JavaScript is disabled in your browser. Please enable JavaScript to view this website.
AB200831

Anti-MEK3 + MEK6 抗体 [EPR17340]

Anti-MEK3 + MEK6 antibody [EPR17340]

Be the first to review this product! Submit a review

|

(4 Publications)

Rabbit Recombinant Monoclonal MEK3 antibody. Suitable for ICC/IF, IP, WB, Flow Cyt (Intra), IHC-P and reacts with Human, Mouse, Rat, Recombinant fragment - Human samples. Cited in 4 publications.

查看别名

MEK3, MKK3, PRKMK3, SKK2, MAP2K3, Dual specificity mitogen-activated protein kinase kinase 3, MAP kinase kinase 3, MAPKK 3, MAPK/ERK kinase 3, Stress-activated protein kinase kinase 2, MEK 3, SAPK kinase 2, SAPKK-2, SAPKK2

10 Images
Immunohistochemistry (Formalin/PFA-fixed paraffin-embedded sections) - Anti-MEK3 + MEK6 antibody [EPR17340] (AB200831)
  • IHC-P

Supplier Data

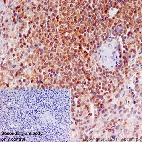
Immunohistochemistry (Formalin/PFA-fixed paraffin-embedded sections) - Anti-MEK3 + MEK6 antibody [EPR17340] (AB200831)

Immunohistochemical analysis of paraffin-embedded Human spleen tissue labeling MEK3 + MEK6 with ab200831 at 1/250 dilution followed by Goat Anti-Rabbit IgG H&L (HRP) (ab97051) at 1/500 dilution. Nuclear and cytoplasmic staining on Human spleen tissue is observed. Counter stained with Hematoxylin.

Secondary antibody only control : Used PBS instead of primary antibody secondary antibody is Goat Anti-Rabbit IgG H&L (HRP) (ab97051) at 1/500 dilution.

Perform heat mediated antigen retrieval with Tris/EDTA buffer pH 9.0 before commencing with IHC staining protocol.

Immunocytochemistry/ Immunofluorescence - Anti-MEK3 + MEK6 antibody [EPR17340] (AB200831)
  • ICC/IF

Lab

Immunocytochemistry/ Immunofluorescence - Anti-MEK3 + MEK6 antibody [EPR17340] (AB200831)

Immunocytochemistry analysis of 4% paraformaldehyde-fixed, 0.1% Triton X-100 permeabilized HepG2 (human hepatocellular carcinoma) cells labeling MEK3 + MEK6 with ab200831 at 1/1000 dilution, followed by Goat anti-rabbit IgG (Alexa Fluor® 488) (ab150077) secondary antibody at 1/500 dilution (green). Nuclear and cytoplasmic staining on HepG2 cell line is observed. The nuclear counterstain is DAPI (blue). Tubulin is detected with ab7291 (anti-Tubulin mouse mAb) at 1/1000 dilution and ab150120 (AlexaFluor®594 Goat anti-Mouse secondary) at 1/500 dilution (red).
The negative controls are as follows : -
-ve control 1 : ab200831 at 1/1000 dilution followed by ab150120 (AlexaFluor®594 Goat anti-Mouse secondary) at 1/500 dilution.
-ve control 2 : ab7291 (anti-Tubulin mouse mAb) at 1/1000 dilution followed by ab150077 (Alexa Fluor®488 Goat Anti-Rabbit IgG H&L) at 1/500 dilution.

Flow Cytometry (Intracellular) - Anti-MEK3 + MEK6 antibody [EPR17340] (AB200831)
  • Flow Cyt (Intra)

Lab

Flow Cytometry (Intracellular) - Anti-MEK3 + MEK6 antibody [EPR17340] (AB200831)

Intracellular Flow Cytometry analysis of HeLa cells labelling MEK3 + MEK6 (red) with purified ab200831 at dilution of 1/150. The secondary antibody used was Alexa Fluorr® 488 goat-anti-rabbit IgG (1/2000). Cells were fixed with 4% paraformaldehyde and permeabilised with 90% methanol. Isotype control antibody was Rabbit monoclonal IgG (black). The blue line shows cells without incubation with primary antibody and secondary antibody.

