JavaScript is disabled in your browser. Please enable JavaScript to view this website.
AB250884

重组Anti-Mago nashi homolog 2抗体[EPR14037-43] - BSA and Azide free

Anti-Mago nashi homolog 2 antibody [EPR14037-43] - BSA and Azide free

Be the first to review this product! Submit a review

|

(0 Publication)

Rabbit Recombinant Monoclonal Mago nashi homolog 2 antibody. Carrier free. Suitable for ICC/IF, WB, IHC-P and reacts with Human, Mouse, Rat samples.

查看别名

MAGOH2, MAGOHB, Protein mago nashi homolog 2

5 Images
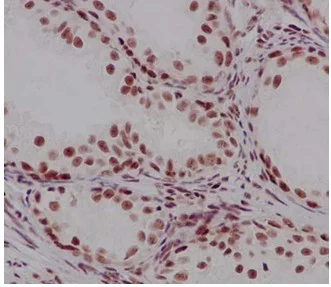
Immunohistochemistry (Formalin/PFA-fixed paraffin-embedded sections) - Anti-Mago nashi homolog 2 antibody [EPR14037-43] - BSA and Azide free (AB250884)
  • IHC-P

Supplier Data

Immunohistochemistry (Formalin/PFA-fixed paraffin-embedded sections) - Anti-Mago nashi homolog 2 antibody [EPR14037-43] - BSA and Azide free (AB250884)

This data was developed using ab186431, the same antibody clone in a different buffer formulation.

Immunohistochemical analysis of paraffin-embedded Human prostatic hyperplasia tissue labeling Mago nashi homolog 2 with ab186431 at 1/1000 dilution. Counter stain Hematoxylin.

Perform heat mediated antigen retrieval with EDTA buffer pH 9 before commencing with IHC staining protocol.

Immunohistochemistry (Formalin/PFA-fixed paraffin-embedded sections) - Anti-Mago nashi homolog 2 antibody [EPR14037-43] - BSA and Azide free (AB250884)
  • IHC-P

Supplier Data

Immunohistochemistry (Formalin/PFA-fixed paraffin-embedded sections) - Anti-Mago nashi homolog 2 antibody [EPR14037-43] - BSA and Azide free (AB250884)

This data was developed using ab186431, the same antibody clone in a different buffer formulation.

Immunohistochemical analysis of paraffin-embedded Human brain tissue labeling Mago nashi homolog 2 with ab186431 at 1/1000 dilution. Counter stain Hematoxylin.

Perform heat mediated antigen retrieval with EDTA buffer pH 9 before commencing with IHC staining protocol.

Immunocytochemistry/ Immunofluorescence - Anti-Mago nashi homolog 2 antibody [EPR14037-43] - BSA and Azide free (AB250884)
  • ICC/IF

Supplier Data

Immunocytochemistry/ Immunofluorescence - Anti-Mago nashi homolog 2 antibody [EPR14037-43] - BSA and Azide free (AB250884)

This data was developed using ab186431, the same antibody clone in a different buffer formulation.

Immunofluorescent analysis of 4% paraformaldehyde fixed HeLa cells labeling Mago nashi homolog 2 with ab186431 at 1/250 dilution. Secondary antibody Goat anti rabbit IgG (Alexa Fluor®555) at a 1/200 dilution. Counterstained with Dapi blue.

Western blot - Anti-Mago nashi homolog 2 antibody [EPR14037-43] - BSA and Azide free (AB250884)
  • WB

Supplier Data

Western blot - Anti-Mago nashi homolog 2 antibody [EPR14037-43] - BSA and Azide free (AB250884)

This data was developed using ab186431, the same antibody clone in a different buffer formulation.

