JavaScript is disabled in your browser. Please enable JavaScript to view this website.
AB732

重组Anti-Melanoma抗体[HMB45 + M2-7C10 + M2-9E3]

Anti-Melanoma antibody [HMB45 + M2-7C10 + M2-9E3]

4

(2 Reviews)

|

(37 Publications)

Mouse Recombinant Multiclonal Melanoma antibody. Suitable for Flow Cyt, IHC-P, IHC-Fr and reacts with Human samples. Cited in 37 publications.

查看别名

Antigen LB39-AA, Antigen SK29-AA, MART-1, Melan A, Melan A protein, Melanoma antigen recognized by T-cells 1

1 Images
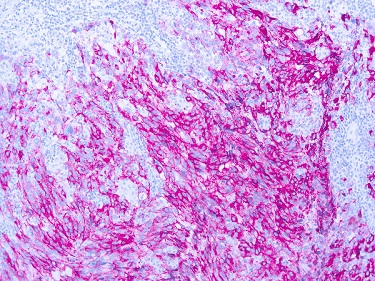
Immunohistochemistry (Formalin/PFA-fixed paraffin-embedded sections) - Anti-Melanoma antibody [HMB45 + M2-7C10 + M2-9E3] (AB732)
  • IHC-P

Supplier Data

Immunohistochemistry (Formalin/PFA-fixed paraffin-embedded sections) - Anti-Melanoma antibody [HMB45 + M2-7C10 + M2-9E3] (AB732)

ab732 staining Melanoma in Human lymph node tissue sections by Immunohistochemistry (IHC-P - paraformaldehyde-fixed, paraffin-embedded sections).

关键信息

宿主种属

Mouse

克隆

Multiclonal

克隆号

HMB45 + M2-7C10 + M2-9E3

亚型

IgG2b

轻链类型

kappa

不含载体蛋白

No

反应种属

Human

应用

IHC-Fr, IHC-P, Flow Cyt

applications

表位

HMB45 and MART-1

反应性数据

{ "title": "Reactivity Data", "filters": { "stats": ["", "Species", "Dilution Info", "Notes"], "tabs": { "all-applications": {"fullname" : "All Applications", "shortname": "All Applications"}, "FlowCyt" : {"fullname" : "Flow Cytometry", "shortname":"Flow Cyt"}, "IHCP" : {"fullname" : "Immunohistochemistry (Formalin/PFA-fixed paraffin-embedded sections)", "shortname":"IHC-P"}, "IHCFr" : {"fullname" : "Immunohistochemistry (Frozen sections)", "shortname":"IHC-Fr"} }, "product-promise": { "all": "all", "testedAndGuaranteed": "tested", "guaranteed": "expected", "predicted": "predicted", "notRecommended": "not-recommended" } }, "values": { "Human": { "FlowCyt-species-checked": "guaranteed", "FlowCyt-species-dilution-info": "", "FlowCyt-species-notes": "<p><a href='/products/primary-antibodies/mouse-igg2b-kappa-monoclonal-7e10g10-isotype-control-ab170192'>ab170192</a> - Mouse monoclonal IgG2b, is suitable for use as an isotype control with this antibody.</p>", "IHCP-species-checked": "testedAndGuaranteed", "IHCP-species-dilution-info": "1/100 - 1/200", "IHCP-species-notes": "<p>The staining intensity of this melanoma cocktail is enhanced by performing heat mediated antigen retrieval using a high pH buffer. The HMB-45 portion of this antibody will stain with citrate buffer, pH 6.0; however, data shows the MART-1 portion of this cocktail may be negative unless a high pH buffer is used. We therefore, strongly recommend that you do not use citrate buffer for this antibody cocktail.</p>", "IHCFr-species-checked": "guaranteed", "IHCFr-species-dilution-info": "", "IHCFr-species-notes": "<p></p>" }, "Rat": { "FlowCyt-species-checked": "predicted", "FlowCyt-species-dilution-info": "", "FlowCyt-species-notes": "", "IHCP-species-checked": "predicted", "IHCP-species-dilution-info": "", "IHCP-species-notes": "", "IHCFr-species-checked": "predicted", "IHCFr-species-dilution-info": "", "IHCFr-species-notes": "" } } }

产品详情

This cocktail is HMB45 + two different clones of MART-1[M2-7C10] + [M2-9E3]. HMB34 isotype: IgG1/kappa and both clones of MART-1: IgG2b + IgG2b

HMB-45 and MART-1 are coexpressed in the majority of melanomas, as well as uniquely expressed in certain cases. Thus, the HMB-45 and MART-1 cocktail is potentially more sensitive than HMB-45 or MART-1 alone. MART-1 is a cocktail of clones M2-7C10 and M2-9E3. The combination of HMB-45 and the MART-1 cocktail make this triple antibody cocktail a first-order pan melanoma screener.

