JavaScript is disabled in your browser. Please enable JavaScript to view this website.
AB321897

Anti-N Cadherin antibody [EPR29626-10]

Anti-N Cadherin antibody [EPR29626-10]

  • 20ul selling size
  • Recombinant
  • RabMAb
  • KO Validated
  • 了解详情

Be the first to review this product! Submit a review

|

(0 Publication)

Knockout Tested Rabbit Recombinant Monoclonal N Cadherin antibody. Suitable for I-ELISA, ICC/IF, WB and reacts with Recombinant fragment - Human, Human, Mouse samples.

查看别名

CD325, CDHN, NCAD, CDH2, Cadherin-2, CDw325, Neural cadherin, N-cadherin

5 Images
Immunocytochemistry/ Immunofluorescence - Anti-N Cadherin antibody [EPR29626-10] (AB321897)
  • ICC/IF

Supplier Data

Immunocytochemistry/ Immunofluorescence - Anti-N Cadherin antibody [EPR29626-10] (AB321897)

Immunofluorescent analysis of 4% Paraformaldehyde-fixed 0.1% Tween-20 permeabilized CDH2 KO HEK-293T (CDH2 knockout human embryonic kidney epithelial cell) ab255377 cells labelling N Cadherin with ab321897 at 1/50 (9.82 ug/ml) dilution followed by ab150081 Goat Anti-Rabbit IgG H&L (Alexa Fluor® 488) preadsorbed antibody at 1/1000 2 ug/ml dilution (Green).

Confocal image showing membranous staining in wildtype HEK-293T cells showing no staining in CDH2 knockout HEK-293T cells(shown in green). The counterstain was observed in magenta. Nuclear DNA was labelled with DAPI (shown in blue). Image was taken with a confocal microscope (Leica-Microsystems TCS SP8).

ab195889 Anti-alpha Tubulin mouse monoclonal antibody - Microtubule Marker (Alexa Fluor® 594) was used to counterstain tubulin at 1/200 2.5ug/ml dilution (Magenta). The Nuclear counterstain was DAPI (Blue).

Secondary antibody only control : Secondary antibody is ab150081 Goat Anti-Rabbit IgG H&L (Alexa Fluor® 488) preadsorbed at 1/1000 2 ug/ml dilution.

Immunocytochemistry/ Immunofluorescence - Anti-N Cadherin antibody [EPR29626-10] (AB321897)
  • ICC/IF

Supplier Data

Immunocytochemistry/ Immunofluorescence - Anti-N Cadherin antibody [EPR29626-10] (AB321897)

Immunofluorescent analysis of 4% Paraformaldehyde-fixed 0.1% Tween-20 permeabilized A549 (human lung carcinoma epithelial cell) cells labelling N Cadherin with ab321897 at 1/50 (9.82 ug/ml) dilution followed by ab150081 Goat Anti-Rabbit IgG H&L (Alexa Fluor® 488) preadsorbed antibody at 1/1000 2 ug/ml dilution (Green).

Confocal image showing membranous and weak cytoplasmic staining in A549 cells (shown in green). The counterstain was observed in magenta. Nuclear DNA was labelled with DAPI (shown in blue).
Negative control : MCF7(PMID : 9177902).
Image was taken with a confocal microscope (Leica-Microsystems TCS SP8).

ab195889 Anti-alpha Tubulin mouse monoclonal antibody - Microtubule Marker (Alexa Fluor® 594) was used to counterstain tubulin at 1/200 2.5ug/ml dilution (Magenta). The Nuclear counterstain was DAPI (Blue).

Secondary antibody only control : Secondary antibody is ab150081 Goat Anti-Rabbit IgG H&L (Alexa Fluor® 488) preadsorbed at 1/1000 2 ug/ml dilution.

Immunocytochemistry/ Immunofluorescence - Anti-N Cadherin antibody [EPR29626-10] (AB321897)
  • ICC/IF

Supplier Data

Immunocytochemistry/ Immunofluorescence - Anti-N Cadherin antibody [EPR29626-10] (AB321897)

Immunofluorescent analysis of 4% Paraformaldehyde-fixed 0.1% Tween-20 permeabilized C2C12 (mouse myoblast) cells labelling N Cadherin with ab321897 at 1/50 (9.82 ug/ml) dilution followed by ab150081 Goat Anti-Rabbit IgG H&L (Alexa Fluor® 488) preadsorbed antibody at 1/1000 2 ug/ml dilution (Green).

