JavaScript is disabled in your browser. Please enable JavaScript to view this website.
AB184718

重组Anti-MLKL抗体[EPR17514]

Anti-MLKL antibody [EPR17514]

  • RabMAb
  • Recombinant
  • KO Validated
  • 20ul selling size
  • 了解详情

5

(5 Reviews)

|

(126 Publications)

Anti-MLKL antibody [EPR17514] (ab184718) is a rabbit monoclonal antibody detecting MLKL in Western Blot, IHC-P, ICC/IF. Suitable for Human.

- KO validated for confirmed specificity
- Biophysical QC for unrivalled batch-batch consistency
- Over 80 publications

查看别名

Mixed lineage kinase domain-like protein, hMLKL, MLKL

7 Images
Western blot - Anti-MLKL antibody [EPR17514] (AB184718)
  • WB

Unknown

Western blot - Anti-MLKL antibody [EPR17514] (AB184718)

Lanes 1 - 4 : Merged signal (red and green). Green - ab184718 observed at 54 kDa. Red - loading control, ab8245 observed at 37 kDa.

ab184718 was shown to react with MLKL in wild-type HeLa cells. Loss of signal was observed when knockout cell line ab255408 (knockout cell lysate ab263788) was used. Wild-type and MLKL knockout samples were subjected to SDS-PAGE. ab184718 and Anti-GAPDH antibody [6C5] - Loading Control (ab8245) were incubated overnight at 4°C at 1 in 1000 dilution and 1 in 20000 dilution respectively. Blots were developed with Goat anti-Rabbit IgG H&L (IRDye® 800CW) preadsorbed (ab216773) and Goat anti-Mouse IgG H&L (IRDye® 680RD) preadsorbed (ab216776) secondary antibodies at 1 in 20000 dilution for 1 hour at room temperature before imaging.

All lanes:

Western blot - Anti-MLKL antibody [EPR17514] (ab184718) at 1/1000 dilution

Lane 1:

HUVEC cell lysate at 20 µg

Lane 2:

HT-29 cell lysate at 20 µg

Lane 2:

Western blot - Human MLKL knockout HeLa cell line (<a href='/products/cell-lines/human-mlkl-knockout-hela-cell-line-ab255408'>ab255408</a>)

Lane 3:

Wild-type HeLa cell lysate at 20 µg

Lane 4:

MLKL knockout HeLa cell lysate at 20 µg

Secondary

All lanes:

Western blot - Goat anti-Rabbit IgG H&L (IRDye® 800CW) preadsorbed (<a href='/products/secondary-antibodies/goat-rabbit-igg-h-l-irdye-800cw-preadsorbed-ab216773'>ab216773</a>) at 1/20000 dilution

Predicted band size: 54 kDa

Observed band size: 37 kDa,54 kDa

false

Immunohistochemistry (Formalin/PFA-fixed paraffin-embedded sections) - Anti-MLKL antibody [EPR17514] (AB184718)
  • IHC-P

Supplier Data

Immunohistochemistry (Formalin/PFA-fixed paraffin-embedded sections) - Anti-MLKL antibody [EPR17514] (AB184718)

Immunohistochemical analysis of paraffin-embedded Human tonsil tissue labeling MLKL with ab184718 at 1/400 dilution, followed by Goat Anti-Rabbit IgG H&L (HRP) secondary antibody (ab97051) at 1/500 dilution. Cytoplasmic staining on the lymphocytes of human tonsil is observed. Counter stained with Hematoxylin.

Negative control : Using PBS instead of primary antibody, secondary antibody is Goat Anti-Rabbit IgG H&L (HRP) (ab97051) at 1/500 dilution.

Perform heat mediated antigen retrieval with Tris/EDTA buffer pH 9.0 before commencing with IHC staining protocol.

Immunocytochemistry/ Immunofluorescence - Anti-MLKL antibody [EPR17514] (AB184718)
  • ICC/IF

Lab

Immunocytochemistry/ Immunofluorescence - Anti-MLKL antibody [EPR17514] (AB184718)

ab184718 staining MLKL in HT-29 (Human colorectal adenocarcinoma epithelial cell) cells by Immunocytochemistry (ICC). Cells were fixed with 100% Methanol. Samples were incubated with primary antibody at 1/200 dilution (6.5μg/ml). An AlexaFluor® 488 Goat anti-Rabbit (ab150077) was used as the secondary antibody at 1/1000 dilution (2μg/ml). ab195889 , Anti-alpha Tubulin antibody [DM1A] - Microtubule Marker (Alexa Fluor® 594) was used as the counterstain antibody (1/200 dilution, 2.5 μg/ml . DAPI was used as a nuclear counterstain. Confocal image showing cytoplasmic staining on HT-29 cell line.

