JavaScript is disabled in your browser. Please enable JavaScript to view this website.
AB196436

Anti-MLKL (phospho S345) 抗体 [EPR9515(2)]

Anti-MLKL (phospho S345) antibody [EPR9515(2)]

4

(27 Reviews)

|

(404 Publications)

Anti-MLKL (phospho S345) antibody [EPR9515(2)] (ab196436) is a rabbit monoclonal antibody detecting MLKL in Western Blot, IP, Dot Blot. Suitable for Mouse.

- Clone EPR9515(2) is the most cited clone to MLKL
- Biophysical QC for unrivalled batch-batch consistency
- Over 280 publications

查看别名

Mixed lineage kinase domain-like protein, Mlkl

7 Images
Western blot - Anti-MLKL (phospho S345) antibody [EPR9515(2)] (AB196436)
  • WB

Lab

Western blot - Anti-MLKL (phospho S345) antibody [EPR9515(2)] (AB196436)

Blocking and dilution buffer : 5% NFDM/TBST.

All lanes:

Western blot - Anti-MLKL (phospho S345) antibody [EPR9515(2)] (ab196436) at 1/1000 dilution

Lane 1:

Untreated L-929 (Mouse connective tissue fibroblast cells) whole cell lysate at 10 µg

Lane 2:

L-929 whole cell lysate treated with 20 ng/ml TNF alpha (<a href='/products/proteins-peptides/recombinant-human-tnf-alpha-protein-ab9642'>ab9642</a>), 100 nM Smac mimetic, and 20 µM z-VAD (<a href='/products/biochemicals/z-vadoh-fmk-irreversible-general-caspase-inhibitor-ab120382'>ab120382</a>) for 8 h and then harvested. at 10 µg

Secondary

All lanes:

Peroxidase-conjugated goat anti-rabbit IgG (H+L) at 1/1000 dilution

Predicted band size: 54 kDa

Observed band size: 54 kDa

false

Exposure time: 15s

Western blot - Anti-MLKL (phospho S345) antibody [EPR9515(2)] (AB196436)
  • WB

Lab

Western blot - Anti-MLKL (phospho S345) antibody [EPR9515(2)] (AB196436)

Blocking and diluting buffer : 5% NFDM/TBST.

MLKL pS345 is a trigger for necroptosis. It is only detectable in infection/cellular damaged (PMID : 29229989) or aging tissue (PMID : 28807105) but not in normal tissues.

All lanes:

Western blot - Anti-MLKL (phospho S345) antibody [EPR9515(2)] (ab196436) at 1/1000 dilution

Lane 1:

L-929 treated with 20 ng/ml TNF alpha (<a href='/products/proteins-peptides/recombinant-human-tnf-alpha-protein-ab9642'>ab9642</a>), 100 nM Smac mimetic, and 20 µM z-VAD (<a href='/products/biochemicals/z-vadoh-fmk-irreversible-general-caspase-inhibitor-ab120382'>ab120382</a>) for 8 h, whole cell lysate at 20 µg

Lane 2:

Mouse brain tissue lysate at 20 µg

Lane 3:

Mouse colon tissue lysate at 20 µg

Lane 4:

Mouse lung tissue lysate at 20 µg

Lane 5:

Mouse retina tissue lysate at 20 µg

Lane 6:

Mouse liver tissue lysate at 20 µg

Lane 7:

Raw264.7 (Mouse Abelson murine leukemia virus-induced tumor macrophage) whole cell lysate at 20 µg

Secondary

All lanes:

Western blot - Goat Anti-Rabbit IgG H&L (HRP) (<a href='/products/secondary-antibodies/goat-rabbit-igg-h-l-hrp-ab97051'>ab97051</a>) at 1/20000 dilution

Predicted band size: 54 kDa

Observed band size: 54 kDa

false

Exposure time: 50s

Western blot - Anti-MLKL (phospho S345) antibody [EPR9515(2)] (AB196436)
  • WB

Supplier Data

Western blot - Anti-MLKL (phospho S345) antibody [EPR9515(2)] (AB196436)

Blocking and diluting buffer : 5% NFDM/TBTS.

