JavaScript is disabled in your browser. Please enable JavaScript to view this website.
AB52864

重组Anti-M-CSF抗体[EP1179Y]

Anti-M-CSF antibody [EP1179Y]

Be the first to review this product! Submit a review

|

(25 Publications)

Rabbit Recombinant Monoclonal M-CSF antibody. Suitable for IHC-P, IP, WB, ICC/IF, Flow Cyt (Intra) and reacts with Human, Synthetic peptide - Human samples. Cited in 25 publications.

查看别名

Macrophage colony-stimulating factor 1, CSF-1, M-CSF, MCSF, Lanimostim, Proteoglycan macrophage colony-stimulating factor, PG-M-CSF, CSF1

7 Images
Immunohistochemistry (Formalin/PFA-fixed paraffin-embedded sections) - Anti-M-CSF antibody [EP1179Y] (AB52864)
  • IHC-P

Unknown

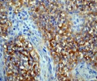
Immunohistochemistry (Formalin/PFA-fixed paraffin-embedded sections) - Anti-M-CSF antibody [EP1179Y] (AB52864)

Formalin-fixed, paraffin-embedded human tonsil tissue stained for M-CSF with unpurified ab52864 (1/50 dilution) in immunohistochemical analysis.

Perform heat mediated antigen retrieval before commencing with IHC staining protocol.

Immunohistochemistry (Formalin/PFA-fixed paraffin-embedded sections) - Anti-M-CSF antibody [EP1179Y] (AB52864)
  • IHC-P

Unknown

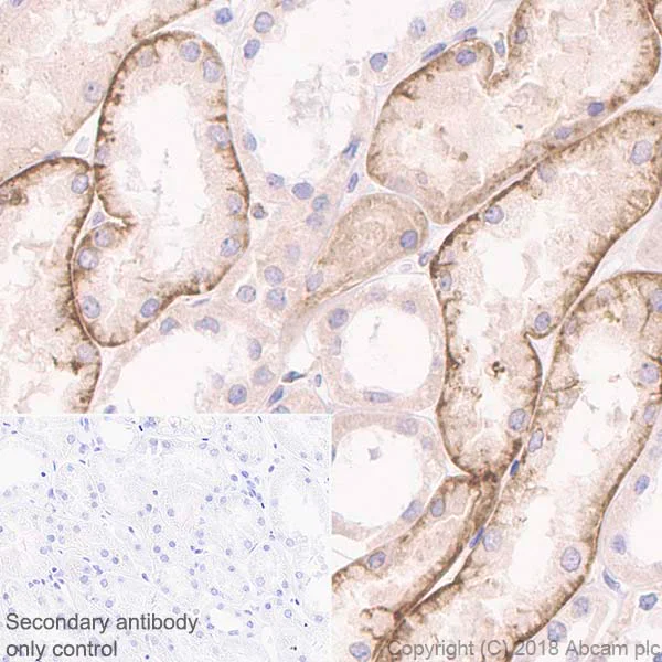
Immunohistochemistry (Formalin/PFA-fixed paraffin-embedded sections) - Anti-M-CSF antibody [EP1179Y] (AB52864)

Immunohistochemistry (Formalin/PFA-fixed paraffin-embedded sections) analysis of Human kidney tissue sections labeling M-CSF with Purified ab52864 at 1 : 500 dilution (1.52 μg/ml). Heat mediated antigen retrieval was performed using ab93684 (Tris/EDTA buffer, pH 9.0)

Flow Cytometry (Intracellular) - Anti-M-CSF antibody [EP1179Y] (AB52864)
  • Flow Cyt (Intra)

Unknown

Flow Cytometry (Intracellular) - Anti-M-CSF antibody [EP1179Y] (AB52864)

Intracellular Flow Cytometry analysis of THP-1 (Human monocytic leukemia monocyte) cells labeling M-CSF with purified ab52864 at 1/80 dilution (10μg/ml) (red). Cells were fixed with 4% Paraformaldehyde. A Goat anti rabbit IgG (Alexa Fluorr®488) secondary antibody was used at 1/2000 dilution. Isotype control - Rabbit monoclonal IgG (Black). Unlabeled control - Cell without incubation with primary antibody and secondary antibody (Blue).

