JavaScript is disabled in your browser. Please enable JavaScript to view this website.
AB195037

重组Anti-MEK3抗体[EPR17345-104]

Anti-MEK3 antibody [EPR17345-104]

Be the first to review this product! Submit a review

|

(13 Publications)

Rabbit Recombinant Monoclonal MEK3 antibody. Suitable for IP, WB, ICC/IF, Flow Cyt (Intra), IHC-P and reacts with Human, Mouse, Rat samples. Cited in 13 publications.

查看别名

MEK3, MKK3, PRKMK3, SKK2, MAP2K3, Dual specificity mitogen-activated protein kinase kinase 3, MAP kinase kinase 3, MAPKK 3, MAPK/ERK kinase 3, Stress-activated protein kinase kinase 2, MEK 3, SAPK kinase 2, SAPKK-2, SAPKK2

12 Images
Immunohistochemistry (Formalin/PFA-fixed paraffin-embedded sections) - Anti-MEK3 antibody [EPR17345-104] (AB195037)
  • IHC-P

Supplier Data

Immunohistochemistry (Formalin/PFA-fixed paraffin-embedded sections) - Anti-MEK3 antibody [EPR17345-104] (AB195037)

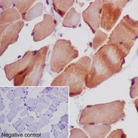
Immunohistochemical analysis of paraffin-embedded Human skeletal muscle tissue labeling MEK3 with ab195037 at 1/500 dilution followed by Goat Anti-Rabbit IgG H&L (HRP) (ab97051) secondary at 1/500 dilution. Cytoplasmic and nucleus staining on Human skeletal muscle is observed. Counter stained with Hematoxylin.

Negative control : Using PBS instead of primary antibody, secondary antibody is Goat Anti-Rabbit IgG H&L (HRP) (ab97051) at 1/500 dilution.

1 : Ben-Levy R,et.al.(1998) Nuclear export of the stress-activated protein kinase p38 mediated by its substrate MAPKAP kinase-2. Curr Biol, 8(19) : 1049-1057.

Perform heat mediated antigen retrieval with Tris/EDTA buffer pH 9.0 before commencing with IHC staining protocol.

Immunohistochemistry (Formalin/PFA-fixed paraffin-embedded sections) - Anti-MEK3 antibody [EPR17345-104] (AB195037)
  • IHC-P

Supplier Data

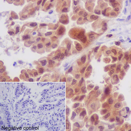
Immunohistochemistry (Formalin/PFA-fixed paraffin-embedded sections) - Anti-MEK3 antibody [EPR17345-104] (AB195037)

Immunohistochemical analysis of paraffin-embedded Human lung adenocarcinoma tissue labeling MEK3 with ab195037 at 1/500 dilution followed by Goat Anti-Rabbit IgG H&L (HRP) (ab97051) secondary at 1/500 dilution. Cytoplasmic and nuclear staining on cancer cells of Human lung adenocarcinoma is observed. Counter stained with Hematoxylin.

Negative control : Using PBS instead of primary antibody, secondary antibody is Goat Anti-Rabbit IgG H&L (HRP) (ab97051) at 1/500 dilution.

Perform heat mediated antigen retrieval with Tris/EDTA buffer pH 9.0 before commencing with IHC staining protocol.

Immunoprecipitation - Anti-MEK3 antibody [EPR17345-104] (AB195037)
  • IP

Supplier Data

Immunoprecipitation - Anti-MEK3 antibody [EPR17345-104] (AB195037)

MEK3 was immunoprecipitated from 1mg of HeLa (Human epithelial cells from cervix adenocarcinoma) whole cell extract with ab195037 at 1/90 dilution. Western blot was performed from the immunoprecipitate using ab195037 at 1/1000 dilution. Anti-Rabbit IgG (HRP), specific to the non-reduced form of IgG, was used as secondary antibody at 1/1500 dilution. Lane 1 : HeLa whole cell extract. Lane 2 : PBS instead of HeLa whole cell extract.

Blocking and dilution buffer and concentration : 5% NFDM/TBST.

Based on the sequence analysis, ab195037 recognizes 3 isoforms of MEK3 ranging from 36kDa to 40KDa. The multi-bands should be MEK3 isoforms.

