JavaScript is disabled in your browser. Please enable JavaScript to view this website.
AB17787

Anti-Milk Fat Globule 1 抗体 [SPM291]

Anti-Milk Fat Globule 1 antibody [SPM291]

3

(1 Review)

|

(6 Publications)

Mouse Monoclonal Milk Fat Globule 1 antibody. Suitable for IHC-P and reacts with Human samples. Cited in 6 publications.

查看别名

Lactadherin, Breast epithelial antigen BA46, HMFG, MFGM, Milk fat globule-EGF factor 8, SED1, MFG-E8, MFGE8

4 Images
Immunohistochemistry (Formalin/PFA-fixed paraffin-embedded sections) - Anti-Milk Fat Globule 1 antibody [SPM291] (AB17787)
  • IHC-P

Unknown

Immunohistochemistry (Formalin/PFA-fixed paraffin-embedded sections) - Anti-Milk Fat Globule 1 antibody [SPM291] (AB17787)

IHC image of ab17787 staining in human carinoma breast formalin fixed paraffin embedded tissue section, performed on a Leica BondTM system using the standard protocol F. The section was pre-treated using heat mediated antigen retrieval with sodium citrate buffer (pH6, epitope retrieval solution 1) for 20 mins. The section was then incubated with ab17787, 1μg/ml, for 15 mins at room temperature and detected using an HRP conjugated compact polymer system. DAB was used as the chromogen. The section was then counterstained with haematoxylin and mounted with DPX.

For other IHC staining systems (automated and non-automated) customers should optimize variable parameters such as antigen retrieval conditions, primary antibody concentration and antibody incubation times.

Immunohistochemistry (Formalin/PFA-fixed paraffin-embedded sections) - Anti-Milk Fat Globule 1 antibody [SPM291] (AB17787)
  • IHC-P

Supplier Data

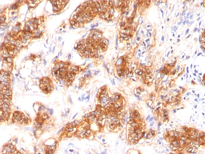
Immunohistochemistry (Formalin/PFA-fixed paraffin-embedded sections) - Anti-Milk Fat Globule 1 antibody [SPM291] (AB17787)

Immunohistochemical analysis of formalin-fixed, paraffin-embedded human pancreas tissue labeling Milk Fat Globule 1 with ab18878 at 1 ug/ml.

Immunohistochemistry (Formalin/PFA-fixed paraffin-embedded sections) - Anti-Milk Fat Globule 1 antibody [SPM291] (AB17787)
  • IHC-P

Unknown

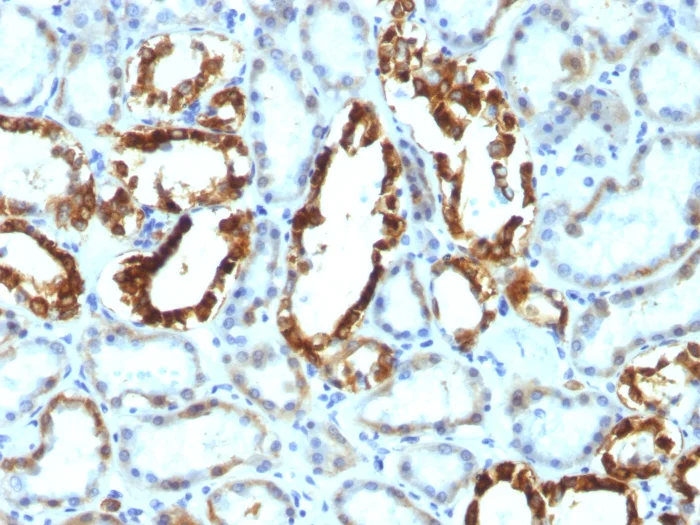
Immunohistochemistry (Formalin/PFA-fixed paraffin-embedded sections) - Anti-Milk Fat Globule 1 antibody [SPM291] (AB17787)

IHC image of ab17787 staining in human carinoma Renal Cell formalin fixed paraffin embedded tissue section, performed on a Leica BondTM system using the standard protocol F. The section was pre-treated using heat mediated antigen retrieval with sodium citrate buffer (pH6, epitope retrieval solution 1) for 20 mins. The section was then incubated with ab17787, 1μg/ml, for 15 mins at room temperature and detected using an HRP conjugated compact polymer system. DAB was used as the chromogen. The section was then counterstained with haematoxylin and mounted with DPX.

