JavaScript is disabled in your browser. Please enable JavaScript to view this website.
AB254265

重组Anti-MTAP抗体[EPR22570-76]

Anti-MTAP antibody [EPR22570-76]

  • RabMAb
  • Recombinant
  • KO Validated
  • 20ul selling size
  • 了解详情

Be the first to review this product! Submit a review

|

(2 Publications)

Anti-MTAP antibody [EPR22570-76] (ab254265) is a rabbit monoclonal antibody detecting MTAP in Western Blot, Flow Cytometry (Intra), Flow Cytometry, IHC-P, ICC/IF. Suitable for Human, Mouse, Rat.

- KO validated for confirmed specificity
- Biophysical QC for unrivalled batch-batch consistency

查看别名

MSAP, MTAP, S-methyl-5'-thioadenosine phosphorylase, 5'-methylthioadenosine phosphorylase, MTA phosphorylase, MTAPase

11 Images
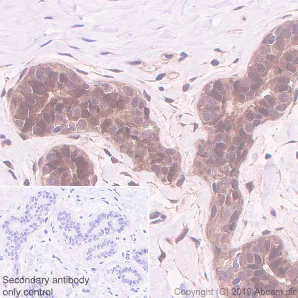
Immunohistochemistry (Formalin/PFA-fixed paraffin-embedded sections) - Anti-MTAP antibody [EPR22570-76] (AB254265)
  • IHC-P

Unknown

Immunohistochemistry (Formalin/PFA-fixed paraffin-embedded sections) - Anti-MTAP antibody [EPR22570-76] (AB254265)

Immunohistochemical analysis of paraffin-embedded human breast tissue labeling MTAP with ab254265 at 1/1000 dilution, followed by Goat Anti-Rabbit IgG H&L (HRP) ready to use. Positive staining in human breast (PMID : 26751376, 18712977) is observed. Counter stained with hematoxylin.

Secondary antibody only control : Used PBS instead of primary antibody, secondary antibody is Goat Anti-Rabbit IgG H&L (HRP) ready to use.

Heat mediated antigen retrieval using ab93684 (Tris/EDTA buffer, pH 9.0).

Immunocytochemistry/ Immunofluorescence - Anti-MTAP antibody [EPR22570-76] (AB254265)
  • ICC/IF

Unknown

Immunocytochemistry/ Immunofluorescence - Anti-MTAP antibody [EPR22570-76] (AB254265)

Immunofluorescent analysis of 4% paraformaldehyde-fixed, 0.1% Triton X-100 permeabilized A549 (human lung carcinoma cell line) and HT-29 (human colorectal adenocarcinoma cell line) cells labeling MTAP with ab254265 at 1/100 dilution, followed by Goat Anti-Rabbit IgG H&L (Alexa Fluor® 488) (ab150077) secondary antibody at 1/1000 dilution (green). Confocal image showing cytoplasmic and nuclear staining in HT-29 cell line. The nuclear counter stain is DAPI (blue) Tubulin is detected with Anti-alpha Tubulin antibody [DM1A] - Microtubule Marker (Alexa Fluor® 594) (ab195889) at 1/200 dilution (red).

SEcondary antibody only control : Used PBS instead of primary antibody, followed by Goat Anti-Rabbit IgG H&L (Alexa Fluor® 488) (ab150077) secondary antibody at 1/1000 dilution.

Negative control : A549(PMID : 8971171.

Immunohistochemistry (Formalin/PFA-fixed paraffin-embedded sections) - Anti-MTAP antibody [EPR22570-76] (AB254265)
  • IHC-P

Unknown

Immunohistochemistry (Formalin/PFA-fixed paraffin-embedded sections) - Anti-MTAP antibody [EPR22570-76] (AB254265)

Immunohistochemical analysis of paraffin-embedded human bladder cancer tissue labeling MTAP with ab254265 at 1/1000 dilution, followed by Goat Anti-Rabbit IgG H&L (HRP) ready to use. Positive staining in stroma cells and no staining in tumor cells of human bladder cancer (PMID : 27270441) is observed. Counter stained with hematoxylin.

