysfunction can result in reduced effectiveness in clearing viral infections. Interactions with viral envelope proteins can interfere with NCR1 activity exemplifying its importance in antiviral defense mechanisms.

产品实验方案

For this product, it's our understanding that no specific protocols are required. You can visit:

靶点信息

Cytotoxicity-activating receptor that may contribute to the increased efficiency of activated natural killer (NK) cells to mediate tumor cell lysis.
See full target information NCR1

文献 (11)

Recent publications for all applications. Explore the full list and refine your search

Translational cancer research 13:4846-4865 PubMed39430819

2024

Construction of a prognostic model with exosome biogenesis- and release-related genes and identification of RAB27B in immune infiltration of pancreatic cancer.

Applications

Unspecified application

Species

Unspecified reactive species

Tian-Yu Li,Cheng Qin,Bang-Bo Zhao,Ze-Ru Li,Yuan-Yang Wang,Yu-Tong Zhao,Wei-Bin Wang

Cellular and molecular gastroenterology and hepatology 19:101411 PubMed39349248

2024

Single-cell Profiling of Intrahepatic Immune Cells Reveals an Expansion of Tissue-resident Cytotoxic CD4 T Lymphocyte Subset Associated With Pathogenesis of Alcoholic-associated Liver Diseases.

Applications

Unspecified application

Species

Unspecified reactive species

Chao Gao,Shiguan Wang,Xiaoyu Xie,Pierluigi Ramadori,Xinying Li,Xiaoyu Liu,Xue Ding,Jinyuan Liang,Bowen Xu,Yawei Feng,Xueying Tan,Haoran Wang,Yan Zhang,Haiyan Zhang,Tingguo Zhang,Ping Mi,Shiyang Li,Cuijuan Zhang,Detian Yuan,Mathias Heikenwalder,Peng Zhang

Molecular therapy : the journal of the American Society of Gene Therapy 32:3895-3914 PubMed39318093

2024

Single-cell RNA sequencing reveals anti-tumor potency of CD56 NK cells and CD8 T cells in humanized mice via PD-1 and TIGIT co-targeting.

Applications

Unspecified application

Species

Unspecified reactive species

Wai Nam Liu,Sarah L Harden,Shawn Lu Wen Tan,Rachel Jun Rou Tan,Shin Yie Fong,Sue Yee Tan,Min Liu,Isha Karnik,Timothy Wai Ho Shuen,Han Chong Toh,Yong Fan,Seng Gee Lim,Jerry Kok Yen Chan,Qingfeng Chen

iMeta 3:e221 PubMed39135698

2024

Cell-type-specific expression analysis of liver transcriptomics with clinical parameters to decipher the cause of intrahepatic inflammation in chronic hepatitis B.

Applications

Unspecified application

Species

Unspecified reactive species

Jun Wang,Qian Li,Yuanwang Qiu,Simo Kitanovski,Chen Wang,Chenxia Zhang,Fahong Li,Xiaoguang Li,Zhenfeng Zhang,Lihua Huang,Jiming Zhang,Daniel Hoffmann,Mengji Lu,Hongzhou Lu

Cancer immunology research 12:731-743 PubMed38572955

2024

Preclinical Evaluation of Off-The-Shelf PD-L1+ Human Natural Killer Cells Secreting IL15 to Treat Non-Small Cell Lung Cancer.

Applications

Unspecified application

Species

Unspecified reactive species

Ting Lu,Rui Ma,Anthony G Mansour,Christian Bustillos,Zhiyao Li,Zhenlong Li,Shoubao Ma,Kun-Yu Teng,Hanyu Chen,Jianying Zhang,Miguel A Villalona-Calero,Michael A Caligiuri,Jianhua Yu

Nature communications 15:1909 PubMed38429294

2024

synNotch-programmed iPSC-derived NK cells usurp TIGIT and CD73 activities for glioblastoma therapy.

Applications

Unspecified application

Species

Unspecified reactive species

Kyle B Lupo,Xue Yao,Shambhavi Borde,Jiao Wang,Sandra Torregrosa-Allen,Bennett D Elzey,Sagar Utturkar,Nadia A Lanman,MacKenzie McIntosh,Sandro Matosevic

Clinical & translational immunology 13:e1489 PubMed38322490

2024

Infiltrating characteristics and prognostic value of tertiary lymphoid structures in resected gastric neuroendocrine neoplasm patients.

Applications

Unspecified application

Species

Unspecified reactive species

Daming Cai,Xingzhou Wang,Heng Yu,Chunhua Bai,Yonghuan Mao,Mengjie Liang,Xuefeng Xia,Song Liu,Meng Wang,Xiaofeng Lu,Junfeng Du,Xiaofei Shen,Wenxian Guan

Frontiers in immunology 14:1230534 PubMed37545516

2023

Intratumoral NKp46 natural killer cells are spatially distanced from T and MHC-I cells with prognostic implications in soft tissue sarcoma.

Applications

Unspecified application

Species

Unspecified reactive species

Sylvia M Cruz,Cyrus J Sholevar,Sean J Judge,Morgan A Darrow,Khurshid R Iranpur,Lauren E Farley,Marshall Lammers,Aryana M Razmara,Cordelia Dunai,Alicia A Gingrich,Julia Persky,Hidetoshi Mori,Steven W Thorpe,Arta M Monjazeb,William J Murphy,Robert J Canter

International journal of surgery (London, England) 109:2344-2358 PubMed37247038

2023

Prediction values of tertiary lymphoid structures in the prognosis of patients with left- and right-sided colon cancer: a multicenter propensity score-matched study.

Applications

Unspecified application

Species

Unspecified reactive species

Yonghuan Mao,Xingzhou Wang,Ling Xi,Meng Dong,Peng Song,Ji Miao,Cheng Lu,Sizheng Sun,Qiang Li,Chunzhao Yu,Xiaofei Shen

Molecular oncology 15:3280-3298 PubMed33773029

2021

Immune modulation underpins the anti-cancer activity of HDAC inhibitors.

Applications

Unspecified application

Species

Unspecified reactive species

Wiktoria Blaszczak,Geng Liu,Hong Zhu,Wojciech Barczak,Amit Shrestha,Gulsah Albayrak,Shunsheng Zheng,David Kerr,Anastasia Samsonova,Nicholas B La Thangue
View all publications

Abcam Product Promise

我们致力于为您的研究提供高质量的试剂,为您科研的每一步提供支持。若我们的产品未能达到预期性能,我们向您提供 Abcam Product Promise 保障。
详情请参阅我们的条款与条件。

Please note: All products are 'FOR RESEARCH USE ONLY. NOT FOR USE IN DIAGNOSTIC OR THERAPEUTIC PROCEDURES'.

For licensing inquiries, please contact partnerships@abcam.com