JavaScript is disabled in your browser. Please enable JavaScript to view this website.
AB1093

Anti-mTOR (phospho S2448) 抗体

Anti-mTOR (phospho S2448) antibody

Be the first to review this product! Submit a review

|

(25 Publications)

Rabbit Polyclonal MTOR phospho S2448 antibody. Suitable for WB, IHC-P, ELISA and reacts with Human samples. Cited in 25 publications. Immunogen corresponding to Synthetic Peptide within Human MTOR phospho S2448 aa 2400-2500.

查看别名

FRAP, FRAP1, FRAP2, RAFT1, RAPT1, MTOR, Serine/threonine-protein kinase mTOR, FK506-binding protein 12-rapamycin complex-associated protein 1, FKBP12-rapamycin complex-associated protein, Mammalian target of rapamycin, Mechanistic target of rapamycin, Rapamycin and FKBP12 target 1, Rapamycin target protein 1, mTOR

2 Images
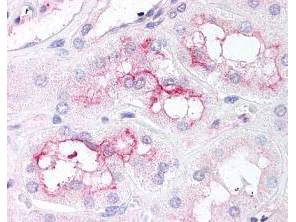
Immunohistochemistry (Formalin/PFA-fixed paraffin-embedded sections) - Anti-mTOR (phospho S2448) antibody (AB1093)
  • IHC-P

Supplier Data

Immunohistochemistry (Formalin/PFA-fixed paraffin-embedded sections) - Anti-mTOR (phospho S2448) antibody (AB1093)

Formalin-fixed, paraffin-embedded human kidney tissue, (proximal convulted tubules), labeling mTOR using ab1093 at 5 μg/ml (red). Counterstain is hematoxylin.

Western blot - Anti-mTOR (phospho S2448) antibody (AB1093)
  • WB

Supplier Data

Western blot - Anti-mTOR (phospho S2448) antibody (AB1093)

All lanes:

Western blot - Anti-mTOR (phospho S2448) antibody (ab1093) at 1/1000 dilution

Lane 1:

24hr serum starved 293T whole cell lysate at 20 µg

Lane 2:

24hr serum starved 293T whole cell lysate, treated with IGF-1 (100 ng/ml) for 20 mins prior to harvest at 20 µg

Secondary

All lanes:

HRP Goat-anti-Rabbit IgG at 1/2000 dilution

Predicted band size: 289 kDa

false

关键信息

宿主种属

Rabbit

克隆

Polyclonal

亚型

IgG

不含载体蛋白

No

反应种属

Human

应用

ELISA, IHC-P, WB

applications

免疫原

Synthetic Peptide within Human MTOR phospho S2448 aa 2400-2500. The exact immunogen used to generate this antibody is proprietary information.

P42345

特异性

Reactivity occurs with phosphorylated mTOR from human derived tissues and cells. Reactivity against mTOR from other species has not been determined, however, reactivity with mouse and rat is suggested based on protein sequence homologies.

反应性数据

{ "title": "Reactivity Data", "filters": { "stats": ["", "Species", "Dilution Info", "Notes"], "tabs": { "all-applications": {"fullname" : "All Applications", "shortname": "All Applications"}, "WB" : {"fullname" : "Western blot", "shortname":"WB"}, "IHCP" : {"fullname" : "Immunohistochemistry (Formalin/PFA-fixed paraffin-embedded sections)", "shortname":"IHC-P"}, "ELISA" : {"fullname" : "ELISA", "shortname":"ELISA"} }, "product-promise": { "all": "all", "testedAndGuaranteed": "tested", "guaranteed": "expected", "predicted": "predicted", "notRecommended": "not-recommended" } }, "values": { "Human": { "WB-species-checked": "testedAndGuaranteed", "WB-species-dilution-info": "1/1000", "WB-species-notes": "<p></p>", "IHCP-species-checked": "testedAndGuaranteed", "IHCP-species-dilution-info": "5 µg/mL", "IHCP-species-notes": "<p></p>", "ELISA-species-checked": "guaranteed", "ELISA-species-dilution-info": "1/10000 - 1/100000", "ELISA-species-notes": "<p></p>" } } }

性能和储存信息

形式
Liquid
纯化工艺
Affinity purification Immunogen
纯化说明
This is an affinity purified antibody produced by immunoaffinity chromatography using the immunizing peptide after immobilization to a solid phase.
存储溶液
pH: 7.2 Preservative: 0.01% Sodium azide Constituents: 0.88% Sodium chloride, 0.424% Potassium phosphate solution
运输条件
Blue Ice
推荐的短期储存条件
+4°C
推荐的长期储存条件
-20°C
分装信息
Upon delivery aliquot
储存信息
Avoid freeze / thaw cycle

补充信息

This supplementary information is collated from multiple sources and compiled automatically.

