JavaScript is disabled in your browser. Please enable JavaScript to view this website.
AB320821

重组Anti-LIF抗体[EPR28693-84]

Anti-LIF antibody [EPR28693-84]

Be the first to review this product! Submit a review

|

(0 Publication)

Rabbit Recombinant Monoclonal LIF antibody. Suitable for WB and reacts with Human, Mouse samples.

查看别名

HILDA, LIF, Leukemia inhibitory factor, Differentiation-stimulating factor, Melanoma-derived LPL inhibitor, D factor, MLPLI

3 Images
Western blot - Anti-LIF antibody [EPR28693-84] (AB320821)
  • WB

Supplier Data

Western blot - Anti-LIF antibody [EPR28693-84] (AB320821)

Blocking and diluting buffer and concentration : 5% NFDM/TBST.

Low expression : skeletal muscle

In Western blot, Anti-GAPDH antibody [EPR16891] - Loading Control (ab181602) staining at 1/200000 dilution.

Exposure time : Lane1-2 : 48 seconds; lane3-4 : 180 seconds

All lanes:

Western blot - Anti-LIF antibody [EPR28693-84] (ab320821) at 1/1000 dilution

Lane 1:

Human tonsil tissue lysate at 40 µg

Lane 2:

Human skeletal muscle tissue lysate at 40 µg

Lane 3:

Mouse spleen tissue lysate at 40 µg

Lane 4:

Mouse skeletal muscle tissue lysate at 40 µg

Secondary

All lanes:

Western blot - Goat Anti-Rabbit IgG H&L (HRP) (<a href='/products/secondary-antibodies/goat-rabbit-igg-h-l-hrp-ab97051'>ab97051</a>) at 1/20000 dilution

Observed band size: 32 kDa,36 kDa

false

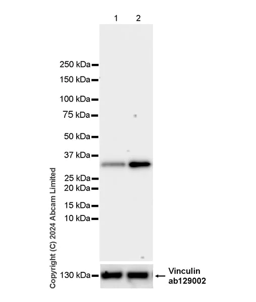
Western blot - Anti-LIF antibody [EPR28693-84] (AB320821)
  • WB

Supplier Data

Western blot - Anti-LIF antibody [EPR28693-84] (AB320821)

Blocking and diluting buffer and concentration : 5% NFDM/TBST.

The up-regulation of LIF is induced by TNF alpha treatment (PMID : 8895217).

In Western blot, Anti-Vinculin antibody [EPR8185] (ab129002) staining at 1/10000 dilution.

Exposure time : Lane 1-2 : 7 seconds, lane 3-4 : 70 seconds

All lanes:

Western blot - Anti-LIF antibody [EPR28693-84] (ab320821) at 1/1000 dilution

Lane 1:

Untreated THP-1 (human monocytic leukemia monocyte) whole cell lysate at 20 µg

Lane 2:

THP-1 treated with 25ng/ml TNF alpha for 24 hours whole cell lysate at 20 µg

Lane 3:

Untreated PC-3 (human prostate adenocarcinoma epithelial cell) whole cell lysate at 40 µg

Lane 4:

PC-3 treated with 50ng/ml TNF alpha and 300ng/ml BFA for 16 hours, whole cell lysate at 40 µg

Secondary

Lanes 1 - 2:

Western blot - Goat Anti-Rabbit IgG H&L (HRP) (<a href='/products/secondary-antibodies/goat-rabbit-igg-h-l-hrp-ab97051'>ab97051</a>) at 1/100000 dilution

Lanes 3 - 4:

Western blot - Goat Anti-Rabbit IgG H&L (HRP) (<a href='/products/secondary-antibodies/goat-rabbit-igg-h-l-hrp-ab97051'>ab97051</a>) at 1/20000 dilution

