JavaScript is disabled in your browser. Please enable JavaScript to view this website.
AB124767

Anti-M6PR (cation independent) 抗体 [EPR6599]

Anti-M6PR (cation independent) antibody [EPR6599] - Lysosome Membrane Marker

  • RabMAb
  • Recombinant
  • KO Validated
  • 20ul selling size
  • 了解详情

5

(7 Reviews)

|

(84 Publications)

Anti-M6PR (cation independent) antibody [EPR6599] (ab124767) is a rabbit monoclonal antibody detecting M6PR (cation independent) in Western Blot, Flow Cytometry (Intra), Flow Cytometry, IHC-P, ICC/IF. Suitable for Human, Mouse, Rat.

- KO validated for confirmed specificity
- Biophysical QC for unrivalled batch-batch consistency
- Over 70 publications

查看别名

CD222, MPRI, IGF2R, Cation-independent mannose-6-phosphate receptor, CI Man-6-P receptor, CI-MPR, M6PR, 300 kDa mannose 6-phosphate receptor, Insulin-like growth factor 2 receptor, Insulin-like growth factor II receptor, M6P/IGF2 receptor, MPR 300, IGF-II receptor, M6P/IGF2R

14 Images
Western blot - Anti-M6PR (cation independent) antibody [EPR6599] - Lysosome Membrane Marker (AB124767)
  • WB

Lab

Western blot - Anti-M6PR (cation independent) antibody [EPR6599] - Lysosome Membrane Marker (AB124767)

Lane 1 : Wild-type HAP1 whole cell lysate (20 μg)
Lane 2 : M6PR (cation independent) knockout HAP1 whole cell lysate (20 μg)
Lane 3 : HeLa whole cell lysate (20 μg)
Lane 4 : A549 whole cell lysate (20 μg)

Lanes 1 - 4 : Merged signal (red and green). Green - ab124767 observed at 274 kDa. Red - loading control, ab18058, observed at 130 kDa.

ab124767 was shown to specifically react with M6PR (cation independent) in wild-type HAP1 cells as signal was lost in M6PR (cation independent) knockout cells. Wild-type and M6PR (cation independent) knockout samples were subjected to SDS-PAGE. ab124767 and ab18058 (Mouse anti-Vinculin loading control) were incubated overnight at 4°C at 1/50000 dilution and 1/20000 dilution respectively. Blots were developed with Goat anti-Rabbit IgG H&L (IRDye® 800CW) preabsorbed ab216773 and Goat anti-Mouse IgG H&L (IRDye® 680RD) preabsorbed ab216776 secondary antibodies at 1/10000 dilution for 1 hour at room temperature before imaging.

Lane 1:

Western blot - Anti-M6PR (cation independent) antibody [EPR6599] - Lysosome Membrane Marker (ab124767)

Lanes 2 - 4:

Western blot - Anti-M6PR (cation independent) antibody [EPR6599] - BSA and Azide free (<a href='/products/primary-antibodies/m6pr-cation-independent-antibody-epr6599-bsa-and-azide-free-ab226090'>ab226090</a>) at 1/50000 dilution

Lane 1:

Wild-type HAP1 whole cell lysate at 20 µg

Lane 2:

M6PR (cation independent) knockout HAP1 whole cell lysate at 20 µg

Lane 3:

HeLa whole cell lysate at 20 µg

Lane 4:

A549 whole cell lysate at 20 µg

Predicted band size: 274 kDa

false

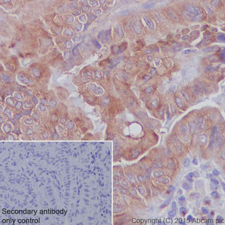
Immunohistochemistry (Formalin/PFA-fixed paraffin-embedded sections) - Anti-M6PR (cation independent) antibody [EPR6599] - Lysosome Membrane Marker (AB124767)
  • IHC-P

Unknown

Immunohistochemistry (Formalin/PFA-fixed paraffin-embedded sections) - Anti-M6PR (cation independent) antibody [EPR6599] - Lysosome Membrane Marker (AB124767)

Immunohistochemical analysis of formalin fixed, paraffin embedded Human tonsil tissue section labelling Mannose 6 Phosphate Receptor (Cation independent) with unpurified ab124767 at dilution of 1/250.

