JavaScript is disabled in your browser. Please enable JavaScript to view this website.
AB109739

Anti-MTCO2 抗体 [EPR3313]

Anti-MTCO2 antibody [EPR3313]

5

(1 Review)

|

(1 Publication)

Rabbit Recombinant Monoclonal MTCO2 antibody. Suitable for IHC-P, WB, ICC/IF and reacts with Human samples. Cited in 1 publication.

查看别名

COII, COX2, COXII, MTCO2, MT-CO2, Cytochrome c oxidase subunit 2, Cytochrome c oxidase polypeptide II

4 Images
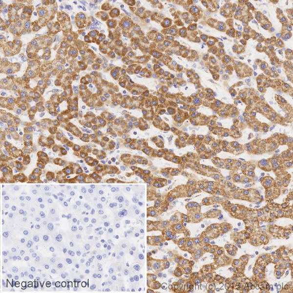
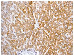
Immunohistochemistry (Formalin/PFA-fixed paraffin-embedded sections) - Anti-MTCO2 antibody [EPR3313] (AB109739)
  • IHC-P

Unknown

Immunohistochemistry (Formalin/PFA-fixed paraffin-embedded sections) - Anti-MTCO2 antibody [EPR3313] (AB109739)

ab109739 at 1/100 dilution staining Cytochrome C oxidase subunit II in paraffin-embedded Human liver tissue by Immunohistochemistry.

Perform heat mediated antigen retrieval via the pressure cooker method before commencing with IHC staining protocol.

Immunohistochemistry (Formalin/PFA-fixed paraffin-embedded sections) - Anti-MTCO2 antibody [EPR3313] (AB109739)
  • IHC-P

Unknown

Immunohistochemistry (Formalin/PFA-fixed paraffin-embedded sections) - Anti-MTCO2 antibody [EPR3313] (AB109739)

ab109739 at 1/100 dilution staining Cytochrome C oxidase subunit II in paraffin-embedded Human kidney tissue by Immunohistochemistry.

Perform heat mediated antigen retrieval via the pressure cooker method before commencing with IHC staining protocol.

Immunocytochemistry/ Immunofluorescence - Anti-MTCO2 antibody [EPR3313] (AB109739)
  • ICC/IF

Lab

Immunocytochemistry/ Immunofluorescence - Anti-MTCO2 antibody [EPR3313] (AB109739)

Immunofluorescent analysis of 4% Paraformaldehyde-fixed, 0.1% TritonX-100 permeabilized HepG2 (human hepatocellular carcinoma epithelial cell) cells labelling Cytochrome C oxidase subunit II with ab109739 at 1/1000 dilution, followed by Goat Anti-Rabbit IgG H&L (Alexa Fluor® 488) preadsorbed (ab150081) secondary antibody at 1/1000 dilution.

Confocal image showing mitochondria staining in HepG2 cell line (shown in green). The counterstain was observed in magenta. Nuclear DNA was labelled with DAPI (shown in blue). Image was taken with a confocal microscope (Leica-Microsystems, TCS SP8).

Anti-COX IV mouse monoclonal antibody - Mitochondrial Marker was used to counterstain COX IV at 1/1000 dilution (Magenta).

The negative controls are as follows :
-ve control 1 : ab109739 at 1/1000 dilution, followed by Goat Anti-Mouse IgG H&L (Alexa Fluor® 594) (ab150120) secondary at 1/1000 dilution.
-ve control 2 : anti-COX IV mouse monoclonal antibody - Mitochondrial Marker antibody at 1/1000 dilution, followed by Goat Anti-Rabbit IgG H&L (Alexa Fluor® 488) preadsorbed (ab150081) secondary at 1/1000 dilution.

Western blot - Anti-MTCO2 antibody [EPR3313] (AB109739)
  • WB

Unknown

Western blot - Anti-MTCO2 antibody [EPR3313] (AB109739)

All lanes:

Western blot - Anti-MTCO2 antibody [EPR3313] (ab109739) at 1/1000 dilution

Lane 1:

HeLa cell lysate at 10 µg

Lane 2:

K562 cell lysate at 10 µg

Lane 3:

MCF7 cell lysate at 10 µg

Lane 4:

THP1 cell lysate at 10 µg

Predicted band size: 25 kDa

false

不同偶联物与剂型 (1)

  • Carrier free

    Anti-MTCO2 antibody [EPR3313] - BSA and Azide free

关键信息

宿主种属

Rabbit

克隆

Monoclonal

克隆号

EPR3313

亚型

IgG

不含载体蛋白

No

反应种属

Human

应用

IHC-P, WB, ICC/IF

applications

免疫原

The exact immunogen used to generate this antibody is proprietary information.

