JavaScript is disabled in your browser. Please enable JavaScript to view this website.
AB52266

Anti-MSH2抗体[3A2B8C]

Anti-MSH2 antibody [3A2B8C]

5

(3 Reviews)

|

(43 Publications)

Mouse Monoclonal MSH2 antibody. Suitable for IP, Flow Cyt, WB, IHC-P, ICC/IF and reacts with Human samples. Cited in 43 publications. Immunogen corresponding to Recombinant Full Length Protein corresponding to Human MSH2.

查看别名

DNA mismatch repair protein Msh2, hMSH2, MutS protein homolog 2, MSH2

6 Images
Flow Cytometry - Anti-MSH2 antibody [3A2B8C] (AB52266)
  • Flow Cyt

Unknown

Flow Cytometry - Anti-MSH2 antibody [3A2B8C] (AB52266)

Overlay histogram showing HeLa cells stained with ab52266 (red line). The cells were fixed with 80% methanol (5 min) and then permeabilized with 0.1% PBS-Tween for 20 min. The cells were then incubated in 1x PBS / 10% normal goat serum / 0.3M glycine to block non-specific protein-protein interactions followed by the antibody (ab52266, 1μg/1x106 cells) for 30 min at 22°C. The secondary antibody used was DyLight® 488 goat anti-mouse IgG (H+L) (ab96879) at 1/500 dilution for 30 min at 22°C. Isotype control antibody (black line) was mouse IgG1 [ICIGG1] (ab91353, 2μg/1x106 cells) used under the same conditions. Acquisition of >5,000 events was performed.

Immunohistochemistry (Formalin/PFA-fixed paraffin-embedded sections) - Anti-MSH2 antibody [3A2B8C] (AB52266)
  • IHC-P

Unknown

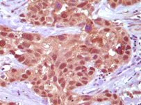
Immunohistochemistry (Formalin/PFA-fixed paraffin-embedded sections) - Anti-MSH2 antibody [3A2B8C] (AB52266)

Immunohistochemical analysis of paraffin-embedded human rectum carcinoma tissue, showing nuclear and cytoplasmic localisation, using ab52266 at a dilution of 1/200 - 1/1000 with DAB staining.

Immunocytochemistry/ Immunofluorescence - Anti-MSH2 antibody [3A2B8C] (AB52266)
  • ICC/IF

Unknown

Immunocytochemistry/ Immunofluorescence - Anti-MSH2 antibody [3A2B8C] (AB52266)

ab52266 at 1/1000 dilution staining MSH2 in human Hela cells by Immunocytochemistry/ Immunofluorescence. An Alexa Fluor® 488 conjugated Goat polyclonal to mouse IgG1 was used as secondary antibody. The primary antibody shows green staining in image whilst actin filaments were stained red with Alexa Fluor® 555 phalloidin.

Immunocytochemistry/ Immunofluorescence - Anti-MSH2 antibody [3A2B8C] (AB52266)
  • ICC/IF

AbReview9156****

Immunocytochemistry/ Immunofluorescence - Anti-MSH2 antibody [3A2B8C] (AB52266)

ab52266 (1/200) detecting MSH2 in HeLa cells (green). Cells were fixed in methanol (-20'C, 10min) and counterstained with DAPI in order to highlight the nucleus. Please refer to abreview for further experimental details.

This image is courtesy of an Abreview submitted by Dr Kirk McManus

Immunoprecipitation - Anti-MSH2 antibody [3A2B8C] (AB52266)
  • IP

Unknown

Immunoprecipitation - Anti-MSH2 antibody [3A2B8C] (AB52266)

MSH2 was immunoprecipitated using 0.5mg Hek293 whole cell extract, 5µg of Mouse monoclonal to MSH2 and 50µl of protein G magnetic beads (+). No antibody was added to the control (-).
The antibody was incubated under agitation with Protein G beads for 10min, Hek293 whole cell extract lysate diluted in RIPA buffer was added to each sample and incubated for a further 10min under agitation.
Proteins were eluted by addition of 40µl SDS loading buffer and incubated for 10min at 70oC; 10µl of each sample was separated on a SDS PAGE gel, transferred to a nitrocellulose membrane, blocked with 5% BSA and probed with ab52266.
Secondary : Goat polyclonal to mouse IgG light chain specific (HRP) at 1/10,000 dilution.
Band : 105kDa; MSH2