All lanes:

Immunoprecipitation - Anti-MEK3 antibody [EPR17345-104] (ab195037)

Predicted band size: 39 kDa

false

Immunohistochemistry (Formalin/PFA-fixed paraffin-embedded sections) - Anti-MEK3 antibody [EPR17345-104] (AB195037)
  • IHC-P

Supplier Data

Immunohistochemistry (Formalin/PFA-fixed paraffin-embedded sections) - Anti-MEK3 antibody [EPR17345-104] (AB195037)

Immunohistochemical analysis of paraffin-embedded Mouse skeletal muscle tissue labeling MEK3 with ab195037 at 1/500 dilution followed by Goat Anti-Rabbit IgG H&L (HRP) (ab97051) secondary at 1/500 dilution. Cytoplasmic and nuclear staining on mouse skeletal muscle is observed. Counter stained with Hematoxylin.

Negative control : Using PBS instead of primary antibody, secondary antibody is Goat Anti-Rabbit IgG H&L (HRP) (ab97051) at 1/500 dilution.

Perform heat mediated antigen retrieval with Tris/EDTA buffer pH 9.0 before commencing with IHC staining protocol.

Immunohistochemistry (Formalin/PFA-fixed paraffin-embedded sections) - Anti-MEK3 antibody [EPR17345-104] (AB195037)
  • IHC-P

Supplier Data

Immunohistochemistry (Formalin/PFA-fixed paraffin-embedded sections) - Anti-MEK3 antibody [EPR17345-104] (AB195037)

Immunohistochemical analysis of paraffin-embedded Rat skeletal muscle tissue labeling MEK3 with ab195037 at 1/500 dilution followed by Goat Anti-Rabbit IgG H&L (HRP) (ab97051) secondary at 1/500 dilution. Cytoplasmic and nuclear staining on rat skeletal muscle is observed. Counter stained with Hematoxylin.

Negative control : Using PBS instead of primary antibody, secondary antibody is Goat Anti-Rabbit IgG H&L (HRP) (ab97051) at 1/500 dilution.

Perform heat mediated antigen retrieval with Tris/EDTA buffer pH 9.0 before commencing with IHC staining protocol.

Immunocytochemistry/ Immunofluorescence - Anti-MEK3 antibody [EPR17345-104] (AB195037)
  • ICC/IF

Supplier Data

Immunocytochemistry/ Immunofluorescence - Anti-MEK3 antibody [EPR17345-104] (AB195037)

Immunofluorescent analysis of 4% paraformaldehyde-fixed, 0.1% Triton X-100 permeabilized NIH/3T3 (Mouse embyro fibroblast cells) cells labeling MEK3 with ab195037 at 1/250 dilution, followed by Goat anti-rabbit IgG (Alexa Fluor® 488) (ab150077) secondary antibody at 1/500 dilution (green). Confocal image showing both nuclear and cytoplasmic staining on NIH/3T3 cell line. The nuclear counter stain is DAPI (blue). Tubulin is detected with ab7291 (anti-Tubulin mouse mAb) at 1/1000 dilution and ab150120 (AlexaFluor®594 Goat anti-Mouse secondary) at 1/500 dilution (red).
The negative controls are as follows :
-ve control 1 : ab195037 at 1/250 dilution followed by ab150120 (AlexaFluor®594 Goat anti-Mouse secondary) at 1/500 dilution.
-ve control 2 : ab7291 (anti-Tubulin mouse mAb) at 1/1000 dilution followed by ab150077 (Alexa Fluor®488 Goat Anti-Rabbit IgG H&L) at 1/500 dilution.

Flow Cytometry (Intracellular) - Anti-MEK3 antibody [EPR17345-104] (AB195037)
  • Flow Cyt (Intra)

Unknown

Flow Cytometry (Intracellular) - Anti-MEK3 antibody [EPR17345-104] (AB195037)

Intracellular Flow Cytometry analysis of NIH/3T3 (mouse embryo) labelling MEK3 with purified ab195037 at 1/1000 (red). Cells were fixed with 4% paraformaldehyde and permeabilised with 90% methanol. Alexa Fluor® 488 goat anti-rabbit IgG (1/2000) was used as the secondary antibody. Black - Isotype control, rabbit monoclonal IgG. Blue - Unlabelled control, cells without incubation with primary and secondary antibodies.

