JavaScript is disabled in your browser. Please enable JavaScript to view this website.
AB240186

重组Anti-LIMPII抗体[EPR12080] - BSA and Azide free

Anti-LIMPII antibody [EPR12080] - BSA and Azide free

Be the first to review this product! Submit a review

|

(2 Publications)

Rabbit Recombinant Monoclonal LIMPII antibody. Carrier free. Suitable for IHC-P, WB and reacts with Human, Mouse, Rat samples. Cited in 2 publications.

查看别名

CD36, CD36L2, LIMP2, LIMPII, SCARB2, Lysosome membrane protein 2, 85 kDa lysosomal membrane sialoglycoprotein, CD36 antigen-like 2, Lysosome membrane protein II, Scavenger receptor class B member 2, LGP85, LIMP II

6 Images
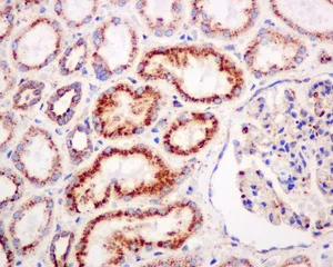
Immunohistochemistry (Formalin/PFA-fixed paraffin-embedded sections) - Anti-LIMPII antibody [EPR12080] - BSA and Azide free (AB240186)
  • IHC-P

Supplier Data

Immunohistochemistry (Formalin/PFA-fixed paraffin-embedded sections) - Anti-LIMPII antibody [EPR12080] - BSA and Azide free (AB240186)

Immunohistochemical analysis of paraffin-embedded human kidney tissue labling LIMPII using ab176317 at a 1/50 dilution.

This data was developed using the same antibody clone in a different buffer formulation containing PBS, BSA, glycerol, and sodium azide (ab176317).

Perform heat mediated antigen retrieval with citrate buffer pH 6 before commencing with IHC staining protocol.

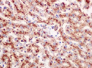
Immunohistochemistry (Formalin/PFA-fixed paraffin-embedded sections) - Anti-LIMPII antibody [EPR12080] - BSA and Azide free (AB240186)
  • IHC-P

Supplier Data

Immunohistochemistry (Formalin/PFA-fixed paraffin-embedded sections) - Anti-LIMPII antibody [EPR12080] - BSA and Azide free (AB240186)

Immunohistochemical analysis of paraffin-embedded human liver tissue labling LIMPII using ab176317 at a 1/50 dilution.

This data was developed using the same antibody clone in a different buffer formulation containing PBS, BSA, glycerol, and sodium azide (ab176317).

Perform heat mediated antigen retrieval with citrate buffer pH 6 before commencing with IHC staining protocol.

Immunoprecipitation - Anti-LIMPII antibody [EPR12080] - BSA and Azide free (AB240186)
  • IP

Supplier Data

Immunoprecipitation - Anti-LIMPII antibody [EPR12080] - BSA and Azide free (AB240186)

Western blot analysis on immunoprecipitation pellet from Y79 (Human retinoblastoma cell line) cell lysate labeling LIMPII using ab176317 at a 1/10 dilution.

This data was developed using the same antibody clone in a different buffer formulation containing PBS, BSA, glycerol, and sodium azide (ab176317).

All lanes:

Immunoprecipitation - Anti-LIMPII antibody [EPR12080] (<a href='/products/primary-antibodies/limpii-antibody-epr12080-ab176317'>ab176317</a>)

Predicted band size: 54 kDa

false

Western blot - Anti-LIMPII antibody [EPR12080] - BSA and Azide free (AB240186)
  • WB

Lab

Western blot - Anti-LIMPII antibody [EPR12080] - BSA and Azide free (AB240186)

