JavaScript is disabled in your browser. Please enable JavaScript to view this website.
AB190834

Anti-MBL1+MBL2 抗体 [EPR18381-156]

Anti-MBL1+MBL2 antibody [EPR18381-156]

Be the first to review this product! Submit a review

|

(3 Publications)

Rabbit Recombinant Monoclonal Mannan Binding Lectin/MBL and Mannan Binding Lectin A antibody. Suitable for WB, IHC-P and reacts with Mouse, Human samples.

查看别名

COLEC1, MBL, MBL2, Mannose-binding protein C, MBP-C, Collectin-1, MBP1, Mannan-binding protein, Mannose-binding lectin

5 Images
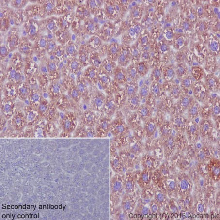
Immunohistochemistry (Formalin/PFA-fixed paraffin-embedded sections) - Anti-MBL1+MBL2 antibody [EPR18381-156] (AB190834)
  • IHC-P

Supplier Data

Immunohistochemistry (Formalin/PFA-fixed paraffin-embedded sections) - Anti-MBL1+MBL2 antibody [EPR18381-156] (AB190834)

Immunohistochemical analysis of paraffin-embedded human liver tissue labeling Mannan Binding Lectin/MBL with ab190834 at 1/800 dilution, followed by Goat Anti-Rabbit IgG H&L (HRP) (ab97051) at 1/500 dilution. Cytoplasmic staining on human liver is observed. Counter stained with hematoxylin.

Secondary antibody only control : Used PBS instead of primary antibody, secondary antibody is Goat Anti-Rabbit IgG H&L (HRP)(ab97051) at 1/500 dilution.

Perform heat mediated antigen retrieval with Tris/EDTA buffer pH 9.0 before commencing with IHC staining protocol.

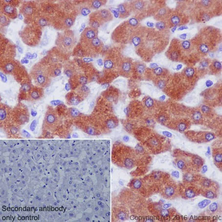
Immunohistochemistry (Formalin/PFA-fixed paraffin-embedded sections) - Anti-MBL1+MBL2 antibody [EPR18381-156] (AB190834)
  • IHC-P

Supplier Data

Immunohistochemistry (Formalin/PFA-fixed paraffin-embedded sections) - Anti-MBL1+MBL2 antibody [EPR18381-156] (AB190834)

Immunohistochemical analysis of paraffin-embedded mouse liver tissue labeling Mannan Binding Lectin/MBL with ab190834 at 1/800 dilution, followed by Goat Anti-Rabbit IgG H&L (HRP) (ab97051) at 1/500 dilution. Cytoplasmic staining on mouse liver is observed. Counter stained with hematoxylin.

Secondary antibody only control : Used PBS instead of primary antibody, secondary antibody is Goat Anti-Rabbit IgG H&L (HRP)(ab97051) at 1/500 dilution.

Perform heat mediated antigen retrieval with Tris/EDTA buffer pH 9.0 before commencing with IHC staining protocol.

Western blot - Anti-MBL1+MBL2 antibody [EPR18381-156] (AB190834)
  • WB

Lab

Western blot - Anti-MBL1+MBL2 antibody [EPR18381-156] (AB190834)

All lanes:

Western blot - Anti-MBL1+MBL2 antibody [EPR18381-156] (ab190834) at 1/2000 dilution

Lane 1:

293T (Human embryonic kidney epithelial cell) transfected with an empty vector (vector control), containing a HA tag, whole cell lysate at 20 µg

Lane 2:

293T transfected with MBL2 expression vector containing a HA tag, whole cell lysate at 20 µg

Lane 3:

293T transfected with MBL1 expression vector containing a HA tag, whole cell lysate at 20 µg

Secondary

All lanes:

Western blot - Goat Anti-Rabbit IgG H&L (HRP) (<a href='/products/secondary-antibodies/goat-rabbit-igg-h-l-hrp-ab97051'>ab97051</a>) at 1/20000 dilution

Observed band size: 20-40 kDa

false

Exposure time: 1s

Western blot - Anti-MBL1+MBL2 antibody [EPR18381-156] (AB190834)
  • WB

Supplier Data

Western blot - Anti-MBL1+MBL2 antibody [EPR18381-156] (AB190834)

Blocking and dilution buffer : 5% NFDM/TBST.