Immunohistochemistry (Formalin/PFA-fixed paraffin-embedded sections) - Anti-MEK3 + MEK6 antibody [EPR17340] (AB200831)
  • IHC-P

Supplier Data

Immunohistochemistry (Formalin/PFA-fixed paraffin-embedded sections) - Anti-MEK3 + MEK6 antibody [EPR17340] (AB200831)

Immunohistochemical analysis of paraffin-embedded Human cervix carcinoma tissue labeling MEK3 + MEK6 with ab200831 at 1/250 dilution followed by Goat Anti-Rabbit IgG H&L (HRP) (ab97051) at 1/500 dilution. Nuclear and cytoplasmic staining on Human cervix carcinoma tissue is observed. Counter stained with Hematoxylin.

Secondary antibody only control : Used PBS instead of primary antibody secondary antibody is Goat Anti-Rabbit IgG H&L (HRP) (ab97051) at 1/500 dilution.

Perform heat mediated antigen retrieval with Tris/EDTA buffer pH 9.0 before commencing with IHC staining protocol.

Immunoprecipitation - Anti-MEK3 + MEK6 antibody [EPR17340] (AB200831)
  • IP

Supplier Data

Immunoprecipitation - Anti-MEK3 + MEK6 antibody [EPR17340] (AB200831)

MEK3 + MEK6 was immunoprecipitated from 1mg of HeLa (Human epithelial cells from cervix adenocarcinoma) whole cell lysate with ab200831 at 1/100 dilution. Western blot was performed from the immunoprecipitate using ab200831 at 1/1000 dilution. Anti-Rabbit IgG (HRP), specific to the non-reduced form of IgG, was used as secondary antibody at 1/1500 dilution.

Lane 1 : HeLa whole cell lysate 10ug (Input). Lane 2 : ab200831 IP in HeLa whole cell lysate. Lane 3 : Rabbit monoclonal IgG (ab172730) instead of ab200831 in Jurkat whole cell lysate.
Blocking and dilution buffer and concentration : 5% NFDM/TBST.

Exposure time : 30 seconds.

All lanes:

Immunoprecipitation - Anti-MEK3 + MEK6 antibody [EPR17340] (ab200831)

Predicted band size: 39 kDa

false

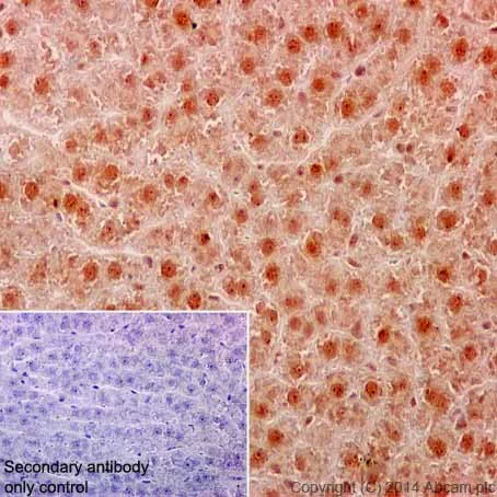
Immunohistochemistry (Formalin/PFA-fixed paraffin-embedded sections) - Anti-MEK3 + MEK6 antibody [EPR17340] (AB200831)
  • IHC-P

Supplier Data

Immunohistochemistry (Formalin/PFA-fixed paraffin-embedded sections) - Anti-MEK3 + MEK6 antibody [EPR17340] (AB200831)

Immunohistochemical analysis of paraffin-embedded Mouse liver tissue labeling MEK3 + MEK6 with ab200831 at 1/250 dilution followed by Goat Anti-Rabbit IgG H&L (HRP) (ab97051) at 1/500 dilution. Nuclear and cytoplasmic staining on Mouse liver tissue is observed. Counter stained with Hematoxylin.

Secondary antibody only control : Used PBS instead of primary antibody secondary antibody is Goat Anti-Rabbit IgG H&L (HRP) (ab97051) at 1/500 dilution.

Perform heat mediated antigen retrieval with Tris/EDTA buffer pH 9.0 before commencing with IHC staining protocol.

Western blot - Anti-MEK3 + MEK6 antibody [EPR17340] (AB200831)
  • WB

Supplier Data

Western blot - Anti-MEK3 + MEK6 antibody [EPR17340] (AB200831)

Blocking/Dilution Buffer : 5% NFDM/TBST.

