JavaScript is disabled in your browser. Please enable JavaScript to view this website.
AB224565

Anti-MIC19抗体

Anti-MIC19 antibody

Be the first to review this product! Submit a review

|

(7 Publications)

Rabbit Polyclonal MIC19 antibody. Suitable for IHC-P, WB, ICC/IF and reacts with Human, Mouse, Rat samples. Cited in 7 publications. Immunogen corresponding to Recombinant Fragment Protein within Human CHCHD3 aa 1-100.

查看别名

MIC19, MINOS3, CHCHD3, MICOS complex subunit MIC19, Coiled-coil-helix-coiled-coil-helix domain-containing protein 3

9 Images
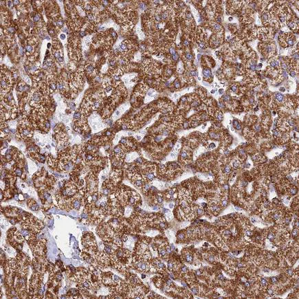
Immunohistochemistry (Formalin/PFA-fixed paraffin-embedded sections) - Anti-MIC19 antibody (AB224565)
  • IHC-P

Supplier Data

Immunohistochemistry (Formalin/PFA-fixed paraffin-embedded sections) - Anti-MIC19 antibody (AB224565)

Immunohistochemical analysis of human liver tissue labelling MIC19 with ab224565 at 1/500 dilution.

Immunocytochemistry/ Immunofluorescence - Anti-MIC19 antibody (AB224565)
  • ICC/IF

Supplier Data

Immunocytochemistry/ Immunofluorescence - Anti-MIC19 antibody (AB224565)

PFA-fixed, Triton X-100 permeabilized U-2 OS (human bone osteosarcoma epithelial cell line) cells stained for MIC19 (green) using ab224565 at 4 μg/ml in ICC/IF.

Immunohistochemistry (Formalin/PFA-fixed paraffin-embedded sections) - Anti-MIC19 antibody (AB224565)
  • IHC-P

Supplier Data

Immunohistochemistry (Formalin/PFA-fixed paraffin-embedded sections) - Anti-MIC19 antibody (AB224565)

Immunohistochemical analysis of human kidney tissue labelling MIC19 with ab224565 at 1/500 dilution.

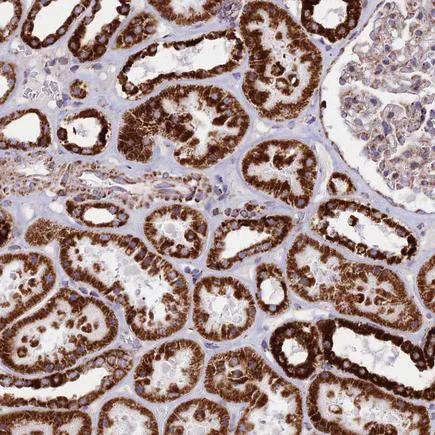
Immunohistochemistry (Formalin/PFA-fixed paraffin-embedded sections) - Anti-MIC19 antibody (AB224565)
  • IHC-P

Supplier Data

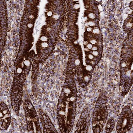
Immunohistochemistry (Formalin/PFA-fixed paraffin-embedded sections) - Anti-MIC19 antibody (AB224565)

Immunohistochemical analysis of human duodenum tissue labelling MIC19 with ab224565 at 1/500 dilution.

Immunohistochemistry (Formalin/PFA-fixed paraffin-embedded sections) - Anti-MIC19 antibody (AB224565)
  • IHC-P

Supplier Data

Immunohistochemistry (Formalin/PFA-fixed paraffin-embedded sections) - Anti-MIC19 antibody (AB224565)

Paraffin-embedded human stomach lower tissue stained for MIC19 using ab224565 at 1/500 dilution in immunohistochemical analysis.

Immunohistochemistry (Formalin/PFA-fixed paraffin-embedded sections) - Anti-MIC19 antibody (AB224565)
  • IHC-P

Supplier Data

Immunohistochemistry (Formalin/PFA-fixed paraffin-embedded sections) - Anti-MIC19 antibody (AB224565)

Immunohistochemical analysis of human skeletal muscle tissue labelling MIC19 with ab224565 at 1/500 dilution.