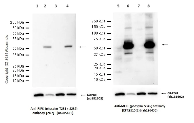
ab181602 was used as a loading control at 1/1000000 dilution.

We recommend involving downstream protein p-MLKL as a control to validate the stimulation of p-RIP3.

Lanes 1 - 4:

Western blot - Anti-RIP3 (phospho T231 + S232) antibody [2D7] (<a href='/products/primary-antibodies/rip3-phospho-t231-s232-antibody-2d7-ab205421'>ab205421</a>) at 1/1000 dilution

Lanes 5 - 8:

Western blot - Anti-MLKL (phospho S345) antibody [EPR9515(2)] (ab196436) at 1/1000 dilution

Lanes 1, 3, 5 and 7:

Untreated L-929 (mouse connective tissue fibroblast cell line) whole cell lysate at 20 µg

Lanes 2 and 6:

L-929 (mouse connective tissue fibroblast cell line) treated with 20 ng/ml TNF-a, 100 nM Smac mimetic and 20 μM z-VAD for 8 hours whole cell lysate at 20 µg

Lanes 4 and 8:

L-929 (mouse connective tissue fibroblast cell line) treated with 20 ng/ml TNF-a, 100 nM Smac mimetic and 20 μM z-VAD for 6 hours whole cell lysate at 20 µg

Secondary

Lanes 1 - 4:

Peroxidase-Conjugated Goat anti-Mouse IgG (H+L) at 1/20000 dilution

Lanes 5 - 8:

Western blot - Goat Anti-Rabbit IgG H&L (HRP) (<a href='/products/secondary-antibodies/goat-rabbit-igg-h-l-hrp-ab97051'>ab97051</a>) at 1/20000 dilution

Predicted band size: 57 kDa,54 kDa

Observed band size: 53 kDa

false

Exposure time: 180s

Western blot - Anti-MLKL (phospho S345) antibody [EPR9515(2)] (AB196436)
  • WB

Supplier Data

Western blot - Anti-MLKL (phospho S345) antibody [EPR9515(2)] (AB196436)

Blocking and diluting buffer concentration : 5% NFDM/TBST.

ab181602 GAPDH was used as a loading control at 1/1000000 dilution.

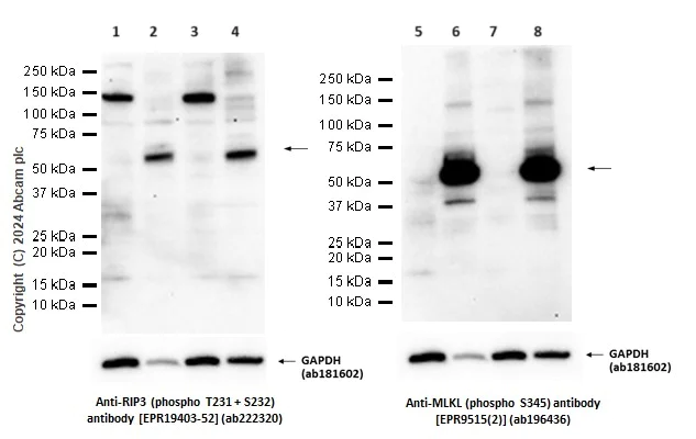
We recommend involving downstream protein p-MLKL as a control to validate the stimulation of p-RIP3.