Immunohistochemistry (Formalin/PFA-fixed paraffin-embedded sections) - Anti-MLKL antibody [EPR17514] (AB184718)
  • IHC-P

Supplier Data

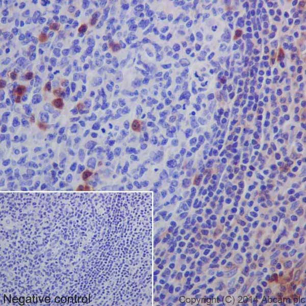
Immunohistochemistry (Formalin/PFA-fixed paraffin-embedded sections) - Anti-MLKL antibody [EPR17514] (AB184718)

Immunohistochemical analysis of paraffin-embedded Human colonic adenocarcinoma tissue labeling MLKL with ab184718 at 1/400 dilution, followed by Goat Anti-Rabbit IgG H&L (HRP) secondary antibody (ab97051) at 1/500 dilution. Cytoplasmic staining on tumor cells of human colonic adenocarcinoma is observed. Counter stained with Hematoxylin.

Negative control : Using PBS instead of primary antibody, secondary antibody is Goat Anti-Rabbit IgG H&L (HRP) (ab97051) at 1/500 dilution.

Perform heat mediated antigen retrieval with Tris/EDTA buffer pH 9.0 before commencing with IHC staining protocol.

Western blot - Anti-MLKL antibody [EPR17514] (AB184718)
  • WB

Lab

Western blot - Anti-MLKL antibody [EPR17514] (AB184718)

Lanes 1 - 4 : Merged signal (red and green). Green - ab184718 observed at 55 kDa. Red - loading control, ab8245, observed at 37 kDa.

ab184718 was shown to recognize MLKL in wild-type HAP1 cells along with additional cross-reactive bands. No band was observed when MLKL knockout samples were examined. Wild-type and MLKL knockout samples were subjected to SDS-PAGE. ab184718 and ab8245 (loading control to GAPDH) were diluted to 1/1000 and 1/2000 respectively and incubated overnight at 4°C. Blots were developed with Goat anti-Rabbit IgG H&L (IRDye® 800CW) preadsorbed (ab216773) and Goat anti-Mouse IgG H&L (IRDye® 680RD) preadsorbed (ab216776) secondary antibodies at 1/10,000 dilution for 1 hour at room temperature before imaging.

All lanes:

Western blot - Anti-MLKL antibody [EPR17514] (ab184718) at 1/1000 dilution

Lane 1:

Wild-type HAP1 cell lysate at 20 µg

Lane 2:

MLKL knockout HAP1 cell lysate at 20 µg

Lane 3:

HeLa cell lysate at 20 µg

Lane 4:

Huvec cell lysate at 20 µg

Predicted band size: 54 kDa

false

Western blot - Anti-MLKL antibody [EPR17514] (AB184718)
  • WB

Supplier Data

Western blot - Anti-MLKL antibody [EPR17514] (AB184718)

Blocking/Dilution buffer : 5% NFDM/TBST.

All lanes:

Western blot - Anti-MLKL antibody [EPR17514] (ab184718) at 1/20000 dilution

Lane 1:

HUVEC (Human umbilical vein endothelial cell line) whole cell lysate at 20 µg

Lane 2:

HT-29 (Human colorectal adenocarcinoma cells) whole cell lysate at 20 µg

Secondary

All lanes:

Goat Anti-Rabbit IgG, (H+L),Peroxidase conjugated at 1/1000 dilution

Predicted band size: 54 kDa

false

Western blot - Anti-MLKL antibody [EPR17514] (AB184718)
  • WB

Supplier Data

Western blot - Anti-MLKL antibody [EPR17514] (AB184718)

Blocking/Dilution buffer : 5% NFDM/TBST.