False colour image of Western blot : Anti-LIMPII antibody [EPR12080] staining at 1/1000 dilution, shown in green; Mouse anti-GAPDH antibody [6C5] (ab8245) loading control staining at 1/20000 dilution, shown in red. In Western blot, ab176317 was shown to bind specifically to LIMPII. A band was observed at 80 kDa in wild-type MCF7 cell lysates with no signal observed at this size in SCARB2 knockout cell line ab274952 (knockout cell lysate ab275010). To generate this image, wild-type and SCARB2 knockout MCF7 cell lysates were analysed. First, samples were run on an SDS-PAGE gel then transferred onto a nitrocellulose membrane. Membranes were blocked in 3 % milk in TBS-0.1 % Tween® 20 (TBS-T) before incubation with primary antibodies overnight at 4 °C. Blots were washed four times in TBS-T, incubated with secondary antibodies for 1 h at room temperature, washed again four times then imaged. Secondary antibodies used were Goat anti-Rabbit IgG H&L (IRDye® 800CW) preabsorbed (ab216773) and Goat anti-Mouse IgG H&L (IRDye® 680RD) preabsorbed (ab216776) at 1/20000 dilution.

All lanes:

Western blot - Anti-LIMPII antibody [EPR12080] (<a href='/products/primary-antibodies/limpii-antibody-epr12080-ab176317'>ab176317</a>) at 1/1000 dilution

Lane 1:

Wild-type MCF7 cell lysate at 20 µg

Lane 2:

SCARB2 knockout MCF7 cell lysate at 20 µg

Lane 2:

Western blot - Human SCARB2 knockout MCF7 cell line (<a href='/products/cell-lines/human-scarb2-knockout-mcf7-cell-line-ab274952'>ab274952</a>)

Lane 3:

SH-SY5Y cell lysate at 20 µg

Lane 4:

HEK-293 cell lysate at 20 µg

Predicted band size: 54 kDa

Observed band size: 80 kDa

false

Western blot - Anti-LIMPII antibody [EPR12080] - BSA and Azide free (AB240186)
  • WB

Collaborator

Western blot - Anti-LIMPII antibody [EPR12080] - BSA and Azide free (AB240186)

This data was developed using ab176317, the same antibody clone in a different buffer formulation.

ab176317 was shown to react with SCARB2 in wild-type MCF7 cells in Western blot with loss of signal observed in SCARB2 knockout cell line ab274952. Wild-type MCF7 and SCARB2 knockout cell lysates were subjected to SDS-PAGE. Membranes were blocked in 5% milk in TBST for 1 hr before incubation with ab176317 overnight at 4 °C at a 1/1000 dilution. Blots were incubated with secondary antibodies at 0.2 µg/mL before imaging.

This data was provided by YCharOS Inc., an open science company with the mission of characterizing commercially available antibody reagents for all human proteins. Abcam and YCharOS are working together to help address the reproducibility crisis by enabling the life science community to better evaluate commercially available antibodies.

All lanes:

Western blot - Anti-LIMPII antibody [EPR12080] (<a href='/products/primary-antibodies/limpii-antibody-epr12080-ab176317'>ab176317</a>) at 1/1000 dilution

Lane 1:

Wild-type MCF7 lysate at 30 µg

Lane 2:

SCARB2 knock-out MCF7 lysate at 30 µg

Lane 2:

Western blot - Human SCARB2 knockout MCF7 cell line (<a href='/products/cell-lines/human-scarb2-knockout-mcf7-cell-line-ab274952'>ab274952</a>) at 30 µg

false

Western blot - Anti-LIMPII antibody [EPR12080] - BSA and Azide free (AB240186)
  • WB

Unknown

Western blot - Anti-LIMPII antibody [EPR12080] - BSA and Azide free (AB240186)

All lanes:

Western blot - Anti-LIMPII antibody [EPR12080] - BSA and Azide free (ab240186) at 1/1000 dilution

Lane 1:

HeLa (Human epithelial cell line from cervix adenocarcinoma) lysate

Lane 2:

Y79 (Human retinoblastoma cell line) lysate

Lane 3:

Rat eyeball lysate

Lane 4:

Rat muscle lysate

Lane 5:

Mouse liver lysate

Predicted band size: 54 kDa

false

关键信息

宿主种属

Rabbit

克隆

Monoclonal

克隆号

EPR12080

亚型

IgG

不含载体蛋白

Yes

反应种属

Mouse, Rat, Human

应用

IHC-P, WB

applications

免疫原

The exact immunogen used to generate this antibody is proprietary information.

