JavaScript is disabled in your browser. Please enable JavaScript to view this website.
AB213511

重组Anti-mCherry抗体[EPR20579]

Anti-mCherry antibody [EPR20579]

  • BOND RX™ Validated
  • RabMAb
  • Recombinant
  • Lab Essentials
  • 了解详情

5

(5 Reviews)

|

(47 Publications)

Anti-mCherry antibody [EPR20579] (ab213511) is a rabbit monoclonal antibody detecting mCherry in Western Blot, Flow Cytometry, IP, IHC-P, ICC/IF, ELISA.

- Biophysical QC for unrivalled batch-batch consistency
- Over 20 publications
11 Images
Immunohistochemistry (Formalin/PFA-fixed paraffin-embedded sections) - Anti-mCherry antibody [EPR20579] (AB213511)
  • IHC-P

Lab

Immunohistochemistry (Formalin/PFA-fixed paraffin-embedded sections) - Anti-mCherry antibody [EPR20579] (AB213511)

Immunohistochemistry analysis of (A) 293T (human epithelial cell line from embryonic kidney transformed with large T antigen) transfected with a His-tagged mCherry. (B) 293T (human epithelial cell line from embryonic kidney transformed with large T antigen) transfected with an empty expression vector labeling mCherry with ab213511 at 1/100 dilution followed by LeicaDS9800 (Bond™ Polymer Refine Detection) as the secondary antibody. Sections were fixed with paraffin. Hematoxylin was used as the couterstain. Antigen retrieval was heat mediated with Citrate buffer (pH 6.0, Epitope Retrieval Solution 1) for 20 mins. Positive staining on 293T cell pellets transfected with a His-tagged mCherry, no staining on the 293T cell pellets transfected with an empty expression vector. The section was incubated with ab213511 for 30 mins at room temperature. The immunostaining was performed on a Leica Biosystems BOND® RX instrument.

Flow Cytometry - Anti-mCherry antibody [EPR20579] (AB213511)
  • Flow Cyt

Lab

Flow Cytometry - Anti-mCherry antibody [EPR20579] (AB213511)

Flow cytometry analysis of 293T (human embryonic kidney epithelial cell) labeling mCherry with ab213511 at 1/500 dilution followed by ab150081 Goat Anti-Rabbit IgG H&L (Alexa Fluor® 488) preadsorbed at 1/5000 dilution. Cells were fixed with 4% Paraformaldehyde and permeabilised with 90% methanol. Isotype control : Rabbit monoclonal IgG (ab172730) (Left).

Immunocytochemistry/ Immunofluorescence - Anti-mCherry antibody [EPR20579] (AB213511)
  • ICC/IF

Lab

Immunocytochemistry/ Immunofluorescence - Anti-mCherry antibody [EPR20579] (AB213511)

Immunocytochemistry/ Immunofluorescence analysis of 293T (human embryonic kidney epithelial cell) labeling mCherry with ab213511 at 1/100 dilution followed by ab150081 Goat Anti-Rabbit IgG H&L (Alexa Fluor® 488) preadsorbed at 1/1000 dilution. Cells were fixed with 4% Paraformaldehyde and permeabilised with 0.1% TritonX-100. DAPI was used as nuclear counterstain. Confocal image showing positive staining in 293T cells transfected with a mCherry expression vector containing a myc tag. Image was taken with a confocal microscope(Leica-Microsystems, TCS SP8).

Immunohistochemistry (Formalin/PFA-fixed paraffin-embedded sections) - Anti-mCherry antibody [EPR20579] (AB213511)
  • IHC-P

Lab

Immunohistochemistry (Formalin/PFA-fixed paraffin-embedded sections) - Anti-mCherry antibody [EPR20579] (AB213511)

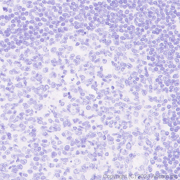
Immunohistochemistry analysis of paraffin embedded human tonsil tissue sections labeling mCherry with ab213511 at 1/100 dilution followed by LeicaDS9800 (Bond™ Polymer Refine Detection) as the secondary antibody. Sections were fixed with paraffin. Hematoxylin was used as the couterstain. Antigen retrieval was heat mediated with Citrate buffer (pH 6.0, Epitope Retrieval Solution 1) for 20 mins. No staining on human tonsil. The section was incubated with ab213511 for 30 mins at room temperature. The immunostaining was performed on a Leica Biosystems BOND® RX instrument.