For other IHC staining systems (automated and non-automated) customers should optimize variable parameters such as antigen retrieval conditions, primary antibody concentration and antibody incubation times.

Immunohistochemistry (Formalin/PFA-fixed paraffin-embedded sections) - Anti-Milk Fat Globule 1 antibody [SPM291] (AB17787)
  • IHC-P

Supplier Data

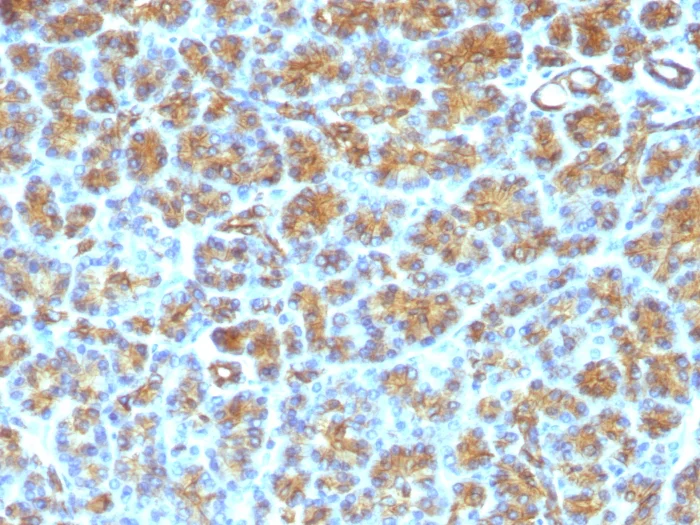
Immunohistochemistry (Formalin/PFA-fixed paraffin-embedded sections) - Anti-Milk Fat Globule 1 antibody [SPM291] (AB17787)

Immunohistochemical analysis of formalin-fixed, paraffin-embedded human lung carcinoma tissue labeling Milk Fat Globule 1 with ab18878 at 1 ug/ml.

关键信息

宿主种属

Mouse

克隆

Monoclonal

克隆号

SPM291

亚型

IgG1

轻链类型

kappa

不含载体蛋白

No

反应种属

Human

应用

IHC-P

applications

反应性数据

{ "title": "Reactivity Data", "filters": { "stats": ["", "Species", "Dilution Info", "Notes"], "tabs": { "all-applications": {"fullname" : "All Applications", "shortname": "All Applications"}, "IHCP" : {"fullname" : "Immunohistochemistry (Formalin/PFA-fixed paraffin-embedded sections)", "shortname":"IHC-P"} }, "product-promise": { "all": "all", "testedAndGuaranteed": "tested", "guaranteed": "expected", "predicted": "predicted", "notRecommended": "not-recommended" } }, "values": { "Human": { "IHCP-species-checked": "testedAndGuaranteed", "IHCP-species-dilution-info": "1.00000-2.00000 µg/mL", "IHCP-species-notes": "<p></p> Perform heat-mediated antigen retrieval with Tris/EDTA buffer pH 9.0 before commencing with IHC staining protocol." } } }

您可能对以下产品感兴趣:

AB235638

Human MFGE8 ELISA Kit

0

0 Reviews

查看产品
为什么推荐这个?

我们推荐这个产品,因为它经常被用于相同的实验或相关的研究。

我们建议您务必查阅产品说明书,以确认其是否符合您的实验需求;若有疑问,也可联系我们的技术团队获取协助。

性能和储存信息

形式
Liquid
纯化工艺
Affinity purification Protein G
存储溶液
pH: 7.2 - 7.4 Preservative: 0.09% Sodium azide Constituents: BSA, 0.0268% PBS
运输条件
Blue Ice
推荐的短期储存条件
+4°C
推荐的长期储存条件
-20°C
分装信息
Upon delivery aliquot
储存信息
Avoid freeze / thaw cycle

