JavaScript is disabled in your browser. Please enable JavaScript to view this website.
AB315478

重组Anti-MCP1抗体[RM1100]

Anti-MCP1 antibody [RM1100]

  • BOND RX™ Validated
  • 20ul selling size
  • RabMAb
  • Recombinant
  • KO Validated
  • 了解详情

Be the first to review this product! Submit a review

|

(5 Publications)

Anti-MCP1 antibody [RM1100] (ab315478) is a rabbit recombinant multiclonal antibody detecting MCP1 in Western Blot, IP, IHC-P, ICC/IF. Suitable for Human, Mouse.

- KO validated for confirmed specificity
- Biophysical QC for unrivalled batch-batch consistency

查看别名

MCP1, SCYA2, CCL2, C-C motif chemokine 2, HC11, Monocyte chemoattractant protein 1, Monocyte chemotactic and activating factor, Monocyte chemotactic protein 1, Monocyte secretory protein JE, Small-inducible cytokine A2, MCAF, MCP-1

13 Images
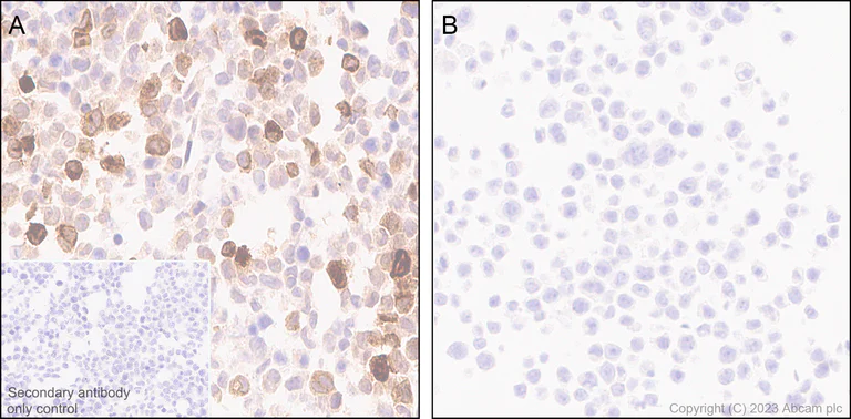
Immunohistochemistry (Formalin/PFA-fixed paraffin-embedded sections) - Anti-MCP1 antibody [RM1100] (AB315478)
  • IHC-P

Supplier Data

Immunohistochemistry (Formalin/PFA-fixed paraffin-embedded sections) - Anti-MCP1 antibody [RM1100] (AB315478)

Immunohistochemical analysis of paraffin-embedded : Image A - THP-1 (human monocytic leukemia monocyte) cell pellets treated with 80nM Phorbol-12-myristate-13-acetate (PMA) for 24 hours, then added 100ng/ml Lipopolysaccharides (LPS) for 7 hours, 1µg/ml Brefeldin A was added for additional 3 hours; Image B - Untreated THP-1 cell pellets tissue labeling MCP1 with ab315478 at 1/3000 (0.172 ug/ml) dilution, followed by a ready to use LeicaDS9800 (Bond™ Polymer Refine Detection).

Cytoplasmic staining on THP-1 cell pellets treated with 80nM Phorbol-12-myristate-13-acetate (PMA) for 24 hours, then added 100ng/ml Lipopolysaccharides (LPS) for 7 hours, 1µg/ml Brefeldin A was added for additional 3 hours (Image A); No staining on untreated THP-1 cell pellets (Image B).
The section was incubated with ab315478 for 30 mins at room temperature.
The immunostaining was performed on a Leica Biosystems BOND® RX instrument

Counterstained with Hematoxylin.

Secondary antibody only control : Secondary antibody is a ready to use LeicaDS9800 (Bond™ Polymer Refine Detection).

Heat mediated antigen retrieval was performed with Tris-EDTA buffer (pH 9.0, Epitope Retrieval Solution2) for 20 mins

Immunocytochemistry/ Immunofluorescence - Anti-MCP1 antibody [RM1100] (AB315478)
  • ICC/IF

Supplier Data

Immunocytochemistry/ Immunofluorescence - Anti-MCP1 antibody [RM1100] (AB315478)

Immunofluorescent analysis of 4% Paraformaldehyde-fixed, 0.1% TritonX-100 permeabilized THP-1 (human monocytic leukemia monocyte) cells labelling MCP1 with ab315478 at 1/100 (5.17 ug/ml) dilution, followed by ab150081 Goat Anti-Rabbit IgG H&L (Alexa Fluor® 488) preadsorbed antibody at 1/1000 (2 ug/ml) dilution (Green).