Lanes 1 - 4:

Western blot - Anti-RIP3 (phospho T231 + S232) antibody [EPR19403-52] (<a href='/products/primary-antibodies/rip3-phospho-t231-s232-antibody-epr19403-52-ab222320'>ab222320</a>) at 1/1000 dilution

Lanes 5 - 8:

Western blot - Anti-MLKL (phospho S345) antibody [EPR9515(2)] (ab196436) at 1/1000 dilution

Lanes 1, 3, 5 and 7:

Untreated L-929 (mouse connective tissue fibroblast cell line) whole cell lysate at 20 µg

Lanes 2 and 6:

L-929 (mouse connective tissue fibroblast cell line) treated with 20 ng/ml TNF-a, 100 nM Smac mimetic and 20 μM z-VAD for 8 hours whole cell lysate at 20 µg

Lanes 4 and 8:

L-929 (mouse connective tissue fibroblast cell line) treated with 20 ng/ml TNF-a, 100 nM Smac mimetic and 20 μM z-VAD for 6 hours whole cell lysate at 20 µg

Secondary

All lanes:

Western blot - Goat Anti-Rabbit IgG H&L (HRP) (<a href='/products/secondary-antibodies/goat-rabbit-igg-h-l-hrp-ab97051'>ab97051</a>) at 1/20000 dilution

Predicted band size: 57 kDa,54 kDa

Observed band size: 53 kDa

false

Exposure time: 180s

Western blot - Anti-MLKL (phospho S345) antibody [EPR9515(2)] (AB196436)
  • WB

Supplier Data

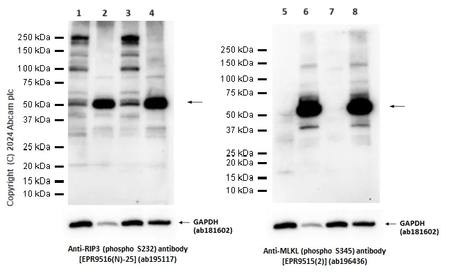
Western blot - Anti-MLKL (phospho S345) antibody [EPR9515(2)] (AB196436)

Blocking and diluting buffer : 5% NFDM/TBST.

ab181602 was used as a loading control at 1/1000000 dilution.

We recommend involving downstream protein p-MLKL as a control to validate the stimulation of p-RIP3.

Lanes 1 - 4:

Western blot - Anti-RIP3 (phospho S232) antibody [EPR9516(N)-25] (<a href='/products/primary-antibodies/rip3-phospho-s232-antibody-epr9516n-25-ab195117'>ab195117</a>) at 1/1000 dilution

Lanes 5 - 8:

Western blot - Anti-MLKL (phospho S345) antibody [EPR9515(2)] (ab196436) at 1/1000 dilution

Lanes 1, 3, 5 and 7:

Untreated L-929 (mouse connective tissue fibroblast cell line) whole cell lysate at 20 µg

Lanes 2 and 6:

L-929 (mouse connective tissue fibroblast cell line) treated with 20 ng/ml TNF-a, 100 nM Smac mimetic and 20 μM z-VAD for 8 hours whole cell lysate at 20 µg

Lanes 4 and 8:

L-929 (mouse connective tissue fibroblast cell line) treated with 20 ng/ml TNF-a, 100 nM Smac mimetic and 20 μM z-VAD for 6 hours whole cell lysate at 20 µg

Secondary

All lanes:

Western blot - Goat Anti-Rabbit IgG H&L (HRP) (<a href='/products/secondary-antibodies/goat-rabbit-igg-h-l-hrp-ab97051'>ab97051</a>) at 1/20000 dilution

Predicted band size: 57 kDa,54 kDa

Observed band size: 53 kDa

false

Exposure time: 180s

Immunoprecipitation - Anti-MLKL (phospho S345) antibody [EPR9515(2)] (AB196436)
  • IP

Lab

Immunoprecipitation - Anti-MLKL (phospho S345) antibody [EPR9515(2)] (AB196436)

MLKL (phospho S345) was immunoprecipitated from 1mg of L-929 (Mouse connective tissue fibroblast cells) whole cell lysate treated with 20 ng/ml TNF alpha (ab9642) + 100 nM Smac mimetic + 20 μM z-VAD compound (ab120382) for 8h using ab196436 at 1/150 dilution. Western blot was performed from the immunoprecipitate using ab196436 at 1/1000 dilution. Anti-Rabbit IgG (HRP), specific to the non-reduced form of IgG, was used as secondary antibody at 1/1500 dilution.