Immunocytochemistry/ Immunofluorescence - Anti-M-CSF antibody [EP1179Y] (AB52864)
  • ICC/IF

Unknown

Immunocytochemistry/ Immunofluorescence - Anti-M-CSF antibody [EP1179Y] (AB52864)

Immunocytochemistry/ Immunofluorescence analysis of THP-1 (Human monocytic leukemia monocyte) cells labeling M-CSF with Purified ab52864 at 1 : 100 (7.6 μg/ml). Cells were fixed in 100% Methanol and permeabilized with None. Cells were counterstained with ab195889 Anti-alpha Tubulin antibody [DM1A] - Microtubule Marker (Alexa Fluor® 594) 1 : 200 (2.5 μg/ml). Goat anti rabbit IgG (Alexa Fluor® 488, ab150077) was used as the secondary antibody at 1 : 1000 (2 μg/ml) dilution. DAPI nuclear counterstain. PBS instead of the primary antibody was used as the secondary antibody only control.

Immunoprecipitation - Anti-M-CSF antibody [EP1179Y] (AB52864)
  • IP

Unknown

Immunoprecipitation - Anti-M-CSF antibody [EP1179Y] (AB52864)

ab52864 (purified) at 1 : 40 dilution (2μg) immunoprecipitating M-CSF in THP-1 whole cell lysate.
Lane 1 (input) : THP-1 (Human monocytic leukemia monocyte) whole cell lysate 10μg
Lane 2 (+) : ab52864 & THP-1 whole cell lysate
Lane 3 (-) : Rabbit monoclonal IgG (ab172730) instead of ab52864 in THP-1 whole cell lysate
For western blotting, VeriBlot for IP Detection Reagent (HRP) (ab131366) was used for detection at 1 : 1000 dilution.
Blocking and diluting buffer : 5% NFDM/TBST.

All lanes:

Immunoprecipitation - Anti-M-CSF antibody [EP1179Y] (ab52864)

Predicted band size: 60 kDa

Observed band size: 60 kDa

false

Western blot - Anti-M-CSF antibody [EP1179Y] (AB52864)
  • WB

Lab

Western blot - Anti-M-CSF antibody [EP1179Y] (AB52864)

Blocking buffer : 5% NFDM/TBST.

All lanes:

Western blot - Anti-M-CSF antibody [EP1179Y] (ab52864) at 1/2000 dilution

All lanes:

Human M-CSF (aa 33-190) recombinant protein at 0.015 µg

Secondary

All lanes:

Western blot - Goat Anti-Rabbit IgG H&L (HRP) (<a href='/products/secondary-antibodies/goat-rabbit-igg-h-l-hrp-ab97051'>ab97051</a>) at 1/20000 dilution

Predicted band size: 60 kDa

Observed band size: 19 kDa

false

Western blot - Anti-M-CSF antibody [EP1179Y] (AB52864)
  • WB

Unknown

Western blot - Anti-M-CSF antibody [EP1179Y] (AB52864)

All lanes:

Western blot - Anti-M-CSF antibody [EP1179Y] (ab52864) at 1/50000 dilution

All lanes:

recombinant MCSF at 0.005 µg

Secondary

All lanes:

Goat anti-rabbit HRP at 1/2000 dilution

Predicted band size: 60 kDa

Observed band size: 20 kDa

false

不同偶联物与剂型 (4)

关键信息

宿主种属

Rabbit

克隆

Monoclonal

克隆号

EP1179Y

亚型

IgG

不含载体蛋白

No

反应种属

Human

应用

Flow Cyt (Intra), IP, ICC/IF, WB, IHC-P

applications

免疫原

The exact immunogen used to generate this antibody is proprietary information.

特异性

This antibody fails to detect endogenous natural samples in WB.