Confocal image showing cytoplasmic staining on THP-1 cells treated with 80nM Phorbol-12-myristate-13-acetate (PMA) for 24 hours, then added 100ng/ml Lipopolysaccharides (LPS) for 7 hours, 1µg/ml Brefeldin A was added for additional 3 hours; no staining on untreated THP-1 cells.
Image was taken with a confocal microscope(Leica-Microsystems, TCS SP8).

ab195889 Anti-alpha Tubulin mouse monoclonal antibody - Microtubule Marker (Alexa Fluor® 594) was used to counterstain tubulin at 1/200 (2.5ug/ml) dilution (Red). The Nuclear counterstain was DAPI (Blue).

Secondary antibody only control : Secondary antibody is ab150081 Goat Anti-Rabbit IgG H&L (Alexa Fluor® 488) preadsorbed at 1/1000 (2 ug/ml) dilution.

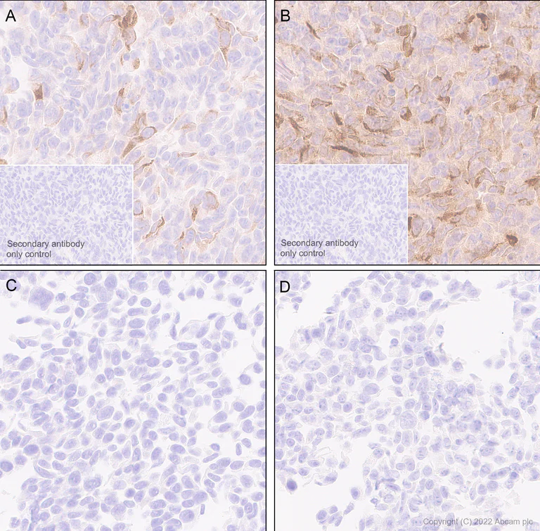
Immunohistochemistry (Formalin/PFA-fixed paraffin-embedded sections) - Anti-MCP1 antibody [RM1100] (AB315478)
  • IHC-P

Supplier Data

Immunohistochemistry (Formalin/PFA-fixed paraffin-embedded sections) - Anti-MCP1 antibody [RM1100] (AB315478)

Immunohistochemical analysis of paraffin-embedded : Image A - Wild-type Hela cell pellets treated with Brefeldin A (1ug/ml) for 3 hours; Image B - Wild-type Hela cell pellets treated with TNF-alpha (TNFα, 20ng/ml) for 3 hours, 1µg/ml Brefeldin A was added for additional 3 hours; Image C - CCL2 knockout HeLa cell pellets treated with Brefeldin A (1ug/ml) for 3 hours; Image D - CCL2 knockout HeLa cell pellets treated with TNF-alpha (TNFα, 20ng/ml) for 3 hours, 1µg/ml Brefeldin A was added for additional 3 hours tissue labeling MCP1 with ab315478 at 1/3000 (0.172 ug/ml) dilution, followed by a ready to use LeicaDS9800 (Bond™ Polymer Refine Detection).

Positive staining on Wild-type Hela cell pellets treated with Brefeldin A (1ug/ml) for 3 hours (Image A) and Wild-type Hela cell pellets treated with TNF-alpha (TNFα, 20ng/ml) for 3 hours, 1µg/ml Brefeldin A was added for additional 3 hours (Image B); No staining on CCL2 knockout HeLa cell pellets treated with Brefeldin A (1ug/ml) for 3 hours (Image C) and CCL2 knockout HeLa cell pellets treated with TNF-alpha (TNFα, 20ng/ml) for 3 hours, 1µg/ml Brefeldin A was added for additional 3 hours (Image D).
The section was incubated with ab315478 for 30 mins at room temperature.
The immunostaining was performed on a Leica Biosystems BOND® RX instrument

Counterstained with Hematoxylin.

Secondary antibody only control : Secondary antibody is a ready to use LeicaDS9800 (Bond™ Polymer Refine Detection).

Heat mediated antigen retrieval was performed with Tris-EDTA buffer (pH 9.0, Epitope Retrieval Solution2) for 20 mins

Immunohistochemistry (Formalin/PFA-fixed paraffin-embedded sections) - Anti-MCP1 antibody [RM1100] (AB315478)
  • IHC-P

Supplier Data

Immunohistochemistry (Formalin/PFA-fixed paraffin-embedded sections) - Anti-MCP1 antibody [RM1100] (AB315478)

Immunohistochemical analysis of paraffin-embedded Human skeletal muscle tissue labeling MCP1 with ab315478 at 1/3000 (0.172 ug/ml) dilution, followed by a ready to use LeicaDS9800 (Bond™ Polymer Refine Detection).

Negative control : no staining on human skeletal muscle.
The section was incubated with ab315478 for 30 mins at room temperature.
The immunostaining was performed on a Leica Biosystems BOND® RX instrument

Counterstained with Hematoxylin.

