JavaScript is disabled in your browser. Please enable JavaScript to view this website.
AB11171

Anti-MDC1 抗体

Anti-MDC1 antibody

5

(1 Review)

|

(43 Publications)

Rabbit Polyclonal MDC1 antibody. Suitable for IP, WB, IHC-P and reacts with Human samples. Cited in 43 publications. Immunogen corresponding to Synthetic Peptide within Human MDC1 aa 1350-1450.

查看别名

KIAA0170, NFBD1, MDC1, Mediator of DNA damage checkpoint protein 1, Nuclear factor with BRCT domains 1

3 Images
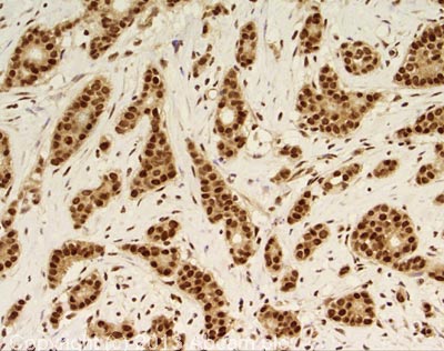
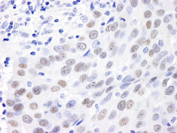
Immunohistochemistry (Formalin/PFA-fixed paraffin-embedded sections) - Anti-MDC1 antibody (AB11171)
  • IHC-P

Supplier Data

Immunohistochemistry (Formalin/PFA-fixed paraffin-embedded sections) - Anti-MDC1 antibody (AB11171)

Immunohistochemistry (Formalin/PFA-fixed paraffin-embedded sections) analysis of human breast carcinoma tissue labelling MDC1 with ab11171 at 1/1000 (1µg/ml). Detection : DAB.

Western blot - Anti-MDC1 antibody (AB11171)
  • WB

Unknown

Western blot - Anti-MDC1 antibody (AB11171)

All lanes:

Western blot - Anti-MDC1 antibody (ab11171) at 0.1 µg/mL

Lane 1:

HeLa whole cell lysate at 50 µg

Lane 2:

HeLa whole cell lysate at 15 µg

Lane 3:

HeLa whole cell lysate at 5 µg

Predicted band size: 227 kDa

false

Exposure time: 10s

Immunoprecipitation - Anti-MDC1 antibody (AB11171)
  • IP

Unknown

Immunoprecipitation - Anti-MDC1 antibody (AB11171)

1 mg of HeLa whole cell lysate was incubated with ab11171, 3 μg/mL. For western blotting ab11171, 1 μg/mL was used to confirm successful immunoprecipation.

All lanes:

Immunoprecipitation - Anti-MDC1 antibody (ab11171)

Predicted band size: 227 kDa

false

关键信息

宿主种属

Rabbit

克隆

Polyclonal

亚型

IgG

不含载体蛋白

No

反应种属

Human

应用

WB, IP, IHC-P

applications

免疫原

Synthetic Peptide within Human MDC1 aa 1350-1450. The exact immunogen used to generate this antibody is proprietary information.

Q14676

反应性数据

{ "title": "Reactivity Data", "filters": { "stats": ["", "Species", "Dilution Info", "Notes"], "tabs": { "all-applications": {"fullname" : "All Applications", "shortname": "All Applications"}, "IP" : {"fullname" : "Immunoprecipitation", "shortname":"IP"}, "WB" : {"fullname" : "Western blot", "shortname":"WB"}, "IHCP" : {"fullname" : "Immunohistochemistry (Formalin/PFA-fixed paraffin-embedded sections)", "shortname":"IHC-P"} }, "product-promise": { "all": "all", "testedAndGuaranteed": "tested", "guaranteed": "expected", "predicted": "predicted", "notRecommended": "not-recommended" } }, "values": { "Human": { "IP-species-checked": "testedAndGuaranteed", "IP-species-dilution-info": "2-4 µg/mg of lysate", "IP-species-notes": "<p></p>", "WB-species-checked": "testedAndGuaranteed", "WB-species-dilution-info": "1/5000 - 1/25000", "WB-species-notes": "<p></p>", "IHCP-species-checked": "testedAndGuaranteed", "IHCP-species-dilution-info": "", "IHCP-species-notes": "<p></p>" }, "Chimpanzee": { "IP-species-checked": "predicted", "IP-species-dilution-info": "", "IP-species-notes": "", "WB-species-checked": "predicted", "WB-species-dilution-info": "", "WB-species-notes": "", "IHCP-species-checked": "predicted", "IHCP-species-dilution-info": "", "IHCP-species-notes": "" } } }

性能和储存信息

形式
Liquid
纯化工艺
Affinity purification Immunogen
纯化说明
Antibodies were affinity purified using the peptide immobilized on solid support.
存储溶液
pH: 7 - 8 Preservative: 0.1% Sodium azide Constituents: 1.815% Tris, 1.764% Sodium citrate, 0.021% PBS
运输条件
Blue Ice
推荐的短期储存条件
+4°C
推荐的长期储存条件
-20°C
分装信息
Upon delivery aliquot
储存信息
Avoid freeze / thaw cycle

补充信息

This supplementary information is collated from multiple sources and compiled automatically.

