JavaScript is disabled in your browser. Please enable JavaScript to view this website.
AB247359

重组Anti-Met (c-Met) (phospho Y1349)抗体[EP2367Y] - BSA and Azide free

Anti-Met (c-Met) (phospho Y1349) antibody [EP2367Y] - BSA and Azide free

Be the first to review this product! Submit a review

|

(0 Publication)

Rabbit Recombinant Monoclonal Met (c-Met) phospho Y1349 antibody. Carrier free. Suitable for IP, Dot, WB, IHC-P and reacts with Human, Synthetic peptide samples.

查看别名

Hepatocyte growth factor receptor, HGF receptor, HGF/SF receptor, Proto-oncogene c-Met, Scatter factor receptor, Tyrosine-protein kinase Met, SF receptor, MET

5 Images
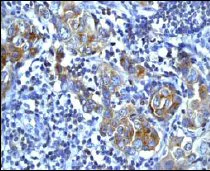
Immunohistochemistry (Formalin/PFA-fixed paraffin-embedded sections) - Anti-Met (c-Met) (phospho Y1349) antibody [EP2367Y] - BSA and Azide free (AB247359)
  • IHC-P

Unknown

Immunohistochemistry (Formalin/PFA-fixed paraffin-embedded sections) - Anti-Met (c-Met) (phospho Y1349) antibody [EP2367Y] - BSA and Azide free (AB247359)

This data was developed using ab68141, the same antibody clone in a different buffer formulation.

Immunohistochemical analysis of paraffin-embedded human breast carcinoma tissue using ab68141 at a dilution of 1/50.

Perform heat mediated antigen retrieval with EDTA buffer pH 9 before commencing with IHC staining protocol.

Immunoprecipitation - Anti-Met (c-Met) (phospho Y1349) antibody [EP2367Y] - BSA and Azide free (AB247359)
  • IP

Lab

Immunoprecipitation - Anti-Met (c-Met) (phospho Y1349) antibody [EP2367Y] - BSA and Azide free (AB247359)

This data was developed using ab68141, the same antibody clone in a different buffer formulation.

ab68141 at 1/150 dilution immunoprecipitating Met (c-Met) (phospho Y1349) in HeLa (human cervix adenocarcinoma) whole cell lysate observed at 150 kDa (lanes 1 and 2).

Lane 1 (input) : HeLa cells starved for 24 hours, then treated with 40 ng/mL HGF for 5 minutes whole cell lysate, 10μg

Lane 2 (+) : ab68141 + HeLa cells starved for 24 hours, then treated with 40 ng/mL HGF for 5 minutes whole cell lysate

Lane 3 (-) : Rabbit monoclonal IgG (ab172730) instead of ab68141 in HeLa cells starved for 24 hours, then treated with 40 ng/mL HGF for 5 minutes whole cell lysate

For western blotting, VeriBlot for IP Detection Reagent (HRP) (ab131366), was used for detection at 1/10,000 dilution.

Blocking and dilution buffer : 5% NFDM/TBST.

All lanes:

Immunoprecipitation - Anti-Met (c-Met) (phospho Y1349) antibody [EP2367Y] (<a href='/products/primary-antibodies/met-c-met-phospho-y1349-antibody-ep2367y-ab68141'>ab68141</a>)

Predicted band size: 155 kDa

false

Exposure time: 3s

Western blot - Anti-Met (c-Met) (phospho Y1349) antibody [EP2367Y] - BSA and Azide free (AB247359)
  • WB

Unknown

Western blot - Anti-Met (c-Met) (phospho Y1349) antibody [EP2367Y] - BSA and Azide free (AB247359)

This data was developed using ab68141, the same antibody clone in a different buffer formulation.

All lanes:

Western blot - Anti-Met (c-Met) (phospho Y1349) antibody [EP2367Y] (<a href='/products/primary-antibodies/met-c-met-phospho-y1349-antibody-ep2367y-ab68141'>ab68141</a>) at 1/10000 dilution

Lane 1:

A431 cell lysate, untreated at 10 µg

Lane 2:

A431 cell lysate, treated with AP at 10 µg

Secondary

All lanes:

HRP-labeled goat anti-rabbit at 1/2000 dilution

Predicted band size: 155 kDa

Observed band size: ~150 kDa

false

Western blot - Anti-Met (c-Met) (phospho Y1349) antibody [EP2367Y] - BSA and Azide free (AB247359)
  • WB

Lab

Western blot - Anti-Met (c-Met) (phospho Y1349) antibody [EP2367Y] - BSA and Azide free (AB247359)

This data was developed using ab68141, the same antibody clone in a different buffer formulation.

