JavaScript is disabled in your browser. Please enable JavaScript to view this website.
AB76003

Anti-MMP9 抗体 [EP1254]

Anti-MMP9 antibody [EP1254]

4

(12 Reviews)

|

(829 Publications)

Anti-MMP9 antibody [EP1254] (ab76003) is a rabbit monoclonal antibody detecting MMP9 in Western Blot, Flow Cytometry (Intra), Flow Cytometry, IHC-P, ICC/IF. Suitable for Human, Rat,.

- KO validated for confirmed specificity
- Biophysical QC for unrivalled batch-batch consistency
- Over 550 publications
- Trusted since 2009

查看别名

CLG4B, MMP9, Matrix metalloproteinase-9, MMP-9, 92 kDa gelatinase, 92 kDa type IV collagenase, Gelatinase B, GELB

14 Images
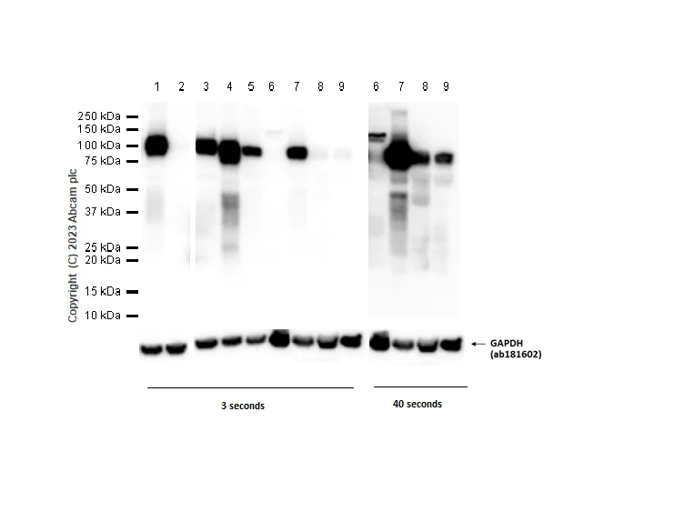
Western blot - Anti-MMP9 antibody [EP1254] (AB76003)
  • WB

Lab

Western blot - Anti-MMP9 antibody [EP1254] (AB76003)

Blocking and diluting buffer and concentration : 5% NFDM/TBST. Exposure time : 3 seconds; 40 seconds. ab181602 was used as loading control for GAPDH. Although MMP9 has been studied in brain in some publications, ab76003 was unable to detect signal in normal brain tissue, this may because MMP9 expression level is low in normal brain and would be increased in abnormal conditions like injury (PMID : 31198417).

All lanes:

Western blot - Anti-MMP9 antibody [EP1254] (ab76003) at 1/1000 dilution

Lane 1:

Human lung tissue lysate at 20 µg

Lane 2:

Human brain tissue lysate at 20 µg

Lane 3:

Human spleen tissue lysate at 20 µg

Lane 4:

Human lymph node tissue lysate at 20 µg

Lane 5:

Rat lung tissue lysate at 20 µg

Lane 6:

Rat brain tissue lysate at 20 µg

Lane 7:

Rat spleen tissue lysate at 20 µg

Lane 8:

Rat kidney tissue lysate at 20 µg

Lane 9:

Rat lymph node tissue lysate at 20 µg

Secondary

All lanes:

Western blot - Goat Anti-Rabbit IgG H&L (HRP) (<a href='/products/secondary-antibodies/goat-rabbit-igg-h-l-hrp-ab97051'>ab97051</a>) at 1/20000 dilution

Predicted band size: 29 kDa

false

Functional Study - Anti-MMP9 antibody [EP1254] (AB76003)
  • Functional Study

Unknown

Functional Study - Anti-MMP9 antibody [EP1254] (AB76003)

Unpurified ab76003 staining MMP9 in U87-MG cells treated with domoic acid (ab120338), by ICC/IF. Increase of MMP9 expression correlates with increased concentration of domoic acid, as described in literature.
The cells were incubated at 37°C for 6h in media containing different concentrations of ab120338 (domoic acid) in DMSO, fixed with 4% formaldehyde for 10 minutes at room temperature and blocked with PBS containing 10% goat serum, 0.3 M glycine, 1% BSA and 0.1% tween for 2h at room temperature. Staining of the treated cells with unpurified ab76003 (1/200) dilution was performed overnight at 4°C in PBS containing 1% BSA and 0.1% tween. A DyLight® 488 anti-rabbit polyclonal antibody (ab96899) at 1/250 dilution was used as the secondary antibody. Nuclei were counterstained with DAPI and are shown in blue.