Lane 1 : L-929 whole cell lysate treated with 20 ng/ml TNF alpha (ab9642) + 100 nM Smac mimetic+ 20 μM z-VAD compound (ab120382) for 8h;10 μg (Input).
Lane 2 : ab196436 IP in L-929 whole cell lysate treated with 20 ng/ml TNF alpha (ab9642) + 100 nM Smac mimetic+ 20 μM z-VAD compound (ab120382) for 8h.
Lane 3 : Rabbit monoclonal IgG (ab172730) instead of ab196436 in L-929 whole cell lysate treated with 20 ng/ml TNF alpha (ab9642) + 100 nM Smac mimetic+ 20 μM z-VAD compound (ab120382) for 8h.

Blocking and dilution buffer and concentration : 5% NFDM/TBST.

All lanes:

Immunoprecipitation - Anti-MLKL (phospho S345) antibody [EPR9515(2)] (ab196436)

All lanes:

Immunoprecipitation - Recombinant human TNF alpha protein (<a href='/products/proteins-peptides/recombinant-human-tnf-alpha-protein-ab9642'>ab9642</a>)

Predicted band size: 54 kDa

Observed band size: 54 kDa

false

Dot Blot - Anti-MLKL (phospho S345) antibody [EPR9515(2)] (AB196436)
  • Dot

Supplier Data

Dot Blot - Anti-MLKL (phospho S345) antibody [EPR9515(2)] (AB196436)

Dot blot analysis of MLKL (phospho S345) peptide (Lane 1), and non-phospho peptide (Lane 2), labeled using ab196436 at 1/1000 dilution, followed by Goat Anti-Rabbit IgG, (H+L), Peroxidase conjugated secondary antibody at 1/1000 dilution.

Blocking and dilution buffer : 5% NFDM/TBST.

Exposure time : 3 minutes.

关键信息

宿主种属

Rabbit

克隆

Monoclonal

克隆号

EPR9515(2)

亚型

IgG

不含载体蛋白

No

反应种属

Mouse

应用

Dot, IP, WB

applications

免疫原

The exact immunogen used to generate this antibody is proprietary information.

特异性

MLKL pS345 is a trigger for necroptosis. It is only detectable in infection/cellular damaged (PMID:29229989) or aging tissue (PMID: 28807105) but not in normal tissues.

FURTHER INFORMATION ON SPECIFICITY (Chinese Version) available under the product protocols section. This file inculdes key techinical notes of experience when using this product.

反应性数据

{ "title": "Reactivity Data", "filters": { "stats": ["", "Species", "Dilution Info", "Notes"], "tabs": { "all-applications": {"fullname" : "All Applications", "shortname": "All Applications"}, "IP" : {"fullname" : "Immunoprecipitation", "shortname":"IP"}, "Dot" : {"fullname" : "Dot Blot", "shortname":"Dot"}, "WB" : {"fullname" : "Western blot", "shortname":"WB"} }, "product-promise": { "all": "all", "testedAndGuaranteed": "tested", "guaranteed": "expected", "predicted": "predicted", "notRecommended": "not-recommended" } }, "values": { "Mouse": { "IP-species-checked": "testedAndGuaranteed", "IP-species-dilution-info": "1/150", "IP-species-notes": "<p></p>", "Dot-species-checked": "guaranteed", "Dot-species-dilution-info": "", "Dot-species-notes": "", "WB-species-checked": "testedAndGuaranteed", "WB-species-dilution-info": "1/1000", "WB-species-notes": "<p></p>" }, "Synthetic peptide - Mouse": { "IP-species-checked": "notRecommended", "IP-species-dilution-info": "", "IP-species-notes": "", "Dot-species-checked": "testedAndGuaranteed", "Dot-species-dilution-info": "1/1000", "Dot-species-notes": "<p></p>", "WB-species-checked": "notRecommended", "WB-species-dilution-info": "", "WB-species-notes": "" } } }

产品详情

Anti-MLKL (phospho S345) antibody [EPR9515(2)] (ab196436) was developed by Abcam using patented rabbit monoclonal antibody technology and is validated for use in Dot Blot, IP and WB.

