JavaScript is disabled in your browser. Please enable JavaScript to view this website.
AB170867

重组Anti-MHC Class II beta抗体[EPR11227]

Anti-MHC Class II beta antibody [EPR11227]

Be the first to review this product! Submit a review

|

(11 Publications)

Rabbit Recombinant Monoclonal HLA-DPB1 antibody. Suitable for WB, IHC-P, ICC/IF and reacts with Human samples. Cited in 11 publications.

查看别名

HLA-DP1B, HLA-DPB1, MHC class II antigen DPB1

5 Images
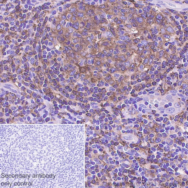
Immunohistochemistry (Formalin/PFA-fixed paraffin-embedded sections) - Anti-MHC Class II beta antibody [EPR11227] (AB170867)
  • IHC-P

Lab

Immunohistochemistry (Formalin/PFA-fixed paraffin-embedded sections) - Anti-MHC Class II beta antibody [EPR11227] (AB170867)

Immunohistochemical analysis of Paraffin-embedded sections human tonsil tissue labelling MHC Class II beta with ab170867 at 1/2000 dilution, followed by a ready to use Rabbit specific IHC polymer detection kit HRP/DAB (ab209101). Counter stained with Haematoxylin.
Secondary antibody only control : Used PBS instead of primary antibody, secondary antibody is ready to use Rabbit specific IHC polymer detection kit HRP/DAB (ab209101).

Heat mediated antigen retrieval using Bond™ Epitope Retrieval Solution 2 (pH 9.0) for 20 minutes.

Positive staining on human tonsil.

The section was incubated with ab170867 for 30 mins at room temperature.

The immunostaining was performed on a Leica Biosystems BOND® RX instrument

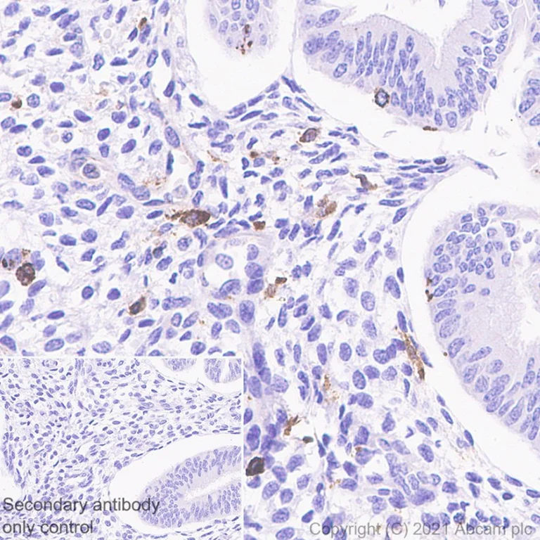
Immunohistochemistry (Formalin/PFA-fixed paraffin-embedded sections) - Anti-MHC Class II beta antibody [EPR11227] (AB170867)
  • IHC-P

Lab

Immunohistochemistry (Formalin/PFA-fixed paraffin-embedded sections) - Anti-MHC Class II beta antibody [EPR11227] (AB170867)

Immunohistochemical analysis of Paraffin-embedded sections human endometrium tissue labelling MHC Class II beta with ab170867 at 1/2000 dilution, followed by a ready to use Rabbit specific IHC polymer detection kit HRP/DAB (ab209101). Counter stained with Haematoxylin.
Secondary antibody only control : Used PBS instead of primary antibody, secondary antibody is ready to use Rabbit specific IHC polymer detection kit HRP/DAB (ab209101).

Heat mediated antigen retrieval using Bond™ Epitope Retrieval Solution 2 (pH 9.0) for 20 minutes.

Positive staining on human endometrium.

The section was incubated with ab170867 for 30 mins at room temperature.

The immunostaining was performed on a Leica Biosystems BOND® RX instrument

Immunocytochemistry/ Immunofluorescence - Anti-MHC Class II beta antibody [EPR11227] (AB170867)
  • ICC/IF

Lab

Immunocytochemistry/ Immunofluorescence - Anti-MHC Class II beta antibody [EPR11227] (AB170867)

Immunocytochemistry/ Immunofluorescence analysis of Raji (human Burkitt's lymphoma B lymphocyte) cells labeling MHC Class II beta using ab170867. The cells were fixed with 4% paraformaldehyde then permeabilized with 0.1% Triton X-100. The cells were then incubated with ab170867 at 1 : 50 dilution followed by a further incubation with ab150081 Goat Anti-Rabbit IgG H&L (Alexa Fluor® 488) preadsorbed at 1 : 1000 dilution (shown in green). Nuclear DNA was labelled in blue with DAPI. Cells were counterstained using ab195889 Anti-alpha Tubulin antibody [DM1A] - Microtubule Marker (Alexa Fluor® 594) at 1 : 200 dilution (shown in red). Secondary antibody only control : PBS instead of the primary antibody.