Confocal image showing membranous and weak cytoplasmic staining in C2C12 cells (shown in green). The counterstain was observed in magenta. Nuclear DNA was labelled with DAPI (shown in blue).
Low expression : 4T1.
Image was taken with a confocal microscope (Leica-Microsystems TCS SP8).

ab195889 Anti-alpha Tubulin mouse monoclonal antibody - Microtubule Marker (Alexa Fluor® 594) was used to counterstain tubulin at 1/200 2.5ug/ml dilution (Magenta). The Nuclear counterstain was DAPI (Blue).

Secondary antibody only control : Secondary antibody is ab150081 Goat Anti-Rabbit IgG H&L (Alexa Fluor® 488) preadsorbed at 1/1000 2 ug/ml dilution.

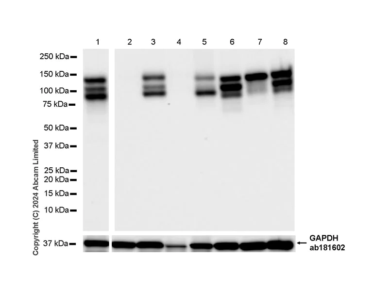
Western blot - Anti-N Cadherin antibody [EPR29626-10] (AB321897)
  • WB

Supplier Data

Western blot - Anti-N Cadherin antibody [EPR29626-10] (AB321897)

Blocking and diluting buffer and concentration : 5% NFDM/TBST.

Negative control : MCF7 (PMID : 9177902).

Low expression : 4T1.

The molecular weight observed is consistent with what has been described in the literature (PMID : 22553038).

In Western blot, Anti-GAPDH antibody [EPR16891] - Loading Control (ab181602) staining at 1/200000 dilution.

All lanes:

Western blot - Anti-N Cadherin antibody [EPR29626-10] (ab321897) at 1/1000 dilution

Lane 1:

293T (human embryonic kidney epithelial cell) whole cell lysate at 20 µg

Lane 2:

MCF7 (human breast adenocarcinoma epithelial cell) whole cell lysate at 20 µg

Lane 3:

C2C12 (mouse myoblast) whole cell lysate at 20 µg

Lane 4:

4T1 (mouse mammary gland carcinoma epithelial cell) whole cell lysate at 20 µg

Lane 5:

A549 (human lung carcinoma epithelial cell) whole cell lysate at 20 µg

Lane 6:

Human cerebellum tissue lysate at 20 µg

Lane 7:

Mouse cerebellum tissue lysate at 20 µg

Lane 8:

Mouse brain tissue lysate at 20 µg

Secondary

All lanes:

Goat Anti-Rabbit IgG (HRP) with minimal cross-reactivity with human IgG at 1/2000 dilution

Observed band size: 80-130 kDa,36 kDa

false

Exposure time: 6s

Indirect ELISA - Anti-N Cadherin antibody [EPR29626-10] (AB321897)
  • I-ELISA

Supplier Data

Indirect ELISA - Anti-N Cadherin antibody [EPR29626-10] (AB321897)

Indirect ELISA analysis of ab321897 at 1000-0 ng/ml. The Secondary antibody used was Alkaline Phosphatase-conjugated AffiniPure Goat Anti-Rabbit IgG (H+L) at 1 : 2500 dilution.

Antigen : Human Cadherin-2,Human Cadherin-4.

Antigen concentration : 1000 ng/ml

关键信息

宿主种属

Rabbit

克隆

Monoclonal

克隆号

EPR29626-10

亚型

IgG

不含载体蛋白

No

反应种属

Human, Mouse

应用

I-ELISA, ICC/IF, WB

applications

免疫原

The exact immunogen used to generate this antibody is proprietary information.

反应性数据

{ "title": "Reactivity Data", "filters": { "stats": ["", "Species", "Dilution Info", "Notes"], "tabs": { "all-applications": {"fullname" : "All Applications", "shortname": "All Applications"}, "IELISA" : {"fullname" : "Indirect ELISA", "shortname":"I-ELISA"}, "ICCIF" : {"fullname" : "Immunocytochemistry/ Immunofluorescence", "shortname":"ICC/IF"}, "WB" : {"fullname" : "Western blot", "shortname":"WB"} }, "product-promise": { "all": "all", "testedAndGuaranteed": "tested", "guaranteed": "expected", "predicted": "predicted", "notRecommended": "not-recommended" } }, "values": { "Human": { "IELISA-species-checked": "guaranteed", "IELISA-species-dilution-info": "", "IELISA-species-notes": "", "ICCIF-species-checked": "testedAndGuaranteed", "ICCIF-species-dilution-info": "1/50", "ICCIF-species-notes": "<p></p>", "WB-species-checked": "testedAndGuaranteed", "WB-species-dilution-info": "1/1000", "WB-species-notes": "<p></p>" }, "Mouse": { "IELISA-species-checked": "guaranteed", "IELISA-species-dilution-info": "", "IELISA-species-notes": "", "ICCIF-species-checked": "testedAndGuaranteed", "ICCIF-species-dilution-info": "1/50", "ICCIF-species-notes": "<p></p>", "WB-species-checked": "testedAndGuaranteed", "WB-species-dilution-info": "1/1000", "WB-species-notes": "<p></p>" }, "Recombinant fragment - Human": { "IELISA-species-checked": "testedAndGuaranteed", "IELISA-species-dilution-info": "1000 ng/mL", "IELISA-species-notes": "<p></p>", "ICCIF-species-checked": "notRecommended", "ICCIF-species-dilution-info": "", "ICCIF-species-notes": "", "WB-species-checked": "notRecommended", "WB-species-dilution-info": "", "WB-species-notes": "" } } }