Immunohistochemistry (Formalin/PFA-fixed paraffin-embedded sections) - Anti-MMP9 antibody [EP1254] (AB76003)
  • IHC-P

Supplier Data

Immunohistochemistry (Formalin/PFA-fixed paraffin-embedded sections) - Anti-MMP9 antibody [EP1254] (AB76003)

Immunohistochemistry (Formalin/PFA-fixed paraffin-embedded sections) analysis of human gastric adenocarcinoma tissue labeling MMP9 with unpurified ab76003 at a dilution of 1/100.

Perform heat mediated antigen retrieval before commencing with IHC staining protocol.

Flow Cytometry (Intracellular) - Anti-MMP9 antibody [EP1254] (AB76003)
  • Flow Cyt (Intra)

Unknown

Flow Cytometry (Intracellular) - Anti-MMP9 antibody [EP1254] (AB76003)

Overlay histogram showing permeabilized A431 (Human epidermoid carcinoma cell line) cells stained with unpurified ab76003 (pink line).

Negative control antibody (green line) was rabbit IgG.

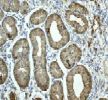
Immunohistochemistry (Formalin/PFA-fixed paraffin-embedded sections) - Anti-MMP9 antibody [EP1254] (AB76003)
  • IHC-P

Unknown

Immunohistochemistry (Formalin/PFA-fixed paraffin-embedded sections) - Anti-MMP9 antibody [EP1254] (AB76003)

Immunohistochemistry (Formalin/PFA-fixed paraffin-embedded sections) analysis of human spleen tissue labeling MMP9 with purified ab76003 at 1/1000. Heat mediated antigen retrieval was performed using Tris/EDTA buffer pH 9. ab97051, an HRP-conjugated goat anti-rabbit IgG (H+L) was used as the secondary antibody (1/500).

Negative control using PBS instead of primary antibody (inset).

Counterstained with hematoxylin.

Immunocytochemistry/ Immunofluorescence - Anti-MMP9 antibody [EP1254] (AB76003)
  • ICC/IF

Unknown

Immunocytochemistry/ Immunofluorescence - Anti-MMP9 antibody [EP1254] (AB76003)

Immunocytochemistry/Immunofluorescence analysis of U-2 OS (human osteosarcoma) cells labeling MMP9 with ab76003 at 1/500 (4.3 μg/mL). Cells were fixed with 4% paraformaldehyde and permeabilized with 0.1% Triton X-100. ab150077, Alexa Fluor® 488-conjugated goat anti-rabbit IgG (1/1000, 2 μg/mL) was used as the secondary antibody. Cells were counterstained with ab195889 Anti-Alpha Tubulin antibody [DM1A] (1/200, 2.5 μg/mL) - Microtubule Marker (Alexa Fluor® 594). DAPI (blue) was used as a nuclear counterstain.

Confocal image showing cytoplasmic staining onU-2 OS cells, the expression increased after treatment with TPA (200 nM) for 24 hours (middle panel).

Secondary Only Control : PBS was used instead of the primary antibody as the negative control with both TPA treated and untreated U-2 OS cells.

Western blot - Anti-MMP9 antibody [EP1254] (AB76003)
  • WB

Lab

Western blot - Anti-MMP9 antibody [EP1254] (AB76003)

Western blot : Rabbit Monoclonal[EP1254] to MMP9 76003 staining at 1/1000 dilution, shown in green; Mouse anti GAPDH (ab8245) loading control staining at 1/20,000 dilution, shown in magenta. A band was observed at 90 kDa in Wild-type A549 TPA-treated (80nM, 24h) cell lysates with no signal observed at this size in MMP9 knockout A549 TPA-treated (80nM, 24h) cell line. To generate this image, samples were run on an SDS-PAGE gel then transferred onto a nitrocellulose membrane. Membranes were blocked in 3pc Milk in TBS-0.1 % Tween® 20 (TBS-T) before incubation with primary antibodies overnight at 4°C. Blots were washed four times in TBS-T, incubated with secondary antibodies for 1 h at room temperature, washed again four times then imaged. Secondary antibodies used were Goat anti-Rabbit 800CW & Goat anti-Mouse 680RD at 1/20,000 dilution.

