JavaScript is disabled in your browser. Please enable JavaScript to view this website.
AB186750

重组Anti-MBIP抗体[EPR13951]

Anti-MBIP antibody [EPR13951]

Be the first to review this product! Submit a review

|

(2 Publications)

Rabbit Recombinant Monoclonal MBIP antibody. Suitable for WB, ICC/IF, Flow Cyt (Intra), IHC-P and reacts with Human samples. Cited in 2 publications.

查看别名

BM-015, MBIP, MAP3K12-binding inhibitory protein 1, MAPK upstream kinase-binding inhibitory protein, MUK-binding inhibitory protein

6 Images
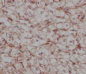
Immunohistochemistry (Formalin/PFA-fixed paraffin-embedded sections) - Anti-MBIP antibody [EPR13951] (AB186750)
  • IHC-P

Supplier Data

Immunohistochemistry (Formalin/PFA-fixed paraffin-embedded sections) - Anti-MBIP antibody [EPR13951] (AB186750)

Immunohistochemical analysis of paraffin-embedded Human clear cell carcinoma of kidney tissue labeling MBIP with ab186750 at 1/250 dilution. Secondary ab : ready to use HRP Polymer for Rabbit IgG. Counter stain : Hematoxylin.

Perform heat mediated antigen retrieval with EDTA buffer pH 9 before commencing with IHC staining protocol.

Immunocytochemistry/ Immunofluorescence - Anti-MBIP antibody [EPR13951] (AB186750)
  • ICC/IF

Supplier Data

Immunocytochemistry/ Immunofluorescence - Anti-MBIP antibody [EPR13951] (AB186750)

Immunofluorescence analysis of HeLa cells labeling MBIP with ab186750 at 1/500 dilution. Secondary antibody : Goat anti rabbit IgG (Alexa Fluor® 488). Fixative : 4% paraformaldehyde. Counter stain : Dapi (blue).

Immunohistochemistry (Formalin/PFA-fixed paraffin-embedded sections) - Anti-MBIP antibody [EPR13951] (AB186750)
  • IHC-P

Supplier Data

Immunohistochemistry (Formalin/PFA-fixed paraffin-embedded sections) - Anti-MBIP antibody [EPR13951] (AB186750)

Immunohistochemical analysis of paraffin-embedded Human cardiac muscle tissue labeling MBIP with ab186750 at 1/250 dilution. Secondary antibody : Ready to use HRP Polymer for Rabbit IgG. Counter stain : Hematoxylin.

Perform heat mediated antigen retrieval with EDTA buffer pH 9 before commencing with IHC staining protocol.

Flow Cytometry (Intracellular) - Anti-MBIP antibody [EPR13951] (AB186750)
  • Flow Cyt (Intra)

Supplier Data

Flow Cytometry (Intracellular) - Anti-MBIP antibody [EPR13951] (AB186750)

Intracellular flow cytometric analysis of HeLa cell labeling MBIP usingab186750 at 1/400 dilution. Secondary antibody : Goat anti rabbit IgG (FITC) at 1/400 dilution. Fixative : 2% paraformaldehyde. Isotype control : Rabbit monoclonal IgG.

Western blot - Anti-MBIP antibody [EPR13951] (AB186750)
  • WB

Supplier Data

Western blot - Anti-MBIP antibody [EPR13951] (AB186750)

Blocking buffer : 5% NFDM/TBST

All lanes:

Western blot - Anti-MBIP antibody [EPR13951] (ab186750) at 1/10000 dilution

Lane 1:

Hela cell lysate at 20 µg

Lane 2:

293 cell lysate at 20 µg

Secondary

All lanes:

Goat Anti-Rabbit IgG, (H+L), Peroxidase conjugated at 1/1000 dilution

Predicted band size: 39 kDa

false

Western blot - Anti-MBIP antibody [EPR13951] (AB186750)
  • WB

Supplier Data

Western blot - Anti-MBIP antibody [EPR13951] (AB186750)

