JavaScript is disabled in your browser. Please enable JavaScript to view this website.
AB246951

Anti-NAPE-PLD抗体

Anti-NAPE-PLD antibody

Be the first to review this product! Submit a review

|

(2 Publications)

Rabbit Polyclonal NAPE-PLD antibody. Suitable for IHC-P, WB, ICC/IF and reacts with Human samples. Cited in 2 publications. Immunogen corresponding to Recombinant Fragment Protein within Human NAPEPLD aa 100-200.

查看别名

C7orf18, NAPEPLD, N-acyl-phosphatidylethanolamine-hydrolyzing phospholipase D, N-acyl phosphatidylethanolamine phospholipase D, NAPE-PLD, NAPE-hydrolyzing phospholipase D

3 Images
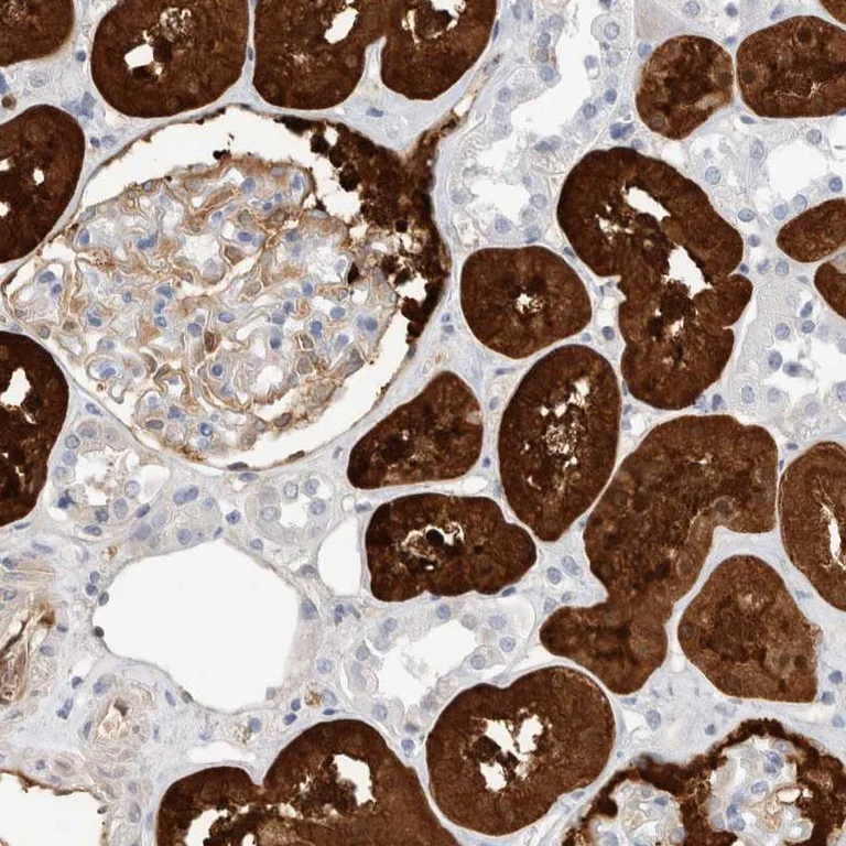
Immunohistochemistry (Formalin/PFA-fixed paraffin-embedded sections) - Anti-NAPE-PLD antibody (AB246951)
  • IHC-P

Supplier Data

Immunohistochemistry (Formalin/PFA-fixed paraffin-embedded sections) - Anti-NAPE-PLD antibody (AB246951)

Paraffin-embedded human kidney tissue stained for NAPE-PLD using ab246951 at 1/50 dilution in immunohistochemical analysis.

Immunocytochemistry/ Immunofluorescence - Anti-NAPE-PLD antibody (AB246951)
  • ICC/IF

Unknown

Immunocytochemistry/ Immunofluorescence - Anti-NAPE-PLD antibody (AB246951)

FA fixed, Triton X-100 permeabilized A431 (Human epidermoid carcinoma cell line) cells labeling NAPE-PLD using ab246951 at 4 μg/ml (green) in ICC/IF.

Western blot - Anti-NAPE-PLD antibody (AB246951)
  • WB

Unknown

Western blot - Anti-NAPE-PLD antibody (AB246951)

All lanes:

Western blot - Anti-NAPE-PLD antibody (ab246951) at 0.4 µg/mL

Lane 1:

RT4 (Human urinary bladder cancer cell line) cell lysate

Lane 2:

U-251 MG (Human brain glioma cell line) cell lysate

Lane 3:

Human plasma (IgG/HSA depleted)

Lane 4:

Human liver tissue lysate

Predicted band size: 46 kDa

false

关键信息

宿主种属

Rabbit

克隆

Polyclonal

亚型

IgG

不含载体蛋白

No

反应种属

Human

应用

IHC-P, ICC/IF, WB

applications

免疫原

Recombinant Fragment Protein within Human NAPEPLD aa 100-200. The exact immunogen used to generate this antibody is proprietary information.

