JavaScript is disabled in your browser. Please enable JavaScript to view this website.
AB321803

Anti-MIRO2 antibody [EPR29118-10]

Anti-MIRO2 antibody [EPR29118-10]

  • BOND RX™ Validated
  • 20ul selling size
  • Recombinant
  • RabMAb
  • KO Validated
  • 了解详情

Be the first to review this product! Submit a review

|

(0 Publication)

Knockout Tested Rabbit Recombinant Monoclonal MIRO2 antibody. Suitable for IHC-P, WB and reacts with Human, Mouse samples.

查看别名

ARHT2, C16orf39, RHOT2, Mitochondrial Rho GTPase 2, MIRO-2, hMiro-2, Ras homolog gene family member T2

10 Images
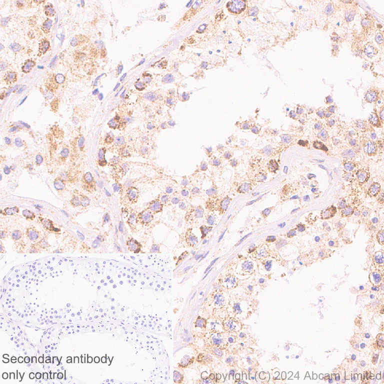
Immunohistochemistry (Formalin/PFA-fixed paraffin-embedded sections) - Anti-MIRO2 antibody [EPR29118-10] (AB321803)
  • IHC-P

Supplier Data

Immunohistochemistry (Formalin/PFA-fixed paraffin-embedded sections) - Anti-MIRO2 antibody [EPR29118-10] (AB321803)

Immunohistochemical analysis of paraffin-embedded Human testis tissue labeling MIRO2 with ab321803 at 1/50 (10.16 ug/ml) dilution, followed by a ready to use Rabbit specific IHC polymer detection kit HRP/DAB (ab209101).

Positive staining on human testis. The section was incubated with ab321803 for 30 mins at room temperature.
The immunostaining was performed on a Leica Biosystems BOND? RX instrument

Counterstained with Hematoxylin.

Secondary antibody only control : Secondary antibody is a ready to use Rabbit specific IHC polymer detection kit HRP/DAB (ab209101).

Heat mediated antigen retrieval was performed with Tris-EDTA buffer (pH 9.0, Epitope Retrieval Solution2) for 20 mins

Immunohistochemistry (Formalin/PFA-fixed paraffin-embedded sections) - Anti-MIRO2 antibody [EPR29118-10] (AB321803)
  • IHC-P

Supplier Data

Immunohistochemistry (Formalin/PFA-fixed paraffin-embedded sections) - Anti-MIRO2 antibody [EPR29118-10] (AB321803)

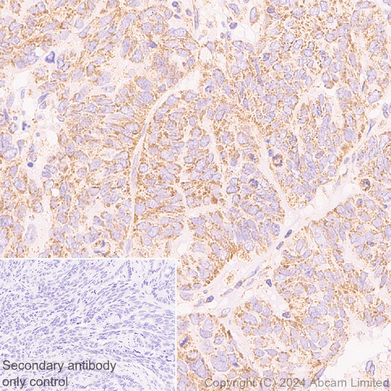
Immunohistochemical analysis of paraffin-embedded Human endometrial carcinoma tissue labeling MIRO2 with ab321803 at 1/50 (10.16 ug/ml) dilution, followed by a ready to use Rabbit specific IHC polymer detection kit HRP/DAB (ab209101).

Positive staining on human endometrial carcinoma. The section was incubated with ab321803 for 30 mins at room temperature.
The immunostaining was performed on a Leica Biosystems BOND? RX instrument

Counterstained with Hematoxylin.

Secondary antibody only control : Secondary antibody is a ready to use Rabbit specific IHC polymer detection kit HRP/DAB (ab209101).

Heat mediated antigen retrieval was performed with Tris-EDTA buffer (pH 9.0, Epitope Retrieval Solution2) for 20 mins

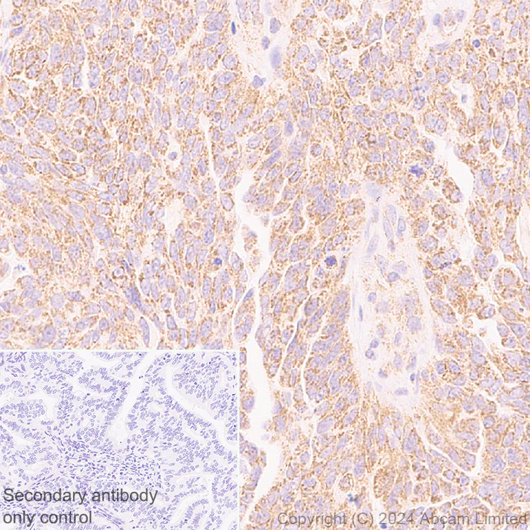
Immunohistochemistry (Formalin/PFA-fixed paraffin-embedded sections) - Anti-MIRO2 antibody [EPR29118-10] (AB321803)
  • IHC-P