Perform heat mediated antigen retrieval before commencing with IHC staining protocol.

Immunocytochemistry/ Immunofluorescence - Anti-M6PR (cation independent) antibody [EPR6599] - Lysosome Membrane Marker (AB124767)
  • ICC/IF

Unknown

Immunocytochemistry/ Immunofluorescence - Anti-M6PR (cation independent) antibody [EPR6599] - Lysosome Membrane Marker (AB124767)

Immunocytochemistry/immunofluorescence analysis of 293T cells labelling Mannose 6 Phosphate Receptor (Cation independent) with unpurified ab124767 at dilution of 1/100.

Immunocytochemistry/ Immunofluorescence - Anti-M6PR (cation independent) antibody [EPR6599] - Lysosome Membrane Marker (AB124767)
  • ICC/IF

Lab

Immunocytochemistry/ Immunofluorescence - Anti-M6PR (cation independent) antibody [EPR6599] - Lysosome Membrane Marker (AB124767)

ab124767 staining M6PR in wild-type HAP1 cells (top panel) and IGF2R knockout HAP1 cells (bottom panel). The cells were fixed with 100% MeOH for 5 min. , permeabilized with 0.1% Triton X-100 for 5 minutes and then blocked with 1% BSA/10% normal goat serum/0.3M glycine in 0.1% PBS-Tween for 1h. The cells were then incubated with ab124767 at 1μg/ml and ab195889 (Mouse monoclonal [DM1A] to alpha Tubulin - Microtubule Marker (Alexa Fluor® 594)) at 1/250 dilution (shown in pseudocolour red) overnight at +4°C, followed by a further incubation at room temperature for 1h with a goat secondary antibody to rabbit IgG (Alexa Fluor® 488) (ab150081) at 2 μg/ml (shown in green). Nuclear DNA was labelled in blue with DAPI.

Image was taken with a confocal microscope (Leica-Microsystems, TCS SP8).

Immunohistochemistry (Formalin/PFA-fixed paraffin-embedded sections) - Anti-M6PR (cation independent) antibody [EPR6599] - Lysosome Membrane Marker (AB124767)
  • IHC-P

Unknown

Immunohistochemistry (Formalin/PFA-fixed paraffin-embedded sections) - Anti-M6PR (cation independent) antibody [EPR6599] - Lysosome Membrane Marker (AB124767)

Immunohistochemical staining of paraffin embedded human thyroid carcinoma tissue section labelling M6PR with purified ab124767 at dilution of 1/500. The secondary antibody used was ab97051 Goat Anti-Rabbit IgG H&L (HRP), at a dilution of 1/500. The sample was counter-stained with hematoxylin. Antigen retrieval was perfomed using Tris-EDTA buffer, pH 9.0. PBS was used instead of the primary antibody as the negative control and is shown in the inset.

Immunocytochemistry/ Immunofluorescence - Anti-M6PR (cation independent) antibody [EPR6599] - Lysosome Membrane Marker (AB124767)
  • ICC/IF

Unknown

Immunocytochemistry/ Immunofluorescence - Anti-M6PR (cation independent) antibody [EPR6599] - Lysosome Membrane Marker (AB124767)

Immunocytochemistry/Immunofluorescence analysis of Jurkat (human acute T cell leukemia) cells labelling M6PR with purified ab124767 at 1/100. Cells were fixed with 4% Paraformaldehyde and permeabilized with 0.1% Triton X-100. ab150077, Alexa Fluor® 488-conjugated goat anti-rabbit IgG (1/1000) was used as the secondary antibody. The cells were co-stained with ab7291, a mouse anti-tubulin antibody (1/1000) using ab150120, an Alexa Fluor® 594-conjugated goat anti-mouse IgG (1/1000) as the secondary. Nuclei couterstained with DAPI (blue).

For negative control 1, rabbit primary antibody was used, followed by anti-mouse secondary antibody (ab150120). For negative control 2, mouse primary antibody (ab7291) was used followed by anti-rabbit secondary antibody (ab150077).