Secondary antibody only control : Secondary antibody is a ready to use LeicaDS9800 (Bond™ Polymer Refine Detection).

Heat mediated antigen retrieval was performed with Tris-EDTA buffer (pH 9.0, Epitope Retrieval Solution2) for 20 mins

Immunoprecipitation - Anti-MCP1 antibody [RM1100] (AB315478)
  • IP

Supplier Data

Immunoprecipitation - Anti-MCP1 antibody [RM1100] (AB315478)

MCP1 was immunoprecipitated from 0.35 mg THP-1 (human monocytic leukemia monocyte) treated with 80nM Phorbol-12-myristate-13-acetate (PMA) for 24 hours, then added 100ng/ml Lipopolysaccharides (LPS) for 7 hours, 1µg/ml Brefeldin A was added for last 3 hours whole cell lysate with ab315478 at 1/30 dilution (2ug in 0.35mg lysates). Western blot was performed on the immunoprecipitate using ab315478 at 1/1000 dilution. VeriBlot for IP secondary antibody(HRP)(ab131366) was used at 1/5000 dilution.

Blocking and diluting buffer and concentration : 5% NFDM/TBST.

All lanes:

Immunoprecipitation - Anti-MCP1 antibody [RM1100] (ab315478) at 1/1000 dilution

Lane 1:

THP-1 (human monocytic leukemia monocyte) treated with 80nM Phorbol-12-myristate-13-acetate (PMA) for 24 hours, then added 100ng/ml Lipopolysaccharides (LPS) for 7 hours, 1µg/ml Brefeldin A was added for last 3 hours whole cell lysate

Lane 2:

ab315478 at 1/30 IP in THP-1 (human monocytic leukemia monocyte) treated with 80nM Phorbol-12-myristate-13-acetate (PMA) for 24 hours, then added 100ng/ml Lipopolysaccharides (LPS) for 7 hours, 1µg/ml Brefeldin A was added for last 3 hours whole cell lysate

Lane 3:

Rabbit monoclonal IgG (<a href='/products/primary-antibodies/rabbit-igg-monoclonal-epr25a-isotype-control-ab172730'>ab172730</a>) instead of ab315478 in THP-1 treated with 80nM Phorbol-12-myristate-13-acetate (PMA) for 24 hours, then added 100ng/ml Lipopolysaccharides (LPS) for 7 hours, 1µg/ml Brefeldin A was added for last 3 hours whole cell lysate

Secondary

All lanes:

Immunoprecipitation - VeriBlot for IP Detection Reagent (HRP) (<a href='/products/reagents/veriblot-for-ip-detection-reagent-hrp-ab131366'>ab131366</a>) at 1/5000 dilution

false

Exposure time: 180s

Immunohistochemistry (Formalin/PFA-fixed paraffin-embedded sections) - Anti-MCP1 antibody [RM1100] (AB315478)
  • IHC-P

Supplier Data

Immunohistochemistry (Formalin/PFA-fixed paraffin-embedded sections) - Anti-MCP1 antibody [RM1100] (AB315478)

Immunohistochemical analysis of paraffin-embedded Mouse skeletal muscle tissue labeling MCP1 with ab315478 at 1/3000 (0.172 ug/ml) dilution, followed by a ready to use LeicaDS9800 (Bond™ Polymer Refine Detection).

Negative control : ab315478 showed no staining on mouse skeletal muscle (ab), while ab25124 showed non-specific staining on the mouse skeletal muscle.
The image on the left is applied with Anti-MCP1 antibody [RM1100] (ab315478) at 1/3000 dilution and the image on the right is applied with Anti-MCP1 antibody (ab25124) at 1/1500 dilution.
The section was incubated with ab315478 or ab25124 for 30 mins at room temperature.
The immunostaining was performed on a Leica Biosystems BOND® RX instrument

Counterstained with Hematoxylin.

Secondary antibody only control : Secondary antibody is a ready to use LeicaDS9800 (Bond™ Polymer Refine Detection).

Heat mediated antigen retrieval was performed with Tris-EDTA buffer (pH 9.0, Epitope Retrieval Solution2) for 20 mins

Immunohistochemistry (Formalin/PFA-fixed paraffin-embedded sections) - Anti-MCP1 antibody [RM1100] (AB315478)
  • IHC-P

Supplier Data

Immunohistochemistry (Formalin/PFA-fixed paraffin-embedded sections) - Anti-MCP1 antibody [RM1100] (AB315478)

Immunohistochemical analysis of paraffin-embedded : Image A - Mouse lung treated with 1ug/ml Lipopolysaccharides (LPS) and 1ug/ml Brefeldin A for 16 hours; Image B - Untreated mouse lung tissue labeling MCP1 with ab315478 at 1/3000 (0.172 ug/ml) dilution, followed by a ready to use LeicaDS9800 (Bond™ Polymer Refine Detection).

