JavaScript is disabled in your browser. Please enable JavaScript to view this website.
AB197028

重组Anti-MTH1抗体[EPR15934]

Anti-MTH1 antibody [EPR15934]

Be the first to review this product! Submit a review

|

(4 Publications)

Rabbit Recombinant Monoclonal MTH1 antibody. Suitable for WB, ICC/IF, Flow Cyt (Intra), IHC-P and reacts with Human samples. Cited in 4 publications.

查看别名

MTH1, NUDT1, Oxidized purine nucleoside triphosphate hydrolase, 2-hydroxy-dATP diphosphatase, 8-oxo-dGTPase, Methylated purine nucleoside triphosphate hydrolase, Nucleoside diphosphate-linked moiety X motif 1, Nudix motif 1

6 Images
Western blot - Anti-MTH1 antibody [EPR15934] (AB197028)
  • WB

Lab

Western blot - Anti-MTH1 antibody [EPR15934] (AB197028)

Lanes 1- 4 : Merged signal (red and green). Green - ab197028 observed at 18 kDa. Red - Anti-GAPDH antibody [6C5] - Loading Control (ab8245) observed at 37 kDa.

ab197028 was shown to react with MTH1 in wild-type HEK-293T cells in western blot. Loss of signal was observed when knockout cell line ab266400 (knockout cell lysate ab257565) was used. Wild-type HEK-293T and NUDT1 knockout HEK-293T cell lysates were subjected to SDS-PAGE. Membrane was blocked for 1 hour at room temperature in 0.1% TBST with 3% non-fat dried milk. ab197028 and Anti-GAPDH antibody [6C5] - Loading Control (ab8245) overnight at 4°C at a 1 in 2000 dilution and a 1 in 20000 dilution respectively. Blots were developed with Goat anti-Rabbit IgG H&L (IRDye®800CW) preadsorbed (ab216773) and Goat anti-Mouse IgG H&L (IRDye®680RD) preadsorbed (ab216776) secondary antibodies at 1 in 20000 dilution for 1 hour at room temperature before imaging.

All lanes:

Western blot - Anti-MTH1 antibody [EPR15934] (ab197028) at 1/2000 dilution

Lane 1:

Wild-type HEK-293T cell lysate at 20 µg

Lane 2:

NUDT1 knockout HEK-293T cell lysate at 20 µg

Lane 2:

Western blot - Human NUDT1 (MTH1) knockout HEK-293T cell line (<a href='/products/cell-lines/human-nudt1-mth1-knockout-hek-293t-cell-line-ab266400'>ab266400</a>)

Lane 3:

HAP1 cell lysate at 20 µg

Lane 4:

HeLa cell lysate at 20 µg

Predicted band size: 23 kDa

Observed band size: 18 kDa

false

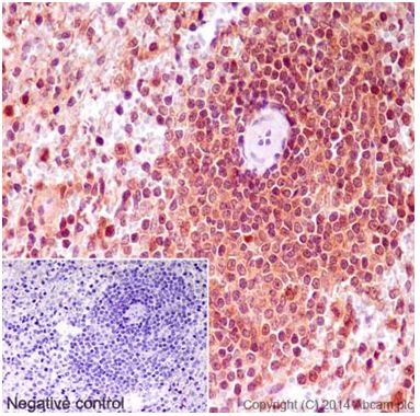
Immunohistochemistry (Formalin/PFA-fixed paraffin-embedded sections) - Anti-MTH1 antibody [EPR15934] (AB197028)
  • IHC-P

Supplier Data

Immunohistochemistry (Formalin/PFA-fixed paraffin-embedded sections) - Anti-MTH1 antibody [EPR15934] (AB197028)

Immunohistochemical analysis of paraffin-embedded Human spleen tissue labeling MTH1 with ab197028 at 1/100 dilution followed by ab97051 Goat Anti-Rabbit IgG H&L (HRP) at 1/500 dilution. Cytoplasm and nuclear staining on Human spleen is observed. Counter stained with Hematoxylin. Negative control : Used PBS instead of primary antibody.

Perform heat mediated antigen retrieval with Tris/EDTA buffer pH 9.0 before commencing with IHC staining protocol.