The mammalian target of rapamycin commonly known as mTOR is a serine/threonine kinase known for its role in cellular growth and metabolism. It has a molecular weight of approximately 289 kDa. mTOR is expressed in various tissues throughout the body including muscle adipose tissue and the brain. The protein functions as a central regulator of cell proliferation protein synthesis and nutrient signaling. Often researchers utilize mTOR ELISA or mTOR western blot (mTOR WB) methods and mTOR antibodies to study its expression and activity in various biological contexts.
Biological function summary

MTOR integrates signals from nutrients growth factors and cellular energy status to maintain cellular homeostasis. It forms part of two distinct complexes mTORC1 and mTORC2 which differ in their component proteins and downstream effects. mTORC1 primarily responds to amino acids and regulates protein synthesis through phosphorylation of key substrates like S6K1. On the other hand mTORC2 is important for maintaining cytoskeletal integrity and cell survival highlighting the protein's importance in diverse cellular processes.

Pathways

MTOR plays a pivotal role in the PI3K/AKT/mTOR pathway which governs cell growth proliferation and survival. It also has implications in the regulation of the AMPK pathway which senses cellular energy levels. Through these pathways mTOR interacts with proteins such as AKT and TSC2. The phospho-mTOR specifically the S2448 phospho-mTOR serves as an important functional marker in these signaling cascades linking extracellular signals to downstream cellular responses.

MTOR has connections to cancer and neurodegenerative diseases. Its dysregulation often leads to uncontrolled cellular proliferation a hallmark of many cancers. Conditions such as tuberous sclerosis can occur due to mutations in proteins like TSC1 and TSC2 that regulate mTOR activity. In Alzheimer's disease mTOR's role in autophagy and protein synthesis becomes significant as imbalance may contribute to disease progression. Understanding these connections highlights the potential of targeting mTOR pathways therapeutically.

产品实验方案

For this product, it's our understanding that no specific protocols are required. You can visit:

靶点信息

The protein expressed by the MTOR gene is a serine/threonine protein kinase that serves as a central regulator of cellular metabolism, growth, and survival in response to various signals, such as hormones and nutrients. MTOR operates within two distinct signaling complexes, mTORC1 and mTORC2. mTORC1 is activated to upregulate protein synthesis by phosphorylating regulators of mRNA translation and ribosome synthesis, and phosphorylates and activates proteins like RPS6KB1 and RPS6KB2 to promote protein synthesis. It controls MiT/TFE factors TFEB and TFE3 by mediating their retention and inactivation under nutrient-rich conditions, and it inhibits autophagy by phosphorylating DAP and RUBCNL/Pacer. Additionally, mTORC1 engages in feedback control on growth factor signaling and may influence microtubules through CLIP1 phosphorylation. The mTORC2 complex may regulate cellular processes, including survival and cytoskeletal organization, by phosphorylating AKT1 and regulating the actin cytoskeleton via PRKCA, PXN, and Rho-type guanine nucleotide exchange factors. It also regulates the phosphorylation of SGK1. This supplementary information is collated from multiple sources and compiled automatically.
See full target information MTOR phospho S2448

文献 (25)

Recent publications for all applications. Explore the full list and refine your search

Stem cell research & therapy 16:218 PubMed40312745

2025

Puerarin relives inflammation, bone destruction and facilitates osteogenic differentiation in periodontitis by enhancing mitochondrial autophagy via activating mitochondrial Mitofusin 2.

Applications

Unspecified application

Species

Unspecified reactive species

Yulan Xiang,Zelu Li,Xin He,Xiaoyang Chu,Chunyan Gao,Jiahao Guo,Yingyi Luan,Kai Yang,Dongliang Zhang

Acta biochimica Polonica 69:417-422 PubMed35696596

2022

USP18 contributes to the proliferation and migration of ovarian cancer cells by regulating the AKT/mTOR signaling pathway.