Western blot - Anti-MEK3 antibody [EPR17345-104] (AB195037)
  • WB

Supplier Data

Western blot - Anti-MEK3 antibody [EPR17345-104] (AB195037)

Blocking/Dilution buffer : 5% NFDM/TBST.

Based on the sequence analysis, ab195037 recognizes 3 isoforms of MEK3 ranging from 36kDa to 40KDa. The multi-bands should be MEK3 isoforms.

All lanes:

Western blot - Anti-MEK3 antibody [EPR17345-104] (ab195037) at 1/5000 dilution

All lanes:

Human skeletal muscle lysates at 10 µg

Secondary

All lanes:

Anti-Rabbit IgG (HRP), specific to the non-reduced form of IgG at 1/1000 dilution

Predicted band size: 39 kDa

Observed band size: 34 kDa,39 kDa

false

Western blot - Anti-MEK3 antibody [EPR17345-104] (AB195037)
  • WB

Lab

Western blot - Anti-MEK3 antibody [EPR17345-104] (AB195037)

Lane 1 : Wild-type HAP1 cell lysate (20 μg)
Lane 2 : MEK3 knockout HAP1 cell lysate (20 μg)
Lane 3 : HeLa cell lysate (20 μg)
Lane 4 : Jurkat cell lysate (20 μg)
Lanes 1 - 4 : Merged signal (red and green). Green - ab195037 observed at 40 kDa. Red - loading control, ab8245, observed at 37 kDa.

ab195037 was shown to specifically react with MEK3 when MEK3 knockout samples were used. Wild-type and MEK3 knockout samples were subjected to SDS-PAGE. ab195037 and ab8245 (loading control to GAPDH) were both diluted to 1/5000 and 1/10000 respectively and incubated overnight at 4°C. Blots were developed with Goat anti-Rabbit IgG H&L (IRDye® 800CW) preadsorbed (ab216773) and Goat anti-Mouse IgG H&L (IRDye® 680RD) preadsorbed (ab216776) secondary antibodies at 1/10000 dilution for 1 hour at room temperature before imaging.

All lanes:

Western blot - Anti-MEK3 antibody [EPR17345-104] (ab195037)

Predicted band size: 39 kDa

false

Western blot - Anti-MEK3 antibody [EPR17345-104] (AB195037)
  • WB

Supplier Data

Western blot - Anti-MEK3 antibody [EPR17345-104] (AB195037)

Blocking/Dilution buffer : 5% NFDM/TBST.

Based on the sequence analysis, ab195037 recognizes 3 isoforms of MEK3 ranging from 36kDa to 40KDa. The multi-bands should be MEK3 isoforms.

All lanes:

Western blot - Anti-MEK3 antibody [EPR17345-104] (ab195037) at 1/50000 dilution

All lanes:

HepG2 (Human liver hepatocellular carcinoma) whole cell lysates at 10 µg

Secondary

All lanes:

Goat Anti-Rabbit IgG, (H+L),Peroxidase conjugated at 1/1000 dilution

Predicted band size: 39 kDa

Observed band size: 34 kDa,39 kDa

false

Western blot - Anti-MEK3 antibody [EPR17345-104] (AB195037)
  • WB

Supplier Data

Western blot - Anti-MEK3 antibody [EPR17345-104] (AB195037)

Blocking/Dilution buffer : 5% NFDM/TBST.

Based on the sequence analysis, ab195037 recognizes 3 isoforms of MEK3 ranging from 36kDa to 40KDa. The multi-bands should be MEK3 isoforms.

All lanes:

Western blot - Anti-MEK3 antibody [EPR17345-104] (ab195037) at 1/10000 dilution

Lane 1:

HeLa (Human epithelial cells from cervix adenocarcinoma) whole cell lysates at 20 µg

Lane 2:

MCF7 (Human breast adenocarcinoma cell line) whole cell lysates at 20 µg

Secondary

All lanes:

Goat Anti-Rabbit IgG, (H+L),Peroxidase conjugated at 1/1000 dilution

Predicted band size: 39 kDa

Observed band size: 34 kDa,39 kDa

false

Western blot - Anti-MEK3 antibody [EPR17345-104] (AB195037)
  • WB

Supplier Data

Western blot - Anti-MEK3 antibody [EPR17345-104] (AB195037)

Blocking/Dilution buffer : 5% NFDM/TBST.

