JavaScript is disabled in your browser. Please enable JavaScript to view this website.
AB216481

Anti-MASPIN抗体

Anti-MASPIN antibody

Be the first to review this product! Submit a review

|

(0 Publication)

Rabbit Polyclonal MASPIN antibody. Suitable for IHC-P and reacts with Rat, Human samples. Immunogen corresponding to Synthetic Peptide within Mouse Serpinb5 aa 300 to C-terminus conjugated to Keyhole Limpet Haemocyanin.

查看别名

PI5, SERPINB5, Serpin B5, Maspin, Peptidase inhibitor 5, PI-5

2 Images
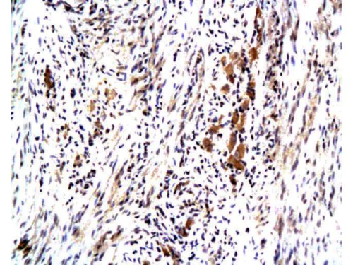
Immunohistochemistry (Formalin/PFA-fixed paraffin-embedded sections) - Anti-MASPIN antibody (AB216481)
  • IHC-P

Supplier Data

Immunohistochemistry (Formalin/PFA-fixed paraffin-embedded sections) - Anti-MASPIN antibody (AB216481)

Immunohistochemical analysis of formalin-fixed paraffin-embedded Human colon carcinoma tissue, labeling MASPIN using ab216481 at a 1/200 dilution, followed by conjugation to the secondary antibody and DAB staining.

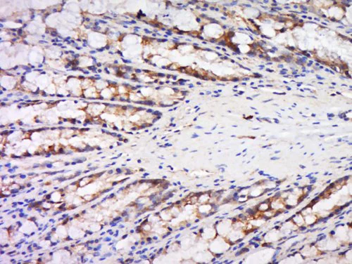
Immunohistochemistry (Formalin/PFA-fixed paraffin-embedded sections) - Anti-MASPIN antibody (AB216481)
  • IHC-P

Supplier Data

Immunohistochemistry (Formalin/PFA-fixed paraffin-embedded sections) - Anti-MASPIN antibody (AB216481)

Immunohistochemical analysis of formalin-fixed paraffin-embedded rat rectum tissue, labeling MASPIN using ab216481 at a 1/500 dilution, followed by conjugation to the secondary antibody and DAB staining.

关键信息

宿主种属

Rabbit

克隆

Polyclonal

亚型

IgG

不含载体蛋白

No

反应种属

Rat, Human

应用

IHC-P

applications

免疫原

Synthetic Peptide within Mouse Serpinb5 aa 300 to C-terminus conjugated to Keyhole Limpet Haemocyanin. The exact immunogen used to generate this antibody is proprietary information.

P70124

反应性数据

{ "title": "Reactivity Data", "filters": { "stats": ["", "Species", "Dilution Info", "Notes"], "tabs": { "all-applications": {"fullname" : "All Applications", "shortname": "All Applications"}, "IHCP" : {"fullname" : "Immunohistochemistry (Formalin/PFA-fixed paraffin-embedded sections)", "shortname":"IHC-P"} }, "product-promise": { "all": "all", "testedAndGuaranteed": "tested", "guaranteed": "expected", "predicted": "predicted", "notRecommended": "not-recommended" } }, "values": { "Human": { "IHCP-species-checked": "testedAndGuaranteed", "IHCP-species-dilution-info": "1/100.00000 - 1/500.00000", "IHCP-species-notes": "<p></p>" }, "Mouse": { "IHCP-species-checked": "predicted", "IHCP-species-dilution-info": "", "IHCP-species-notes": "" }, "Rat": { "IHCP-species-checked": "testedAndGuaranteed", "IHCP-species-dilution-info": "1/100.00000 - 1/500.00000", "IHCP-species-notes": "<p></p>" } } }

您可能对以下产品感兴趣:

AB218269

Human MASPIN ELISA Kit

0

0 Reviews

查看产品
为什么推荐这个?

我们推荐这个产品,因为它经常被用于相同的实验或相关的研究。

我们建议您务必查阅产品说明书,以确认其是否符合您的实验需求;若有疑问,也可联系我们的技术团队获取协助。

性能和储存信息

形式
Liquid
纯化工艺
Affinity purification Protein A
存储溶液
pH: 7.4 Preservative: 0.02% Proclin 300 Constituents: 50% Glycerol (glycerin, glycerine), 48.98% TBS, 1X, 1% BSA
运输条件
Blue Ice
推荐的短期储存时间
1-2 weeks
推荐的短期储存条件
+4°C
推荐的长期储存条件
-20°C
分装信息
Upon delivery aliquot
储存信息
Avoid freeze / thaw cycle

补充信息

This supplementary information is collated from multiple sources and compiled automatically.

MASPIN also known as SERPINB5 is a non-inhibitory serine protease inhibitor with a mass of approximately 42 kDa. It functions mechanically to regulate cell adhesion migration apoptosis and angiogenesis. MASPIN localizes mainly in the cytoplasm and nucleus and expresses predominantly in epithelial cells including those in the mammary gland prostate and keratinocytes in the skin. It acts as a tumor suppressor and researchers often use immunohistochemistry (IHC) to study its expression patterns in various tissues.
Biological function summary

MASPIN influences apoptosis and cell motility playing a critical role in tumor suppression. It does not form part of a complex but interacts directly with extracellular matrix components. MASPIN can inhibit angiogenesis by reducing the proliferation and migration of endothelial cells. Scientists have noted its role in maintaining normal cell architecture and inhibiting tumor cell invasion.

Pathways

Researchers place MASPIN in important signaling networks impacting cancer progression and metastasis. It participates in the PI3K/AKT pathway thereby influencing cell growth and survival. MASPIN also intersects with TGF-β signaling and related proteins like SMAD which mediate growth arrest and apoptosis. By altering these pathways MASPIN helps modulate responses to cellular stress and inhibit lethal growth in cancer cells.

MASPIN often associates with breast and prostate cancers. Its expression inversely correlates with tumor progression suggesting a protective role. MASPIN's interaction with proteins like p53 highlights its contribution to tumor suppression. Abnormal MASPIN presence links to aggressive disease phenotypes making it a potential biomarker for prognostic evaluation in oncology.

产品实验方案

For this product, it's our understanding that no specific protocols are required. You can visit:

靶点信息

Tumor suppressor. It blocks the growth, invasion, and metastatic properties of mammary tumors. As it does not undergo the S (stressed) to R (relaxed) conformational transition characteristic of active serpins, it exhibits no serine protease inhibitory activity.
See full target information SERPINB5

Abcam Product Promise

我们致力于为您的研究提供高质量的试剂,为您科研的每一步提供支持。若我们的产品未能达到预期性能,我们向您提供 Abcam Product Promise 保障。
详情请参阅我们的条款与条件。

关联产品

Select an associated product type
Alternative Product
Primary Antibodies

AB65136

Anti-MASPIN antibody

primary-antibodies

maspin-antibody-ab65136

0

(0 reviews)

Alternative Product
Primary Antibodies

AB182785

Anti-MASPIN antibody

primary-antibodies

maspin-antibody-ab182785

0

(0 reviews)

Please note: All products are 'FOR RESEARCH USE ONLY. NOT FOR USE IN DIAGNOSTIC OR THERAPEUTIC PROCEDURES'.

For licensing inquiries, please contact partnerships@abcam.com