Q6IQ20

反应性数据

{ "title": "Reactivity Data", "filters": { "stats": ["", "Species", "Dilution Info", "Notes"], "tabs": { "all-applications": {"fullname" : "All Applications", "shortname": "All Applications"}, "IHCP" : {"fullname" : "Immunohistochemistry (Formalin/PFA-fixed paraffin-embedded sections)", "shortname":"IHC-P"}, "WB" : {"fullname" : "Western blot", "shortname":"WB"}, "ICCIF" : {"fullname" : "Immunocytochemistry/ Immunofluorescence", "shortname":"ICC/IF"} }, "product-promise": { "all": "all", "testedAndGuaranteed": "tested", "guaranteed": "expected", "predicted": "predicted", "notRecommended": "not-recommended" } }, "values": { "Human": { "IHCP-species-checked": "testedAndGuaranteed", "IHCP-species-dilution-info": "1/50 - 1/200", "IHCP-species-notes": "<p></p> Perform heat-mediated antigen retrieval with citrate buffer pH 6 before commencing with IHC staining protocol.", "WB-species-checked": "testedAndGuaranteed", "WB-species-dilution-info": "0.04-0.4 µg/mL", "WB-species-notes": "<p></p>", "ICCIF-species-checked": "testedAndGuaranteed", "ICCIF-species-dilution-info": "0.25-2 µg/mL", "ICCIF-species-notes": "<p>Fixation/Permeabilization: PFA/Triton X-100.</p>" } } }

性能和储存信息

形式
Liquid
纯化工艺
Affinity purification Immunogen
存储溶液
pH: 7.2 Preservative: 0.02% Sodium azide Constituents: PBS, 40% Glycerol (glycerin, glycerine)
运输条件
Blue Ice
推荐的短期储存时间
1-2 weeks
推荐的短期储存条件
+4°C
推荐的长期储存条件
-20°C
分装信息
Upon delivery aliquot
储存信息
Avoid freeze / thaw cycle

补充信息

This supplementary information is collated from multiple sources and compiled automatically.

NAPE-PLD also known as N-acyl phosphatidylethanolamine phospholipase D is an enzyme with a molecular mass of approximately 46 kDa. It functions in hydrolyzing N-acyl phosphatidylethanolamines (NAPEs) to produce N-acylethanolamines (NAEs) which include bioactive lipids like anandamide. NAPE-PLD is expressed widely in mammalian tissues such as the brain and liver indicating its broad physiological significance.
Biological function summary

NAPE-PLD plays an important role in generating bioactive lipids that act as signaling molecules. This enzyme is not known to be part of a larger protein complex but functions independently to influence lipid-based signaling pathways. By modulating the levels of NAEs it affects various physiological processes including inflammation and neuroprotection.

Pathways

The ability of NAPE-PLD to produce NAEs integrates it into the endocannabinoid signaling pathway a critical route for maintaining homeostasis in the body. It works alongside other enzymes like fatty acid amide hydrolase (FAAH) that break down NAEs. The activity of NAPE-PLD influences cannabinoid receptor activity impacting several pharmacological responses and regulatory mechanisms in the nervous system.

Involvement of NAPE-PLD is significant in conditions such as neurodegenerative diseases and metabolic disorders. Alterations in its activity have been linked to Alzheimer's disease where it affects endocannabinoid levels. The enzyme also connects to obesity-related disorders through its impact on energy balance and lipid metabolism alongside proteins like diacylglycerol lipase which also participate in lipid signaling networks.

产品实验方案

For this product, it's our understanding that no specific protocols are required. You can visit:

靶点信息

D-type phospholipase that hydrolyzes N-acyl-phosphatidylethanolamines (NAPEs) to produce bioactive N-acylethanolamines/fatty acid ethanolamides (NAEs/FAEs) and phosphatidic acid (PubMed : 14634025, PubMed : 16527816, PubMed : 25684574, PubMed : 27571266). Cleaves the terminal phosphodiester bond of diacyl- and alkenylacyl-NAPEs, primarily playing a role in the generation of long-chain saturated and monounsaturated NAEs in the brain (By similarity). May control NAPE homeostasis in dopaminergic neuron membranes and regulate neuron survival, partly through RAC1 activation (By similarity). As a regulator of lipid metabolism in the adipose tissue, mediates the crosstalk between adipocytes, gut microbiota and immune cells to control body temperature and weight. In particular, regulates energy homeostasis by promoting cold-induced brown or beige adipocyte differentiation program to generate heat from fatty acids and glucose. Has limited D-type phospholipase activity toward N-acyl lyso-NAPEs (By similarity).
See full target information NAPEPLD

文献 (2)

Recent publications for all applications. Explore the full list and refine your search

World journal of gastrointestinal oncology 16:1006-1018 PubMed38577450

2024

Ubiquitin-specific protease 21 promotes tumorigenicity and stemness of colorectal cancer by deubiquitinating and stabilizing ZEB1.

Applications

Unspecified application

Species

Unspecified reactive species

Jun-Jun Lin,Ye-Cai Lu

Frontiers in cellular neuroscience 16:902278 PubMed36003139

2022

-acylethanolamide metabolizing enzymes are upregulated in human neural progenitor-derived neurons exposed to sub-lethal oxidative stress.

Applications

Unspecified application

Species

Unspecified reactive species

R Scott Duncan,Sean M Riordan,Conner W Hall,Andrew J Payne,Kent D Chapman,Peter Koulen
View all publications

Abcam Product Promise

我们致力于为您的研究提供高质量的试剂,为您科研的每一步提供支持。若我们的产品未能达到预期性能,我们向您提供 Abcam Product Promise 保障。
详情请参阅我们的条款与条件。

Please note: All products are 'FOR RESEARCH USE ONLY. NOT FOR USE IN DIAGNOSTIC OR THERAPEUTIC PROCEDURES'.

For licensing inquiries, please contact partnerships@abcam.com