All lanes:

Western blot - Anti-MBL1+MBL2 antibody [EPR18381-156] (ab190834) at 1/1000 dilution

All lanes:

Mouse Mannan Binding Lectin/MBL (aa19-244) recombinant protein at 0.005 µg

Secondary

All lanes:

Western blot - Goat Anti-Rabbit IgG H&L (HRP) (<a href='/products/secondary-antibodies/goat-rabbit-igg-h-l-hrp-ab97051'>ab97051</a>) at 1/20000 dilution

Predicted band size: 26 kDa

Observed band size: 26 kDa

true

Exposure time: 5s

Western blot - Anti-MBL1+MBL2 antibody [EPR18381-156] (AB190834)
  • WB

Supplier Data

Western blot - Anti-MBL1+MBL2 antibody [EPR18381-156] (AB190834)

Exposure time : Lane 1 : 3 seconds; Lane 2 : 3 minutes; Lane 3 1 second.

Blocking and dilution buffer : 5% NFDM/TBST.

All lanes:

Western blot - Anti-MBL1+MBL2 antibody [EPR18381-156] (ab190834) at 1/1000 dilution

Lane 1:

Mouse liver lysate at 10 µg

Lane 2:

Mouse kidney lysate at 10 µg

Lane 3:

Mouse serum at 10 µg

Secondary

All lanes:

Western blot - Goat Anti-Rabbit IgG H&L (HRP) (<a href='/products/secondary-antibodies/goat-rabbit-igg-h-l-hrp-ab97051'>ab97051</a>) at 1/100000 dilution

Predicted band size: 26 kDa

Observed band size: 26 kDa

true

不同偶联物与剂型 (2)

  • Carrier free

    Anti-MBL1+MBL2 antibody [EPR18381-156] - BSA and Azide free (Capture)

  • Carrier free

    Anti-MBL1+MBL2 antibody [EPR18381-156] - BSA and Azide free

关键信息

宿主种属

Rabbit

克隆

Monoclonal

克隆号

EPR18381-156

亚型

IgG

不含载体蛋白

No

反应种属

Mouse, Human

应用

WB, IHC-P

applications

免疫原

The exact immunogen used to generate this antibody is proprietary information.

反应性数据

{ "title": "Reactivity Data", "filters": { "stats": ["", "Species", "Dilution Info", "Notes"], "tabs": { "all-applications": {"fullname" : "All Applications", "shortname": "All Applications"}, "WB" : {"fullname" : "Western blot", "shortname":"WB"}, "IHCP" : {"fullname" : "Immunohistochemistry (Formalin/PFA-fixed paraffin-embedded sections)", "shortname":"IHC-P"} }, "product-promise": { "all": "all", "testedAndGuaranteed": "tested", "guaranteed": "expected", "predicted": "predicted", "notRecommended": "not-recommended" } }, "values": { "Human": { "WB-species-checked": "guaranteed", "WB-species-dilution-info": "", "WB-species-notes": "", "IHCP-species-checked": "testedAndGuaranteed", "IHCP-species-dilution-info": "1/800", "IHCP-species-notes": "<p></p> Perform heat-mediated antigen retrieval with Tris/EDTA buffer pH 9.0 before commencing with IHC staining protocol." }, "Mouse": { "WB-species-checked": "testedAndGuaranteed", "WB-species-dilution-info": "1/1000", "WB-species-notes": "<p>This antibody is not suitable for human species in WB application due to non-specific staining and high background in human cell and tissue lysates.</p>", "IHCP-species-checked": "testedAndGuaranteed", "IHCP-species-dilution-info": "1/800", "IHCP-species-notes": "<p></p> Perform heat-mediated antigen retrieval with Tris/EDTA buffer pH 9.0 before commencing with IHC staining protocol." } } }

产品详情

Patented technology
Our RabMAb® technology is a patented hybridoma-based technology for making rabbit monoclonal antibodies. For details on our patents, please refer to RabMAb® patents.

What are the advantages of a recombinant monoclonal antibody?
This product is a recombinant monoclonal antibody, which offers several advantages including:

  • - High batch-to-batch consistency and reproducibility
  • - Improved sensitivity and specificity
  • - Long-term security of supply
  • - Animal-free batch production

For more information, read more on recombinant antibodies.

性能和储存信息

形式
Liquid
纯化工艺
Affinity purification Protein A
存储溶液
pH: 7.2 - 7.4 Preservative: 0.01% Sodium azide Constituents: PBS, 40% Glycerol (glycerin, glycerine), 0.05% BSA
运输条件
Blue Ice
推荐的短期储存时间
1-2 weeks
推荐的短期储存条件
+4°C
推荐的长期储存条件
-20°C
分装信息
Upon delivery aliquot
储存信息
Avoid freeze / thaw cycle

补充信息

This supplementary information is collated from multiple sources and compiled automatically.