反应性数据

{ "title": "Reactivity Data", "filters": { "stats": ["", "Species", "Dilution Info", "Notes"], "tabs": { "all-applications": {"fullname" : "All Applications", "shortname": "All Applications"}, "IHCP" : {"fullname" : "Immunohistochemistry (Formalin/PFA-fixed paraffin-embedded sections)", "shortname":"IHC-P"}, "FlowCyt" : {"fullname" : "Flow Cytometry", "shortname":"Flow Cyt"}, "WB" : {"fullname" : "Western blot", "shortname":"WB"}, "ICCIF" : {"fullname" : "Immunocytochemistry/ Immunofluorescence", "shortname":"ICC/IF"} }, "product-promise": { "all": "all", "testedAndGuaranteed": "tested", "guaranteed": "expected", "predicted": "predicted", "notRecommended": "not-recommended" } }, "values": { "Human": { "IHCP-species-checked": "testedAndGuaranteed", "IHCP-species-dilution-info": "1/100 - 1/250", "IHCP-species-notes": "<p>Antigen retrieval recommended; heat up to 98 degrees C, below boiling, and then let cool for 10-20 min.</p> Perform heat-mediated antigen retrieval via the pressure cooker method before commencing with IHC staining protocol.", "FlowCyt-species-checked": "notRecommended", "FlowCyt-species-dilution-info": "", "FlowCyt-species-notes": "<p></p>", "WB-species-checked": "testedAndGuaranteed", "WB-species-dilution-info": "1/1000 - 1/10000", "WB-species-notes": "<p></p>", "ICCIF-species-checked": "testedAndGuaranteed", "ICCIF-species-dilution-info": "1/1000", "ICCIF-species-notes": "<p></p>" }, "Mouse": { "IHCP-species-checked": "notRecommended", "IHCP-species-dilution-info": "", "IHCP-species-notes": "<p></p>", "FlowCyt-species-checked": "notRecommended", "FlowCyt-species-dilution-info": "", "FlowCyt-species-notes": "", "WB-species-checked": "notRecommended", "WB-species-dilution-info": "", "WB-species-notes": "<p></p>", "ICCIF-species-checked": "notRecommended", "ICCIF-species-dilution-info": "", "ICCIF-species-notes": "<p></p>" }, "Rat": { "IHCP-species-checked": "notRecommended", "IHCP-species-dilution-info": "", "IHCP-species-notes": "<p></p>", "FlowCyt-species-checked": "notRecommended", "FlowCyt-species-dilution-info": "", "FlowCyt-species-notes": "", "WB-species-checked": "notRecommended", "WB-species-dilution-info": "", "WB-species-notes": "<p></p>", "ICCIF-species-checked": "notRecommended", "ICCIF-species-dilution-info": "", "ICCIF-species-notes": "" } } }

产品详情

Species reactivity
Mouse, Rat: We have preliminary internal testing data to indicate this antibody may not react with these species.
Please contact us for more information.

Patented technology
Our RabMAb® technology is a patented hybridoma-based technology for making rabbit monoclonal antibodies. For details on our patents, please refer to RabMAb® patents.

What are the advantages of a recombinant monoclonal antibody?
This product is a recombinant monoclonal antibody, which offers several advantages including:

  • - High batch-to-batch consistency and reproducibility
  • - Improved sensitivity and specificity
  • - Long-term security of supply
  • - Animal-free batch production

For more information, read more on recombinant antibodies.

性能和储存信息

形式
Liquid
纯化工艺
Affinity purification Protein A
存储溶液
pH: 7.2 - 7.4 Preservative: 0.05% Sodium azide Constituents: 40% Glycerol (glycerin, glycerine), 9.85% Tris glycine, 0.01% BSA
运输条件
Blue Ice
推荐的短期储存条件
+4°C
推荐的长期储存条件
-20°C
储存信息
Stable for 12 months at -20°C

补充信息

This supplementary information is collated from multiple sources and compiled automatically.

