JavaScript is disabled in your browser. Please enable JavaScript to view this website.
AB210546

重组Anti-MelanA抗体[EPR20380]

Anti-MelanA antibody [EPR20380]

5

(15 Reviews)

|

(26 Publications)

Anti-MelanA antibody [EPR20380] (ab210546) is a rabbit monoclonal antibody detecting MelanA in Western Blot, Flow Cytometry (Intra), Flow Cytometry, IHC-P, ICC/IF. Suitable for Human, Mouse.

- Biophysical QC for unrivalled batch-batch consistency
- Over 20 publications

查看别名

MART1, MLANA, Melanoma antigen recognized by T-cells 1, MART-1, Antigen LB39-AA, Antigen SK29-AA, Protein Melan-A

9 Images
Immunohistochemistry (Formalin/PFA-fixed paraffin-embedded sections) - Anti-MelanA antibody [EPR20380] (AB210546)
  • IHC-P

Supplier Data

Immunohistochemistry (Formalin/PFA-fixed paraffin-embedded sections) - Anti-MelanA antibody [EPR20380] (AB210546)

Immunohistochemical analysis of paraffin-embedded human malignant melanoma tissue labeling MelanA with ab210546 at 1/1000 dilution, followed by Goat Anti-Rabbit IgG H&L (HRP) (ab97051) at 1/500 dilution.

Cytoplasmic staining on human malignant melanoma is observed [PMID : 17445277] [PMID : 21840568].

Counter stained with Hematoxylin.

Secondary antibody only control : Used PBS instead of primary antibody, secondary antibody is Goat Anti-Rabbit IgG H&L (HRP) (ab97051) at 1/500 dilution.

Perform heat mediated antigen retrieval with Tris/EDTA buffer pH 9.0 before commencing with IHC staining protocol.

Flow Cytometry (Intracellular) - Anti-MelanA antibody [EPR20380] (AB210546)
  • Flow Cyt (Intra)

Lab

Flow Cytometry (Intracellular) - Anti-MelanA antibody [EPR20380] (AB210546)

Flow cytometry overlay histogram showing left Malme-3M positive cells and right negative HEK293 stained with ab210546 (red line). The cells were fixed with 80% methanol (5 min) and then permeabilised with 0.1 % PBS-Triton X-100 for 15 min. The cells were then incubated in 1x PBS containing 10% normal goat serum to block non-specific protein-protein interaction followed by the antibody (ab210546) (1x 106 in 100μl at 0.2μg/ml (1/10500)) for 30min at 22°C.

The secondary antibody Goat Anti-Rabbit IgG H&L (Alexa Fluor® 488) preadsorbed was incubated at 1/4000 for 30min at 22°C

Isotype control antibody (black line) was Recombinant Rabbit IgG, monoclonal [EPR25A] - Isotype Control used at the same concentration and conditions as the primary antibody. Unlabelled sample (blue line) was also used as a control.

Acquisition of >5000 events were collected using a 50 mW Blue laser (488nm) and 525/40 bandpass filter.

This antibody gave a positive signal in Malme-3M Fixed with 4% formaldehyde (10 min) / permeabilised with 0.1 % PBS-Triton X-100 for 15 min under the same conditions.

Flow Cytometry (Intracellular) - Anti-MelanA antibody [EPR20380] (AB210546)
  • Flow Cyt (Intra)

Supplier Data

Flow Cytometry (Intracellular) - Anti-MelanA antibody [EPR20380] (AB210546)

Intracellular flow cytometric analysis of 4% paraformaldehyde-fixed B16F0 (Mouse melanoma cell line) cells labeling MelanA with ab210546 at 1/500 dilution (red) compared with a rabbit monoclonal IgG isotype control (ab172730; black) and an unlabeled control (cells without incubation with primary antibody and secondary antibody; blue). Goat anti rabbit IgG (Alexa Fluor® 488) at 1/2000 dilution was used as the secondary antibody.

