JavaScript is disabled in your browser. Please enable JavaScript to view this website.
AB109016

重组Anti-MLLT11抗体[CHCR115]

Anti-MLLT11 antibody [CHCR115]

5

(3 Reviews)

|

(8 Publications)

Rabbit Recombinant Monoclonal MLLT11 antibody. Suitable for IHC-P, WB and reacts with Human samples. Cited in 8 publications.

查看别名

AF1Q, MLLT11, Protein AF1q

2 Images
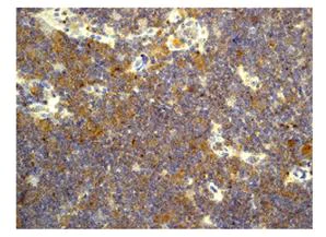
Immunohistochemistry (Formalin/PFA-fixed paraffin-embedded sections) - Anti-MLLT11 antibody [CHCR115] (AB109016)
  • IHC-P

Unknown

Immunohistochemistry (Formalin/PFA-fixed paraffin-embedded sections) - Anti-MLLT11 antibody [CHCR115] (AB109016)

Immunohistochemical analysis of MLLT11 expression in paraffin-embedded Human thymus tissue using ab109016 at 1/100 dilution.

Perform heat mediated antigen retrieval with citrate buffer pH 6 before commencing with IHC staining protocol.

Western blot - Anti-MLLT11 antibody [CHCR115] (AB109016)
  • WB

Unknown

Western blot - Anti-MLLT11 antibody [CHCR115] (AB109016)

All lanes:

Western blot - Anti-MLLT11 antibody [CHCR115] (ab109016) at 1/1000 dilution

Lane 1:

Jurkat cell lysate at 10 µg

Lane 2:

K562 cell lysate at 10 µg

Lane 3:

Molt4 cell lysate at 10 µg

Predicted band size: 10 kDa,36 kDa

false

不同偶联物与剂型 (1)

  • Carrier free

    Anti-MLLT11 antibody [CHCR115] - BSA and Azide free

关键信息

宿主种属

Rabbit

克隆

Monoclonal

克隆号

CHCR115

亚型

IgG

不含载体蛋白

No

反应种属

Human

应用

WB, IHC-P

applications

免疫原

The exact immunogen used to generate this antibody is proprietary information.

反应性数据

{ "title": "Reactivity Data", "filters": { "stats": ["", "Species", "Dilution Info", "Notes"], "tabs": { "all-applications": {"fullname" : "All Applications", "shortname": "All Applications"}, "IHCP" : {"fullname" : "Immunohistochemistry (Formalin/PFA-fixed paraffin-embedded sections)", "shortname":"IHC-P"}, "IP" : {"fullname" : "Immunoprecipitation", "shortname":"IP"}, "FlowCyt" : {"fullname" : "Flow Cytometry", "shortname":"Flow Cyt"}, "WB" : {"fullname" : "Western blot", "shortname":"WB"} }, "product-promise": { "all": "all", "testedAndGuaranteed": "tested", "guaranteed": "expected", "predicted": "predicted", "notRecommended": "not-recommended" } }, "values": { "Human": { "IHCP-species-checked": "testedAndGuaranteed", "IHCP-species-dilution-info": "1/100 - 1/250", "IHCP-species-notes": "<p></p>", "IP-species-checked": "notRecommended", "IP-species-dilution-info": "", "IP-species-notes": "<p></p>", "FlowCyt-species-checked": "notRecommended", "FlowCyt-species-dilution-info": "", "FlowCyt-species-notes": "<p></p>", "WB-species-checked": "testedAndGuaranteed", "WB-species-dilution-info": "1/1000 - 1/10000", "WB-species-notes": "<p></p>" } } }

产品详情

Species reactivity
Mouse, Rat: We have preliminary internal testing data to indicate this antibody may not react with these species.
Please contact us for more information.

Patented technology
Our RabMAb® technology is a patented hybridoma-based technology for making rabbit monoclonal antibodies. For details on our patents, please refer to RabMAb® patents.

What are the advantages of a recombinant monoclonal antibody?
This product is a recombinant monoclonal antibody, which offers several advantages including:

  • - High batch-to-batch consistency and reproducibility
  • - Improved sensitivity and specificity
  • - Long-term security of supply
  • - Animal-free batch production

For more information, read more on recombinant antibodies.