Supplier Data

Immunohistochemistry (Formalin/PFA-fixed paraffin-embedded sections) - Anti-MIRO2 antibody [EPR29118-10] (AB321803)

Immunohistochemical analysis of paraffin-embedded Human colon carcinoma tissue labeling MIRO2 with ab321803 at 1/50 (10.16 ug/ml) dilution, followed by a ready to use Rabbit specific IHC polymer detection kit HRP/DAB (ab209101).

Positive staining on human colon carcinoma. The section was incubated with ab321803 for 30 mins at room temperature.
The immunostaining was performed on a Leica Biosystems BOND? RX instrument

Counterstained with Hematoxylin.

Secondary antibody only control : Secondary antibody is a ready to use Rabbit specific IHC polymer detection kit HRP/DAB (ab209101).

Heat mediated antigen retrieval was performed with Tris-EDTA buffer (pH 9.0, Epitope Retrieval Solution2) for 20 mins

Immunohistochemistry (Formalin/PFA-fixed paraffin-embedded sections) - Anti-MIRO2 antibody [EPR29118-10] (AB321803)
  • IHC-P

Supplier Data

Immunohistochemistry (Formalin/PFA-fixed paraffin-embedded sections) - Anti-MIRO2 antibody [EPR29118-10] (AB321803)

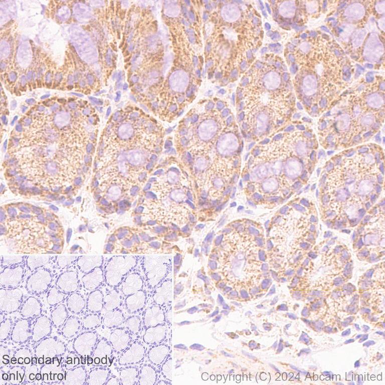
Immunohistochemical analysis of paraffin-embedded Human endometrium tissue labeling MIRO2 with ab321803 at 1/50 (10.16 ug/ml) dilution, followed by a ready to use Rabbit specific IHC polymer detection kit HRP/DAB (ab209101).

Positive staining on human endometrium. The section was incubated with ab321803 for 30 mins at room temperature.
The immunostaining was performed on a Leica Biosystems BOND? RX instrument

Counterstained with Hematoxylin.

Secondary antibody only control : Secondary antibody is a ready to use Rabbit specific IHC polymer detection kit HRP/DAB (ab209101).

Heat mediated antigen retrieval was performed with Tris-EDTA buffer (pH 9.0, Epitope Retrieval Solution2) for 20 mins

Immunohistochemistry (Formalin/PFA-fixed paraffin-embedded sections) - Anti-MIRO2 antibody [EPR29118-10] (AB321803)
  • IHC-P

Supplier Data

Immunohistochemistry (Formalin/PFA-fixed paraffin-embedded sections) - Anti-MIRO2 antibody [EPR29118-10] (AB321803)

Immunohistochemical analysis of paraffin-embedded Mouse testis tissue labeling MIRO2 with ab321803 at 1/50 (10.16 ug/ml) dilution, followed by a ready to use Rabbit specific IHC polymer detection kit HRP/DAB (ab209101).

Positive staining on mouse testis. The section was incubated with ab321803 for 30 mins at room temperature.
The immunostaining was performed on a Leica Biosystems BOND? RX instrument

Counterstained with Hematoxylin.

Secondary antibody only control : Secondary antibody is a ready to use Rabbit specific IHC polymer detection kit HRP/DAB (ab209101).

