JavaScript is disabled in your browser. Please enable JavaScript to view this website.
AB226861

重组Anti-MGA抗体[EPR19854] - BSA and Azide free

Anti-MGA antibody [EPR19854] - BSA and Azide free

Be the first to review this product! Submit a review

|

(1 Publication)

Rabbit Recombinant Monoclonal MGA antibody. Carrier free. Suitable for WB and reacts with Mouse samples. Cited in 1 publication.

查看别名

Kiaa4252, Mga, MAX gene-associated protein

2 Images
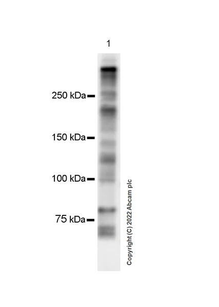
Western blot - Anti-MGA antibody [EPR19854] - BSA and Azide free (AB226861)
  • WB

Lab

Western blot - Anti-MGA antibody [EPR19854] - BSA and Azide free (AB226861)

Blocking and Diluting buffer and concentration : 5% NFDM/TBST The lysates were kindly provided by an anonymous collaborator. This data was developed using the same antibody clone in a different buffer formulation containing PBS, BSA and sodium azide (ab214814).

All lanes:

Western blot - Anti-MGA antibody [EPR19854] (<a href='/products/primary-antibodies/mga-antibody-epr19854-ab214814'>ab214814</a>) at 1/1000 dilution

Lane 1:

Wild-type mESCs (mouse embryonic stem cells) whole cell lysate at 20 µg

Lane 2:

MGA knockout mESCs whole cell lysate at 20 µg

Secondary

All lanes:

Western blot - Goat Anti-Rabbit IgG H&L (HRP) (<a href='/products/secondary-antibodies/goat-rabbit-igg-h-l-hrp-ab97051'>ab97051</a>) at 1/100000 dilution

Observed band size: 329 kDa

false

Exposure time: 30s

Western blot - Anti-MGA antibody [EPR19854] - BSA and Azide free (AB226861)
  • WB

Lab

Western blot - Anti-MGA antibody [EPR19854] - BSA and Azide free (AB226861)

This data was developed using the same antibody clone in a different buffer formulation containing PBS, BSA and sodium azide (ab214814).

Blocking and Diluting buffer and concentration : 5% NFDM/TBST.

Lysate was freshly made and used for Western blotting immediately to minimize protein degradation.

This blot was developed using a high sensitivity ECL substrate. The high-sensitivity ECL substrate used allows for the detection of proteins in the mid-femtogram range.

All lanes:

Western blot - Anti-MGA antibody [EPR19854] (<a href='/products/primary-antibodies/mga-antibody-epr19854-ab214814'>ab214814</a>) at 1/1000 dilution

All lanes:

ES-D3 (mouse blastocyst-derived embryonic stem cell) whole cell lysate at 20 µg

Secondary

All lanes:

Western blot - Goat Anti-Rabbit IgG H&L (HRP) (<a href='/products/secondary-antibodies/goat-rabbit-igg-h-l-hrp-ab97051'>ab97051</a>) at 1/100000 dilution

Observed band size: 329 kDa

true

Exposure time: 180s

不同偶联物与剂型 (1)

关键信息

宿主种属

Rabbit

克隆

Monoclonal

克隆号

EPR19854

亚型

IgG

不含载体蛋白

Yes

反应种属

Mouse

应用

WB

applications

免疫原

The exact immunogen used to generate this antibody is proprietary information.

反应性数据

{ "title": "Reactivity Data", "filters": { "stats": ["", "Species", "Dilution Info", "Notes"], "tabs": { "all-applications": {"fullname" : "All Applications", "shortname": "All Applications"}, "ICCIF" : {"fullname" : "Immunocytochemistry/ Immunofluorescence", "shortname":"ICC/IF"}, "IP" : {"fullname" : "Immunoprecipitation", "shortname":"IP"}, "WB" : {"fullname" : "Western blot", "shortname":"WB"} }, "product-promise": { "all": "all", "testedAndGuaranteed": "tested", "guaranteed": "expected", "predicted": "predicted", "notRecommended": "not-recommended" } }, "values": { "Human": { "ICCIF-species-checked": "notRecommended", "ICCIF-species-dilution-info": "", "ICCIF-species-notes": "<p></p>", "IP-species-checked": "notRecommended", "IP-species-dilution-info": "", "IP-species-notes": "<p></p>", "WB-species-checked": "notRecommended", "WB-species-dilution-info": "", "WB-species-notes": "<p></p>" }, "Mouse": { "ICCIF-species-checked": "notRecommended", "ICCIF-species-dilution-info": "", "ICCIF-species-notes": "<p></p>", "IP-species-checked": "notRecommended", "IP-species-dilution-info": "", "IP-species-notes": "<p></p>", "WB-species-checked": "testedAndGuaranteed", "WB-species-dilution-info": "", "WB-species-notes": "<p></p>" } } }

产品详情

ab226861 is the carrier-free version of ab214814.

