JavaScript is disabled in your browser. Please enable JavaScript to view this website.
AB177943

重组Anti-Moesin (phospho T558)抗体[EPR2371(2)]

Anti-Moesin (phospho T558) antibody [EPR2371(2)]

4

(1 Review)

|

(11 Publications)

Rabbit Recombinant Monoclonal Moesin phospho T558 antibody. Suitable for IHC-P, WB and reacts with Human samples. Cited in 11 publications.

查看别名

Moesin, Membrane-organizing extension spike protein, MSN

3 Images
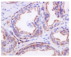
Immunohistochemistry (Formalin/PFA-fixed paraffin-embedded sections) - Anti-Moesin (phospho T558) antibody [EPR2371(2)] (AB177943)
  • IHC-P

Supplier Data

Immunohistochemistry (Formalin/PFA-fixed paraffin-embedded sections) - Anti-Moesin (phospho T558) antibody [EPR2371(2)] (AB177943)

Immunohistochemical analysis of paraffin-embedded Human prostate tissue labeling Moesin with ab177943 at 1/50 dilution.

Perform heat mediated antigen retrieval before commencing with IHC staining protocol.

Immunohistochemistry (Formalin/PFA-fixed paraffin-embedded sections) - Anti-Moesin (phospho T558) antibody [EPR2371(2)] (AB177943)
  • IHC-P

Supplier Data

Immunohistochemistry (Formalin/PFA-fixed paraffin-embedded sections) - Anti-Moesin (phospho T558) antibody [EPR2371(2)] (AB177943)

Immunohistochemical analysis of paraffin-embedded Human gastric adenocarcinoma tissue labeling Moesin with ab177943 at 1/50 dilution.

Perform heat mediated antigen retrieval before commencing with IHC staining protocol.

Western blot - Anti-Moesin (phospho T558) antibody [EPR2371(2)] (AB177943)
  • WB

Supplier Data

Western blot - Anti-Moesin (phospho T558) antibody [EPR2371(2)] (AB177943)

All lanes:

Western blot - Anti-Moesin (phospho T558) antibody [EPR2371(2)] (ab177943) at 1/1000 dilution

Lane 1:

293T (Human embryonic kidney epithelial cell) cell lysate at 10 µg

Lane 2:

293T cell lysate, treated with Calyculin at 10 µg

Predicted band size: 68 kDa

false

不同偶联物与剂型 (1)

  • Carrier free

    Anti-Moesin (phospho T558) antibody [EPR2371(2)] - BSA and Azide free

关键信息

宿主种属

Rabbit

克隆

Monoclonal

克隆号

EPR2371(2)

亚型

IgG

不含载体蛋白

No

反应种属

Human

应用

IHC-P, WB

applications

免疫原

The exact immunogen used to generate this antibody is proprietary information.

特异性

This antibody detects Moesin phosphorylated at threonine 558, Ezrin phosphorylated at threonine 567 and Radixin phosphorylated at threonine 564.

反应性数据

{ "title": "Reactivity Data", "filters": { "stats": ["", "Species", "Dilution Info", "Notes"], "tabs": { "all-applications": {"fullname" : "All Applications", "shortname": "All Applications"}, "IHCP" : {"fullname" : "Immunohistochemistry (Formalin/PFA-fixed paraffin-embedded sections)", "shortname":"IHC-P"}, "ICCIF" : {"fullname" : "Immunocytochemistry/ Immunofluorescence", "shortname":"ICC/IF"}, "IP" : {"fullname" : "Immunoprecipitation", "shortname":"IP"}, "FlowCyt" : {"fullname" : "Flow Cytometry", "shortname":"Flow Cyt"}, "WB" : {"fullname" : "Western blot", "shortname":"WB"} }, "product-promise": { "all": "all", "testedAndGuaranteed": "tested", "guaranteed": "expected", "predicted": "predicted", "notRecommended": "not-recommended" } }, "values": { "Human": { "IHCP-species-checked": "testedAndGuaranteed", "IHCP-species-dilution-info": "1/50 - 1/100", "IHCP-species-notes": "<p></p> Perform heat-mediated antigen retrieval before commencing with IHC staining protocol.", "ICCIF-species-checked": "notRecommended", "ICCIF-species-dilution-info": "", "ICCIF-species-notes": "<p></p>", "IP-species-checked": "notRecommended", "IP-species-dilution-info": "", "IP-species-notes": "<p></p>", "FlowCyt-species-checked": "notRecommended", "FlowCyt-species-dilution-info": "", "FlowCyt-species-notes": "<p></p>", "WB-species-checked": "testedAndGuaranteed", "WB-species-dilution-info": "1/1000 - 1/5000", "WB-species-notes": "<p></p>" }, "Mouse": { "IHCP-species-checked": "predicted", "IHCP-species-dilution-info": "", "IHCP-species-notes": "", "ICCIF-species-checked": "notRecommended", "ICCIF-species-dilution-info": "", "ICCIF-species-notes": "", "IP-species-checked": "notRecommended", "IP-species-dilution-info": "", "IP-species-notes": "", "FlowCyt-species-checked": "notRecommended", "FlowCyt-species-dilution-info": "", "FlowCyt-species-notes": "", "WB-species-checked": "predicted", "WB-species-dilution-info": "", "WB-species-notes": "" }, "Rat": { "IHCP-species-checked": "predicted", "IHCP-species-dilution-info": "", "IHCP-species-notes": "", "ICCIF-species-checked": "notRecommended", "ICCIF-species-dilution-info": "", "ICCIF-species-notes": "", "IP-species-checked": "notRecommended", "IP-species-dilution-info": "", "IP-species-notes": "", "FlowCyt-species-checked": "notRecommended", "FlowCyt-species-dilution-info": "", "FlowCyt-species-notes": "", "WB-species-checked": "predicted", "WB-species-dilution-info": "", "WB-species-notes": "" } } }

