JavaScript is disabled in your browser. Please enable JavaScript to view this website.
AB8918

Anti-Mannose Receptor 抗体 [15-2]

Anti-Mannose Receptor antibody [15-2]

4

(11 Reviews)

|

(97 Publications)

Mouse Monoclonal Mannose Receptor antibody. Suitable for IHC-Fr and reacts with Human samples. Cited in 97 publications. Immunogen corresponding to Native Full Length Protein corresponding to Human MRC1.

查看别名

CD206, CLEC13D, CLEC13DL, MRC1L1, MRC1, Macrophage mannose receptor 1, MMR, C-type lectin domain family 13 member D, C-type lectin domain family 13 member D-like, Human mannose receptor, Macrophage mannose receptor 1-like protein 1, hMR

4 Images
Immunohistochemistry (Frozen sections) - Anti-Mannose Receptor antibody [15-2] (AB8918)
  • IHC-Fr

AbReview44958****

Immunohistochemistry (Frozen sections) - Anti-Mannose Receptor antibody [15-2] (AB8918)

ab8918 staining Mannose Receptor in human endometriosis tissue sections by Immunohistochemistry (IHC-Fr - frozen sections). Tissue was fixed with acetone and blocked with 10% serum for 1 hour at 22°C. Samples were incubated with primary antibody (1/10 in PBS + 1% NGS) for 16 hours at 4°C. An undiluted HRP-conjugated goat anti-mouse IgG polyclonal was used as the secondary antibody.

This image is courtesy of an Abreview submitted by Aimée-Lys Rusesabagina

Immunohistochemistry (Frozen sections) - Anti-Mannose Receptor antibody [15-2] (AB8918)
  • IHC-Fr

Supplier Data

Immunohistochemistry (Frozen sections) - Anti-Mannose Receptor antibody [15-2] (AB8918)

Frozen sections of human tonsil. ab8918 was used in a dilution of 1/25 and shows staining of endothelia of lymph vessels.

Immunohistochemistry (Frozen sections) - Anti-Mannose Receptor antibody [15-2] (AB8918)
  • IHC-Fr

AbReview14982****

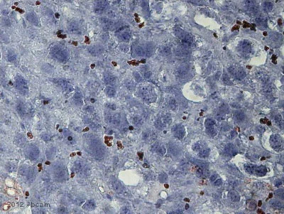
Immunohistochemistry (Frozen sections) - Anti-Mannose Receptor antibody [15-2] (AB8918)

ab8918 staining Mannose Receptor in human mammary gland tissue section by Immunohistochemistry (Frozen sections). Tissue samples were fixed with 70% Ethanol and blocking for 10 minutes at RT was performed. The sample was incubated with primary antibody (1/10) for 1 hour. A HRP-conjugated mouse polyclonal to mouse IgG was used undiluted as secondary antibody.

This image is a courtesy of Pat Bell

Immunohistochemistry (Frozen sections) - Anti-Mannose Receptor antibody [15-2] (AB8918)
  • IHC-Fr

AbReview31720****

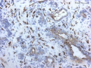
Immunohistochemistry (Frozen sections) - Anti-Mannose Receptor antibody [15-2] (AB8918)

Immunohistochemical analysis of murine uterus tissue sections, staining Mannose Receptor with ab8918.

Tissue was fixed with paraformaldehyde and blocked with 3% BSA for 30 minutes at room temperature. Samples were incubated with primary antibody (1/40 in 1% BSA) for 1.5 hours. An undiluted HRP-conjugated rabbit anti-mouse polyclonal IgG was used as the secondary antibody.

This image is courtesy of an anonymous Abreview

不同偶联物与剂型 (3)

  • 695 PerCP/Cy5.5®

    PerCP/Cy5.5® Anti-Mannose Receptor antibody [15-2]

  • 778 PE/Cy7®

    PE/Cy7® Anti-Mannose Receptor antibody [15-2]

  • 519 FITC

    FITC Anti-Mannose Receptor antibody [15-2]

关键信息

宿主种属

Mouse

克隆

Monoclonal

克隆号

15-2

亚型

IgG1

轻链类型

unknown

不含载体蛋白

No

反应种属

Human

应用

IHC-Fr

applications

免疫原

Native Full Length Protein corresponding to Human MRC1.

P22897

表位

Stains extracellular domain of Mannose Receptor.

