JavaScript is disabled in your browser. Please enable JavaScript to view this website.
AB92536

Anti-MMP2 抗体 [EPR1184]

Anti-MMP2 antibody [EPR1184]

4

(6 Reviews)

|

(587 Publications)

Anti-MMP2 antibody [EPR1184] (ab92536) is a rabbit monoclonal antibody detecting MMP2 in Western Blot, Flow Cytometry (Intra), Flow Cytometry, ICC/IF. Suitable for Human, Mouse, Rat.

- Biophysical QC for unrivalled batch-batch consistency
- Over 370 publications
- Trusted since 2010

查看别名

CLG4A, MMP2, 72 kDa type IV collagenase, 72 kDa gelatinase, Gelatinase A, Matrix metalloproteinase-2, TBE-1, MMP-2

9 Images
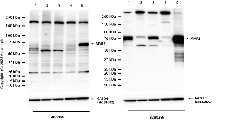
Western blot - Anti-MMP2 antibody [EPR1184] (AB92536)
  • WB

Lab

Western blot - Anti-MMP2 antibody [EPR1184] (AB92536)

Blocking and diluting buffer and concentration : 5% NFDM /TBST. ab181602 was used as GAPDH loading control. Compared with ab92536, ab181286 has higher sensitivity. We recommend ab181286 as an alternative for testing MMP2 in western blot.

Lanes 1 - 5:

Western blot - Anti-MMP2 antibody [EPR1184] (ab92536) at 1/1000 dilution

Lanes 1 - 5:

Western blot - Anti-MMP2 antibody [EPR17003-25] (<a href='/products/primary-antibodies/mmp2-antibody-epr17003-25-ab181286'>ab181286</a>)

Lane 1:

HT-1080 (Human fibrosarcoma epithelial cell) whole cell lysate at 20 µg

Lane 2:

Untreated HepG2 (Human hepatocellular carcinoma epithelial cell) whole cell lysate at 20 µg

Lane 3:

HepG2 (Human hepatocellular carcinoma epithelial cell) treated with 300ng/ml BFA for 24 hours whole cell lysate at 20 µg

Lane 4:

Huh7 (Human hepatocellular carcinoma epithelial cell) whole cell lysate at 20 µg

Lane 5:

U-87 MG (Human glioblastoma-astrocytoma epithelial cell) whole cell lysate at 20 µg

Secondary

All lanes:

Goat Anti-Rabbit IgG (HRP) with minimal cross-reactivity with human IgG at 1/2000 dilution

Predicted band size: 73 kDa

false

Exposure time: 60s

Flow Cytometry (Intracellular) - Anti-MMP2 antibody [EPR1184] (AB92536)
  • Flow Cyt (Intra)

Lab

Flow Cytometry (Intracellular) - Anti-MMP2 antibody [EPR1184] (AB92536)

Intracellular Flow Cytometry analysis of PC-3 (human prostate adenocarcinoma) cells labeling MMP2 with purified ab92536 at 1/180 dilution (10ug/ml) (red). Cells were fixed with 4% paraformaldehyde and permeabilised with 90% methanol. A Goat anti rabbit IgG (Alexa Fluorr® 488) (1/2000 dilution) was used as the secondary antibody. Rabbit monoclonal IgG (Black) was used as the isotype control, cells without incubation with primary antibody and secondary antibody (Blue) were used as the unlabeled control.

Immunocytochemistry/ Immunofluorescence - Anti-MMP2 antibody [EPR1184] (AB92536)
  • ICC/IF

Unknown

Immunocytochemistry/ Immunofluorescence - Anti-MMP2 antibody [EPR1184] (AB92536)

Immunofluorescence staining of PC-3 cells with purified ab92536 at a working dilution of 1/250 counter-stained with DAPI. The secondary antibody was Alexa Fluor® 488 goat anti-rabbit (ab150077) used at a dilution of 1/1000. ab7291 a mouse anti-tubulin antibody (1/1000) was used to stain tubulin along with ab150120 (Alexa Fluor® 594 goat anti-mouse 1/1000) shown in the top right hand panel. The cells were fixed in 4% PFA and permeabilized using 0.1% Triton X 100. The negative controls are shown in bottom middle and right hand panels - for negative control 1 purified ab92536 was used at a dilution of 1/500 followed by an Alexa Fluor® 594 goat anti-mouse antibody (ab150120) at a dilution of 1/500. For negative control 2 ab7291 (mouse anti-tubulin) was used at a dilution of 1/500 followed by an Alexa Fluor® 488 goat anti-rabbit antibody (ab150077) at a dilution of 1/400.

