JavaScript is disabled in your browser. Please enable JavaScript to view this website.
AB232469

重组Anti-MGST1抗体[EPR7934] - BSA and Azide free

Anti-MGST1 antibody [EPR7934] - BSA and Azide free

Be the first to review this product! Submit a review

|

(2 Publications)

Rabbit Recombinant Monoclonal MGST1 antibody. Carrier free. Suitable for WB, ICC/IF, Flow Cyt (Intra), IHC-P and reacts with Mouse, Rat, Human samples. Cited in 2 publications.

查看别名

GST12, MGST, MGST1, Microsomal glutathione S-transferase 1, Microsomal GST-1, Microsomal GST-I

6 Images
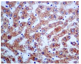
Immunohistochemistry (Formalin/PFA-fixed paraffin-embedded sections) - Anti-MGST1 antibody [EPR7934] - BSA and Azide free (AB232469)
  • IHC-P

Unknown

Immunohistochemistry (Formalin/PFA-fixed paraffin-embedded sections) - Anti-MGST1 antibody [EPR7934] - BSA and Azide free (AB232469)

Immunohistochemical analysis of paraffin embedded Human liver tissue labelling MGST1 with ab131059 antibody at 1/50 dilution.

This data was developed using the same antibody clone in a different buffer formulation containing PBS, BSA, glycerol, and sodium azide (ab131059).

Perform heat mediated antigen retrieval with Tris/EDTA buffer pH 9.0 before commencing with IHC staining protocol.

Flow Cytometry (Intracellular) - Anti-MGST1 antibody [EPR7934] - BSA and Azide free (AB232469)
  • Flow Cyt (Intra)

Unknown

Flow Cytometry (Intracellular) - Anti-MGST1 antibody [EPR7934] - BSA and Azide free (AB232469)

Intracellular Flow Cytometry analysis of MCF7 (Human breast adenocarcinoma epithelial cell) cells labeling MGST1with purified ab131059 at 1/40 dilution (red). Cells were fixed with 4% Paraformaldehyde. A Goat anti rabbit IgG (Alexa Fluor® 488) secondary antibody was used at 1/2000 dilution. Isotype control - Rabbit monoclonal IgG (Black). Unlabeled control - Cell without incubation with primary antibody and secondary antibody (Blue).

This data was developed using the same antibody clone in a different buffer formulation containing PBS, BSA, glycerol, and sodium azide (ab131059).

Immunocytochemistry/ Immunofluorescence - Anti-MGST1 antibody [EPR7934] - BSA and Azide free (AB232469)
  • ICC/IF

Unknown

Immunocytochemistry/ Immunofluorescence - Anti-MGST1 antibody [EPR7934] - BSA and Azide free (AB232469)

Immunocytochemistry/ Immunofluorescence analysis of MCF7 (Human breast adenocarcinoma epithelial cell) cells labeling Microsomal Glutathione S-transferase 2 with Purified ab131059 at 1 : 100 dilution. Cells were fixed in 100% Methanol and permeabilized with None. Cells were counterstained with ab195889 Anti-alpha Tubulin antibody [DM1A] - Microtubule Marker (Alexa Fluor ® 594) 1 : 200 (2.5 μg/ml). ab150077 Goat anti rabbit IgG(Alexa Fluor ® 488) was used as the secondary antibody at 1 : 1000 dilution. DAPI nuclear counterstain. PBS instead of the primary antibody was used as the secondary antibody only control.

This data was developed using the same antibody clone in a different buffer formulation containing PBS, BSA, glycerol, and sodium azide (ab131059).

Immunohistochemistry (Formalin/PFA-fixed paraffin-embedded sections) - Anti-MGST1 antibody [EPR7934] - BSA and Azide free (AB232469)
  • IHC-P

Unknown

Immunohistochemistry (Formalin/PFA-fixed paraffin-embedded sections) - Anti-MGST1 antibody [EPR7934] - BSA and Azide free (AB232469)

Immunohistochemistry (Formalin/PFA-fixed paraffin-embedded sections) analysis of human liver tissue sections labeling MGST1 with Purified ab131059 at 1 : 1000 dilution. Heat mediated antigen retrieval was performed using ab93684 (Tris/EDTA buffer, pH 9.0). Tissue was counterstained with Hematoxylin. ImmunoHistoProbe one step HRP Polymer (ready to use) secondary antibody was used at 1 : 0 dilution. PBS instead of the primary antibody was used as the negative control.

This data was developed using the same antibody clone in a different buffer formulation containing PBS, BSA, glycerol, and sodium azide (ab131059).

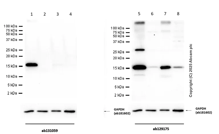
Western blot - Anti-MGST1 antibody [EPR7934] - BSA and Azide free (AB232469)
  • WB

Lab

Western blot - Anti-MGST1 antibody [EPR7934] - BSA and Azide free (AB232469)

This data was developed using ab131059, the same antibody clone in a different buffer formulation.

Blocking and diluting buffer and concentration : 5% NFDM/TBST.