Mannan Binding Lectin often referred to as MBL is an important player in the innate immune system. It is known alternatively as mannose-binding lectin or mannan-binding protein. The mass of MBL is approximately 32 to 34 kilodaltons and it is primarily produced in the liver. MBL circulates in the bloodstream where it can recognize patterns on the surface of pathogens such as bacteria and viruses through its lectin-binding domain. This recognition leads to the activation of other components that play roles in immune response.
Biological function summary

Mannan Binding Lectin serves a significant role in immune defense by binding to carbohydrate structures on pathogens. It is part of a complex known as the lectin pathway of the complement system one of three pathways that activate the complement system to enhance pathogen removal. MBL can activate through a series of proteases leading to opsonization cell lysis and inflammation which are vital responses to infection.

Pathways

Mannan recognition by MBL initiates the lectin pathway an essential component of the complement system. This pathway converges with the classical and alternative pathways to enhance the immune response. MBL works closely with MBL-associated serine proteases (MASPs) particularly MASP-1 and MASP-2 which cleave complement proteins resulting in pathogen opsonization and membrane attack complex formation. These actions are tightly regulated and ensure effective defense against invaders.

Deficiencies or polymorphisms in MBL can lead to increased susceptibility to infections and developmental complications of the immune system. Individuals with low MBL levels may experience recurrent respiratory infections or other bacterial infections due to inadequate complement activation. Moreover variations in the MBL protein have connections with autoimmune diseases such as systemic lupus erythematosus where MBL levels might influence disease severity. In these conditions altered interactions with other immune proteins like C4 and C3 may contribute to pathological responses.

产品实验方案

For this product, it's our understanding that no specific protocols are required. You can visit:

靶点信息

Calcium-dependent lectin, which acts as a pattern recognition receptor that initiates the lectin pathway of the complement system, a cascade of proteins that leads to phagocytosis and breakdown of pathogens and signaling that strengthens the adaptive immune system (PubMed : 14515269, PubMed : 22966085, PubMed : 7634089, PubMed : 9087411). Specifically recognizes and binds the mannose moiety of carbohydrates on the pathogen surface, activating the MASP1 serine protease and initiating the proteolytic cascade of the lectin complement pathway (PubMed : 22966085, PubMed : 2573758, PubMed : 6643429, PubMed : 8082295, PubMed : 9087411). Upon SARS coronavirus-2/SARS-CoV-2 infection, activates the complement lectin pathway which leads to the inhibition SARS-CoV-2 infection and a reduction of the induced inflammatory response (PubMed : 35102342). May bind DNA (PubMed : 15145932).
See full target information MBL2

文献 (3)

Recent publications for all applications. Explore the full list and refine your search

Molecular medicine reports 32: PubMed40999952

2025

HSPD1 regulates angiotensin II‑induced atrial fibrillation via the PPAR signaling pathway.

Applications

Unspecified application

Species

Unspecified reactive species

Yimeng Zhou,Lianzhi Zhang,Shunping Zhou,Wenjia Zhang,Qunlin Gong,Nan Xu,Jiahong Wang,Zhong Zhang,Nannan Chen

Frontiers in immunology 15:1368322 PubMed38558821

2024

Heterozygous mutations in factor H aggravate pathological damage in a stable IgA deposition model induced by cell wall extract.

Applications

Unspecified application

Species

Unspecified reactive species

Jingyi Li,Yaping Dong,Feifei Chen,Hongyu Yang,Pei Chen,Hongyu Li,Sufang Shi,Xujie Zhou,Li Zhu,Yuemiao Zhang,Lijun Liu,Xinfang Xie,Feng Yu,Jing Jin,Jicheng Lv,Hong Zhang

Nature communications 14:473 PubMed36709213

2023

The classical pathway triggers pathogenic complement activation in membranous nephropathy.

Applications

Unspecified application

Species

Unspecified reactive species

Larissa Seifert,Gunther Zahner,Catherine Meyer-Schwesinger,Naemi Hickstein,Silke Dehde,Sonia Wulf,Sarah M S Köllner,Renke Lucas,Dominik Kylies,Sarah Froembling,Stephanie Zielinski,Oliver Kretz,Anna Borodovsky,Sergey Biniaminov,Yanyan Wang,Hong Cheng,Friedrich Koch-Nolte,Peter F Zipfel,Helmut Hopfer,Victor G Puelles,Ulf Panzer,Tobias B Huber,Thorsten Wiech,Nicola M Tomas
View all publications

Abcam Product Promise

我们致力于为您的研究提供高质量的试剂,为您科研的每一步提供支持。若我们的产品未能达到预期性能,我们向您提供 Abcam Product Promise 保障。
详情请参阅我们的条款与条件。

Please note: All products are 'FOR RESEARCH USE ONLY. NOT FOR USE IN DIAGNOSTIC OR THERAPEUTIC PROCEDURES'.

For licensing inquiries, please contact partnerships@abcam.com