Flow Cytometry (Intracellular) - Anti-MMP2 antibody [EPR1184] (AB92536)
  • Flow Cyt (Intra)

Unknown

Flow Cytometry (Intracellular) - Anti-MMP2 antibody [EPR1184] (AB92536)

Overlay histogram showing HeLa cells fixed in 4% PFA and stained with purified ab92536 at a dilution of 1 in 400 (red line). The secondary antibody used was FITC goat anti-rabbit at a dilution of 1 in 500. Rabbit monoclonal IgG was used as an isotype control (black line) and cells incubated in the absence of both primary and secondary antibody were used as a negative control (blue line).

Western blot - Anti-MMP2 antibody [EPR1184] (AB92536)
  • WB

Supplier Data

Western blot - Anti-MMP2 antibody [EPR1184] (AB92536)

The 72 KDa band is pro-MMP2 and the 69 KDa band is active-MMP2 reported by PMID 11489818 and 22190701.

Blocking and diluting buffer and concentration : 5% NFDM/TBST.

This antibody shows low affinity in detecting mouse liver and HepG2 lysates which are positive for MMP2 reported by PMID 24096707 and 24297510.

All lanes:

Western blot - Anti-MMP2 antibody [EPR1184] (ab92536) at 1/1000 dilution

Lane 1:

L6 (Rat skeletal muscle myoblast) whole cell lysates prepared in 1%SDS Hot lysis method at 20 µg

Lane 2:

Mouse liver lysates prepared in RIPA lysis method at 20 µg

Lane 3:

Mouse liver lysates prepared in 1%SDS Hot lysis method at 20 µg

Lane 4:

Raw264.7 (Mouse Abelson murine leukemia virus-induced tumor macrophage) whole cell lysates prepared in RIPA lysis method at 20 µg

Lane 5:

Raw264.7 (Mouse Abelson murine leukemia virus-induced tumor macrophage) whole cell lysates prepared in 1%SDS Hot lysis method at 20 µg

Lane 6:

HepG2 (Human hepatocellular carcinoma epithelial cell) whole cell lysates prepared in RIPA lysis method at 20 µg

Lane 7:

HepG2 (Human hepatocellular carcinoma epithelial cell) whole cell lysates prepared in 1%SDS Hot lysis method at 20 µg

Secondary

All lanes:

Western blot - Goat Anti-Rabbit IgG H&L (HRP) (<a href='/products/secondary-antibodies/goat-rabbit-igg-h-l-hrp-ab97051'>ab97051</a>) at 1/20000 dilution

Predicted band size: 73 kDa

Observed band size: 69 kDa,72 kDa

false

Exposure time: 10s

Western blot - Anti-MMP2 antibody [EPR1184] (AB92536)
  • WB

Lab

Western blot - Anti-MMP2 antibody [EPR1184] (AB92536)

Blocking and diluting buffer and concentration : 5% NFDM/TBST. ab181602 was used as a GAPDH loading control. Compared with ab92536, ab181286 has higher sensitivity. We recommend ab181286 as an alternative for testing MMP2 in western blot.

Lanes 1 - 3:

Western blot - Anti-MMP2 antibody [EPR1184] (ab92536) at 1/1000 dilution

Lanes 1 - 3:

Western blot - Anti-MMP2 antibody [EPR17003-25] (<a href='/products/primary-antibodies/mmp2-antibody-epr17003-25-ab181286'>ab181286</a>)

Lane 1:

Human plasma tissue lysate at 20 µg

Lane 2:

Human brain tissue lysate at 20 µg

Lane 3:

Human breast tissue lysate at 20 µg

Secondary

All lanes:

Goat Anti-Rabbit IgG (HRP) with minimal cross-reactivity with human IgG at 1/2000 dilution

Predicted band size: 73 kDa

Observed band size: 69 kDa,72 kDa

false

Exposure time: 60s

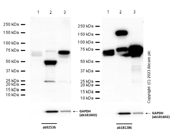
Western blot - Anti-MMP2 antibody [EPR1184] (AB92536)
  • WB

Unknown

Western blot - Anti-MMP2 antibody [EPR1184] (AB92536)

All lanes:

Western blot - Anti-MMP2 antibody [EPR1184] (ab92536) at 1/1000 dilution

Lane 1:

L6 cell lysate at 10 µg

Lane 2:

Fetal heart lysate at 10 µg

Lane 3:

NIH/3T3 cell lysate at 10 µg

Secondary

All lanes:

HRP labelled goat anti-rabbit at 1/2000 dilution

Predicted band size: 73 kDa

false

Western blot - Anti-MMP2 antibody [EPR1184] (AB92536)
  • WB

Lab

Western blot - Anti-MMP2 antibody [EPR1184] (AB92536)

Blocking buffer : 5% NFDM/TBST
Dilution buffer : 5% NFDM/TBST

72kDa : propeptide; 64kDa : active form

All lanes:

Western blot - Anti-MMP2 antibody [EPR1184] (ab92536) at 1/5000 dilution

All lanes:

human skin at 10 µg

Secondary

All lanes:

HRP goat anti-rabbit IgG (H+L) at 1/1000 dilution

Predicted band size: 73 kDa

Observed band size: 64 kDa,72 kDa

false

Western blot - Anti-MMP2 antibody [EPR1184] (AB92536)
  • WB

Lab

Western blot - Anti-MMP2 antibody [EPR1184] (AB92536)

Blocking buffer : 5% NFDM/TBST
Dilution buffer : 5% NFDM/TBST

72kDa : propeptide; 64kDa : active form

All lanes:

Western blot - Anti-MMP2 antibody [EPR1184] (ab92536) at 1/10000 dilution

Lane 1:

L6 cell lysate at 20 µg

Lane 2:

NIH/3T3 cell lysate at 20 µg

Secondary

All lanes:

HRP goat anti-rabbit IgG (H+L) at 1/1000 dilution

Predicted band size: 73 kDa

Observed band size: 64 kDa,72 kDa

false

不同偶联物与剂型 (9)

关键信息

宿主种属

Rabbit

克隆

Monoclonal

克隆号

EPR1184

亚型

IgG

不含载体蛋白

No

反应种属

Mouse, Rat, Human

应用

Flow Cyt (Intra), ICC/IF, WB

applications

免疫原

The exact immunogen used to generate this antibody is proprietary information.

特异性

In Western Blot, this product typically gives a weaker signal in some hepatocarcinoma like HepG2, MHCC97L (PMID: 33184263) et al. Please use recommended positive control when testing these cells.

Compared with ab92536, ab181286 has higher sensitivity. We recommend ab181286 as an alternative for testing MMP2 in western blot.

This antibody shows low affinity in detecting mouse liver and HepG2 lysates which are positive for MMP2 reported by PMID 24096707 and 24297510.