Immunohistochemistry (Formalin/PFA-fixed paraffin-embedded sections) - Anti-MelanA antibody [EPR20380] (AB210546)
  • IHC-P

Supplier Data

Immunohistochemistry (Formalin/PFA-fixed paraffin-embedded sections) - Anti-MelanA antibody [EPR20380] (AB210546)

Immunohistochemical analysis of paraffin-embedded mouse hair bulb tissue labeling MelanA with ab210546 at 1/1000 dilution, followed by Goat Anti-Rabbit IgG H&L (HRP) (ab97051) at 1/500 dilution.

Cytoplasmic staining on melanocytes of mouse hair bulb is observed.

Counter stained with Hematoxylin.

Secondary antibody only control : Used PBS instead of primary antibody, secondary antibody is Goat Anti-Rabbit IgG H&L (HRP) (ab97051) at 1/500 dilution.

Perform heat mediated antigen retrieval with Tris/EDTA buffer pH 9.0 before commencing with IHC staining protocol.

Immunocytochemistry/ Immunofluorescence - Anti-MelanA antibody [EPR20380] (AB210546)
  • ICC/IF

Supplier Data

Immunocytochemistry/ Immunofluorescence - Anti-MelanA antibody [EPR20380] (AB210546)

Immunofluorescent analysis of 4% paraformaldehyde-fixed, 0.1% Triton X-100 permeabilized MeWo (Human malignant melanoma cell line) cells labeling MelanA with ab210546 at 1/1000 dilution, followed by Goat anti-rabbit IgG (Alexa Fluor® 488) (ab150077) secondary antibody at 1/1000 dilution (green).

Confocal image showing cytoplasmic staining on MeWo cell line.

The nuclear counterstain is DAPI (blue).

Tubulin is detected with ab195889 (Anti-alpha Tubulin antibody [DM1A] - Microtubule Marker (Alexa Fluor® 594)) at 1/200 dilution (red).

Secondary antibody only control : Used PBS instead of primary antibody, secondary antibody is Goat anti-rabbit IgG (Alexa Fluor® 488) (ab150077) at 1/1000 dilution.

Immunohistochemistry (Formalin/PFA-fixed paraffin-embedded sections) - Anti-MelanA antibody [EPR20380] (AB210546)
  • IHC-P

Supplier Data

Immunohistochemistry (Formalin/PFA-fixed paraffin-embedded sections) - Anti-MelanA antibody [EPR20380] (AB210546)

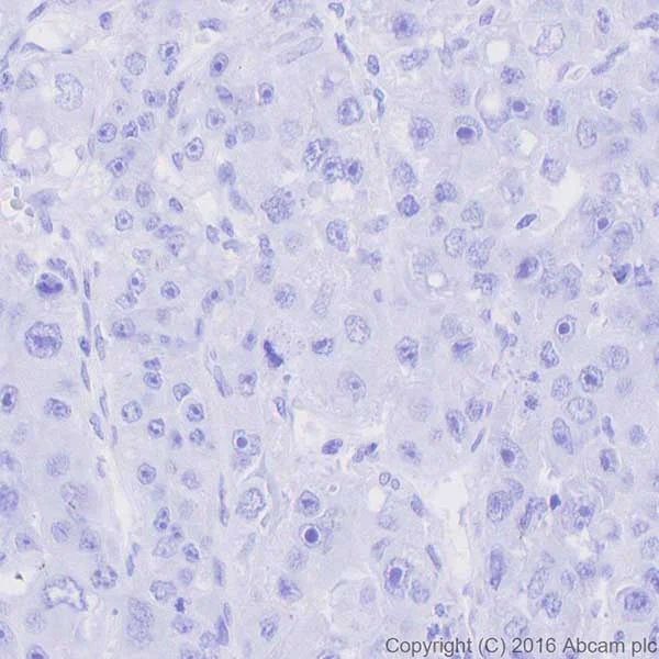
Immunohistochemical analysis of paraffin-embedded human liver cancer tissue labeling MelanA with ab210546 at 1/1000 dilution, followed by Goat Anti-Rabbit IgG H&L (HRP) (ab97051) at 1/500 dilution.

Negative control : no staining on human liver cancer [PMID : 10096358].

Counter stained with Hematoxylin.

Perform heat mediated antigen retrieval with Tris/EDTA buffer pH 9.0 before commencing with IHC staining protocol.

