JavaScript is disabled in your browser. Please enable JavaScript to view this website.
AB224809

Anti-MBD4/MED1抗体

Anti-MBD4/MED1 antibody

Be the first to review this product! Submit a review

|

(5 Publications)

Rabbit Polyclonal MBD4/MED1 antibody. Suitable for IHC-P, IP, WB and reacts with Human samples. Cited in 5 publications. Immunogen corresponding to Synthetic Peptide within Human MBD4 aa 1-50.

查看别名

MED1, MBD4, Methyl-CpG-binding domain protein 4, Methyl-CpG-binding endonuclease 1, Methyl-CpG-binding protein MBD4, Mismatch-specific DNA N-glycosylase

3 Images
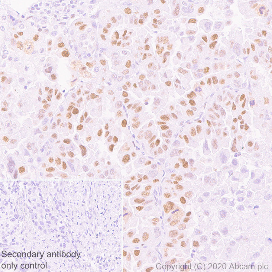
Immunohistochemistry (Formalin/PFA-fixed paraffin-embedded sections) - Anti-MBD4/MED1 antibody (AB224809)
  • IHC-P

Supplier Data

Immunohistochemistry (Formalin/PFA-fixed paraffin-embedded sections) - Anti-MBD4/MED1 antibody (AB224809)

Formalin-fixed, paraffin-embedded human breast carcinoma tissue stained for MBD4/MED1 using ab224809 at 1/200 dilution in immunohistochemical analysis. Detection : DAB staining.

Immunoprecipitation - Anti-MBD4/MED1 antibody (AB224809)
  • IP

Supplier Data

Immunoprecipitation - Anti-MBD4/MED1 antibody (AB224809)

MBD4/MED1 was immunoprecipitated from HeLa (human epithelial cell line from cervix adenocarcinoma) whole cell lysate (1 mg for IP, 20% of IP loaded) with ab224809 at 3 μg/mg lysate. Western blot was performed from the immunoprecipitate using ab224809 at 0.1 μg/ml.

Lane 1 : ab224809 IP in HeLa whole cell lysate.

Lane 2 : Control IgG IP in HeLa whole cell lysate.

Detection : Chemiluminescence with exposure time of 10 seconds.

All lanes:

Immunoprecipitation - Anti-MBD4/MED1 antibody (ab224809)

Predicted band size: 66 kDa

false

Western blot - Anti-MBD4/MED1 antibody (AB224809)
  • WB

Supplier Data

Western blot - Anti-MBD4/MED1 antibody (AB224809)

All lanes:

Western blot - Anti-MBD4/MED1 antibody (ab224809) at 0.04 µg/mL

Lane 1:

HeLa (human epithelial cell line from cervix adenocarcinoma) whole cell lysate at 50 µg

Lane 2:

HeLa (human epithelial cell line from cervix adenocarcinoma) whole cell lysate at 15 µg

Lane 3:

HeLa (human epithelial cell line from cervix adenocarcinoma) whole cell lysate at 5 µg

Predicted band size: 66 kDa

true

Exposure time: 3min

关键信息

宿主种属

Rabbit

克隆

Polyclonal

亚型

IgG

不含载体蛋白

No

反应种属

Human

应用

WB, IP, IHC-P

applications

免疫原

Synthetic Peptide within Human MBD4 aa 1-50. The exact immunogen used to generate this antibody is proprietary information.

O95243

反应性数据

{ "title": "Reactivity Data", "filters": { "stats": ["", "Species", "Dilution Info", "Notes"], "tabs": { "all-applications": {"fullname" : "All Applications", "shortname": "All Applications"}, "IHCP" : {"fullname" : "Immunohistochemistry (Formalin/PFA-fixed paraffin-embedded sections)", "shortname":"IHC-P"}, "IP" : {"fullname" : "Immunoprecipitation", "shortname":"IP"}, "WB" : {"fullname" : "Western blot", "shortname":"WB"} }, "product-promise": { "all": "all", "testedAndGuaranteed": "tested", "guaranteed": "expected", "predicted": "predicted", "notRecommended": "not-recommended" } }, "values": { "Human": { "IHCP-species-checked": "testedAndGuaranteed", "IHCP-species-dilution-info": "1/100 - 1/500", "IHCP-species-notes": "<p></p> Perform heat-mediated antigen retrieval with citrate buffer pH 6 before commencing with IHC staining protocol.", "IP-species-checked": "testedAndGuaranteed", "IP-species-dilution-info": "2-5 µg/mg of lysate", "IP-species-notes": "<p></p>", "WB-species-checked": "testedAndGuaranteed", "WB-species-dilution-info": "1/2000 - 1/10000", "WB-species-notes": "<p></p>" } } }

性能和储存信息

形式
Liquid
纯化工艺
Affinity purification Immunogen
纯化说明
ab224809 was affinity purified using an epitope specific to MBD4/MED1 immobilized on solid support.
存储溶液
pH: 6.8 - 7.4 Preservative: 0.09% Sodium azide Constituents: Tris buffered saline, 0.1% BSA
运输条件
Blue Ice
推荐的短期储存时间
1-2 weeks
推荐的短期储存条件
+4°C
推荐的长期储存条件
+4°C
分装信息
Upon delivery aliquot
储存信息
Avoid freeze / thaw cycle

补充信息

This supplementary information is collated from multiple sources and compiled automatically.