All lanes:

Western blot - Anti-MMP9 antibody [EP1254] (ab76003) at 1/1000 dilution

Lane 1:

Wild-type A549 TPA-treated (80nM, 24h) at 20 µg

Lane 2:

Wild-type A549 Vehicle Control TPA (0nM, 24h) at 20 µg

Lanes 3 - 4:

Western blot - Human MMP9 knockout A549 cell line (ab286527) at 20 µg

Lane 5:

Human Lung at 20 µg

Lane 6:

MOLT-4 at 20 µg

Secondary

All lanes:

Goat anti-Rabbit 800CW & Goat anti-Mouse 680RD at 1/20000 dilution

Predicted band size: 78 kDa

Observed band size: 90 kDa

false

Western blot - Anti-MMP9 antibody [EP1254] (AB76003)
  • WB

AbReview55690****

Western blot - Anti-MMP9 antibody [EP1254] (AB76003)

All lanes:

Western blot - Anti-MMP9 antibody [EP1254] (ab76003) at 1/5000 dilution

Lanes 1 - 2:

HTB94 (human chondrosarcoma cell line) cell lysate at 10 µg

Lanes 3 - 4:

HTB94 (human chondrosarcoma cell line) conditioned media at 10 µg

Secondary

All lanes:

Goat anti-rabbit IgG at 1/5000 dilution

Predicted band size: 78 kDa

true

Data courtesy of an anonymous AbReview

Western blot - Anti-MMP9 antibody [EP1254] (AB76003)
  • WB

Lab

Western blot - Anti-MMP9 antibody [EP1254] (AB76003)

Running buffer : MOPS.

Conditions : Denatured/reduced.

This blot was produced using a 4-12% Bis-Tris gel under the MOPS buffer system. The gel was run at 200V for 60 minutes before being transferred onto a nitrocellulose membrane at 30V for 70 minutes. The membrane was then blocked for an hour before being incubated with ab76003 (rabbit-anti MMP9; 1.5 ug/mL) and ab8245 (loading control to GAPDH; 0.1 ug/mL) for 48 hours at 4°C. Before imaging, antibody binding was detected using infrared-labeled goat anti-rabbit (green) and goat anti-mouse (red) at 1 : 10,000 dilution for 1 hour at room temperature.

All lanes:

Western blot - Anti-MMP9 antibody [EP1254] (ab76003) at 1.5 µg/mL

Lane 1:

Control U937 at 100 µg

Lane 2:

Stimulated U937 (24 hours with 10 ng x mL-1 PMA (<a href='/products/biochemicals/phorbol-12-myristate-13-acetate-pma-pkc-activator-ab120297'>ab120297</a>), 3 final hours with 3 ug x mL-1 of Brefeldin (<a href='/products/biochemicals/brefeldin-a-inhibitor-of-adp-ribosylation-factor-ab120299'>ab120299</a>)) at 100 µg

Lane 3:

Human tonsils at 20 µg

Secondary

All lanes:

Goat anti-rabbit at 1/10000 dilution

Predicted band size: 78 kDa

Observed band size: 89 kDa

false

Western blot - Anti-MMP9 antibody [EP1254] (AB76003)
  • WB

Supplier Data

Western blot - Anti-MMP9 antibody [EP1254] (AB76003)

Blocking and dilution buffer : 5% NFDM/TBST.

The expression of MMP-9 can be stimulated by various agents, such as inflammatory cytokine, growth factor, and 12-O-tetradecanoylphorbol-13-acetate (TPA) (PMID : 21047770, 28969043).