产品详情

Patented technology
Our RabMAb® technology is a patented hybridoma-based technology for making rabbit monoclonal antibodies. For details on our patents, please refer to RabMAb® patents.

What are the advantages of a recombinant monoclonal antibody?
This product is a recombinant monoclonal antibody, which offers several advantages including:

  • - High batch-to-batch consistency and reproducibility
  • - Improved sensitivity and specificity
  • - Long-term security of supply
  • - Animal-free batch production

For more information, read more on recombinant antibodies.

性能和储存信息

形式
Liquid
纯化工艺
Affinity purification Protein A
存储溶液
pH: 7.2 - 7.4 Preservative: 0.01% Sodium azide Constituents: PBS, 40% Glycerol (glycerin, glycerine), 0.05% BSA
运输条件
Blue Ice
推荐的短期储存时间
1-2 weeks
推荐的短期储存条件
+4°C
推荐的长期储存条件
-20°C
分装信息
Upon delivery aliquot
储存信息
Avoid freeze / thaw cycle

补充信息

This supplementary information is collated from multiple sources and compiled automatically.

Moesin also known as MSN or moesin protein is part of the ERM (ezrin radixin moesin) family which links the actin cytoskeleton to the plasma membrane. It weighs around 68 kDa. This protein is widely expressed in various tissues notably in endothelial cells and other cells with high cytoskeletal dynamics. Moesin plays an essential role in maintaining cell shape polarity and enabling cellular processes like migration and adhesion.
Biological function summary

This protein serves as a crosslinker between the plasma membrane and the actin cytoskeleton influencing signal transduction pathways. Moesin participates significantly in cellular processes like cytokinesis and microvilli formation by binding actin filaments. It is part of several functional complexes ensuring proper cytoskeletal organization and cellular dynamics. Moesin's interactions with other proteins like Rho GTPases regulate its functions aiding cellular morphology and polarity.

Pathways

Moesin is actively involved in the RhoA-ROCK pathway. This pathway is fundamental to actin cytoskeletal reorganization and cell contraction. Moesin interacts with proteins such as radixin and ezrin ensuring cohesion in cytoskeletal rearrangements. Through these interactions Moesin contributes to cell motility and various signaling cascades necessary for cellular responses.

Moesin is associated with conditions such as cancer and immune system disorders. Aberrant expression of moesin can contribute to enhanced cellular migration and invasion which are mechanisms seen in cancer metastasis. Moesin's interaction with proteins like ezrin in cancer progression has been documented. Also in immune disorders altered moesin activity can affect leukocyte transmigration disrupting efficient immune responses.

产品实验方案

For this product, it's our understanding that no specific protocols are required. You can visit:

靶点信息

Ezrin-radixin-moesin (ERM) family protein that connects the actin cytoskeleton to the plasma membrane and thereby regulates the structure and function of specific domains of the cell cortex. Tethers actin filaments by oscillating between a resting and an activated state providing transient interactions between moesin and the actin cytoskeleton (PubMed : 10212266). Once phosphorylated on its C-terminal threonine, moesin is activated leading to interaction with F-actin and cytoskeletal rearrangement (PubMed : 10212266). These rearrangements regulate many cellular processes, including cell shape determination, membrane transport, and signal transduction (PubMed : 12387735, PubMed : 15039356). The role of moesin is particularly important in immunity acting on both T and B-cells homeostasis and self-tolerance, regulating lymphocyte egress from lymphoid organs (PubMed : 9298994, PubMed : 9616160). Modulates phagolysosomal biogenesis in macrophages (By similarity). Also participates in immunologic synapse formation (PubMed : 27405666).
See full target information Moesin phospho T558

文献 (11)

Recent publications for all applications. Explore the full list and refine your search

Journal of reproductive immunology 161:104185 PubMed38141516

2023

Moesin affects the plasma membrane expression and the immune checkpoint function of CD47 in human ovarian clear cell carcinoma.