Immunocytochemistry/ Immunofluorescence - Anti-MTH1 antibody [EPR15934] (AB197028)
  • ICC/IF

Supplier Data

Immunocytochemistry/ Immunofluorescence - Anti-MTH1 antibody [EPR15934] (AB197028)

Immunofluorescent analysis of 4% paraformaldehyde-fixed 0.1% Triton X-100 permeabilized PC-3 cells (Human prostate cancer cell line) labeling MTH1 with ab197028 at 1/250 dilution followed by Goat anti-rabbit IgG (Alexa Fluor® 488) (ab150077) secondary antibody at 1/500 dilution (green). Cytoplasm and nuclear staining on PC-3 cell line is observed. The nuclear counterstain is DAPI (blue). Tubulin is detected with ab7291 (anti-Tubulin mouse mAb) at 1/1000 dilution and ab150120 (AlexaFluor®594 Goat anti-Mouse secondary) at 1/500 dilution (red).
The negative controls are as follows : -
-ve control 1 - ab197028 at 1/250 dilution followed by ab150120 (AlexaFluor®594 Goat anti-Mouse secondary) at 1/500 dilution.
-ve control 2. - ab7291 (anti-Tubulin mouse mAb) at 1/1000 dilution followed by ab150077 (Alexa Fluor®488 Goat Anti-Rabbit IgG H&L) at 1/500 dilution.

Flow Cytometry (Intracellular) - Anti-MTH1 antibody [EPR15934] (AB197028)
  • Flow Cyt (Intra)

Lab

Flow Cytometry (Intracellular) - Anti-MTH1 antibody [EPR15934] (AB197028)

Intracellular Flow Cytometry analysis of PC-3 (human prostate adenocarcinoma)cells labeling MTH1 with purified ab188474 at 1/230 (red). Cells were fixed with 4% paraformaldehyde and permeabilised with 90% methanol. A Goat Anti-Rabbit IgG H&L (Alexa Fluorr® 488) (ab150077) (1/2000 dilution) was used as the secondary antibody. Rabbit IgG, monoclonal [EPR25A] - Isotype Control (ab172730) (Black) was used as the isotype control, cells without incubation with primary antibody and secondary antibody (Blue) were used as the unlabeled control.

Western blot - Anti-MTH1 antibody [EPR15934] (AB197028)
  • WB

Unknown

Western blot - Anti-MTH1 antibody [EPR15934] (AB197028)

The expression profile observed is consistent with what has been described in the literature (PMID : 11296483).The observed band may be isoform p18.

Blocking/dilution buffer : 5% NFDM/TBST.

All lanes:

Western blot - Anti-MTH1 antibody [EPR15934] (ab197028) at 1/2000 dilution

Lane 1:

Jurkat (Human T cell leukemia cells from peripheral blood) whole cell lysate at 20 µg

Lane 2:

A549 (Human lung carcinoma) whole cell lysate at 20 µg

Lane 3:

Human fetal thymus lysate at 20 µg

Secondary

All lanes:

Goat Anti-Rabbit IgG, (H+L), Peroxidase conjugated at 1/1000 dilution

Predicted band size: 23 kDa

Observed band size: 18 kDa

true

Exposure time: 3min

Western blot - Anti-MTH1 antibody [EPR15934] (AB197028)
  • WB

Lab

Western blot - Anti-MTH1 antibody [EPR15934] (AB197028)

Lane 1 : Wild-type HAP1 cell lysate (20 μg)
Lane 2 : MTH1 knockout HAP1 cell lysate (20 μg)
Lane 3 : Jurkat cell lysate(20 μg)
Lane 4 : A549 cell lysate (20 μg)
Lanes 1 - 4 : Merged signal (red and green). Green - ab197028 observed at 18 kDa. Red - loading control, ab8245, observed at 37 kDa.

ab197028 was shown to specifically react with MTH1 when MTH1 knockout samples were used. Wild-type and MTH1 knockout samples were subjected to SDS-PAGE. ab197028 at a dilution of 1/2000 and ab8245 (loading control to GAPDH) diluted at 1/10000 were incubated overnight at 4°C. Blots were developed with Goat anti-Rabbit IgG H&L (IRDye® 800CW) preadsorbed ab216773 and Goat anti-Mouse IgG H&L (IRDye® 680RD) preadsorbed ab216776 secondary antibodies at 1/10000 dilution for 1 hour at room temperature before imaging.