Based on our preliminary data, ab76003 detects no or weak band of interest in the untreated cell lines at the dilution of 1/200. Treatment increasing the expression of MMP-9 is recommended when using this antibody.

All lanes:

Western blot - Anti-MMP9 antibody [EP1254] (ab76003) at 1/200 dilution

Lane 1:

LoVo (Human colorectal adenocarcinoma epithelial cell) whole cell lysate at 20 µg

Lane 2:

Huh7 (Human hepatocellular carcinoma epithelial cell) whole cell lysate at 20 µg

Lane 3:

MCF7 (Human breast adenocarcinoma epithelial cell) whole cell lysate at 20 µg

Lane 4:

HeLa (Human cervix adenocarcinoma epithelial cell) whole cell lysate at 20 µg

Lane 5:

Caco-2 (Human colorectal adenocarcinoma epithelial cell) whole cell lysate at 20 µg

Lane 6:

A549 (Human lung carcinoma epithelial cell) serum starved overnight whole cell lysate at 20 µg

Lane 7:

A549 (Human lung carcinoma epithelial cell) serum starved overnight, then treated with 80nM TPA for 24 hours whole cell lysate at 20 µg

Lane 8:

MDA-MB-231 (Human breast adenocarcinoma epithelial cell) serum starved overnight whole cell lysate at 20 µg

Lane 9:

MDA-MB-231 (Human breast adenocarcinoma epithelial cell) serum starved overnight, then treated with 200nM TPA for 24 hours whole cell lysate at 20 µg

Lane 10:

HepG2 (Human hepatocellular carcinoma epithelial cell) whole cell lysate at 20 µg

Secondary

All lanes:

Western blot - Goat Anti-Rabbit IgG H&L (HRP) (<a href='/products/secondary-antibodies/goat-rabbit-igg-h-l-hrp-ab97051'>ab97051</a>) at 1/20000 dilution

Predicted band size: 78 kDa

Observed band size: 84-82 kDa

false

Exposure time: 60s

Western blot - Anti-MMP9 antibody [EP1254] (AB76003)
  • WB

Lab

Western blot - Anti-MMP9 antibody [EP1254] (AB76003)

Blocking and dilution buffer : 5% NFDM/TBST.

All lanes:

Western blot - Anti-MMP9 antibody [EP1254] (ab76003) at 1/1000 dilution

All lanes:

Rat kidney tissue lysate at 10 µg

Secondary

All lanes:

Peroxidase-conjugated goat anti-rabbit IgG, (H+L) at 1/1000 dilution

Predicted band size: 78 kDa

Observed band size: 84-92 kDa

false

Western blot - Anti-MMP9 antibody [EP1254] (AB76003)
  • WB

Lab

Western blot - Anti-MMP9 antibody [EP1254] (AB76003)

This blot was produced using a 4-12% Bis-Tris gel under the MOPS buffer system. The gel was run at 200V for 60 minutes before being transferred onto a nitrocellulose membrane at 30V for 70 minutes. The membrane was then blocked for an hour before being incubated with anti-MMP9 antibody [EP1254] (ab76003; 5 microgram per mL) overnight at 4°C. Antibody binding was detected using infrared labeled goat anti-rabbit (green) antibody (diluted 1 : 20000) for 1 hour at room temperature before imaging.

Lanes 1 - 2:

Western blot - Anti-MMP9 antibody [EP1254] (ab76003) at 5 µg

Lane 3:

Western blot - Anti-MMP9 antibody [EP1254] (ab76003) at 5 µg/mL

Lane 1:

Western blot - Native human MMP9 protein (dimer) (<a href='/products/proteins-peptides/native-human-mmp9-protein-dimer-ab168863'>ab168863</a>) at 0.1 µg

Lane 2:

Western blot - Native human MMP9 protein (Proenzyme, monomer) (<a href='/products/proteins-peptides/native-human-mmp9-protein-proenzyme-monomer-ab157344'>ab157344</a>) at 0.1 µg

Lane 3:

Western blot - Recombinant Mouse MMP9 protein (<a href='/products/proteins-peptides/recombinant-mouse-mmp9-protein-ab39309'>ab39309</a>) at 0.1 µg

Secondary

All lanes:

Infrared labeled goat anti-rabbit (green) antibody at 1/20000 dilution

Predicted band size: 78 kDa

false

Western blot - Anti-MMP9 antibody [EP1254] (AB76003)
  • WB

Unknown

Western blot - Anti-MMP9 antibody [EP1254] (AB76003)

Running buffer : MOPS.