All lanes:

Western blot - Anti-MEK3 + MEK6 antibody [EPR17340] (ab200831) at 1/1000 dilution

Lane 1:

HeLa (Human epithelial cells from cervix adenocarcinoma) whole cell lysate at 20 µg

Lane 2:

HepG2 (Human liver hepatocellular carcinoma) whole cell lysate at 20 µg

Lane 3:

Jurkat (Human T cell leukemia cells from peripheral blood) whole cell lysate at 20 µg

Lane 4:

MCF7 (Human breast adenocarcinoma cell line) whole cell lysate at 20 µg

Secondary

All lanes:

Goat Anti-Rabbit IgG, (H+L), Peroxidase conjugated at 1/1000 dilution

Predicted band size: 39 kDa

Observed band size: 34 kDa,37 kDa,39 kDa

false

Exposure time: 15s

Western blot - Anti-MEK3 + MEK6 antibody [EPR17340] (AB200831)
  • WB

Supplier Data

Western blot - Anti-MEK3 + MEK6 antibody [EPR17340] (AB200831)

Blocking/Dilution Buffer : 5% NFDM/TBST.

All lanes:

Western blot - Anti-MEK3 + MEK6 antibody [EPR17340] (ab200831) at 1/10000 dilution

All lanes:

Human fetal liver tissue lysate at 10 µg

Secondary

All lanes:

Anti-Rabbit IgG (HRP), specific to the non-reduced form of IgG at 1/1000 dilution

Predicted band size: 39 kDa

Observed band size: 34 kDa,37 kDa,39 kDa

false

Exposure time: 1min

Western blot - Anti-MEK3 + MEK6 antibody [EPR17340] (AB200831)
  • WB

Supplier Data

Western blot - Anti-MEK3 + MEK6 antibody [EPR17340] (AB200831)

Blocking/Dilution buffer : 5% NFDM/TBST.

Recombinant fragment of Human MEK6 protein contains aa139-334 with His-Tag®(22kDa).

All lanes:

Western blot - Anti-MEK3 + MEK6 antibody [EPR17340] (ab200831) at 1/10000 dilution

All lanes:

Human MEK6 recombinant protein fragment at 10 µg

Predicted band size: 39 kDa

false

Exposure time: 15s

Western blot - Anti-MEK3 + MEK6 antibody [EPR17340] (AB200831)
  • WB

Supplier Data

Western blot - Anti-MEK3 + MEK6 antibody [EPR17340] (AB200831)

Blocking/Dilution Buffer : 5% NFDM/TBST.

All lanes:

Western blot - Anti-MEK3 + MEK6 antibody [EPR17340] (ab200831) at 1/1000 dilution

Lane 1:

Mouse spleen lysate at 10 µg

Lane 2:

Rat spleen lysate at 10 µg

Lane 3:

C6 (Rat glial tumor cells) whole cell lysate

Lane 4:

RAW 264.7 (Mouse macrophage cells transformed with Abelson murine leukemia virus) whole cell lysate

Lane 5:

PC-12 (Rat adrenal gland pheochromocytoma) whole cell lysate

Lane 6:

NIH/3T3 (Mouse embyro fibroblast cells) whole cell lysate

Secondary

All lanes:

Goat Anti-Rabbit IgG, (H+L), Peroxidase conjugated at 1/1000 dilution

Predicted band size: 39 kDa

Observed band size: 34 kDa,37 kDa,39 kDa

false

Exposure time: 30s

不同偶联物与剂型 (2)

  • Carrier free

    Anti-MEK3 + MEK6 antibody [EPR17340] - BSA and Azide free (Capture)

  • Carrier free

    Anti-MEK3 + MEK6 antibody [EPR17340] - BSA and Azide free

关键信息

宿主种属

Rabbit

克隆

Monoclonal

克隆号

EPR17340

亚型

IgG

不含载体蛋白

No

反应种属

Mouse, Rat, Human

应用

WB, IP, Flow Cyt (Intra), IHC-P, ICC/IF

applications

免疫原

The exact immunogen used to generate this antibody is proprietary information.

