JavaScript is disabled in your browser. Please enable JavaScript to view this website.
AB207926

Anti-MYH6 抗体 [3-48 G5C7]

Anti-MYH6 antibody [3-48 G5C7]

Be the first to review this product! Submit a review

|

(17 Publications)

Mouse Monoclonal MYH6 antibody. Suitable for WB, IHC-P and reacts with Human, Mouse, Rat samples. Cited in 17 publications. Immunogen corresponding to Native Full Length Protein corresponding to Human MYH6.

查看别名

MYHCA, MYH6, Myosin-6, Myosin heavy chain 6, MyHC-alpha

4 Images
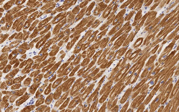
Immunohistochemistry (Formalin/PFA-fixed paraffin-embedded sections) - Anti-MYH6 antibody [3-48 G5C7] (AB207926)
  • IHC-P

Lab

Immunohistochemistry (Formalin/PFA-fixed paraffin-embedded sections) - Anti-MYH6 antibody [3-48 G5C7] (AB207926)

Immunohistochemical analysis of formalin/PFA-fixed paraffin-embedded human heart tissue labeling MYH6 with ab207926 at 1 μg/ml.

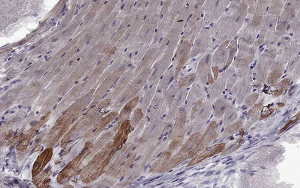
Immunohistochemistry (Formalin/PFA-fixed paraffin-embedded sections) - Anti-MYH6 antibody [3-48 G5C7] (AB207926)
  • IHC-P

Lab

Immunohistochemistry (Formalin/PFA-fixed paraffin-embedded sections) - Anti-MYH6 antibody [3-48 G5C7] (AB207926)

Immunohistochemical analysis of formalin/PFA-fixed paraffin-embedded rat heart tissue labeling MYH6 with ab207926 at 1 μg/ml.

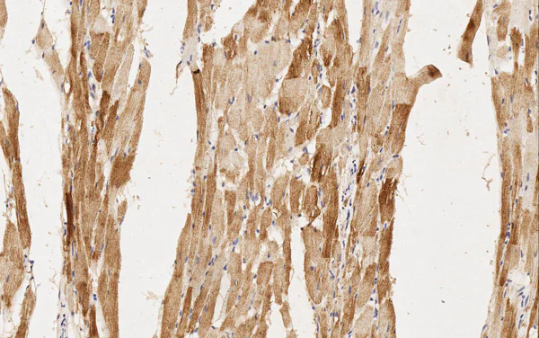
Immunohistochemistry (Formalin/PFA-fixed paraffin-embedded sections) - Anti-MYH6 antibody [3-48 G5C7] (AB207926)
  • IHC-P

Lab

Immunohistochemistry (Formalin/PFA-fixed paraffin-embedded sections) - Anti-MYH6 antibody [3-48 G5C7] (AB207926)

Immunohistochemical analysis of formalin/PFA-fixed paraffin-embedded mouse heart tissue labeling MYH6 with ab207926 at 1 μg/ml.

Western blot - Anti-MYH6 antibody [3-48 G5C7] (AB207926)
  • WB

Lab

Western blot - Anti-MYH6 antibody [3-48 G5C7] (AB207926)

All lanes:

Western blot - Anti-MYH6 antibody [3-48 G5C7] (ab207926) at 1/2000 dilution

Lane 1:

Human fetal heart tissue lysate at 20 µg

Lane 2:

Human fetal heart tissue lysate at 5 µg

Lane 3:

Human adult heart tissue lysate at 20 µg

Lane 4:

Mouse heart tissue lysate at 20 µg

Lane 5:

Rat heart tissue lysate at 20 µg

Lane 6:

Human skeletal muscle tissue lysate at 20 µg

Lane 7:

Mouse skeletal muscle tissue lysate at 20 µg

Lane 8:

Rat skeletal muscle tissue lysate at 20 µg

Lane 9:

Human liver tissue lysate at 20 µg

Predicted band size: 224 kDa

Observed band size: 220 kDa

false

关键信息

宿主种属

Mouse

克隆

Monoclonal

克隆号

3-48 G5C7

亚型

IgG1

轻链类型

kappa

不含载体蛋白

No

反应种属

Mouse, Rat, Human

应用

WB, IHC-P

applications

免疫原

Native Full Length Protein corresponding to Human MYH6.