Heat mediated antigen retrieval was performed with Tris-EDTA buffer (pH 9.0, Epitope Retrieval Solution2) for 20 mins

Immunohistochemistry (Formalin/PFA-fixed paraffin-embedded sections) - Anti-MIRO2 antibody [EPR29118-10] (AB321803)
  • IHC-P

Supplier Data

Immunohistochemistry (Formalin/PFA-fixed paraffin-embedded sections) - Anti-MIRO2 antibody [EPR29118-10] (AB321803)

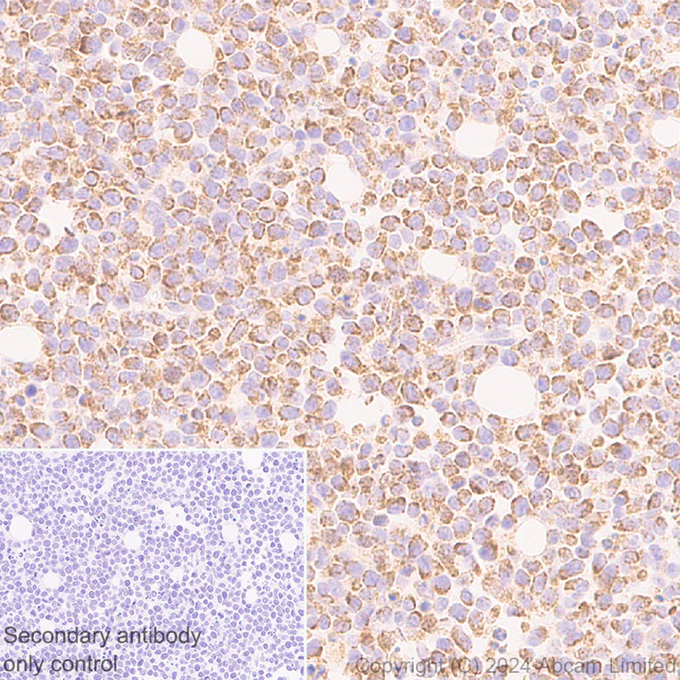
Immunohistochemical analysis of paraffin-embedded Mouse Burkitt's lymophoma tissue labeling MIRO2 with ab321803 at 1/50 (10.16 ug/ml) dilution, followed by a ready to use Rabbit specific IHC polymer detection kit HRP/DAB (ab209101).

Positive staining on mouse Burkitt's lymophoma. The section was incubated with ab321803 for 30 mins at room temperature.
The immunostaining was performed on a Leica Biosystems BOND? RX instrument

Counterstained with Hematoxylin.

Secondary antibody only control : Secondary antibody is a ready to use Rabbit specific IHC polymer detection kit HRP/DAB (ab209101).

Heat mediated antigen retrieval was performed with Tris-EDTA buffer (pH 9.0, Epitope Retrieval Solution2) for 20 mins

Immunohistochemistry (Formalin/PFA-fixed paraffin-embedded sections) - Anti-MIRO2 antibody [EPR29118-10] (AB321803)
  • IHC-P

Supplier Data

Immunohistochemistry (Formalin/PFA-fixed paraffin-embedded sections) - Anti-MIRO2 antibody [EPR29118-10] (AB321803)

Immunohistochemical analysis of paraffin-embedded Mouse colon tissue labeling MIRO2 with ab321803 at 1/50 (10.16 ug/ml) dilution, followed by a ready to use Rabbit specific IHC polymer detection kit HRP/DAB (ab209101).

Positive staining on mouse colon. The section was incubated with ab321803 for 30 mins at room temperature.
The immunostaining was performed on a Leica Biosystems BOND? RX instrument

Counterstained with Hematoxylin.

Secondary antibody only control : Secondary antibody is a ready to use Rabbit specific IHC polymer detection kit HRP/DAB (ab209101).

Heat mediated antigen retrieval was performed with Tris-EDTA buffer (pH 9.0, Epitope Retrieval Solution2) for 20 mins

Western blot - Anti-MIRO2 antibody [EPR29118-10] (AB321803)
  • WB

Supplier Data

Western blot - Anti-MIRO2 antibody [EPR29118-10] (AB321803)

Blocking and diluting buffer and concentration : 5% NFDM/TBST.

Low expression : mouse lung (PMID : 15218247).

In Western blot, Anti-GAPDH antibody [EPR16891] - Loading Control (ab181602) staining at 1/200000 dilution.

Exposure time : Lane 1 : 10 seconds; Lanes 2-3 : 26 seconds; Lanes 4-6 : 15 seconds.

All lanes:

Western blot - Anti-MIRO2 antibody [EPR29118-10] (ab321803) at 1/1000 dilution

Lane 1:

HepG2 (human hepatocellular carcinoma epithelial cell) whole cell lysate at 20 µg

Lane 2:

NIH/3T3 (mouse embryonic fibroblast) whole cell lysate at 20 µg

Lane 3:

MEF (mouse embryo fibroblast) whole cell lysate at 20 µg

Lane 4:

Mouse testis tissue lysate at 20 µg

Lane 5:

Mouse lung tissue lysate at 20 µg

Lane 6:

Mouse heart tissue lysate at 20 µg

Secondary

All lanes:

Western blot - Goat Anti-Rabbit IgG H&L (HRP) (<a href='/products/secondary-antibodies/goat-rabbit-igg-h-l-hrp-ab97051'>ab97051</a>) at 1/20000 dilution

Observed band size: 80 kDa,36 kDa

false

Western blot - Anti-MIRO2 antibody [EPR29118-10] (AB321803)
  • WB

Supplier Data

Western blot - Anti-MIRO2 antibody [EPR29118-10] (AB321803)

Blocking and diluting buffer and concentration : 5% NFDM/TBST.