Immunohistochemistry (Formalin/PFA-fixed paraffin-embedded sections) - Anti-mCherry antibody [EPR20579] (AB213511)
  • IHC-P

Lab

Immunohistochemistry (Formalin/PFA-fixed paraffin-embedded sections) - Anti-mCherry antibody [EPR20579] (AB213511)

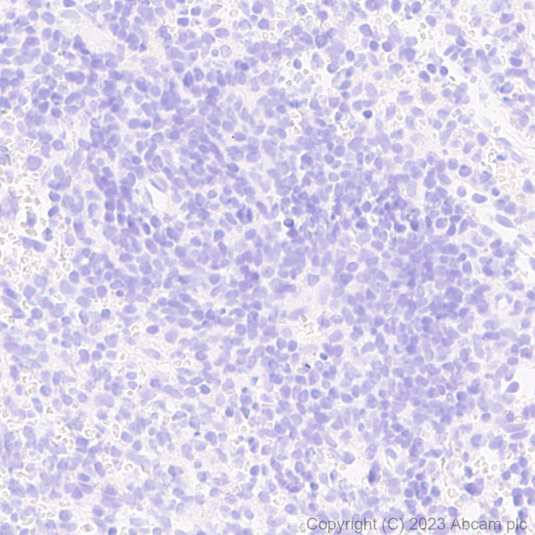
Immunohistochemistry analysis of paraffin embedded rat spleen tissue sections labeling mCherry with ab213511 at 1/100 dilution followed by LeicaDS9800 (Bond™ Polymer Refine Detection) as the secondary antibody. Sections were fixed with paraffin. Hematoxylin was used as the couterstain. Antigen retrieval was heat mediated with Citrate buffer (pH 6.0, Epitope Retrieval Solution 1) for 20 mins. No staining on rat spleen. The section was incubated with ab213511 for 30 mins at room temperature. The immunostaining was performed on a Leica Biosystems BOND® RX instrument.

Immunohistochemistry (Formalin/PFA-fixed paraffin-embedded sections) - Anti-mCherry antibody [EPR20579] (AB213511)
  • IHC-P

Lab

Immunohistochemistry (Formalin/PFA-fixed paraffin-embedded sections) - Anti-mCherry antibody [EPR20579] (AB213511)

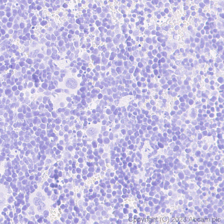
Immunohistochemistry analysis of paraffin embedded mouse spleen tissue sections labeling mCherry with ab213511 at 1/100 dilution followed by LeicaDS9800 (Bond™ Polymer Refine Detection) as the secondary antibody. Sections were fixed with paraffin. Hematoxylin was used as the couterstain. Antigen retrieval was heat mediated with Citrate buffer (pH 6.0, Epitope Retrieval Solution 1) for 20 mins. No staining on mouse spleen. The section was incubated with ab213511 for 30 mins at room temperature. The immunostaining was performed on a Leica Biosystems BOND® RX instrument.

Immunohistochemistry (Formalin/PFA-fixed paraffin-embedded sections) - Anti-mCherry antibody [EPR20579] (AB213511)
  • IHC-P

Lab

Immunohistochemistry (Formalin/PFA-fixed paraffin-embedded sections) - Anti-mCherry antibody [EPR20579] (AB213511)

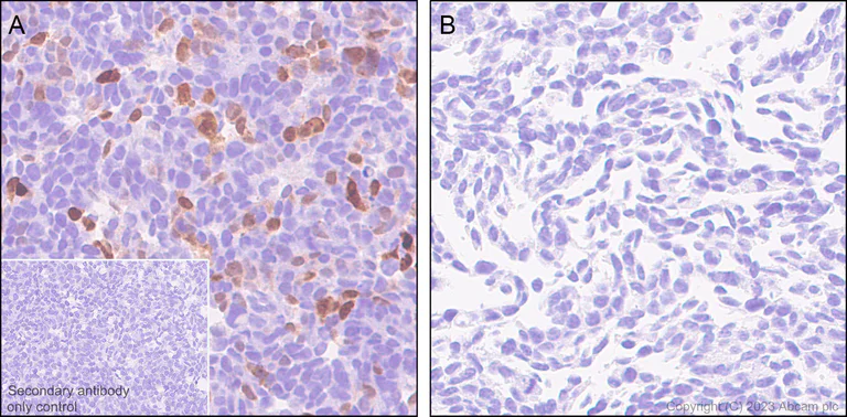
Immunohistochemical analysis of paraffin-embedded mouse liver tissue labelling mCherry with ab213511 at 1/100 dilution

ab213511 showed no staining on liver tissue from mCherry-EGFP-LC3 fusion protein knock-in mice, which may be due to epitope masking by LC3 or EGFP.