Secondary antibody only control : Used PBS instead of primary antibody, secondary antibody is Goat Anti-Rabbit IgG H&L (HRP) ready to use.

Heat mediated antigen retrieval using ab93684 (Tris/EDTA buffer, pH 9.0).

Flow Cytometry (Intracellular) - Anti-MTAP antibody [EPR22570-76] (AB254265)
  • Flow Cyt (Intra)

Unknown

Flow Cytometry (Intracellular) - Anti-MTAP antibody [EPR22570-76] (AB254265)

Intracellular flow cytometric analysis of4% paraformaldehyde-fixed, 90% methanol-permeabilized A549 (human lung carcinoma cell line) (Left) anf H-29 (human colorectal adenocarcinoma cell line) (Right) cells labeling MTAP with ab254265 at 1/400 dilution (red) compared with Recombinant Rabbit IgG, monoclonal [EPR25A] - Isotype Control (ab172730) (black) and an unlabelled control (cells without incubation with primary antibody and secondary antibody) (blue).

Goat Anti-Rabbit IgG H&L (Alexa Fluor® 488) (ab150077), at 1/2000 dilution was used as the secondary antibody.

Negative control : A549 (PMID : 8971171.

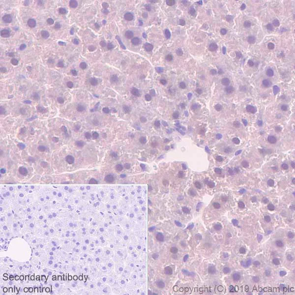
Immunohistochemistry (Formalin/PFA-fixed paraffin-embedded sections) - Anti-MTAP antibody [EPR22570-76] (AB254265)
  • IHC-P

Unknown

Immunohistochemistry (Formalin/PFA-fixed paraffin-embedded sections) - Anti-MTAP antibody [EPR22570-76] (AB254265)

Immunohistochemical analysis of paraffin-embedded mouse liver tissue labeling MTAP with ab254265 at 1/1000 dilution, followed by Goat Anti-Rabbit IgG H&L (HRP) ready to use. Positive staining in mouse liver (PMID : 15492751) is observed. Counter stained with hematoxylin.

Secondary antibody only control : Used PBS instead of primary antibody, secondary antibody is Goat Anti-Rabbit IgG H&L (HRP) ready to use.

Heat mediated antigen retrieval using ab93684 (Tris/EDTA buffer, pH 9.0).

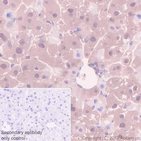
Immunohistochemistry (Formalin/PFA-fixed paraffin-embedded sections) - Anti-MTAP antibody [EPR22570-76] (AB254265)
  • IHC-P

Unknown

Immunohistochemistry (Formalin/PFA-fixed paraffin-embedded sections) - Anti-MTAP antibody [EPR22570-76] (AB254265)

Immunohistochemical analysis of paraffin-embedded rat liver tissue labeling MTAP with ab254265 at 1/1000 dilution, followed by Goat Anti-Rabbit IgG H&L (HRP) ready to use. Positive staining in rat liver (PMID : 15492751) is observed. Counter stained with hematoxylin.

Secondary antibody only control : Used PBS instead of primary antibody, secondary antibody is Goat Anti-Rabbit IgG H&L (HRP) ready to use.

Heat mediated antigen retrieval using ab93684 (Tris/EDTA buffer, pH 9.0).

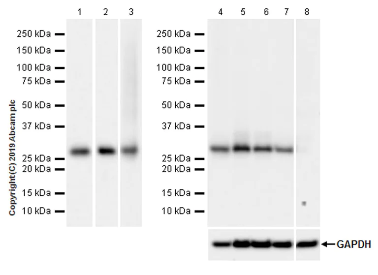
Western blot - Anti-MTAP antibody [EPR22570-76] (AB254265)
  • WB

Unknown

Western blot - Anti-MTAP antibody [EPR22570-76] (AB254265)

Blocking and dilution buffer : 5% NFDM/TBST.