This blot was developed using a high sensitivity ECL substrate. The high-sensitivity ECL substrate used allows for the detection of proteins in the mid-femtogram range.

All lanes:

Western blot - Anti-MIRO2 antibody [EPR29118-10] (ab321803) at 1/1000 dilution

Lane 1:

Human testis tissue lysate at 20 µg

Lane 2:

Human hippocampus tissue lysate at 20 µg

Secondary

All lanes:

Goat Anti-Rabbit IgG (HRP) with minimal cross-reactivity with human IgG at 1/2000 dilution

Observed band size: 80 kDa

true

Exposure time: 180s

Western blot - Anti-MIRO2 antibody [EPR29118-10] (AB321803)
  • WB

Supplier Data

Western blot - Anti-MIRO2 antibody [EPR29118-10] (AB321803)

Blocking and diluting buffer and concentration : Intercept® (TBS) Blocking Buffer diluted with an equal volume of TBS.

The samples were run on a Bis-Tris gel under reducing conditions.

Western blot : Anti-MIRO2 antibody (ab) staining at 1/1000 dilution, shown in green; Mouse anti-GAPDH antibody [6C5] (ab8245) loading control staining at 1/20000 dilution, shown in magenta.

In Western blot, ab was shown to bind specifically to MIRO2. Target of interest was observed at 80 kDa in wild-type HeLa cell lysates (lane 1) with no signal observed at this size MIRO2 knockout cell line (lane 2, knockout cell line ab265801 / knockout cell lysate ab257639). To generate this image, samples were first run on an SDS-PAGE gel then transferred onto an immobilon-FL PVDF membrane. Membranes were blocked in a fluorescent western blot (TBS-based) blocking solution before incubation with primary antibodies overnight at 4 °C. Blots were washed in TBS-T, incubated with secondary antibodies Goat anti-Rabbit IgG H&L 800CW and Goat anti-Mouse IgG H&L 680RD at 1/20000 dilution for 1 h at room temperature, washed again then imaged.

All lanes:

Western blot - Anti-MIRO2 antibody [EPR29118-10] (ab321803) at 1/1000 dilution

Lane 1:

Wild-type HeLa (human cervical adenocarcinoma epithelial cell) whole cell lysate at 20 µg

Lane 2:

MIRO2 knockout HeLa whole cell lysate at 20 µg

Lane 3:

293T (human embryonic kidney epithelial cell) whole cell lysate at 20 µg

Lane 4:

K-562 (human chronic myelogenous leukemia lymphoblast) whole cell lysate at 20 µg

Secondary

All lanes:

Goat Anti-Rabbit IgG H&L (800CW) and Goat Anti-Mouse IgG H&L (680RD) at 1/20000 dilution

Observed band size: 80 kDa,36 kDa

false

关键信息

宿主种属

Rabbit

克隆

Monoclonal

克隆号

EPR29118-10

亚型

IgG

不含载体蛋白

No

反应种属

Human, Mouse

应用

IHC-P, WB

applications

免疫原

The exact immunogen used to generate this antibody is proprietary information.

反应性数据

{ "title": "Reactivity Data", "filters": { "stats": ["", "Species", "Dilution Info", "Notes"], "tabs": { "all-applications": {"fullname" : "All Applications", "shortname": "All Applications"}, "IHCP" : {"fullname" : "Immunohistochemistry (Formalin/PFA-fixed paraffin-embedded sections)", "shortname":"IHC-P"}, "WB" : {"fullname" : "Western blot", "shortname":"WB"}, "ICCIF" : {"fullname" : "Immunocytochemistry/ Immunofluorescence", "shortname":"ICC/IF"} }, "product-promise": { "all": "all", "testedAndGuaranteed": "tested", "guaranteed": "expected", "predicted": "predicted", "notRecommended": "not-recommended" } }, "values": { "Human": { "IHCP-species-checked": "testedAndGuaranteed", "IHCP-species-dilution-info": "1/50", "IHCP-species-notes": "<p></p> Perform heat-mediated antigen retrieval with Tris/EDTA buffer pH 9.0 before commencing with IHC staining protocol.", "WB-species-checked": "testedAndGuaranteed", "WB-species-dilution-info": "1/1000", "WB-species-notes": "<p></p>", "ICCIF-species-checked": "notRecommended", "ICCIF-species-dilution-info": "", "ICCIF-species-notes": "<p></p>" }, "Mouse": { "IHCP-species-checked": "testedAndGuaranteed", "IHCP-species-dilution-info": "1/50", "IHCP-species-notes": "<p></p> Perform heat-mediated antigen retrieval with Tris/EDTA buffer pH 9.0 before commencing with IHC staining protocol.", "WB-species-checked": "testedAndGuaranteed", "WB-species-dilution-info": "1/1000", "WB-species-notes": "<p></p>", "ICCIF-species-checked": "notRecommended", "ICCIF-species-dilution-info": "", "ICCIF-species-notes": "<p></p>" } } }