反应性数据

{ "title": "Reactivity Data", "filters": { "stats": ["", "Species", "Dilution Info", "Notes"], "tabs": { "all-applications": {"fullname" : "All Applications", "shortname": "All Applications"}, "IHCP" : {"fullname" : "Immunohistochemistry (Formalin/PFA-fixed paraffin-embedded sections)", "shortname":"IHC-P"}, "IP" : {"fullname" : "Immunoprecipitation", "shortname":"IP"}, "WB" : {"fullname" : "Western blot", "shortname":"WB"}, "ICCIF" : {"fullname" : "Immunocytochemistry/ Immunofluorescence", "shortname":"ICC/IF"}, "FlowCytIntra" : {"fullname" : "Flow Cytometry (Intracellular)", "shortname":"Flow Cyt (Intra)"} }, "product-promise": { "all": "all", "testedAndGuaranteed": "tested", "guaranteed": "expected", "predicted": "predicted", "notRecommended": "not-recommended" } }, "values": { "Human": { "IHCP-species-checked": "testedAndGuaranteed", "IHCP-species-dilution-info": "1/500", "IHCP-species-notes": "<p><strong>For unpurified use at 1/50 - 1/100 dilution.</strong></p> Perform heat-mediated antigen retrieval before commencing with IHC staining protocol.", "IP-species-checked": "testedAndGuaranteed", "IP-species-dilution-info": "1/40", "IP-species-notes": "<p><strong>For unpurified use at 1/50 dilution. </strong></p>", "WB-species-checked": "guaranteed", "WB-species-dilution-info": "", "WB-species-notes": "", "ICCIF-species-checked": "testedAndGuaranteed", "ICCIF-species-dilution-info": "1/100", "ICCIF-species-notes": "<p><strong>For unpurified use at 1/250 - 1/500 dilution.</strong></p>", "FlowCytIntra-species-checked": "testedAndGuaranteed", "FlowCytIntra-species-dilution-info": "1/80", "FlowCytIntra-species-notes": "<p></p>" }, "Chimpanzee": { "IHCP-species-checked": "predicted", "IHCP-species-dilution-info": "", "IHCP-species-notes": "", "IP-species-checked": "predicted", "IP-species-dilution-info": "", "IP-species-notes": "", "WB-species-checked": "predicted", "WB-species-dilution-info": "", "WB-species-notes": "", "ICCIF-species-checked": "predicted", "ICCIF-species-dilution-info": "", "ICCIF-species-notes": "", "FlowCytIntra-species-checked": "predicted", "FlowCytIntra-species-dilution-info": "", "FlowCytIntra-species-notes": "" }, "Cow": { "IHCP-species-checked": "predicted", "IHCP-species-dilution-info": "", "IHCP-species-notes": "", "IP-species-checked": "predicted", "IP-species-dilution-info": "", "IP-species-notes": "", "WB-species-checked": "predicted", "WB-species-dilution-info": "", "WB-species-notes": "", "ICCIF-species-checked": "predicted", "ICCIF-species-dilution-info": "", "ICCIF-species-notes": "", "FlowCytIntra-species-checked": "predicted", "FlowCytIntra-species-dilution-info": "", "FlowCytIntra-species-notes": "" }, "Sheep": { "IHCP-species-checked": "predicted", "IHCP-species-dilution-info": "", "IHCP-species-notes": "", "IP-species-checked": "predicted", "IP-species-dilution-info": "", "IP-species-notes": "", "WB-species-checked": "predicted", "WB-species-dilution-info": "", "WB-species-notes": "", "ICCIF-species-checked": "predicted", "ICCIF-species-dilution-info": "", "ICCIF-species-notes": "", "FlowCytIntra-species-checked": "predicted", "FlowCytIntra-species-dilution-info": "", "FlowCytIntra-species-notes": "" }, "Synthetic peptide - Human": { "IHCP-species-checked": "notRecommended", "IHCP-species-dilution-info": "", "IHCP-species-notes": "", "IP-species-checked": "notRecommended", "IP-species-dilution-info": "", "IP-species-notes": "", "WB-species-checked": "testedAndGuaranteed", "WB-species-dilution-info": "1/2000", "WB-species-notes": "<p>This antibody fails to detect endogenous natural samples in WB.</p>", "ICCIF-species-checked": "notRecommended", "ICCIF-species-dilution-info": "", "ICCIF-species-notes": "", "FlowCytIntra-species-checked": "notRecommended", "FlowCytIntra-species-dilution-info": "", "FlowCytIntra-species-notes": "" } } }

您可能对以下产品感兴趣:

AB245714

Human M-CSF ELISA Kit

0

0 Reviews

查看产品
为什么推荐这个?

我们推荐这个产品,因为它经常被用于相同的实验或相关的研究。

我们建议您务必查阅产品说明书,以确认其是否符合您的实验需求;若有疑问,也可联系我们的技术团队获取协助。

产品详情

性能和储存信息

形式
Liquid
纯化工艺
Affinity purification Protein A
存储溶液
pH: 7.2 - 7.4 Preservative: 0.01% Sodium azide Constituents: 59% PBS, 40% Glycerol (glycerin, glycerine), 0.05% BSA
运输条件
Blue Ice
推荐的短期储存时间
1-2 weeks
推荐的短期储存条件
+4°C
推荐的长期储存条件
-20°C
分装信息
Upon delivery aliquot
储存信息
Avoid freeze / thaw cycle

补充信息

This supplementary information is collated from multiple sources and compiled automatically.

