JavaScript is disabled in your browser. Please enable JavaScript to view this website.
AB183320

重组Anti-MUC4抗体[SP241] - C-terminal

Anti-MUC4 antibody [SP241] - C-terminal

Be the first to review this product! Submit a review

|

(2 Publications)

Anti-MUC4 antibody [SP241] - C-terminal (ab183320) is a rabbit monoclonal antibody detecting MUC4 in IHC-P. Suitable for Human.

- Biophysical QC for unrivalled batch-batch consistency

查看别名

Mucin-4, MUC-4, Ascites sialoglycoprotein, Pancreatic adenocarcinoma mucin, Testis mucin, Tracheobronchial mucin, ASGP, MUC4

4 Images
Immunohistochemistry (Formalin/PFA-fixed paraffin-embedded sections) - Anti-MUC4 antibody [SP241] - C-terminal (AB183320)
  • IHC-P

Unknown

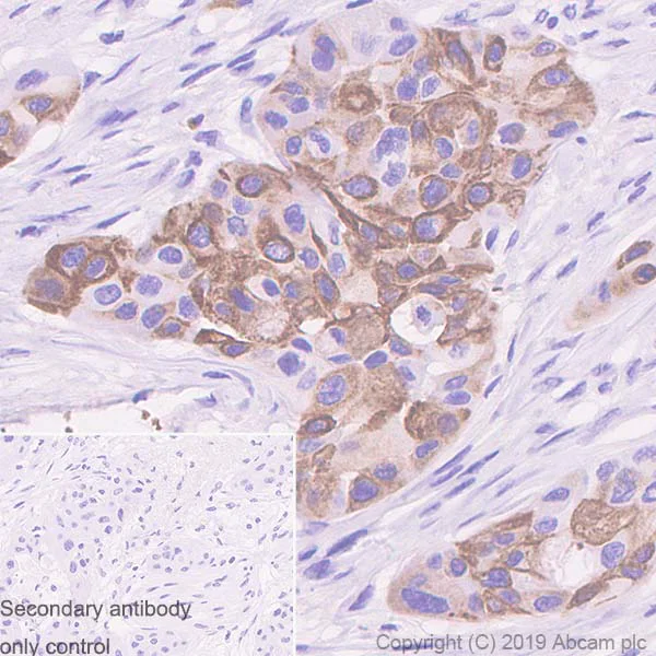
Immunohistochemistry (Formalin/PFA-fixed paraffin-embedded sections) - Anti-MUC4 antibody [SP241] - C-terminal (AB183320)

Immunohistochemistry (Formalin/PFA-fixed paraffin-embedded sections) analysis of Human lung carcinoma tissue sections labeling MUC4 with ab183320 at 1/100 dilution (0.49 µg/ml). Heat mediated antigen retrieval was performed Heat mediated antigen retrieval with sodium citrate buffer (pH 6.0, epitope retrieval solution 1) for 20 mins. Rabbit specific IHC polymer detection kit HRP/DAB (ab209101) was used as the secondary antibody. Negative control : PBS instead of the primary antibody. Hematoxylin was used as a counterstain.

Immunohistochemistry (Formalin/PFA-fixed paraffin-embedded sections) - Anti-MUC4 antibody [SP241] - C-terminal (AB183320)
  • IHC-P

Unknown

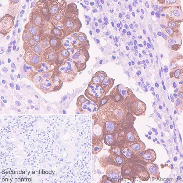
Immunohistochemistry (Formalin/PFA-fixed paraffin-embedded sections) - Anti-MUC4 antibody [SP241] - C-terminal (AB183320)

Immunohistochemistry (Formalin/PFA-fixed paraffin-embedded sections) analysis of Human bladder carcinoma tissue sections labeling MUC4 with ab183320 at 1/100 dilution (0.49 µg/ml). Heat mediated antigen retrieval was performed Heat mediated antigen retrieval with sodium citrate buffer (pH 6.0, epitope retrieval solution 1) for 20 mins. Rabbit specific IHC polymer detection kit HRP/DAB (ab209101) was used as the secondary antibody. Negative control : PBS instead of the primary antibody. Hematoxylin was used as a counterstain.

Immunohistochemistry (Formalin/PFA-fixed paraffin-embedded sections) - Anti-MUC4 antibody [SP241] - C-terminal (AB183320)
  • IHC-P

Supplier Data

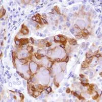
Immunohistochemistry (Formalin/PFA-fixed paraffin-embedded sections) - Anti-MUC4 antibody [SP241] - C-terminal (AB183320)

Immunohistochemical analysis of paraffin-embedded Human lung adenocarcinoma tissue labeling MUC4 with ab183320 at 1/100 dilution.

Immunohistochemistry (Formalin/PFA-fixed paraffin-embedded sections) - Anti-MUC4 antibody [SP241] - C-terminal (AB183320)
  • IHC-P

Unknown

Immunohistochemistry (Formalin/PFA-fixed paraffin-embedded sections) - Anti-MUC4 antibody [SP241] - C-terminal (AB183320)

Immunohistochemistry (Formalin/PFA-fixed paraffin-embedded sections) analysis of Human pancreatic carcinoma tissue sections labeling MUC4 with ab183320 at 1/100 dilution (0.49 µg/ml). Heat mediated antigen retrieval was performed Heat mediated antigen retrieval with sodium citrate buffer (pH 6.0, epitope retrieval solution 1) for 20 mins. Rabbit specific IHC polymer detection kit HRP/DAB (ab209101) was used as the secondary antibody. Negative control : PBS instead of the primary antibody. Hematoxylin was used as a counterstain.