Flow Cytometry (Intracellular) - Anti-M6PR (cation independent) antibody [EPR6599] - Lysosome Membrane Marker (AB124767)
  • Flow Cyt (Intra)

Lab

Flow Cytometry (Intracellular) - Anti-M6PR (cation independent) antibody [EPR6599] - Lysosome Membrane Marker (AB124767)

Intracellular Flow Cytometry analysis of Jurkat (human acute T cell leukemia) cells labelling M6PR with purified ab124767 at 1/150 (red). Cells were fixed with 4% paraformaldehyde. Alexa Fluorr® 488-conjugated goat anti-rabbit IgG (1/500) was used as the secondary antibody. Black - Isotype control, rabbit monoclonal IgG. Blue - Unlabelled control, cells without incubation with primary and secondary antibodies.

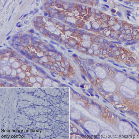
Immunohistochemistry (Formalin/PFA-fixed paraffin-embedded sections) - Anti-M6PR (cation independent) antibody [EPR6599] - Lysosome Membrane Marker (AB124767)
  • IHC-P

Unknown

Immunohistochemistry (Formalin/PFA-fixed paraffin-embedded sections) - Anti-M6PR (cation independent) antibody [EPR6599] - Lysosome Membrane Marker (AB124767)

Immunohistochemical analysis of formalin fixed, paraffin embedded Human papillary carcinoma tissue section labelling Mannose 6 Phosphate Receptor (Cation independent) with unpurified ab124767 at dilution of 1/250.

Perform heat mediated antigen retrieval before commencing with IHC staining protocol.

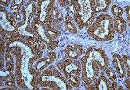
Immunohistochemistry (Formalin/PFA-fixed paraffin-embedded sections) - Anti-M6PR (cation independent) antibody [EPR6599] - Lysosome Membrane Marker (AB124767)
  • IHC-P

Unknown

Immunohistochemistry (Formalin/PFA-fixed paraffin-embedded sections) - Anti-M6PR (cation independent) antibody [EPR6599] - Lysosome Membrane Marker (AB124767)

Immunohistochemical staining of paraffin embedded rat colon tissue section labelling M6PR with purified ab124767 at dilution of 1/500. The secondary antibody used was ab97051 Goat Anti-Rabbit IgG H&L (HRP), at a dilution of 1/500. The sample was counter-stained with hematoxylin. Antigen retrieval was perfomed using Tris-EDTA buffer, pH 9.0. PBS was used instead of the primary antibody as the negative control and is shown in the inset.

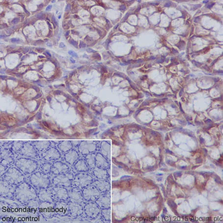
Immunohistochemistry (Formalin/PFA-fixed paraffin-embedded sections) - Anti-M6PR (cation independent) antibody [EPR6599] - Lysosome Membrane Marker (AB124767)
  • IHC-P

Unknown

Immunohistochemistry (Formalin/PFA-fixed paraffin-embedded sections) - Anti-M6PR (cation independent) antibody [EPR6599] - Lysosome Membrane Marker (AB124767)

Immunohistochemical staining of paraffin embedded mouse colon tissue section labelling M6PR with purified ab124767 at dilution of 1/500. The secondary antibody used was ab97051 Goat Anti-Rabbit IgG H&L (HRP), at a dilution of 1/500. The sample was counter-stained with hematoxylin. Antigen retrieval was perfomed using Tris-EDTA buffer, pH 9.0. PBS was used instead of the primary antibody as the negative control and is shown in the inset.

Western blot - Anti-M6PR (cation independent) antibody [EPR6599] - Lysosome Membrane Marker (AB124767)
  • WB

Unknown

Western blot - Anti-M6PR (cation independent) antibody [EPR6599] - Lysosome Membrane Marker (AB124767)

Blocking and diluting buffer 5% NFDM/TBST

All lanes:

Western blot - Anti-M6PR (cation independent) antibody [EPR6599] - Lysosome Membrane Marker (ab124767) at 1/200000 dilution

Lane 1:

Jurkat (human acute T cell leukemia) whole cell lysate at 20 µg

Lane 2:

HEK293 (human embryonic kidney) whole cell lysate at 20 µg

Secondary

All lanes:

Western blot - Goat Anti-Rabbit IgG H&L (HRP) (<a href='/products/secondary-antibodies/goat-rabbit-igg-h-l-hrp-ab97051'>ab97051</a>) at 1/100000 dilution