Confocal image showing membranous and cytoplasmic staining in Raji cell line

Western blot - Anti-MHC Class II beta antibody [EPR11227] (AB170867)
  • WB

Lab

Western blot - Anti-MHC Class II beta antibody [EPR11227] (AB170867)

Blocking and diluting buffer and concentration : 5% NFDM/TBST. The molecular weights observed are consistent with what have been described in the literatures representing MHC Class II beta monomer (25-35kDa) and dimer (50-65kDa) (PMID : 15322189, 17174123)

All lanes:

Western blot - Anti-MHC Class II beta antibody [EPR11227] (ab170867) at 1/10000 dilution

Lane 1:

Human tonsil lysate boiled at 15 µg

Lane 2:

Human tonsil lysate unboiled at 15 µg

Secondary

All lanes:

Goat Anti-Rabbit IgG (HRP) with minimal cross-reactivity with human IgG at 1/2000 dilution

Predicted band size: 29 kDa

false

Exposure time: 40s

Western blot - Anti-MHC Class II beta antibody [EPR11227] (AB170867)
  • WB

Lab

Western blot - Anti-MHC Class II beta antibody [EPR11227] (AB170867)

Blocking and diluting buffer and concentration : 5% NFDM/TBST. ab181602 was used as GAPDH loading control. The molecular weights observed are consistent with what have been described in the literatures representing MHC Class II beta monomer (25-35kDa) and dimer (50-65kDa) (PMID : 15322189, 17174123)

All lanes:

Western blot - Anti-MHC Class II beta antibody [EPR11227] (ab170867) at 1/2000 dilution

Lane 1:

Raji (Human Burkitt's lymphoma B lymphocyte) whole cell lysate boiled at 15 µg

Lane 2:

Raji (Human Burkitt's lymphoma B lymphocyte) whole cell lysate unboiled at 15 µg

Secondary

All lanes:

Goat Anti-Rabbit IgG (HRP) with minimal cross-reactivity with human IgG at 1/2000 dilution

Predicted band size: 29 kDa

false

Exposure time: 3s

不同偶联物与剂型 (2)

  • 665 Alexa Fluor® 647

    Alexa Fluor® 647 Anti-MHC Class II beta antibody [EPR11227]

  • Carrier free

    Anti-MHC Class II beta antibody [EPR11227] - BSA and Azide free

关键信息

宿主种属

Rabbit

克隆

Monoclonal

克隆号

EPR11227

亚型

IgG

不含载体蛋白

No

反应种属

Human

应用

ICC/IF, IHC-P, WB

applications

免疫原

The exact immunogen used to generate this antibody is proprietary information.

反应性数据

{ "title": "Reactivity Data", "filters": { "stats": ["", "Species", "Dilution Info", "Notes"], "tabs": { "all-applications": {"fullname" : "All Applications", "shortname": "All Applications"}, "IP" : {"fullname" : "Immunoprecipitation", "shortname":"IP"}, "FlowCyt" : {"fullname" : "Flow Cytometry", "shortname":"Flow Cyt"}, "WB" : {"fullname" : "Western blot", "shortname":"WB"}, "IHCP" : {"fullname" : "Immunohistochemistry (Formalin/PFA-fixed paraffin-embedded sections)", "shortname":"IHC-P"}, "ICCIF" : {"fullname" : "Immunocytochemistry/ Immunofluorescence", "shortname":"ICC/IF"} }, "product-promise": { "all": "all", "testedAndGuaranteed": "tested", "guaranteed": "expected", "predicted": "predicted", "notRecommended": "not-recommended" } }, "values": { "Human": { "IP-species-checked": "notRecommended", "IP-species-dilution-info": "", "IP-species-notes": "<p></p>", "FlowCyt-species-checked": "notRecommended", "FlowCyt-species-dilution-info": "", "FlowCyt-species-notes": "<p></p>", "WB-species-checked": "testedAndGuaranteed", "WB-species-dilution-info": "1/1000 - 1/5000", "WB-species-notes": "<p></p>", "IHCP-species-checked": "testedAndGuaranteed", "IHCP-species-dilution-info": "1/100 - 1/250", "IHCP-species-notes": "<p></p>", "ICCIF-species-checked": "testedAndGuaranteed", "ICCIF-species-dilution-info": "1/100 - 1/250", "ICCIF-species-notes": "<p></p>" } } }

产品详情

Species reactivity
Mouse, Rat: We have preliminary internal testing data to indicate this antibody may not react with these species.
Please contact us for more information.

Patented technology
Our RabMAb® technology is a patented hybridoma-based technology for making rabbit monoclonal antibodies. For details on our patents, please refer to RabMAb® patents.