All lanes:

Western blot - Anti-Mago nashi homolog 2 antibody [EPR14037-43] (<a href='/products/primary-antibodies/mago-nashi-homolog-2-antibody-epr14037-43-ab186431'>ab186431</a>) at 1/20000 dilution

Lane 1:

HeLa cell lysate at 10 µg

Lane 2:

Jurkat cell lysate at 10 µg

Secondary

All lanes:

Goat Anti-Rabbit IgG, (H+L), Peroxidase conjugated at 1/1000 dilution

Predicted band size: 17 kDa

Observed band size: 17 kDa

false

Western blot - Anti-Mago nashi homolog 2 antibody [EPR14037-43] - BSA and Azide free (AB250884)
  • WB

Supplier Data

Western blot - Anti-Mago nashi homolog 2 antibody [EPR14037-43] - BSA and Azide free (AB250884)

This data was developed using ab186431, the same antibody clone in a different buffer formulation.

All lanes:

Western blot - Anti-Mago nashi homolog 2 antibody [EPR14037-43] (<a href='/products/primary-antibodies/mago-nashi-homolog-2-antibody-epr14037-43-ab186431'>ab186431</a>) at 1/10000 dilution

Lane 1:

Raw264.7 cell lysate at 10 µg

Lane 2:

PC12 cell lysate at 10 µg

Lane 3:

NIH/3T3 cell lysate at 10 µg

Secondary

All lanes:

Goat Anti-Rabbit IgG, (H+L), Peroxidase conjugated at 1/1000 dilution

false

不同偶联物与剂型 (1)

  • Unconjugated

    Anti-Mago nashi homolog 2 antibody [EPR14037-43]

关键信息

宿主种属

Rabbit

克隆

Monoclonal

克隆号

EPR14037-43

亚型

IgG

不含载体蛋白

Yes

反应种属

Mouse, Rat, Human

应用

IHC-P, ICC/IF, WB

applications

免疫原

The exact immunogen used to generate this antibody is proprietary information.

特异性

The immunogen shares 100% homology with both MAGOHB (UniProt Q96A72) and MAGOH (UniProt P61326). We have not performed any tests in order to determine the cross-reactivity but it is possible that this antibody could cross-react with both MAGOHB and MAGOH. Both proteins have a similar molecular weight of 17 kDa.

反应性数据

{ "title": "Reactivity Data", "filters": { "stats": ["", "Species", "Dilution Info", "Notes"], "tabs": { "all-applications": {"fullname" : "All Applications", "shortname": "All Applications"}, "ICCIF" : {"fullname" : "Immunocytochemistry/ Immunofluorescence", "shortname":"ICC/IF"}, "WB" : {"fullname" : "Western blot", "shortname":"WB"}, "IHCP" : {"fullname" : "Immunohistochemistry (Formalin/PFA-fixed paraffin-embedded sections)", "shortname":"IHC-P"} }, "product-promise": { "all": "all", "testedAndGuaranteed": "tested", "guaranteed": "expected", "predicted": "predicted", "notRecommended": "not-recommended" } }, "values": { "Human": { "ICCIF-species-checked": "testedAndGuaranteed", "ICCIF-species-dilution-info": "", "ICCIF-species-notes": "<p></p>", "WB-species-checked": "testedAndGuaranteed", "WB-species-dilution-info": "", "WB-species-notes": "<p></p>", "IHCP-species-checked": "testedAndGuaranteed", "IHCP-species-dilution-info": "", "IHCP-species-notes": "<p></p>" }, "Mouse": { "ICCIF-species-checked": "guaranteed", "ICCIF-species-dilution-info": "", "ICCIF-species-notes": "", "WB-species-checked": "testedAndGuaranteed", "WB-species-dilution-info": "", "WB-species-notes": "<p></p>", "IHCP-species-checked": "guaranteed", "IHCP-species-dilution-info": "", "IHCP-species-notes": "" }, "Rat": { "ICCIF-species-checked": "guaranteed", "ICCIF-species-dilution-info": "", "ICCIF-species-notes": "", "WB-species-checked": "testedAndGuaranteed", "WB-species-dilution-info": "", "WB-species-notes": "<p></p>", "IHCP-species-checked": "guaranteed", "IHCP-species-dilution-info": "", "IHCP-species-notes": "" } } }

产品详情

ab250884 is the carrier-free version of ab186431.