All lanes:

Immunoprecipitation - Anti-MSH2 antibody [3A2B8C] (ab52266)

Predicted band size: 105 kDa

false

Western blot - Anti-MSH2 antibody [3A2B8C] (AB52266)
  • WB

Unknown

Western blot - Anti-MSH2 antibody [3A2B8C] (AB52266)

All lanes:

Western blot - Anti-MSH2 antibody [3A2B8C] (ab52266) at 1/2000 dilution

Lane 1:

Cell lysates prepared from human Hela cells at 100 µg

Lane 2:

Cell lysates prepared from A549 cells at 100 µg

Lane 3:

Cell lysates prepared from human A431 cells at 100 µg

Lane 4:

Cell lysates prepared from HEK293 cells at 100 µg

Secondary

All lanes:

HRP-conjugated Goat polyclonal to mouse IgG

Predicted band size: 105 kDa

false

关键信息

宿主种属

Mouse

克隆

Monoclonal

克隆号

3A2B8C

亚型

IgG1

不含载体蛋白

No

反应种属

Human

应用

IP, ICC/IF, WB, Flow Cyt, IHC-P

applications

免疫原

Recombinant Full Length Protein corresponding to Human MSH2.

P43246

反应性数据

{ "title": "Reactivity Data", "filters": { "stats": ["", "Species", "Dilution Info", "Notes"], "tabs": { "all-applications": {"fullname" : "All Applications", "shortname": "All Applications"}, "IP" : {"fullname" : "Immunoprecipitation", "shortname":"IP"}, "FlowCyt" : {"fullname" : "Flow Cytometry", "shortname":"Flow Cyt"}, "WB" : {"fullname" : "Western blot", "shortname":"WB"}, "IHCP" : {"fullname" : "Immunohistochemistry (Formalin/PFA-fixed paraffin-embedded sections)", "shortname":"IHC-P"}, "ICCIF" : {"fullname" : "Immunocytochemistry/ Immunofluorescence", "shortname":"ICC/IF"} }, "product-promise": { "all": "all", "testedAndGuaranteed": "tested", "guaranteed": "expected", "predicted": "predicted", "notRecommended": "not-recommended" } }, "values": { "Human": { "IP-species-checked": "testedAndGuaranteed", "IP-species-dilution-info": "5 µg/mL", "IP-species-notes": "<p></p>", "FlowCyt-species-checked": "testedAndGuaranteed", "FlowCyt-species-dilution-info": "1 µg for 10^6 Cells", "FlowCyt-species-notes": "<p><a href='/products/primary-antibodies/mouse-igg1-kappa-monoclonal-15-6e10a7-isotype-control-ab170190'>ab170190</a> - Mouse monoclonal IgG1, is suitable for use as an isotype control with this antibody.</p>", "WB-species-checked": "testedAndGuaranteed", "WB-species-dilution-info": "1/500 - 1/2000", "WB-species-notes": "<p></p>", "IHCP-species-checked": "testedAndGuaranteed", "IHCP-species-dilution-info": "1/200 - 1/1000", "IHCP-species-notes": "<p></p>", "ICCIF-species-checked": "testedAndGuaranteed", "ICCIF-species-dilution-info": "1/200 - 1/1000", "ICCIF-species-notes": "<p></p>" } } }

产品详情

To see more of the key markers and tools you need to study the hallmarks of cancer, including genome instability and mutation, please visit the following page.

This product was changed from ascites to supernatant. Lot no's high than GR128648-25 are from Tissue Culture Supernatant

性能和储存信息

形式
Liquid
纯化工艺
Affinity purification Protein G
纯化说明
Purified from tissue culture supernatant.
存储溶液
Preservative: 0.05% Sodium azide Constituents: PBS
运输条件
Blue Ice
推荐的短期储存条件
+4°C
推荐的长期储存条件
-20°C
分装信息
Upon delivery aliquot
储存信息
Avoid freeze / thaw cycle

补充信息

This supplementary information is collated from multiple sources and compiled automatically.