The section was incubated with ab213511 or ab125096 for 30 mins at room temperature.

The immunostaining was performed on a Leica Biosystems BOND® RX instrument.

The tissue samples were kindly provided by GemPharmatech

Indirect ELISA - Anti-mCherry antibody [EPR20579] (AB213511)
  • I-ELISA

Lab

Indirect ELISA - Anti-mCherry antibody [EPR20579] (AB213511)

ELISA analysis of mPlum fluorescent protein,Osred fluorescent protein,tdTomato fluorescent protein,mcherry fluorescent protein at 1000 ng/mL with ab213511 at 1000-0 ng/mL. An Alkaline Phosphatase-conjugated AffiniPure Goat Anti-Rabbit IgG (H+L) at 1/2500 dilution was used as the secondary antibody.

Immunoprecipitation - Anti-mCherry antibody [EPR20579] (AB213511)
  • IP

Supplier Data

Immunoprecipitation - Anti-mCherry antibody [EPR20579] (AB213511)

mCherry was immunoprecipitated from 0.35 mg of 293T (human epithelial cell line from embryonic kidney transformed with large T antigen) transfected with a His-tagged mCherry whole cell lysate with ab213511 at 1/20 dilution. Western blot was performed from the immunoprecipitate using ab213511 at 1/1000 dilution. VeriBlot for IP Detection Reagent (HRP) (ab131366), was used for detection at 1/10,000 dilution.

Lane 1 : 293T transfected with a His-tagged mCherry whole cell lysate 10 μg (Input).

Lane 2 : ab213511 IP in 293T transfected with a His-tagged mCherry whole cell lysate.

Lane 3 : Rabbit monoclonal IgG (ab172730) instead of ab213511 in 293T transfected with a His-tagged mCherry whole cell lysate.

Blocking and dilution buffer and concentration : 5% NFDM/TBST.

Exposure time : 10 seconds.

All lanes:

Immunoprecipitation - Anti-mCherry antibody [EPR20579] (ab213511)

false

Western blot - Anti-mCherry antibody [EPR20579] (AB213511)
  • WB

Supplier Data

Western blot - Anti-mCherry antibody [EPR20579] (AB213511)

Blocking/Dilution buffer : 5% NFDM/TBST.

All lanes:

Western blot - Anti-mCherry antibody [EPR20579] (ab213511) at 1/1000 dilution

Lane 1:

293T (human epithelial cell line from embryonic kidney transformed with large T antigen) transfected with an empty expression vector whole cell lysate at 10 µg

Lane 2:

293T (human epithelial cell line from embryonic kidney transformed with large T antigen) transfected with a His-tagged mCherry whole cell lysate at 10 µg

Secondary

All lanes:

Western blot - Goat Anti-Rabbit IgG H&L (HRP) (<a href='/products/secondary-antibodies/goat-rabbit-igg-h-l-hrp-ab97051'>ab97051</a>) at 1/100000 dilution

Predicted band size: 26 kDa

Observed band size: 29 kDa

true

Exposure time: 5s

Western blot - Anti-mCherry antibody [EPR20579] (AB213511)
  • WB

Supplier Data

Western blot - Anti-mCherry antibody [EPR20579] (AB213511)

Blocking/Dilution buffer : 5% NFDM/TBST.

Green fluorescent protein (GFP) contains aa1-238 with His-tag.

All lanes:

Western blot - Anti-mCherry antibody [EPR20579] (ab213511) at 1/1000 dilution

All lanes:

Green fluorescent protein (GFP) at 0.01 µg

Secondary

All lanes:

Western blot - Goat Anti-Rabbit IgG H&L (HRP) (<a href='/products/secondary-antibodies/goat-rabbit-igg-h-l-hrp-ab97051'>ab97051</a>) at 1/100000 dilution

Predicted band size: 26 kDa

true

Exposure time: 3min

关键信息

宿主种属

Rabbit

克隆

Monoclonal

克隆号

EPR20579

亚型

IgG

不含载体蛋白

No

应用

ICC/IF, IP, Flow Cyt, WB, IHC-P, I-ELISA

applications

免疫原

The exact immunogen used to generate this antibody is proprietary information.