您可能对以下产品感兴趣:

AB254512

Human N-Cadherin ELISA Kit

0

0 Reviews

查看产品
为什么推荐这个?

我们推荐这个产品,因为它经常被用于相同的实验或相关的研究。

我们建议您务必查阅产品说明书,以确认其是否符合您的实验需求;若有疑问,也可联系我们的技术团队获取协助。

产品详情

性能和储存信息

形式
Liquid
纯化工艺
Affinity purification Protein A
存储溶液
pH: 7.2 - 7.4 Preservative: 0.01% Sodium azide Constituents: PBS, 40% Glycerol (glycerin, glycerine), 0.05% BSA
运输条件
Blue Ice
推荐的短期储存时间
1-2 weeks
推荐的短期储存条件
+4°C
推荐的长期储存条件
-20°C
分装信息
Upon delivery aliquot
储存信息
Avoid freeze / thaw cycle

补充信息

This supplementary information is collated from multiple sources and compiled automatically.

N-Cadherin also known as CDH2 or neuronal cadherin is a calcium-dependent cell adhesion protein. It is characterized by its role in mediating intercellular connections primarily through its presence on neurons fibroblasts and certain epithelial cells. N-Cadherin has an approximate mass of 130 kDa. The protein is integral in forming homophilic interactions where N-Cadherin molecules on adjacent cells interact to establish robust cell-cell adhesion.
Biological function summary

N-Cadherin significantly influences cell-cell interaction and communication facilitating cellular adhesion and signal transduction. It is a vital component of adherens junctions contributing to tissue morphogenesis and stability. N-Cadherin interacts with other cytoplasmic proteins such as catenins forming a complex essential for linking the actin cytoskeleton to the cell membrane. This interaction affects cellular behaviors including migration and differentiation.

Pathways

N-Cadherin plays a significant role in the neural development and epithelial-to-mesenchymal transition (EMT) pathways important for development and cancer progression. It engages with related proteins such as beta-catenin which helps transduce signals within these pathways. N-Cadherin's interactions within these pathways highlight its role in maintaining multicellular structure and signaling processes important for development and pathogenesis.

N-Cadherin is associated with cancer and heart disease. In cancer particularly in the context of the EMT N-Cadherin facilitates tumor progression and metastasis cooperating with proteins like Twist and Snail to promote these processes. In heart disease alterations in N-Cadherin expression and function can impact cardiac muscle integrity and syncytium highlighting potential interactions with connexin43 to maintain cardiac function. Understanding these associations provides insights into therapeutic targets for these conditions.

产品实验方案

For this product, it's our understanding that no specific protocols are required. You can visit:

靶点信息

Calcium-dependent cell adhesion protein; preferentially mediates homotypic cell-cell adhesion by dimerization with a CDH2 chain from another cell. Cadherins may thus contribute to the sorting of heterogeneous cell types. Acts as a regulator of neural stem cells quiescence by mediating anchorage of neural stem cells to ependymocytes in the adult subependymal zone : upon cleavage by MMP24, CDH2-mediated anchorage is affected, leading to modulate neural stem cell quiescence. Plays a role in cell-to-cell junction formation between pancreatic beta cells and neural crest stem (NCS) cells, promoting the formation of processes by NCS cells (By similarity). Required for proper neurite branching. Required for pre- and postsynaptic organization (By similarity). CDH2 may be involved in neuronal recognition mechanism. In hippocampal neurons, may regulate dendritic spine density.
See full target information CDH2

Abcam Product Promise

我们致力于为您的研究提供高质量的试剂,为您科研的每一步提供支持。若我们的产品未能达到预期性能,我们向您提供 Abcam Product Promise 保障。
详情请参阅我们的条款与条件。

Please note: All products are 'FOR RESEARCH USE ONLY. NOT FOR USE IN DIAGNOSTIC OR THERAPEUTIC PROCEDURES'.

For licensing inquiries, please contact partnerships@abcam.com