Patented technology
Our RabMAb® technology is a patented hybridoma-based technology for making rabbit monoclonal antibodies. For details on our patents, please refer to RabMAb® patents.

What are the advantages of a recombinant monoclonal antibody?
This product is a recombinant monoclonal antibody, which offers several advantages including:

  • - High batch-to-batch consistency and reproducibility
  • - Improved sensitivity and specificity
  • - Long-term security of supply
  • - Animal-free batch production

For more information, read more on recombinant antibodies.

Conjugation ready
Our carrier-free antibodies are typically supplied in a PBS-only formulation, purified and free of BSA, sodium azide and glycerol. This conjugation-ready format is designed for use with fluorochromes, metal isotopes, oligonucleotides, and enzymes, which makes them ideal for antibody labelling, functional and cell-based assays, flow-based assays (e.g. mass cytometry) and Multiplex Imaging applications.

Use our conjugation kits for antibody conjugates that are ready-to-use in as little as 20 minutes with 1 minute hands-on-time and 100% antibody recovery: available for fluorescent dyes, HRP, biotin and gold.

Compatibility
This product is compatible with the Maxpar® Antibody Labeling Kit from Fluidigm, without the need for antibody preparation. Maxpar® is a trademark of Fluidigm Canada Inc.

性能和储存信息

形式
Liquid
纯化工艺
Affinity purification Protein A
存储溶液
pH: 7.2 - 7.4 Constituents: PBS
运输条件
Blue Ice
推荐的短期储存条件
+4°C
推荐的长期储存条件
+4°C
储存信息
Do Not Freeze

补充信息

This supplementary information is collated from multiple sources and compiled automatically.

The Mago nashi homolog 2 often referred to as MAGOH2 is a protein with a molecular mass of approximately 18 kilodaltons. It is part of a conserved family of proteins with the notable family member being Mago nashi homolog 1 (MAGOH1). MAGOH2 is ubiquitously expressed in various tissues indicating its wide biological significance. The protein operates mainly in the cell nucleus where it forms important part of ribonucleoprotein complexes.
Biological function summary

MAGOH2 plays a significant role in RNA processing and development. It is part of the exon junction complex which influences mRNA splicing export and surveillance. This protein interacts closely with Y14 and other factors to regulate stable mRNA transport and nonsense-mediated decay. By being part of this complex MAGOH2 also aids in controlling gene expression critical for cell proliferation and differentiation.

Pathways

MAGOH2 functions in the mRNA surveillance and splicing pathways. It collaborates with related proteins such as Y14 in the exon junction complex to ensure proper gene expression post-transcription. The exon junction complex affects mRNA stability and quality control which are essential for the fidelity of genetic information. These pathways highlight the importance of MAGOH2 in maintaining efficient gene expression processes.

Altered function or expression of MAGOH2 can relate to developmental disorders and cancers. Abnormal exon junction complex function involving MAGOH2 and Y14 may disrupt normal RNA processing affecting normal cellular development and differentiation. The study of MAGOH2 and its interactions within the exon junction complex provides insights into congenital disorders and tumorigenesis processes. By exploring these connections researchers can better understand MAGOH2's role in health and disease contexts.

产品实验方案

For this product, it's our understanding that no specific protocols are required. You can visit:

靶点信息

Required for pre-mRNA splicing as component of the spliceosome (PubMed : 28502770, PubMed : 29301961, PubMed : 30705154). Plays a redundant role with MAGOH in the exon junction complex and in the nonsense-mediated decay (NMD) pathway (PubMed : 23917022).
See full target information MAGOHB

Abcam Product Promise

我们致力于为您的研究提供高质量的试剂,为您科研的每一步提供支持。若我们的产品未能达到预期性能,我们向您提供 Abcam Product Promise 保障。
详情请参阅我们的条款与条件。

Please note: All products are 'FOR RESEARCH USE ONLY. NOT FOR USE IN DIAGNOSTIC OR THERAPEUTIC PROCEDURES'.

For licensing inquiries, please contact partnerships@abcam.com