JavaScript is disabled in your browser. Please enable JavaScript to view this website.
AB109116

重组Anti-Myeloperoxidase抗体[EPR4792]

Anti-Myeloperoxidase antibody [EPR4792]

Be the first to review this product! Submit a review

|

(6 Publications)

Rabbit Recombinant Monoclonal Myeloperoxidase antibody. Suitable for IHC-P, WB and reacts with Human samples. Cited in 6 publications.

查看别名

Myeloperoxidase, MPO

7 Images
Immunohistochemistry (Formalin/PFA-fixed paraffin-embedded sections) - Anti-Myeloperoxidase antibody [EPR4792] (AB109116)
  • IHC-P

Unknown

Immunohistochemistry (Formalin/PFA-fixed paraffin-embedded sections) - Anti-Myeloperoxidase antibody [EPR4792] (AB109116)

ab109116 at a 1/250 dilution staining Myeloperoxidase in paraffin embedded Human spleen tissue by Immunohistochemistry.

Perform heat mediated antigen retrieval with citrate buffer pH 6 before commencing with IHC staining protocol.

Immunohistochemistry (Formalin/PFA-fixed paraffin-embedded sections) - Anti-Myeloperoxidase antibody [EPR4792] (AB109116)
  • IHC-P

Unknown

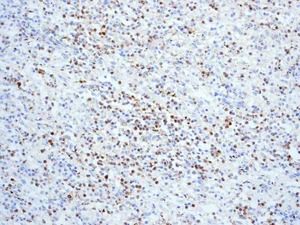
Immunohistochemistry (Formalin/PFA-fixed paraffin-embedded sections) - Anti-Myeloperoxidase antibody [EPR4792] (AB109116)

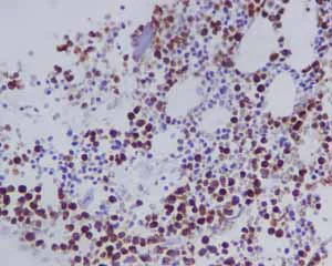
ab109116 showing positive staining in Bone marrow tissue.

Perform heat mediated antigen retrieval with citrate buffer pH 6 before commencing with IHC staining protocol.

Immunohistochemistry (Formalin/PFA-fixed paraffin-embedded sections) - Anti-Myeloperoxidase antibody [EPR4792] (AB109116)
  • IHC-P

Unknown

Immunohistochemistry (Formalin/PFA-fixed paraffin-embedded sections) - Anti-Myeloperoxidase antibody [EPR4792] (AB109116)

ab109116 showing negative staining in Skeletal muscle tissue.

Perform heat mediated antigen retrieval with citrate buffer pH 6 before commencing with IHC staining protocol.

Immunohistochemistry (Formalin/PFA-fixed paraffin-embedded sections) - Anti-Myeloperoxidase antibody [EPR4792] (AB109116)
  • IHC-P

Unknown

Immunohistochemistry (Formalin/PFA-fixed paraffin-embedded sections) - Anti-Myeloperoxidase antibody [EPR4792] (AB109116)

ab109116 showing positive staining in Normal liver tissue.

Perform heat mediated antigen retrieval with citrate buffer pH 6 before commencing with IHC staining protocol.

Immunohistochemistry (Formalin/PFA-fixed paraffin-embedded sections) - Anti-Myeloperoxidase antibody [EPR4792] (AB109116)
  • IHC-P

Unknown

Immunohistochemistry (Formalin/PFA-fixed paraffin-embedded sections) - Anti-Myeloperoxidase antibody [EPR4792] (AB109116)

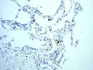
ab109116 at a 1/250 dilution staining Myeloperoxidase in paraffin embedded Human lung tissue by Immunohistochemistry.

Perform heat mediated antigen retrieval with citrate buffer pH 6 before commencing with IHC staining protocol.

Immunohistochemistry (Formalin/PFA-fixed paraffin-embedded sections) - Anti-Myeloperoxidase antibody [EPR4792] (AB109116)
  • IHC-P

Unknown

Immunohistochemistry (Formalin/PFA-fixed paraffin-embedded sections) - Anti-Myeloperoxidase antibody [EPR4792] (AB109116)

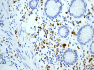
ab109116 at a 1/250 dilution staining Myeloperoxidase in paraffin embedded Human colon tissue by Immunohistochemistry.

Perform heat mediated antigen retrieval with citrate buffer pH 6 before commencing with IHC staining protocol.