All lanes:

Western blot - Anti-MLKL antibody [EPR17514] (ab184718) at 1/1000 dilution

All lanes:

Human fetal kidney lysate at 10 µg

Secondary

All lanes:

Anti-Rabbit IgG (HRP), specific to the non-reduced form of IgG at 1/1000 dilution

Predicted band size: 193 kDa,37 kDa,45 kDa,52 kDa,54 kDa,98 kDa

Observed band size: 115 kDa,193 kDa,35 kDa,37 kDa,45 kDa,52 kDa,54 kDa

false

不同偶联物与剂型 (4)

关键信息

宿主种属

Rabbit

克隆

Monoclonal

克隆号

EPR17514

亚型

IgG

不含载体蛋白

No

反应种属

Human

应用

IHC-P, ICC/IF, WB

applications

免疫原

The exact immunogen used to generate this antibody is proprietary information.

反应性数据

{ "title": "Reactivity Data", "filters": { "stats": ["", "Species", "Dilution Info", "Notes"], "tabs": { "all-applications": {"fullname" : "All Applications", "shortname": "All Applications"}, "WB" : {"fullname" : "Western blot", "shortname":"WB"}, "ICCIF" : {"fullname" : "Immunocytochemistry/ Immunofluorescence", "shortname":"ICC/IF"}, "IHCP" : {"fullname" : "Immunohistochemistry (Formalin/PFA-fixed paraffin-embedded sections)", "shortname":"IHC-P"} }, "product-promise": { "all": "all", "testedAndGuaranteed": "tested", "guaranteed": "expected", "predicted": "predicted", "notRecommended": "not-recommended" } }, "values": { "Human": { "WB-species-checked": "testedAndGuaranteed", "WB-species-dilution-info": "1/1000", "WB-species-notes": "<p></p>", "ICCIF-species-checked": "testedAndGuaranteed", "ICCIF-species-dilution-info": "1/200", "ICCIF-species-notes": "<p></p>", "IHCP-species-checked": "testedAndGuaranteed", "IHCP-species-dilution-info": "1/400", "IHCP-species-notes": "<p></p> Perform heat-mediated antigen retrieval with Tris/EDTA buffer pH 9.0 before commencing with IHC staining protocol." } } }

产品详情

Product Specifications

Anti-MLKL antibody [EPR17514] (ab184718) was developed by Abcam using patented rabbit monoclonal antibody technology and is validated for use in ICC/IF, IHC-P, WB in human samples.
Anti-MLKL antibody [EPR17514] (ab184718) specifically detects MLKL (UniProt ID: Q8NB16; Molecular weight: 54kDa) and is sold in 100 µL and 1 mL selling sizes.

Quality and Validation

Abcam's high quality manufacturing and validation processes ensure Anti-MLKL antibody [EPR17514] (ab184718) has high sensitivity and specificity alongside high lot-to-lot consistency and reproducibility.
The specificity of Anti-MLKL antibody [EPR17514] (ab184718) has been confirmed by testing in knockout samples.
Anti-MLKL antibody [EPR17514] (ab184718) has been cited over 84 times in peer reviewed journals and is trusted by the scientific community.
Anti-MLKL antibody [EPR17514] (ab184718) has 5 independent reviews from customers.
Related Products
Conjugation-ready, carrier free format available for antibody clone EPR17514 - ab211045.
Antibody clone EPR17514 is also available pre-conjugated to a variety of labels for your convenience - Alexa Fluor® 488, Alexa Fluor® 647, Alexa Fluor® 594 (ab207901, ab207902, ab208082).

Patented technology
Our RabMAb® technology is a patented hybridoma-based technology for making rabbit monoclonal antibodies. For details on our patents, please refer to RabMAb® patents.

What are the advantages of a recombinant monoclonal antibody?
This product is a recombinant monoclonal antibody, which offers several advantages including:

  • - High batch-to-batch consistency and reproducibility
  • - Improved sensitivity and specificity
  • - Long-term security of supply
  • - Animal-free batch production

For more information, read more on recombinant antibodies.

性能和储存信息

形式
Liquid
纯化工艺
Affinity purification Protein A
存储溶液
pH: 7.2 Preservative: 0.01% Sodium azide Constituents: PBS, 40% Glycerol (glycerin, glycerine), 0.05% BSA
运输条件
Blue Ice
推荐的短期储存时间
1-2 weeks
推荐的短期储存条件
+4°C
推荐的长期储存条件
-20°C
分装信息
Upon delivery aliquot
储存信息
Avoid freeze / thaw cycle

补充信息

This supplementary information is collated from multiple sources and compiled automatically.