Conditions : Denatured/reduced.

This blot was produced using a 4-12% Bis-Tris gel under the MOPS buffer system. The gel was run at 200V for 60 minutes before being transferred onto a nitrocellulose membrane at 30V for 70 minutes. The membrane was then blocked for an hour before being incubated with ab76003 (rabbit-anti MMP9; 1.5 ug/mL) for 48 hours at 4°C. Before imaging, antibody binding was detected using infrared-labeled goat anti-rabbit (green) at 1 : 10,000 dilutions for 1 hour at room temperature.

All lanes:

Western blot - Anti-MMP9 antibody [EP1254] (ab76003) at 1.5 µg/mL

All lanes:

Western blot - Recombinant Human MMP9 protein (Proenzyme) (<a href='/products/proteins-peptides/recombinant-human-mmp9-protein-proenzyme-ab82955'>ab82955</a>) at 0.1 µg

Secondary

All lanes:

Goat anti-rabbit at 1/10000 dilution

Predicted band size: 78 kDa

Observed band size: 89 kDa

false

OI-RD Scanning - Anti-MMP9 antibody [EP1254] (AB76003)
  • OI-RD Scanning

Unknown

OI-RD Scanning - Anti-MMP9 antibody [EP1254] (AB76003)

We have systematically measured KD (the equilibrium dissociation constant between the antibody and its antigen), of more than 840 recombinant antibodies to assess not only their individual KD values but also to see the average affinity of antibody. Based on the comparison with published literature values for mouse monoclonal antibodies, Recombinant antibodies appear to be on average 1-2 order of magnitude higher affinity.

不同偶联物与剂型 (10)

关键信息

宿主种属

Rabbit

克隆

Monoclonal

克隆号

EP1254

亚型

IgG

不含载体蛋白

No

反应种属

Rat, Human

应用

WB, ICC/IF, Flow Cyt (Intra), IHC-P

applications

免疫原

The exact immunogen used to generate this antibody is proprietary information.

特异性

Based on our preliminary data, ab76003 detects no or weak band of interest in the untreated cell lines at the dilution of 1/200. Treatment increasing the expression of MMP-9 is recommended when using this antibody.

This antibody works better in 1% SDS Hot Lysates in WB. For Lysate preparation protocol, please refer to the protocol book in the protocol section and/or here (downloadable copy).