Based on the sequence analysis, ab195037 recognizes 3 isoforms of MEK3 ranging from 36kDa to 40KDa. The multi-bands should be MEK3 isoforms.

All lanes:

Western blot - Anti-MEK3 antibody [EPR17345-104] (ab195037) at 1/10000 dilution

Lane 1:

Mouse spleen lysates at 10 µg

Lane 2:

Rat spleen lysates at 10 µg

Secondary

All lanes:

Anti-Rabbit IgG (HRP), specific to the non-reduced form of IgG at 1/1000 dilution

Predicted band size: 39 kDa

false

不同偶联物与剂型 (3)

  • 519 Alexa Fluor® 488

    Alexa Fluor® 488 Anti-MEK3 antibody [EPR17345-104]

  • Carrier free

    Anti-MEK3 antibody [EPR17345-104] - BSA and Azide free

  • Carrier free

    Anti-MEK3 antibody [EPR17345-104] - BSA and Azide free (Detector)

关键信息

宿主种属

Rabbit

克隆

Monoclonal

克隆号

EPR17345-104

亚型

IgG

不含载体蛋白

No

反应种属

Mouse, Rat, Human

应用

IHC-P, WB, Flow Cyt (Intra), IP, ICC/IF

applications

免疫原

The exact immunogen used to generate this antibody is proprietary information.

反应性数据

{ "title": "Reactivity Data", "filters": { "stats": ["", "Species", "Dilution Info", "Notes"], "tabs": { "all-applications": {"fullname" : "All Applications", "shortname": "All Applications"}, "IP" : {"fullname" : "Immunoprecipitation", "shortname":"IP"}, "WB" : {"fullname" : "Western blot", "shortname":"WB"}, "ICCIF" : {"fullname" : "Immunocytochemistry/ Immunofluorescence", "shortname":"ICC/IF"}, "FlowCytIntra" : {"fullname" : "Flow Cytometry (Intracellular)", "shortname":"Flow Cyt (Intra)"}, "IHCP" : {"fullname" : "Immunohistochemistry (Formalin/PFA-fixed paraffin-embedded sections)", "shortname":"IHC-P"} }, "product-promise": { "all": "all", "testedAndGuaranteed": "tested", "guaranteed": "expected", "predicted": "predicted", "notRecommended": "not-recommended" } }, "values": { "Human": { "IP-species-checked": "testedAndGuaranteed", "IP-species-dilution-info": "1/90", "IP-species-notes": "<p></p>", "WB-species-checked": "testedAndGuaranteed", "WB-species-dilution-info": "1/5000", "WB-species-notes": "<p></p>", "ICCIF-species-checked": "guaranteed", "ICCIF-species-dilution-info": "", "ICCIF-species-notes": "", "FlowCytIntra-species-checked": "guaranteed", "FlowCytIntra-species-dilution-info": "", "FlowCytIntra-species-notes": "", "IHCP-species-checked": "testedAndGuaranteed", "IHCP-species-dilution-info": "1/500", "IHCP-species-notes": "<p></p>" }, "Mouse": { "IP-species-checked": "guaranteed", "IP-species-dilution-info": "", "IP-species-notes": "", "WB-species-checked": "testedAndGuaranteed", "WB-species-dilution-info": "1/5000", "WB-species-notes": "<p></p>", "ICCIF-species-checked": "testedAndGuaranteed", "ICCIF-species-dilution-info": "1/250", "ICCIF-species-notes": "<p></p>", "FlowCytIntra-species-checked": "testedAndGuaranteed", "FlowCytIntra-species-dilution-info": "1/1000", "FlowCytIntra-species-notes": "<p><a href='/products/primary-antibodies/rabbit-igg-monoclonal-epr25a-isotype-control-ab172730'>ab172730</a> - Rabbit monoclonal IgG, is suitable for use as an isotype control with this antibody.</p>", "IHCP-species-checked": "testedAndGuaranteed", "IHCP-species-dilution-info": "1/500", "IHCP-species-notes": "<p></p>" }, "Rat": { "IP-species-checked": "guaranteed", "IP-species-dilution-info": "", "IP-species-notes": "", "WB-species-checked": "testedAndGuaranteed", "WB-species-dilution-info": "1/5000", "WB-species-notes": "<p></p>", "ICCIF-species-checked": "guaranteed", "ICCIF-species-dilution-info": "", "ICCIF-species-notes": "", "FlowCytIntra-species-checked": "guaranteed", "FlowCytIntra-species-dilution-info": "", "FlowCytIntra-species-notes": "", "IHCP-species-checked": "testedAndGuaranteed", "IHCP-species-dilution-info": "1/500", "IHCP-species-notes": "<p></p>" } } }

产品详情

Patented technology
Our RabMAb® technology is a patented hybridoma-based technology for making rabbit monoclonal antibodies. For details on our patents, please refer to RabMAb® patents.