Immunocytochemistry/ Immunofluorescence - Anti-MelanA antibody [EPR20380] (AB210546)
  • ICC/IF

Supplier Data

Immunocytochemistry/ Immunofluorescence - Anti-MelanA antibody [EPR20380] (AB210546)

Immunofluorescent analysis of 4% paraformaldehyde-fixed, 0.1% Triton X-100 permeabilized B16F0 (Mouse melanoma cell line) cells labeling MelanA with ab210546 at 1/1000 dilution, followed by Goat anti-rabbit IgG (Alexa Fluor® 488) (ab150077) secondary antibody at 1/1000 dilution (green).

Confocal image showing cytoplasmic staining on B16F0 cell line.

The nuclear counterstain is DAPI (blue).

Tubulin is detected with ab195889 (Anti-alpha Tubulin antibody [DM1A] - Microtubule Marker (Alexa Fluor® 594)) at 1/200 dilution (red).

Secondary antibody only control : Used PBS instead of primary antibody, secondary antibody is Goat anti-rabbit IgG (Alexa Fluor® 488) (ab150077) at 1/1000 dilution.

Immunohistochemistry (Formalin/PFA-fixed paraffin-embedded sections) - Anti-MelanA antibody [EPR20380] (AB210546)
  • IHC-P

Supplier Data

Immunohistochemistry (Formalin/PFA-fixed paraffin-embedded sections) - Anti-MelanA antibody [EPR20380] (AB210546)

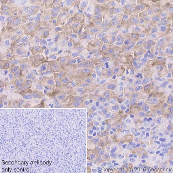
Immunohistochemical analysis of paraffin-embedded human metastatic malignant melanoma tissue labeling MelanA with ab210546 at 1/1000 dilution, followed by Goat Anti-Rabbit IgG H&L (HRP) (ab97051) at 1/500 dilution.

Cytoplasmic staining on human metastatic malignant melanoma is observed [PMID : 17445277] [PMID : 21840568].

Counter stained with Hematoxylin.

Secondary antibody only control : Used PBS instead of primary antibody, secondary antibody is Goat Anti-Rabbit IgG H&L (HRP) (ab97051) at 1/500 dilution.

Perform heat mediated antigen retrieval with Tris/EDTA buffer pH 9.0 before commencing with IHC staining protocol.

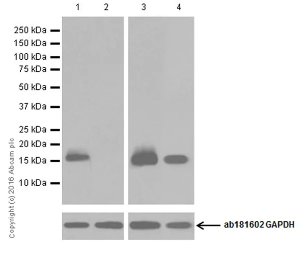
Western blot - Anti-MelanA antibody [EPR20380] (AB210546)
  • WB

Supplier Data

Western blot - Anti-MelanA antibody [EPR20380] (AB210546)

Blocking/Dilution buffer : 5% NFDM/TBST.

Exposure time : Lane 1 and 2 : 10 seconds; Lane 3 and 4 : 3 seconds.

A-375 doesn't express MelanA. The expression profile observed is consistent with what has been described in the literature (PMID : 12670905).

All lanes:

Western blot - Anti-MelanA antibody [EPR20380] (ab210546) at 1/2000 dilution

Lane 1:

Human melanoma lysate at 20 µg

Lane 2:

A-375 (Human malignant melanoma cell line) whole cell lysate at 20 µg

Lane 3:

B16F0 (Mouse melanoma cell line) whole cell lysate at 20 µg

Lane 4:

MeWo (Human malignant melanoma cell line) whole cell lysate at 20 µg

Secondary

All lanes:

Western blot - Goat Anti-Rabbit IgG H&L (HRP) (<a href='/products/secondary-antibodies/goat-rabbit-igg-h-l-hrp-ab97051'>ab97051</a>) at 1/100000 dilution

Predicted band size: 13 kDa

Observed band size: 18 kDa

false

不同偶联物与剂型 (4)

  • Carrier free

    Anti-MelanA antibody [EPR20380] - BSA and Azide free

  • 665 Alexa Fluor® 647

    Alexa Fluor® 647 Anti-MelanA antibody [EPR20380]

  • 660 APC

    APC Anti-MelanA antibody [EPR20380]

  • 578 PE

    PE Anti-MelanA antibody [EPR20380]

关键信息

宿主种属

Rabbit

克隆

Monoclonal

克隆号

EPR20380

亚型

IgG

不含载体蛋白

No

反应种属

Mouse, Human

应用

Flow Cyt (Intra), ICC/IF, WB, IHC-P

applications

免疫原

The exact immunogen used to generate this antibody is proprietary information.

