JavaScript is disabled in your browser. Please enable JavaScript to view this website.
AB315082

重组Anti-LXR beta/NER抗体[EPR24051-104]

Anti-LXR beta/NER antibody [EPR24051-104]

Be the first to review this product! Submit a review

|

(1 Publication)

Rabbit Recombinant Monoclonal LXR beta/NER antibody. Suitable for WB, ICC/IF, Flow Cyt (Intra) and reacts with Human, Mouse, Rat, Recombinant fragment - Human samples. Cited in 1 publication.

查看别名

LXRB, NER, UNR, NR1H2, Oxysterols receptor LXR-beta, Liver X receptor beta, Nuclear receptor NER, Nuclear receptor subfamily 1 group H member 2, Ubiquitously-expressed nuclear receptor

6 Images
Immunocytochemistry/ Immunofluorescence - Anti-LXR beta/NER antibody [EPR24051-104] (AB315082)
  • ICC/IF

Supplier Data

Immunocytochemistry/ Immunofluorescence - Anti-LXR beta/NER antibody [EPR24051-104] (AB315082)

Immunofluorescent analysis of 4% Paraformaldehyde-fixed, 0.1% TritonX-100 permeabilized A549 (human lung carcinoma epithelial cell) cells labelling LXR beta/NER with ab315082 at 1/100 (5.18 ug/ml) dilution, followed by ab150081 Goat Anti-Rabbit IgG H&L (Alexa Fluor® 488) preadsorbed antibody at 1/1000 (2 ug/ml) dilution (Green).

Confocal image showing nuclear and cytoplasmic staining in A549 cell line. Image was taken with a confocal microscope(Leica-Microsystems, TCS SP8).

ab195889 Anti-alpha Tubulin mouse monoclonal antibody - Microtubule Marker (Alexa Fluor® 594) was used to counterstain tubulin at 1/200 (2.5ug/ml) dilution (Red). The Nuclear counterstain was DAPI (Blue).

Secondary antibody only control : Secondary antibody is ab150081 Goat Anti-Rabbit IgG H&L (Alexa Fluor® 488) preadsorbed at 1/1000 (2 ug/ml) dilution.

Flow Cytometry (Intracellular) - Anti-LXR beta/NER antibody [EPR24051-104] (AB315082)
  • Flow Cyt (Intra)

Supplier Data

Flow Cytometry (Intracellular) - Anti-LXR beta/NER antibody [EPR24051-104] (AB315082)

Flow cytometric analysis of 4% paraformaldehyde fixed 90% methanol permeabilized A549 (human lung carcinoma epithelial cell) cells labelling LXR beta/NER with ab315082 at 1/500 dilution (0.1 ug)/Red compared with a Rabbit monoclonal IgG (ab172730) (Black) isotype control and an unlabelled control (cells without incubation with primary antibody and secondary antibody) (Blue).

Goat Anti-Rabbit IgG (Alexa Fluor® 488, ab150081) at 1/5000 dilution was used as the secondary antibody.

Western blot - Anti-LXR beta/NER antibody [EPR24051-104] (AB315082)
  • WB

Supplier Data

Western blot - Anti-LXR beta/NER antibody [EPR24051-104] (AB315082)

Blocking and diluting buffer and concentration : 5% NFDM/TBST.

In Western blot, Anti-GAPDH antibody [EPR16891] - Loading Control (ab181602) staining at 1/200000 dilution.

All lanes:

Western blot - Anti-LXR beta/NER antibody [EPR24051-104] (ab315082) at 1/1000 dilution

Lane 1:

Human liver tissue lysate at 20 µg

Lane 2:

Mouse lung lysate at 20 µg

Lane 3:

Mouse small intestine lysate at 20 µg

Lane 4:

Rat liver tissue lysate at 20 µg

Secondary

Lane 1:

Goat Anti-Rabbit IgG (HRP) with minimal cross-reactivity with human IgG at 1/2000 dilution

Lanes 2 - 4:

Western blot - Goat Anti-Rabbit IgG H&L (HRP) (<a href='/products/secondary-antibodies/goat-rabbit-igg-h-l-hrp-ab97051'>ab97051</a>) at 1/20000 dilution