Anti-MLKL (phospho S345) antibody [EPR9515(2)] (ab196436) was first used in a scientific publication in 2016 and has been cited over 288 times in peer reviewed journals. It's performance in Western Blot and IHC in mouse samples is trusted by the scientific community.

Abcam's high quality manufacturing and validation processes ensure Anti-MLKL (phospho S345) antibody [EPR9515(2)] (ab196436) has high sensitivity and specificity alongside high lot-to-lot consistency and reproducibility.

Anti-MLKL (phospho S345) antibody [EPR9515(2)] (ab196436) has 25 independent reviews from customers.

Anti-MLKL (phospho S345) antibody [EPR9515(2)] (ab196436) specifically detects MLKL Phospho-S345 (UniProt ID: Q9D2Y4; Molecular weight: 55kDa) and is sold in 100 µL and 1 mL selling sizes.

Conjugation-ready, carrier free format available for antibody clone EPR9515(2) - ab208910.

Antibody clone EPR9515(2) is also available pre-conjugated to a variety of labels for your convenience - HRP (ab208430).

Mixed lineage kinase domain-like protein (MLKL) is a key executor of necroptosis, a form of programmed cell death and its expression is associated with both tumor suppression and promotion, depending on the cancer type. Its role in necroptosis and other cellular processes makes it a potential prognostic marker and therapeutic target in oncology.

Patented technology
Our RabMAb® technology is a patented hybridoma-based technology for making rabbit monoclonal antibodies. For details on our patents, please refer to RabMAb® patents.

What are the advantages of a recombinant monoclonal antibody?
This product is a recombinant monoclonal antibody, which offers several advantages including:

  • - High batch-to-batch consistency and reproducibility
  • - Improved sensitivity and specificity
  • - Long-term security of supply
  • - Animal-free batch production

For more information, read more on recombinant antibodies.

性能和储存信息

形式
Liquid
纯化工艺
Affinity purification Protein A
存储溶液
pH: 7.2 - 7.4 Preservative: 0.01% Sodium azide Constituents: PBS, 40% Glycerol (glycerin, glycerine), 0.05% BSA
运输条件
Blue Ice
推荐的短期储存时间
1-2 weeks
推荐的短期储存条件
+4°C
推荐的长期储存条件
-20°C
分装信息
Upon delivery aliquot
储存信息
Avoid freeze / thaw cycle

补充信息

This supplementary information is collated from multiple sources and compiled automatically.

MLKL also known as mixed lineage kinase domain-like protein plays a critical role in the process of necroptosis a form of programmed cell death. The MLKL protein has a molecular weight of approximately 54 kDa. The protein exists mainly within the cytoplasm but translocates to the plasma membrane during cell death execution. Expression of MLKL happens in various tissues indicating its wide biological importance. Phosphorylation of MLKL often referred to as p-MLKL is key to triggering its activity marking the transition from an inactive to an active state during necroptosis.
Biological function summary

The MLKL protein acts as an executioner of cell death by forming a complex that disrupts the plasma membrane integrity. This process is downstream of receptor-interacting serine/threonine-protein kinase 3 (RIPK3) which phosphorylates MLKL to form the active necrosome complex. Active MLKL oligomerizes and migrates towards the inner leaflet of the plasma membrane binding to phosphatidylinositol phosphates which assists in pore formation and cellular rupture. The ability to measure MLKL activity levels such as via MLKL ELISA kits is important for understanding necrotic processes in detailed studies.

