JavaScript is disabled in your browser. Please enable JavaScript to view this website.
AB32120

重组Anti-Nck抗体[Y531]

Anti-Nck antibody [Y531]

4

(1 Review)

|

(5 Publications)

Rabbit Recombinant Monoclonal Nck antibody. Suitable for IHC-P, WB, ICC/IF, Flow Cyt (Intra) and reacts with Human, Mouse samples. Cited in 5 publications.

查看别名

NCK, NCK1, SH2/SH3 adapter protein NCK1, Cytoplasmic protein NCK1, NCK adapter protein 1, SH2/SH3 adapter protein NCK-alpha, Nck-1

5 Images
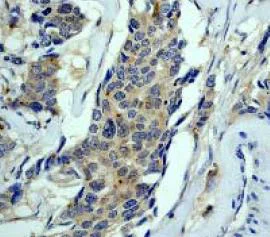
Immunohistochemistry (Formalin/PFA-fixed paraffin-embedded sections) - Anti-Nck antibody [Y531] (AB32120)
  • IHC-P

Unknown

Immunohistochemistry (Formalin/PFA-fixed paraffin-embedded sections) - Anti-Nck antibody [Y531] (AB32120)

ab32120 (1/100), staining human breast carcinoma by immunohistochemistry, Paraffin embedded tissue.

Perform heat mediated antigen retrieval with citrate buffer pH 6 before commencing with IHC staining protocol.

Flow Cytometry (Intracellular) - Anti-Nck antibody [Y531] (AB32120)
  • Flow Cyt (Intra)

Unknown

Flow Cytometry (Intracellular) - Anti-Nck antibody [Y531] (AB32120)

Overlay histogram showing Jurkat cells stained with ab32120 (red line). The cells were fixed with 4% paraformaldehyde (10 min) and then permeabilized with 0.1% PBS-Tween for 20 min. The cells were then incubated in 1x PBS / 10% normal goat serum / 0.3M glycine to block non-specific protein-protein interactions followed by the antibody (ab32120, 1/1000 dilution) for 30 min at 22°C. The secondary antibody used was Alexa Fluor® 488 goat anti-rabbit IgG (H&L) (ab150077) at 1/2000 dilution for 30 min at 22°C. Isotype control antibody (black line) was rabbit IgG (monoclonal) (0.1μg/1x106 cells) used under the same conditions. Unlabelled sample (blue line) was also used as a control. Acquisition of >5,000 events were collected using a 20mW Argon ion laser (488nm) and 525/30 bandpass filter. This antibody gave a positive signal in Jurkat cells fixed with 80% methanol (5 min)/permeabilized with 0.1% PBS-Tween for 20 min used under the same conditions.

Immunocytochemistry/ Immunofluorescence - Anti-Nck antibody [Y531] (AB32120)
  • ICC/IF

Lab

Immunocytochemistry/ Immunofluorescence - Anti-Nck antibody [Y531] (AB32120)

Immunocytochemistry/ Immunofluorescence analysis of HeLa (human cervix adenocarcinoma epithelial cell) cells labeling Nck with purified ab32120 at 1/250 dilution (8 μg/mL). Cells were fixed in 100% Methanol. Goat anti rabbit IgG (Alexa Fluor® 488, ab150077) was used as the secondary antibody at 1/1000 (2 μg/mL) dilution. DAPI (blue) was used as nuclear counterstain.