产品实验方案

For this product, it's our understanding that no specific protocols are required. You can visit:

靶点信息

Plays an important role in the maintenance of intestinal epithelial homeostasis and the promotion of mucosal healing. Promotes VEGF-dependent neovascularization (By similarity). Contributes to phagocytic removal of apoptotic cells in many tissues. Specific ligand for the alpha-v/beta-3 and alpha-v/beta-5 receptors. Also binds to phosphatidylserine-enriched cell surfaces in a receptor-independent manner. Zona pellucida-binding protein which may play a role in gamete interaction.. Medin. Main constituent of aortic medial amyloid.
See full target information MFGE8

文献 (6)

Recent publications for all applications. Explore the full list and refine your search

Development (Cambridge, England) 145: PubMed30093551

2018

Minor spliceosome inactivation causes microcephaly, owing to cell cycle defects and death of self-amplifying radial glial cells.

Applications

Unspecified application

Species

Unspecified reactive species

Marybeth Baumgartner,Anouk M Olthof,Gabriela S Aquino,Katery C Hyatt,Christopher Lemoine,Kyle Drake,Nikita Sturrock,Nhut Nguyen,Sahar Al Seesi,Rahul N Kanadia

Nature communications 9:3133 PubMed30087345

2018

Regulation of striatal cells and goal-directed behavior by cerebellar outputs.

Applications

Unspecified application

Species

Unspecified reactive species

Le Xiao,Caroline Bornmann,Laetitia Hatstatt-Burklé,Peter Scheiffele

Reproduction (Cambridge, England) 152:225-33 PubMed27340235

2016

MFGE8 regulates TGF-β-induced epithelial mesenchymal transition in endometrial epithelial cells in vitro.

Applications

ICC/IF, WB

Species

Human, Human

Liang Yu,Rong Hu,Claretta Sullivan,R James Swanson,Sergio Oehninger,Ying-Pu Sun,Silvina Bocca

The Journal of biological chemistry 289:24560-72 PubMed25006249

2014

Polarization of prostate cancer-associated macrophages is induced by milk fat globule-EGF factor 8 (MFG-E8)-mediated efferocytosis.

Applications

IHC-P

Species

Human

Fabiana N Soki,Amy J Koh,Jacqueline D Jones,Yeo Won Kim,Jinlu Dai,Evan T Keller,Kenneth J Pienta,Kamran Atabai,Hernan Roca,Laurie K McCauley

Fertility and sterility 101:552-9 PubMed24262600

2013

Tumor necrosis factor α up-regulates endometrial milk fat globule-epidermal growth factor 8 protein production via nuclear factor κB activation, resulting in cell migration of epithelial cells.

Applications

Unspecified application

Species

Human

Liang Yu,Sandra Anderson,Sergio Oehninger,Silvina Bocca

Molecular human reproduction 17:360-71 PubMed21177637

2010

Expression of milk fat globule EGF-factor 8 (MFG-E8) mRNA and protein in the human endometrium and its regulation by prolactin.

Applications

WB, IHC-Fr, IHC-P, ICC/IF

Species

Human, Human, Human, Human

Anahi Franchi,Silvina Bocca,Sandra Anderson,Ryan Riggs,Sergio Oehninger
View all publications

Abcam Product Promise

我们致力于为您的研究提供高质量的试剂,为您科研的每一步提供支持。若我们的产品未能达到预期性能,我们向您提供 Abcam Product Promise 保障。
详情请参阅我们的条款与条件。

关联产品

Select an associated product type
Alternative Product
Primary Antibodies

AB168733

Anti-Human Milk Fat Globule 1 antibody

primary-antibodies

human-milk-fat-globule-1-antibody-ab168733

0

(0 reviews)

Alternative Product
Primary Antibodies

AB200649

Anti-Milk Fat Globule 1 antibody

primary-antibodies

milk-fat-globule-1-antibody-ab200649

0

(0 reviews)

Please note: All products are 'FOR RESEARCH USE ONLY. NOT FOR USE IN DIAGNOSTIC OR THERAPEUTIC PROCEDURES'.

For licensing inquiries, please contact partnerships@abcam.com