What are the advantages of a recombinant monoclonal antibody?
This product is a recombinant monoclonal antibody, which offers several advantages including:

  • - High batch-to-batch consistency and reproducibility
  • - Improved sensitivity and specificity
  • - Long-term security of supply
  • - Animal-free batch production

For more information, read more on recombinant antibodies.

性能和储存信息

形式
Liquid
纯化工艺
Affinity purification Protein A
存储溶液
pH: 7.2 - 7.4 Preservative: 0.01% Sodium azide Constituents: PBS, 40% Glycerol (glycerin, glycerine), 0.05% BSA
运输条件
Blue Ice
推荐的短期储存时间
1-2 weeks
推荐的短期储存条件
+4°C
推荐的长期储存条件
-20°C
分装信息
Upon delivery aliquot
储存信息
Avoid freeze / thaw cycle

补充信息

This supplementary information is collated from multiple sources and compiled automatically.

MEK3 also known as MAP2K3 is a kinase that plays a significant mechanical role within cells. It is part of the MAP kinase family sharing functions with enzymes like MEK6. MEK3 has a molecular mass of approximately 38 kDa and is localized in cytoplasmic regions of various cell types. This protein is expressed in a wide range of tissues indicating its diverse functional roles across different biological systems.
Biological function summary

MEK3 is involved in the phosphorylation cascade within the mitogen-activated protein kinase (MAPK) pathway. It often exists as part of a complex working alongside other kinases to activate p38 MAPK which then regulates gene expression. The involvement of MEK3 in this signaling cascade influences processes such as cellular stress response and inflammation. Its ability to modulate these processes makes MEK3 an important component in maintaining cellular homeostasis.

Pathways

MEK3 functions as an essential link within the stress-activated pathways like the MAPK signaling pathway. It phosphorylates and activates the p38 MAPK pathway therefore regulating activities related to cellular stress and inflammatory responses. MEK3 works in conjunction with related kinases such as MEK6 to propagate the MAPK signaling cascade further emphasizing its important role in these pathways.

MEK3 has a documented involvement in inflammatory conditions and cancer. Its role in activating the p38 MAPK pathway connects it to inflammatory diseases where dysregulated signaling may lead to excessive inflammation. Furthermore aberrant MEK3 activity is associated with certain cancers as it affects cell proliferation and survival. MEK3's interactions with other kinases like MEK6 underline its involvement in these pathological processes making it a potential target for therapeutic intervention.

产品实验方案

For this product, it's our understanding that no specific protocols are required. You can visit:

靶点信息

Dual specificity kinase. Is activated by cytokines and environmental stress in vivo. Catalyzes the concomitant phosphorylation of a threonine and a tyrosine residue in the MAP kinase p38. Part of a signaling cascade that begins with the activation of the adrenergic receptor ADRA1B and leads to the activation of MAPK14.
See full target information MAP2K3

文献 (13)

Recent publications for all applications. Explore the full list and refine your search

The EMBO journal 43:5018-5036 PubMed39261664

2024

TNFSF14 natural killer cells prevent spontaneous abortion by restricting leucine-mediated decidual stromal cell senescence.

Applications

Unspecified application

Species

Unspecified reactive species

Jia-Wei Shi,Zhen-Zhen Lai,Wen-Jie Zhou,Hui-Li Yang,Tao Zhang,Jian-Song Sun,Jian-Yuan Zhao,Ming-Qing Li

Cell biology international 47:1198-1208 PubMed36950779

2023

RNF150 suppresses papillary thyroid carcinoma with ASK1 ubiquitination presenting a direct target via inactivating p38 signaling axis.