反应性数据

{ "title": "Reactivity Data", "filters": { "stats": ["", "Species", "Dilution Info", "Notes"], "tabs": { "all-applications": {"fullname" : "All Applications", "shortname": "All Applications"}, "WB" : {"fullname" : "Western blot", "shortname":"WB"}, "ICCIF" : {"fullname" : "Immunocytochemistry/ Immunofluorescence", "shortname":"ICC/IF"}, "FlowCytIntra" : {"fullname" : "Flow Cytometry (Intracellular)", "shortname":"Flow Cyt (Intra)"}, "IHCP" : {"fullname" : "Immunohistochemistry (Formalin/PFA-fixed paraffin-embedded sections)", "shortname":"IHC-P"} }, "product-promise": { "all": "all", "testedAndGuaranteed": "tested", "guaranteed": "expected", "predicted": "predicted", "notRecommended": "not-recommended" } }, "values": { "Human": { "WB-species-checked": "testedAndGuaranteed", "WB-species-dilution-info": "1/2000", "WB-species-notes": "<p></p>", "ICCIF-species-checked": "testedAndGuaranteed", "ICCIF-species-dilution-info": "1/1000", "ICCIF-species-notes": "<p></p>", "FlowCytIntra-species-checked": "testedAndGuaranteed", "FlowCytIntra-species-dilution-info": "1/500", "FlowCytIntra-species-notes": "<p><a href='/products/primary-antibodies/rabbit-igg-monoclonal-epr25a-isotype-control-ab172730'>ab172730</a> - Rabbit monoclonal IgG, is suitable for use as an isotype control with this antibody.</p>", "IHCP-species-checked": "testedAndGuaranteed", "IHCP-species-dilution-info": "1/1000", "IHCP-species-notes": "<p></p>" }, "Mouse": { "WB-species-checked": "guaranteed", "WB-species-dilution-info": "", "WB-species-notes": "", "ICCIF-species-checked": "testedAndGuaranteed", "ICCIF-species-dilution-info": "1/1000", "ICCIF-species-notes": "<p></p>", "FlowCytIntra-species-checked": "testedAndGuaranteed", "FlowCytIntra-species-dilution-info": "1/500", "FlowCytIntra-species-notes": "<p><a href='/products/primary-antibodies/rabbit-igg-monoclonal-epr25a-isotype-control-ab172730'>ab172730</a> - Rabbit monoclonal IgG, is suitable for use as an isotype control with this antibody.</p>", "IHCP-species-checked": "testedAndGuaranteed", "IHCP-species-dilution-info": "1/1000", "IHCP-species-notes": "<p></p>" } } }

您可能对以下产品感兴趣:

AB309421

Human Melan-A ELISA Kit

0

0 Reviews

查看产品
为什么推荐这个?

我们推荐这个产品,因为它经常被用于相同的实验或相关的研究。

我们建议您务必查阅产品说明书,以确认其是否符合您的实验需求;若有疑问,也可联系我们的技术团队获取协助。

产品详情

性能和储存信息

形式
Liquid
纯化工艺
Affinity purification Protein A
存储溶液
pH: 7.2 - 7.4 Preservative: 0.01% Sodium azide Constituents: 59% PBS, 40% Glycerol (glycerin, glycerine), 0.05% BSA
运输条件
Blue Ice
推荐的短期储存时间
1-2 weeks
推荐的短期储存条件
+4°C
推荐的长期储存条件
-20°C
分装信息
Upon delivery aliquot
储存信息
Avoid freeze / thaw cycle

产品实验方案

For this product, it's our understanding that no specific protocols are required. You can visit:

靶点信息

Involved in melanosome biogenesis by ensuring the stability of GPR143. Plays a vital role in the expression, stability, trafficking, and processing of melanocyte protein PMEL, which is critical to the formation of stage II melanosomes.
See full target information MLANA

文献 (26)

Recent publications for all applications. Explore the full list and refine your search

Nature medicine 29:1123-1134 PubMed37106167

2023

Multi-organ landscape of therapy-resistant melanoma.

