JavaScript is disabled in your browser. Please enable JavaScript to view this website.
AB68141

重组Anti-Met (c-Met) (phospho Y1349)抗体[EP2367Y]

Anti-Met (c-Met) (phospho Y1349) antibody [EP2367Y]

4

(6 Reviews)

|

(25 Publications)

Rabbit Recombinant Monoclonal Met (c-Met) phospho Y1349 antibody. Suitable for IP, Dot, WB, IHC-P and reacts with Human, Synthetic peptide samples. Cited in 25 publications.

查看别名

Hepatocyte growth factor receptor, HGF receptor, HGF/SF receptor, Proto-oncogene c-Met, Scatter factor receptor, Tyrosine-protein kinase Met, SF receptor, MET

6 Images
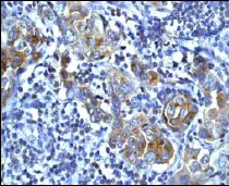
Immunohistochemistry (Formalin/PFA-fixed paraffin-embedded sections) - Anti-Met (c-Met) (phospho Y1349) antibody [EP2367Y] (AB68141)
  • IHC-P

Unknown

Immunohistochemistry (Formalin/PFA-fixed paraffin-embedded sections) - Anti-Met (c-Met) (phospho Y1349) antibody [EP2367Y] (AB68141)

Immunohistochemical analysis of paraffin-embedded human breast carcinoma tissue using ab68141 at a dilution of 1/50.

Perform heat mediated antigen retrieval with EDTA buffer pH 9 before commencing with IHC staining protocol.

Immunoprecipitation - Anti-Met (c-Met) (phospho Y1349) antibody [EP2367Y] (AB68141)
  • IP

Lab

Immunoprecipitation - Anti-Met (c-Met) (phospho Y1349) antibody [EP2367Y] (AB68141)

ab68141 at 1/150 dilution immunoprecipitating Met (c-Met) (phospho Y1349) in HeLa (human cervix adenocarcinoma) whole cell lysate observed at 150 kDa (lanes 1 and 2).

Lane 1 (input) : HeLa cells starved for 24 hours, then treated with 40 ng/mL HGF for 5 minutes whole cell lysate, 10μg
Lane 2 (+) : ab68141 + HeLa cells starved for 24 hours, then treated with 40 ng/mL HGF for 5 minutes whole cell lysate
Lane 3 (-) : Rabbit monoclonal IgG (ab172730) instead of ab68141 in HeLa cells starved for 24 hours, then treated with 40 ng/mL HGF for 5 minutes whole cell lysate

For western blotting, VeriBlot for IP Detection Reagent (HRP) (ab131366), was used for detection at 1/10,000 dilution.

Blocking and Diluting buffer and concentration : 5% NFDM/TBST.

All lanes:

Immunoprecipitation - Anti-Met (c-Met) (phospho Y1349) antibody [EP2367Y] (ab68141)

Predicted band size: 155 kDa

false

Exposure time: 3s

Western blot - Anti-Met (c-Met) (phospho Y1349) antibody [EP2367Y] (AB68141)
  • WB

Unknown

Western blot - Anti-Met (c-Met) (phospho Y1349) antibody [EP2367Y] (AB68141)

All lanes:

Western blot - Anti-Met (c-Met) (phospho Y1349) antibody [EP2367Y] (ab68141) at 1/10000 dilution

Lane 1:

A431 cell lysate, untreated at 10 µg

Lane 2:

A431 cell lysate, treated with AP at 10 µg

Secondary

All lanes:

HRP-labeled goat anti-rabbit at 1/2000 dilution

Predicted band size: 155 kDa

Observed band size: ~150 kDa

false

Western blot - Anti-Met (c-Met) (phospho Y1349) antibody [EP2367Y] (AB68141)
  • WB

Lab

Western blot - Anti-Met (c-Met) (phospho Y1349) antibody [EP2367Y] (AB68141)

Blocking and diluting buffer and concentration : 5% NFDM/TBST.

The molecular weight of Met (c-Met) (phospho Y1349) and Met (c-Met) is different. ab51067 could only recognize the pro-Met which is 190kDa, but ab68141 recognizes theβ-subunits which is 145kDa.