Blocking buffer : 5% NFDM/TBST

All lanes:

Western blot - Anti-MBIP antibody [EPR13951] (ab186750) at 1/10000 dilution

Lane 1:

Human fetal lung tissue lysate at 10 µg

Lane 2:

Human fetal heart tissue lysate at 10 µg

Secondary

All lanes:

Anti-Rabbit IgG (HRP), specific to the non-reduced form of IgG at 1/1000 dilution

Predicted band size: 39 kDa

false

不同偶联物与剂型 (1)

  • Carrier free

    Anti-MBIP antibody [EPR13951] - BSA and Azide free

关键信息

宿主种属

Rabbit

克隆

Monoclonal

克隆号

EPR13951

亚型

IgG

不含载体蛋白

No

反应种属

Human

应用

IHC-P, WB, ICC/IF, Flow Cyt (Intra)

applications

免疫原

The exact immunogen used to generate this antibody is proprietary information.

反应性数据

{ "title": "Reactivity Data", "filters": { "stats": ["", "Species", "Dilution Info", "Notes"], "tabs": { "all-applications": {"fullname" : "All Applications", "shortname": "All Applications"}, "WB" : {"fullname" : "Western blot", "shortname":"WB"}, "ICCIF" : {"fullname" : "Immunocytochemistry/ Immunofluorescence", "shortname":"ICC/IF"}, "FlowCytIntra" : {"fullname" : "Flow Cytometry (Intracellular)", "shortname":"Flow Cyt (Intra)"}, "IHCP" : {"fullname" : "Immunohistochemistry (Formalin/PFA-fixed paraffin-embedded sections)", "shortname":"IHC-P"} }, "product-promise": { "all": "all", "testedAndGuaranteed": "tested", "guaranteed": "expected", "predicted": "predicted", "notRecommended": "not-recommended" } }, "values": { "Human": { "WB-species-checked": "testedAndGuaranteed", "WB-species-dilution-info": "1/1000 - 1/10000", "WB-species-notes": "<p></p>", "ICCIF-species-checked": "testedAndGuaranteed", "ICCIF-species-dilution-info": "1/500", "ICCIF-species-notes": "<p></p>", "FlowCytIntra-species-checked": "testedAndGuaranteed", "FlowCytIntra-species-dilution-info": "1/400", "FlowCytIntra-species-notes": "<p><a href='/products/primary-antibodies/rabbit-igg-monoclonal-epr25a-isotype-control-ab172730'>ab172730</a> - Rabbit monoclonal IgG, is suitable for use as an isotype control with this antibody.</p>", "IHCP-species-checked": "testedAndGuaranteed", "IHCP-species-dilution-info": "1/100 - 1/250", "IHCP-species-notes": "<p></p>" }, "Mouse": { "WB-species-checked": "predicted", "WB-species-dilution-info": "", "WB-species-notes": "", "ICCIF-species-checked": "predicted", "ICCIF-species-dilution-info": "", "ICCIF-species-notes": "", "FlowCytIntra-species-checked": "predicted", "FlowCytIntra-species-dilution-info": "", "FlowCytIntra-species-notes": "", "IHCP-species-checked": "predicted", "IHCP-species-dilution-info": "", "IHCP-species-notes": "" }, "Rat": { "WB-species-checked": "predicted", "WB-species-dilution-info": "", "WB-species-notes": "", "ICCIF-species-checked": "predicted", "ICCIF-species-dilution-info": "", "ICCIF-species-notes": "", "FlowCytIntra-species-checked": "predicted", "FlowCytIntra-species-dilution-info": "", "FlowCytIntra-species-notes": "", "IHCP-species-checked": "predicted", "IHCP-species-dilution-info": "", "IHCP-species-notes": "" } } }

产品详情

Patented technology
Our RabMAb® technology is a patented hybridoma-based technology for making rabbit monoclonal antibodies. For details on our patents, please refer to RabMAb® patents.