Predicted band size: 274 kDa

Observed band size: 300 kDa

false

Western blot - Anti-M6PR (cation independent) antibody [EPR6599] - Lysosome Membrane Marker (AB124767)
  • WB

Unknown

Western blot - Anti-M6PR (cation independent) antibody [EPR6599] - Lysosome Membrane Marker (AB124767)

Blocking and diluting buffer 5% NFDM/TBST

All lanes:

Western blot - Anti-M6PR (cation independent) antibody [EPR6599] - Lysosome Membrane Marker (ab124767) at 1/50000 dilution

Lane 1:

C6 (rat glioma) whole cell lysate at 20 µg

Lane 2:

PC-12 (rat adrenal gland pheochromocytoma) whole cell lysates at 20 µg

Lane 3:

NIH/3T3 (mouse embryo) whole cell lysate at 20 µg

Lane 4:

Mouse heart tissue lysate at 20 µg

Lane 5:

Mouse kidney tissue lysate at 20 µg

Lane 6:

Mouse spleen tissue lysate at 20 µg

Secondary

All lanes:

Western blot - Goat Anti-Rabbit IgG H&L (HRP) (<a href='/products/secondary-antibodies/goat-rabbit-igg-h-l-hrp-ab97051'>ab97051</a>) at 1/20000 dilution

Predicted band size: 100 kDa,107 kDa,183 kDa,274 kDa,35 kDa

Observed band size: 120 kDa,300 kDa,43 kDa

false

Western blot - Anti-M6PR (cation independent) antibody [EPR6599] - Lysosome Membrane Marker (AB124767)
  • WB

Unknown

Western blot - Anti-M6PR (cation independent) antibody [EPR6599] - Lysosome Membrane Marker (AB124767)

All lanes:

Western blot - Anti-M6PR (cation independent) antibody [EPR6599] - Lysosome Membrane Marker (ab124767) at 1/50000 dilution

Lane 1:

Jurkat cell lysate at 10 µg

Lane 2:

293T cell lysate at 10 µg

Lane 3:

Caco-2 cell lysate at 10 µg

Secondary

All lanes:

Goat anti-Rabbit HRP at 1/2000 dilution

false

OI-RD Scanning - Anti-M6PR (cation independent) antibody [EPR6599] - Lysosome Membrane Marker (AB124767)
  • OI-RD Scanning

Unknown

OI-RD Scanning - Anti-M6PR (cation independent) antibody [EPR6599] - Lysosome Membrane Marker (AB124767)

We have systematically measured KD (the equilibrium dissociation constant between the antibody and its antigen), of more than 840 recombinant antibodies to assess not only their individual KD values but also to see the average affinity of antibody. Based on the comparison with published literature values for mouse monoclonal antibodies, Recombinant antibodies appear to be on average 1-2 order of magnitude higher affinity.

不同偶联物与剂型 (7)

  • 565 Alexa Fluor® 555

    Alexa Fluor® 555 Anti-M6PR (cation independent) antibody [EPR6599] - Lysosome Membrane Marker

  • 665 Alexa Fluor® 647

    Alexa Fluor® 647 Anti-M6PR (cation independent) antibody [EPR6599] - Lysosome Membrane Marker

  • 519 Alexa Fluor® 488

    Alexa Fluor® 488 Anti-M6PR (cation independent) antibody [EPR6599] - Lysosome Membrane Marker

  • 578 PE

    PE Anti-M6PR (cation independent) antibody [EPR6599] - Lysosome Membrane Marker

  • Carrier free

    Anti-M6PR (cation independent) antibody [EPR6599] - BSA and Azide free

  • 617 Alexa Fluor® 594

    Alexa Fluor® 594 Anti-M6PR (cation independent) antibody [EPR6599] - Lysosome Membrane Marker

  • 660 APC

    APC Anti-M6PR (cation independent) antibody [EPR6599] - Lysosome Membrane Marker

关键信息

宿主种属

Rabbit

克隆

Monoclonal

克隆号

EPR6599

亚型

IgG

不含载体蛋白

No

反应种属

Mouse, Rat, Human

应用

WB, IHC-P, ICC/IF, Flow Cyt (Intra)

applications

免疫原

The exact immunogen used to generate this antibody is proprietary information.