'MTCO2' also known as 'mt-co2' or 'mtco2e' is a mitochondrial gene that encodes for a component of the cytochrome c oxidase complex referred to as Complex IV in the electron transport chain. The protein plays a mechanical role in facilitating electron transfer within mitochondria an essential process in cellular respiration. MTCO2 is predominantly expressed in tissues with high energy demands such as muscle and neurons. The known mass of the MTCO2 protein is approximately 25 kDa. It sits in the mitochondrial inner membrane where it contributes to creating the proton gradient driving ATP synthesis.
Biological function summary

MTCO2 (or cytochrome c oxidase subunit II) serves as an important player in aerobic respiration. It is part of the cytochrome c oxidase complex which forms the last enzyme complex of the electron transport chain. As part of this complex MTCO2 facilitates the transfer of electrons from cytochrome c to oxygen resulting in the reduction of oxygen to water. This electron transfer is paired with proton translocation across the mitochondrial membrane which is critical for ATP production.

Pathways

MTCO2 contributes significantly to the oxidative phosphorylation pathway which is essential for ATP production in eukaryotic cells. It directly interacts with other components of the mitochondrial electron transport chain like cytochrome c and NADH dehydrogenase which are critical for maintaining the flow of electrons and the integrity of the energy production process. Another pathway it is part of is the apoptosis pathway regulated by non-lethal stress conditions where controlled release of cytochrome c can trigger programmed cell death.

MTCO2 mutations and dysfunctions have been linked with mitochondrial disorders especially those affecting energy-demanding tissues leading to conditions such as mitochondrial myopathy and Leber's hereditary optic neuropathy. These disorders result from compromised oxidative phosphorylation leading to inadequate energy supply. The dysfunction of cytochrome c oxidase which contains the MTCO2 subunit is a central aspect of these diseases often tying this protein to other complexes within the electron transport chain that also underpin mitochondrial diseases.

产品实验方案

For this product, it's our understanding that no specific protocols are required. You can visit:

靶点信息

Component of the cytochrome c oxidase, the last enzyme in the mitochondrial electron transport chain which drives oxidative phosphorylation. The respiratory chain contains 3 multisubunit complexes succinate dehydrogenase (complex II, CII), ubiquinol-cytochrome c oxidoreductase (cytochrome b-c1 complex, complex III, CIII) and cytochrome c oxidase (complex IV, CIV), that cooperate to transfer electrons derived from NADH and succinate to molecular oxygen, creating an electrochemical gradient over the inner membrane that drives transmembrane transport and the ATP synthase. Cytochrome c oxidase is the component of the respiratory chain that catalyzes the reduction of oxygen to water. Electrons originating from reduced cytochrome c in the intermembrane space (IMS) are transferred via the dinuclear copper A center (CU(A)) of subunit 2 and heme A of subunit 1 to the active site in subunit 1, a binuclear center (BNC) formed by heme A3 and copper B (CU(B)). The BNC reduces molecular oxygen to 2 water molecules using 4 electrons from cytochrome c in the IMS and 4 protons from the mitochondrial matrix.
See full target information MT-CO2

文献 (1)

Recent publications for all applications. Explore the full list and refine your search

Proceedings of the National Academy of Sciences of 113:E5598-607 PubMed27601654

2016

Mutations in mitochondrial enzyme GPT2 cause metabolic dysfunction and neurological disease with developmental and progressive features.

Applications

Unspecified application

Species

Unspecified reactive species

Qing Ouyang,Tojo Nakayama,Ozan Baytas,Shawn M Davidson,Chendong Yang,Michael Schmidt,Sofia B Lizarraga,Sasmita Mishra,Malak Ei-Quessny,Saima Niaz,Mirrat Gul Butt,Syed Imran Murtaza,Afzal Javed,Haroon Rashid Chaudhry,Dylan J Vaughan,R Sean Hill,Jennifer N Partlow,Seung-Yun Yoo,Anh-Thu N Lam,Ramzi Nasir,Muna Al-Saffar,A James Barkovich,Matthew Schwede,Shailender Nagpal,Anna Rajab,Ralph J DeBerardinis,David E Housman,Ganeshwaran H Mochida,Eric M Morrow
View all publications

Abcam Product Promise

我们致力于为您的研究提供高质量的试剂,为您科研的每一步提供支持。若我们的产品未能达到预期性能,我们向您提供 Abcam Product Promise 保障。
详情请参阅我们的条款与条件。

Please note: All products are 'FOR RESEARCH USE ONLY. NOT FOR USE IN DIAGNOSTIC OR THERAPEUTIC PROCEDURES'.

For licensing inquiries, please contact partnerships@abcam.com