JavaScript is disabled in your browser. Please enable JavaScript to view this website.
AB249661

重组Anti-NADSYN1抗体[EPR10611] - BSA and Azide free

Anti-NADSYN1 antibody [EPR10611] - BSA and Azide free

Be the first to review this product! Submit a review

|

(0 Publication)

Rabbit Recombinant Monoclonal NADSYN1 antibody. Carrier free. Suitable for IHC-P, ICC/IF, WB, Flow Cyt (Intra) and reacts with Human samples.

查看别名

Glutamine-dependent NAD(+) synthetase, NAD(+) synthase [glutamine-hydrolyzing], NAD(+) synthetase, NADSYN1

5 Images
Flow Cytometry (Intracellular) - Anti-NADSYN1 antibody [EPR10611] - BSA and Azide free (AB249661)
  • Flow Cyt (Intra)

Supplier Data

Flow Cytometry (Intracellular) - Anti-NADSYN1 antibody [EPR10611] - BSA and Azide free (AB249661)

This data was developed using ab171942, the same antibody clone in a different buffer formulation.

Intracellular flow cytometric analysis of permeabilized HeLa cells labeling NADSYN1 with ab171942 at 1/100 dilution (red) ocompared with a Rabbit IgG (negative) (green).

Immunocytochemistry/ Immunofluorescence - Anti-NADSYN1 antibody [EPR10611] - BSA and Azide free (AB249661)
  • ICC/IF

Supplier Data

Immunocytochemistry/ Immunofluorescence - Anti-NADSYN1 antibody [EPR10611] - BSA and Azide free (AB249661)

This data was developed using ab171942, the same antibody clone in a different buffer formulation.

Immunofluorescent analysis of HeLa cells labeling NADSYN1 with ab171942 at 1/50 dilution.

Immunohistochemistry (Formalin/PFA-fixed paraffin-embedded sections) - Anti-NADSYN1 antibody [EPR10611] - BSA and Azide free (AB249661)
  • IHC-P

Supplier Data

Immunohistochemistry (Formalin/PFA-fixed paraffin-embedded sections) - Anti-NADSYN1 antibody [EPR10611] - BSA and Azide free (AB249661)

This data was developed using ab171942, the same antibody clone in a different buffer formulation.

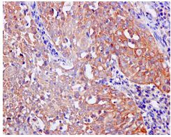
Immunohistochemical analysis of paraffin-embedded Human cervical carcinoma tissue labeling NADSYN1 with ab171942 at 1/50 dilution.

Perform heat mediated antigen retrieval with citrate buffer pH 6 before commencing with IHC staining protocol.

Immunohistochemistry (Formalin/PFA-fixed paraffin-embedded sections) - Anti-NADSYN1 antibody [EPR10611] - BSA and Azide free (AB249661)
  • IHC-P

Supplier Data

Immunohistochemistry (Formalin/PFA-fixed paraffin-embedded sections) - Anti-NADSYN1 antibody [EPR10611] - BSA and Azide free (AB249661)

This data was developed using ab171942, the same antibody clone in a different buffer formulation.

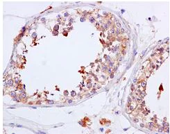
Immunohistochemical analysis of paraffin-embedded Human testis tissue labeling NADSYN1 with ab171942 at 1/50 dilution.

Perform heat mediated antigen retrieval with citrate buffer pH 6 before commencing with IHC staining protocol.

Western blot - Anti-NADSYN1 antibody [EPR10611] - BSA and Azide free (AB249661)
  • WB

Supplier Data

Western blot - Anti-NADSYN1 antibody [EPR10611] - BSA and Azide free (AB249661)

This data was developed using ab171942, the same antibody clone in a different buffer formulation.

All lanes:

Western blot - Anti-NADSYN1 antibody [EPR10611] (<a href='/products/primary-antibodies/nadsyn1-antibody-epr10611-ab171942'>ab171942</a>) at 1/1000 dilution

Lane 1:

HeLa cell lysate at 10 µg

Lane 2:

293T cell lysate at 10 µg

Predicted band size: 79 kDa

false

不同偶联物与剂型 (1)

关键信息

宿主种属

Rabbit

克隆

Monoclonal

克隆号

EPR10611

亚型

IgG

不含载体蛋白

Yes

反应种属

Human

应用

IHC-P, WB, ICC/IF, Flow Cyt (Intra)

applications

免疫原

The exact immunogen used to generate this antibody is proprietary information.