This product was changed from ascites to tissue culture supernatant on 14/07/17. The following lots are from ascites and are still in stock as of 14/07/17 – GR313023 and GR3175007. Lot numbers higher than GR313023 will be from tissue culture supernatant. Please note that the dilutions may need to be adjusted accordingly.

What is an oligoclonal antibody?
This oligoclonal antibody is a cocktail of monoclonal antibodies that have been carefully selected. Oligoclonal antibodies have not only the specificity and batch-to-batch consistency of a monoclonal antibody, but also have the advantage of the sensitivity of a polyclonal antibody due to their ability to recognize multiple epitopes on an antigen.

性能和储存信息

形式
Liquid
纯度
Tissue culture supernatant
存储溶液
Preservative: 0.09% Sodium azide Constituents: 97.5% Water, 0.99% BSA, 0.33% Tris HCl, 0.04% Sorbitan monolaurate, ethoxylated, 0.007% Hydrochloric acid
运输条件
Blue Ice
推荐的短期储存时间
1-2 weeks
推荐的短期储存条件
+4°C
推荐的长期储存条件
-20°C
储存信息
Avoid freeze / thaw cycle

产品实验方案

For this product, it's our understanding that no specific protocols are required. You can visit:

文献 (37)

Recent publications for all applications. Explore the full list and refine your search

Scientific reports 14:24843 PubMed39438602

2024

Matched three-dimensional organoids and two-dimensional cell lines of melanoma brain metastases mirror response to targeted molecular therapy.

Applications

Unspecified application

Species

Unspecified reactive species

William H Hicks,Lauren C Gattie,Mohamad El Shami,Jeffrey I Traylor,Diwakar Davar,Yana G Najjar,Timothy E Richardson,Samuel K McBrayer,Kalil G Abdullah

Cancer discovery 15:179-201 PubMed39354883

2024

TIMP1 Mediates Astrocyte-Dependent Local Immunosuppression in Brain Metastasis Acting on Infiltrating CD8+ T Cells.

Applications

Unspecified application

Species

Unspecified reactive species

Neibla Priego,Ana de Pablos-Aragoneses,María Perea-García,Valentina Pieri,Carolina Hernández-Oliver,Laura Álvaro-Espinosa,Andrea Rojas,Oliva Sánchez,Ariane Steindl,Eduardo Caleiras,Fernando García,Santiago García-Martín,Osvaldo Graña-Castro,Sandra García-Mulero,Diego Serrano,Paloma Velasco-Beltrán,Borja Jiménez-Lasheras,Leire Egia-Mendikute,Luise Rupp,Antonia Stammberger,Matthias Meinhardt,Anas Chaachou-Charradi,Elena Martínez-Saez,Luca Bertero,Paola Cassoni,Luca Mangherini,Alessia Pellerino,Roberta Rudà,Riccardo Soffietti,Fatima Al-Shahrour,Paul Saftig,Rebeca Sanz-Pamplona,Marc Schmitz,Stephen J Crocker,Alfonso Calvo,Asís Palazón,Manuel Valiente

The EMBO journal 43:3553-3586 PubMed38719996

2024

Recycled melanoma-secreted melanosomes regulate tumor-associated macrophage diversification.

Applications

Unspecified application

Species

Unspecified reactive species

Roma Parikh,Shivang Parikh,Daniella Berzin,Hananya Vaknine,Shai Ovadia,Daniela Likonen,Shoshana Greenberger,Alon Scope,Sharona Elgavish,Yuval Nevo,Inbar Plaschkes,Eran Nizri,Oren Kobiler,Avishai Maliah,Laureen Zaremba,Vishnu Mohan,Irit Sagi,Ruth Ashery-Padan,Yaron Carmi,Chen Luxenburg,Jörg D Hoheisel,Mehdi Khaled,Mitchell P Levesque,Carmit Levy

International journal of molecular sciences 24: PubMed37958830

2023

The β Isoform of Human ATP-Binding Cassette B5 Transporter, ABCB5β, Localizes to the Endoplasmic Reticulum.

Applications

Unspecified application

Species

Unspecified reactive species

Adriana María Díaz-Anaya,Louise Gerard,Martine Albert,Jean-François Gaussin,Marielle Boonen,Jean-Pierre Gillet

Proceedings of the National Academy of Sciences of the United States of America 120:e2214350120 PubMed36634146

2023

Circulating galectin-1 delineates response to bevacizumab in melanoma patients and reprograms endothelial cell biology.

Applications

Unspecified application

Species

Unspecified reactive species

Nadia Bannoud,Juan C Stupirski,Alejandro J Cagnoni,Pablo F Hockl,Juan M Pérez Sáez,P Alfredo García,Yamil D Mahmoud,Julián Gambarte Tudela,Marco A Scheidegger,Andrea Marshall,Pippa G Corrie,Mark R Middleton,Karina V Mariño,M Romina Girotti,Diego O Croci,Gabriel A Rabinovich

Cell 185:2071-2085.e12 PubMed35561684

2022

Topical therapy for regression and melanoma prevention of congenital giant nevi.