What are the advantages of a recombinant monoclonal antibody?
This product is a recombinant monoclonal antibody, which offers several advantages including:

  • - High batch-to-batch consistency and reproducibility
  • - Improved sensitivity and specificity
  • - Long-term security of supply
  • - Animal-free batch production

For more information, read more on recombinant antibodies.

性能和储存信息

形式
Liquid
纯化工艺
Affinity purification Protein A
存储溶液
pH: 7.2 - 7.4 Preservative: 0.01% Sodium azide Constituents: PBS, 50% Tissue culture supernatant, 40% Glycerol (glycerin, glycerine), 0.05% BSA
运输条件
Blue Ice
推荐的短期储存时间
1-2 weeks
推荐的短期储存条件
+4°C
推荐的长期储存条件
-20°C
分装信息
Upon delivery aliquot
储存信息
Avoid freeze / thaw cycle

补充信息

This supplementary information is collated from multiple sources and compiled automatically.

The MHC Class II beta also known as HLA-DRB in humans is a protein essential for the immune system's functionality. It forms a part of the MHC class II protein complex with a typical mass around 28 kDa. Predominantly expressed on antigen-presenting cells such as dendritic cells B cells and macrophages it plays an important role in presenting extracellular antigens to CD4+ T helper cells. By doing so MHC Class II beta enables the adaptive immune response important for identifying and eliminating pathogens.
Biological function summary

MHC Class II beta facilitates the immune system's recognition of foreign particles. As part of the MHC class II complex it binds peptides derived from extracellular proteins processed in the endocytic pathway. This binding allows the presentation of peptide-MHC class II complexes on the cell surface which is recognized by CD4+ T cells thereby triggering T cell activation and proliferation. This mechanism is key for immune surveillance and for initiating the immune response against pathogens.

Pathways

The MHC Class II beta protein plays a significant role in the antigen processing and presentation pathways alongside proteins such as invariant chain (Ii) and HLA-DM. It is involved in the intracellular process where antigens are loaded onto MHC Class II molecules in the late endosome/lysosome. Additionally it is a part of the adaptive immune response pathway working in conjunction with other MHC proteins and immunoglobulins to mediate tolerance and immunity.

Defects or dysregulation in MHC Class II beta have been connected to autoimmune diseases such as rheumatoid arthritis and type 1 diabetes. Aberrant expression or function of MHC Class II molecules disturbs immune tolerance leading to self-antigen presentation and the breakdown of self-tolerance triggering autoimmune responses. The MHC Class II region is also associated with HLA-DRB alleles which have been implicated in increased susceptibility to these autoimmune conditions.

产品实验方案

For this product, it's our understanding that no specific protocols are required. You can visit:

靶点信息

Binds peptides derived from antigens that access the endocytic route of antigen presenting cells (APC) and presents them on the cell surface for recognition by the CD4 T-cells. The peptide binding cleft accommodates peptides of 10-30 residues. The peptides presented by MHC class II molecules are generated mostly by degradation of proteins that access the endocytic route, where they are processed by lysosomal proteases and other hydrolases. Exogenous antigens that have been endocytosed by the APC are thus readily available for presentation via MHC II molecules, and for this reason this antigen presentation pathway is usually referred to as exogenous. As membrane proteins on their way to degradation in lysosomes as part of their normal turn-over are also contained in the endosomal/lysosomal compartments, exogenous antigens must compete with those derived from endogenous components. Autophagy is also a source of endogenous peptides, autophagosomes constitutively fuse with MHC class II loading compartments. In addition to APCs, other cells of the gastrointestinal tract, such as epithelial cells, express MHC class II molecules and CD74 and act as APCs, which is an unusual trait of the GI tract. To produce a MHC class II molecule that presents an antigen, three MHC class II molecules (heterodimers of an alpha and a beta chain) associate with a CD74 trimer in the ER to form a heterononamer. Soon after the entry of this complex into the endosomal/lysosomal system where antigen processing occurs, CD74 undergoes a sequential degradation by various proteases, including CTSS and CTSL, leaving a small fragment termed CLIP (class-II-associated invariant chain peptide). The removal of CLIP is facilitated by HLA-DM via direct binding to the alpha-beta-CLIP complex so that CLIP is released. HLA-DM stabilizes MHC class II molecules until primary high affinity antigenic peptides are bound. The MHC II molecule bound to a peptide is then transported to the cell membrane surface. In B-cells, the interaction between HLA-DM and MHC class II molecules is regulated by HLA-DO. Primary dendritic cells (DCs) also to express HLA-DO. Lysosomal microenvironment has been implicated in the regulation of antigen loading into MHC II molecules, increased acidification produces increased proteolysis and efficient peptide loading.
See full target information HLA-DPB1

文献 (11)

Recent publications for all applications. Explore the full list and refine your search

Journal for immunotherapy of cancer 13: PubMed40592739

2025

Enhanced antitumor immunity of VNP20009-CCL2-CXCL9 via the cGAS/STING axis in osteosarcoma lung metastasis.