反应性数据

{ "title": "Reactivity Data", "filters": { "stats": ["", "Species", "Dilution Info", "Notes"], "tabs": { "all-applications": {"fullname" : "All Applications", "shortname": "All Applications"}, "ICCIF" : {"fullname" : "Immunocytochemistry/ Immunofluorescence", "shortname":"ICC/IF"}, "IP" : {"fullname" : "Immunoprecipitation", "shortname":"IP"}, "WB" : {"fullname" : "Western blot", "shortname":"WB"}, "FlowCytIntra" : {"fullname" : "Flow Cytometry (Intracellular)", "shortname":"Flow Cyt (Intra)"}, "IHCP" : {"fullname" : "Immunohistochemistry (Formalin/PFA-fixed paraffin-embedded sections)", "shortname":"IHC-P"} }, "product-promise": { "all": "all", "testedAndGuaranteed": "tested", "guaranteed": "expected", "predicted": "predicted", "notRecommended": "not-recommended" } }, "values": { "Human": { "ICCIF-species-checked": "testedAndGuaranteed", "ICCIF-species-dilution-info": "1/1000", "ICCIF-species-notes": "<p></p>", "IP-species-checked": "testedAndGuaranteed", "IP-species-dilution-info": "1/100", "IP-species-notes": "<p></p>", "WB-species-checked": "testedAndGuaranteed", "WB-species-dilution-info": "1/1000", "WB-species-notes": "<p></p>", "FlowCytIntra-species-checked": "testedAndGuaranteed", "FlowCytIntra-species-dilution-info": "1/150", "FlowCytIntra-species-notes": "<p></p>", "IHCP-species-checked": "testedAndGuaranteed", "IHCP-species-dilution-info": "1/100", "IHCP-species-notes": "<p></p> Perform heat-mediated antigen retrieval with Tris/EDTA buffer pH 9.0 before commencing with IHC staining protocol." }, "Mouse": { "ICCIF-species-checked": "guaranteed", "ICCIF-species-dilution-info": "", "ICCIF-species-notes": "", "IP-species-checked": "guaranteed", "IP-species-dilution-info": "", "IP-species-notes": "", "WB-species-checked": "testedAndGuaranteed", "WB-species-dilution-info": "1/1000", "WB-species-notes": "<p></p>", "FlowCytIntra-species-checked": "guaranteed", "FlowCytIntra-species-dilution-info": "", "FlowCytIntra-species-notes": "", "IHCP-species-checked": "testedAndGuaranteed", "IHCP-species-dilution-info": "1/100", "IHCP-species-notes": "<p></p> Perform heat-mediated antigen retrieval with Tris/EDTA buffer pH 9.0 before commencing with IHC staining protocol." }, "Rat": { "ICCIF-species-checked": "guaranteed", "ICCIF-species-dilution-info": "", "ICCIF-species-notes": "", "IP-species-checked": "guaranteed", "IP-species-dilution-info": "", "IP-species-notes": "", "WB-species-checked": "testedAndGuaranteed", "WB-species-dilution-info": "1/1000", "WB-species-notes": "<p></p>", "FlowCytIntra-species-checked": "guaranteed", "FlowCytIntra-species-dilution-info": "", "FlowCytIntra-species-notes": "", "IHCP-species-checked": "guaranteed", "IHCP-species-dilution-info": "", "IHCP-species-notes": "" }, "Recombinant fragment - Human": { "ICCIF-species-checked": "notRecommended", "ICCIF-species-dilution-info": "", "ICCIF-species-notes": "", "IP-species-checked": "notRecommended", "IP-species-dilution-info": "", "IP-species-notes": "", "WB-species-checked": "testedAndGuaranteed", "WB-species-dilution-info": "1/1000", "WB-species-notes": "<p></p>", "FlowCytIntra-species-checked": "notRecommended", "FlowCytIntra-species-dilution-info": "", "FlowCytIntra-species-notes": "", "IHCP-species-checked": "notRecommended", "IHCP-species-dilution-info": "", "IHCP-species-notes": "" } } }

产品详情

Patented technology
Our RabMAb® technology is a patented hybridoma-based technology for making rabbit monoclonal antibodies. For details on our patents, please refer to RabMAb® patents.

What are the advantages of a recombinant monoclonal antibody?
This product is a recombinant monoclonal antibody, which offers several advantages including:

  • - High batch-to-batch consistency and reproducibility
  • - Improved sensitivity and specificity
  • - Long-term security of supply
  • - Animal-free batch production

For more information, read more on recombinant antibodies.

性能和储存信息

形式
Liquid
纯化工艺
Affinity purification Protein A
存储溶液
pH: 7.2 - 7.4 Preservative: 0.01% Sodium azide Constituents: PBS, 40% Glycerol (glycerin, glycerine), 0.05% BSA
运输条件
Blue Ice
推荐的短期储存时间
1-2 weeks
推荐的短期储存条件
+4°C
推荐的长期储存条件
-20°C
分装信息
Upon delivery aliquot
储存信息
Avoid freeze / thaw cycle

补充信息

This supplementary information is collated from multiple sources and compiled automatically.