Negative control : A549 (PMID : 17548352).

The expression molecular weight observed is consistent with what has been described in the literature (PMID : 15492751).

Exposure times.

Lanes 1-2 : 10 seconds; Lane3 : 5.5 seconds; Lanes 4-8 : 3.25 seconds.

All lanes:

Western blot - Anti-MTAP antibody [EPR22570-76] (ab254265) at 1/1000 dilution

Lane 1:

Human liver lysate at 20 µg

Lane 2:

Human placenta lysate at 20 µg

Lane 3:

HT-29 (human colorectal adenocarcinoma cell line) whole cell lysate at 20 µg

Lane 4:

HepG2 (human liver hepatocellular carcinoma cell line) whole cell lysate at 20 µg

Lane 5:

HeLa (human epithelial cell line from cervix adenocarcinoma0 whole cell lysate at 20 µg

Lane 6:

Raji 9human Burkitt's lymphoma cell line) whole cell lysate at 20 µg

Lane 7:

Caco-2 (human colorectal adenocarcinoma cell line) whole cell lysate at 20 µg

Lane 8:

A549 9human colorectal adenocarcinoma cell line) whole cell lysate at 20 µg

Secondary

Lanes 1 - 2:

Western blot - VeriBlot for IP Detection Reagent (HRP) (<a href='/products/reagents/veriblot-for-ip-detection-reagent-hrp-ab131366'>ab131366</a>) at 1/1000 dilution

Lanes 3 - 8:

Western blot - Goat Anti-Rabbit IgG H&L (HRP) (<a href='/products/secondary-antibodies/goat-rabbit-igg-h-l-hrp-ab97051'>ab97051</a>) at 1/100000 dilution

Predicted band size: 31 kDa

Observed band size: 32 kDa

false

Western blot - Anti-MTAP antibody [EPR22570-76] (AB254265)
  • WB

Unknown

Western blot - Anti-MTAP antibody [EPR22570-76] (AB254265)

anes 1- 4 : Merged signal (red and green). Green - ab126770 observed at 32 kDa. Red - Anti-GAPDH antibody [6C5] - Loading Control (ab8245) observed at 37 kDa.

ab126770 Anti-MTAP antibody [EPR6893] was shown to specifically react with MTAP in wild-type HeLa cells. Loss of signal was observed when knockout cell line ab265272 (knockout cell lysate ab257194) was used. Wild-type and MTAP knockout samples were subjected to SDS-PAGE. ab126770 and Anti-GAPDH antibody [6C5] - Loading Control (ab8245) were incubated overnight at 4°C at 1 in 1000 dilution and 1 in 20000 dilution respectively. Blots were developed with Goat anti-Rabbit IgG H&L (IRDye® 800CW) preadsorbed (ab216773) and Goat anti-Mouse IgG H&L (IRDye® 680RD) preadsorbed (ab216776) secondary antibodies at 1 in 10000 dilution for 1 hour at room temperature before imaging.

All lanes:

Western blot - Anti-MTAP antibody [EPR22570-76] (ab254265) at 1/1000 dilution

Lane 1:

Wild-type HeLa cell lysate at 20 µg

Lane 2:

MTAP knockout HeLa cell lysate at 20 µg

Lane 3:

HT-29 cell lysate at 20 µg

Lane 4:

A549 cell lysate at 20 µg

Predicted band size: 31 kDa

Observed band size: 32 kDa

false

Western blot - Anti-MTAP antibody [EPR22570-76] (AB254265)
  • WB

Lab

Western blot - Anti-MTAP antibody [EPR22570-76] (AB254265)

Lanes 1-4 : Merged signal (red and green). Green - ab254265 observed at 32 kDa. Red - loading control, ab8245 observed at 37 kDa.