All lanes:

Western blot - Anti-MTH1 antibody [EPR15934] (ab197028)

Predicted band size: 23 kDa

false

不同偶联物与剂型 (2)

关键信息

宿主种属

Rabbit

克隆

Monoclonal

克隆号

EPR15934

亚型

IgG

不含载体蛋白

No

反应种属

Human

应用

WB, ICC/IF, Flow Cyt (Intra), IHC-P

applications

免疫原

The exact immunogen used to generate this antibody is proprietary information.

反应性数据

{ "title": "Reactivity Data", "filters": { "stats": ["", "Species", "Dilution Info", "Notes"], "tabs": { "all-applications": {"fullname" : "All Applications", "shortname": "All Applications"}, "WB" : {"fullname" : "Western blot", "shortname":"WB"}, "ICCIF" : {"fullname" : "Immunocytochemistry/ Immunofluorescence", "shortname":"ICC/IF"}, "FlowCytIntra" : {"fullname" : "Flow Cytometry (Intracellular)", "shortname":"Flow Cyt (Intra)"}, "IHCP" : {"fullname" : "Immunohistochemistry (Formalin/PFA-fixed paraffin-embedded sections)", "shortname":"IHC-P"} }, "product-promise": { "all": "all", "testedAndGuaranteed": "tested", "guaranteed": "expected", "predicted": "predicted", "notRecommended": "not-recommended" } }, "values": { "Human": { "WB-species-checked": "testedAndGuaranteed", "WB-species-dilution-info": "1/2000", "WB-species-notes": "<p></p> Perform heat-mediated antigen retrieval with Tris/EDTA buffer pH 9.0 before commencing with IHC staining protocol.", "ICCIF-species-checked": "testedAndGuaranteed", "ICCIF-species-dilution-info": "1/250", "ICCIF-species-notes": "<p></p>", "FlowCytIntra-species-checked": "testedAndGuaranteed", "FlowCytIntra-species-dilution-info": "", "FlowCytIntra-species-notes": "<p></p>", "IHCP-species-checked": "testedAndGuaranteed", "IHCP-species-dilution-info": "1/100", "IHCP-species-notes": "<p></p> Perform heat-mediated antigen retrieval with Tris/EDTA buffer pH 9.0 before commencing with IHC staining protocol." } } }

产品详情

性能和储存信息

形式
Liquid
纯化工艺
Affinity purification Protein A
存储溶液
pH: 7.2 - 7.4 Preservative: 0.01% Sodium azide Constituents: 59% PBS, 40% Glycerol (glycerin, glycerine), 0.05% BSA
运输条件
Blue Ice
推荐的短期储存时间
1-2 weeks
推荐的短期储存条件
+4°C
推荐的长期储存条件
-20°C
分装信息
Upon delivery aliquot
储存信息
Avoid freeze / thaw cycle

补充信息

This supplementary information is collated from multiple sources and compiled automatically.

The target MTH1 also known as NUDT1 or karonudib is a protein with a mass of approximately 18.5 kDa. This protein belongs to the Nudix hydrolase family and is expressed in various tissues including liver brain and pancreas. Mechanically MTH1 plays a role in hydrolyzing oxidized nucleotides like 8-oxo-dGTP and 2-OH-dATP preventing their incorporation into DNA and maintaining genomic integrity.
Biological function summary

MTH1 prevents the incorporation of oxidized purine nucleotides into DNA. Without MTH1 cells risk mutations that can lead to genomic instability. The protein does not form part of a larger complex but acts independently. MTH1 functions are particularly relevant in cell types with high oxidative stress or rapidly dividing cells where its activity helps to protect against oxidative damage.

Pathways

MTH1 fits into DNA repair and antioxidant defense systems. It is notably involved in pathways managing oxidative stress damage. MTH1 works alongside other proteins like superoxide dismutase and catalase contributing to the detoxification of reactive oxygen species ultimately protecting the DNA repair machinery from oxidative damage.

MTH1 relates to cancer and neurodegenerative diseases. High MTH1 activity can be seen in cancer cells as these cells depend on MTH1 to prevent DNA damage from oxidative stress. In this context MTH1 pairs up with proteins like p53 which also has a role in maintaining genomic stability. In neurodegenerative diseases such as Parkinson's oxidative stress plays an important role implicating MTH1 since it mitigates oxidative nucleotide damage that might worsen neuronal damage.