反应性数据

{ "title": "Reactivity Data", "filters": { "stats": ["", "Species", "Dilution Info", "Notes"], "tabs": { "all-applications": {"fullname" : "All Applications", "shortname": "All Applications"}, "IHCP" : {"fullname" : "Immunohistochemistry (Formalin/PFA-fixed paraffin-embedded sections)", "shortname":"IHC-P"}, "ICCIF" : {"fullname" : "Immunocytochemistry/ Immunofluorescence", "shortname":"ICC/IF"}, "IP" : {"fullname" : "Immunoprecipitation", "shortname":"IP"}, "WB" : {"fullname" : "Western blot", "shortname":"WB"}, "FlowCytIntra" : {"fullname" : "Flow Cytometry (Intracellular)", "shortname":"Flow Cyt (Intra)"} }, "product-promise": { "all": "all", "testedAndGuaranteed": "tested", "guaranteed": "expected", "predicted": "predicted", "notRecommended": "not-recommended" } }, "values": { "Human": { "IHCP-species-checked": "testedAndGuaranteed", "IHCP-species-dilution-info": "", "IHCP-species-notes": "<p></p>", "ICCIF-species-checked": "notRecommended", "ICCIF-species-dilution-info": "", "ICCIF-species-notes": "<p></p>", "IP-species-checked": "notRecommended", "IP-species-dilution-info": "", "IP-species-notes": "<p></p>", "WB-species-checked": "testedAndGuaranteed", "WB-species-dilution-info": "", "WB-species-notes": "<p></p>", "FlowCytIntra-species-checked": "notRecommended", "FlowCytIntra-species-dilution-info": "", "FlowCytIntra-species-notes": "<p></p>" }, "Mouse": { "IHCP-species-checked": "guaranteed", "IHCP-species-dilution-info": "", "IHCP-species-notes": "", "ICCIF-species-checked": "notRecommended", "ICCIF-species-dilution-info": "", "ICCIF-species-notes": "<p></p>", "IP-species-checked": "notRecommended", "IP-species-dilution-info": "", "IP-species-notes": "", "WB-species-checked": "testedAndGuaranteed", "WB-species-dilution-info": "", "WB-species-notes": "<p></p>", "FlowCytIntra-species-checked": "notRecommended", "FlowCytIntra-species-dilution-info": "", "FlowCytIntra-species-notes": "" }, "Rat": { "IHCP-species-checked": "guaranteed", "IHCP-species-dilution-info": "", "IHCP-species-notes": "", "ICCIF-species-checked": "notRecommended", "ICCIF-species-dilution-info": "", "ICCIF-species-notes": "<p></p>", "IP-species-checked": "notRecommended", "IP-species-dilution-info": "", "IP-species-notes": "", "WB-species-checked": "testedAndGuaranteed", "WB-species-dilution-info": "", "WB-species-notes": "<p></p>", "FlowCytIntra-species-checked": "notRecommended", "FlowCytIntra-species-dilution-info": "", "FlowCytIntra-species-notes": "" } } }

产品详情

ab240186 is the carrier-free version of ab176317.

Patented technology
Our RabMAb® technology is a patented hybridoma-based technology for making rabbit monoclonal antibodies. For details on our patents, please refer to RabMAb® patents.

What are the advantages of a recombinant monoclonal antibody?
This product is a recombinant monoclonal antibody, which offers several advantages including:

  • - High batch-to-batch consistency and reproducibility
  • - Improved sensitivity and specificity
  • - Long-term security of supply
  • - Animal-free batch production

For more information, read more on recombinant antibodies.

Conjugation ready
Our carrier-free antibodies are typically supplied in a PBS-only formulation, purified and free of BSA, sodium azide and glycerol. This conjugation-ready format is designed for use with fluorochromes, metal isotopes, oligonucleotides, and enzymes, which makes them ideal for antibody labelling, functional and cell-based assays, flow-based assays (e.g. mass cytometry) and Multiplex Imaging applications.

