JavaScript is disabled in your browser. Please enable JavaScript to view this website.
AB217695

Anti-MARCKS 抗体

Anti-MARCKS antibody

Be the first to review this product! Submit a review

|

(2 Publications)

Rabbit Polyclonal MARCKS antibody. Suitable for IHC-P and reacts with Rat samples. Cited in 2 publications. Immunogen corresponding to Synthetic Peptide within Human MARCKS aa 1-100 conjugated to Keyhole Limpet Haemocyanin.

查看别名

MACS, PRKCSL, MARCKS, Myristoylated alanine-rich C-kinase substrate, 80K-L protein, PKCSL

1 Images
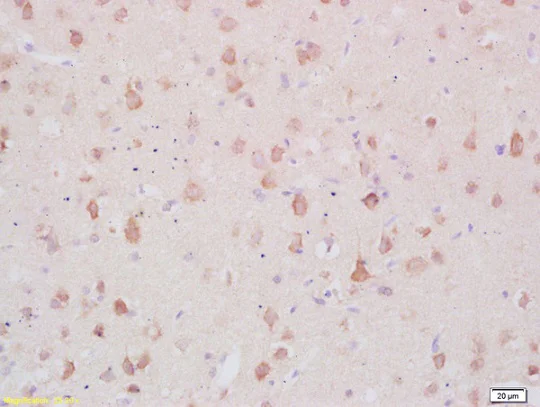
Immunohistochemistry (Formalin/PFA-fixed paraffin-embedded sections) - Anti-MARCKS antibody (AB217695)
  • IHC-P

Supplier Data

Immunohistochemistry (Formalin/PFA-fixed paraffin-embedded sections) - Anti-MARCKS antibody (AB217695)

Immunohistochemical analysis of formalin fixed, paraffin embedded Rat brain tissue labeling MARCKS with ab217695 at 1/200 followed by conjugation to the secondary antibody and DAB staining.

关键信息

宿主种属

Rabbit

克隆

Polyclonal

亚型

IgG

不含载体蛋白

No

反应种属

Rat

应用

IHC-P

applications

免疫原

Synthetic Peptide within Human MARCKS aa 1-100 conjugated to Keyhole Limpet Haemocyanin. The exact immunogen used to generate this antibody is proprietary information.

P29966

反应性数据

{ "title": "Reactivity Data", "filters": { "stats": ["", "Species", "Dilution Info", "Notes"], "tabs": { "all-applications": {"fullname" : "All Applications", "shortname": "All Applications"}, "IHCP" : {"fullname" : "Immunohistochemistry (Formalin/PFA-fixed paraffin-embedded sections)", "shortname":"IHC-P"} }, "product-promise": { "all": "all", "testedAndGuaranteed": "tested", "guaranteed": "expected", "predicted": "predicted", "notRecommended": "not-recommended" } }, "values": { "Human": { "IHCP-species-checked": "predicted", "IHCP-species-dilution-info": "", "IHCP-species-notes": "" }, "Mouse": { "IHCP-species-checked": "predicted", "IHCP-species-dilution-info": "", "IHCP-species-notes": "" }, "Rat": { "IHCP-species-checked": "testedAndGuaranteed", "IHCP-species-dilution-info": "1/100 - 1/500", "IHCP-species-notes": "<p></p>" } } }

性能和储存信息

形式
Liquid
纯化工艺
Affinity purification Protein A
存储溶液
pH: 7.4 Preservative: 0.02% Proclin 300 Constituents: 50% Glycerol (glycerin, glycerine), 48.98% TBS, 1X, 1% BSA
运输条件
Blue Ice
推荐的短期储存时间
1-2 weeks
推荐的短期储存条件
+4°C
推荐的长期储存条件
-20°C
分装信息
Upon delivery aliquot
储存信息
Avoid freeze / thaw cycle

产品实验方案

For this product, it's our understanding that no specific protocols are required. You can visit:

靶点信息

Membrane-associated protein that plays a role in the structural modulation of the actin cytoskeleton, chemotaxis, motility, cell adhesion, phagocytosis, and exocytosis through lipid sequestering and/or protein docking to membranes (PubMed : 23704996, PubMed : 36009319). Thus, exerts an influence on a plethora of physiological processes, such as embryonic development, tissue regeneration, neuronal plasticity, and inflammation. Sequesters phosphatidylinositol 4,5-bisphosphate (PIP2) at lipid rafts in the plasma membrane of quiescent cells, an action reversed by protein kinase C, ultimately inhibiting exocytosis (PubMed : 23704996). During inflammation, promotes the migration and adhesion of inflammatory cells and the secretion of cytokines such as tumor necrosis factor (TNF), particularly in macrophages (PubMed : 37949888). Plays an essential role in bacteria-induced intracellular reactive oxygen species (ROS) formation in the monocytic cell type. Participates in the regulation of neurite initiation and outgrowth by interacting with components of cellular machinery including CDC42 that regulates cell shape and process extension through modulation of the cytoskeleton (By similarity). Plays also a role in axon development by mediating docking and fusion of RAB10-positive vesicles with the plasma membrane (By similarity).
See full target information MARCKS

文献 (2)

Recent publications for all applications. Explore the full list and refine your search

Aging 12:21904-21922 PubMed33147570

2020

LINC00968 can inhibit the progression of lung adenocarcinoma through the miR-21-5p/SMAD7 signal axis.

Applications

Unspecified application

Species

Unspecified reactive species

Yuxing Zhu,Hao Bo,Zhizhao Chen,Jingjing Li,Dong He,Mengqing Xiao,Liang Xiang,Long Jin,Jianda Zhou,Lian Gong,Yanhong Zhou,Ming Zhou,Wei Xiong,Xiaowei Xing,Ruhong Li,Ke Cao

Cell transplantation 29:963689720946020 PubMed32749163

2020

The Combination of and Ligustrazine Protects Against Thrombolysis-Induced Hemorrhagic Transformation Through PKCδ/Marcks Pathway in Cerebral Ischemia Rats.

Applications

Unspecified application

Species

Unspecified reactive species

Ruihuan Pan,Xialin Tang,Huajun Wang,Yan Huang,Kai Huang,Shanshan Ling,Mingchao Zhou,Jun Cai,Hongxia Chen,Yan Huang
View all publications

Abcam Product Promise

我们致力于为您的研究提供高质量的试剂,为您科研的每一步提供支持。若我们的产品未能达到预期性能,我们向您提供 Abcam Product Promise 保障。
详情请参阅我们的条款与条件。

Please note: All products are 'FOR RESEARCH USE ONLY. NOT FOR USE IN DIAGNOSTIC OR THERAPEUTIC PROCEDURES'.

For licensing inquiries, please contact partnerships@abcam.com