ab254265 Anti-MTAP antibody [EPR22570-76] was shown to specifically react with MTAP in wild-type HeLa cells. Loss of signal was observed when knockout cell line ab265272 (knockout cell lysate ab257194) was used. Wild-type and MTAP knockout samples were subjected to SDS-PAGE. ab254265 and Anti-GAPDH antibody [6C5] - Loading Control (ab8245) were incubated overnight at 4°C at 1 in 1000 dilution and 1 in 20000 dilution respectively. Blots were developed with Goat anti-Rabbit IgG H&L (IRDye® 800CW) preadsorbed (ab216773) and Goat anti-Mouse IgG H&L (IRDye® 680RD) preadsorbed (ab216776) secondary antibodies at 1 in 10000 dilution for 1 hour at room temperature before imaging.

All lanes:

Western blot - Anti-MTAP antibody [EPR22570-76] (ab254265) at 1/1000 dilution

Lane 1:

Wild-type HeLa cell lysate at 20 µg

Lane 2:

MTAP knockout HeLa cell lysate at 20 µg

Lane 2:

Western blot - Human MTAP knockout HeLa cell line (<a href='/products/cell-lines/human-mtap-knockout-hela-cell-line-ab265272'>ab265272</a>)

Lane 3:

HT-29 cell lysate at 20 µg

Lane 4:

A549 cell lysate at 20 µg

Predicted band size: 31 kDa

Observed band size: 32 kDa

false

Western blot - Anti-MTAP antibody [EPR22570-76] (AB254265)
  • WB

Unknown

Western blot - Anti-MTAP antibody [EPR22570-76] (AB254265)

Lanes 1-4 : Merged signal (red and green). Green - ab254265 observed at 32 kDa. Red - loading control, ab8245 observed at 37 kDa.

ab254265 Anti-MTAP antibody [EPR22570-76] was shown to specifically react with MTAP in wild-type HeLa cells. Loss of signal was observed when knockout cell line ab265272 (knockout cell lysate ab257194) was used. Wild-type and MTAP knockout samples were subjected to SDS-PAGE. ab254265 and Anti-GAPDH antibody [6C5] - Loading Control (ab8245) were incubated overnight at 4°C at 1 in 1000 dilution and 1 in 20000 dilution respectively. Blots were developed with Goat anti-Rabbit IgG H&L (IRDye® 800CW) preadsorbed (ab216773) and Goat anti-Mouse IgG H&L (IRDye® 680RD) preadsorbed (ab216776) secondary antibodies at 1 in 10000 dilution for 1 hour at room temperature before imaging.

All lanes:

Western blot - Anti-MTAP antibody [EPR22570-76] (ab254265) at 1/1000 dilution

Lane 1:

Wild-type HeLa cell lysate at 20 µg

Lane 2:

MTAP knockout HeLa cell lysate at 20 µg

Lane 3:

HT-29 cell lysate at 20 µg

Lane 4:

A549 cell lysate at 20 µg

Predicted band size: 31 kDa

Observed band size: 32 kDa

false

Western blot - Anti-MTAP antibody [EPR22570-76] (AB254265)
  • WB

Unknown

Western blot - Anti-MTAP antibody [EPR22570-76] (AB254265)

Blocking and dilution buffer : 5% NFDM/TBST.

Exposure times :
Lanes 1-4 : 15 seconds; Lane 5 : 10 seconds; Lane 6 : 3.25 seconds.

The expression molecular weight observed is consistent with what has been described in the literature (PMID : 15492751).