Use our conjugation kits for antibody conjugates that are ready-to-use in as little as 20 minutes with 1 minute hands-on-time and 100% antibody recovery: available for fluorescent dyes, HRP, biotin and gold.

Compatibility
This product is compatible with the Maxpar® Antibody Labeling Kit from Fluidigm, without the need for antibody preparation. Maxpar® is a trademark of Fluidigm Canada Inc.

性能和储存信息

形式
Liquid
纯化工艺
Affinity purification Protein A
存储溶液
pH: 7.2 - 7.4 Constituents: PBS
运输条件
Blue Ice
推荐的短期储存条件
+4°C
推荐的长期储存条件
+4°C
储存信息
Do Not Freeze

补充信息

This supplementary information is collated from multiple sources and compiled automatically.

LIMPII also known as LIMP-2 is a lysosomal membrane protein involved in the transport and degradation processes within cells. It has an approximate molecular mass of 54 kDa. LIMPII is mainly expressed in the lysosomal membranes of a variety of tissues notably in the kidney liver and spleen. Its structural characteristics enable it to function effectively within these cellular organelles delivering enzymes and other molecules essential for cellular maintenance and function.
Biological function summary

The protein plays a critical role in lipid and protein degradation and helps maintain cellular homeostasis. As part of the lysosomal membrane LIMPII facilitates the uptake and processing of large biomolecules into the lysosome. It functions as a receptor for the uptake of β-glucocerebrosidase forming a complex to assist in its proper delivery from the endoplasmic reticulum to the lysosomes. This receptor-ligand relationship ensures efficient enzymatic activity necessary for lipid metabolism.

Pathways

One finds that LIMPII participates in the sphingolipid metabolism pathway and is vital for glucosylceramide catabolism. It interacts with glucocerebrosidase in this pathway which plays a significant role in the metabolism of glycosphingolipids. Another pathway where LIMPII has importance is the autophagy pathway where it contributes to the fusion of autophagosomes with lysosomes. Its activity supports the turnover of cellular components maintaining cellular metabolic balance.

LIMPII's dysfunction has links to Gaucher's disease and atherosclerosis. Both conditions relate to improper lipid metabolism. In Gaucher's disease the interaction between LIMPII and glucocerebrosidase becomes disrupted leading to lysosomal storage issues. In contrast altered expressions of LIMPII correlate with atherosclerosis possibly due to its role in lipid processing. These associations suggest that LIMPII could be a significant factor in therapeutic approaches for these diseases.

产品实验方案

For this product, it's our understanding that no specific protocols are required. You can visit:

靶点信息

Acts as a lysosomal receptor for glucosylceramidase (GBA1) targeting.. (Microbial infection) Acts as a receptor for enterovirus 71.
See full target information SCARB2

文献 (2)

Recent publications for all applications. Explore the full list and refine your search

Cell 187:4193-4212.e24 PubMed38942014

2024

Microglial-derived C1q integrates into neuronal ribonucleoprotein complexes and impacts protein homeostasis in the aging brain.

Applications

Unspecified application

Species

Unspecified reactive species

Nicole Scott-Hewitt,Matthew Mahoney,Youtong Huang,Nils Korte,T Yvanka de Soysa,Daniel K Wilton,Emily Knorr,Kevin Mastro,Allison Chang,Allison Zhang,David Melville,Monica Schenone,Christina Hartigan,Beth Stevens

PLoS pathogens 19:e1011090 PubMed36634130

2023

Exosomes mediate Coxsackievirus B3 transmission and expand the viral tropism.

Applications

Unspecified application

Species

Unspecified reactive species

Yuxuan Fu,Sidong Xiong
View all publications

Abcam Product Promise

我们致力于为您的研究提供高质量的试剂,为您科研的每一步提供支持。若我们的产品未能达到预期性能,我们向您提供 Abcam Product Promise 保障。
详情请参阅我们的条款与条件。

Please note: All products are 'FOR RESEARCH USE ONLY. NOT FOR USE IN DIAGNOSTIC OR THERAPEUTIC PROCEDURES'.

For licensing inquiries, please contact partnerships@abcam.com