Pathways

MLKL is integrally involved in the necroptotic pathway alongside RIPK1 and RIPK3 which are key initiators of necroptosis. Phosphorylated MLKL acts downstream of RIPK3 resulting in cell death without caspase activation distinguishing necroptosis from apoptosis. MLKL and RIPK3 are tightly linked within this pathway with MLKL phosphorylation serving as a vital event for the execution phase. The necroptosis pathway is part of larger networks including inflammatory response pathways highlighting the importance of MLKL's role beyond sheer cell death.

MLKL has been implicated in various inflammatory conditions and neurodegenerative diseases. The dysregulation of necroptosis can contribute to disorders such as inflammatory bowel disease and amyotrophic lateral sclerosis. In inflammatory bowel disease increased levels of p-MLKL might lead to excessive cell death exacerbating inflammation. Similarly in neurodegenerative disorders the harmful activation of MLKL may accelerate neuronal cell death. Key interactions with proteins like RIPK3 and RIPK1 highlight MLKL's involvement in these pathological processes making it a potential target for therapeutic intervention.

产品实验方案

For this product, it's our understanding that no specific protocols are required. You can visit:

靶点信息

Pseudokinase that plays a key role in TNF-induced necroptosis, a programmed cell death process (PubMed : 23835476, PubMed : 24012422, PubMed : 24019532, PubMed : 27321907, PubMed : 32200799, PubMed : 32296175). Does not have protein kinase activity (PubMed : 24012422). Activated following phosphorylation by RIPK3, leading to homotrimerization, localization to the plasma membrane and execution of programmed necrosis characterized by calcium influx and plasma membrane damage (PubMed : 23835476, PubMed : 24012422, PubMed : 24019532, PubMed : 27321907). In addition to TNF-induced necroptosis, necroptosis can also take place in the nucleus in response to orthomyxoviruses infection : following ZBP1 activation, which senses double-stranded Z-RNA structures, nuclear RIPK3 catalyzes phosphorylation and activation of MLKL, promoting disruption of the nuclear envelope and leakage of cellular DNA into the cytosol (PubMed : 32200799, PubMed : 32296175). Binds to highly phosphorylated inositol phosphates such as inositolhexakisphosphate (InsP6) which is essential for its necroptotic function (By similarity).
See full target information Mlkl phospho S345

文献 (404)

Recent publications for all applications. Explore the full list and refine your search

Toxics 13: PubMed41012357

2025

Methamphetamine Exposure Induces Neuronal Programmed Necrosis by Permeabilizing Mitochondria via the RIPK1-RIPK3-MLKL Axis.

Applications

Unspecified application

Species

Unspecified reactive species

Peng Zhou,Jiankang Xuan,Weixiao Xu,Di An,Sining Meng,Hongchao Zhang,Miaoyang Hu,Wanqingyang Hui,Yifei Wang,Jie Cheng,Jianping Xiong,Jun Wang,Xufeng Chen

Cell research 35:840-858 PubMed40940518

2025

Soluble tissue factor generated by necroptosis-triggered shedding is responsible for thrombosis.

Applications

Unspecified application

Species

Unspecified reactive species

Peixing Wan,Swati Choksi,Yeon-Ji Park,Xin Chen,Jiong Yan,Sahar Foroutannejad,Zhaoshan Liu,Jichun Chen,Ross Lake,Chengyu Liu,Zheng-Gang Liu

Cell death discovery 11:413 PubMed40877228

2025

Discovery of Zharp1-163 as a dual inhibitor of ferroptosis and necroptosis for the treatment of inflammatory disorders and kidney injury.