不同偶联物与剂型 (2)

关键信息

宿主种属

Rabbit

克隆

Monoclonal

克隆号

SP241

亚型

IgG

不含载体蛋白

No

反应种属

Human

应用

IHC-P

applications

免疫原

The exact immunogen used to generate this antibody is proprietary information.

反应性数据

{ "title": "Reactivity Data", "filters": { "stats": ["", "Species", "Dilution Info", "Notes"], "tabs": { "all-applications": {"fullname" : "All Applications", "shortname": "All Applications"}, "IHCP" : {"fullname" : "Immunohistochemistry (Formalin/PFA-fixed paraffin-embedded sections)", "shortname":"IHC-P"} }, "product-promise": { "all": "all", "testedAndGuaranteed": "tested", "guaranteed": "expected", "predicted": "predicted", "notRecommended": "not-recommended" } }, "values": { "Human": { "IHCP-species-checked": "testedAndGuaranteed", "IHCP-species-dilution-info": "1/100", "IHCP-species-notes": "<p></p>" } } }

产品详情

What is this antibody validated in?
Anti-MUC4 antibody [SP241] - C-terminal (ab183320) is a rabbit recombinant monoclonal antibody and is validated for use in Immunohistochemistry (IHC-P) in Human samples.

Collaboration
Anti-MUC4 [SP241] - C-terminal (ab183320) is a clone from the portfolio of Spring Bioscience (Roche) SP clones which have been optimised for immunohistochemistry (IHC).

Other related products
We have a range of other formats of antibody clone [SP241] also available for your convenience: ab183320, Carrier free - ab243921, Alexa Fluor® 488 - ab267546, Alexa Fluor® 647 - ab267547, ab279565

What are the advantages of a recombinant monoclonal antibody?
This product is a recombinant monoclonal antibody, which offers several advantages including:

  • - High batch-to-batch consistency and reproducibility
  • - Improved sensitivity and specificity
  • - Long-term security of supply
  • - Animal-free batch production

For more information, read more on recombinant antibodies.

性能和储存信息

形式
Liquid
纯化工艺
Affinity purification Protein A/G
纯化说明
Purified from TCS by protein A/G.
存储溶液
pH: 7.6 Preservative: 0.1% Sodium azide Constituents: PBS, 1% BSA
运输条件
Blue Ice
推荐的短期储存时间
1-2 weeks
推荐的短期储存条件
+4°C
推荐的长期储存条件
-20°C
分装信息
Upon delivery aliquot
储存信息
Avoid freeze / thaw cycle

产品实验方案

For this product, it's our understanding that no specific protocols are required. You can visit:

靶点信息

Membrane-bound mucin, a family of highly glycosylated proteins that constitute the major component of the mucus, the slimy and viscous secretion covering epithelial surfaces (PubMed : 10880978). These glycoproteins play important roles in the protection of the epithelium and are implicated in epithelial renewal and differentiation (PubMed : 10880978). Regulates cellular behavior through both anti-adhesive effects on cell-cell and cell-extracellular matrix interactions and its ability to act as an intramembrane ligand for ERBB2. Plays an important role in proliferation and differentiation of epithelial cells by inducing specific phosphorylation of ERBB2. In polarized epithelial cells, segregates ERBB2 and other ERBB receptors and prevents ERBB2 from acting as a coreceptor. The interaction with ERBB2 leads to enhanced expression of CDKN1B. The formation of a MUC4-ERBB2-ERBB3-NRG1 complex leads to down-regulation of CDKN1B, resulting in repression of apoptosis and stimulation of proliferation. Its ability to promote tumor growth may be mainly due to repression of apoptosis as opposed to proliferation.
See full target information MUC4

文献 (2)

Recent publications for all applications. Explore the full list and refine your search

Advanced science (Weinheim, Baden-Wurttemberg, Germany) 10:e2301240 PubMed37964407

2023

Oncogenic KRAS, Mucin 4, and Activin A-Mediated Fibroblast Activation Cooperate for PanIN Initiation.

Applications

Unspecified application

Species

Unspecified reactive species

Chun-Mei Hu,Chien-Chang Huang,Min-Fen Hsu,Hung-Jen Chien,Pei-Jung Wu,Yi-Ing Chen,Yung-Ming Jeng,Shiue-Cheng Tang,Mei-Hsin Chung,Chia-Ning Shen,Ming-Chu Chang,Yu-Ting Chang,Yu-Wen Tien,Wen-Hwa Lee

International journal of molecular sciences 24: PubMed36674893

2023

Aggression Results in the Phosphorylation of ERK1/2 in the Nucleus Accumbens and the Dephosphorylation of mTOR in the Medial Prefrontal Cortex in Female Syrian Hamsters.

Applications

Unspecified application

Species

Unspecified reactive species

Johnathan M Borland,Desarae A Dempsey,Anna C Peyla,Megan A L Hall,Abigail L Kohut-Jackson,Paul G Mermelstein,Robert L Meisel
View all publications

Abcam Product Promise

我们致力于为您的研究提供高质量的试剂,为您科研的每一步提供支持。若我们的产品未能达到预期性能,我们向您提供 Abcam Product Promise 保障。
详情请参阅我们的条款与条件。

Please note: All products are 'FOR RESEARCH USE ONLY. NOT FOR USE IN DIAGNOSTIC OR THERAPEUTIC PROCEDURES'.

For licensing inquiries, please contact partnerships@abcam.com