Cytoplasmic staining on mouse lung treated with 1ug/ml Lipopolysaccharides (LPS) and 1ug/ml Brefeldin A for 16 hours (Image A); nearly no satining on untreated mouse lung (Image B).
The images on the left are applied with Anti-MCP1 antibody [RM1100] (ab315478) at 1/3000 dilution and the images on the right are applied with Anti-MCP1 antibody (ab25124) at 1/1500 dilution.
The section was incubated with ab315478 or ab25124 for 30 mins at room temperature.
The immunostaining was performed on a Leica Biosystems BOND® RX instrument

Counterstained with Hematoxylin.

Secondary antibody only control : Secondary antibody is a ready to use LeicaDS9800 (Bond™ Polymer Refine Detection).

Heat mediated antigen retrieval was performed with Tris-EDTA buffer (pH 9.0, Epitope Retrieval Solution2) for 20 mins

Immunohistochemistry (Formalin/PFA-fixed paraffin-embedded sections) - Anti-MCP1 antibody [RM1100] (AB315478)
  • IHC-P

Supplier Data

Immunohistochemistry (Formalin/PFA-fixed paraffin-embedded sections) - Anti-MCP1 antibody [RM1100] (AB315478)

Immunohistochemical analysis of paraffin-embedded : Image A - RAW 264.7 (mouse abelson murine leukemia virus-induced tumor macrophage) cell pellets treated with 100ng/ml Lipopolysaccharides (LPS) for 7 hours, then 1µg/ml Brefeldin A was added for additional 3 hours; Image B - Untreated Raw264.7 cell pellets tissue labeling MCP1 with ab315478 at 1/3000 (0.172 ug/ml) dilution, followed by a ready to use LeicaDS9800 (Bond™ Polymer Refine Detection).

Cytoplasmic staining on RAW 264.7 cell pellets treated with 100ng/ml Lipopolysaccharides (LPS) for 7 hours, then 1µg/ml Brefeldin A was added for additional 3 hours (Image A); No staining on untreated RAW 264.7 cell pellets (Images B).
The images on the left are applied with Anti-MCP1 antibody [RM1100] (ab315478) at 1/3000 dilution and the images on the right are applied with Anti-MCP1 antibody (ab25124) at 1/1500 dilution.
The section was incubated with ab315478 or ab25124 for 30 mins at room temperature.
The immunostaining was performed on a Leica Biosystems BOND® RX instrument

Counterstained with Hematoxylin.

Secondary antibody only control : Secondary antibody is a ready to use LeicaDS9800 (Bond™ Polymer Refine Detection).

Heat mediated antigen retrieval was performed with Tris-EDTA buffer (pH 9.0, Epitope Retrieval Solution2) for 20 mins

Immunocytochemistry/ Immunofluorescence - Anti-MCP1 antibody [RM1100] (AB315478)
  • ICC/IF

Supplier Data

Immunocytochemistry/ Immunofluorescence - Anti-MCP1 antibody [RM1100] (AB315478)

Immunofluorescent analysis of 4% Paraformaldehyde-fixed, 0.1% TritonX-100 permeabilized RAW 264.7 (mouse abelson murine leukemia virus-induced tumor macrophage) cells labelling MCP1 with ab315478 at 1/100 (5.17 ug/ml) dilution, followed by ab150081 Goat Anti-Rabbit IgG H&L (Alexa Fluor® 488) preadsorbed antibody at 1/1000 (2 ug/ml) dilution (Green).

Confocal image showing cytoplasmic staining on RAW 264.7 cells treated with 100ng/ml Lipopolysaccharides (LPS) for 7 hours, then 1µg/ml Brefeldin A was added for additional 3 hours; no staining on untreated RAW 264.7 cells.
Image was taken with a confocal microscope(Leica-Microsystems, TCS SP8).

ab195889 Anti-alpha Tubulin mouse monoclonal antibody - Microtubule Marker (Alexa Fluor® 594) was used to counterstain tubulin at 1/200 (2.5ug/ml) dilution (Red). The Nuclear counterstain was DAPI (Blue).

Secondary antibody only control : Secondary antibody is ab150081 Goat Anti-Rabbit IgG H&L (Alexa Fluor® 488) preadsorbed at 1/1000 (2 ug/ml) dilution.

Immunoprecipitation - Anti-MCP1 antibody [RM1100] (AB315478)
  • IP

Supplier Data

Immunoprecipitation - Anti-MCP1 antibody [RM1100] (AB315478)

MCP1 was immunoprecipitated from 0.35 mg RAW 264.7 (mouse abelson murine leukemia virus-induced tumor macrophage) treated with 100ng/ml Lipopolysaccharides (LPS) for 7 hours, then 1µg/ml Brefeldin A was added for additional 3 hours whole cell lysate with ab315478 at 1/30 dilution (2ug in 0.35mg lysates). Western blot was performed on the immunoprecipitate using ab315478 at 1/1000 dilution. VeriBlot for IP secondary antibody(HRP)(ab131366) was used at 1/5000 dilution.