MSH2 also known as MutS Homolog 2 is a human protein with a molecular weight of approximately 100 kDa. It is an important component of the DNA mismatch repair system and plays an essential role in maintaining genomic stability by recognizing and repairing mismatched nucleotides during DNA replication. Expression of the MSH2 protein occurs broadly in dividing cells across various tissues with notable presence in tissues with high proliferation rates such as the colon and the endometrium. Additionally detection and quantification of MSH2 are often performed using methodologies such as MSH2 ELISA which aids in the assessment of its expression levels in different biological samples.
Biological function summary

Components are identified in mismatch repair where MSH2 forms a heterodimer with MSH6 known as the MutSα complex or with MSH3 known as the MutSβ complex. This heterodimerization is critical for the initial steps in the recognition and binding of mismatch errors on the DNA strand. MSH2 complex formation enables it to scan the DNA for errors facilitating the recruitment of additional repair proteins. The activity of MSH2 in these complexes is important in preserving the fidelity of genetic information and prevents mutations that could lead to genomic instability.

Pathways

MSH2 operates within the DNA damage response and repair pathways. The protein is a core component of the mismatch repair pathway which corrects DNA replication errors that elude proofreading activity of DNA polymerases. It interacts with other proteins such as MLH1 and PMS2 forming a synergistic function that amplifies the capacity to recognize and initiate repair of mismatches. The pathway involving MSH2 not only repairs mismatched bases but also plays a role in cell cycle control checkpoints and apoptosis evidencing its pivotal role in maintaining cell cycle integrity.

Studies show that MSH2 is strongly associated with Lynch syndrome an autosomal dominant inherited condition that increases the risk of colorectal cancer. Mutations in the MSH2 gene impair its mismatch repair function and lead to microsatellite instability a hallmark of cancer cells in this disorder. Furthermore alterations in the MSH2 protein also relate to glioblastomas with correlations observed between MSH2 expression levels and tumor progression. These conditions exemplify the important role of MSH2 and its interaction with other DNA repair proteins in preventing cancerous developments.

产品实验方案

For this product, it's our understanding that no specific protocols are required. You can visit:

靶点信息

Component of the post-replicative DNA mismatch repair system (MMR). Forms two different heterodimers : MutS alpha (MSH2-MSH6 heterodimer) and MutS beta (MSH2-MSH3 heterodimer) which binds to DNA mismatches thereby initiating DNA repair. When bound, heterodimers bend the DNA helix and shields approximately 20 base pairs. MutS alpha recognizes single base mismatches and dinucleotide insertion-deletion loops (IDL) in the DNA. MutS beta recognizes larger insertion-deletion loops up to 13 nucleotides long. After mismatch binding, MutS alpha or beta forms a ternary complex with the MutL alpha heterodimer, which is thought to be responsible for directing the downstream MMR events, including strand discrimination, excision, and resynthesis. Recruits DNA helicase MCM9 to chromatin which unwinds the mismatch containing DNA strand (PubMed : 26300262). ATP binding and hydrolysis play a pivotal role in mismatch repair functions. The ATPase activity associated with MutS alpha regulates binding similar to a molecular switch : mismatched DNA provokes ADP-->ATP exchange, resulting in a discernible conformational transition that converts MutS alpha into a sliding clamp capable of hydrolysis-independent diffusion along the DNA backbone. This transition is crucial for mismatch repair. MutS alpha may also play a role in DNA homologous recombination repair. In melanocytes may modulate both UV-B-induced cell cycle regulation and apoptosis.
See full target information MSH2

文献 (43)

Recent publications for all applications. Explore the full list and refine your search

Animal cells and systems 29:502-511 PubMed40771437

2025

Targeting MMR-deficient colorectal cancer with a potent small molecule UNI110.

Applications

Unspecified application

Species

Unspecified reactive species

Enkhzul Amarsanaa,Jung-Min Oh,Seon Young Lee,Saikat Maiti,Sung You Hong,Kyungjae Myung

Cell death discovery 11:292 PubMed40593474

2025

MCM9 deficiency impairs DNA damage repair during spermatogenesis, leading to Sertoli cell-only syndrome in humans.

Applications

Unspecified application

Species

Unspecified reactive species

Xuan Sha,Xin Zhang,Hao Geng,Yuqian Li,Xun Xia,Guotong Li,Rong Hua,Kuokuo Li,Yang Gao,Qunshan Shen,Rui Guo,Yuping Xu,Xiaojin He,Yunxia Cao,Mingxi Liu,Huan Wu

Romanian journal of morphology and embryology = Revue roumaine de morphologie et embryologie 65:745-757 PubMed39957036

2025

Clinicopathological and molecular landscape in colorectal cancer associated with colorectal polyps and inflammatory bowel disease.