反应性数据

{ "title": "Reactivity Data", "filters": { "stats": ["", "Species", "Dilution Info", "Notes"], "tabs": { "all-applications": {"fullname" : "All Applications", "shortname": "All Applications"}, "WB" : {"fullname" : "Western blot", "shortname":"WB"}, "IHCP" : {"fullname" : "Immunohistochemistry (Formalin/PFA-fixed paraffin-embedded sections)", "shortname":"IHC-P"}, "ICCIF" : {"fullname" : "Immunocytochemistry/ Immunofluorescence", "shortname":"ICC/IF"}, "FlowCytIntra" : {"fullname" : "Flow Cytometry (Intracellular)", "shortname":"Flow Cyt (Intra)"} }, "product-promise": { "all": "all", "testedAndGuaranteed": "tested", "guaranteed": "expected", "predicted": "predicted", "notRecommended": "not-recommended" } }, "values": { "Human": { "WB-species-checked": "testedAndGuaranteed", "WB-species-dilution-info": "1/1000 - 1/5000", "WB-species-notes": "<p>For Lysate preparation protocol, please refer to the protocol <a data-tabindex-counter=\"1\" data-tabindex-value=\"none\" href=\"../../technical-resources/protocols/lysate-preparation-for-western-blot\" tabindex=\"-1\">here.</a></p><p>Compared with ab92536, <a href='/products/primary-antibodies/mmp2-antibody-epr17003-25-ab181286'>ab181286</a> has higher sensitivity. We recommend <a href='/products/primary-antibodies/mmp2-antibody-epr17003-25-ab181286'>ab181286</a> as an alternative for testing MMP2 in western blot.</p>", "IHCP-species-checked": "notRecommended", "IHCP-species-dilution-info": "", "IHCP-species-notes": "<p></p>", "ICCIF-species-checked": "testedAndGuaranteed", "ICCIF-species-dilution-info": "1/250", "ICCIF-species-notes": "<p></p>", "FlowCytIntra-species-checked": "testedAndGuaranteed", "FlowCytIntra-species-dilution-info": "1/400", "FlowCytIntra-species-notes": "<p>For unpurified, use 1/70. <a href='/products/primary-antibodies/rabbit-igg-monoclonal-epr25a-isotype-control-ab172730'>ab172730</a> - Rabbit monoclonal IgG, is suitable for use as an isotype control with this antibody.</p>" }, "Mouse": { "WB-species-checked": "testedAndGuaranteed", "WB-species-dilution-info": "1/1000 - 1/5000", "WB-species-notes": "<p>For Lysate preparation protocol, please refer to the protocol <a data-tabindex-counter=\"1\" data-tabindex-value=\"none\" href=\"../../technical-resources/protocols/lysate-preparation-for-western-blot\" tabindex=\"-1\">here.</a></p><p>Compared with ab92536, <a href='/products/primary-antibodies/mmp2-antibody-epr17003-25-ab181286'>ab181286</a> has higher sensitivity. We recommend <a href='/products/primary-antibodies/mmp2-antibody-epr17003-25-ab181286'>ab181286</a> as an alternative for testing MMP2 in western blot.</p>", "IHCP-species-checked": "notRecommended", "IHCP-species-dilution-info": "", "IHCP-species-notes": "<p></p>", "ICCIF-species-checked": "guaranteed", "ICCIF-species-dilution-info": "", "ICCIF-species-notes": "", "FlowCytIntra-species-checked": "guaranteed", "FlowCytIntra-species-dilution-info": "", "FlowCytIntra-species-notes": "" }, "Rat": { "WB-species-checked": "testedAndGuaranteed", "WB-species-dilution-info": "1/1000 - 1/5000", "WB-species-notes": "<p>For Lysate preparation protocol, please refer to the protocol <a data-tabindex-counter=\"1\" data-tabindex-value=\"none\" href=\"../../technical-resources/protocols/lysate-preparation-for-western-blot\" tabindex=\"-1\">here.</a></p><p>Compared with ab92536, <a href='/products/primary-antibodies/mmp2-antibody-epr17003-25-ab181286'>ab181286</a> has higher sensitivity. We recommend <a href='/products/primary-antibodies/mmp2-antibody-epr17003-25-ab181286'>ab181286</a> as an alternative for testing MMP2 in western blot.</p>", "IHCP-species-checked": "notRecommended", "IHCP-species-dilution-info": "", "IHCP-species-notes": "<p></p>", "ICCIF-species-checked": "guaranteed", "ICCIF-species-dilution-info": "", "ICCIF-species-notes": "", "FlowCytIntra-species-checked": "guaranteed", "FlowCytIntra-species-dilution-info": "", "FlowCytIntra-species-notes": "" } } }

产品详情

Product Specifications
Anti-MMP2 antibody [EPR1184] (ab92536) was developed by Abcam using patented rabbit monoclonal antibody technology and is validated for use in Flow Cyt (Intra), ICC/IF, WB in human, mouse, rat samples.
Anti-MMP2 antibody [EPR1184] (ab92536) specifically detects MMP2 (UniProt ID: P08253; Molecular weight: 62kDa) and is sold in 100 µL and 1 mL selling sizes.

Quality and Validation
Abcam's high quality manufacturing and validation processes ensure Anti-MMP2 antibody [EPR1184] (ab92536) has high sensitivity and specificity alongside high lot-to-lot consistency and reproducibility.
Anti-MMP2 antibody [EPR1184] (ab92536) has been cited over 376 times in peer reviewed journals and is trusted by the scientific community.
Anti-MMP2 antibody [EPR1184] (ab92536) has 7 independent reviews from customers.

Related Products
Antibody clone EPR1184 is also available pre-conjugated to a variety of labels for your convenience - Alexa Fluor® 488, Alexa Fluor® 647, APC, PE, Alexa Fluor® 594, Alexa Fluor® 568, Alexa Fluor® 555 (ab237473, ab237474, ab310884, ab310940, ab311718, ab312994, ab313199).