Blocking and diluting buffer and concentration : 5% NFDM/TBST.

All lanes:

Immunoprecipitation - Anti-MCP1 antibody [RM1100] (ab315478) at 1/1000 dilution

Lane 1:

RAW 264.7 (mouse abelson murine leukemia virus-induced tumor macrophage) treated with 100ng/ml Lipopolysaccharides (LPS) for 7 hours, then 1µg/ml Brefeldin A was added for additional 3 hours whole cell lysate

Lane 2:

ab315478 IP in RAW 264.7 (mouse abelson murine leukemia virus-induced tumor macrophage) treated with 100ng/ml Lipopolysaccharides (LPS) for 7 hours, then 1µg/ml Brefeldin A was added for additional 3 hours whole cell lysate

Lane 3:

Rabbit monoclonal IgG (<a href='/products/primary-antibodies/rabbit-igg-monoclonal-epr25a-isotype-control-ab172730'>ab172730</a>) instead of ab315478 in RAW 264.7 treated with 100ng/ml Lipopolysaccharides (LPS) for 7 hours, then 1µg/ml Brefeldin A was added for additional 3 hours whole cell lysate

Secondary

All lanes:

Immunoprecipitation - VeriBlot for IP Detection Reagent (HRP) (<a href='/products/reagents/veriblot-for-ip-detection-reagent-hrp-ab131366'>ab131366</a>) at 1/5000 dilution

false

Exposure time: 15s

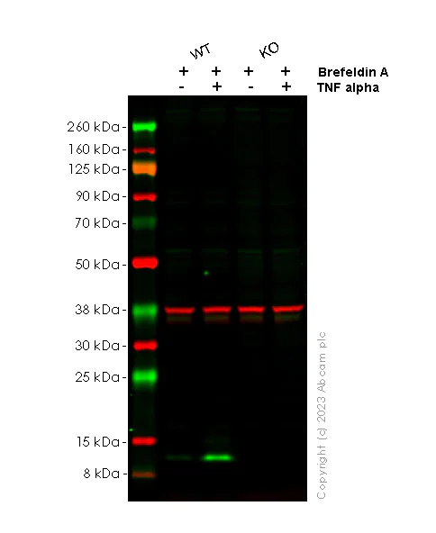
Western blot - Anti-MCP1 antibody [RM1100] (AB315478)
  • WB

Supplier Data

Western blot - Anti-MCP1 antibody [RM1100] (AB315478)

Western blot : Anti-MCP1 antibody (ab315478) staining at 1/1000 dilution, shown in green; Mouse anti-GAPDH antibody [6C5](ab8245) loading control staining at 1/20000 dilution, shown in red.

In Western blot, ab315478 was shown to bind specifically to MCP1. Target of interest was observed at 11 kDa in wild-type HeLa cell lysates (lane 1/2) with no signal observed at this size in MCP1 knockout cell line (lane 3/4, knockout cell line ab255372/knockout cell lysate ab263807). To generate this image, samples were first run on an SDS-PAGE gel then transferred onto an immobilon-FL PVDF membrane. Membranes were blocked in a fluorescent western blot (TBS-based) blocking solution before incubation with primary antibodies overnight at 4 °C. Blots were washed in TBS-T, incubated with secondary antibodies Goat anti-Rabbit IgG H&L 800CW and Goat anti-Mouse IgG H&L 680RD at 1/20000 dilution for 1 h at room temperature, washed again then imaged.

All lanes:

Western blot - Anti-MCP1 antibody [RM1100] (ab315478) at 1/1000 dilution

Lane 1:

Wild-type HeLa (human cervical adenocarcinoma epithelial cell) treated with 1µg/ml Brefeldin A for 3 hours whole cell lysate at 20 µg with ½ volume of Odyssey Blocking Buffer (TBS)+ ½ volume of TBS

Lane 2:

Wild-type HeLa treated with 1µg/ml TNF-alpha (<a href='/products/proteins-peptides/recombinant-human-tnf-alpha-protein-ab9642'>ab9642</a>) for 6 hours, 1µg/ml Brefeldin A was added for additional 3 hours whole cell lysate at 20 µg with ½ volume of Odyssey Blocking Buffer (TBS)+ ½ volume of TBS

Lane 3:

CCL2 knockout HeLa treated with 1µg/ml Brefeldin A for 3 hours whole cell lysate at 20 µg with ½ volume of Odyssey Blocking Buffer (TBS)+ ½ volume of TBS

Lane 4:

CCL2 knockout HeLa treated with TNF-alpha (<a href='/products/proteins-peptides/recombinant-human-tnf-alpha-protein-ab9642'>ab9642</a>) for 6 hours, 1µg/ml Brefeldin A was added for additional 3 hours whole cell lysate at 20 µg with ½ volume of Odyssey Blocking Buffer (TBS)+ ½ volume of TBS

Secondary

All lanes:

Goat Anti-Rabbit IgG H&L (800CW) and Goat Anti-Mouse IgG H&L (680RD) at 1/20000 dilution

Observed band size: 11 kDa

false

Western blot - Anti-MCP1 antibody [RM1100] (AB315478)
  • WB

Supplier Data

Western blot - Anti-MCP1 antibody [RM1100] (AB315478)

Blocking and diluting buffer and concentration : 5% NFDM/TBST.

In Western blot, Anti-GAPDH antibody [EPR16891] - Loading Control (ab181602) staining at 1/200000 dilution.

All lanes:

Western blot - Anti-MCP1 antibody [RM1100] (ab315478) at 1/1000 dilution

Lane 1:

Untreated THP-1 (human monocytic leukemia monocyte) whole cell lysate at 20 µg

Lane 2:

THP-1 treated with 80nM Phorbol-12-myristate-13-acetate (PMA) for 24 hours, then added 100ng/ml Lipopolysaccharides (LPS) for 7 hours, 1µg/ml Brefeldin A was added for additional 3 hours whole cell lysate at 20 µg

Secondary

All lanes:

Western blot - Goat Anti-Rabbit IgG H&L (HRP) (<a href='/products/secondary-antibodies/goat-rabbit-igg-h-l-hrp-ab97051'>ab97051</a>) at 1/20000 dilution

Observed band size: 11 kDa,36 kDa

false

Exposure time: 26s

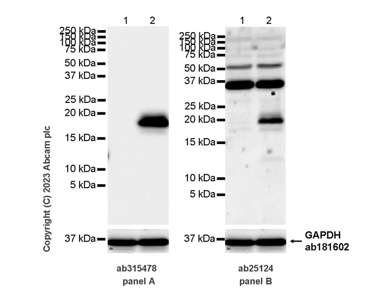
Western blot - Anti-MCP1 antibody [RM1100] (AB315478)
  • WB

Supplier Data

Western blot - Anti-MCP1 antibody [RM1100] (AB315478)

Blocking and diluting buffer and concentration : 5% NFDM/TBST.

The expression profile/ molecular weight observed is consistent with what has been described in the literature (PMID : 28955950).

Panel A is applied with Anti-MCP1 antibody [RM1100] (ab315478) at 1/1000 dilution and panel B is applied with Anti-MCP1 antibody (ab25124) at 1/1000 dilution.

In Western blot, Anti-GAPDH antibody [EPR16891] - Loading Control (ab181602) staining at 1/200000 dilution.

Exposure time : 26 seconds (panel A);180 seconds (panel B).

All lanes:

Western blot - Anti-MCP1 antibody [RM1100] (ab315478) at 1/1000 dilution

Lane 1:

Untreated RAW 264.7 (mouse Abelson murine leukemia virus-induced tumor macrophage) whole cell lysate at 20 µg

Lane 2:

RAW 264.7 treated with 100ng/ml Lipopolysaccharides (LPS) for 7 hours, then 1µg/ml Brefeldin A was added for additional 3 hours whole cell lysate at 20 µg

Secondary

All lanes:

Western blot - Goat Anti-Rabbit IgG H&L (HRP) (<a href='/products/secondary-antibodies/goat-rabbit-igg-h-l-hrp-ab97051'>ab97051</a>) at 1/100000 dilution

Observed band size: 20 kDa,36 kDa

false

关键信息

宿主种属

Rabbit

克隆

Multiclonal

克隆号

RM1100

亚型

IgG

不含载体蛋白

No

反应种属

Human, Mouse

应用

IP, IHC-P, WB, ICC/IF

applications

免疫原

The exact immunogen used to generate this antibody is proprietary information.