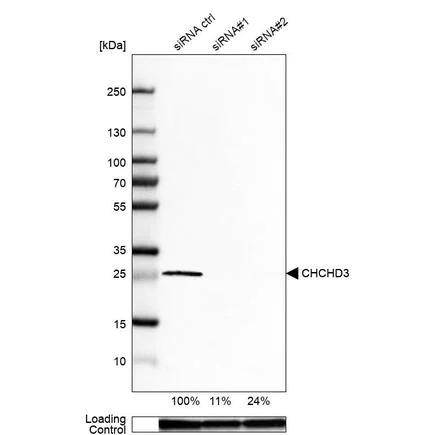
Western blot - Anti-MIC19 antibody (AB224565)
  • WB

Supplier Data

Western blot - Anti-MIC19 antibody (AB224565)

Loading control : anti- GAPDH

All lanes:

Western blot - Anti-MIC19 antibody (ab224565) at 0.4 µg/mL

Lane 1:

U-87MG ATCC cells transfected with control siRNA

Lanes 2 - 3:

U-87MG ATCC cells transfected with target specific siRNA probe

Predicted band size: 26 kDa

false

Western blot - Anti-MIC19 antibody (AB224565)
  • WB

Supplier Data

Western blot - Anti-MIC19 antibody (AB224565)

All lanes:

Western blot - Anti-MIC19 antibody (ab224565) at 1/100 dilution

All lanes:

HEK-293 (human epithelial cell line from embryonic kidney) cell lysate

Predicted band size: 26 kDa

true

Western blot - Anti-MIC19 antibody (AB224565)
  • WB

Supplier Data

Western blot - Anti-MIC19 antibody (AB224565)

All lanes:

Western blot - Anti-MIC19 antibody (ab224565) at 1/100 dilution

Lane 1:

NIH/3T3 (mouse embryo fibroblast cell line) cell lysate

Lane 2:

NBT-II cell lysate

Predicted band size: 26 kDa

true

关键信息

宿主种属

Rabbit

克隆

Polyclonal

亚型

IgG

不含载体蛋白

No

反应种属

Mouse, Rat, Human

应用

WB, IHC-P, ICC/IF

applications

免疫原

Recombinant Fragment Protein within Human CHCHD3 aa 1-100. The exact immunogen used to generate this antibody is proprietary information.

Q9NX63

反应性数据

{ "title": "Reactivity Data", "filters": { "stats": ["", "Species", "Dilution Info", "Notes"], "tabs": { "all-applications": {"fullname" : "All Applications", "shortname": "All Applications"}, "IHCP" : {"fullname" : "Immunohistochemistry (Formalin/PFA-fixed paraffin-embedded sections)", "shortname":"IHC-P"}, "WB" : {"fullname" : "Western blot", "shortname":"WB"}, "ICCIF" : {"fullname" : "Immunocytochemistry/ Immunofluorescence", "shortname":"ICC/IF"} }, "product-promise": { "all": "all", "testedAndGuaranteed": "tested", "guaranteed": "expected", "predicted": "predicted", "notRecommended": "not-recommended" } }, "values": { "Human": { "IHCP-species-checked": "testedAndGuaranteed", "IHCP-species-dilution-info": "1/500 - 1/1000", "IHCP-species-notes": "<p></p> Perform heat-mediated antigen retrieval with citrate buffer pH 6 before commencing with IHC staining protocol.", "WB-species-checked": "testedAndGuaranteed", "WB-species-dilution-info": "0.04-0.4 µg/mL", "WB-species-notes": "<p></p>", "ICCIF-species-checked": "testedAndGuaranteed", "ICCIF-species-dilution-info": "0.25-2 µg/mL", "ICCIF-species-notes": "<p>Fixation/Permeabilization: PFA/Triton X-100.</p>" }, "Mouse": { "IHCP-species-checked": "guaranteed", "IHCP-species-dilution-info": "", "IHCP-species-notes": "", "WB-species-checked": "testedAndGuaranteed", "WB-species-dilution-info": "0.04-0.4 µg/mL", "WB-species-notes": "<p></p>", "ICCIF-species-checked": "guaranteed", "ICCIF-species-dilution-info": "", "ICCIF-species-notes": "" }, "Rat": { "IHCP-species-checked": "guaranteed", "IHCP-species-dilution-info": "", "IHCP-species-notes": "", "WB-species-checked": "testedAndGuaranteed", "WB-species-dilution-info": "0.04-0.4 µg/mL", "WB-species-notes": "<p></p>", "ICCIF-species-checked": "guaranteed", "ICCIF-species-dilution-info": "", "ICCIF-species-notes": "" }, "Cow": { "IHCP-species-checked": "predicted", "IHCP-species-dilution-info": "", "IHCP-species-notes": "", "WB-species-checked": "predicted", "WB-species-dilution-info": "", "WB-species-notes": "", "ICCIF-species-checked": "predicted", "ICCIF-species-dilution-info": "", "ICCIF-species-notes": "" } } }