All lanes:

Western blot - Anti-Met (c-Met) (phospho Y1349) antibody [EP2367Y] (ab68141) at 1/5000 dilution

Lane 1:

HeLa (Human cervix adenocarcinoma epithelial cell) serum starved for 24 h. Whole cell lysates at 15 µg

Lane 2:

HeLa (Human cervix adenocarcinoma epithelial cell) serum starved for 24 h and then treated with hepatocyte growth factor at 40ng/ml for 5 min. Whole cell lysates at 15 µg

Lane 3:

HeLa (Human cervix adenocarcinoma epithelial cell) serum starved for 24 h and then treated with hepatocyte growth factor at 40ng/ml for 5 min. Whole cell lysates. Then the membrane was incub at 15 µg

Secondary

All lanes:

Western blot - Goat Anti-Rabbit IgG H&L (HRP) (<a href='/products/secondary-antibodies/goat-rabbit-igg-h-l-hrp-ab97051'>ab97051</a>) at 1/20000 dilution

Predicted band size: 155 kDa

Observed band size: 150 kDa

false

Exposure time: 30s

Dot Blot - Anti-Met (c-Met) (phospho Y1349) antibody [EP2367Y] (AB68141)
  • Dot

Unknown

Dot Blot - Anti-Met (c-Met) (phospho Y1349) antibody [EP2367Y] (AB68141)

Dot blot analysis of Met (c-Met) (phospho Y1349) phospho peptide (Lane 1) Met (c-Met) Non-phospho peptide (Lane 2) labelling Met (c-Met) (phospho Y1349) with ab68141 at a dilution of 1/1000. Peroxidase conjugated goat anti-rabbit IgG (H+L)) was used as the secondary antibody at a dilution of 1/2500.

Blocking and diluting buffer : 5% NFDM/TBST.

Exposure time : 3 minutes.

Western blot - Anti-Met (c-Met) (phospho Y1349) antibody [EP2367Y] (AB68141)
  • WB

CiteAb

Western blot - Anti-Met (c-Met) (phospho Y1349) antibody [EP2367Y] (AB68141)

Met (c-Met) (phospho Y1349) western blot using anti-Met (c-Met) (phospho Y1349) antibody [EP2367Y] ab68141. Publication image and figure legend from Zhao, Q., Zhu, H. P., et al., 2020, Int J Mol Sci, PubMed 32156008.

ab68141 was used in this publication in western blot. This may not be the same as the application(s) guaranteed by Abcam. For a full list of applications guaranteed by Abcam for ab68141 please see the product overview.

(A) Cells were incubated with various concentrations (0, 20, or 40 μg/mL) of DHP1808 for 24 h. Expression or phosphorylation levels of HSP90 client proteins were determined by western blot analysis; (B) Cells were incubated with various concentrations (0, 20, or 40 μg/mL) of DHP1808 for 24 h. Expression or phosphorylation levels of proteins associated with MAPK signaling pathway were determined by western blot analysis; (C) Cells were incubated with various concentrations (0, 20, or 40 μg/mL) of DHP1808 for 24 h. Expression or phosphorylation level of proteins associated with the PI3K-Akt signaling pathway was determined by western blot analysis; (D). The fold change of EGFR expression was determined by qPCR analysis.

false

不同偶联物与剂型 (1)

  • Carrier free

    Anti-Met (c-Met) (phospho Y1349) antibody [EP2367Y] - BSA and Azide free

关键信息

宿主种属

Rabbit

克隆

Monoclonal

克隆号

EP2367Y

亚型

IgG

不含载体蛋白

No

反应种属

Human

应用

IP, Dot, IHC-P, WB

applications

免疫原

The exact immunogen used to generate this antibody is proprietary information.