反应性数据

{ "title": "Reactivity Data", "filters": { "stats": ["", "Species", "Dilution Info", "Notes"], "tabs": { "all-applications": {"fullname" : "All Applications", "shortname": "All Applications"}, "FlowCyt" : {"fullname" : "Flow Cytometry", "shortname":"Flow Cyt"}, "ICCIF" : {"fullname" : "Immunocytochemistry/ Immunofluorescence", "shortname":"ICC/IF"}, "IP" : {"fullname" : "Immunoprecipitation", "shortname":"IP"}, "WB" : {"fullname" : "Western blot", "shortname":"WB"}, "IHCP" : {"fullname" : "Immunohistochemistry (Formalin/PFA-fixed paraffin-embedded sections)", "shortname":"IHC-P"}, "IELISA" : {"fullname" : "Indirect ELISA", "shortname":"I-ELISA"} }, "product-promise": { "all": "all", "testedAndGuaranteed": "tested", "guaranteed": "expected", "predicted": "predicted", "notRecommended": "not-recommended" } }, "values": { "Tag": { "FlowCyt-species-checked": "testedAndGuaranteed", "FlowCyt-species-dilution-info": "1/500", "FlowCyt-species-notes": "<p></p>", "ICCIF-species-checked": "testedAndGuaranteed", "ICCIF-species-dilution-info": "1/100", "ICCIF-species-notes": "<p></p>", "IP-species-checked": "testedAndGuaranteed", "IP-species-dilution-info": "1/20", "IP-species-notes": "<p></p>", "WB-species-checked": "testedAndGuaranteed", "WB-species-dilution-info": "1/1000", "WB-species-notes": "<p></p>", "IHCP-species-checked": "testedAndGuaranteed", "IHCP-species-dilution-info": "1/100", "IHCP-species-notes": "<p>When testing tissues from mCherry fusion protein knock-in models using IHC-P, detection may be impaired due to potential epitope masking by the fusion partner.</p>", "IELISA-species-checked": "testedAndGuaranteed", "IELISA-species-dilution-info": "", "IELISA-species-notes": "<p></p>" } } }

产品详情

What is this antibody validated in?
Anti-mCherry antibody [EPR20579] (ab213511) is a rabbit recombinant monoclonal antibody and is validated for use in Western Blot (WB), Flow Cytometry (Flow Cyt), Immunoprecipitation (IP), Immunohistochemistry (IHC-P), Immunocytochemistry/immunofluorescence (ICC/IF), ELISA. What is the molecular weight of mCherry?
Anti-mCherry [EPR20579] (ab213511) specifically detects a band for mCherry (UniProt: Q9U6Y8) at a molecular weight of 26kDa.

Trusted by the scientific community
Anti-mCherry [EPR20579] (ab213511) was first used in a scientific publication in 2017 and has been cited over 20 times in peer-reviewed journals.

Reviewed by scientists
Anti-mCherry [EPR20579] (ab213511) has over 5 independent reviews from customers.

Trial sizes available!
Test your antibody or perform pre-screening before committing to a larger quantity. Sold in 10µl. Discover our selection of trial-size antibodies.

Other related products
We have a range of other formats of antibody clone [EPR20579] also available for your convenience: ab213511, Carrier free - ab232341, ab316977, Carrier free - ab316978

Patented technology
Our RabMAb® technology is a patented hybridoma-based technology for making rabbit monoclonal antibodies. For details on our patents, please refer to RabMAb® patents.

What are the advantages of a recombinant monoclonal antibody?
This product is a recombinant monoclonal antibody, which offers several advantages including:

  • - High batch-to-batch consistency and reproducibility
  • - Improved sensitivity and specificity
  • - Long-term security of supply
  • - Animal-free batch production

For more information, read more on recombinant antibodies.

性能和储存信息

形式
Liquid
纯化工艺
Affinity purification Protein A
存储溶液
pH: 7.2 - 7.4 Preservative: 0.01% Sodium azide Constituents: PBS, 40% Glycerol (glycerin, glycerine), 0.05% BSA
运输条件
Blue Ice
推荐的短期储存时间
1-2 weeks
推荐的短期储存条件
+4°C
推荐的长期储存条件
-20°C
分装信息
Upon delivery aliquot
储存信息
Avoid freeze / thaw cycle

产品实验方案

For this product, it's our understanding that no specific protocols are required. You can visit:

文献 (47)

Recent publications for all applications. Explore the full list and refine your search

eLife 13: PubMed40193195

2025

N6-methyladenosine in DNA promotes genome stability.

Applications

Unspecified application

Species

Unspecified reactive species

Brooke A Conti,Leo Novikov,Deyan Tong,Qing Xiang,Savon Vigil,Thomas J McLellan,Chuong Nguyen,Nancy De La Cruz,Reshma T Veettil,Prashant Pradhan,Parag Sahasrabudhe,Jason D Arroyo,Lei Shang,Benjamin R Sabari,David J Shields,Mariano Oppikofer

RNA biology 22:1-14 PubMed40065603

2025

Prp16 enables efficient splicing of introns with diverse exonic consensus elements in the short-intron rich transcriptome.