Observed band size: 60 kDa,36 kDa

true

Exposure time: 180s

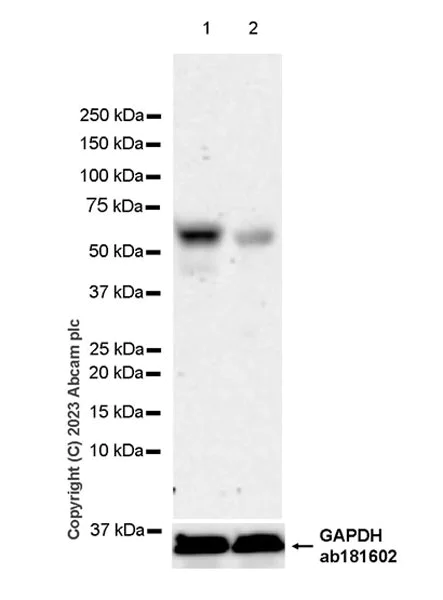
Western blot - Anti-LXR beta/NER antibody [EPR24051-104] (AB315082)
  • WB

Supplier Data

Western blot - Anti-LXR beta/NER antibody [EPR24051-104] (AB315082)

Blocking and diluting buffer and concentration : 5% NFDM/TBST.

In Western blot, Anti-GAPDH antibody [EPR16891] - Loading Control (ab181602) staining at 1/200000 dilution.

All lanes:

Western blot - Anti-LXR beta/NER antibody [EPR24051-104] (ab315082) at 1/1000 dilution

Lane 1:

A549 (human lung carcinoma epithelial cell) transfected with scrambled siRNA control whole cell lysate at 20 µg

Lane 2:

A549 transfected with siRNA specifically targeting LXR beta whole cell lysate at 20 µg

Secondary

All lanes:

Western blot - Goat Anti-Rabbit IgG H&L (HRP) (<a href='/products/secondary-antibodies/goat-rabbit-igg-h-l-hrp-ab97051'>ab97051</a>) at 1/20000 dilution

Observed band size: 60 kDa,36 kDa

true

Exposure time: 180s

Western blot - Anti-LXR beta/NER antibody [EPR24051-104] (AB315082)
  • WB

Supplier Data

Western blot - Anti-LXR beta/NER antibody [EPR24051-104] (AB315082)

Blocking and diluting buffer and concentration : 5% NFDM/TBST.

Low expression : SW620 (PMID : 26450852), HCT116 (PMID : 26450852).

In Western blot, Anti-GAPDH antibody [EPR16891] - Loading Control (ab181602) staining at 1/200000 dilution.

All lanes:

Western blot - Anti-LXR beta/NER antibody [EPR24051-104] (ab315082) at 1/1000 dilution

Lane 1:

SW480 (human colorectal adenocarcinoma epithelial cell) whole cell lysate at 20 µg

Lane 2:

SW620 (human colorectal adenocarcinoma epithelial cell) whole cell lysate at 20 µg

Lane 3:

HCT116 (human colorectal carcinoma epithelial cell) whole cell lysate at 20 µg

Secondary

All lanes:

Western blot - Goat Anti-Rabbit IgG H&L (HRP) (<a href='/products/secondary-antibodies/goat-rabbit-igg-h-l-hrp-ab97051'>ab97051</a>) at 1/20000 dilution

Observed band size: 60 kDa

false

Exposure time: 180s

Western blot - Anti-LXR beta/NER antibody [EPR24051-104] (AB315082)
  • WB

Supplier Data

Western blot - Anti-LXR beta/NER antibody [EPR24051-104] (AB315082)

Blocking and diluting buffer and concentration : 5% NFDM/TBST.

This antibody does not cross-react with human LXR alpha.

In Western blot, Anti-6X His tag® antibody [EPR20547] - ChIP Grade (ab213204) staining at 1/5000 dilution.

All lanes:

Western blot - Anti-LXR beta/NER antibody [EPR24051-104] (ab315082) at 1/1000 dilution

Lane 1:

His-tagged human LXR beta fragment at 10 ng

Lane 2:

His-tagged human LXR alpha fragment at 10 ng

Secondary

All lanes:

Western blot - Goat Anti-Rabbit IgG H&L (HRP) (<a href='/products/secondary-antibodies/goat-rabbit-igg-h-l-hrp-ab97051'>ab97051</a>) at 1/100000 dilution

Observed band size: 30 kDa

false

Exposure time: 180s

不同偶联物与剂型 (2)

  • Carrier free

    Anti-LXR beta/NER antibody [EPR24051-104] - BSA and Azide free (Detector)

  • Carrier free

    Anti-LXR beta/NER antibody [EPR24051-104] - BSA and Azide free

关键信息

宿主种属

Rabbit

克隆

Monoclonal

克隆号

EPR24051-104

亚型

IgG

不含载体蛋白

No

反应种属

Human, Mouse, Rat

应用

ICC/IF, Flow Cyt (Intra), WB

applications

免疫原

The exact immunogen used to generate this antibody is proprietary information.