The MBD4 protein also known as MED1 is essential in DNA repair and gene regulation. MBD4 contains a methyl-CpG-binding domain allowing it to bind specifically to methylated DNA. The protein has a molecular weight of about 63 kDa. It is expressed in various tissues with higher levels in bone marrow and lymphoid tissues. MBD4 can recognize and excise mismatched T/G base pairs at methylated CpG sites which is important for maintaining genomic stability.
Biological function summary

MBD4 participates in the protection of genome integrity. It is involved in the DNA demethylation process ensuring proper gene expression patterns. MBD4 functions as part of complex DNA repair machinery. By working with other repair proteins MBD4 facilitates the correction of errors arising during DNA replication and demethylation reducing the risk of mutation accumulation and genomic instability.

Pathways

MBD4 plays a significant role in the base excision repair (BER) pathway. This pathway is key for correcting DNA damage caused by deamination and other forms of DNA alteration. In the BER pathway MBD4 cooperates with proteins like DNA glycosylases to identify and remove incorrect bases from the DNA strand. MBD4 also interacts with transcriptional regulation pathways influencing how genes are expressed in response to changes in the epigenetic landscape.

The malfunction of MBD4 links to colorectal cancer and other forms of cancer. Deficiency or mutations in the MBD4 gene increase the likelihood of mutation accumulation leading to tumorigenesis. MBD4's interactions with other proteins involved in DNA repair such as MLH1 highlight its role in maintaining DNA integrity. Genetic instability from impaired MBD4 function could trigger or exacerbate progression of cancerous conditions.

产品实验方案

For this product, it's our understanding that no specific protocols are required. You can visit:

靶点信息

Mismatch-specific DNA N-glycosylase involved in DNA repair. Has thymine glycosylase activity and is specific for G : T mismatches within methylated and unmethylated CpG sites. Can also remove uracil or 5-fluorouracil in G : U mismatches. Has no lyase activity. Was first identified as methyl-CpG-binding protein.
See full target information MBD4

文献 (5)

Recent publications for all applications. Explore the full list and refine your search

Nature communications 15:9864 PubMed39543136

2024

Base-excision repair pathway shapes 5-methylcytosine deamination signatures in pan-cancer genomes.

Applications

Unspecified application

Species

Unspecified reactive species

André Bortolini Silveira,Alexandre Houy,Olivier Ganier,Begüm Özemek,Sandra Vanhuele,Anne Vincent-Salomon,Nathalie Cassoux,Pascale Mariani,Gaelle Pierron,Serge Leyvraz,Damian Rieke,Alberto Picca,Franck Bielle,Marie-Laure Yaspo,Manuel Rodrigues,Marc-Henri Stern

Nephrology (Carlton, Vic.) 29:555-564 PubMed39011853

2024

Rhodojaponin VI ameliorates podocyte injury related with MDM2/Notch1 pathway in rat experimental membranous nephropathy.

Applications

Unspecified application

Species

Unspecified reactive species

Anni Song,Ruiwei Yan,Yue Qiu,Xingjie Yin,Jing Xiong,Guangmin Yao,Chun Zhang

Molecular cell 84:2036-2052.e7 PubMed38688279

2024

Unprocessed genomic uracil as a source of DNA replication stress in cancer cells.

Applications

Unspecified application

Species

Unspecified reactive species

Sneha Saxena,Christopher S Nabel,Turner W Seay,Parasvi S Patel,Ajinkya S Kawale,Caroline R Crosby,Helene Tigro,Eugene Oh,Matthew G Vander Heiden,Aaron N Hata,Zucai Suo,Lee Zou

NPJ precision oncology 6:81 PubMed36323843

2022

Cytidine analogs are synthetic lethal with base excision repair default due to MBD4 deficiency.

Applications

Unspecified application

Species

Unspecified reactive species

Thomas Chabot,Fariba Nemati,Aurélie Herbette,Alexandre Demeyer,Stéphane Dayot,Olivier Ganier,Samar Alsafadi,Sophie Gardrat,Pascale Mariani,Marie Luporsi,Maxime Corbé,Vincent Servois,Nathalie Cassoux,Didier Decaudin,Sergio Roman Roman,Elaine Del Nery,Sophie Piperno-Neumann,Marc-Henri Stern,Manuel Rodrigues

Nature 606:930-936 PubMed35477155

2022

Breakage of cytoplasmic chromosomes by pathological DNA base excision repair.

Applications

Unspecified application

Species

Unspecified reactive species

Shangming Tang,Ema Stokasimov,Yuxiang Cui,David Pellman
View all publications

Abcam Product Promise

我们致力于为您的研究提供高质量的试剂,为您科研的每一步提供支持。若我们的产品未能达到预期性能,我们向您提供 Abcam Product Promise 保障。
详情请参阅我们的条款与条件。

Please note: All products are 'FOR RESEARCH USE ONLY. NOT FOR USE IN DIAGNOSTIC OR THERAPEUTIC PROCEDURES'.

For licensing inquiries, please contact partnerships@abcam.com