反应性数据

{ "title": "Reactivity Data", "filters": { "stats": ["", "Species", "Dilution Info", "Notes"], "tabs": { "all-applications": {"fullname" : "All Applications", "shortname": "All Applications"}, "IHCP" : {"fullname" : "Immunohistochemistry (Formalin/PFA-fixed paraffin-embedded sections)", "shortname":"IHC-P"}, "WB" : {"fullname" : "Western blot", "shortname":"WB"}, "ICCIF" : {"fullname" : "Immunocytochemistry/ Immunofluorescence", "shortname":"ICC/IF"}, "FlowCytIntra" : {"fullname" : "Flow Cytometry (Intracellular)", "shortname":"Flow Cyt (Intra)"} }, "product-promise": { "all": "all", "testedAndGuaranteed": "tested", "guaranteed": "expected", "predicted": "predicted", "notRecommended": "not-recommended" } }, "values": { "Human": { "IHCP-species-checked": "testedAndGuaranteed", "IHCP-species-dilution-info": "1/250 - 1/500", "IHCP-species-notes": "<p>Heat up to 98°C, below boiling, and then let cool for 10-20 min.</p> Perform heat-mediated antigen retrieval before commencing with IHC staining protocol.", "WB-species-checked": "testedAndGuaranteed", "WB-species-dilution-info": "1/50000 - 1/200000", "WB-species-notes": "<p></p>", "ICCIF-species-checked": "testedAndGuaranteed", "ICCIF-species-dilution-info": "1 µg/mL", "ICCIF-species-notes": "<p></p>", "FlowCytIntra-species-checked": "testedAndGuaranteed", "FlowCytIntra-species-dilution-info": "1/100 - 1/500", "FlowCytIntra-species-notes": "<p><a href='/products/primary-antibodies/rabbit-igg-monoclonal-epr25a-isotype-control-ab172730'>ab172730</a> - Rabbit monoclonal IgG, is suitable for use as an isotype control with this antibody.</p>" }, "Mouse": { "IHCP-species-checked": "testedAndGuaranteed", "IHCP-species-dilution-info": "1/250 - 1/500", "IHCP-species-notes": "<p>Heat up to 98°C, below boiling, and then let cool for 10-20 min.</p> Perform heat-mediated antigen retrieval before commencing with IHC staining protocol.", "WB-species-checked": "guaranteed", "WB-species-dilution-info": "", "WB-species-notes": "", "ICCIF-species-checked": "guaranteed", "ICCIF-species-dilution-info": "", "ICCIF-species-notes": "", "FlowCytIntra-species-checked": "guaranteed", "FlowCytIntra-species-dilution-info": "", "FlowCytIntra-species-notes": "" }, "Rat": { "IHCP-species-checked": "testedAndGuaranteed", "IHCP-species-dilution-info": "1/250 - 1/500", "IHCP-species-notes": "<p>Heat up to 98°C, below boiling, and then let cool for 10-20 min.</p> Perform heat-mediated antigen retrieval before commencing with IHC staining protocol.", "WB-species-checked": "testedAndGuaranteed", "WB-species-dilution-info": "1/50000 - 1/200000", "WB-species-notes": "<p></p>", "ICCIF-species-checked": "guaranteed", "ICCIF-species-dilution-info": "", "ICCIF-species-notes": "", "FlowCytIntra-species-checked": "guaranteed", "FlowCytIntra-species-dilution-info": "", "FlowCytIntra-species-notes": "" } } }

产品详情

Product Specifications
Anti-M6PR (cation independent) antibody [EPR6599] (ab124767) was developed by Abcam using patented rabbit monoclonal antibody technology and is validated for use in Flow Cyt (Intra), ICC/IF, IHC-P, WB in human, mouse, rat samples.
Anti-M6PR (cation independent) antibody [EPR6599] (ab124767) specifically detects M6PR (cation independent) (UniProt ID: P11717; Molecular weight: 270kDa) and is sold in 100 µL and 1 mL selling sizes.

Quality and Validation
Abcam's high quality manufacturing and validation processes ensure Anti-M6PR (cation independent) antibody [EPR6599] (ab124767) has high sensitivity and specificity alongside high lot-to-lot consistency and reproducibility.
The specificity of Anti-M6PR (cation independent) antibody [EPR6599] (ab124767) has been confirmed by testing in knockout samples.
Anti-M6PR (cation independent) antibody [EPR6599] (ab124767) has been cited over 72 times in peer reviewed journals and is trusted by the scientific community.
Anti-M6PR (cation independent) antibody [EPR6599] (ab124767) has 7 independent reviews from customers.

