JavaScript is disabled in your browser. Please enable JavaScript to view this website.
AB10691

Anti-Mad2L1 抗体 [17D10]

Anti-Mad2L1 antibody [17D10]

3

(2 Reviews)

|

(9 Publications)

Mouse Monoclonal Mad2L1 antibody. Suitable for WB, IHC-P and reacts with Human samples. Cited in 9 publications. Immunogen corresponding to Recombinant Full Length Protein corresponding to Human MAD2L1.

查看别名

MAD2, MAD2L1, Mitotic spindle assembly checkpoint protein MAD2A, HsMAD2, Mitotic arrest deficient 2-like protein 1, MAD2-like protein 1

4 Images
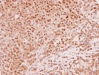
Immunohistochemistry (Formalin/PFA-fixed paraffin-embedded sections) - Anti-Mad2L1 antibody [17D10] (AB10691)
  • IHC-P

Supplier Data

Immunohistochemistry (Formalin/PFA-fixed paraffin-embedded sections) - Anti-Mad2L1 antibody [17D10] (AB10691)

ab10691 staining Mad2L1 in colon cancer tissue, after antigen retreival, by Immunohistochemistry (Formalin/PFA-fixed paraffin-embedded sections)

Western blot - Anti-Mad2L1 antibody [17D10] (AB10691)
  • WB

Unknown

Western blot - Anti-Mad2L1 antibody [17D10] (AB10691)

Western blot using ab10691 at 1/500.

Lane 1 : Hela Nuclear
Lane 2 : Hela
Lane 3 : A431
Lane 4 : Jurkat
Lane 5 : 293

Mad2L1 predicted size : 24.6kD.

Secondary ab : Rabbit polyclonal to Mouse IgG H&L (HRP) ab6728 (1/5000)
Exposure time : 1min
20μg of lysate per lane.

Western blot using ab10691 at 1/500. Lane 1 : Hela Nuclear Lane 2 : Hela Lane 3 : A431 Lane 4 : Jurkat Lane 5 : 293 Mad2L1 predicted size : 24.6kD. Secondary ab : anti-mouse HRP (ab6728) (1/5000) Exposure time : 1min 20μg of lysate per lane.

All lanes:

Western blot - Anti-Mad2L1 antibody [17D10] (ab10691)

Predicted band size: 24 kDa

false

Western blot - Anti-Mad2L1 antibody [17D10] (AB10691)
  • WB

AbReview20235****

Western blot - Anti-Mad2L1 antibody [17D10] (AB10691)

Mad2L1 antibody (ab10691) at 1/1000 (in TBS for 90 minutes at 22°C) + whole tissue lysate of Human liver biopsy (chronic hepatitis C - (HepC) or non-viral (NVH)) patients at 50μg.

Secondary Antibody : An HRP-conjugated Goat anti-mouse polyclonal (1/100000).

Blocking Step : 5% Milk for 16 hours at 4°C

All lanes:

Western blot - Anti-Mad2L1 antibody [17D10] (ab10691)

Predicted band size: 24 kDa

Observed band size: 24 kDa

false

This image is courtesy of an Abreview submitted by Saira Sarfraz

Western blot - Anti-Mad2L1 antibody [17D10] (AB10691)
  • WB

Lab

Western blot - Anti-Mad2L1 antibody [17D10] (AB10691)

Lanes 1 - 4 : Merged signal (red and green). Green - ab10691 observed at 24 kDa. Red - loading control, ab181602, observed at 37 kDa.

ab10691 was shown to specifically react with in wild-type HAP1 cells as signal was lost in MAD2L1 knockout cells. Wild-type and MAD2L1 knockout samples were subjected to SDS-PAGE. The membrane was blocked with 3% NF Milk. ab10691 and ab181602 (Rabbit anti GAPDH loading control) were incubated overnight at 4°C at 2 ug/ml and 1/20000 dilution respectively. Blots were developed with Goat anti-Mouse IgG H&L (IRDye® 800CW) preabsorbed ab216772 and Goat anti-Rabbit IgG H&L (IRDye® 680RD) preabsorbed ab216777 secondary antibodies at 1/20000 dilution for 1 hour at room temperature before imaging.