反应性数据

{ "title": "Reactivity Data", "filters": { "stats": ["", "Species", "Dilution Info", "Notes"], "tabs": { "all-applications": {"fullname" : "All Applications", "shortname": "All Applications"}, "WB" : {"fullname" : "Western blot", "shortname":"WB"}, "ICCIF" : {"fullname" : "Immunocytochemistry/ Immunofluorescence", "shortname":"ICC/IF"}, "FlowCytIntra" : {"fullname" : "Flow Cytometry (Intracellular)", "shortname":"Flow Cyt (Intra)"}, "IP" : {"fullname" : "Immunoprecipitation", "shortname":"IP"}, "IHCP" : {"fullname" : "Immunohistochemistry (Formalin/PFA-fixed paraffin-embedded sections)", "shortname":"IHC-P"} }, "product-promise": { "all": "all", "testedAndGuaranteed": "tested", "guaranteed": "expected", "predicted": "predicted", "notRecommended": "not-recommended" } }, "values": { "Human": { "WB-species-checked": "testedAndGuaranteed", "WB-species-dilution-info": "1/1000", "WB-species-notes": "<p></p>", "ICCIF-species-checked": "testedAndGuaranteed", "ICCIF-species-dilution-info": "1/100", "ICCIF-species-notes": "<p></p>", "FlowCytIntra-species-checked": "testedAndGuaranteed", "FlowCytIntra-species-dilution-info": "1/500", "FlowCytIntra-species-notes": "<p></p>", "IP-species-checked": "notRecommended", "IP-species-dilution-info": "", "IP-species-notes": "<p></p>", "IHCP-species-checked": "notRecommended", "IHCP-species-dilution-info": "", "IHCP-species-notes": "<p></p>" }, "Mouse": { "WB-species-checked": "testedAndGuaranteed", "WB-species-dilution-info": "1/1000", "WB-species-notes": "<p></p>", "ICCIF-species-checked": "notRecommended", "ICCIF-species-dilution-info": "", "ICCIF-species-notes": "<p></p>", "FlowCytIntra-species-checked": "notRecommended", "FlowCytIntra-species-dilution-info": "", "FlowCytIntra-species-notes": "<p></p>", "IP-species-checked": "notRecommended", "IP-species-dilution-info": "", "IP-species-notes": "<p></p>", "IHCP-species-checked": "notRecommended", "IHCP-species-dilution-info": "", "IHCP-species-notes": "<p></p>" }, "Rat": { "WB-species-checked": "testedAndGuaranteed", "WB-species-dilution-info": "1/1000", "WB-species-notes": "<p></p>", "ICCIF-species-checked": "guaranteed", "ICCIF-species-dilution-info": "", "ICCIF-species-notes": "", "FlowCytIntra-species-checked": "guaranteed", "FlowCytIntra-species-dilution-info": "", "FlowCytIntra-species-notes": "", "IP-species-checked": "notRecommended", "IP-species-dilution-info": "", "IP-species-notes": "", "IHCP-species-checked": "notRecommended", "IHCP-species-dilution-info": "", "IHCP-species-notes": "<p></p>" }, "Recombinant fragment - Human": { "WB-species-checked": "testedAndGuaranteed", "WB-species-dilution-info": "1/1000", "WB-species-notes": "<p></p>", "ICCIF-species-checked": "notRecommended", "ICCIF-species-dilution-info": "", "ICCIF-species-notes": "", "FlowCytIntra-species-checked": "notRecommended", "FlowCytIntra-species-dilution-info": "", "FlowCytIntra-species-notes": "", "IP-species-checked": "notRecommended", "IP-species-dilution-info": "", "IP-species-notes": "", "IHCP-species-checked": "notRecommended", "IHCP-species-dilution-info": "", "IHCP-species-notes": "" } } }

产品详情

Patented technology
Our RabMAb® technology is a patented hybridoma-based technology for making rabbit monoclonal antibodies. For details on our patents, please refer to RabMAb® patents.

What are the advantages of a recombinant monoclonal antibody?
This product is a recombinant monoclonal antibody, which offers several advantages including:

  • - High batch-to-batch consistency and reproducibility
  • - Improved sensitivity and specificity
  • - Long-term security of supply
  • - Animal-free batch production

For more information, read more on recombinant antibodies.

性能和储存信息

形式
Liquid
纯化工艺
Affinity purification Protein A
存储溶液
pH: 7.2 - 7.4 Preservative: 0.01% Sodium azide Constituents: PBS, 40% Glycerol (glycerin, glycerine), 0.05% BSA
运输条件
Blue Ice
推荐的短期储存时间
1-2 weeks
推荐的短期储存条件
+4°C
推荐的长期储存条件
-20°C
分装信息
Upon delivery aliquot
储存信息
Avoid freeze / thaw cycle

补充信息

This supplementary information is collated from multiple sources and compiled automatically.