MLKL also known as mixed lineage kinase domain-like protein plays a critical role in the process of necroptosis a form of programmed cell death. The MLKL protein has a molecular weight of approximately 54 kDa. The protein exists mainly within the cytoplasm but translocates to the plasma membrane during cell death execution. Expression of MLKL happens in various tissues indicating its wide biological importance. Phosphorylation of MLKL often referred to as p-MLKL is key to triggering its activity marking the transition from an inactive to an active state during necroptosis.
Biological function summary

The MLKL protein acts as an executioner of cell death by forming a complex that disrupts the plasma membrane integrity. This process is downstream of receptor-interacting serine/threonine-protein kinase 3 (RIPK3) which phosphorylates MLKL to form the active necrosome complex. Active MLKL oligomerizes and migrates towards the inner leaflet of the plasma membrane binding to phosphatidylinositol phosphates which assists in pore formation and cellular rupture. The ability to measure MLKL activity levels such as via MLKL ELISA kits is important for understanding necrotic processes in detailed studies.

Pathways

MLKL is integrally involved in the necroptotic pathway alongside RIPK1 and RIPK3 which are key initiators of necroptosis. Phosphorylated MLKL acts downstream of RIPK3 resulting in cell death without caspase activation distinguishing necroptosis from apoptosis. MLKL and RIPK3 are tightly linked within this pathway with MLKL phosphorylation serving as a vital event for the execution phase. The necroptosis pathway is part of larger networks including inflammatory response pathways highlighting the importance of MLKL's role beyond sheer cell death.

MLKL has been implicated in various inflammatory conditions and neurodegenerative diseases. The dysregulation of necroptosis can contribute to disorders such as inflammatory bowel disease and amyotrophic lateral sclerosis. In inflammatory bowel disease increased levels of p-MLKL might lead to excessive cell death exacerbating inflammation. Similarly in neurodegenerative disorders the harmful activation of MLKL may accelerate neuronal cell death. Key interactions with proteins like RIPK3 and RIPK1 highlight MLKL's involvement in these pathological processes making it a potential target for therapeutic intervention.

产品实验方案

For this product, it's our understanding that no specific protocols are required. You can visit:

靶点信息

Pseudokinase that plays a key role in TNF-induced necroptosis, a programmed cell death process (PubMed : 22265413, PubMed : 22265414, PubMed : 22421439, PubMed : 24316671). Does not have protein kinase activity (PubMed : 22265413, PubMed : 22265414, PubMed : 22421439, PubMed : 24316671). Activated following phosphorylation by RIPK3, leading to homotrimerization, localization to the plasma membrane and execution of programmed necrosis characterized by calcium influx and plasma membrane damage (PubMed : 22265413, PubMed : 22265414, PubMed : 22421439, PubMed : 24316671). In addition to TNF-induced necroptosis, necroptosis can also take place in the nucleus in response to orthomyxoviruses infection : following activation by ZBP1, MLKL is phosphorylated by RIPK3 in the nucleus, triggering disruption of the nuclear envelope and leakage of cellular DNA into the cytosol.following ZBP1 activation, which senses double-stranded Z-RNA structures, nuclear RIPK3 catalyzes phosphorylation and activation of MLKL, promoting disruption of the nuclear envelope and leakage of cellular DNA into the cytosol (By similarity). Binds to highly phosphorylated inositol phosphates such as inositolhexakisphosphate (InsP6) which is essential for its necroptotic function (PubMed : 29883610).
See full target information MLKL

文献 (126)

Recent publications for all applications. Explore the full list and refine your search

Toxics 13: PubMed41012357

2025

Methamphetamine Exposure Induces Neuronal Programmed Necrosis by Permeabilizing Mitochondria via the RIPK1-RIPK3-MLKL Axis.

Applications

Unspecified application

Species

Unspecified reactive species

Peng Zhou,Jiankang Xuan,Weixiao Xu,Di An,Sining Meng,Hongchao Zhang,Miaoyang Hu,Wanqingyang Hui,Yifei Wang,Jie Cheng,Jianping Xiong,Jun Wang,Xufeng Chen

Cell research 35:840-858 PubMed40940518

2025

Soluble tissue factor generated by necroptosis-triggered shedding is responsible for thrombosis.