产品实验方案

For this product, it's our understanding that no specific protocols are required. You can visit:

靶点信息

Oxidized purine nucleoside triphosphate hydrolase which is a prominent sanitizer of the oxidized nucleotide pool (PubMed : 10608900, PubMed : 12857738, PubMed : 22556419, PubMed : 24695224, PubMed : 24695225, PubMed : 26238318, PubMed : 28679043, PubMed : 7713500, PubMed : 8226881). Catalyzes the hydrolysis of 2-oxo-dATP (2-hydroxy-dATP) into 2-oxo-dAMP (PubMed : 10373420). Has also a significant hydrolase activity toward 2-oxo-ATP, 8-oxo-dGTP and 8-oxo-dATP (PubMed : 10373420, PubMed : 11139615). Through the hydrolysis of oxidized purine nucleoside triphosphates, prevents their incorporation into DNA and the subsequent transversions A : T to C : G and G : C to T : A (PubMed : 10373420, PubMed : 10608900, PubMed : 11756418, PubMed : 12857738, PubMed : 16607562, PubMed : 24695224, PubMed : 24695225, PubMed : 26999531, PubMed : 28035004, PubMed : 8226881). Also catalyzes the hydrolysis of methylated purine nucleoside triphosphate preventing their integration into DNA (PubMed : 30304478, PubMed : 32144205). Through this antimutagenic activity protects cells from oxidative stress (PubMed : 10608900, PubMed : 12857738, PubMed : 24695224, PubMed : 24695225, PubMed : 30304478, PubMed : 32144205, PubMed : 7713500, PubMed : 8226881).
See full target information NUDT1

文献 (4)

Recent publications for all applications. Explore the full list and refine your search

BMC cancer 23:990 PubMed37848855

2023

Fusobacterium nucleatum facilitates proliferation and autophagy by activating miR-361-3p/NUDT1 axis through oxidative stress in hypopharyngeal squamous cell carcinoma.

Applications

Unspecified application

Species

Unspecified reactive species

Hui-Ching Lau,Xiaohui Yuan,Huiying Huang,Ming Zhang,Chi-Yao Hsueh,Hongli Gong

Spine 48:E54-E69 PubMed36130054

2022

miR-4478 Accelerates Nucleus Pulposus Cells Apoptosis Induced by Oxidative Stress by Targeting MTH1.

Applications

Unspecified application

Species

Unspecified reactive species

Jiafang Zhang,Ruiduan Liu,Ling Mo,Caijun Liu,Jianming Jiang

Therapeutic advances in medical oncology 11:1758835919866960 PubMed31489034

2019

Karonudib is a promising anticancer therapy in hepatocellular carcinoma.

Applications

Unspecified application

Species

Unspecified reactive species

Xiangwei Hua,Kumar Sanjiv,Helge Gad,Therese Pham,Camilla Gokturk,Azita Rasti,Zhenjun Zhao,Kang He,Mingxuan Feng,Yunjin Zang,Jianjun Zhang,Qiang Xia,Thomas Helleday,Ulrika Warpman Berglund

Cancer cell international 17:92 PubMed29075149

2017

The role of miR-485-5p/NUDT1 axis in gastric cancer.

Applications

Unspecified application

Species

Unspecified reactive species

Jingjing Duan,Haiyang Zhang,Shuang Li,Xinyi Wang,Haiou Yang,Shunchang Jiao,Yi Ba
View all publications

Abcam Product Promise

我们致力于为您的研究提供高质量的试剂,为您科研的每一步提供支持。若我们的产品未能达到预期性能,我们向您提供 Abcam Product Promise 保障。
详情请参阅我们的条款与条件。

关联产品

Select an associated product type
Alternative Product
Primary Antibodies

AB187531

Anti-MTH1 antibody

primary-antibodies

mth1-antibody-ab187531

0

(0 reviews)

Alternative Product
Primary Antibodies

AB200832

Anti-MTH1 antibody [EPR15934-50]

primary-antibodies

mth1-antibody-epr15934-50-ab200832

0

(0 reviews)

Alternative Product
Primary Antibodies

AB246327

Anti-MTH1 antibody [EPR15934-50] - BSA and Azide free

primary-antibodies

mth1-antibody-epr15934-50-bsa-and-azide-free-ab246327

0

(0 reviews)

Please note: All products are 'FOR RESEARCH USE ONLY. NOT FOR USE IN DIAGNOSTIC OR THERAPEUTIC PROCEDURES'.

For licensing inquiries, please contact partnerships@abcam.com