反应性数据

{ "title": "Reactivity Data", "filters": { "stats": ["", "Species", "Dilution Info", "Notes"], "tabs": { "all-applications": {"fullname" : "All Applications", "shortname": "All Applications"}, "IP" : {"fullname" : "Immunoprecipitation", "shortname":"IP"}, "FlowCyt" : {"fullname" : "Flow Cytometry", "shortname":"Flow Cyt"}, "Dot" : {"fullname" : "Dot Blot", "shortname":"Dot"}, "WB" : {"fullname" : "Western blot", "shortname":"WB"}, "IHCP" : {"fullname" : "Immunohistochemistry (Formalin/PFA-fixed paraffin-embedded sections)", "shortname":"IHC-P"} }, "product-promise": { "all": "all", "testedAndGuaranteed": "tested", "guaranteed": "expected", "predicted": "predicted", "notRecommended": "not-recommended" } }, "values": { "Human": { "IP-species-checked": "testedAndGuaranteed", "IP-species-dilution-info": "1/20 - 1/150", "IP-species-notes": "<p></p>", "FlowCyt-species-checked": "notRecommended", "FlowCyt-species-dilution-info": "", "FlowCyt-species-notes": "<p></p>", "Dot-species-checked": "guaranteed", "Dot-species-dilution-info": "", "Dot-species-notes": "", "WB-species-checked": "testedAndGuaranteed", "WB-species-dilution-info": "1/1000 - 1/10000", "WB-species-notes": "<p></p>", "IHCP-species-checked": "testedAndGuaranteed", "IHCP-species-dilution-info": "1/50 - 1/100", "IHCP-species-notes": "<p></p>" }, "Synthetic peptide": { "IP-species-checked": "notRecommended", "IP-species-dilution-info": "", "IP-species-notes": "", "FlowCyt-species-checked": "notRecommended", "FlowCyt-species-dilution-info": "", "FlowCyt-species-notes": "", "Dot-species-checked": "testedAndGuaranteed", "Dot-species-dilution-info": "", "Dot-species-notes": "<p></p>", "WB-species-checked": "notRecommended", "WB-species-dilution-info": "", "WB-species-notes": "", "IHCP-species-checked": "notRecommended", "IHCP-species-dilution-info": "", "IHCP-species-notes": "" } } }

产品详情

Patented technology
Our RabMAb® technology is a patented hybridoma-based technology for making rabbit monoclonal antibodies. For details on our patents, please refer to RabMAb® patents.

What are the advantages of a recombinant monoclonal antibody?
This product is a recombinant monoclonal antibody, which offers several advantages including:

  • - High batch-to-batch consistency and reproducibility
  • - Improved sensitivity and specificity
  • - Long-term security of supply
  • - Animal-free batch production

For more information, read more on recombinant antibodies.

性能和储存信息

形式
Liquid
纯化工艺
Affinity purification Protein A
存储溶液
pH: 7.2 - 7.4 Preservative: 0.05% Sodium azide Constituents: 50% Tissue culture supernatant, 40% Glycerol (glycerin, glycerine), 9.85% Tris glycine, 0.1% BSA
运输条件
Blue Ice
推荐的短期储存条件
+4°C
推荐的长期储存条件
-20°C
储存信息
Stable for 12 months at -20°C

产品实验方案

For this product, it's our understanding that no specific protocols are required. You can visit:

靶点信息

Receptor tyrosine kinase that transduces signals from the extracellular matrix into the cytoplasm by binding to hepatocyte growth factor/HGF ligand. Regulates many physiological processes including proliferation, scattering, morphogenesis and survival. Ligand binding at the cell surface induces autophosphorylation of MET on its intracellular domain that provides docking sites for downstream signaling molecules. Following activation by ligand, interacts with the PI3-kinase subunit PIK3R1, PLCG1, SRC, GRB2, STAT3 or the adapter GAB1. Recruitment of these downstream effectors by MET leads to the activation of several signaling cascades including the RAS-ERK, PI3 kinase-AKT, or PLCgamma-PKC. The RAS-ERK activation is associated with the morphogenetic effects while PI3K/AKT coordinates prosurvival effects. During embryonic development, MET signaling plays a role in gastrulation, development and migration of neuronal precursors, angiogenesis and kidney formation. During skeletal muscle development, it is crucial for the migration of muscle progenitor cells and for the proliferation of secondary myoblasts (By similarity). In adults, participates in wound healing as well as organ regeneration and tissue remodeling. Also promotes differentiation and proliferation of hematopoietic cells. May regulate cortical bone osteogenesis (By similarity).. (Microbial infection) Acts as a receptor for Listeria monocytogenes internalin InlB, mediating entry of the pathogen into cells.
See full target information MET phospho Y1349

文献 (25)

Recent publications for all applications. Explore the full list and refine your search

Journal of experimental & clinical cancer research : CR 43:103 PubMed38570866

2024

Mesothelin promotes brain metastasis of non-small cell lung cancer by activating MET.

Applications

Unspecified application

Species

Unspecified reactive species

Shengkai Xia,Wenzhe Duan,Mingxin Xu,Mengqi Li,Mengyi Tang,Song Wei,Manqing Lin,Encheng Li,Wenwen Liu,Qi Wang

Cancers 16: PubMed38201620

2024

ESM1 Interacts with c-Met to Promote Gastric Cancer Peritoneal Metastasis by Inducing Angiogenesis.