Blocking and dilution buffer : 5% NFDM/TBST.

The molecular weight of Met (c-Met) (phospho Y1349) and Met (c-Met) is different. ab51067 could only recognize the pro-Met which is 190kDa, but ab68141 recognizes theβ-subunits which is 145kDa.

All lanes:

Western blot - Anti-Met (c-Met) (phospho Y1349) antibody [EP2367Y] (<a href='/products/primary-antibodies/met-c-met-phospho-y1349-antibody-ep2367y-ab68141'>ab68141</a>) at 1/5000 dilution

Lane 1:

HeLa (Human cervix adenocarcinoma epithelial cell) serum starved for 24 h. Whole cell lysates at 15 µg

Lane 2:

HeLa (Human cervix adenocarcinoma epithelial cell) serum starved for 24 h and then treated with hepatocyte growth factor at 40ng/ml for 5 min. Whole cell lysates at 15 µg

Lane 3:

HeLa (Human cervix adenocarcinoma epithelial cell) serum starved for 24 h and then treated with hepatocyte growth factor at 40ng/ml for 5 min. Whole cell lysates. Then the membrane was incub at 15 µg

Secondary

All lanes:

Western blot - Goat Anti-Rabbit IgG H&L (HRP) (<a href='/products/secondary-antibodies/goat-rabbit-igg-h-l-hrp-ab97051'>ab97051</a>) at 1/20000 dilution

Predicted band size: 155 kDa

Observed band size: 150 kDa

false

Exposure time: 30s

Dot Blot - Anti-Met (c-Met) (phospho Y1349) antibody [EP2367Y] - BSA and Azide free (AB247359)
  • Dot

Unknown

Dot Blot - Anti-Met (c-Met) (phospho Y1349) antibody [EP2367Y] - BSA and Azide free (AB247359)

This data was developed using ab68141, the same antibody clone in a different buffer formulation.

Dot blot analysis of Met (c-Met) (phospho Y1349) phospho peptide (Lane 1), Met (c-Met) Non-phospho peptide (Lane 2), labelling Met (c-Met) (phospho Y1349) with ab68141 at a dilution of 1/1000. Peroxidase conjugated goat anti-rabbit IgG (H+L)) was used as the secondary antibody at a dilution of 1/2500.

Blocking and diluting buffer : 5% NFDM/TBST.

Exposure time : 3 minutes.

不同偶联物与剂型 (1)

  • Unconjugated

    Anti-Met (c-Met) (phospho Y1349) antibody [EP2367Y]

关键信息

宿主种属

Rabbit

克隆

Monoclonal

克隆号

EP2367Y

亚型

IgG

不含载体蛋白

Yes

反应种属

Human

应用

IHC-P, Dot, IP, WB

applications

免疫原

The exact immunogen used to generate this antibody is proprietary information.

反应性数据

{ "title": "Reactivity Data", "filters": { "stats": ["", "Species", "Dilution Info", "Notes"], "tabs": { "all-applications": {"fullname" : "All Applications", "shortname": "All Applications"}, "IP" : {"fullname" : "Immunoprecipitation", "shortname":"IP"}, "FlowCyt" : {"fullname" : "Flow Cytometry", "shortname":"Flow Cyt"}, "Dot" : {"fullname" : "Dot Blot", "shortname":"Dot"}, "WB" : {"fullname" : "Western blot", "shortname":"WB"}, "IHCP" : {"fullname" : "Immunohistochemistry (Formalin/PFA-fixed paraffin-embedded sections)", "shortname":"IHC-P"} }, "product-promise": { "all": "all", "testedAndGuaranteed": "tested", "guaranteed": "expected", "predicted": "predicted", "notRecommended": "not-recommended" } }, "values": { "Human": { "IP-species-checked": "testedAndGuaranteed", "IP-species-dilution-info": "", "IP-species-notes": "<p></p>", "FlowCyt-species-checked": "notRecommended", "FlowCyt-species-dilution-info": "", "FlowCyt-species-notes": "<p></p>", "Dot-species-checked": "guaranteed", "Dot-species-dilution-info": "", "Dot-species-notes": "", "WB-species-checked": "testedAndGuaranteed", "WB-species-dilution-info": "", "WB-species-notes": "<p></p>", "IHCP-species-checked": "testedAndGuaranteed", "IHCP-species-dilution-info": "", "IHCP-species-notes": "<p></p>" }, "Synthetic peptide": { "IP-species-checked": "notRecommended", "IP-species-dilution-info": "", "IP-species-notes": "", "FlowCyt-species-checked": "notRecommended", "FlowCyt-species-dilution-info": "", "FlowCyt-species-notes": "", "Dot-species-checked": "testedAndGuaranteed", "Dot-species-dilution-info": "", "Dot-species-notes": "<p></p>", "WB-species-checked": "notRecommended", "WB-species-dilution-info": "", "WB-species-notes": "", "IHCP-species-checked": "notRecommended", "IHCP-species-dilution-info": "", "IHCP-species-notes": "" } } }