Applications

Unspecified application

Species

Unspecified reactive species

Manendra Singh Negi,Vishnu Priya Krishnan,Niharika Saraf,Usha Vijayraghavan

Communications biology 8:105 PubMed39838082

2025

Dysfunctional BCAA degradation triggers neuronal damage through disrupted AMPK-mitochondrial axis due to enhanced PP2Ac interaction.

Applications

Unspecified application

Species

Unspecified reactive species

Shih-Cheng Wu,Yan-Jhen Chen,Shih-Han Su,Pai-Hsiang Fang,Rei-Wen Liu,Hui-Ying Tsai,Yen-Jui Chang,Hsing-Han Li,Jian-Chiuan Li,Chun-Hong Chen

Scientific reports 15:1314 PubMed39779788

2025

Hippocampal dendritic spines store-operated calcium entry and endoplasmic reticulum content is dynamic microtubule dependent.

Applications

Unspecified application

Species

Unspecified reactive species

Anastasiya Rakovskaya,Ekaterina Volkova,Ilya Bezprozvanny,Ekaterina Pchitskaya

International journal of biological sciences 21:758-771 PubMed39781460

2025

FKBP10 Promotes the Muscle Invasion of Bladder Cancer via Lamin A Dysregulation.

Applications

Unspecified application

Species

Unspecified reactive species

Xupeng Zhao,Jichen Wang,Shuo Tian,Lu Tang,Shouqing Cao,Jiali Ye,Tianwei Cai,Yundong Xuan,Xu Zhang,Xiubin Li,Hongzhao Li

Nature cell biology 26:1943-1957 PubMed39482354

2024

Caspase-2 is a condensate-mediated deubiquitinase in protein quality control.

Applications

Unspecified application

Species

Unspecified reactive species

Yingwei Ge,Lijie Zhou,Yesheng Fu,Lijuan He,Yi Chen,Dingchang Li,Yuping Xie,Jun Yang,Haitao Wu,Hongmiao Dai,Zhiqiang Peng,Yong Zhang,Shaoqiong Yi,Bo Wu,Xin Zhang,Yangjun Zhang,Wantao Ying,Chun-Ping Cui,Cui Hua Liu,Lingqiang Zhang

Communications biology 7:1385 PubMed39448788

2024

Versatile gamma-tubulin complexes contribute to the dynamic organization of MTOCs during Drosophila spermatogenesis.

Applications

Unspecified application

Species

Unspecified reactive species

Elham Alzyoud,Dóra Németh,Viktor Vedelek,Titanilla Szögi,Viktória Petra Tóth,Mónika Krecsmarik,Edit Ábrahám,Zoltán Lipinszki,Rita Sinka

Nature 634:1150-1159 PubMed39358505

2024

CRISPR-Cas9 screens reveal regulators of ageing in neural stem cells.

Applications

Unspecified application

Species

Unspecified reactive species

Tyson J Ruetz,Angela N Pogson,Chloe M Kashiwagi,Stephanie D Gagnon,Bhek Morton,Eric D Sun,Jeeyoon Na,Robin W Yeo,Dena S Leeman,David W Morgens,C Kimberly Tsui,Amy Li,Michael C Bassik,Anne Brunet

mBio 15:e0161224 PubMed39258905

2024

Characterization of non-standard viral genomes during arenavirus infections identifies prominent S RNA intergenic region deletions.

Applications

Unspecified application

Species

Unspecified reactive species

Matthew Hackbart,Carolina B López

Journal of experimental & clinical cancer research : CR 43:148 PubMed38773631

2024

A first-in-class inhibitor of HSP110 to potentiate XPO1-targeted therapy in primary mediastinal B-cell lymphoma and classical Hodgkin lymphoma.

Applications

Unspecified application

Species

Unspecified reactive species

Manon Durand,Vincent Cabaud Gibouin,Laurence Duplomb,Leila Salmi,Mélody Caillot,Brigitte Sola,Vincent Camus,Fabrice Jardin,Carmen Garrido,Gaëtan Jego
View all publications

Abcam Product Promise

我们致力于为您的研究提供高质量的试剂,为您科研的每一步提供支持。若我们的产品未能达到预期性能,我们向您提供 Abcam Product Promise 保障。
详情请参阅我们的条款与条件。

Please note: All products are 'FOR RESEARCH USE ONLY. NOT FOR USE IN DIAGNOSTIC OR THERAPEUTIC PROCEDURES'.

For licensing inquiries, please contact partnerships@abcam.com