M-CSF or macrophage colony-stimulating factor is a cytokine involved in the regulation of macrophage production. Alternative names for M-CSF include CSF-1 and colony-stimulating factor 1. The M-CSF protein has a molecular mass of approximately 18 to 22 kDa. M-CSF is mainly expressed in various tissues including the placenta kidney and bone marrow. It functions as a homodimer important for the survival proliferation and differentiation of mononuclear phagocyte lineage cells.
Biological function summary

M-CSF influences the production differentiation and function of macrophages and osteoclasts. It is not part of a large complex but interacts with its receptor the CSF1R (colony-stimulating factor 1 receptor) on the surface of target cells. This interaction promotes the survival and proliferation of the target cells playing significant roles in immune response and bone homeostasis by regulating osteoclast development.

Pathways

The interaction of M-CSF with its receptor is central to several biological pathways notably the immune system pathway and bone resorption pathway. Within these pathways the binding of M-CSF to CSF1R activates downstream signaling cascades such as the PI3K/AKT and MAPK pathways importantly affecting cell survival and differentiation. The M-CSF pathway intersects with other cytokines and factors like GM-CSF (granulocyte-macrophage colony-stimulating factor) which also regulate immune cell dynamics.

Dysregulation of M-CSF levels is implicated in conditions such as osteoporosis and certain cancers. In osteoporosis M-CSF’s role in osteoclast development links to increased bone resorption leading to bone loss. In cancers M-CSF overexpression may facilitate tumor-associated macrophage infiltration therefore supporting tumor progression. The interaction with CSF1R is significant as it serves as a potential target for therapeutic strategies aimed at modulating macrophage activity in these diseases.

产品实验方案

For this product, it's our understanding that no specific protocols are required. You can visit:

靶点信息

Cytokine that plays an essential role in the regulation of survival, proliferation and differentiation of hematopoietic precursor cells, especially mononuclear phagocytes, such as macrophages and monocytes. Promotes the release of pro-inflammatory chemokines, and thereby plays an important role in innate immunity and in inflammatory processes. Plays an important role in the regulation of osteoclast proliferation and differentiation, the regulation of bone resorption, and is required for normal bone development. Required for normal male and female fertility. Promotes reorganization of the actin cytoskeleton, regulates formation of membrane ruffles, cell adhesion and cell migration. Plays a role in lipoprotein clearance.
See full target information CSF1

文献 (25)

Recent publications for all applications. Explore the full list and refine your search

Reproductive sciences (Thousand Oaks, Calif.) 30:2457-2467 PubMed36752987

2023

Genome-Wide Gene Expression Profiling Reveals the Direct Effect of Dienogest on Ovarian Endometriotic Stromal Cells.

Applications

Unspecified application

Species

Unspecified reactive species

Hiroshi Honda,Norihisa Nishimichi,Mayumi Kaneko,Michinori Yamashita,Yumiko Akimoto,Hirotoshi Tanimoto,Mitsue Teramoto,Hideki Teramoto,Yasuyuki Yokosaki

Journal of orthopaedic research : official publication of the Orthopaedic Research Society 40:1918-1925 PubMed34855235

2021

Neoplastic synovial lining cells that coexpress podoplanin and CD90 overproduce CSF-1, driving tenosynovial giant cell tumor.

Applications

Unspecified application

Species

Unspecified reactive species

Andrew C Chandler,Mohamed Yakoub,Tomohiro Fujiwara,Laura T Donlin,Paul Edward Purdue,John H Healey

Bone research 9:43 PubMed34588427

2021

Inflammatory conversion of quiescent osteoblasts by metastatic breast cancer cells through pERK1/2 aggravates cancer-induced bone destruction.

Applications

Unspecified application

Species

Unspecified reactive species

Jungho Back,Minh Nam Nguyen,Lu Li,Saelim Lee,Inkyu Lee,Fancheng Chen,Lauren Gillinov,Yeon-Ho Chung,Kareme D Alder,Hyuk-Kwon Kwon,Kristin E Yu,Christopher M Dussik,Zichen Hao,Michael J Flores,Yoseph Kim,Izuchukwu K Ibe,Alana M Munger,Sung Wook Seo,Francis Y Lee

Molecular cancer research : MCR 19:1085-1095 PubMed33674443

2021

Neoadjuvant Chemotherapy Induces IL34 Signaling and Promotes Chemoresistance via Tumor-Associated Macrophage Polarization in Esophageal Squamous Cell Carcinoma.