Western blot - Anti-Nck antibody [Y531] (AB32120)
  • WB

Unknown

Western blot - Anti-Nck antibody [Y531] (AB32120)

All lanes:

Western blot - Anti-Nck antibody [Y531] (ab32120) at 1/10000 dilution

All lanes:

Hela cell lysate

Predicted band size: 43 kDa

Observed band size: 35 kDa,47 kDa

false

Western blot - Anti-Nck antibody [Y531] (AB32120)
  • WB

Lab

Western blot - Anti-Nck antibody [Y531] (AB32120)

Lanes 1-3 : Merged signal (red and green). Green - ab32120 observed at 50 kDa. Red - loading control ab8245 observed at 36 kDa.

ab32120 Anti-Nck antibody [Y531] was shown to specifically react with Nck in wild-type HeLa cells. Loss of signal was observed when knockout cell line ab265323 (knockout cell lysate ab258059) was used. Wild-type and Nck knockout samples were subjected to SDS-PAGE. ab32120 and Anti-GAPDH antibody [6C5] - Loading Control (ab8245) were incubated at room temperature for 2. 5 hours at 1 in 1000 dilution and 1 in 20000 dilution respectively. Blots were developed with Goat anti-Rabbit IgG H&L (IRDye® 800CW) preadsorbed (ab216773) and Goat anti-Mouse IgG H&L (IRDye® 680RD) preadsorbed (ab216776) secondary antibodies at 1 in 20000 dilution for 1 hour at room temperature before imaging.

All lanes:

Western blot - Anti-Nck antibody [Y531] (ab32120) at 1/1000 dilution

Lane 1:

Wild-type HeLa cell lysate at 20 µg

Lane 2:

NCK1 knockout HeLa cell lysate at 20 µg

Lane 2:

Western blot - Human NCK1 (Nck) knockout HeLa cell line (<a href='/products/cell-lines/human-nck1-nck-knockout-hela-cell-line-ab265323'>ab265323</a>)

Lane 3:

NIH/3T3 cell lysate at 20 µg

Secondary

All lanes:

Western blot - Goat anti-Rabbit IgG H&L (IRDye® 800CW) preadsorbed (<a href='/products/secondary-antibodies/goat-rabbit-igg-h-l-irdye-800cw-preadsorbed-ab216773'>ab216773</a>) at 1/10000 dilution

Predicted band size: 43 kDa

Observed band size: 50 kDa

false

关键信息

宿主种属

Rabbit

克隆

Monoclonal

克隆号

Y531

亚型

IgG

不含载体蛋白

No

反应种属

Mouse, Human

应用

ICC/IF, Flow Cyt (Intra), IHC-P, WB

applications

免疫原

The exact immunogen used to generate this antibody is proprietary information.

反应性数据

{ "title": "Reactivity Data", "filters": { "stats": ["", "Species", "Dilution Info", "Notes"], "tabs": { "all-applications": {"fullname" : "All Applications", "shortname": "All Applications"}, "IHCP" : {"fullname" : "Immunohistochemistry (Formalin/PFA-fixed paraffin-embedded sections)", "shortname":"IHC-P"}, "WB" : {"fullname" : "Western blot", "shortname":"WB"}, "ICCIF" : {"fullname" : "Immunocytochemistry/ Immunofluorescence", "shortname":"ICC/IF"}, "FlowCytIntra" : {"fullname" : "Flow Cytometry (Intracellular)", "shortname":"Flow Cyt (Intra)"} }, "product-promise": { "all": "all", "testedAndGuaranteed": "tested", "guaranteed": "expected", "predicted": "predicted", "notRecommended": "not-recommended" } }, "values": { "Human": { "IHCP-species-checked": "testedAndGuaranteed", "IHCP-species-dilution-info": "", "IHCP-species-notes": "<p></p>", "WB-species-checked": "testedAndGuaranteed", "WB-species-dilution-info": "1/2000 - 1/10000", "WB-species-notes": "<p></p>", "ICCIF-species-checked": "testedAndGuaranteed", "ICCIF-species-dilution-info": "1/250", "ICCIF-species-notes": "<p></p>", "FlowCytIntra-species-checked": "testedAndGuaranteed", "FlowCytIntra-species-dilution-info": "1/1000", "FlowCytIntra-species-notes": "<p><a href='/products/primary-antibodies/rabbit-igg-monoclonal-epr25a-isotype-control-ab172730'>ab172730</a> - Rabbit monoclonal IgG, is suitable for use as an isotype control with this antibody.</p>" }, "Mouse": { "IHCP-species-checked": "guaranteed", "IHCP-species-dilution-info": "", "IHCP-species-notes": "<p></p>", "WB-species-checked": "guaranteed", "WB-species-dilution-info": "1/2000 - 1/10000", "WB-species-notes": "<p></p>", "ICCIF-species-checked": "guaranteed", "ICCIF-species-dilution-info": "1/250", "ICCIF-species-notes": "<p></p>", "FlowCytIntra-species-checked": "guaranteed", "FlowCytIntra-species-dilution-info": "1/1000", "FlowCytIntra-species-notes": "<p><a href='/products/primary-antibodies/rabbit-igg-monoclonal-epr25a-isotype-control-ab172730'>ab172730</a> - Rabbit monoclonal IgG, is suitable for use as an isotype control with this antibody.</p>" }, "Rat": { "IHCP-species-checked": "predicted", "IHCP-species-dilution-info": "", "IHCP-species-notes": "", "WB-species-checked": "predicted", "WB-species-dilution-info": "", "WB-species-notes": "", "ICCIF-species-checked": "predicted", "ICCIF-species-dilution-info": "", "ICCIF-species-notes": "", "FlowCytIntra-species-checked": "predicted", "FlowCytIntra-species-dilution-info": "", "FlowCytIntra-species-notes": "" } } }