P13533

特异性

This antibody recognizes alpha and beta type MYH6 fragments (LMM) of cardiac myosin heavy chains. It also reacts with LMM fragments of cardiac myosin and beta heavy chain of slow human skeletal muscle. The antibody does not crossreact with human myosin light chains Specific for: human, rat and mouse; other species not tested but it is expected to also recognize and heavy chain from canine, bovine and rabbit cardiac tissues.

反应性数据

{ "title": "Reactivity Data", "filters": { "stats": ["", "Species", "Dilution Info", "Notes"], "tabs": { "all-applications": {"fullname" : "All Applications", "shortname": "All Applications"}, "WB" : {"fullname" : "Western blot", "shortname":"WB"}, "IHCP" : {"fullname" : "Immunohistochemistry (Formalin/PFA-fixed paraffin-embedded sections)", "shortname":"IHC-P"} }, "product-promise": { "all": "all", "testedAndGuaranteed": "tested", "guaranteed": "expected", "predicted": "predicted", "notRecommended": "not-recommended" } }, "values": { "Human": { "WB-species-checked": "testedAndGuaranteed", "WB-species-dilution-info": "1/2000", "WB-species-notes": "<p></p>", "IHCP-species-checked": "testedAndGuaranteed", "IHCP-species-dilution-info": "1 µg/mL", "IHCP-species-notes": "<p></p>" }, "Mouse": { "WB-species-checked": "guaranteed", "WB-species-dilution-info": "", "WB-species-notes": "", "IHCP-species-checked": "testedAndGuaranteed", "IHCP-species-dilution-info": "1 µg/mL", "IHCP-species-notes": "<p></p>" }, "Rat": { "WB-species-checked": "guaranteed", "WB-species-dilution-info": "", "WB-species-notes": "", "IHCP-species-checked": "testedAndGuaranteed", "IHCP-species-dilution-info": "1 µg/mL", "IHCP-species-notes": "<p></p>" }, "Cow": { "WB-species-checked": "predicted", "WB-species-dilution-info": "", "WB-species-notes": "", "IHCP-species-checked": "predicted", "IHCP-species-dilution-info": "", "IHCP-species-notes": "" }, "Dog": { "WB-species-checked": "predicted", "WB-species-dilution-info": "", "WB-species-notes": "", "IHCP-species-checked": "predicted", "IHCP-species-dilution-info": "", "IHCP-species-notes": "" }, "Pig": { "WB-species-checked": "predicted", "WB-species-dilution-info": "", "WB-species-notes": "", "IHCP-species-checked": "predicted", "IHCP-species-dilution-info": "", "IHCP-species-notes": "" }, "Rabbit": { "WB-species-checked": "predicted", "WB-species-dilution-info": "", "WB-species-notes": "", "IHCP-species-checked": "predicted", "IHCP-species-dilution-info": "", "IHCP-species-notes": "" } } }

产品详情

Molecular weight if IgG: according to SDS-PAGE under mercaptoethanol (reduced conditions) 153.8 kd. Heavy chain: 49.7 kd light chain: 27.2 kd. Molecular weight of F(ab')2: according to SDS-PAGE under mercaptoethanol (reduced conditions) 116 kd. Heavy chain: 30.8 kd light chain: 27.2 kd

性能和储存信息

形式
Liquid
纯化工艺
Affinity purification Protein G
纯化说明
Lyophilized protein G purified in PBS pH7.4 (Full IgG).
运输条件
Blue Ice
推荐的短期储存时间
1-2 weeks
推荐的短期储存条件
+4°C
推荐的长期储存条件
-20°C
分装信息
Upon delivery aliquot
储存信息
Avoid freeze / thaw cycle

产品实验方案

For this product, it's our understanding that no specific protocols are required. You can visit:

靶点信息

Muscle contraction.
See full target information MYH6

文献 (17)

Recent publications for all applications. Explore the full list and refine your search

Nature communications 15:7996 PubMed39266508

2024

Engineered model of heart tissue repair for exploring fibrotic processes and therapeutic interventions.

Applications

Unspecified application

Species

Unspecified reactive species

Pengcheng Yang,Lihang Zhu,Shiya Wang,Jixing Gong,Jonathan Nimal Selvaraj,Lincai Ye,Hanxiao Chen,Yaoyao Zhang,Gongxin Wang,Wanjun Song,Zilong Li,Lin Cai,Hao Zhang,Donghui Zhang

Journal of animal science and biotechnology 15:73 PubMed38824596

2024

Identification of porcine fast/slow myogenic exosomes and their regulatory effects on lipid accumulation in intramuscular adipocytes.