Applications

Unspecified application

Species

Unspecified reactive species

Yeon Sook Choi,Tal H Erlich,Max von Franque,Inbal Rachmin,Jessica L Flesher,Erik B Schiferle,Yi Zhang,Marcello Pereira da Silva,Alva Jiang,Allison S Dobry,Mack Su,Sharon Germana,Sebastian Lacher,Orly Freund,Ezra Feder,Jose L Cortez,Suyeon Ryu,Tamar Babila Propp,Yedidyah Leo Samuels,Labib R Zakka,Marjan Azin,Christin E Burd,Norman E Sharpless,X Shirley Liu,Clifford Meyer,William Gerald Austen,Branko Bojovic,Curtis L Cetrulo,Martin C Mihm,Dave S Hoon,Shadmehr Demehri,Elena B Hawryluk,David E Fisher

Nature medicine 28:752-765 PubMed35411077

2022

Stratification of radiosensitive brain metastases based on an actionable S100A9/RAGE resistance mechanism.

Applications

Unspecified application

Species

Unspecified reactive species

Cátia Monteiro,Lauritz Miarka,María Perea-García,Neibla Priego,Pedro García-Gómez,Laura Álvaro-Espinosa,Ana de Pablos-Aragoneses,Natalia Yebra,Diana Retana,Patricia Baena,Coral Fustero-Torre,Osvaldo Graña-Castro,Kevin Troulé,Eduardo Caleiras,Patricia Tezanos,Pablo Muela,Elisa Cintado,José Luis Trejo,Juan Manuel Sepúlveda,Pedro González-León,Luis Jiménez-Roldán,Luis Miguel Moreno,Olga Esteban,Ángel Pérez-Núñez,Aurelio Hernández-Lain,José Mazarico Gallego,Irene Ferrer,Rocío Suárez,Eva M Garrido-Martín,Luis Paz-Ares,Celine Dalmasso,Elizabeth Cohen-Jonathan Moyal,Aurore Siegfried,Aisling Hegarty,Stephen Keelan,Damir Varešlija,Leonie S Young,Malte Mohme,Yvonne Goy,Harriet Wikman,Jose Fernández-Alén,Guillermo Blasco,Lucía Alcázar,Clara Cabañuz,Sergei I Grivennikov,Andrada Ianus,Noam Shemesh,Claudia C Faria,Rebecca Lee,Paul Lorigan,Emilie Le Rhun,Michael Weller,Riccardo Soffietti,Luca Bertero,Umberto Ricardi,Joaquim Bosch-Barrera,Elia Sais,Eduard Teixidor,Alejandro Hernández-Martínez,Alfonso Calvo,Javier Aristu,Santiago M Martin,Alvaro Gonzalez,Omer Adler,Neta Erez,Manuel Valiente

Cancers 13: PubMed34439274

2021

Phytogalactolipid dLGG Inhibits Mouse Melanoma Brain Metastasis through Regulating Oxylipin Activity and Re-Programming Macrophage Polarity in the Tumor Microenvironment.

Applications

Unspecified application

Species

Unspecified reactive species

Chung-Chih Yang,Meng-Ting Chang,Cheng-Kuei Chang,Lie-Fen Shyur

Cancers 13: PubMed33924486

2021

Sensitivity and Resistance of Oncogenic RAS-Driven Tumors to Dual MEK and ERK Inhibition.

Applications

Unspecified application

Species

Unspecified reactive species

Antonella Catalano,Mojca Adlesic,Thorsten Kaltenbacher,Rhena F U Klar,Joachim Albers,Philipp Seidel,Laura P Brandt,Tomas Hejhal,Philipp Busenhart,Niklas Röhner,Kyra Zodel,Kornelia Fritsch,Peter J Wild,Justus Duyster,Ralph Fritsch,Tilman Brummer,Ian J Frew

Oncogene 40:1792-1805 PubMed33564068

2021

Classification of node-positive melanomas into prognostic subgroups using keratin, immune, and melanogenesis expression patterns.

Applications

Unspecified application

Species

Unspecified reactive species

Dvir Netanely,Stav Leibou,Roma Parikh,Neta Stern,Hananya Vaknine,Ronen Brenner,Sarah Amar,Rivi Haiat Factor,Tomer Perluk,Jacob Frand,Eran Nizri,Dov Hershkovitz,Valentina Zemser-Werner,Carmit Levy,Ron Shamir
View all publications

Abcam Product Promise

我们致力于为您的研究提供高质量的试剂,为您科研的每一步提供支持。若我们的产品未能达到预期性能,我们向您提供 Abcam Product Promise 保障。
详情请参阅我们的条款与条件。

Please note: All products are 'FOR RESEARCH USE ONLY. NOT FOR USE IN DIAGNOSTIC OR THERAPEUTIC PROCEDURES'.

For licensing inquiries, please contact partnerships@abcam.com