Western blot - Anti-Myeloperoxidase antibody [EPR4792] (AB109116)
  • WB

Unknown

Western blot - Anti-Myeloperoxidase antibody [EPR4792] (AB109116)

All lanes:

Western blot - Anti-Myeloperoxidase antibody [EPR4792] (ab109116) at 1/1000 dilution

All lanes:

HL-60 cell lysate at 10 µg

Secondary

All lanes:

HRP labelled goat anti-rabbit at 1/2000 dilution

Predicted band size: 83 kDa

Observed band size: 15 kDa,85-90 kDa

false

不同偶联物与剂型 (1)

  • Carrier free

    Anti-Myeloperoxidase antibody [EPR4792] - BSA and Azide free

关键信息

宿主种属

Rabbit

克隆

Monoclonal

克隆号

EPR4792

亚型

IgG

不含载体蛋白

No

反应种属

Human

应用

WB, IHC-P

applications

免疫原

The exact immunogen used to generate this antibody is proprietary information.

特异性

ab109116 recognizes Myeloperoxidase (85-90 kDa) and its light chain (15 kDa).

反应性数据

{ "title": "Reactivity Data", "filters": { "stats": ["", "Species", "Dilution Info", "Notes"], "tabs": { "all-applications": {"fullname" : "All Applications", "shortname": "All Applications"}, "IHCP" : {"fullname" : "Immunohistochemistry (Formalin/PFA-fixed paraffin-embedded sections)", "shortname":"IHC-P"}, "IP" : {"fullname" : "Immunoprecipitation", "shortname":"IP"}, "FlowCyt" : {"fullname" : "Flow Cytometry", "shortname":"Flow Cyt"}, "WB" : {"fullname" : "Western blot", "shortname":"WB"} }, "product-promise": { "all": "all", "testedAndGuaranteed": "tested", "guaranteed": "expected", "predicted": "predicted", "notRecommended": "not-recommended" } }, "values": { "Human": { "IHCP-species-checked": "testedAndGuaranteed", "IHCP-species-dilution-info": "1/250 - 1/500", "IHCP-species-notes": "<p>Antigen retrieval is recommended.</p>", "IP-species-checked": "notRecommended", "IP-species-dilution-info": "", "IP-species-notes": "<p></p>", "FlowCyt-species-checked": "notRecommended", "FlowCyt-species-dilution-info": "", "FlowCyt-species-notes": "<p></p>", "WB-species-checked": "testedAndGuaranteed", "WB-species-dilution-info": "1/1000 - 1/10000", "WB-species-notes": "<p></p>" } } }

产品详情

Species reactivity
Mouse, Rat: We have preliminary internal testing data to indicate this antibody may not react with these species.
Please contact us for more information.

Patented technology
Our RabMAb® technology is a patented hybridoma-based technology for making rabbit monoclonal antibodies. For details on our patents, please refer to RabMAb® patents.

What are the advantages of a recombinant monoclonal antibody?
This product is a recombinant monoclonal antibody, which offers several advantages including:

  • - High batch-to-batch consistency and reproducibility
  • - Improved sensitivity and specificity
  • - Long-term security of supply
  • - Animal-free batch production

For more information, read more on recombinant antibodies.

性能和储存信息

形式
Liquid
纯化工艺
Affinity purification Protein A
存储溶液
pH: 7.2 - 7.4 Preservative: 0.01% Sodium azide Constituents: PBS, 50% Tissue culture supernatant, 40% Glycerol (glycerin, glycerine), 0.05% BSA
运输条件
Blue Ice
推荐的短期储存条件
+4°C
推荐的长期储存条件
-20°C
储存信息
Stable for 12 months at -20°C

补充信息

This supplementary information is collated from multiple sources and compiled automatically.

Myeloperoxidase also called MPO is an enzyme that plays a critical role in the body's immune response. This protein has a mass of approximately 150 kDa and exists as a dimer composed of heavy and light polypeptide chains. Myeloperoxidase is prominently expressed in neutrophils and monocytes which are types of white blood cells important for combating infections. The enzyme catalyzes the production of hypochlorous acid and other reactive substances by utilizing hydrogen peroxide and chloride ions. These reactive substances help in neutralizing pathogens during the immune response.
Biological function summary

The generation of reactive oxygen species by myeloperoxidase is essential for microbicidal activity. Myeloperoxidase functions as part of the antimicrobial system in the phagosome which is the intracellular compartment where pathogens are degraded. This enzyme works in conjunction with other components of the immune system such as NADPH oxidase. By generating hypochlorous acid MPO contributes to the oxidative burst a rapid release of reactive oxygen species during the response to pathogens.

Pathways

Myeloperoxidase integrates into the immune defense and inflammatory pathways. In particular it is associated with the neutrophil degranulation pathway where it releases its enzymatic contents to fight off microbes. MPO also interacts with proteins involved in oxidative stress processes such as superoxide dismutase which moderates levels of reactive oxygen species in cells. These interactions ensure balance in the immune response preventing excessive tissue damage during inflammation.