All lanes:

Western blot - Anti-MTAP antibody [EPR22570-76] (ab254265) at 1/1000 dilution

Lane 1:

Mouse skin lysate at 20 µg

Lane 2:

Mouse liver lysate at 20 µg

Lane 3:

Rat skin lysate at 20 µg

Lane 4:

Rat liver lysate at 20 µg

Lane 5:

RAW 264.7 (mouse macrophage cell line transformed with Abelson murine leukemia virus) whole cell lysate at 20 µg

Lane 6:

NIH/3T3 (mouse embryo fibroblast cell line) whole cell lysate at 20 µg

Secondary

All lanes:

Western blot - Goat Anti-Rabbit IgG H&L (HRP) (<a href='/products/secondary-antibodies/goat-rabbit-igg-h-l-hrp-ab97051'>ab97051</a>) at 1/100000 dilution

Predicted band size: 31 kDa

Observed band size: 32 kDa

false

不同偶联物与剂型 (10)

  • Carrier free

    Anti-MTAP antibody [EPR22570-76] - BSA and Azide free

  • 660 APC

    APC Anti-MTAP antibody [EPR22570-76]

  • HRP

    HRP Anti-MTAP antibody [EPR22570-76]

  • 519 Alexa Fluor® 488

    Alexa Fluor® 488 Anti-MTAP antibody [EPR22570-76]

  • 665 Alexa Fluor® 647

    Alexa Fluor® 647 Anti-MTAP antibody [EPR22570-76]

  • 617 Alexa Fluor® 594

    Alexa Fluor® 594 Anti-MTAP antibody [EPR22570-76]

  • 603 Alexa Fluor® 568

    Alexa Fluor® 568 Anti-MTAP antibody [EPR22570-76]

  • 578 PE

    PE Anti-MTAP antibody [EPR22570-76]

  • 565 Alexa Fluor® 555

    Alexa Fluor® 555 Anti-MTAP antibody [EPR22570-76]

  • 775 Alexa Fluor® 750

    Alexa Fluor® 750 Anti-MTAP antibody [EPR22570-76]

关键信息

宿主种属

Rabbit

克隆

Monoclonal

克隆号

EPR22570-76

亚型

IgG

不含载体蛋白

No

反应种属

Mouse, Rat, Human

应用

ICC/IF, Flow Cyt (Intra), IHC-P, WB

applications

免疫原

The exact immunogen used to generate this antibody is proprietary information.

反应性数据

{ "title": "Reactivity Data", "filters": { "stats": ["", "Species", "Dilution Info", "Notes"], "tabs": { "all-applications": {"fullname" : "All Applications", "shortname": "All Applications"}, "IP" : {"fullname" : "Immunoprecipitation", "shortname":"IP"}, "WB" : {"fullname" : "Western blot", "shortname":"WB"}, "ICCIF" : {"fullname" : "Immunocytochemistry/ Immunofluorescence", "shortname":"ICC/IF"}, "FlowCytIntra" : {"fullname" : "Flow Cytometry (Intracellular)", "shortname":"Flow Cyt (Intra)"}, "IHCP" : {"fullname" : "Immunohistochemistry (Formalin/PFA-fixed paraffin-embedded sections)", "shortname":"IHC-P"} }, "product-promise": { "all": "all", "testedAndGuaranteed": "tested", "guaranteed": "expected", "predicted": "predicted", "notRecommended": "not-recommended" } }, "values": { "Human": { "IP-species-checked": "notRecommended", "IP-species-dilution-info": "", "IP-species-notes": "<p></p>", "WB-species-checked": "testedAndGuaranteed", "WB-species-dilution-info": "1/1000", "WB-species-notes": "<p></p>", "ICCIF-species-checked": "testedAndGuaranteed", "ICCIF-species-dilution-info": "1/100", "ICCIF-species-notes": "<p></p>", "FlowCytIntra-species-checked": "testedAndGuaranteed", "FlowCytIntra-species-dilution-info": "1/400", "FlowCytIntra-species-notes": "<p></p>", "IHCP-species-checked": "testedAndGuaranteed", "IHCP-species-dilution-info": "1/1000", "IHCP-species-notes": "<p></p> Perform heat-mediated antigen retrieval with Tris/EDTA buffer pH 9.0 before commencing with IHC staining protocol." }, "Mouse": { "IP-species-checked": "notRecommended", "IP-species-dilution-info": "", "IP-species-notes": "<p></p>", "WB-species-checked": "testedAndGuaranteed", "WB-species-dilution-info": "1/1000", "WB-species-notes": "<p></p>", "ICCIF-species-checked": "guaranteed", "ICCIF-species-dilution-info": "", "ICCIF-species-notes": "", "FlowCytIntra-species-checked": "guaranteed", "FlowCytIntra-species-dilution-info": "", "FlowCytIntra-species-notes": "", "IHCP-species-checked": "testedAndGuaranteed", "IHCP-species-dilution-info": "1/1000", "IHCP-species-notes": "<p></p> Perform heat-mediated antigen retrieval with Tris/EDTA buffer pH 9.0 before commencing with IHC staining protocol." }, "Rat": { "IP-species-checked": "notRecommended", "IP-species-dilution-info": "", "IP-species-notes": "<p></p>", "WB-species-checked": "testedAndGuaranteed", "WB-species-dilution-info": "1/1000", "WB-species-notes": "<p></p>", "ICCIF-species-checked": "guaranteed", "ICCIF-species-dilution-info": "", "ICCIF-species-notes": "", "FlowCytIntra-species-checked": "guaranteed", "FlowCytIntra-species-dilution-info": "", "FlowCytIntra-species-notes": "", "IHCP-species-checked": "testedAndGuaranteed", "IHCP-species-dilution-info": "1/1000", "IHCP-species-notes": "<p></p> Perform heat-mediated antigen retrieval with Tris/EDTA buffer pH 9.0 before commencing with IHC staining protocol." } } }