反应性数据

{ "title": "Reactivity Data", "filters": { "stats": ["", "Species", "Dilution Info", "Notes"], "tabs": { "all-applications": {"fullname" : "All Applications", "shortname": "All Applications"}, "IHCP" : {"fullname" : "Immunohistochemistry (Formalin/PFA-fixed paraffin-embedded sections)", "shortname":"IHC-P"}, "IHCFr" : {"fullname" : "Immunohistochemistry (Frozen sections)", "shortname":"IHC-Fr"} }, "product-promise": { "all": "all", "testedAndGuaranteed": "tested", "guaranteed": "expected", "predicted": "predicted", "notRecommended": "not-recommended" } }, "values": { "Human": { "IHCP-species-checked": "notRecommended", "IHCP-species-dilution-info": "", "IHCP-species-notes": "<p></p>", "IHCFr-species-checked": "testedAndGuaranteed", "IHCFr-species-dilution-info": "1/50", "IHCFr-species-notes": "<p></p>" } } }

产品详情

The Mannose Receptor (MR), a member of the vertebrate C-type lectin family, is a pattern recognition receptor that is involved in both innate and adaptive immunity. The 180 kDa transmembrane protein consists of 5 domains: an amino-terminal cysteine-rich region, a fibronectin type II repeat, a series of eight tandem lectin-like carbohydrate recognition domains (responsible for the recognition of mannose and fucose), a transmembrane domain, and an intracellular carboxy-terminal tail. The structure is shared by the family of multi lectin mannose receptors: the phospholipase A2-receptor, DEC 205 and the novel C-type lectin receptor (mannose receptor X). The MR recognises a wide range of gram positive and gram negative bacteria, yeasts, parasites and mycobacteria. The MR has also been shown to bind and internalize tissue-type plasminogen activator. MR's are present on monocytes and dendritic cells (DC) and are presumed to play a role in innate and adaptive immunity, the latter via processing by DC. The expression of MR as observed in immunohistology is present on tissue macrophages, dendritic cells, a subpopulation of endothelial cells, Kupffer cells and sperm cells.

性能和储存信息

形式
Liquid
纯化工艺
Affinity purification Protein G
纯化说明
0.2 µm filtered antibody solution
存储溶液
Constituents: PBS, 0.1% BSA
运输条件
Blue Ice
推荐的短期储存条件
+4°C
推荐的长期储存条件
-20°C
分装信息
Upon delivery aliquot
储存信息
Avoid freeze / thaw cycle

补充信息

This supplementary information is collated from multiple sources and compiled automatically.

The Mannose Receptor also known as CD206 or MRC1 is a type of C-type lectin receptor with a molecular weight of 175 kDa. It is expressed on the surface of macrophages and dendritic cells. This receptor binds to complex carbohydrates like mannose and fucose found on pathogen surfaces playing an important role in their recognition. Mannose Receptors act as endocytic receptors aiding in the internalization and degradation of pathogens.
Biological function summary

The Mannose Receptor functions in pathogen recognition and clearance by binding to specific carbohydrates on the pathogen's surface. It is not part of a larger molecular complex but works independently to facilitate phagocytosis. The receptor is essential in immune responses allowing macrophages and dendritic cells to efficiently capture and process antigens for presentation to T cells. This enables the initiation of adaptive immune responses.

Pathways

Researchers know that the Mannose Receptor plays an important role in immune signaling pathways particularly in antigen processing and presentation. It interacts with proteins involved in these pathways including those necessary for the internalization and degradation of bound antigens. Moreover it works alongside scavenger receptors contributing to the regulation of immune and inflammatory responses.

The Mannose Receptor is often linked to pulmonary tuberculosis and certain types of cancer. When macrophages express this receptor it can modulate immune responses against Mycobacterium tuberculosis by aiding in its recognition. In cancer altered expression of CD206 can indicate tumor-associated macrophages which promote tumor growth by suppressing immune responses. These connections highlight the receptor's potential as a diagnostic marker and therapeutic target.

产品实验方案

For this product, it's our understanding that no specific protocols are required. You can visit:

靶点信息

Mediates the endocytosis of glycoproteins by macrophages. Binds both sulfated and non-sulfated polysaccharide chains.. (Microbial infection) Acts as a phagocytic receptor for bacteria, fungi and other pathogens.. (Microbial infection) Acts as a receptor for Dengue virus envelope protein E.. (Microbial infection) Interacts with Hepatitis B virus envelope protein.
See full target information MRC1

文献 (97)

Recent publications for all applications. Explore the full list and refine your search

Acta biochimica et biophysica Sinica : PubMed40734554

2025

NLRP3 inflammasome activity and pyroptosis are involved in CD206 macrophage activation by MPO anti-neutrophil cytoplasmic antibodies.