MDC1 also known as mediators of DNA damage checkpoint protein 1 or ABF-M 1711 is an important player in the DNA damage response (DDR). It has a mass of approximately 220 kDa. MDC1 is highly expressed in various human tissues particularly where cell turnover is high like in the bone marrow and lymphoid organs. In cellular operations MDC1 serves as a scaffold protein that coordinates recruitment and activation of DDR machinery at sites of double-strand breaks (DSBs) on DNA.
Biological function summary

This protein plays a vital role in maintaining genomic stability by binding to phosphorylated histone H2AX at DSB sites. It is not a solitary player; MDC1 functions as part of a larger protein complex including factors like RNF8 RNF168 and 53BP1. This complex is essential for amplifying the DDR signal and facilitating the repair process through non-homologous end joining (NHEJ) and homologous recombination (HR). MDC1's interaction with other repair proteins helps to extend the signal required for effective DNA repair.

Pathways

MDC1 significantly influences cellular pathways involving DNA damage sensing and repair and cell cycle checkpoints. It ties closely to the ATM kinase pathway which is activated in response to DSBs. MDC1 aids ATM in phosphorylating downstream targets like CHK2 and p53 for cell cycle arrest. It also connects with BRCA1 interacting in HR repair pathways to ensure accurate repair of DSBs. Both ATM and BRCA1 interactions illustrate MDC1's pivotal role in maintaining DNA integrity.

MDC1 expression and functionality have profound implications on cancer and immunodeficiencies. Abnormal MDC1 expression or mutations can lead to impaired DNA repair and genomic instability often associated with tumor progression in cancers such as breast cancer. Moreover MDC1 interacts with proteins like p53 which is a well-known tumor suppressor to hinder cancer development by stopping the cell cycle for repair or triggering apoptosis if the damage is beyond repair. Dysregulation in MDC1-related pathways can also compromise immune system effectiveness further underpinning its significance in disease contexts.

产品实验方案

For this product, it's our understanding that no specific protocols are required. You can visit:

靶点信息

Histone reader protein required for checkpoint-mediated cell cycle arrest in response to DNA damage within both the S phase and G2/M phases of the cell cycle (PubMed : 12475977, PubMed : 12499369, PubMed : 12551934, PubMed : 12607003, PubMed : 12607004, PubMed : 12607005, PubMed : 12611903, PubMed : 14695167, PubMed : 15201865, PubMed : 15377652, PubMed : 16049003, PubMed : 16377563, PubMed : 30898438). Specifically recognizes and binds histone H2AX phosphorylated at 'Ser-139', a marker of DNA damage, serving as a scaffold for the recruitment of DNA repair and signal transduction proteins to discrete foci of DNA damage sites (PubMed : 12607005, PubMed : 15201865, PubMed : 16049003, PubMed : 16377563, PubMed : 30898438). Also required for downstream events subsequent to the recruitment of these proteins (PubMed : 12607005, PubMed : 15201865, PubMed : 16049003, PubMed : 16377563, PubMed : 18582474). These include phosphorylation and activation of the ATM, CHEK1 and CHEK2 kinases, and stabilization of TP53/p53 and apoptosis (PubMed : 12499369, PubMed : 12551934, PubMed : 12607004). ATM and CHEK2 may also be activated independently by a parallel pathway mediated by TP53BP1 (PubMed : 12499369, PubMed : 12551934, PubMed : 12607004). Required for chromosomal stability during mitosis by promoting recruitment of TOPBP1 to DNA double strand breaks (DSBs) : TOPBP1 forms filamentous assemblies that bridge MDC1 and tether broken chromosomes during mitosis (PubMed : 30898438). Required for the repair of DSBs via homologous recombination by promoting recruitment of NBN component of the MRN complex to DSBs (PubMed : 18411307, PubMed : 18582474, PubMed : 18583988, PubMed : 18678890).
See full target information MDC1

文献 (43)

Recent publications for all applications. Explore the full list and refine your search

Life science alliance 8: PubMed40049731

2025

MDC1 mediates Pellino recruitment to sites of DNA double-strand breaks.