产品详情

ab247359 is the carrier-free version of ab68141.

Patented technology
Our RabMAb® technology is a patented hybridoma-based technology for making rabbit monoclonal antibodies. For details on our patents, please refer to RabMAb® patents.

What are the advantages of a recombinant monoclonal antibody?
This product is a recombinant monoclonal antibody, which offers several advantages including:

  • - High batch-to-batch consistency and reproducibility
  • - Improved sensitivity and specificity
  • - Long-term security of supply
  • - Animal-free batch production

For more information, read more on recombinant antibodies.

Conjugation ready
Our carrier-free antibodies are typically supplied in a PBS-only formulation, purified and free of BSA, sodium azide and glycerol. This conjugation-ready format is designed for use with fluorochromes, metal isotopes, oligonucleotides, and enzymes, which makes them ideal for antibody labelling, functional and cell-based assays, flow-based assays (e.g. mass cytometry) and Multiplex Imaging applications.

Use our conjugation kits for antibody conjugates that are ready-to-use in as little as 20 minutes with 1 minute hands-on-time and 100% antibody recovery: available for fluorescent dyes, HRP, biotin and gold.

Compatibility
This product is compatible with the Maxpar® Antibody Labeling Kit from Fluidigm, without the need for antibody preparation. Maxpar® is a trademark of Fluidigm Canada Inc.

性能和储存信息

形式
Liquid
纯化工艺
Affinity purification Protein A
存储溶液
pH: 7.2 - 7.4 Constituents: PBS
运输条件
Blue Ice
推荐的短期储存条件
+4°C
推荐的长期储存条件
+4°C
储存信息
Do Not Freeze

产品实验方案

For this product, it's our understanding that no specific protocols are required. You can visit:

靶点信息

Receptor tyrosine kinase that transduces signals from the extracellular matrix into the cytoplasm by binding to hepatocyte growth factor/HGF ligand. Regulates many physiological processes including proliferation, scattering, morphogenesis and survival. Ligand binding at the cell surface induces autophosphorylation of MET on its intracellular domain that provides docking sites for downstream signaling molecules. Following activation by ligand, interacts with the PI3-kinase subunit PIK3R1, PLCG1, SRC, GRB2, STAT3 or the adapter GAB1. Recruitment of these downstream effectors by MET leads to the activation of several signaling cascades including the RAS-ERK, PI3 kinase-AKT, or PLCgamma-PKC. The RAS-ERK activation is associated with the morphogenetic effects while PI3K/AKT coordinates prosurvival effects. During embryonic development, MET signaling plays a role in gastrulation, development and migration of neuronal precursors, angiogenesis and kidney formation. During skeletal muscle development, it is crucial for the migration of muscle progenitor cells and for the proliferation of secondary myoblasts (By similarity). In adults, participates in wound healing as well as organ regeneration and tissue remodeling. Promotes also differentiation and proliferation of hematopoietic cells. May regulate cortical bone osteogenesis (By similarity).. (Microbial infection) Acts as a receptor for Listeria monocytogenes internalin InlB, mediating entry of the pathogen into cells.
See full target information MET phospho Y1349

Abcam Product Promise

我们致力于为您的研究提供高质量的试剂,为您科研的每一步提供支持。若我们的产品未能达到预期性能,我们向您提供 Abcam Product Promise 保障。
详情请参阅我们的条款与条件。

Please note: All products are 'FOR RESEARCH USE ONLY. NOT FOR USE IN DIAGNOSTIC OR THERAPEUTIC PROCEDURES'.

For licensing inquiries, please contact partnerships@abcam.com