反应性数据

{ "title": "Reactivity Data", "filters": { "stats": ["", "Species", "Dilution Info", "Notes"], "tabs": { "all-applications": {"fullname" : "All Applications", "shortname": "All Applications"}, "IHCP" : {"fullname" : "Immunohistochemistry (Formalin/PFA-fixed paraffin-embedded sections)", "shortname":"IHC-P"}, "WB" : {"fullname" : "Western blot", "shortname":"WB"}, "ICCIF" : {"fullname" : "Immunocytochemistry/ Immunofluorescence", "shortname":"ICC/IF"}, "FlowCytIntra" : {"fullname" : "Flow Cytometry (Intracellular)", "shortname":"Flow Cyt (Intra)"} }, "product-promise": { "all": "all", "testedAndGuaranteed": "tested", "guaranteed": "expected", "predicted": "predicted", "notRecommended": "not-recommended" } }, "values": { "Human": { "IHCP-species-checked": "testedAndGuaranteed", "IHCP-species-dilution-info": "1/1000", "IHCP-species-notes": "<p><strong>For unpurified use at 1/100 - 1/250.</strong></p> Perform heat-mediated antigen retrieval before commencing with IHC staining protocol.", "WB-species-checked": "testedAndGuaranteed", "WB-species-dilution-info": "1/1000 - 1/20000", "WB-species-notes": "<p>Based on our preliminary data, ab76003 detects no or weak band of interest in the untreated cell lines at the dilution of 1/200. Treatment increasing the expression of MMP-9 is recommended when using this antibody.</p>", "ICCIF-species-checked": "testedAndGuaranteed", "ICCIF-species-dilution-info": "1/250 - 1/500", "ICCIF-species-notes": "<p></p>", "FlowCytIntra-species-checked": "testedAndGuaranteed", "FlowCytIntra-species-dilution-info": "1/1000", "FlowCytIntra-species-notes": "<p><a href='/products/primary-antibodies/rabbit-igg-monoclonal-epr25a-isotype-control-ab172730'>ab172730</a> - Rabbit monoclonal IgG, is suitable for use as an isotype control with this antibody.</p>" }, "Rat": { "IHCP-species-checked": "guaranteed", "IHCP-species-dilution-info": "", "IHCP-species-notes": "", "WB-species-checked": "testedAndGuaranteed", "WB-species-dilution-info": "1/1000 - 1/20000", "WB-species-notes": "<p>Based on our preliminary data, ab76003 detects no or weak band of interest in the untreated cell lines at the dilution of 1/200. Treatment increasing the expression of MMP-9 is recommended when using this antibody.</p>", "ICCIF-species-checked": "guaranteed", "ICCIF-species-dilution-info": "", "ICCIF-species-notes": "", "FlowCytIntra-species-checked": "guaranteed", "FlowCytIntra-species-dilution-info": "", "FlowCytIntra-species-notes": "" }, "Recombinant full length protein - Human": { "IHCP-species-checked": "notRecommended", "IHCP-species-dilution-info": "", "IHCP-species-notes": "", "WB-species-checked": "testedAndGuaranteed", "WB-species-dilution-info": "1/1000 - 1/20000", "WB-species-notes": "<p>Based on our preliminary data, ab76003 detects no or weak band of interest in the untreated cell lines at the dilution of 1/200. Treatment increasing the expression of MMP-9 is recommended when using this antibody.</p>", "ICCIF-species-checked": "notRecommended", "ICCIF-species-dilution-info": "", "ICCIF-species-notes": "", "FlowCytIntra-species-checked": "notRecommended", "FlowCytIntra-species-dilution-info": "", "FlowCytIntra-species-notes": "" } } }

产品详情

Product Specifications
Anti-MMP9 antibody [EP1254] (ab76003) was developed by Abcam using patented rabbit monoclonal antibody technology and is validated for use in Flow Cyt (Intra), ICC/IF, IHC-P, WB in human, rat, samples.
Anti-MMP9 antibody [EP1254] (ab76003) specifically detects MMP9 (UniProt ID: P14780; Molecular weight: 1kDa) and is sold in 100 µL and 1 mL selling sizes.

Quality and Validation
Abcam's high quality manufacturing and validation processes ensure Anti-MMP9 antibody [EP1254] (ab76003) has high sensitivity and specificity alongside high lot-to-lot consistency and reproducibility.
Anti-MMP9 antibody [EP1254] (ab76003) has been cited over 551 times in peer reviewed journals and is trusted by the scientific community.
Anti-MMP9 antibody [EP1254] (ab76003) has 12 independent reviews from customers.

Related Products
Antibody clone EP1254 is also available pre-conjugated to a variety of labels for your convenience - PE, APC, HRP, Alkaline Phosphatase, Alexa Fluor® 488, Alexa Fluor® 647, Alexa Fluor® 594, Alexa Fluor® 555, Alexa Fluor® 568, Alexa Fluor® 750 (ab305635, ab305636, ab305637, ab308802, ab309755, ab310122, ab310533, ab312063, ab312540, ab321706).

Patented technology
Our RabMAb® technology is a patented hybridoma-based technology for making rabbit monoclonal antibodies. For details on our patents, please refer to RabMAb® patents.

What are the advantages of a recombinant monoclonal antibody?
This product is a recombinant monoclonal antibody, which offers several advantages including:

  • - High batch-to-batch consistency and reproducibility
  • - Improved sensitivity and specificity
  • - Long-term security of supply
  • - Animal-free batch production

For more information, read more on recombinant antibodies.