Applications

Unspecified application

Species

Unspecified reactive species

Yuting Ji,Shujing Du,Jingjing Li,Haikuo Ma,Xinhui Wang,Yongjin Hao,Zhanhui Li,Haohao Lu,Hao Liu,Chengkui Yang,Xiaohu Zhang,Sudan He

Research (Washington, D.C.) 8:0823 PubMed40822127

2025

USP53 Drives Ethanol-Induced Myocardial Injury by Promoting K63 Deubiquitination-Dependent RIPK1 Activation at K377.

Applications

Unspecified application

Species

Unspecified reactive species

Jichen Pan,Xiaolin Liu,Xiao Li,Shanshan Wang,Yuliang Zhao,Chong Yuan,Dongdong Liu,Liyan Wang,Meng Zhang,Fengming Liu,Mei Zhang,Shen Dai

Cellular & molecular biology letters 30:87 PubMed40691547

2025

Integrated transcriptomics and metabolomics confirms the oxidative stress mechanism of hypothermia-induced neuronal necroptosis.

Applications

Unspecified application

Species

Unspecified reactive species

Song-Jun Wang,Chao-Long Lu,Fu Zhang,Xue-Tong Dong,Xiao-Rui Su,Jing-Jing Sha,Bin Cong,Xia Liu

Scientific reports 15:22592 PubMed40595878

2025

LncRNAs regulates cell death in osteosarcoma.

Applications

Unspecified application

Species

Unspecified reactive species

Ping'an Zou,Zhiwei Tao,Zhengxu Yang,Tao Xiong,Zhi Deng,Qincan Chen,Li Niu

Cell death & disease 16:456 PubMed40533460

2025

TAK1 inhibition activates pore-forming proteins to block intracellular bacterial growth through modulating mitochondria.

Applications

Unspecified application

Species

Unspecified reactive species

Wilfred López-Pérez,Roland E González-Calderón,Kazuhito Sai,Prashant Rai,Jacqueline M MacStudy,Yosuke Sakamachi,Cameron Parsons,Sophia Kathariou,Michael B Fessler,Jun Ninomiya-Tsuji

Cell death & disease 16:426 PubMed40456737

2025

FDA-approved phensuximide inhibits RIPK1-dependent immunogenic cell death.

Applications

Unspecified application

Species

Unspecified reactive species

Byeong-Ju Kim,Sun Mi Hong,Hyun-Jin Noh,Jihye Kim,Su-Yeon Seon,Jeong-Eun Lee,Da-Hye Jeong,Ju-Mi Park,Sejeong Park,Sanghoon Lee,Jaewoo Kang,Dakeun Lee,Michael J Morgan,You-Sun Kim

Signal transduction and targeted therapy 10:171 PubMed40404630

2025

Porphyromonas gingivalis aggravates atherosclerotic plaque instability by promoting lipid-laden macrophage necroptosis.

Applications

Unspecified application

Species

Unspecified reactive species

Xiaofei Huang,Mengru Xie,Yixuan Wang,Xiaofeng Lu,Feng Mei,Kaiwen Zhang,Xinlong Yang,Guangjin Chen,Ying Yin,Guangxia Feng,Wencheng Song,Nianguo Dong,Xuliang Deng,Songling Wang,Lili Chen

PLoS pathogens 21:e1013167 PubMed40359428

2025

Caspase-1-licensed pyroptosis drives dsRNA-mediated necroptosis and dampens host defense against bacterial pneumonia.

Applications

Unspecified application

Species

Unspecified reactive species

Qinyu Luo,Lihua Shen,Shiyue Yang,Yan Zhang,Yihang Pan,Zehua Wu,Qiang Shu,Qixing Chen
View all publications

Abcam Product Promise

我们致力于为您的研究提供高质量的试剂,为您科研的每一步提供支持。若我们的产品未能达到预期性能,我们向您提供 Abcam Product Promise 保障。
详情请参阅我们的条款与条件。

Please note: All products are 'FOR RESEARCH USE ONLY. NOT FOR USE IN DIAGNOSTIC OR THERAPEUTIC PROCEDURES'.

For licensing inquiries, please contact partnerships@abcam.com