Dysregulated MPO activity can contribute to the development of diseases. For instance myeloperoxidase is linked with atherosclerosis a cardiovascular condition where inflammation and oxidative stress lead to plaque formation in the arteries. It also associates with vasculitis an autoimmune disorder causing inflammation of blood vessels. Both disorders can relate to the inflammatory pathways that involve MPO and proteins like C-reactive protein which serves as a marker of inflammation. Understanding MPO's role in these conditions is important for effective therapeutic interventions.

产品实验方案

For this product, it's our understanding that no specific protocols are required. You can visit:

靶点信息

Part of the host defense system of polymorphonuclear leukocytes. It is responsible for microbicidal activity against a wide range of organisms. In the stimulated PMN, MPO catalyzes the production of hypohalous acids, primarily hypochlorous acid in physiologic situations, and other toxic intermediates that greatly enhance PMN microbicidal activity (PubMed : 9922160). Mediates the proteolytic cleavage of alpha-1-microglobulin to form t-alpha-1-microglobulin, which potently inhibits oxidation of low-density lipoprotein particles and limits vascular damage (PubMed : 25698971).
See full target information MPO

文献 (6)

Recent publications for all applications. Explore the full list and refine your search

European journal of immunology 55:e202451298 PubMed39508544

2024

Neutrophil Extracellular Traps Participate in the Pathogenesis of Lupus Through S100A10-Mediated Regulatory T-Cell Differentiation and Functional Abnormalities.

Applications

Unspecified application

Species

Unspecified reactive species

Hua Guo,Qian Liang,Zhonghui Xue,Junling Yang,Pengyu Chen,Juan Ji,Jing Li,Genkai Guo,Haixia Cao,Xiaoqi Sha,Rui Zhao,Chen Dong,Zhifeng Gu

Drug development research 85:e22151 PubMed38349254

2024

Drug upgrade: A complete methodology from old drug to new chemical entities using Nematic Protein Organization Technique.

Applications

Unspecified application

Species

Unspecified reactive species

Judith Eschbach,Alain Wagner,Corinne Beahr,Akkiz Bekel,Anne-Sophie Korganow,Angelique Quartier,Jean-Christophe Peter,Pierre Eftekhari

Biology open 12: PubMed37493409

2023

Neutrophils form extracellular traps in response to Opisthorchis viverrini crude antigens, which are elevated in neutrophils from opisthorchiasis patients with hepatobiliary abnormalities.

Applications

Unspecified application

Species

Unspecified reactive species

Krongkarn Watakulsin,Chalida Chuenchom,Chakrit Thapphan,Tran Duong Thai,Sorutsiri Chareonsudjai,Kiatichai Faksri,Sutas Suttiprapa,Sirikachorn Tangkawatana,Banchob Sripa,Steven W Edwards,Kanin Salao

Cellular and molecular gastroenterology and hepatology 15:1255-1275 PubMed36706918

2023

Gut Microbiota-Derived Glutamine Attenuates Liver Ischemia/Reperfusion Injury via Macrophage Metabolic Reprogramming.

Applications

Unspecified application

Species

Unspecified reactive species

Tianfei Lu,Qing Li,Weiwei Lin,Xianzhe Zhao,Fu Li,Jianmei Ji,Yu Zhang,Ning Xu

Frontiers in immunology 13:926788 PubMed36059509

2022

biofilm phenotypes confined but surviving in neutrophil extracellular traps of varying appearance.

Applications

Unspecified application

Species

Unspecified reactive species

Muthita Khamwong,Supranee Phanthanawiboon,Kanin Salao,Sorujsiri Chareonsudjai

Toxins 6:1244-59 PubMed24691127

2014

Extracellular Hb enhances cardiac toxicity in endotoxemic guinea pigs: protective role of haptoglobin.

Applications

WB, ICC/IF

Species

Guinea pig, Guinea pig

Jin Hyen Baek,Xiaoyuan Zhang,Matthew C Williams,Dominik J Schaer,Paul W Buehler,Felice D'Agnillo
View all publications

Abcam Product Promise

我们致力于为您的研究提供高质量的试剂,为您科研的每一步提供支持。若我们的产品未能达到预期性能,我们向您提供 Abcam Product Promise 保障。
详情请参阅我们的条款与条件。

Please note: All products are 'FOR RESEARCH USE ONLY. NOT FOR USE IN DIAGNOSTIC OR THERAPEUTIC PROCEDURES'.

For licensing inquiries, please contact partnerships@abcam.com