Applications

Unspecified application

Species

Unspecified reactive species

Yui Ito,Takuro Kobori,Yoko Urashima,Takuya Ito,Kikuko Hotta,Tokio Obata

Molecular biology of the cell 34:ar122 PubMed37672340

2023

SPAK-dependent cotransporter activity mediates capillary adhesion and pressure during glioblastoma migration in confined spaces.

Applications

Unspecified application

Species

Unspecified reactive species

Sung Hoon Lee,Muhammad Sulaiman Yousafzai,Kyle Mohler,Vikrant Yadav,Sorosh Amiri,Joanna Szuszkiewicz,Andre Levchenko,Jesse Rinehart,Michael Murrell

Journal of clinical medicine 11: PubMed35807113

2022

Moesin Serves as Scaffold Protein for PD-L1 in Human Uterine Cervical Squamous Carcinoma Cells.

Applications

Unspecified application

Species

Unspecified reactive species

Rina Doukuni,Takuro Kobori,Chihiro Tanaka,Mayuka Tameishi,Yoko Urashima,Takuya Ito,Tokio Obata

Cancer gene therapy 29:1429-1438 PubMed35379907

2022

ERRα coordinates actin and focal adhesion dynamics.

Applications

Unspecified application

Species

Unspecified reactive species

Violaine Tribollet,Catherine Cerutti,Alain Géloën,Emmanuelle Berger,Richard De Mets,Martial Balland,Julien Courchet,Jean-Marc Vanacker,Christelle Forcet

Journal of medicinal chemistry 64:13259-13278 PubMed34463505

2021

Discovery of a Potent Dual SLK/STK10 Inhibitor Based on a Maleimide Scaffold.

Applications

Unspecified application

Species

Unspecified reactive species

Ricardo A M Serafim,Fiona J Sorrell,Benedict-Tilman Berger,Ross J Collins,Stanley N S Vasconcelos,Katlin B Massirer,Stefan Knapp,James Bennett,Oleg Fedorov,Hitesh Patel,William J Zuercher,Jonathan M Elkins

Journal of advanced research 33:253-264 PubMed34603794

2021

Activation of TMEM16A Ca-activated Cl channels by ROCK1/moesin promotes breast cancer metastasis.

Applications

Unspecified application

Species

Unspecified reactive species

Shuya Luo,Hui Wang,Lichuan Bai,Yiwen Chen,Si Chen,Kuan Gao,Huijie Wang,Shuwei Wu,Hanbin Song,Ke Ma,Mei Liu,Fan Yao,Yue Fang,Qinghuan Xiao

Cancer cell international 20:563 PubMed33292278

2020

CD44 cross-linking increases malignancy of breast cancer via upregulation of p-Moesin.

Applications

Unspecified application

Species

Unspecified reactive species

Song Hu,Xiaoxing Shi,Yiwen Liu,Yiqing He,Yan Du,Guoliang Zhang,Cuixia Yang,Feng Gao

Science advances 6:eaaw9960 PubMed32128390

2020

Interfering MSN-NONO complex-activated CREB signaling serves as a therapeutic strategy for triple-negative breast cancer.

Applications

Unspecified application

Species

Unspecified reactive species

Yuanyuan Qin,Weilong Chen,Guojuan Jiang,Lei Zhou,Xiaoli Yang,Hongqi Li,Xueyan He,Han-Lin Wang,Yu-Bo Zhou,Shenglin Huang,Suling Liu

American journal of physiology. Heart and circulatory physiology 318:H519-H533 PubMed31922896

2020

Advanced glycation end products induce immature angiogenesis in in vivo and ex vivo mouse models.

Applications

Unspecified application

Species

Unspecified reactive species

Lixian Chen,Yun Cui,Bingyu Li,Jie Weng,Weiju Wang,Shuangshuang Zhang,Xuliang Huang,Xiaohua Guo,Qiaobing Huang

FASEB journal : official publication of the Federa 33:3451-3464 PubMed30475644

2018

Role of TLR4-MAP4K4 signaling pathway in models of oxygen-induced retinopathy.

Applications

Unspecified application

Species

Unspecified reactive species

Wenwen Chen,Juan Zhang,Peijun Zhang,Fangyuan Hu,Tingting Jiang,Junxiang Gu,Qing Chang
View all publications

Abcam Product Promise

我们致力于为您的研究提供高质量的试剂,为您科研的每一步提供支持。若我们的产品未能达到预期性能,我们向您提供 Abcam Product Promise 保障。
详情请参阅我们的条款与条件。

Please note: All products are 'FOR RESEARCH USE ONLY. NOT FOR USE IN DIAGNOSTIC OR THERAPEUTIC PROCEDURES'.

For licensing inquiries, please contact partnerships@abcam.com