Related Products
Antibody clone EPR6599 is also available pre-conjugated to a variety of labels for your convenience - Alexa Fluor® 488, Alexa Fluor® 647, Alexa Fluor® 405, Alexa Fluor® 594, Alexa Fluor® 555, APC, PE (ab184807, ab198324, ab198515, ab203437, ab203438, ab225131, ab225132).

Patented technology
Our RabMAb® technology is a patented hybridoma-based technology for making rabbit monoclonal antibodies. For details on our patents, please refer to RabMAb® patents.

What are the advantages of a recombinant monoclonal antibody?
This product is a recombinant monoclonal antibody, which offers several advantages including:

  • - High batch-to-batch consistency and reproducibility
  • - Improved sensitivity and specificity
  • - Long-term security of supply
  • - Animal-free batch production

For more information, read more on recombinant antibodies.

Shipping conditions update: ambient shipping

This product will be delivered at ambient temperature instead of chilled – this is by design. Extensive stability testing confirmed that our products are suitable for shipment under ambient conditions and maintain expected quality.

Why the change?

It’s part of our commitment to more sustainable packaging solutions, with ambient deliveries using eco-friendly materials such as recyclable cardboard instead of polystyrene.

What you need to know

  • Ambient shipments come clearly marked on the delivery note.
  • No ice will be included in ambient shipments, but mixed orders (ambient and cold-chain items) will still arrive with ice packs to protect temperature-sensitive products.
  • Warranty coverage remains fully valid, aligned with our validated shipping method.
  • Please store the product as per the datasheet instructions upon receipt.

Find out more - https://www.abcam.com/en-us/support/shipping-storage-support/ambient-shipping

性能和储存信息

形式
Liquid
纯化工艺
Affinity purification Protein A
存储溶液
pH: 7.2 - 7.4 Preservative: 0.01% Sodium azide Constituents: PBS, 40% Glycerol (glycerin, glycerine), 0.05% BSA
运输条件
Conditional Ambient
推荐的短期储存时间
1-2 weeks
推荐的短期储存条件
+4°C
推荐的长期储存条件
-20°C
分装信息
Upon delivery aliquot
储存信息
Stable for 12 months at -20°C

产品实验方案

For this product, it's our understanding that no specific protocols are required. You can visit:

靶点信息

Mediates the transport of phosphorylated lysosomal enzymes from the Golgi complex and the cell surface to lysosomes (PubMed : 18817523, PubMed : 2963003). Lysosomal enzymes bearing phosphomannosyl residues bind specifically to mannose-6-phosphate receptors in the Golgi apparatus and the resulting receptor-ligand complex is transported to an acidic prelysosomal compartment where the low pH mediates the dissociation of the complex (PubMed : 18817523, PubMed : 2963003). The receptor is then recycled back to the Golgi for another round of trafficking through its binding to the retromer (PubMed : 18817523). This receptor also binds IGF2 (PubMed : 18046459). Acts as a positive regulator of T-cell coactivation by binding DPP4 (PubMed : 10900005).
See full target information IGF2R

文献 (84)

Recent publications for all applications. Explore the full list and refine your search

American journal of cancer research 15:3245-3266 PubMed40814374

2025

Transcriptomic validation and clinical translation of CCDC78 as a prognostic biomarker in colorectal cancer.

Applications

Unspecified application

Species

Unspecified reactive species

Jiang Gong,Binsong Xia,Lei Qian,Yingchang Cai

Traffic (Copenhagen, Denmark) 26:e70013 PubMed40747612

2025

FGF Signaling Promotes Lysosome Biogenesis in Chondrocytes via the Mannose Phosphate Receptor Pathway.

Applications

Unspecified application

Species

Unspecified reactive species

Laura Cinque,Maria Iavazzo,Gennaro Di Bonito,Elena Polishchuk,Rossella De Cegli,Carmine Settembre

Nature communications 16:5209 PubMed40473625

2025

Lysosomal TMEM165 controls cellular ion homeostasis and survival by mediating lysosomal Ca import and H efflux.