Applications

Unspecified application

Species

Unspecified reactive species

Jiaoyang Yang,Gege Shu,Tao Chen,Anqi Dong,Chao Dong,Weikang Li,Xiaotong Sun,Yajing Zhou,Dongbao Li,Jin Zhou

Histology and histopathology 38:1487-1498 PubMed37140169

2023

Long noncoding RNA FTX promotes epithelial-mesenchymal transition of epithelial ovarian cancer through modulating miR-7515/TPD52 and activating Met/Akt/mTOR.

Applications

Unspecified application

Species

Unspecified reactive species

Yong Li,Xinghua Zhu,Can Zhang,Yi Yin,Lei Chen,Yushan Liu,Aiqin He,Fei Xia

Cell cycle (Georgetown, Tex.) 21:462-476 PubMed35100091

2022

CircFAM53B promotes the proliferation and metastasis of glioma through activating the c-MET/PI3K/AKT pathway via sponging miR-532-3p.

Applications

Unspecified application

Species

Unspecified reactive species

Jiaping Pei,Hui Dou,Xiaozhao Deng

Cell death discovery 8:17 PubMed35013115

2022

Tumor-derived extracellular vesicles inhibit HGF/c-Met and EGF/EGFR pathways to accelerate the radiosensitivity of nasopharyngeal carcinoma cells via microRNA-142-5p delivery.

Applications

Unspecified application

Species

Unspecified reactive species

Changyu Zhu,Xiaolei Jiang,Hua Xiao,Jianmei Guan

Oncogene 41:997-1010 PubMed34974522

2022

Novel function of THEMIS2 in the enhancement of cancer stemness and chemoresistance by releasing PTP1B from MET.

Applications

Unspecified application

Species

Unspecified reactive species

Wei-Chieh Huang,Jia-Hau Yen,Yu-Wen Sung,Shiao-Lin Tung,Po-Ming Chen,Pei-Yi Chu,Ya-Chi Shih,Hsiang-Cheng Chi,Yi-Ching Huang,Shih-Jei Huang,Lu-Hai Wang

Journal of cellular and molecular medicine 25:11157-11169 PubMed34761497

2021

MET inhibition enhances PARP inhibitor efficacy in castration-resistant prostate cancer by suppressing the ATM/ATR and PI3K/AKT pathways.

Applications

Unspecified application

Species

Unspecified reactive species

Sihai Zhou,Zhihong Dai,Liang Wang,Xiang Gao,Liqin Yang,Zhenwei Wang,Qi Wang,Zhiyu Liu

FEBS open bio 11:3115-3125 PubMed34555268

2021

CXCR4 promotes gefitinib resistance of Huh7 cells by activating the c-Met signaling pathway.

Applications

Unspecified application

Species

Unspecified reactive species

Dali Zhao,Zhiqiang Yang,Chen Chen,Zhipeng Zhang,Yangsheng Yu,Zhituo Li

International journal of molecular sciences 22: PubMed34575841

2021

Novel Pyridine Bioisostere of Cabozantinib as a Potent -Met Kinase Inhibitor: Synthesis and Anti-Tumor Activity against Hepatocellular Carcinoma.

Applications

Unspecified application

Species

Unspecified reactive species

Ujjwala Karmacharya,Diwakar Guragain,Prakash Chaudhary,Jun-Goo Jee,Jung-Ae Kim,Byeong-Seon Jeong

Evidence-based complementary and alternative medicine : eCAM 2021:5574555 PubMed34408780

2021

Curcumin Inhibits HGF-Induced EMT by Regulating c-MET-Dependent PI3K/Akt/mTOR Signaling Pathways in Meningioma.

Applications

Unspecified application

Species

Unspecified reactive species

Xiaodong Chen,Fen Tian,Peng Lun,Yugong Feng
View all publications

Abcam Product Promise

我们致力于为您的研究提供高质量的试剂,为您科研的每一步提供支持。若我们的产品未能达到预期性能,我们向您提供 Abcam Product Promise 保障。
详情请参阅我们的条款与条件。

Please note: All products are 'FOR RESEARCH USE ONLY. NOT FOR USE IN DIAGNOSTIC OR THERAPEUTIC PROCEDURES'.

For licensing inquiries, please contact partnerships@abcam.com