反应性数据

{ "title": "Reactivity Data", "filters": { "stats": ["", "Species", "Dilution Info", "Notes"], "tabs": { "all-applications": {"fullname" : "All Applications", "shortname": "All Applications"}, "FlowCytIntra" : {"fullname" : "Flow Cytometry (Intracellular)", "shortname":"Flow Cyt (Intra)"}, "WB" : {"fullname" : "Western blot", "shortname":"WB"}, "IHCP" : {"fullname" : "Immunohistochemistry (Formalin/PFA-fixed paraffin-embedded sections)", "shortname":"IHC-P"}, "ICCIF" : {"fullname" : "Immunocytochemistry/ Immunofluorescence", "shortname":"ICC/IF"}, "IP" : {"fullname" : "Immunoprecipitation", "shortname":"IP"} }, "product-promise": { "all": "all", "testedAndGuaranteed": "tested", "guaranteed": "expected", "predicted": "predicted", "notRecommended": "not-recommended" } }, "values": { "Human": { "FlowCytIntra-species-checked": "notRecommended", "FlowCytIntra-species-dilution-info": "", "FlowCytIntra-species-notes": "<p></p>", "WB-species-checked": "testedAndGuaranteed", "WB-species-dilution-info": "1/1000", "WB-species-notes": "<p></p>", "IHCP-species-checked": "testedAndGuaranteed", "IHCP-species-dilution-info": "1/3000", "IHCP-species-notes": "<p></p> Perform heat-mediated antigen retrieval with Tris/EDTA buffer pH 9.0 before commencing with IHC staining protocol.", "ICCIF-species-checked": "testedAndGuaranteed", "ICCIF-species-dilution-info": "1/100", "ICCIF-species-notes": "<p></p>", "IP-species-checked": "testedAndGuaranteed", "IP-species-dilution-info": "1/30", "IP-species-notes": "<p></p>" }, "Mouse": { "FlowCytIntra-species-checked": "notRecommended", "FlowCytIntra-species-dilution-info": "", "FlowCytIntra-species-notes": "<p></p>", "WB-species-checked": "testedAndGuaranteed", "WB-species-dilution-info": "1/1000", "WB-species-notes": "<p></p>", "IHCP-species-checked": "testedAndGuaranteed", "IHCP-species-dilution-info": "1/3000", "IHCP-species-notes": "<p></p> Perform heat-mediated antigen retrieval with Tris/EDTA buffer pH 9.0 before commencing with IHC staining protocol.", "ICCIF-species-checked": "testedAndGuaranteed", "ICCIF-species-dilution-info": "1/100", "ICCIF-species-notes": "<p></p>", "IP-species-checked": "testedAndGuaranteed", "IP-species-dilution-info": "1/30", "IP-species-notes": "<p></p>" }, "Rat": { "FlowCytIntra-species-checked": "notRecommended", "FlowCytIntra-species-dilution-info": "", "FlowCytIntra-species-notes": "", "WB-species-checked": "notRecommended", "WB-species-dilution-info": "", "WB-species-notes": "<p></p>", "IHCP-species-checked": "notRecommended", "IHCP-species-dilution-info": "", "IHCP-species-notes": "<p></p>", "ICCIF-species-checked": "notRecommended", "ICCIF-species-dilution-info": "", "ICCIF-species-notes": "", "IP-species-checked": "notRecommended", "IP-species-dilution-info": "", "IP-species-notes": "" } } }

产品详情

What is this antibody validated in?
Anti-MCP1 antibody [RM1100] (ab315478) is a rabbit recombinant recombinant multiclonal antibody and is validated for use in Western Blot (WB), Immunoprecipitation (IP), Immunohistochemistry (IHC-P), Immunocytochemistry/immunofluorescence (ICC/IF) in Human, Mouse samples.

What is the molecular weight of MCP1?
Anti-MCP1 [RM1100] (ab315478) specifically detects a band for MCP1 (UniProt: P13500) at a molecular weight of 11kDa.

Trial sizes available!
Test your antibody or perform pre-screening before committing to a larger quantity. Sold in 10µl. Discover our selection of trial-size antibodies.

Specificity confirmed
The specificity of Anti-MCP1 antibody [RM1100] (ab315478) has been confirmed by Immunohistochemistry (Formalin/PFA-fixed paraffin-embedded sections) testing in CCL2 Knockout HeLa cells.

Other related products
We have a range of other formats of antibody clone [RM1100] also available for your convenience: ab315478, Carrier free - ab315479

What are recombinant multiclonals?
Recombinant multiclonals are a mixture of recombinant antibodies co-expressed from a library of heavy and light chains. They offer several advantages including:

  • - The sensitivity of polyclonal antibodies by recognising multiple epitopes
  • - High batch-to-batch consistency and reproducibility
  • - Improved sensitivity and specificity
  • - Long-term security of supply
  • - Animal-free batch production

View our range of recombinant multiclonal antibodies.

Patented technology
Our RabMAb® technology is a patented hybridoma-based technology for making rabbit monoclonal antibodies. For details on our patents, please refer to RabMAb® patents.

性能和储存信息

形式
Liquid
纯化工艺
Affinity purification Protein A
存储溶液
pH: 7.2 - 7.4 Preservative: 0.01% Sodium azide Constituents: PBS, 40% Glycerol (glycerin, glycerine), 0.05% BSA
运输条件
Blue Ice
推荐的短期储存时间
1-2 weeks
推荐的短期储存条件
+4°C
推荐的长期储存条件
-20°C
分装信息
Upon delivery aliquot
储存信息
Avoid freeze / thaw cycle

补充信息

This supplementary information is collated from multiple sources and compiled automatically.