Applications

Unspecified application

Species

Unspecified reactive species

Peixing Wan,Swati Choksi,Yeon-Ji Park,Xin Chen,Jiong Yan,Sahar Foroutannejad,Zhaoshan Liu,Jichun Chen,Ross Lake,Chengyu Liu,Zheng-Gang Liu

Cell death discovery 11:413 PubMed40877228

2025

Discovery of Zharp1-163 as a dual inhibitor of ferroptosis and necroptosis for the treatment of inflammatory disorders and kidney injury.

Applications

Unspecified application

Species

Unspecified reactive species

Yuting Ji,Shujing Du,Jingjing Li,Haikuo Ma,Xinhui Wang,Yongjin Hao,Zhanhui Li,Haohao Lu,Hao Liu,Chengkui Yang,Xiaohu Zhang,Sudan He

Frontiers in cell death 3: PubMed40809836

2025

ATF4-mediated expression of NOXA is critical for Necroptosis driven by Glucose Deprivation.

Applications

Unspecified application

Species

Unspecified reactive species

Sasiprapa Sonkaew,Ruwaida Rajna,Yeon-Ji Park,Jiong Yan,Zhaoshan Liu,Siriporn Jitkaew,Zheng-Gang Liu,Swati Choksi

Journal of cellular and molecular medicine 29:e70739 PubMed40771071

2025

Ischemia-Reperfusion Injury in Free Flaps: Molecular Mechanisms and Protective Effects of Remote Ischemic Preconditioning.

Applications

Unspecified application

Species

Unspecified reactive species

Marius Drysch,Alexander Fiedler,Tabea Kurbacher,Sonja Verena Schmidt,Felix Reinkemeier,Flemming Puscz,Mustafa Becerikli,Maria Fueth,Pia Weskamp,Marcus Lehnhardt,Christoph Wallner,Alexander Sogorski

Cell death discovery 11:345 PubMed40715038

2025

RIPK1 S213E mutant suppresses RIPK1-dependent cell death by preventing interactions with RIPK3 and CASP8.

Applications

Unspecified application

Species

Unspecified reactive species

Ning Nan,Hong Hu,Xinxin Zhu,Jia Liu,Feiyang Yuan,Zhijie Li,Huayi Wang

Scientific reports 15:22592 PubMed40595878

2025

LncRNAs regulates cell death in osteosarcoma.

Applications

Unspecified application

Species

Unspecified reactive species

Ping'an Zou,Zhiwei Tao,Zhengxu Yang,Tao Xiong,Zhi Deng,Qincan Chen,Li Niu

Cell death & disease 16:456 PubMed40533460

2025

TAK1 inhibition activates pore-forming proteins to block intracellular bacterial growth through modulating mitochondria.

Applications

Unspecified application

Species

Unspecified reactive species

Wilfred López-Pérez,Roland E González-Calderón,Kazuhito Sai,Prashant Rai,Jacqueline M MacStudy,Yosuke Sakamachi,Cameron Parsons,Sophia Kathariou,Michael B Fessler,Jun Ninomiya-Tsuji

Nature communications 16:4288 PubMed40341069

2025

Structure-based design of potent and selective inhibitors targeting RIPK3 for eliminating on-target toxicity in vitro.

Applications

Unspecified application

Species

Unspecified reactive species

Haixia Su,Guofeng Chen,Hang Xie,Wanchen Li,Muya Xiong,Jian He,Hangchen Hu,Wenfeng Zhao,Qiang Shao,Minjun Li,Qiang Zhao,Yechun Xu

Nature communications 16:4128 PubMed40319089

2025

Harnessing the FGFR2/NF2/YAP signaling-dependent necroptosis to develop an FGFR2/IL-8 dual blockade therapeutic strategy.

Applications

Unspecified application

Species

Unspecified reactive species

Dongshao Chen,Zitong Zhao,Ruoxi Hong,Di Yang,Ying Gong,Qingnan Wu,Yan Wang,Yiren Cao,Jie Chen,Yidi Tai,Haoyu Liu,Jinting Li,Jiawen Fan,Weimin Zhang,Yongmei Song,Qimin Zhan
View all publications

Abcam Product Promise

我们致力于为您的研究提供高质量的试剂,为您科研的每一步提供支持。若我们的产品未能达到预期性能,我们向您提供 Abcam Product Promise 保障。
详情请参阅我们的条款与条件。

Please note: All products are 'FOR RESEARCH USE ONLY. NOT FOR USE IN DIAGNOSTIC OR THERAPEUTIC PROCEDURES'.

For licensing inquiries, please contact partnerships@abcam.com