Applications

Unspecified application

Species

Unspecified reactive species

Diana Lavinia Pricope,Adriana Grigoraş,Constantin Aleodor Costin,Cornelia Amălinei

Nucleic acids research 52:12390-12404 PubMed39315725

2024

Disparate requirements for RAD54L in replication fork reversal.

Applications

Unspecified application

Species

Unspecified reactive species

Mollie E Uhrig,Neelam Sharma,Petey Maxwell,Jordi Gomez,Platon Selemenakis,Alexander V Mazin,Claudia Wiese

Molecular cell 84:3044-3060.e11 PubMed39142279

2024

HLTF resolves G4s and promotes G4-induced replication fork slowing to maintain genome stability.

Applications

Unspecified application

Species

Unspecified reactive species

Gongshi Bai,Theresa Endres,Ulrike Kühbacher,Valentina Mengoli,Briana H Greer,Emma M Peacock,Matthew D Newton,Tyler Stanage,Maria Rosaria Dello Stritto,Roxana Lungu,Magdalena P Crossley,Ataya Sathirachinda,David Cortez,Simon J Boulton,Petr Cejka,Brandt F Eichman,Karlene A Cimprich

Nature communications 15:2599 PubMed38521768

2024

FANCJ promotes PARP1 activity during DNA replication that is essential in BRCA1 deficient cells.

Applications

Unspecified application

Species

Unspecified reactive species

Ke Cong,Nathan MacGilvary,Silviana Lee,Shannon G MacLeod,Jennifer Calvo,Min Peng,Arne Nedergaard Kousholt,Tovah A Day,Sharon B Cantor

Nucleic acids research 51:5584-5602 PubMed37140056

2023

MSH2-MSH3 promotes DNA end resection during homologous recombination and blocks polymerase theta-mediated end-joining through interaction with SMARCAD1 and EXO1.

Applications

Unspecified application

Species

Unspecified reactive species

Jung-Min Oh,Yujin Kang,Jumi Park,Yubin Sung,Dayoung Kim,Yuri Seo,Eun A Lee,Jae Sun Ra,Enkhzul Amarsanaa,Young-Un Park,Seon Young Lee,Jung Me Hwang,Hongtae Kim,Orlando Schärer,Seung Woo Cho,Changwook Lee,Kei-Ichi Takata,Ja Yil Lee,Kyungjae Myung

Cancer 128:3170-3184 PubMed35789992

2022

Fusobacterium nucleatum impairs DNA mismatch repair and stability in patients with squamous cell carcinoma of the head and neck.

Applications

Unspecified application

Species

Unspecified reactive species

Chi-Yao Hsueh,Hui-Ching Lau,Qiang Huang,Hongli Gong,Ji Sun,Pengyu Cao,Chunyan Hu,Ming Zhang,Lei Tao,Liang Zhou

Nature protocols 17:1658-1690 PubMed35546639

2022

Patient-derived and mouse endo-ectocervical organoid generation, genetic manipulation and applications to model infection.

Applications

Unspecified application

Species

Unspecified reactive species

Rajendra Kumar Gurumurthy,Stefanie Koster,Naveen Kumar,Thomas F Meyer,Cindrilla Chumduri

Cancers 14: PubMed35565362

2022

Senescence Is the Main Trait Induced by Temozolomide in Glioblastoma Cells.

Applications

Unspecified application

Species

Unspecified reactive species

Lea Beltzig,Christian Schwarzenbach,Petra Leukel,Katrin B M Frauenknecht,Clemens Sommer,Alessandro Tancredi,Monika E Hegi,Markus Christmann,Bernd Kaina
View all publications

Abcam Product Promise

我们致力于为您的研究提供高质量的试剂,为您科研的每一步提供支持。若我们的产品未能达到预期性能,我们向您提供 Abcam Product Promise 保障。
详情请参阅我们的条款与条件。

Please note: All products are 'FOR RESEARCH USE ONLY. NOT FOR USE IN DIAGNOSTIC OR THERAPEUTIC PROCEDURES'.

For licensing inquiries, please contact partnerships@abcam.com