MCP-1 also known as CCL2 is a chemokine involved in the recruitment of monocytes to sites of injury and inflammation. This protein consists of 76 amino acids and has a molecular weight of about 11 kDa. MCP-1 is expressed in a wide range of cell types including endothelial cells fibroblasts and monocytes. It acts by binding to the chemokine receptor CCR2 stimulating intracellular signaling pathways that mediate cell migration.
Biological function summary

The role of MCP-1 is significant in guiding immune cells to areas requiring immune response. It does not form part of a complex but operates as a singular entity to affect immune signaling. MCP-1 influences the behavior of monocytes and macrophages by inducing chemotaxis and activating their effector functions. Through this mechanism it aids in the inflammatory response and tissue repair.

Pathways

MCP-1 participates in the inflammatory pathways by cooperating with key proteins like CCR2. It facilitates the JAK-STAT signaling pathway which is vital for transmitting extracellular information into cellular responses. The interaction of MCP-1 with CCR2 influences the activation of downstream proteins like STAT3 enabling various immune responses. MCP-1 thereby plays a central role in modulating inflammation-related pathways.

MCP-1 has a connection to inflammatory bowel disease and atherosclerosis. In such conditions elevated levels of MCP-1 can exacerbate inflammatory responses by recruiting monocytes to dysfunctional sites worsening tissue damage. Through its interaction with CCR2 MCP-1 becomes a pivotal factor in chronic inflammation. Targeting this MCP-1/CCR2 axis can provide therapeutic opportunities for modulating disease progression in these inflammatory diseases.

产品实验方案

For this product, it's our understanding that no specific protocols are required. You can visit:

靶点信息

Acts as a ligand for C-C chemokine receptor CCR2 (PubMed : 10529171, PubMed : 10587439, PubMed : 9837883). Signals through binding and activation of CCR2 and induces a strong chemotactic response and mobilization of intracellular calcium ions (PubMed : 10587439, PubMed : 9837883). Exhibits a chemotactic activity for monocytes and basophils but not neutrophils or eosinophils (PubMed : 8195247, PubMed : 8627182, PubMed : 9792674). May be involved in the recruitment of monocytes into the arterial wall during the disease process of atherosclerosis (PubMed : 8107690).
See full target information CCL2

文献 (5)

Recent publications for all applications. Explore the full list and refine your search

Journal for immunotherapy of cancer 13: PubMed40592739

2025

Enhanced antitumor immunity of VNP20009-CCL2-CXCL9 via the cGAS/STING axis in osteosarcoma lung metastasis.

Applications

Unspecified application

Species

Unspecified reactive species

Ruixuan Liu,Qi Liu,Yuming Wang,Tianyi Liu,Zhusheng Zhang,Chong Zhao,Haipeng Tao,Elizabeth Ogando-Rivas,Paul Castillo,Weibin Zhang

Diabetology & metabolic syndrome 17:193 PubMed40474280

2025

IL-37 inhibited inflammation to improve gestational diabetes mellitus through the GSK3/NF-κB pathway.

Applications

Unspecified application

Species

Unspecified reactive species

Meiyu Song,Guanli Zhang

eLife 13: PubMed39541153

2024

Chemokine expression profile of an innate granuloma.

Applications

Unspecified application

Species

Unspecified reactive species

Megan E Amason,Cole J Beatty,Carissa K Harvest,Daniel R Saban,Edward A Miao

Histology and histopathology 40:249-258 PubMed38873767

2024

Aromadendrin alleviates LPS-induced kidney apoptosis and inflammation by inhibiting phosphorylation of MAPK and NF-κB signaling pathways.

Applications

Unspecified application

Species

Unspecified reactive species

Xiaohong Ma,Wenhua Liu,Bin Wang,Feizhuang Shi

EMBO reports 25:2375-2390 PubMed38594391

2024

NT-3 contributes to chemotherapy-induced neuropathic pain through TrkC-mediated CCL2 elevation in DRG neurons.

Applications

Unspecified application

Species

Unspecified reactive species

Dilip Sharma,Xiaozhou Feng,Bing Wang,Bushra Yasin,Alex Bekker,Huijuan Hu,Yuan-Xiang Tao
View all publications

Abcam Product Promise

我们致力于为您的研究提供高质量的试剂,为您科研的每一步提供支持。若我们的产品未能达到预期性能,我们向您提供 Abcam Product Promise 保障。
详情请参阅我们的条款与条件。

Please note: All products are 'FOR RESEARCH USE ONLY. NOT FOR USE IN DIAGNOSTIC OR THERAPEUTIC PROCEDURES'.

For licensing inquiries, please contact partnerships@abcam.com