Applications

Unspecified application

Species

Unspecified reactive species

Sixue Liu,Prashanthi Dharanipragada,Shirley H Lomeli,Yan Wang,Xiao Zhang,Zhentao Yang,Raymond J Lim,Camelia Dumitras,Philip O Scumpia,Steve M Dubinett,Gatien Moriceau,Douglas B Johnson,Stergios J Moschos,Roger S Lo

International journal of molecular sciences 24: PubMed37175529

2023

Efficient Isolation and Expansion of Limbal Melanocytes for Tissue Engineering.

Applications

Unspecified application

Species

Unspecified reactive species

Naresh Polisetti,Thomas Reinhard,Günther Schlunck

The Journal of pathology 260:84-96 PubMed36852981

2023

MIF inhibition alleviates vitiligo progression by suppressing CD8 T cell activation and proliferation.

Applications

Unspecified application

Species

Unspecified reactive species

Jianru Chen,Weinan Guo,Pengran Du,Tingting Cui,Yuqi Yang,Yinghan Wang,Pan Kang,Zhe Zhang,Qi Wang,Zhubiao Ye,Ling Liu,Zhe Jian,Tianwen Gao,Huijie Bian,Shuli Li,Chunying Li

Bioengineering & translational medicine 8:e10273 PubMed36684105

2023

Clathrin light chain-conjugated drug delivery for cancer.

Applications

Unspecified application

Species

Unspecified reactive species

Sungwook Jung,Liwei Jiang,Jing Zhao,Leonard D Shultz,Dale L Greiner,Munhyung Bae,Xiaofei Li,Farideh Ordikhani,Rui Kuai,John Joseph,Vivek Kasinath,David R Elmaleh,Reza Abdi

Nature communications 13:7923 PubMed36564381

2022

Targeting anti-apoptotic pathways eliminates senescent melanocytes and leads to nevi regression.

Applications

Unspecified application

Species

Unspecified reactive species

Jaskaren Kohli,Chen Ge,Eleni Fitsiou,Miriam Doepner,Simone M Brandenburg,William J Faller,Todd W Ridky,Marco Demaria

Cell death & disease 13:1055 PubMed36539400

2022

Pharmacological targeting of the mitochondrial calcium-dependent potassium channel KCa3.1 triggers cell death and reduces tumor growth and metastasis in vivo.

Applications

Unspecified application

Species

Unspecified reactive species

Magdalena Bachmann,Andrea Rossa,Tatiana Varanita,Bernard Fioretti,Lucia Biasutto,Stefan Milenkovic,Vanessa Checchetto,Roberta Peruzzo,Syed A Ahmad,Sameer H Patel,Robert Lukowski,Michael J Edwards,Matteo Ceccarelli,Erich Gulbins,Mario Zoratti,Andrea Mattarei,Ildiko Szabo

BMC cancer 22:754 PubMed35820816

2022

Circulating tumor cells from melanoma patients show phenotypic plasticity and metastatic potential in xenograft NOD.CB17 mice.

Applications

Unspecified application

Species

Unspecified reactive species

Claudia Felici,Francesco Mannavola,Luigia Stefania Stucci,Loren Duda,Paola Cafforio,Camillo Porta,Marco Tucci

Nature communications 13:3732 PubMed35768444

2022

Inactivation of the Hippo tumor suppressor pathway promotes melanoma.

Applications

Unspecified application

Species

Unspecified reactive species

Marc A Vittoria,Nathan Kingston,Kristyna Kotynkova,Eric Xia,Rui Hong,Lee Huang,Shayna McDonald,Andrew Tilston-Lunel,Revati Darp,Joshua D Campbell,Deborah Lang,Xiaowei Xu,Craig J Ceol,Xaralabos Varelas,Neil J Ganem

Oxidative medicine and cellular longevity 2022:6732972 PubMed35222802

2022

Occludin Promotes Adhesion of CD8 T Cells and Melanocytes in Vitiligo via the HIF-1 Signaling Pathway.