Liver X Receptor Beta (LXR beta) also known as NR1H2 is a nuclear receptor that functions as a transcription factor. It has a molecular mass of approximately 51 kDa. This receptor is primarily expressed in tissues like liver kidney adipose tissue and macrophages. LXR beta regulates genes involved in cholesterol homeostasis lipid metabolism and inflammation. Additionally LXR beta forms heterodimers with Retinoid X Receptors (RXRs) to regulate gene expression in response to ligands.
Biological function summary

The protein plays a central role in the maintenance of lipid homeostasis and modulation of inflammatory responses. LXR beta acts within a complex system that also involves other nuclear receptors and co-regulators to effectively control gene transcription. Through its activity LXR beta impacts cholesterol efflux fatty acid synthesis and inflammatory gene expression. It helps preserve cellular lipid balance a critical factor for normal cellular function and overall organism health.

Pathways

LXR beta plays a significant role in the cholesterol metabolism and lipid homeostasis pathways. It activates the transcription of genes like ABCA1 and ABCG1 important for cholesterol efflux in macrophages and other cell types. LXR beta interacts closely with proteins such as SREBP-1c (Sterol Regulatory Element Binding Protein 1c) and RXR which are integral to lipid metabolism pathways. By modulating these pathways LXR beta contributes to reverse cholesterol transport reducing cholesterol overload in cells.

LXR beta has connections to atherosclerosis and metabolic syndrome. Alterations in LXR beta function can lead to impaired cholesterol efflux and excessive lipid accumulation contributing to atherosclerosis. In metabolic syndrome irregularities in LXR beta's regulation of lipid metabolism may exacerbate the disorder's associated risks. Its interaction with proteins like GM-CSF (Granulocyte-Macrophage Colony-Stimulating Factor) further highlights the target's potential role in inflammatory conditions linked to these diseases.

产品实验方案

For this product, it's our understanding that no specific protocols are required. You can visit:

靶点信息

Nuclear receptor that exhibits a ligand-dependent transcriptional activation activity (PubMed : 25661920). Binds preferentially to double-stranded oligonucleotide direct repeats having the consensus half-site sequence 5'-AGGTCA-3' and 4-nt spacing (DR-4). Regulates cholesterol uptake through MYLIP-dependent ubiquitination of LDLR, VLDLR and LRP8; DLDLR and LRP8. Interplays functionally with RORA for the regulation of genes involved in liver metabolism (By similarity). Induces LPCAT3-dependent phospholipid remodeling in endoplasmic reticulum (ER) membranes of hepatocytes, driving SREBF1 processing and lipogenesis (By similarity). Via LPCAT3, triggers the incorporation of arachidonate into phosphatidylcholines of ER membranes, increasing membrane dynamics and enabling triacylglycerols transfer to nascent very low-density lipoprotein (VLDL) particles (By similarity). Via LPCAT3 also counteracts lipid-induced ER stress response and inflammation, likely by modulating SRC kinase membrane compartmentalization and limiting the synthesis of lipid inflammatory mediators (By similarity). Plays an anti-inflammatory role during the hepatic acute phase response by acting as a corepressor : inhibits the hepatic acute phase response by preventing dissociation of the N-Cor corepressor complex (PubMed : 20159957).
See full target information NR1H2

文献 (1)

Recent publications for all applications. Explore the full list and refine your search

EMBO molecular medicine 17:2137-2162 PubMed40664892

2025

Cold exposure promotes the progression of osteoarthritis through downregulating APOE in cartilage.

Applications

Unspecified application

Species

Unspecified reactive species

Yueqi Zhang,Mei Fu,Chun Zhou,Xiao Wang,Zengxin Jiang,Chang Jiang,Shengyang Guo,Zhiying Pang,Chenzhong Wang,Tao Yu,Senbo An,Xiuhui Wang,Zhe Wang
View all publications

Abcam Product Promise

我们致力于为您的研究提供高质量的试剂,为您科研的每一步提供支持。若我们的产品未能达到预期性能,我们向您提供 Abcam Product Promise 保障。
详情请参阅我们的条款与条件。

Please note: All products are 'FOR RESEARCH USE ONLY. NOT FOR USE IN DIAGNOSTIC OR THERAPEUTIC PROCEDURES'.

For licensing inquiries, please contact partnerships@abcam.com