反应性数据

{ "title": "Reactivity Data", "filters": { "stats": ["", "Species", "Dilution Info", "Notes"], "tabs": { "all-applications": {"fullname" : "All Applications", "shortname": "All Applications"}, "IHCP" : {"fullname" : "Immunohistochemistry (Formalin/PFA-fixed paraffin-embedded sections)", "shortname":"IHC-P"}, "ICCIF" : {"fullname" : "Immunocytochemistry/ Immunofluorescence", "shortname":"ICC/IF"}, "IP" : {"fullname" : "Immunoprecipitation", "shortname":"IP"}, "WB" : {"fullname" : "Western blot", "shortname":"WB"}, "FlowCytIntra" : {"fullname" : "Flow Cytometry (Intracellular)", "shortname":"Flow Cyt (Intra)"} }, "product-promise": { "all": "all", "testedAndGuaranteed": "tested", "guaranteed": "expected", "predicted": "predicted", "notRecommended": "not-recommended" } }, "values": { "Human": { "IHCP-species-checked": "testedAndGuaranteed", "IHCP-species-dilution-info": "", "IHCP-species-notes": "<p></p>", "ICCIF-species-checked": "testedAndGuaranteed", "ICCIF-species-dilution-info": "", "ICCIF-species-notes": "<p></p>", "IP-species-checked": "notRecommended", "IP-species-dilution-info": "", "IP-species-notes": "<p></p>", "WB-species-checked": "testedAndGuaranteed", "WB-species-dilution-info": "", "WB-species-notes": "<p></p>", "FlowCytIntra-species-checked": "testedAndGuaranteed", "FlowCytIntra-species-dilution-info": "", "FlowCytIntra-species-notes": "<p></p>" }, "Mouse": { "IHCP-species-checked": "notRecommended", "IHCP-species-dilution-info": "", "IHCP-species-notes": "<p></p>", "ICCIF-species-checked": "notRecommended", "ICCIF-species-dilution-info": "", "ICCIF-species-notes": "<p></p>", "IP-species-checked": "notRecommended", "IP-species-dilution-info": "", "IP-species-notes": "<p></p>", "WB-species-checked": "notRecommended", "WB-species-dilution-info": "", "WB-species-notes": "<p></p>", "FlowCytIntra-species-checked": "notRecommended", "FlowCytIntra-species-dilution-info": "", "FlowCytIntra-species-notes": "<p></p>" }, "Rat": { "IHCP-species-checked": "notRecommended", "IHCP-species-dilution-info": "", "IHCP-species-notes": "<p></p>", "ICCIF-species-checked": "notRecommended", "ICCIF-species-dilution-info": "", "ICCIF-species-notes": "<p></p>", "IP-species-checked": "notRecommended", "IP-species-dilution-info": "", "IP-species-notes": "<p></p>", "WB-species-checked": "notRecommended", "WB-species-dilution-info": "", "WB-species-notes": "<p></p>", "FlowCytIntra-species-checked": "notRecommended", "FlowCytIntra-species-dilution-info": "", "FlowCytIntra-species-notes": "<p></p>" } } }

您可能对以下产品感兴趣:

AB284572

Glutamine Synthetase Activity Assay Kit (Colorimetric)

0

0 Reviews

查看产品
为什么推荐这个?

我们推荐这个产品,因为它经常被用于相同的实验或相关的研究。

我们建议您务必查阅产品说明书,以确认其是否符合您的实验需求;若有疑问,也可联系我们的技术团队获取协助。

产品详情

性能和储存信息

形式
Liquid
纯化工艺
Affinity purification Protein A
存储溶液
pH: 7.2 - 7.4 Constituents: PBS
运输条件
Blue Ice
推荐的短期储存条件
+4°C
推荐的长期储存条件
+4°C
储存信息
Do Not Freeze

补充信息

This supplementary information is collated from multiple sources and compiled automatically.

NADSYN1 also known as NAD synthetase 1 catalyzes the formation of nicotinamide adenine dinucleotide (NAD) from nicotinic acid adenine dinucleotide (NaAD) and ammonium. The protein plays a critical role in NAD biosynthesis. NADSYN1 has a molecular mass of approximately 66 kDa and it is mostly expressed in the liver kidney and brain. These sites of expression highlight its importance in various tissue types where energy metabolism and cell signaling are important.
Biological function summary

NADSYN1 facilitates the production of NAD an important molecule in several metabolic processes. NAD is a coenzyme that is involved in redox reactions transferring electrons from one reaction to another. NADSYN1 functions as a monomer though it participates in larger biochemical pathways rather than forming a complex itself. Its activity ensures the availability of NAD which is necessary for efficient energy production and cellular functions.

Pathways

Its activity impacts the central NAD biosynthesis pathway. Nicotinamide adenine dinucleotide is essential in glycolysis and the citric acid cycle which are important for energy production in cells. NADSYN1 activity influences these pathways and it maintains cellular energy homeostasis. Alongside its involvement in NAD biosynthesis it has indirect relations with proteins like NAMPT in the salvage pathway of NAD synthesis as both serve the function of replenishing cellular NAD levels.

Abnormalities in NADSYN1 function can lead to metabolic disorders including congenital NAD deficiency disorders. Such disruptions can impact energy metabolism and lead to neurological and developmental issues. The dysfunction of NADSYN1 linked with oxidative stress disorders relates to its role in maintaining NAD levels which manage cellular redox states. The protein is essential in preventing energy deficits and minimizing the risk of disorders related to impaired NAD metabolism.

产品实验方案

For this product, it's our understanding that no specific protocols are required. You can visit:

靶点信息

Catalyzes the final step of the nicotinamide adenine dinucleotide (NAD) de novo synthesis pathway, the ATP-dependent amidation of deamido-NAD using L-glutamine as a nitrogen source.
See full target information NADSYN1

Abcam Product Promise

我们致力于为您的研究提供高质量的试剂,为您科研的每一步提供支持。若我们的产品未能达到预期性能,我们向您提供 Abcam Product Promise 保障。
详情请参阅我们的条款与条件。

Please note: All products are 'FOR RESEARCH USE ONLY. NOT FOR USE IN DIAGNOSTIC OR THERAPEUTIC PROCEDURES'.

For licensing inquiries, please contact partnerships@abcam.com