Patented technology
Our RabMAb® technology is a patented hybridoma-based technology for making rabbit monoclonal antibodies. For details on our patents, please refer to RabMAb® patents.

What are the advantages of a recombinant monoclonal antibody?
This product is a recombinant monoclonal antibody, which offers several advantages including:

  • - High batch-to-batch consistency and reproducibility
  • - Improved sensitivity and specificity
  • - Long-term security of supply
  • - Animal-free batch production

For more information, read more on recombinant antibodies.

性能和储存信息

形式
Liquid
纯化工艺
Affinity purification Protein A
存储溶液
pH: 7.2 - 7.4 Preservative: 0.01% Sodium azide Constituents: PBS, 40% Glycerol (glycerin, glycerine), 0.05% BSA
运输条件
Blue Ice
推荐的短期储存时间
1-2 weeks
推荐的短期储存条件
+4°C
推荐的长期储存条件
-20°C
分装信息
Upon delivery aliquot
储存信息
Stable for 12 months at -20°C

补充信息

This supplementary information is collated from multiple sources and compiled automatically.

The MMP-2 protein also known as matrix metalloproteinase-2 or gelatinase A is an enzyme involved in the breakdown of extracellular matrix components. It plays a critical role in tissue remodeling and cell migration. Comprised of a molecular weight of approximately 72 kDa this metalloproteinase is secreted as an inactive proenzyme that requires activation. MMP2 is expressed in various tissues including the brain heart and blood vessels where it contributes to normal physiological processes and pathological conditions.
Biological function summary

Matrix metalloproteinase-2 is mainly involved in the degradation of type IV and V collagens gelatin and fibronectin. As part of the metalloproteinase family it works alongside other MMPs to maintain tissue homeostasis and repair. MMP-2 forms part of a complex network that ensures the timely degradation of matrix components balancing synthesis and breakdown. It remains regulated by tissue inhibitors of metalloproteinases (TIMPs) preventing excessive degradation that could lead to tissue damage.

Pathways

MMP-2 plays a significant role within the extracellular matrix (ECM) remodeling and angiogenesis pathways. It interacts with various proteins including integrins and TIMP-2 to modulate cellular behaviors such as migration and invasion. MMP-2 contributes to processes like wound healing and embryonic development through its involvement in ECM degradation and new tissue formation.

Matrix metalloproteinase-2 is linked to cancer progression and cardiovascular diseases. In cancer abnormal MMP-2 activity facilitates tumor invasion and metastasis by breaking down matrix barriers. Increased MMP-2 expression associates with poor prognosis in cancers like breast and prostate. In cardiovascular diseases such as atherosclerosis it contributes to plaque destabilization and vascular remodeling. The imbalance in MMP-2 activity and its regulation by proteins like TIMP-1 are involved in the pathology of these disorders.

产品实验方案

For this product, it's our understanding that no specific protocols are required. You can visit:

靶点信息

Ubiquitinous metalloproteinase that is involved in diverse functions such as remodeling of the vasculature, angiogenesis, tissue repair, tumor invasion, inflammation, and atherosclerotic plaque rupture. As well as degrading extracellular matrix proteins, can also act on several nonmatrix proteins such as big endothelial 1 and beta-type CGRP promoting vasoconstriction. Also cleaves KISS at a Gly-|-Leu bond. Appears to have a role in myocardial cell death pathways. Contributes to myocardial oxidative stress by regulating the activity of GSK3beta. Cleaves GSK3beta in vitro. Involved in the formation of the fibrovascular tissues in association with MMP14.. PEX, the C-terminal non-catalytic fragment of MMP2, possesses anti-angiogenic and anti-tumor properties and inhibits cell migration and cell adhesion to FGF2 and vitronectin. Ligand for integrinv/beta3 on the surface of blood vessels.. Isoform 2. Mediates the proteolysis of CHUK/IKKA and initiates a primary innate immune response by inducing mitochondrial-nuclear stress signaling with activation of the pro-inflammatory NF-kappaB, NFAT and IRF transcriptional pathways.
See full target information MMP2

文献 (587)

Recent publications for all applications. Explore the full list and refine your search

Journal of cell communication and signaling 19:e70048 PubMed41040887

2025

Targeting the PI3K/Akt/NF-κB axis: Cluster of differentiation 5-like-mediated immunometabolic regulation of macrophage polarization in abdominal aortic aneurysm.