All lanes:

Western blot - Anti-Mad2L1 antibody [17D10] (ab10691) at 2 µg/mL

Lane 1:

Wild-type HAP1 whole cell lysate at 20 µg

Lane 2:

Mad2L1 knockout HAP1 whole cell lysate at 20 µg

Lane 3:

HeLa whole cell lysate at 20 µg

Lane 4:

A431 whole cell lysate at 20 µg

Predicted band size: 24 kDa

Observed band size: 24 kDa

false

关键信息

宿主种属

Mouse

克隆

Monoclonal

克隆号

17D10

亚型

IgG1

不含载体蛋白

No

反应种属

Human

应用

WB, IHC-P

applications

免疫原

Recombinant Full Length Protein corresponding to Human MAD2L1.

Q13257

特异性

Western blot with a variety of human cell lines confirms that the antibody is specific for Mad2.

反应性数据

{ "title": "Reactivity Data", "filters": { "stats": ["", "Species", "Dilution Info", "Notes"], "tabs": { "all-applications": {"fullname" : "All Applications", "shortname": "All Applications"}, "WB" : {"fullname" : "Western blot", "shortname":"WB"}, "IHCP" : {"fullname" : "Immunohistochemistry (Formalin/PFA-fixed paraffin-embedded sections)", "shortname":"IHC-P"} }, "product-promise": { "all": "all", "testedAndGuaranteed": "tested", "guaranteed": "expected", "predicted": "predicted", "notRecommended": "not-recommended" } }, "values": { "Human": { "WB-species-checked": "testedAndGuaranteed", "WB-species-dilution-info": "2 µg/mL", "WB-species-notes": "<p></p>", "IHCP-species-checked": "testedAndGuaranteed", "IHCP-species-dilution-info": "", "IHCP-species-notes": "<p></p>" } } }

性能和储存信息

形式
Liquid
纯化工艺
Affinity purification Protein A
纯化说明
Purified from supernatant.
存储溶液
Preservative: 0.09% Sodium azide Constituents: PBS
运输条件
Blue Ice
推荐的短期储存时间
1-2 weeks
推荐的短期储存条件
+4°C
推荐的长期储存条件
-20°C
分装信息
Upon delivery aliquot
储存信息
Avoid freeze / thaw cycle

补充信息

This supplementary information is collated from multiple sources and compiled automatically.

Mad2L1 also known as MAD2 or Kirk Mad2 is an important player in the mitotic checkpoint ensuring proper chromosomal segregation during cell division. It acts as a spindle assembly checkpoint protein weighing approximately 24.5 kDa. It is widely expressed in tissues with high proliferative activity including testis thymus and fetal liver. In these locations Mad2L1 binds to other mitotic checkpoint proteins to control the metaphase-anaphase transition.
Biological function summary

Mad2L1 serves as an essential component of the mitotic checkpoint complex. It forms a complex with other proteins such as Mad1 BubR1 and Cdc20 inhibiting the anaphase-promoting complex/cyclosome (APC/C). This interaction prevents the premature separation of sister chromatids by blocking the degradation of securin and cyclin B. These actions ensure that cells do not progress to anaphase until all chromosomes are correctly attached to the mitotic spindle.

Pathways

Mad2L1 interacts with proteins that regulate the spindle assembly checkpoint pathway and the cell cycle. It holds particular prominence within the mitotic spindle assembly checkpoint where it regulates progression from metaphase to anaphase through its interaction with proteins like Cdc20 and BubR1. Mad2L1 also plays a role in the DNA damage response cycle highlighting its importance in maintaining genomic stability.

Mad2L1 shows significant connections with cancer and chromosomal instability syndromes. Overexpression or dysfunction of Mad2L1 can lead to chromosomal instability contributing to carcinogenesis. Studies also suggest associations with BubR1 a protein whose expression frequently correlates with Mad2L1 in various cancers. These connections highlight Mad2L1 as a potential target for therapeutic intervention in oncology.

产品实验方案

For this product, it's our understanding that no specific protocols are required. You can visit:

靶点信息

Component of the spindle-assembly checkpoint that prevents the onset of anaphase until all chromosomes are properly aligned at the metaphase plate (PubMed : 15024386, PubMed : 29162720). In the closed conformation (C-MAD2) forms a heterotetrameric complex with MAD1L1 at unattached kinetochores during prometaphase, the complex recruits open conformation molecules of MAD2L1 (O-MAD2) and then promotes the conversion of O-MAD2 to C-MAD2 (PubMed : 29162720). Required for the execution of the mitotic checkpoint which monitors the process of kinetochore-spindle attachment and inhibits the activity of the anaphase promoting complex by sequestering CDC20 until all chromosomes are aligned at the metaphase plate (PubMed : 10700282, PubMed : 11804586, PubMed : 15024386).
See full target information MAD2L1

文献 (9)

Recent publications for all applications. Explore the full list and refine your search

Science advances 8:eabq5914 PubMed36322655

2022

Biallelic germline mutations in MAD1L1 induce a syndrome of aneuploidy with high tumor susceptibility.