产品详情

What is this antibody validated in?
Anti-MTAP antibody [EPR22570-76] (ab254265) is a rabbit recombinant monoclonal antibody and is validated for use in Western Blot (WB), Flow Cytometry (Intra), Flow Cytometry (Flow Cyt), Immunohistochemistry (IHC-P), Immunocytochemistry/immunofluorescence (ICC/IF) in Human, Mouse, Rat samples.

What is the molecular weight of MTAP?
Anti-MTAP [EPR22570-76] (ab254265) specifically detects a band for MTAP (UniProt: Q13126) at a molecular weight of 31kDa.

Trial sizes available!
Test your antibody or perform pre-screening before committing to a larger quantity. Sold in 10µl. Discover our selection of trial-size antibodies.

Specificity confirmed
The specificity of Anti-MTAP antibody [EPR22570-76] (ab254265) has been confirmed by Western blot testing in MTAP Knockout HeLa cell line, ab265272.

Other related products
We have a range of other formats of antibody clone [EPR22570-76] also available for your convenience: ab254265, Carrier free - ab256356, PE - ab306397, APC - ab306398, HRP - ab306399, Alkaline Phosphatase - ab308905, Alexa Fluor® 488 - ab309821, Alexa Fluor® 647 - ab310190, Alexa Fluor® 594 - ab310631, Alexa Fluor® 555 - ab312158, Alexa Fluor® 568 - ab312645, Alexa Fluor® 750 - ab321502

Patented technology
Our RabMAb® technology is a patented hybridoma-based technology for making rabbit monoclonal antibodies. For details on our patents, please refer to RabMAb® patents.

What are the advantages of a recombinant monoclonal antibody?
This product is a recombinant monoclonal antibody, which offers several advantages including:

  • - High batch-to-batch consistency and reproducibility
  • - Improved sensitivity and specificity
  • - Long-term security of supply
  • - Animal-free batch production

For more information, read more on recombinant antibodies.

性能和储存信息

形式
Liquid
纯化工艺
Affinity purification Protein A
存储溶液
pH: 7.2 - 7.4 Preservative: 0.01% Sodium azide Constituents: PBS, 40% Glycerol (glycerin, glycerine), 0.05% BSA
运输条件
Blue Ice
推荐的短期储存时间
1-2 weeks
推荐的短期储存条件
+4°C
推荐的长期储存条件
-20°C
分装信息
Upon delivery aliquot
储存信息
Avoid freeze / thaw cycle

补充信息

This supplementary information is collated from multiple sources and compiled automatically.