Applications

Unspecified application

Species

Unspecified reactive species

Shotaro Nakajima,Kosaku Mimura,Katsuharu Saito,Aung Kyi Thar Min,Eisei Endo,Leo Yamada,Koji Kase,Naoto Yamauchi,Takuro Matsumoto,Hiroshi Nakano,Yasuyuki Kanke,Hirokazu Okayama,Motonobu Saito,Prajwal Neupane,Zenichiro Saze,Yohei Watanabe,Hiroyuki Hanayama,Suguru Hayase,Akinao Kaneta,Tomoyuki Momma,Shinji Ohki,Hiromasa Ohira,Koji Kono

Aging 12:12684-12702 PubMed32629426

2020

Silencing of long non-coding RNA Sox2ot inhibits oxidative stress and inflammation of vascular smooth muscle cells in abdominal aortic aneurysm via microRNA-145-mediated Egr1 inhibition.

Applications

Unspecified application

Species

Unspecified reactive species

Huyu Lin,Bin You,Xiandong Lin,Xiaohu Wang,Dongsheng Zhou,Zhiqun Chen,Yuanxiang Chen,Ren Wang

Oncology letters 20:1835-1845 PubMed32724427

2020

CSF1R methylation is a key regulatory mechanism of tumor-associated macrophages in hepatocellular carcinoma.

Applications

Unspecified application

Species

Unspecified reactive species

Bin Cui,Xiaoxiao Fan,Daizhan Zhou,Lifeng He,Yirun Li,Dandan Li,Hui Lin

Journal of hematology & oncology 13:62 PubMed32487125

2020

Oct4 promotes M2 macrophage polarization through upregulation of macrophage colony-stimulating factor in lung cancer.

Applications

Unspecified application

Species

Unspecified reactive species

Chia-Sing Lu,Ai-Li Shiau,Bing-Hua Su,Tsui-Shan Hsu,Chung-Teng Wang,Yu-Chu Su,Ming-Shian Tsai,Yin-Hsun Feng,Yau-Lin Tseng,Yi-Ting Yen,Chao-Liang Wu,Gia-Shing Shieh

EMBO reports 21:e48780 PubMed32173982

2020

High-grade mesenchymal pancreatic ductal adenocarcinoma drives stromal deactivation through CSF-1.

Applications

Unspecified application

Species

Unspecified reactive species

Anne Steins,Madelaine G van Mackelenbergh,Amber P van der Zalm,Remy Klaassen,Bryan Serrels,Sandrine G Goris,Hemant M Kocher,Cynthia Waasdorp,Joan H de Jong,Cansu Tekin,Marc G Besselink,Olivier R Busch,Marc J van de Vijver,Joanne Verheij,Frederike Dijk,Geertjan van Tienhoven,Johanna W Wilmink,Jan Paul Medema,Hanneke Wm van Laarhoven,Maarten F Bijlsma

Virchows Archiv : an international journal of path 474:375-381 PubMed30580386

2018

M-CSF and IL-34 expression as indicators for growth in sporadic vestibular schwannoma.

Applications

Unspecified application

Species

Unspecified reactive species

W M de Vries,I H Briaire-de Bruijn,P P G van Benthem,A G L van der Mey,P C W Hogendoorn

Journal of clinical and experimental hematopathology : JCEH 58:152-160 PubMed30541986

2018

Potential anti-lymphoma effect of M-CSFR inhibitor in adult T-cell leukemia/lymphoma.

Applications

Unspecified application

Species

Unspecified reactive species

Yoshihiro Komohara,Osamu Noyori,Yoichi Saito,Hiroto Takeya,Muhammad Baghdadi,Fumihito Kitagawa,Naoki Hama,Kozo Ishikawa,Yutaka Okuno,Kisato Nosaka,Ken-Ichiro Seino,Masao Matsuoka,Shinya Suzu
View all publications

Abcam Product Promise

我们致力于为您的研究提供高质量的试剂,为您科研的每一步提供支持。若我们的产品未能达到预期性能,我们向您提供 Abcam Product Promise 保障。
详情请参阅我们的条款与条件。

关联产品

Select an associated product type
Alternative Product
Primary Antibodies

AB9693

Anti-M-CSF antibody

primary-antibodies

m-csf-antibody-ab9693

5

(1 reviews)

Alternative Product
Primary Antibodies

AB99178

Anti-M-CSF antibody

primary-antibodies

m-csf-antibody-ab99178

4

(3 reviews)

Please note: All products are 'FOR RESEARCH USE ONLY. NOT FOR USE IN DIAGNOSTIC OR THERAPEUTIC PROCEDURES'.

For licensing inquiries, please contact partnerships@abcam.com