Applications

Unspecified application

Species

Unspecified reactive species

Mònica Torres Esteban,Matthew J Stewart,Eilis Bragginton,Alice Meroni,Annica Pellizzari,Alain Jeanrenaud,Stephen J Smerdon,Manuel Stucki

Open biology 14:240205 PubMed39657822

2024

Phosphorylation of 'SDT-like' motifs in ATRX mediates its interaction with the MRN complex and is important for ALT pathway suppression.

Applications

Unspecified application

Species

Unspecified reactive species

Tomas Goncalves,Harshangda Bhatnagar,Siobhan Cunniffe,Richard J Gibbons,Anna M Rose,David Clynes

Molecular cell 83:4032-4046.e6 PubMed37977116

2023

Genome homeostasis defects drive enlarged cells into senescence.

Applications

Unspecified application

Species

Unspecified reactive species

Sandhya Manohar,Marianna E Estrada,Federico Uliana,Karla Vuina,Patricia Moyano Alvarez,Robertus A M de Bruin,Gabriel E Neurohr

Nucleic acids research 51:7376-7391 PubMed37377435

2023

ATM-ESCO2-SMC3 axis promotes 53BP1 recruitment in response to DNA damage and safeguards genome integrity by stabilizing cohesin complex.

Applications

Unspecified application

Species

Unspecified reactive species

Jianfeng Fu,Siru Zhou,Huilin Xu,Liming Liao,Hui Shen,Peng Du,Xiaofeng Zheng

Molecular cancer research : MCR 21:947-957 PubMed37314748

2023

Chromatin-Associated SIN3B Protects Cancer Cells from Genotoxic Stress-Induced Apoptosis and Dictates DNA Damage Repair Pathway Choice.

Applications

Unspecified application

Species

Unspecified reactive species

Jorge Morales-Valencia,Coralie Petit,Alexander Calderon,Siddharth Saini,Gregory David

Nature 618:1049-1056 PubMed37316668

2023

Mitotic tethering enables inheritance of shattered micronuclear chromosomes.

Applications

Unspecified application

Species

Unspecified reactive species

Prasad Trivedi,Christopher D Steele,Franco K C Au,Ludmil B Alexandrov,Don W Cleveland

Nature 619:184-192 PubMed37286600

2023

Heritable transcriptional defects from aberrations of nuclear architecture.

Applications

Unspecified application

Species

Unspecified reactive species

Stamatis Papathanasiou,Nikos A Mynhier,Shiwei Liu,Gregory Brunette,Ema Stokasimov,Etai Jacob,Lanting Li,Caroline Comenho,Bas van Steensel,Jason D Buenrostro,Cheng-Zhong Zhang,David Pellman

Nature 618:1041-1048 PubMed37165191

2023

Mitotic clustering of pulverized chromosomes from micronuclei.

Applications

Unspecified application

Species

Unspecified reactive species

Yu-Fen Lin,Qing Hu,Alice Mazzagatti,Jose Espejo Valle-Inclán,Elizabeth G Maurais,Rashmi Dahiya,Alison Guyer,Jacob T Sanders,Justin L Engel,Giaochau Nguyen,Daniel Bronder,Samuel F Bakhoum,Isidro Cortés-Ciriano,Peter Ly

Nucleic acids research 51:687-711 PubMed36629267

2023

Multi-layered chromatin proteomics identifies cell vulnerabilities in DNA repair.

Applications

Unspecified application

Species

Unspecified reactive species

Gianluca Sigismondo,Lavinia Arseni,Nicolàs Palacio-Escat,Thomas G Hofmann,Martina Seiffert,Jeroen Krijgsveld

Cells 11: PubMed36552858

2022

TRIP13 Participates in Immediate-Early Sensing of DNA Strand Breaks and ATM Signaling Amplification through MRE11.

Applications

Unspecified application

Species

Unspecified reactive species

Hyeongsun Jeong,Minwoo Wie,In-Joon Baek,Gyuwon Sohn,Si-Hyeon Um,Seon-Gyeong Lee,Yuri Seo,Jaesun Ra,Eun A Lee,Shinseog Kim,Byung Gyu Kim,Rajashree A Deshpande,Tanya T Paull,Joo Seok Han,Taejoon Kwon,Kyungjae Myung
View all publications

Abcam Product Promise

我们致力于为您的研究提供高质量的试剂,为您科研的每一步提供支持。若我们的产品未能达到预期性能,我们向您提供 Abcam Product Promise 保障。
详情请参阅我们的条款与条件。

Please note: All products are 'FOR RESEARCH USE ONLY. NOT FOR USE IN DIAGNOSTIC OR THERAPEUTIC PROCEDURES'.

For licensing inquiries, please contact partnerships@abcam.com