性能和储存信息

形式
Liquid
纯化工艺
Affinity purification Immunogen
存储溶液
pH: 7.2 Preservative: 0.02% Sodium azide Constituents: PBS, 40% Glycerol (glycerin, glycerine)
运输条件
Blue Ice
推荐的短期储存时间
1-2 weeks
推荐的短期储存条件
+4°C
推荐的长期储存条件
-20°C
分装信息
Upon delivery aliquot
储存信息
Avoid freeze / thaw cycle

补充信息

This supplementary information is collated from multiple sources and compiled automatically.

MIC19 also known as mitofilin is an integral component of the inner mitochondrial membrane part of the mitochondrial inner membrane organizing system (MINOS). It has a molecular mass of approximately 86 kDa. Expression of MIC19 occurs mainly in tissues with high energy demands including the heart and skeletal muscles. It plays a mechanical role in maintaining the structural integrity of mitochondrial cristae by anchoring specific protein components within the membrane.
Biological function summary

MIC19 contributes to the organization and functional maintenance of mitochondrial architecture by participating in the MINOS complex. This complex regulates the interaction between the inner and outer mitochondrial membranes ensuring efficient mitochondrial dynamics and biogenesis. Furthermore MIC19 supports mitochondrial bioenergetics by stabilizing cristae structures necessary for optimal electron transport chain function.

Pathways

MIC19 integrates into the processes controlling mitochondrial fusion and fission dynamics. It functions within the pathways that are essential for cellular energy metabolism and apoptosis. MIC19 influences these pathways through interactions with proteins such as OPA1 which regulates inner membrane fusion and with components of the electron transport chain. This integrative role highlights MIC19's involvement in maintaining cellular energy homeostasis and programmed cell death.

MIC19 associates with neurodegenerative diseases and cardiomyopathies. Altered expression or mutations in MIC19 can disrupt cristae architecture impairing mitochondrial function and energy production. This disruption relates to the disease processes seen in mitochondrial myopathy where proteins like OPA1 also play a role in mediating mitochondrial dysfunction. The interconnected roles of MIC19 and these associated proteins suggest potential therapeutic targets for intervention in mitochondrial-related conditions.

产品实验方案

For this product, it's our understanding that no specific protocols are required. You can visit:

靶点信息

Component of the MICOS complex, a large protein complex of the mitochondrial inner membrane that plays crucial roles in the maintenance of crista junctions, inner membrane architecture, and formation of contact sites to the outer membrane (PubMed : 25781180, PubMed : 32567732, PubMed : 33130824). Plays an important role in the maintenance of the MICOS complex stability and the mitochondrial cristae morphology (PubMed : 25781180, PubMed : 32567732, PubMed : 33130824). Has also been shown to function as a transcription factor which binds to the BAG1 promoter and represses BAG1 transcription (PubMed : 22567091).
See full target information CHCHD3

文献 (7)

Recent publications for all applications. Explore the full list and refine your search

Cell death and differentiation 30:2336-2350 PubMed37679468

2023

TRAP1 inhibits MARCH5-mediated MIC60 degradation to alleviate mitochondrial dysfunction and apoptosis of cardiomyocytes under diabetic conditions.