Applications

Unspecified application

Species

Unspecified reactive species

Puyu Zou,Yangfan Xiao,Qiancheng Deng,Yaqian Shi,Ruixuan You,Zixin Pi,Jiani Liu,Yi Zhan,Qinghai Zeng,Zhuotong Zeng,Rong Xiao

Cell reports 37:110085 PubMed34879275

2021

SOX10 requirement for melanoma tumor growth is due, in part, to immune-mediated effects.

Applications

Unspecified application

Species

Unspecified reactive species

Sheera R Rosenbaum,Manoela Tiago,Signe Caksa,Claudia Capparelli,Timothy J Purwin,Gaurav Kumar,McKenna Glasheen,Danielle Pomante,Daniel Kotas,Inna Chervoneva,Andrew E Aplin
View all publications

Abcam Product Promise

我们致力于为您的研究提供高质量的试剂,为您科研的每一步提供支持。若我们的产品未能达到预期性能,我们向您提供 Abcam Product Promise 保障。
详情请参阅我们的条款与条件。

关联产品

Select an associated product type
Alternative Product
Primary Antibodies

AB200544

Anti-MelanA antibody [A103-M27C10-M29E3]

primary-antibodies

melana-antibody-a103-m27c10-m29e3-ab200544

0

(0 reviews)

Alternative Product
Primary Antibodies

AB215756

Anti-MelanA antibody [MLANA/788]

primary-antibodies

melana-antibody-mlana-788-ab215756

0

(0 reviews)

Alternative Product
Primary Antibodies

AB236301

Anti-MelanA antibody [MLANA/1409R] - BSA and Azide free

primary-antibodies

melana-antibody-mlana-1409r-bsa-and-azide-free-ab236301

0

(0 reviews)

Alternative Product
Primary Antibodies

AB234416

Anti-MelanA antibody [MLANA/1409R]

primary-antibodies

melana-antibody-mlana-1409r-ab234416

0

(0 reviews)

Alternative Product
Primary Antibodies

AB212367

Anti-MelanA antibody [M2-7C10 + M2-9E3] - BSA and Azide free

primary-antibodies

melana-antibody-m2-7c10-m2-9e3-bsa-and-azide-free-ab212367

0

(0 reviews)

Alternative Product
Primary Antibodies

AB140503

Anti-MelanA antibody [OTI3E2]

primary-antibodies

melana-antibody-oti3e2-ab140503

0

(0 reviews)

Alternative Product
Primary Antibodies

AB785

Anti-MelanA antibody [A103]

primary-antibodies

melana-antibody-a103-ab785

5

(1 reviews)

Alternative Product
Primary Antibodies

AB51061

Anti-MelanA antibody [EP1422Y]

primary-antibodies

melana-antibody-ep1422y-ab51061

5

(1 reviews)

Alternative Product
Primary Antibodies

AB187369

Anti-MelanA antibody [M2-9E3]

primary-antibodies

melana-antibody-m2-9e3-ab187369

0

(0 reviews)

Alternative Product
Primary Antibodies

AB212366

Anti-MelanA antibody [A103 + M2-7C10 + M2-9E3] - BSA and Azide free

primary-antibodies

melana-antibody-a103-m2-7c10-m2-9e3-bsa-and-azide-free-ab212366

0

(0 reviews)

Alternative Product
Primary Antibodies

AB170090

Anti-MelanA antibody [EP1422Y] - Low endotoxin, Azide free

primary-antibodies

melana-antibody-ep1422y-low-endotoxin-azide-free-ab170090

0

(0 reviews)

Alternative Product
Primary Antibodies

AB271839

Anti-MelanA antibody [EP1422Y] - BSA and Azide free

primary-antibodies

melana-antibody-ep1422y-bsa-and-azide-free-ab271839

5

(2 reviews)

Please note: All products are 'FOR RESEARCH USE ONLY. NOT FOR USE IN DIAGNOSTIC OR THERAPEUTIC PROCEDURES'.

For licensing inquiries, please contact partnerships@abcam.com