产品详情

Patented technology
Our RabMAb® technology is a patented hybridoma-based technology for making rabbit monoclonal antibodies. For details on our patents, please refer to RabMAb® patents.

What are the advantages of a recombinant monoclonal antibody?
This product is a recombinant monoclonal antibody, which offers several advantages including:

  • - High batch-to-batch consistency and reproducibility
  • - Improved sensitivity and specificity
  • - Long-term security of supply
  • - Animal-free batch production

For more information, read more on recombinant antibodies.

性能和储存信息

形式
Liquid
纯化工艺
Affinity purification Protein A
存储溶液
pH: 7.2 - 7.4 Preservative: 0.01% Sodium azide Constituents: PBS, 40% Glycerol (glycerin, glycerine), 0.05% BSA
运输条件
Blue Ice
推荐的短期储存时间
1-2 weeks
推荐的短期储存条件
+4°C
推荐的长期储存条件
-20°C
分装信息
Upon delivery aliquot
储存信息
Avoid freeze / thaw cycle

补充信息

This supplementary information is collated from multiple sources and compiled automatically.

MIRO2 also known as Rhot2 or Mitochondrial Rho GTPase 2 is a mitochondrial Rho GTPase with a molecular weight of approximately 69 kDa. This protein belongs to the Rho family of GTPases and exists mainly on the mitochondrial outer membrane. It acts as a critical regulator of mitochondrial trafficking and dynamics. MIRO2 plays a pivotal role in the regulation of mitochondrial transport along the cytoskeleton by interacting with adaptor proteins. It features two EF-hand motifs and two GTPase domains that are essential for its function.
Biological function summary

MIRO2 contributes to the maintenance of mitochondrial network and quality within cells. It serves as a component of the calcium-sensing mitochondrial transport machinery and interacts with the transport protein complex including adaptor proteins like Milton and the motor protein kinesin. Through these interactions MIRO2 helps in coupling mitochondrial dynamics to cellular events by facilitating calcium-dependent docking and release of mitochondria. This function indicates the importance of MIRO2 in energy-demanding cellular processes.

Pathways

MIRO2 integrates into the mitochondrial transport and positioning pathways. It associates with the PINK1/Parkin pathway which is essential for mitochondrial quality control and turnover. The pathway leads to the balance of mitochondrial fission and fusion assisting in the removal of damaged mitochondria. Moreover MIRO2 collaborates with proteins like Mitofusins in these pathways to ensure efficient mitochondrial dynamics and bioenergetics.

MIRO2 has links to neurodegenerative diseases like Parkinson's disease. Dysfunction in the PINK1/Parkin pathway where MIRO2 participates leads to impaired mitophagy and neuronal cell death. Additionally imbalances in MIRO2 activity are implicated in the progression of certain types of cancer. In these contexts MIRO2 interacts with related proteins such as PINK1 and Mitofusins which play roles in disease mechanisms that involve mitochondrial dysfunction or aberrant cellular metabolism.

产品实验方案

For this product, it's our understanding that no specific protocols are required. You can visit:

靶点信息

Mitochondrial GTPase involved in mitochondrial trafficking (PubMed : 16630562, PubMed : 22396657). Probably involved in control of anterograde transport of mitochondria and their subcellular distribution (PubMed : 22396657).
See full target information RHOT2

Abcam Product Promise

我们致力于为您的研究提供高质量的试剂,为您科研的每一步提供支持。若我们的产品未能达到预期性能,我们向您提供 Abcam Product Promise 保障。
详情请参阅我们的条款与条件。

Please note: All products are 'FOR RESEARCH USE ONLY. NOT FOR USE IN DIAGNOSTIC OR THERAPEUTIC PROCEDURES'.

For licensing inquiries, please contact partnerships@abcam.com