Applications

Unspecified application

Species

Unspecified reactive species

Meiqin Liu,Shile Gao,Xingjun Xu,Lijie Zhang,Bin Xu,Donghui Lu

Bioengineered 13:10047-10060 PubMed35412944

2022

Cleavage stimulation factor 2 promotes malignant progression of liver hepatocellular carcinoma by activating phosphatidylinositol 3'-kinase/protein kinase B/mammalian target of rapamycin pathway.

Applications

Unspecified application

Species

Unspecified reactive species

Meng-Hui Zhang,Jun Liu

Allergologia et immunopathologia 50:96-103 PubMed35257552

2022

Ubiquitin-specific protease 8 inhibits lipopolysaccharide-triggered pyroptosis of human bronchial epithelial cells by regulating PI3K/AKT and NF-κB pathways.

Applications

Unspecified application

Species

Unspecified reactive species

Lu Liu,Liting Huan,Yu Zhang,Wei Wei,Zhihai Chen,Di Xu,Xiufeng Huang,Yaoxi Tan,Hongxing Li

General physiology and biophysics 40:245-252 PubMed34100380

2021

Tripartite motif containing 28 (TRIM28) promotes the growth and migration of endometrial carcinoma cells by regulating the AKT/mTOR signaling pathway.

Applications

Unspecified application

Species

Unspecified reactive species

Yue Chen,Haiyan Cheng,Heming Long

International journal of medical sciences 18:2814-2827 PubMed34220309

2021

Abnormal proinflammatory and stressor environmental with increased the regulatory cellular IGF-1/PAPP-A/STC and Wnt-1/β-Catenin canonical pathway in placenta of women with Chronic venous Disease during Pregnancy.

Applications

Unspecified application

Species

Unspecified reactive species

Miguel A Ortega,Oscar Fraile-Martínez,Miguel A Saez,Miguel A Álvarez-Mon,Ana M Gómez-Lahoz,Coral Bravo,Juan A De León Luis,Felipe Sainz,Santiago Coca,Ángel Asúnsolo,Jorge Monserrat,Luis G Guijarro,Melchor Álvarez-Mon,Julia Bujan,Natalio García-Honduvilla

Cardiovascular research 117:780-791 PubMed32077934

2020

Identification of an amino-terminus determinant critical for ryanodine receptor/Ca2+ release channel function.

Applications

Unspecified application

Species

Unspecified reactive species

Monika Seidel,Camille Rabesahala de Meritens,Louisa Johnson,Dimitris Parthimos,Mark Bannister,Nia Lowri Thomas,Esizaze Ozekhome-Mike,Francis Anthony Lai,Spyros Zissimopoulos

Cardiovascular diagnosis and therapy 9:535-544 PubMed32038943

2020

MiR-216a accelerates proliferation and fibrogenesis via targeting PTEN and SMAD7 in human cardiac fibroblasts.

Applications

Unspecified application

Species

Unspecified reactive species

Jinsong Tao,Jingyi Wang,Chunyu Li,Weiwei Wang,Hao Yu,Jinhui Liu,Xiangqing Kong,Yan Chen

Oncology reports 42:2169-2178 PubMed31432154

2019

EMX2 is epigenetically silenced and suppresses epithelial‑mesenchymal transition in human esophageal adenocarcinoma.

Applications

Unspecified application

Species

Unspecified reactive species

Lei Wang,Joy Jin,Yong Zhou,Ziqiang Tian,Biao He,Yueyan Huang,Feng Ding

Frontiers in neuroscience 13:769 PubMed31440123

2019

Therapeutic Effect of Modulating TREM-1 via Anti-inflammation and Autophagy in Parkinson's Disease.

Applications

Unspecified application

Species

Unspecified reactive species

Chien-Wei Feng,Nan-Fu Chen,Chun-Sung Sung,Hsiao-Mei Kuo,San-Nan Yang,Chien-Liang Chen,Han-Chun Hung,Bing-Hung Chen,Zhi-Hong Wen,Wu-Fu Chen
View all publications

Abcam Product Promise

我们致力于为您的研究提供高质量的试剂,为您科研的每一步提供支持。若我们的产品未能达到预期性能,我们向您提供 Abcam Product Promise 保障。
详情请参阅我们的条款与条件。

Please note: All products are 'FOR RESEARCH USE ONLY. NOT FOR USE IN DIAGNOSTIC OR THERAPEUTIC PROCEDURES'.

For licensing inquiries, please contact partnerships@abcam.com