性能和储存信息

形式
Liquid
纯化工艺
Affinity purification Protein A
存储溶液
pH: 7.2 - 7.4 Preservative: 0.01% Sodium azide Constituents: PBS, 40% Glycerol (glycerin, glycerine), 0.05% BSA
运输条件
Blue Ice
推荐的短期储存时间
1-2 weeks
推荐的短期储存条件
+4°C
推荐的长期储存条件
-20°C
分装信息
Upon delivery aliquot
储存信息
Avoid freeze / thaw cycle

补充信息

This supplementary information is collated from multiple sources and compiled automatically.

The MMP-9 protein also known as matrix metalloproteinase-9 or gelatinase B functions as an enzyme involved in the breakdown of extracellular matrix proteins. It consists of a zinc ion at its active site and facilitates the degradation of type IV and V collagens fibronectin and elastin. MMP-9 has a molecular weight of approximately 92 kDa and is expressed in a variety of tissues including the liver lungs and immune cells. This enzyme can exist in monomer and dimer forms with its activity regulated by tissue inhibitors of metalloproteinases (TIMPs).
Biological function summary

Matrix metalloproteinase-9 profoundly influences tissue remodeling inflammation and angiogenesis. It does not form part of a larger protein complex but interacts closely with substrates in the extracellular matrix. MMP-9 plays important roles in processes such as embryogenesis reproduction and wound healing through the remodeling of surrounding tissues. The MMP-9 protein is often measured using assays like ELISA or analyzed via techniques such as Western blotting to determine its expression levels and activity in different biological contexts.

Pathways

MMP-9 participates in the matrix metalloproteinase pathway and the NF-kB signaling pathway. These pathways are essential in orchestrating processes such as tissue remodeling and inflammatory responses. MMP-9 acts alongside other matrix metalloproteinases including MMP-2 and is regulated by factors like cytokines growth factors and hormones ensuring the precision of extracellular matrix degradation during physiological processes.

Matrix metalloproteinase-9 has associations with cancer invasion and metastasis as well as chronic inflammatory diseases like rheumatoid arthritis. In cancer upregulated MMP-9 expression aids tumor cells in breaching the basement membrane facilitating metastasis. The disorder-associated pathways often involve interactions with proteins like vascular endothelial growth factor (VEGF) and transforming growth factor-beta (TGF-beta). Understanding MMP-9's role in these conditions can contribute to developing targeted therapies that inhibit its activity potentially mitigating disease progression.

产品实验方案

For this product, it's our understanding that no specific protocols are required. You can visit:

靶点信息

The protein expressed by gene MMP9 is a matrix metalloproteinase that plays an essential role in the local proteolysis of the extracellular matrix and in leukocyte migration. It cleaves KiSS1 at a Gly-|-Leu bond and processes NINJ1 to generate the Secreted ninjurin-1 form. Additionally, MMP9 cleaves type IV and type V collagen into large C-terminal three-quarter fragments and shorter N-terminal one-quarter fragments. It degrades fibronectin but not laminin or Pz-peptide. This supplementary information is collated from multiple sources and compiled automatically.
See full target information MMP9

文献 (829)

Recent publications for all applications. Explore the full list and refine your search

Theranostics 15:9375-9398 PubMed41041068

2025

Trimmed -glycans define aggressive gastric cancer and predict clinical outcomes.

Applications

Unspecified application

Species

Unspecified reactive species

Dylan Ferreira,Beatriz Marinho-Santos,Marta Relvas-Santos,Bernardo Orr,Andreia Brandão,Luís Pedro Afonso,Lúcio Lara Santos,José Alexandre Ferreira

CNS neuroscience & therapeutics 31:e70581 PubMed40994138

2025

Elucidating the Mechanism of Emodin in Treating Post-Stroke Depression Through Network Pharmacology and Animal Experiments.

Applications

Unspecified application

Species

Unspecified reactive species

Xiaoju Liu,Jie Gao,Kai Yang,Weiming Zhu,Ming Su,Zichun Liu,Yaxin Yuan,Linya Cao,Tong Wu,Wei Liu

American journal of translational research 17:6504-6521 PubMed40950286

2025

NLBK alleviates airway remodeling in COPD by inhibiting RXRA-mediated transcription of PLA2G2A.