MTAP also known as methylthioadenosine phosphorylase is an essential enzyme that breaks down 5'-methylthioadenosine (MTA) a byproduct of polyamine synthesis. MTAP has a molecular weight of about 31 kDa. The enzyme converts MTA into adenine and 5-methylthioribose-1-phosphate which re-enter the methionine and adenine salvage pathways. MTAP is widely expressed in most tissues but its activity is especially high in the liver and kidney. Alternative names for MTAP include 2G4 and MTAP-A.
Biological function summary

Methylthioadenosine phosphorylase plays a significant role in the salvage pathways for methionine and adenine critical for cellular growth and proliferation. MTAP operates as a part of a complex metabolic network involved in polyamine metabolism. In addition to its metabolic functions MTAP contributes to the regulation of the immune response and cell cycle. MTAP immunohistochemistry is often used to study its expression patterns in various tissues.

Pathways

Methylthioadenosine phosphorylase participates importantly in the polyamine biosynthesis and methionine salvage pathways. These pathways are integral for maintaining cellular homeostasis and nucleotide pools. MTAP works closely with proteins such as methionine adenosyltransferase (MAT) and adenosylmethionine decarboxylase (AMD). In concert they facilitate the regeneration of methionine highlighting MTAP's role in cellular adaptation to metabolic demands.

Methylthioadenosine phosphorylase deficiency or deletion is linked to certain cancers such as gliomas and lymphomas. Loss of MTAP function is often associated with co-deletion of the tumor suppressor protein p16INK4a observed in various malignancies. This deletion can lead to an accumulation of MTA creating a toxic environment that promotes cancer cell proliferation. MTAP and its interaction with proteins like p16INK4a highlight its relevance as a potential target for therapeutic intervention in cancer treatment programs.

产品实验方案

For this product, it's our understanding that no specific protocols are required. You can visit:

靶点信息

Catalyzes the reversible phosphorylation of S-methyl-5'-thioadenosine (MTA) to adenine and 5-methylthioribose-1-phosphate. Involved in the breakdown of MTA, a major by-product of polyamine biosynthesis. Responsible for the first step in the methionine salvage pathway after MTA has been generated from S-adenosylmethionine. Has broad substrate specificity with 6-aminopurine nucleosides as preferred substrates.
See full target information MTAP

文献 (2)

Recent publications for all applications. Explore the full list and refine your search

CNS neuroscience & therapeutics 31:e70606 PubMed40916543

2025

Neuroprotective Effects of Transcranial Pulsed Current Stimulation: Modulation of Microglial Polarization in Traumatic Brain Injury.

Applications

Unspecified application

Species

Unspecified reactive species

Peng Yao,Bingkai Ren,Qianhui Zhou,Yang Bai,Zhen Feng

Archives of pathology & laboratory medicine 147:1446-1450 PubMed36800547

2023

Molecular Characterization of Testicular Mesothelioma and the Role of Asbestos as a Causative Factor.

Applications

Unspecified application

Species

Unspecified reactive species

Ashleigh Jean Hocking,Elaine May Thomas,Sarita Prabhakaran,Alexandra Jolley,Susan Lesley Woods,Matthew J Soeberg,Sonja Klebe
View all publications

Abcam Product Promise

我们致力于为您的研究提供高质量的试剂,为您科研的每一步提供支持。若我们的产品未能达到预期性能,我们向您提供 Abcam Product Promise 保障。
详情请参阅我们的条款与条件。

Please note: All products are 'FOR RESEARCH USE ONLY. NOT FOR USE IN DIAGNOSTIC OR THERAPEUTIC PROCEDURES'.

For licensing inquiries, please contact partnerships@abcam.com