Patented technology
Our RabMAb® technology is a patented hybridoma-based technology for making rabbit monoclonal antibodies. For details on our patents, please refer to RabMAb® patents.

What are the advantages of a recombinant monoclonal antibody?
This product is a recombinant monoclonal antibody, which offers several advantages including:

  • - High batch-to-batch consistency and reproducibility
  • - Improved sensitivity and specificity
  • - Long-term security of supply
  • - Animal-free batch production

For more information, read more on recombinant antibodies.

Conjugation ready
Our carrier-free antibodies are typically supplied in a PBS-only formulation, purified and free of BSA, sodium azide and glycerol. This conjugation-ready format is designed for use with fluorochromes, metal isotopes, oligonucleotides, and enzymes, which makes them ideal for antibody labelling, functional and cell-based assays, flow-based assays (e.g. mass cytometry) and Multiplex Imaging applications.

Use our conjugation kits for antibody conjugates that are ready-to-use in as little as 20 minutes with 1 minute hands-on-time and 100% antibody recovery: available for fluorescent dyes, HRP, biotin and gold.

Compatibility
This product is compatible with the Maxpar® Antibody Labeling Kit from Fluidigm, without the need for antibody preparation. Maxpar® is a trademark of Fluidigm Canada Inc.

性能和储存信息

形式
Liquid
纯化工艺
Affinity purification Protein A
存储溶液
pH: 7.2 - 7.4 Constituents: PBS
运输条件
Blue Ice
推荐的短期储存条件
+4°C
推荐的长期储存条件
+4°C
储存信息
Do Not Freeze

补充信息

This supplementary information is collated from multiple sources and compiled automatically.

The MGA protein also known as MAX gene-associated protein plays a role in gene regulation by acting as a transcriptional repressor. It has an approximate mass of 256 kDa and primarily locates itself within the nucleus. MGA exhibits a broad expression pattern found in tissues such as the brain liver and heart. The protein's structure includes several domains that allow it to interact with other proteins and DNA to modulate gene expression.
Biological function summary

MGA influences the regulation of developmental processes and cellular growth. It forms part of a complex with the MAX protein essential for its function in repressing specific gene sets. This ability allows MGA to modulate cellular differentiation and development processes. By controlling these gene sets it ensures proper cellular function and maintains homeostasis within the organism.

Pathways

MGA integrates itself into the MYC-MAX-MAD network a critical regulatory system for cell proliferation. It offers a balancing effect by counteracting the actions of MYC a protein known for promoting cell cycle progression and proliferation. MGA influences the transcription machinery through this pathway to ensure controlled cell growth. Additionally MGA-related pathways intersect with those involving the E2F family further influencing cellular proliferation and apoptosis.

MGA has significant connections to cancer particularly due to its role in the MYC-MAX-MAD pathway. Dysregulation of MGA can lead to unchecked cell growth contributing to tumor development. In particular defects in MGA have been observed in lung and other carcinomas. Its relationship with MYC protein highlights its importance as MYC overexpression often couples with reduced MGA function in these cancers. Besides cancer MGA also associates with certain neurodevelopmental disorders where its role in developmental processes becomes compromised disrupting normal neurological development.

产品实验方案

For this product, it's our understanding that no specific protocols are required. You can visit:

靶点信息

Functions as a dual-specificity transcription factor, regulating the expression of both MAX-network and T-box family target genes. Functions as a repressor or an activator. Binds to 5'-AATTTCACACCTAGGTGTGAAATT-3' core sequence and seems to regulate MYC-MAX target genes. Suppresses transcriptional activation by MYC and inhibits MYC-dependent cell transformation. Function activated by heterodimerization with MAX. This heterodimerization serves the dual function of both generating an E-box-binding heterodimer and simultaneously blocking interaction of a corepressor.
See full target information Mga

文献 (1)

Recent publications for all applications. Explore the full list and refine your search

Proceedings of the National Academy of Sciences of the United States of America 118: PubMed34417304

2021

A recombinant herpes virus expressing influenza hemagglutinin confers protection and induces antibody-dependent cellular cytotoxicity.

Applications

Unspecified application

Species

Unspecified reactive species

Katherine Kaugars,Joseph Dardick,Anna Paula de Oliveira,Kayla A Weiss,Regy Lukose,John Kim,Lawrence Leung,Saranathan Rajagopalan,Sydney Wolin,Leor Akabas,David M Knipe,Goran Bajic,William R Jacobs
View all publications

Abcam Product Promise

我们致力于为您的研究提供高质量的试剂,为您科研的每一步提供支持。若我们的产品未能达到预期性能,我们向您提供 Abcam Product Promise 保障。
详情请参阅我们的条款与条件。

Please note: All products are 'FOR RESEARCH USE ONLY. NOT FOR USE IN DIAGNOSTIC OR THERAPEUTIC PROCEDURES'.

For licensing inquiries, please contact partnerships@abcam.com