Applications

Unspecified application

Species

Unspecified reactive species

Ran Chen,Bin Liu,Dawid Jaślan,Lucija Kucej,Veronika Kudrina,Belinda Warnke,Yvonne E Klingl,Arnas Petrauskas,Sandra Prat Castro,Kenji Maeda,Christian Grimm,Marja Jäättelä

Traffic (Copenhagen, Denmark) 26:e70003 PubMed40100055

2025

Acute GARP Depletion Disrupts Vesicle Transport, Leading to Severe Defects in Sorting, Secretion and O-Glycosylation.

Applications

Unspecified application

Species

Unspecified reactive species

Amrita Khakurel,Irina Pokrovskaya,Walter S Aragon-Ramirez,Vladimir V Lupashin

Translational neurodegeneration 13:54 PubMed39497162

2024

Critical role of ROCK1 in AD pathogenesis via controlling lysosomal biogenesis and acidification.

Applications

Unspecified application

Species

Unspecified reactive species

Chenghuan Song,Wanying Huang,Pingao Zhang,Jiyun Shi,Ting Yu,Jing Wang,Yongbo Hu,Lanxue Zhao,Rui Zhang,Gang Wang,Yongfang Zhang,Hongzhuan Chen,Hao Wang

Theranostics 14:4983-5000 PubMed39267779

2024

Targeted degradation of VEGF with bispecific aptamer-based LYTACs ameliorates pathological retinal angiogenesis.

Applications

Unspecified application

Species

Unspecified reactive species

Ping Zhou,Sai Zhang,Lin Li,Renshuai Zhang,Guizhi Guo,Yufei Zhang,Runa Wang,Miaoyuan Liu,Zhiyi Wang,Huijie Zhao,Guiwen Yang,Songbo Xie,Jie Ran

International journal of molecular sciences 25: PubMed38473798

2024

Etf-3 Induces Host Upregulation for Bacterial Intracellular Growth.

Applications

Unspecified application

Species

Unspecified reactive species

Nan Yang,Meifang Li,Shanhua Qin,Nan Duan,Xiaoxiao Li,Yuhong Zhou,Mengyao Wang,Yongxin Jin,Weihui Wu,Zhihui Cheng

The Journal of biological chemistry 300:105700 PubMed38307383

2024

AP-1γ2 is an adaptor protein 1 variant required for endosome-to-Golgi trafficking of the mannose-6-P receptor (CI-MPR) and ATP7B copper transporter.

Applications

Unspecified application

Species

Unspecified reactive species

Lucas Alves Tavares,Roger Luiz Rodrigues,Cristina Santos da Costa,Jonas Alburqueque Nascimento,Julianne Vargas de Carvalho,Andreia Nogueira de Carvalho,Gonzalo A Mardones,Luis L P daSilva

International journal of molecular sciences 24: PubMed38139044

2023

Phosphate (Pi) Transporter PIT1 Induces Pi Starvation in -Containing Vacuole in HeLa Cells.

Applications

Unspecified application

Species

Unspecified reactive species

Wen Yang,Yingxing Feng,Jun Yan,Chenbo Kang,Ting Yao,Hongmin Sun,Zhihui Cheng

Cell reports. Medicine 4:101129 PubMed37480849

2023

Targeting phenylpyruvate restrains excessive NLRP3 inflammasome activation and pathological inflammation in diabetic wound healing.

Applications

Unspecified application

Species

Unspecified reactive species

Dongming Lv,Xiaoling Cao,Li Zhong,Yunxian Dong,Zhongye Xu,Yanchao Rong,Hailin Xu,Zhiyong Wang,Hao Yang,Rong Yin,Miao Chen,Chao Ke,Zhicheng Hu,Wuguo Deng,Bing Tang
View all publications

Abcam Product Promise

我们致力于为您的研究提供高质量的试剂,为您科研的每一步提供支持。若我们的产品未能达到预期性能,我们向您提供 Abcam Product Promise 保障。
详情请参阅我们的条款与条件。

Please note: All products are 'FOR RESEARCH USE ONLY. NOT FOR USE IN DIAGNOSTIC OR THERAPEUTIC PROCEDURES'.

For licensing inquiries, please contact partnerships@abcam.com