产品详情

Patented technology
Our RabMAb® technology is a patented hybridoma-based technology for making rabbit monoclonal antibodies. For details on our patents, please refer to RabMAb® patents.

What are the advantages of a recombinant monoclonal antibody?
This product is a recombinant monoclonal antibody, which offers several advantages including:

  • - High batch-to-batch consistency and reproducibility
  • - Improved sensitivity and specificity
  • - Long-term security of supply
  • - Animal-free batch production

For more information, read more on recombinant antibodies.

性能和储存信息

形式
Liquid
纯化工艺
Affinity purification Protein A
存储溶液
pH: 7.2 - 7.4 Preservative: 0.01% Sodium azide Constituents: PBS, 50% Glycerol (glycerin, glycerine), 0.05% BSA
运输条件
Blue Ice
推荐的短期储存条件
+4°C
推荐的长期储存条件
-20°C
分装信息
Upon delivery aliquot
储存信息
Avoid freeze / thaw cycle

补充信息

This supplementary information is collated from multiple sources and compiled automatically.

The Nck protein also referred to as Nck1 n c k or Nck is an adaptor protein integral in cell signaling pathways. It consists of a molecular mass around 45 kDa and exists mainly within the cytoplasm. The Nck proteins including Nck1 and its closely related form Nck2 are particularly prominent in cells of the immune and nervous systems. Functionally they facilitate interactions between receptor tyrosine kinases and downstream signaling molecules translating extracellular stimuli into cellular responses.
Biological function summary

The Nck proteins play significant roles in actin cytoskeleton reorganization influencing cell shape movement and adhesion. These proteins often participate as part of larger signaling complexes where they serve as scaffolds bringing together key molecules. Nck proteins directly interact with partners containing SH2 and SH3 domains which are important for various cellular dynamic processes. Their role in cytoskeletal dynamics aligns them with many cellular mechanisms including endocytosis and cell motility.

Pathways

Nck proteins significantly influence the regulation of the actin cytoskeleton pathway and the Rho GTPases pathway. Through these pathways they interact with proteins such as WASP and Rac regulating actin polymerization and cell migration. Nck’s ability to form complex signaling networks positions it as a central actor in transducing signals that affect cell shape and movement. It acts collaboratively with multiple signaling pathways to maintain cellular plasticity and response to extracellular signals.

Nck proteins have associations with cancer and immunological conditions. Alterations in their signaling functions may contribute to tumor progression or metastasis given their role in cell movement and adhesion. In immune disorders abnormal Nck signaling could disrupt normal immune cell functions potentially leading to autoimmune conditions. For example Nck proteins may interact with oncogenic proteins like BCR-ABL in chronic myeloid leukemia highlighting their relevance in disease contexts.