In Western blot, Anti-GAPDH antibody [EPR16891] - Loading Control (ab181602) staining at 1/1000000 dilution.

ab131059 was not effective in the tested cell lines; therefore, ab129175 is recommended as an alternative.

Lanes 1 - 4:

Western blot - Anti-MGST1 antibody [EPR7934] (<a href='/products/primary-antibodies/mgst1-antibody-epr7934-ab131059'>ab131059</a>) at 1/1000 dilution

Lanes 5 - 8:

Western blot - Anti-MGST1 antibody [EPR7935] (<a href='/products/primary-antibodies/mgst1-antibody-epr7935-ab129175'>ab129175</a>) at 1/1000 dilution

Lanes 1 and 5:

Mouse liver tissue lysate at 20 µg

Lanes 2 and 6:

Mouse kidney tissue lysate at 20 µg

Lanes 3 and 7:

HepG2 (human hepatocellular carcinoma epithelial cell) whole cell lysate at 20 µg

Lanes 4 and 8:

K562 (human chronic myelogenous leukemia lymphoblast) whole cell lysate at 20 µg

Secondary

All lanes:

Western blot - Goat Anti-Rabbit IgG H&L (HRP) (<a href='/products/secondary-antibodies/goat-rabbit-igg-h-l-hrp-ab97051'>ab97051</a>) at 1/20000 dilution

Observed band size: 18 kDa

false

Exposure time: 10s

OI-RD Scanning - Anti-MGST1 antibody [EPR7934] - BSA and Azide free (AB232469)
  • OI-RD Scanning

Unknown

OI-RD Scanning - Anti-MGST1 antibody [EPR7934] - BSA and Azide free (AB232469)

We have systematically measured KD (the equilibrium dissociation constant between the antibody and its antigen), of more than 840 recombinant antibodies to assess not only their individual KD values but also to see the average affinity of antibody. Based on the comparison with published literature values for mouse monoclonal antibodies, Recombinant antibodies appear to be on average 1-2 order of magnitude higher affinity.

不同偶联物与剂型 (1)

关键信息

宿主种属

Rabbit

克隆

Monoclonal

克隆号

EPR7934

亚型

IgG

不含载体蛋白

Yes

反应种属

Mouse, Rat, Human

应用

IHC-P, WB, ICC/IF, Flow Cyt (Intra)

applications

免疫原

The exact immunogen used to generate this antibody is proprietary information.

特异性

The mouse and rat recommendation is based on the WB results. We do not guarantee IHC-P for mouse and rat. ab131059 was not effective in WB in the tested cell lines; therefore, ab129175 is recommended as an alternative.

反应性数据

{ "title": "Reactivity Data", "filters": { "stats": ["", "Species", "Dilution Info", "Notes"], "tabs": { "all-applications": {"fullname" : "All Applications", "shortname": "All Applications"}, "WB" : {"fullname" : "Western blot", "shortname":"WB"}, "ICCIF" : {"fullname" : "Immunocytochemistry/ Immunofluorescence", "shortname":"ICC/IF"}, "FlowCytIntra" : {"fullname" : "Flow Cytometry (Intracellular)", "shortname":"Flow Cyt (Intra)"}, "IHCP" : {"fullname" : "Immunohistochemistry (Formalin/PFA-fixed paraffin-embedded sections)", "shortname":"IHC-P"} }, "product-promise": { "all": "all", "testedAndGuaranteed": "tested", "guaranteed": "expected", "predicted": "predicted", "notRecommended": "not-recommended" } }, "values": { "Human": { "WB-species-checked": "guaranteed", "WB-species-dilution-info": "", "WB-species-notes": "<p></p>", "ICCIF-species-checked": "testedAndGuaranteed", "ICCIF-species-dilution-info": "", "ICCIF-species-notes": "<p></p>", "FlowCytIntra-species-checked": "testedAndGuaranteed", "FlowCytIntra-species-dilution-info": "", "FlowCytIntra-species-notes": "<p></p>", "IHCP-species-checked": "testedAndGuaranteed", "IHCP-species-dilution-info": "", "IHCP-species-notes": "<p>We do not guarantee IHC-P for mouse and rat.</p>" }, "Mouse": { "WB-species-checked": "testedAndGuaranteed", "WB-species-dilution-info": "", "WB-species-notes": "<p></p>", "ICCIF-species-checked": "guaranteed", "ICCIF-species-dilution-info": "", "ICCIF-species-notes": "", "FlowCytIntra-species-checked": "guaranteed", "FlowCytIntra-species-dilution-info": "", "FlowCytIntra-species-notes": "", "IHCP-species-checked": "guaranteed", "IHCP-species-dilution-info": "", "IHCP-species-notes": "" }, "Rat": { "WB-species-checked": "guaranteed", "WB-species-dilution-info": "", "WB-species-notes": "<p></p>", "ICCIF-species-checked": "predicted", "ICCIF-species-dilution-info": "", "ICCIF-species-notes": "", "FlowCytIntra-species-checked": "predicted", "FlowCytIntra-species-dilution-info": "", "FlowCytIntra-species-notes": "", "IHCP-species-checked": "predicted", "IHCP-species-dilution-info": "", "IHCP-species-notes": "" } } }

产品详情

ab232469 is the carrier-free version of ab131059.