性能和储存信息

形式
Liquid
纯度
Tissue culture supernatant
存储溶液
pH: 7.2 - 7.4 Preservative: 0.05% Sodium azide Constituents: 50% Tissue culture supernatant, 40% Glycerol (glycerin, glycerine), 9.85% Tris glycine
运输条件
Blue Ice
推荐的短期储存条件
+4°C
推荐的长期储存条件
-20°C
储存信息
Stable for 12 months at -20°C

产品实验方案

For this product, it's our understanding that no specific protocols are required. You can visit:

靶点信息

Cofactor for the transcription factor TCF7 (PubMed : 26079538). Involved in regulation of lymphoid development by driving multipotent hematopoietic progenitor cells towards a T cell fate (PubMed : 21715312).
See full target information MLLT11

文献 (8)

Recent publications for all applications. Explore the full list and refine your search

Cancer medicine 14:e70658 PubMed40062505

2025

Radiation-Enhanced AF1q Moves Center Stage as a Key Driver to Favorable Tumor Stage in Rectal Cancer Patients.

Applications

Unspecified application

Species

Unspecified reactive species

Elisabeth S Gruber,Georg Oberhuber,Elisabeth Gurnhofer,Robert Eferl,Gerald Timelthaler,Béla Teleky,D I Dietmar Georg,Joachim Widder,William Tse,Lukas Kenner

Scientific reports 14:15988 PubMed38987552

2024

Screening for oncogenic AF1q expression predicts disease recurrence in gastric cancer patients.

Applications

Unspecified application

Species

Unspecified reactive species

Elisabeth S Gruber,Georg Oberhuber,Michaela Schlederer,Peter Birner,Gerd Jomrich,Sebastian F Schoppmann,William Tse,Lukas Kenner

International journal of molecular sciences 25: PubMed38203610

2024

MLLT11 Regulates Endometrial Stroma Cell Adhesion, Proliferation and Survival in Ectopic Lesions of Women with Advanced Endometriosis.

Applications

Unspecified application

Species

Unspecified reactive species

Katharina Proestling,Heinrich Husslein,Quanah James Hudson,Matthias Witzmann-Stern,Barbara Widmar,Zsuzsanna Bagó-Horváth,Lejla Sandrieser,Alexandra Perricos,René Wenzl,Iveta Yotova

Frontiers in oncology 12:889351 PubMed36033495

2022

Identification of the novel prognostic biomarker, MLLT11, reveals its relationship with immune checkpoint markers in glioma.

Applications

Unspecified application

Species

Unspecified reactive species

Long Chen,Zujian Xiong,Hongyu Zhao,Chubei Teng,Hongwei Liu,Qi Huang,Siyi Wanggou,Xuejun Li

American journal of cancer research 11:2637-2653 PubMed34249419

2021

A naturally derived small molecule PSM0537 targets the AF1Q-TCF4 interaction to suppress COX2 expression and inhibit cell proliferation and metastasis in osteosarcoma.

Applications

Unspecified application

Species

Unspecified reactive species

Ning Duan,Wentao Zhang,Tao Song,Zhong Li,Xun Chen,Wei Ma

Frontiers in cellular neuroscience 13:523 PubMed31849612

2019

BMP2 Is Related to Hirschsprung's Disease and Required for Enteric Nervous System Development.

Applications

Unspecified application

Species

Unspecified reactive species

Sizhou Huang,Yi Wang,Lingfei Luo,Xiaoqing Li,Xianqing Jin,Shuangshuang Li,Xiaoping Yu,Min Yang,Zhenhua Guo

Cells 8: PubMed31671695

2019

The Oncogene AF1Q is Associated with WNT and STAT Signaling and Offers a Novel Independent Prognostic Marker in Patients with Resectable Esophageal Cancer.

Applications

Unspecified application

Species

Unspecified reactive species

Elisabeth S Gruber,Georg Oberhuber,Peter Birner,Michaela Schlederer,Michael Kenn,Wolfgang Schreiner,Gerd Jomrich,Sebastian F Schoppmann,Michael Gnant,William Tse,Lukas Kenner

Molecular therapy. Nucleic acids 11:312-322 PubMed29858066

2018

MicroRNA-411 Downregulation Enhances Tumor Growth by Upregulating MLLT11 Expression in Human Bladder Cancer.

Applications

Unspecified application

Species

Unspecified reactive species

Honglei Jin,Wenrui Sun,Yuanmei Zhang,Huiying Yan,Huating Liufu,Shuai Wang,Caiyi Chen,Jiayan Gu,Xiaohui Hua,Lingli Zhou,Guosong Jiang,Dapang Rao,Qipeng Xie,Haishan Huang,Chuanshu Huang
View all publications

Abcam Product Promise

我们致力于为您的研究提供高质量的试剂,为您科研的每一步提供支持。若我们的产品未能达到预期性能,我们向您提供 Abcam Product Promise 保障。
详情请参阅我们的条款与条件。

Please note: All products are 'FOR RESEARCH USE ONLY. NOT FOR USE IN DIAGNOSTIC OR THERAPEUTIC PROCEDURES'.

For licensing inquiries, please contact partnerships@abcam.com