Applications

Unspecified application

Species

Unspecified reactive species

Tiantian Zhao,Tingting Tian,He Yu,Chaoyue Cao,Ziyi Zhang,Zhaozhao He,Zeqiang Ma,Rui Cai,Fengna Li,Weijun Pang

Journal of cachexia, sarcopenia and muscle 15:587-602 PubMed38272853

2024

CREG1 deficiency impaired myoblast differentiation and skeletal muscle regeneration.

Applications

Unspecified application

Species

Unspecified reactive species

Haixu Song,Xiaoxiang Tian,Lianqi He,Dan Liu,Jiayin Li,Zhu Mei,Ting Zhou,Chunying Liu,Jiaqi He,Xiaodong Jia,Zheming Yang,Chenghui Yan,Yaling Han

Scientific reports 13:22201 PubMed38097709

2023

A non-invasive mouse model that recapitulates disuse-induced muscle atrophy in immobilized patients.

Applications

Unspecified application

Species

Unspecified reactive species

Kun-Chang Wu,Hsiang-Wen Lin,Po-Chen Chu,Chia-Ing Li,Hsiang-Han Kao,Chih-Hsueh Lin,Yu-Jung Cheng

iScience 26:108466 PubMed38077137

2023

Robust small molecule-aided cardiac reprogramming systems selective to cardiac fibroblasts.

Applications

Unspecified application

Species

Unspecified reactive species

Yanmeng Tao,Yang Yang,Zhenghao Yang,Lipeng Wang,Shi-Qiang Wang,Yang Zhao

Bioengineered 13:14426-14437 PubMed36694458

2023

Long non-coding RNA lincRNA-erythroid prosurvival attenuates inflammation by enhancing myosin heavy chain 6 stability through recruitment of heterogeneous nuclear ribonucleoprotein L in myocardial infarction.

Applications

Unspecified application

Species

Unspecified reactive species

Huizhen Zhang,Xuejun Kou,Dong Xiao,Zhangjian Yu

Heliyon 8:e12099 PubMed36578425

2022

Qingda granule prevents obesity-induced hypertension and cardiac dysfunction by inhibiting adverse Akt signaling activation.

Applications

Unspecified application

Species

Unspecified reactive species

Qian Gao,En Ma,Jinxiao Chen,Qiqin Zhao,Jia He,Jun Peng,Weidong Zhu,Dan-Ni Ren,Da Wo

American journal of transplantation : official journal of the American Society of Transplantation and the American Society of Transplant Surgeons 22:2180-2194 PubMed35603986

2022

Low-dose IL-2 prevents murine chronic cardiac allograft rejection: Role for IL-2-induced T regulatory cells and exosomes with PD-L1 and CD73.

Applications

Unspecified application

Species

Unspecified reactive species

Ranjithkumar Ravichandran,Yoshihiro Itabashi,Timothy Fleming,Sandhya Bansal,Sara Bowen,Christin Poulson,Ankit Bharat,Ross Bremner,Michael Smith,Thalachallour Mohanakumar

Scientific reports 12:4337 PubMed35288601

2022

Modulation of myosin by cardiac myosin binding protein-C peptides improves cardiac contractility in ex-vivo experimental heart failure models.

Applications

Unspecified application

Species

Unspecified reactive species

Luqia Hou,Mohit Kumar,Priti Anand,Yinhong Chen,Nesrine El-Bizri,Chad J Pickens,W Michael Seganish,Sakthivel Sadayappan,Gayathri Swaminath

Molecular medicine reports 24: PubMed34278478

2021

Interactions between the ERK1/2 signaling pathway and PCAF play a key role in PE‑induced cardiomyocyte hypertrophy.

Applications

Unspecified application

Species

Unspecified reactive species

Qian Mao,Shuqi Wu,Chang Peng,Bohui Peng,Xiaomei Luo,Lixin Huang,Huanting Zhang
View all publications

Abcam Product Promise

我们致力于为您的研究提供高质量的试剂,为您科研的每一步提供支持。若我们的产品未能达到预期性能,我们向您提供 Abcam Product Promise 保障。
详情请参阅我们的条款与条件。

Please note: All products are 'FOR RESEARCH USE ONLY. NOT FOR USE IN DIAGNOSTIC OR THERAPEUTIC PROCEDURES'.

For licensing inquiries, please contact partnerships@abcam.com