Patented technology
Our RabMAb® technology is a patented hybridoma-based technology for making rabbit monoclonal antibodies. For details on our patents, please refer to RabMAb® patents.

What are the advantages of a recombinant monoclonal antibody?
This product is a recombinant monoclonal antibody, which offers several advantages including:

  • - High batch-to-batch consistency and reproducibility
  • - Improved sensitivity and specificity
  • - Long-term security of supply
  • - Animal-free batch production

For more information, read more on recombinant antibodies.

Conjugation ready
Our carrier-free antibodies are typically supplied in a PBS-only formulation, purified and free of BSA, sodium azide and glycerol. This conjugation-ready format is designed for use with fluorochromes, metal isotopes, oligonucleotides, and enzymes, which makes them ideal for antibody labelling, functional and cell-based assays, flow-based assays (e.g. mass cytometry) and Multiplex Imaging applications.

Use our conjugation kits for antibody conjugates that are ready-to-use in as little as 20 minutes with 1 minute hands-on-time and 100% antibody recovery: available for fluorescent dyes, HRP, biotin and gold.

Compatibility
This product is compatible with the Maxpar® Antibody Labeling Kit from Fluidigm, without the need for antibody preparation. Maxpar® is a trademark of Fluidigm Canada Inc.

性能和储存信息

形式
Liquid
纯化工艺
Affinity purification Protein A
存储溶液
pH: 7.2 - 7.4 Constituents: PBS
运输条件
Blue Ice
推荐的短期储存条件
+4°C
推荐的长期储存条件
+4°C
储存信息
Do Not Freeze

补充信息

This supplementary information is collated from multiple sources and compiled automatically.

MGST1 also known as Microsomal Glutathione S-Transferase 1 is an enzyme involved in the detoxification pathway. This enzyme has a mass of approximately 17 kDa. MGST1 is expressed in various tissues with strong presence in liver and other tissues rich in endoplasmic reticulum. It also participates in protection against oxidative stress due to its role in conjugating reduced glutathione to a wide variety of hydrophobic electrophiles.
Biological function summary

The enzyme acts to catalyze the conjugation of glutathione to electrophilic compounds which helps in neutralizing harmful substances facilitating their excretion. MGST1 forms a homotrimer complex that enhances its activity and stability. This action is vital in maintaining cellular homeostasis and defending against injury from toxic compounds and oxidative stress.

Pathways

MGST1 significantly contributes to the glutathione metabolism and arachidonic acid pathways. In the glutathione metabolism it interacts with glutathione S-transferase enzymes facilitating detoxification processes in the cell. In the arachidonic acid pathway MGST1 cooperates with other enzymes to modulate the synthesis of key molecules involved in inflammation and cell signaling.

MGST1 is implicated in the development of liver cancer and cardiovascular diseases. Its overexpression or dysregulation can lead to abnormal detoxification processes and oxidative damage contributing to carcinogenesis. In cardiovascular diseases the enzyme's role in oxidative stress links it to endothelial dysfunction. MGST1's interaction with proteins like CYP450 and GSTs highlights its significance in these disease pathways.

产品实验方案

For this product, it's our understanding that no specific protocols are required. You can visit:

靶点信息

Conjugation of reduced glutathione to a wide number of exogenous and endogenous hydrophobic electrophiles.
See full target information MGST1

文献 (2)

Recent publications for all applications. Explore the full list and refine your search

Open medicine (Warsaw, Poland) 17:2062-2071 PubMed36568515

2022

MGST1 alleviates the oxidative stress of trophoblast cells induced by hypoxia/reoxygenation and promotes cell proliferation, migration, and invasion by activating the PI3K/AKT/mTOR pathway.

Applications

Unspecified application

Species

Unspecified reactive species

Hu Dai,Xianmei Lu

Biomedicines 10: PubMed36009539

2022

Autologous Platelet-Rich Growth Factor Reduces M1 Macrophages and Modulates Inflammatory Microenvironments to Promote Sciatic Nerve Regeneration.

Applications

Unspecified application

Species

Unspecified reactive species

Anjali Yadav,Thamil Selvee Ramasamy,Sheng-Che Lin,Szu-Han Chen,Jean Lu,Ya-Hsin Liu,Fu-I Lu,Yuan-Yu Hsueh,Shau-Ping Lin,Chia-Ching Wu
View all publications

Abcam Product Promise

我们致力于为您的研究提供高质量的试剂,为您科研的每一步提供支持。若我们的产品未能达到预期性能,我们向您提供 Abcam Product Promise 保障。
详情请参阅我们的条款与条件。

Please note: All products are 'FOR RESEARCH USE ONLY. NOT FOR USE IN DIAGNOSTIC OR THERAPEUTIC PROCEDURES'.

For licensing inquiries, please contact partnerships@abcam.com