Applications

Unspecified application

Species

Unspecified reactive species

Teng Zhang,Fang Fang,Dan Wu,Guodong Wang

Brazilian journal of medical and biological research = Revista brasileira de pesquisas medicas e biologica 58:e14540 PubMed40862456

2025

Pitavastatin reduces intestinal fibrosis in chronic colitis and inhibits colon fibroblast activation by enhancing MMP-9 expression via the IGF-1/IGF-1R pathway.

Applications

Unspecified application

Species

Unspecified reactive species

Mengran Zhang,Hongping Lu,Jun Cheng

Discover oncology 16:1589 PubMed40836204

2025

Integrating network pharmacology and molecular modeling to decipher the anti-esophageal squamous cell carcinoma mechanisms of Bidens pilosa L.

Applications

Unspecified application

Species

Unspecified reactive species

Zhenzhen Yang,Cheng Chang,Na Gao,Pan Gao,Yinsen Song,Ruiting Feng,Jingjie Meng,Chen Wang,Haozhe Zhang,Tianli Fan

Cells 14: PubMed40801608

2025

Extract Supports Skin Homeostasis by Enhancing Epidermal Stem Cell Function and Reinforcing Their Extracellular Niche.

Applications

Unspecified application

Species

Unspecified reactive species

Roberta Lotti,Laetitia Cattuzzato,Xuefeng Huang,David Garandeau,Elisabetta Palazzo,Marika Quadri,Cécile Delluc,Eddy Magdeleine,Xiaojing Li,Mathilde Frechet,Alessandra Marconi

Journal of ovarian research 18:180 PubMed40790593

2025

Oleic acid activates TGFβ-Smad3 signaling to promote ovarian cancer progression.

Applications

Unspecified application

Species

Unspecified reactive species

Zhengyang Guo,Yinjia Li,Yunyun Guo,Aosong Zhang,Xiao Huo,Ying Song,Bing Li,Yuanjun Tang,Tianhui He,Tong Liu,Lixiang Xue,Yi Qu,Jiagui Song

Cellular & molecular biology letters 30:92 PubMed40713509

2025

FLNA, a disulfidptosis-related gene, modulates tumor immunity and progression in colorectal cancer.

Applications

Unspecified application

Species

Unspecified reactive species

Qiong Li,Renhong Huang,Lingling Lv,Haifeng Ying,Yuan Wu,YuQing Huang,Yuxi Li,Wen Ma,Xiaoshuang Liu,Qinghui Meng,Fengying Xing,Yan Shen,Lan Zheng

International journal of molecular medicine 56: PubMed40709382

2025

Dulaglutide markedly prevents peritoneal fibrosis in a rodent model of chronic kidney disease: Insights into the pathogenesis.

Applications

Unspecified application

Species

Unspecified reactive species

Chih-Chao Yang,Ya Yue,Yi-Ting Wang,John Y Chiang,Ben-Chung Cheng,Tsuen-Wei Hsu,Yi-Ling Chen,Yi-Chen Li,Hon-Kan Yip

Frontiers in pharmacology 16:1605531 PubMed40697663

2025

Dihydroartemisinin targets the miR-497-5p/SOX5 axis to suppress tumor progression in non-small cell lung cancer.

Applications

Unspecified application

Species

Unspecified reactive species

Qing-Hua Yin,Qiang Zhou,Jian-Bing Hu,Jie Weng,Er-Dong Shen,Fang Wen,Song-Lian Liu,Lei-Lan Yin,Ya-Jun Tong,Ling Long,Ke-Wei Tang,Si-Te Bai,Lu-Di Ou
View all publications

Abcam Product Promise

我们致力于为您的研究提供高质量的试剂,为您科研的每一步提供支持。若我们的产品未能达到预期性能,我们向您提供 Abcam Product Promise 保障。
详情请参阅我们的条款与条件。

Please note: All products are 'FOR RESEARCH USE ONLY. NOT FOR USE IN DIAGNOSTIC OR THERAPEUTIC PROCEDURES'.

For licensing inquiries, please contact partnerships@abcam.com