Applications

Unspecified application

Species

Unspecified reactive species

Wei Deng,Jing Wu,Wei Zheng,Qian Wang,Dongling Li,Hongyu Kuang

Phytotherapy research : PTR 37:731-742 PubMed36196887

2022

Effect of curcumin on regulatory B cells in chronic colitis mice involving TLR/MyD88 signaling pathway.

Applications

Unspecified application

Species

Unspecified reactive species

Jie Huang,Tiantian Wu,Youbao Zhong,Jiaqi Huang,Zengping Kang,Bugao Zhou,Haimei Zhao,Duanyong Liu

Cell death and differentiation 29:1042-1054 PubMed34815549

2021

MAP2K6 remodels chromatin and facilitates reprogramming by activating Gatad2b-phosphorylation dependent heterochromatin loosening.

Applications

Unspecified application

Species

Unspecified reactive species

Guangsuo Xing,Zichao Liu,Luyuan Huang,Danyun Zhao,Tao Wang,Hao Yuan,Yi Wu,Linpeng Li,Qi Long,Yanshuang Zhou,Zhihong Hao,Yang Liu,Jianghuan Lu,Shiting Li,Jieying Zhu,Bo Wang,Junwei Wang,Jing Liu,Jiekai Chen,Duanqing Pei,Xingguo Liu,Keshi Chen

Bioorganic & medicinal chemistry 45:116324 PubMed34333394

2021

Discovery of the first chemical tools to regulate MKK3-mediated MYC activation in cancer.

Applications

Unspecified application

Species

Unspecified reactive species

Xuan Yang,Dacheng Fan,Aidan Henry Troha,Hyunjun Max Ahn,Kun Qian,Bo Liang,Yuhong Du,Haian Fu,Andrey A Ivanov

Human molecular genetics 30:2347-2361 PubMed34270708

2021

Cardiomyocyte-produced miR-339-5p mediates pathology in Duchenne muscular dystrophy cardiomyopathy.

Applications

Unspecified application

Species

Unspecified reactive species

Melanie Gartz,Margaret Beatka,Mariah J Prom,Jennifer L Strande,Michael W Lawlor

Cell transplantation 29:963689720938023 PubMed32608996

2020

Linc02381 Exacerbates Rheumatoid Arthritis Through Adsorbing miR-590-5p and Activating the Mitogen-Activated Protein Kinase Signaling Pathway in Rheumatoid arthritis-fibroblast-like synoviocytes.

Applications

Unspecified application

Species

Unspecified reactive species

Jing Wang,Qing Zhao

FASEB journal : official publication of the Federation of American Societies for Experimental Biology 34:8442-8458 PubMed32350913

2020

Pancreatic cancer-derived exosomes induce apoptosis of T lymphocytes through the p38 MAPK-mediated endoplasmic reticulum stress.

Applications

Unspecified application

Species

Unspecified reactive species

Tao Shen,Zihang Huang,Chengfei Shi,Xiaofan Pu,Xiaodong Xu,Zhengrong Wu,Guoping Ding,Liping Cao

PloS one 14:e0218674 PubMed31242243

2019

Tumor- and cytokine-primed human natural killer cells exhibit distinct phenotypic and transcriptional signatures.

Applications

Unspecified application

Species

Unspecified reactive species

May Sabry,Agnieszka Zubiak,Simon P Hood,Poppy Simmonds,Helena Arellano-Ballestero,Eily Cournoyer,Meghavi Mashar,A Graham Pockley,Mark W Lowdell

Oncology reports 41:2329-2336 PubMed30720101

2019

SPAG9/MKK3/p38 axis is a novel therapeutic target for liver cancer.

Applications

Unspecified application

Species

Unspecified reactive species

Shudi Luo,Biqiong Ren,Guoying Zou,Junlong Liu,Wei Chen,Yiran Huang,Xing Chen,Yin Fu
View all publications

Abcam Product Promise

我们致力于为您的研究提供高质量的试剂,为您科研的每一步提供支持。若我们的产品未能达到预期性能,我们向您提供 Abcam Product Promise 保障。
详情请参阅我们的条款与条件。

Please note: All products are 'FOR RESEARCH USE ONLY. NOT FOR USE IN DIAGNOSTIC OR THERAPEUTIC PROCEDURES'.

For licensing inquiries, please contact partnerships@abcam.com