Applications

Unspecified application

Species

Unspecified reactive species

Zhaonan Wei,Xiaoning An,Yinyin Xie,Yan Shen,Liyan Ni,Jing Xu,Yimei Wang,Pingyan Shen,Hao Shi,Wen Zhang,Yongxi Chen

The Journal of clinical investigation 135: PubMed40471675

2025

The microRNA miR-30a blocks adipose tissue fibrosis accumulation in obesity.

Applications

Unspecified application

Species

Unspecified reactive species

Pradip K Saha,Robert Sharp,Aaron R Cox,Rabie Habib,Michael J Bolt,Jessica B Felix,Claudia E Ramirez Bustamante,Xin Li,Sung Yun Jung,Kang Ho Kim,Kai Sun,Huaizhu Wu,Samuel Klein,Sean M Hartig

PloS one 20:e0323222 PubMed40338892

2025

Sex differences in alcohol inhibits bone formation and promotes bone resorption in young male and female rats by altering intestinal flora, metabolites, and bone microenvironment.

Applications

Unspecified application

Species

Unspecified reactive species

Ming Cheng,Hua Lu,Yangling Wu,Long Jia,Tao Xiang,L I Deng,Guanlan Zhao,Junwei Feng

Frontiers in bioengineering and biotechnology 13:1524013 PubMed40078791

2025

Burn inhalation injury and intubation with dexamethasone-eluting endotracheal tubes modulate local microbiome and alter airway inflammation.

Applications

Unspecified application

Species

Unspecified reactive species

Gabriela Gonzales,Ronit Malka,Rena Bizios,Gregory R Dion,Teja Guda

Journal of functional biomaterials 16: PubMed39997590

2025

Electrospun Silk Fibroin-Silk Sericin Scaffolds Induced Macrophage Polarization and Vascularization for Volumetric Muscle Loss Injury.

Applications

Unspecified application

Species

Unspecified reactive species

Yuqing Wang,Fangyu Ye,Xinbo Wei,Manman Wang,Zheng Xing,Haifeng Liu

PloS one 20:e0318107 PubMed39932994

2025

Macrophage-P2X4 receptors pathway is essential to persistent inflammatory muscle hyperalgesia onset, and is prevented by physical exercise.

Applications

Unspecified application

Species

Unspecified reactive species

Graciana de Azambuja,Fernando Moreira Simabuco,Maria Cláudia Gonçalves de Oliveira

The FEBS journal 291:5214-5235 PubMed39434428

2024

TBK1 is involved in M-CSF-induced macrophage polarization through mediating the IRF5/IRF4 axis.

Applications

Unspecified application

Species

Unspecified reactive species

Yuanyuan Li,Le Ji,Chang Liu,Juanjuan Li,Di Wen,Zhongyao Li,Lishuang Yu,Moran Guo,Shaoran Zhang,Weisong Duan,Le Yi,Yue Bi,Hui Bu,Chunyan Li,Yakun Liu

Respiratory research 25:351 PubMed39342180

2024

Localized delivery of therapeutics impact laryngeal mechanics, local inflammatory response, and respiratory microbiome following upper airway intubation injury in swine.

Applications

Unspecified application

Species

Unspecified reactive species

Gabriela Gonzales,Ronit Malka,Lisa M Marinelli,Christine M Lee,Stacy Cook,Solaleh Miar,Gregory R Dion,Teja Guda

Materials today. Bio 28:101250 PubMed39318371

2024

An injectable decellularized extracellular matrix hydrogel with cortical neuron-derived exosomes enhances tissue repair following traumatic spinal cord injury.

Applications

Unspecified application

Species

Unspecified reactive species

Gang Wang,Qian Li,Sumei Liu,Mo Li,Baoguo Liu,Tianyao Zhao,Bochao Liu,Zhiguo Chen

World journal of diabetes 15:1589-1602 PubMed39099815

2024

Interactions between myoblasts and macrophages under high glucose milieus result in inflammatory response and impaired insulin sensitivity.

Applications

Unspecified application

Species

Unspecified reactive species

Wei Luo,Yue Zhou,Li-Ying Wang,Lei Ai
View all publications

Abcam Product Promise

我们致力于为您的研究提供高质量的试剂,为您科研的每一步提供支持。若我们的产品未能达到预期性能,我们向您提供 Abcam Product Promise 保障。
详情请参阅我们的条款与条件。

Please note: All products are 'FOR RESEARCH USE ONLY. NOT FOR USE IN DIAGNOSTIC OR THERAPEUTIC PROCEDURES'.

For licensing inquiries, please contact partnerships@abcam.com