MEK3 and MEK6 also known as MAP2K3 and MAP2K6 are dual-specificity protein kinases. MEK3 has a mass of approximately 39 kDa while MEK6 is around 37 kDa. They are both part of the MAP kinase family and mainly expressed in tissues like the skeletal muscle liver and heart. These kinases play a role in phosphorylating and activating p38 MAP kinases which are important for intracellular signaling.
Biological function summary

MEK3 and MEK6 are key components of the MAP kinase signaling pathway. These kinases participate in response networks that regulate stress-induced signaling and inflammatory responses. Although not explicitly forming a classic complex they interact with substrates like p38 MAPK to exert their effects. MEK3 and MEK6 contribute to cellular processes including differentiation apoptosis and gene expression.

Pathways

MEK3 and MEK6 are integral to the p38 MAPK pathway and the stress-activated protein kinase (SAPK) pathways. These pathways facilitate the cellular response to external stress hypoxia and inflammatory cytokines. Their activity is closely related to other MAP kinases like JNK in propagating signals that control cellular stress responses. Their activation mechanism involves sequential phosphorylation events that link initial stimuli to specific cellular reactions.

MEK3 and MEK6 are implicated in inflammatory diseases and certain types of cancer. For instance abnormal activity of these kinases is observed in rheumatoid arthritis due to their role in inflammation and cellular differentiation. They also have links to cancers like melanoma through their regulation of apoptosis and cell proliferation. The dysregulation of their network with p38 MAPK and JNK can contribute to the pathology of these conditions making them potential targets for therapeutic interventions.

产品实验方案

For this product, it's our understanding that no specific protocols are required. You can visit:

靶点信息

Dual specificity kinase. Is activated by cytokines and environmental stress in vivo. Catalyzes the concomitant phosphorylation of a threonine and a tyrosine residue in the MAP kinase p38. Part of a signaling cascade that begins with the activation of the adrenergic receptor ADRA1B and leads to the activation of MAPK14.
See full target information MAP2K3

其他靶点

MAP2K6

文献 (4)

Recent publications for all applications. Explore the full list and refine your search

Nature communications 14:861 PubMed36792623

2023

Coadaptation fostered by the SLIT2-ROBO1 axis facilitates liver metastasis of pancreatic ductal adenocarcinoma.

Applications

Unspecified application

Species

Unspecified reactive species

Qing Li,Xiao-Xin Zhang,Li-Peng Hu,Bo Ni,Dong-Xue Li,Xu Wang,Shu-Heng Jiang,Hui Li,Min-Wei Yang,Yong-Sheng Jiang,Chun-Jie Xu,Xue-Li Zhang,Yan-Li Zhang,Pei-Qi Huang,Qin Yang,Yang Zhou,Jian-Ren Gu,Gary Gui-Shan Xiao,Yong-Wei Sun,Jun Li,Zhi-Gang Zhang

Pharmaceutical biology 60:570-578 PubMed35244521

2022

Injection of YiQiFuMai powder protects against heart failure via inhibiting p38 and ERK1/2 MAPKs activation.

Applications

Unspecified application

Species

Unspecified reactive species

Yongwei Nie,Yanxin Zhang,Zhi Li,Meixu Wan,Dekun Li

Journal of cachexia, sarcopenia and muscle 11:1104-1120 PubMed32096609

2020

Sarcopenia is attenuated by TRB3 knockout in aging mice via the alleviation of atrophy and fibrosis of skeletal muscles.

Applications

Unspecified application

Species

Unspecified reactive species

Guo-Kai Shang,Lu Han,Zhi-Hao Wang,Ya-Peng Liu,Sen-Bo Yan,Wen-Wen Sai,Di Wang,Yi-Hui Li,Wei Zhang,Ming Zhong

Cell death & disease 9:699 PubMed29899528

2018

Downregulation of HS6ST2 by miR-23b-3p enhances matrix degradation through p38 MAPK pathway in osteoarthritis.

Applications

Unspecified application

Species

Unspecified reactive species

Yuanxu Guo,Zixin Min,Congshan Jiang,Wei Wang,Jidong Yan,Peng Xu,Ke Xu,Jing Xu,Mengyao Sun,Yitong Zhao,Safdar Hussain,Rui Zhang,Quancheng Wang,Yan Han,Fujun Zhang,Wenhua Zhu,Dongmin Li,Liesu Meng,Jian Sun,Shemin Lu
View all publications

Abcam Product Promise

我们致力于为您的研究提供高质量的试剂,为您科研的每一步提供支持。若我们的产品未能达到预期性能,我们向您提供 Abcam Product Promise 保障。
详情请参阅我们的条款与条件。

Please note: All products are 'FOR RESEARCH USE ONLY. NOT FOR USE IN DIAGNOSTIC OR THERAPEUTIC PROCEDURES'.

For licensing inquiries, please contact partnerships@abcam.com