Applications

Unspecified application

Species

Unspecified reactive species

Hemoren Yi,Nan Liu,Zhengyang Wu,Lei Li,Tingting Li,Qixiang Liu,Man Duan,Taihu Wan

Molecular medicine reports 32: PubMed40999952

2025

HSPD1 regulates angiotensin II‑induced atrial fibrillation via the PPAR signaling pathway.

Applications

Unspecified application

Species

Unspecified reactive species

Yimeng Zhou,Lianzhi Zhang,Shunping Zhou,Wenjia Zhang,Qunlin Gong,Nan Xu,Jiahong Wang,Zhong Zhang,Nannan Chen

Cancers 17: PubMed40941029

2025

A Novel Nuclear-Localized Micropeptide, MP60, Promotes Hepatocellular Carcinoma Progression via the Epithelial-Mesenchymal Transition.

Applications

Unspecified application

Species

Unspecified reactive species

Chencheng Li,Xiu Hong,Sarra Setrerrahmane,Xiaoyi Sun,Xue Zhang,Hanmei Xu

eLife 12: PubMed40864167

2025

mutations cause high myopia by triggering PI3K-AKT and NF-κB-mediated signaling pathway in humans and mice.

Applications

Unspecified application

Species

Unspecified reactive species

Chong Chen,Qian Liu,Cheng Tang,Yu Rong,Xinyi Zhao,Dandan Li,Fan Lu,Jia Qu,Xinting Liu

Frontiers in pharmacology 16:1605531 PubMed40697663

2025

Dihydroartemisinin targets the miR-497-5p/SOX5 axis to suppress tumor progression in non-small cell lung cancer.

Applications

Unspecified application

Species

Unspecified reactive species

Qing-Hua Yin,Qiang Zhou,Jian-Bing Hu,Jie Weng,Er-Dong Shen,Fang Wen,Song-Lian Liu,Lei-Lan Yin,Ya-Jun Tong,Ling Long,Ke-Wei Tang,Si-Te Bai,Lu-Di Ou

Molecular medicine reports 32: PubMed40641129

2025

AZD1080, a specific inhibitor of GSK‑3β, inhibits stemness and malignancies in osteosarcoma cancer stem‑like cells.

Applications

Unspecified application

Species

Unspecified reactive species

Peiyu Guo,Zhenkai Lou,Hongda Gong,Xiaodong Hou,Chunqiang Zhang,Bing Wang,Kaili Du

Neurochemical research 50:210 PubMed40571858

2025

Caveolin-1-Mediated Blood-Brain Barrier Disruption via MMP2/9 Contributes to Postoperative Cognitive Dysfunction.

Applications

Unspecified application

Species

Unspecified reactive species

Xinrui Li,Weihua Ding,Xia Zhang,Xiaodong Tang,Yueying Zheng,Yi Ma,Xiuxia Bao,Xianhui Kang,Shengmei Zhu

Hereditas 162:109 PubMed40533843

2025

Abnormal expression of miR-330-3p predicts post-prostatectomy urinary incontinence and regulates the function of urethral fibroblasts by targeting MMP2.

Applications

Unspecified application

Species

Unspecified reactive species

Xiaoying Feng,Yuanyuan Mi,Mengye Weng

Clinical and experimental medicine 25:205 PubMed40517212

2025

HNF4A promotes tumor progression in gastric cancer by transcriptional activation of KIF2C.

Applications

Unspecified application

Species

Unspecified reactive species

Hao Lu,Jin-Heng Gan,Li-Qiang Zhou,Yi-Wu Yuan,Qi Zhou,Lin Xin

World journal of gastrointestinal oncology 17:104522 PubMed40487942

2025

Simvastatin inhibits proliferation and migration, promotes oxidative stress and ferroptosis in colon cancer.

Applications

Unspecified application

Species

Unspecified reactive species

Ying Liu,Hao Ge,Zhi-Min Fan,Ting Lu,Lei He,Meng Li,Hao-Ran Zhao,Qiang Leng
View all publications

Abcam Product Promise

我们致力于为您的研究提供高质量的试剂,为您科研的每一步提供支持。若我们的产品未能达到预期性能,我们向您提供 Abcam Product Promise 保障。
详情请参阅我们的条款与条件。

Please note: All products are 'FOR RESEARCH USE ONLY. NOT FOR USE IN DIAGNOSTIC OR THERAPEUTIC PROCEDURES'.

For licensing inquiries, please contact partnerships@abcam.com