What are the advantages of a recombinant monoclonal antibody?
This product is a recombinant monoclonal antibody, which offers several advantages including:

  • - High batch-to-batch consistency and reproducibility
  • - Improved sensitivity and specificity
  • - Long-term security of supply
  • - Animal-free batch production

For more information, read more on recombinant antibodies.

性能和储存信息

形式
Liquid
纯化工艺
Affinity purification Protein A
存储溶液
pH: 7.2 - 7.4 Preservative: 0.01% Sodium azide Constituents: PBS, 40% Glycerol (glycerin, glycerine), 0.05% BSA
运输条件
Blue Ice
推荐的短期储存时间
1-2 weeks
推荐的短期储存条件
+4°C
推荐的长期储存条件
-20°C
分装信息
Upon delivery aliquot
储存信息
Avoid freeze / thaw cycle

补充信息

This supplementary information is collated from multiple sources and compiled automatically.

MBIP also known as Mps-One Binder kinase activator-like protein 1 acts mechanically by being a component of certain cellular complexes involved in intracellular signaling. It has a molecular mass of approximately 25 kDa. Expression of MBIP occurs in many tissues but it is found at higher levels in brain and kidney tissues suggesting its significant role in these areas.
Biological function summary

MBIP regulates signaling pathways that control cell growth development and differentiation. As a part of the c-Jun N-terminal kinase (JNK) signalosome complex MBIP influences pathways that mediate responses to stress and inflammatory stimuli. The presence of MBIP in these complexes emphasizes its role in modulating the cellular response to environmental changes shedding light on how it contributes to maintaining cellular homeostasis.

Pathways

MBIP functions within the JNK signaling and the domino effect on MAP kinase pathways. In the JNK pathway MBIP interacts closely with proteins such as MKK4 and JNKs to ensure proper signal transduction and cellular outcomes. Its activity helps mediate cellular responses modulating processes like apoptosis and cell survival indicating its importance in maintaining cellular balance and health.

MBIP shows relevance to conditions like cancer and neurodegenerative diseases. Aberrant MBIP expression or activity can disrupt the JNK pathway leading to uncontrolled cell proliferation in cancer or altered neuronal functioning in conditions like Alzheimer's disease. Connections between MBIP and other proteins such as JNKs and MKK4 highlight its influence on pathological developments in these disorders providing a critical link between cellular signaling and disease progression.

产品实验方案

For this product, it's our understanding that no specific protocols are required. You can visit:

靶点信息

Inhibits the MAP3K12 activity to induce the activation of the JNK/SAPK pathway. Component of the ATAC complex, a complex with histone acetyltransferase activity on histones H3 and H4.
See full target information MBIP

文献 (2)

Recent publications for all applications. Explore the full list and refine your search

Cell 180:1160-1177.e20 PubMed32160526

2020

A Genome-wide ER-phagy Screen Highlights Key Roles of Mitochondrial Metabolism and ER-Resident UFMylation.

Applications

Unspecified application

Species

Unspecified reactive species

Jin Rui Liang,Emily Lingeman,Thao Luong,Saba Ahmed,Matthias Muhar,Truc Nguyen,James A Olzmann,Jacob E Corn

Journal of cellular biochemistry 120:18714-18723 PubMed31218757

2019

Enolase1 overexpression regulates the growth of gastric cancer cells and predicts poor survival.

Applications

Unspecified application

Species

Unspecified reactive species

Hui Qiao,Yufeng Wang,Bingdong Zhu,Lei Jiang,Wenzhen Yuan,Yongning Zhou,Quanlin Guan
View all publications

Abcam Product Promise

我们致力于为您的研究提供高质量的试剂,为您科研的每一步提供支持。若我们的产品未能达到预期性能,我们向您提供 Abcam Product Promise 保障。
详情请参阅我们的条款与条件。

Please note: All products are 'FOR RESEARCH USE ONLY. NOT FOR USE IN DIAGNOSTIC OR THERAPEUTIC PROCEDURES'.

For licensing inquiries, please contact partnerships@abcam.com