Applications

Unspecified application

Species

Unspecified reactive species

Lingxiao Zhang,Yuanyuan Luo,Linyan Lv,Siyong Chen,Guihua Liu,Tongfeng Zhao

Developmental cell 58:597-615.e10 PubMed37040696

2023

Deregulation of ER-mitochondria contact formation and mitochondrial calcium homeostasis mediated by VDAC in fragile X syndrome.

Applications

Unspecified application

Species

Unspecified reactive species

Ji Geng,Tejinder Pal Khaket,Jie Pan,Wen Li,Yan Zhang,Yong Ping,Maria Inmaculada Cobos Sillero,Bingwei Lu

Chinese medical journal : PubMed35830185

2022

CHCHD2 maintains mitochondrial contact site and cristae organizing system stability and protects against mitochondrial dysfunction in an experimental model of Parkinson's disease.

Applications

Unspecified application

Species

Unspecified reactive species

Lin Lu,Hengxu Mao,Miaomiao Zhou,Yuwan Lin,Wei Dai,Jiewen Qiu,Yousheng Xiao,Mingshu Mo,Xiaoqin Zhu,Zhuohua Wu,Zhong Pei,Wenyuan Guo,Pingyi Xu,Xiang Chen

Clinical and translational medicine 12:e747 PubMed35220675

2022

Tumour cells are sensitised to ferroptosis via RB1CC1-mediated transcriptional reprogramming.

Applications

Unspecified application

Species

Unspecified reactive species

Xiangfei Xue,Lifang Ma,Xiao Zhang,Xin Xu,Susu Guo,Yikun Wang,Shiyu Qiu,Jiangtao Cui,Wanxin Guo,Yongchun Yu,Fenyong Sun,Yi Shi,Jiayi Wang

Acta pharmacologica Sinica 43:2651-2665 PubMed35217814

2022

Anti-diabetic drug canagliflozin hinders skeletal muscle regeneration in mice.

Applications

Unspecified application

Species

Unspecified reactive species

Xin-Huang Lv,Xiao-Xia Cong,Jin-Liang Nan,Xing-Mei Lu,Qian-Li Zhu,Jian Shen,Bei-Bei Wang,Zhi-Ting Wang,Ri-Yong Zhou,Wei-An Chen,Lan Su,Xiao Chen,Zheng-Zheng Li,Yi-Nuo Lin

JBMR plus 5:e10439 PubMed33615108

2021

Ablation of Results in Transient Bone Hypomineralization.

Applications

Unspecified application

Species

Unspecified reactive species

Scott Dillon,Karla Suchacki,Shun-Neng Hsu,Louise A Stephen,Rongling Wang,William P Cawthorn,Alan J Stewart,Fabio Nudelman,Nicholas M Morton,Colin Farquharson

The EMBO journal 40:e105846 PubMed33469951

2021

The C-degron pathway eliminates mislocalized proteins and products of deubiquitinating enzymes.

Applications

Unspecified application

Species

Unspecified reactive species

Chi-Wei Yeh,Wei-Chieh Huang,Pang-Hung Hsu,Kun-Hai Yeh,Li-Chin Wang,Paul Wei-Che Hsu,Hsiu-Chuan Lin,Yi-Ning Chen,Shu-Chuan Chen,Chen-Hsiang Yeang,Hsueh-Chi S Yen
View all publications

Abcam Product Promise

我们致力于为您的研究提供高质量的试剂,为您科研的每一步提供支持。若我们的产品未能达到预期性能,我们向您提供 Abcam Product Promise 保障。
详情请参阅我们的条款与条件。

Please note: All products are 'FOR RESEARCH USE ONLY. NOT FOR USE IN DIAGNOSTIC OR THERAPEUTIC PROCEDURES'.

For licensing inquiries, please contact partnerships@abcam.com