Applications

Unspecified application

Species

Unspecified reactive species

Carolina Villarroya-Beltri,Ana Osorio,Raúl Torres-Ruiz,David Gómez-Sánchez,Marianna Trakala,Agustin Sánchez-Belmonte,Fátima Mercadillo,Begoña Hurtado,Borja Pitarch,Almudena Hernández-Núñez,Antonio Gómez-Caturla,Daniel Rueda,José Perea,Sandra Rodríguez-Perales,Marcos Malumbres,Miguel Urioste

BMC cancer 22:666 PubMed35715760

2022

CKAP2L, a crucial target of miR-326, promotes prostate cancer progression.

Applications

Unspecified application

Species

Unspecified reactive species

Qi Li,Mo Yan,Chunhui Wang,Kaibin Wang,Guochang Bao

Journal of cell science 135: PubMed34878135

2022

The APC/C targets the Cep152-Cep63 complex at the centrosome to regulate mitotic spindle assembly.

Applications

Unspecified application

Species

Unspecified reactive species

Thomas Tischer,Jing Yang,David Barford

Cancer management and research 12:12123-12136 PubMed33273853

2020

Bioinformatics Analysis and Validation Identify CDK1 and MAD2L1 as Prognostic Markers of Rhabdomyosarcoma.

Applications

Unspecified application

Species

Unspecified reactive species

Suying Lu,Chengtao Sun,Huimou Chen,Chao Zhang,Wei Li,Liuhong Wu,Jia Zhu,Feifei Sun,Junting Huang,Juan Wang,Zijun Zhen,Ruiqing Cai,Xiaofei Sun,Yizhuo Zhang,Xing Zhang

Nature 559:274-278 PubMed29973720

2018

Mechanism for remodelling of the cell cycle checkpoint protein MAD2 by the ATPase TRIP13.

Applications

Unspecified application

Species

Unspecified reactive species

Claudio Alfieri,Leifu Chang,David Barford

Oncotarget 7:12267-85 PubMed26943585

2016

Novel Mad2-targeting miR-493-3p controls mitotic fidelity and cancer cells' sensitivity to paclitaxel.

Applications

WB

Species

Unspecified reactive species

Mahesh Tambe,Sofia Pruikkonen,Jenni Mäki-Jouppila,Ping Chen,Bente Vilming Elgaaen,Anne Hege Straume,Kaisa Huhtinen,Olli Cárpen,Per Eystein Lønning,Ben Davidson,Sampsa Hautaniemi,Marko J Kallio

Molecular cancer research : MCR 10:1607-19 PubMed22833572

2012

Analysis of mRNA profiles after MEK1/2 inhibition in human pancreatic cancer cell lines reveals pathways involved in drug sensitivity.

Applications

WB

Species

Human

Stephan Gysin,Jesse Paquette,Martin McMahon

BMC infectious diseases 9:125 PubMed19664251

2009

Modulations of cell cycle checkpoints during HCV associated disease.

Applications

WB

Species

Human

Saira Sarfraz,Saeed Hamid,Syed Ali,Wasim Jafri,Anwar A Siddiqui

Chemical research in toxicology 19:1492-8 PubMed17112237

2006

Chronic exposure to particulate chromate induces spindle assembly checkpoint bypass in human lung cells.

Applications

WB

Species

Human

Sandra S Wise,Amie L Holmes,Hong Xie,W Douglas Thompson,John Pierce Wise
View all publications

Abcam Product Promise

我们致力于为您的研究提供高质量的试剂,为您科研的每一步提供支持。若我们的产品未能达到预期性能,我们向您提供 Abcam Product Promise 保障。
详情请参阅我们的条款与条件。

Please note: All products are 'FOR RESEARCH USE ONLY. NOT FOR USE IN DIAGNOSTIC OR THERAPEUTIC PROCEDURES'.

For licensing inquiries, please contact partnerships@abcam.com