Applications

Unspecified application

Species

Unspecified reactive species

Ruixuan Liu,Qi Liu,Yuming Wang,Tianyi Liu,Zhusheng Zhang,Chong Zhao,Haipeng Tao,Elizabeth Ogando-Rivas,Paul Castillo,Weibin Zhang

Cellular and molecular biology (Noisy-le-Grand, France) 70:116-120 PubMed39262254

2024

MiR-495-3p promotes cardiac hypertrophy by targeting Pum2.

Applications

Unspecified application

Species

Unspecified reactive species

Shushu Yu,Mingliang Wang,Yun Xie,Bo Wang,Yawei Xu

Cancer pathogenesis and therapy 2:38-49 PubMed38328710

2024

Reversal of the immunosuppressive tumor microenvironment via platinum-based neoadjuvant chemotherapy in cervical cancer.

Applications

Unspecified application

Species

Unspecified reactive species

Xue Feng,Xiaolin Meng,Dihong Tang,Shuaiqingying Guo,Qiuyue Liao,Jing Chen,Qin Xie,Fengyuan Liu,Yong Fang,Chaoyang Sun,Yingyan Han,Jihui Ai,Kezhen Li

European journal of histochemistry : EJH 66: PubMed35726535

2022

MALAT1 regulates hypertrophy of cardiomyocytes by modulating the miR-181a/HMGB2 pathway.

Applications

Unspecified application

Species

Unspecified reactive species

Feng Chen,Wenfeng Li,Dandan Zhang,Youlin Fu,Wenjin Yuan,Gang Luo,Fuwei Liu,Jun Luo

Bioengineered 13:8982-8993 PubMed35348441

2022

MicroRNA miR-27a-3p accelerates cardiac hypertrophy by targeting neuro-oncological ventral antigen 1.

Applications

Unspecified application

Species

Unspecified reactive species

Dongyun Li,Mingzhi Shen,Xinxin Deng,Yongyi Bai

Bioengineered 13:4260-4270 PubMed35191812

2022

Tanshinone IIA alleviates cardiac hypertrophy through m6A modification of galectin-3.

Applications

Unspecified application

Species

Unspecified reactive species

Meiqi Zhang,Yun Chen,Huan Chen,Ye Shen,Lingxiao Pang,Weihua Wu,Zhenfei Yu

Materials today. Bio 12:100161 PubMed34870140

2021

Methoxy polyethylene glycol modification promotes adipogenesis by inducing the production of regulatory T cells in xenogeneic acellular adipose matrix.

Applications

Unspecified application

Species

Unspecified reactive species

Kaiyang Liu,Yunfan He,Yao Yao,Yuchen Zhang,Zihan Cai,Jiangjiang Ru,Xiangdong Zhang,Xiaoxuan Jin,Mimi Xu,Yibao Li,Qizhuan Ma,Jianhua Gao,Feng Lu

Cell death & disease 12:1069 PubMed34759275

2021

Circ-SIRT1 inhibits cardiac hypertrophy via activating SIRT1 to promote autophagy.

Applications

Unspecified application

Species

Unspecified reactive species

Weichen Wang,Longlong Wang,Mengyue Yang,Chunwei Wu,Rui Lan,Weiwei Wang,Yuze Li

Frontiers in cardiovascular medicine 8:747802 PubMed34595225

2021

LncRNA PVT1 Knockdown Ameliorates Myocardial Ischemia Reperfusion Damage via Suppressing Gasdermin D-Mediated Pyroptosis in Cardiomyocytes.

Applications

Unspecified application

Species

Unspecified reactive species

Cuizhi Li,Huafeng Song,Chunlin Chen,Shaoxian Chen,Qiyu Zhang,Dehui Liu,Jinglong Li,Haojian Dong,Yueheng Wu,Youbin Liu

Cell biology international 44:1009-1019 PubMed31889385

2020

LncRNA SNHG1 exerts a protective role in cardiomyocytes hypertrophy via targeting miR-15a-5p/HMGA1 axis.

Applications

Unspecified application

Species

Unspecified reactive species

Si-Min Yan,Hu Li,Qing Shu,Wei-Jun Wu,Xue-Mei Luo,Lei Lu
View all publications

Abcam Product Promise

我们致力于为您的研究提供高质量的试剂,为您科研的每一步提供支持。若我们的产品未能达到预期性能,我们向您提供 Abcam Product Promise 保障。
详情请参阅我们的条款与条件。

Please note: All products are 'FOR RESEARCH USE ONLY. NOT FOR USE IN DIAGNOSTIC OR THERAPEUTIC PROCEDURES'.

For licensing inquiries, please contact partnerships@abcam.com