产品实验方案

For this product, it's our understanding that no specific protocols are required. You can visit:

靶点信息

Adapter protein which associates with tyrosine-phosphorylated growth factor receptors, such as KDR and PDGFRB, or their cellular substrates. Maintains low levels of EIF2S1 phosphorylation by promoting its dephosphorylation by PP1. Plays a role in the DNA damage response, not in the detection of the damage by ATM/ATR, but for efficient activation of downstream effectors, such as that of CHEK2. Plays a role in ELK1-dependent transcriptional activation in response to activated Ras signaling. Modulates the activation of EIF2AK2/PKR by dsRNA. May play a role in cell adhesion and migration through interaction with ephrin receptors.
See full target information NCK1

文献 (5)

Recent publications for all applications. Explore the full list and refine your search

Gynecologic oncology 152:387-395 PubMed30442385

2018

NCK1 promotes the angiogenesis of cervical squamous carcinoma via Rac1/PAK1/MMP2 signal pathway.

Applications

Unspecified application

Species

Unspecified reactive species

Pei Xia,Mingchuan Huang,Yuting Zhang,Xiujuan Xiong,Min Yan,Xiaoliang Xiong,Weiwei Yu,Enlin Song

Toxicology letters 300:51-58 PubMed30381256

2018

Aristolochic acid inhibits Slit2-induced migration and tube formation via inactivation of Robo1/Robo2-NCK1/NCK2 signaling pathway in human umbilical vein endothelial cells.

Applications

Unspecified application

Species

Unspecified reactive species

Tao Guan,Ke Huang,Yuanyuan Liu,Shihui Hou,Chengfang Hu,Yi Li,Jingbo Zhang,Jinghong Zhao,Jun Zhang,Rupeng Wang,Yunjian Huang

Nature communications 5:4961 PubMed25247763

2014

Activation of diverse signalling pathways by oncogenic PIK3CA mutations.

Applications

Unspecified application

Species

Unspecified reactive species

Xinyan Wu,Santosh Renuse,Nandini A Sahasrabuddhe,Muhammad Saddiq Zahari,Raghothama Chaerkady,Min-Sik Kim,Raja S Nirujogi,Morassa Mohseni,Praveen Kumar,Rajesh Raju,Jun Zhong,Jian Yang,Johnathan Neiswinger,Jun-Seop Jeong,Robert Newman,Maureen A Powers,Babu Lal Somani,Edward Gabrielson,Saraswati Sukumar,Vered Stearns,Jiang Qian,Heng Zhu,Bert Vogelstein,Ben Ho Park,Akhilesh Pandey

PloS one 8:e56414 PubMed23441190

2013

A remote cis-acting variant at 3q links glomerular NCK1 to diabetic nephropathy.

Applications

WB

Species

Mouse

Bing He,Anne-May Österholm,Juha R M Ojala,Ann-Charlotte Andersson,Karl Tryggvason

The Journal of biological chemistry 287:8194-204 PubMed22267732

2012

Once phosphorylated, tyrosines in carboxyl terminus of protein-tyrosine kinase Syk interact with signaling proteins, including TULA-2, a negative regulator of mast cell degranulation.

Applications

WB

Species

Unspecified reactive species

Rodrigo Orlandini de Castro,Juan Zhang,Jacqueline R Groves,Emilia Alina Barbu,Reuben P Siraganian
View all publications

Abcam Product Promise

我们致力于为您的研究提供高质量的试剂,为您科研的每一步提供支持。若我们的产品未能达到预期性能,我们向您提供 Abcam Product Promise 保障。
详情请参阅我们的条款与条件。

Please note: All products are 'FOR RESEARCH USE ONLY. NOT FOR USE IN DIAGNOSTIC OR THERAPEUTIC PROCEDURES'.

For licensing inquiries, please contact partnerships@abcam.com