Observed band size: 32 kDa,124 kDa

false

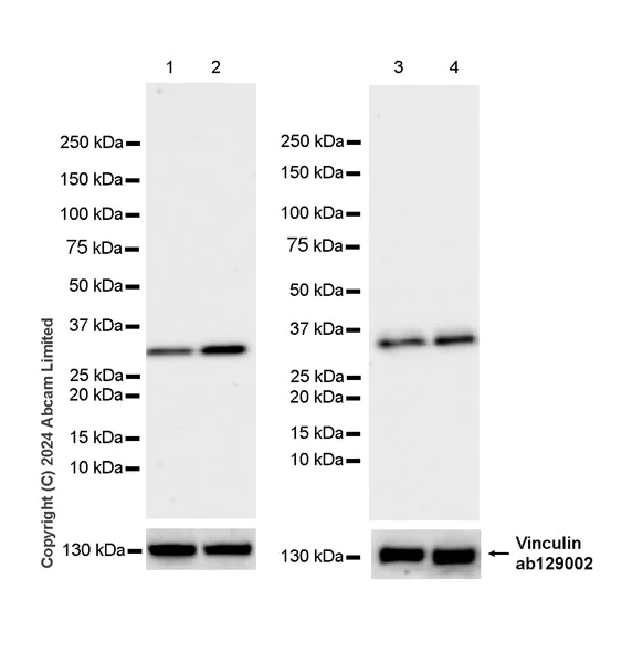
Western blot - Anti-LIF antibody [EPR28693-84] (AB320821)
  • WB

Supplier Data

Western blot - Anti-LIF antibody [EPR28693-84] (AB320821)

Blocking and diluting buffer and concentration : 5% NFDM/TBST.

In Western blot, Anti-Vinculin antibody [EPR8185] (ab129002) staining at 1/10000 dilution.

All lanes:

Western blot - Anti-LIF antibody [EPR28693-84] (ab320821) at 1/1000 dilution

Lane 1:

Untreated NIH/3T3 (mouse embryonic fibroblast) whole cell lysate at 40 µg

Lane 2:

NIH/3T3 treated with 300ng/ml BFA for 24 hours whole cell lysate at 40 µg

Secondary

All lanes:

Western blot - Goat Anti-Rabbit IgG H&L (HRP) (<a href='/products/secondary-antibodies/goat-rabbit-igg-h-l-hrp-ab97051'>ab97051</a>) at 1/20000 dilution

Observed band size: 32 kDa,124 kDa

false

Exposure time: 15s

关键信息

宿主种属

Rabbit

克隆

Monoclonal

克隆号

EPR28693-84

亚型

IgG

不含载体蛋白

No

反应种属

Human, Mouse

应用

WB

applications

免疫原

The exact immunogen used to generate this antibody is proprietary information.

反应性数据

{ "title": "Reactivity Data", "filters": { "stats": ["", "Species", "Dilution Info", "Notes"], "tabs": { "all-applications": {"fullname" : "All Applications", "shortname": "All Applications"}, "WB" : {"fullname" : "Western blot", "shortname":"WB"}, "IHCP" : {"fullname" : "Immunohistochemistry (Formalin/PFA-fixed paraffin-embedded sections)", "shortname":"IHC-P"}, "ICCIF" : {"fullname" : "Immunocytochemistry/ Immunofluorescence", "shortname":"ICC/IF"} }, "product-promise": { "all": "all", "testedAndGuaranteed": "tested", "guaranteed": "expected", "predicted": "predicted", "notRecommended": "not-recommended" } }, "values": { "Human": { "WB-species-checked": "testedAndGuaranteed", "WB-species-dilution-info": "1/1000", "WB-species-notes": "<p></p>", "IHCP-species-checked": "notRecommended", "IHCP-species-dilution-info": "", "IHCP-species-notes": "<p></p>", "ICCIF-species-checked": "notRecommended", "ICCIF-species-dilution-info": "", "ICCIF-species-notes": "<p></p>" }, "Mouse": { "WB-species-checked": "testedAndGuaranteed", "WB-species-dilution-info": "1/1000", "WB-species-notes": "<p></p>", "IHCP-species-checked": "notRecommended", "IHCP-species-dilution-info": "", "IHCP-species-notes": "<p></p>", "ICCIF-species-checked": "notRecommended", "ICCIF-species-dilution-info": "", "ICCIF-species-notes": "<p></p>" }, "Rat": { "WB-species-checked": "notRecommended", "WB-species-dilution-info": "", "WB-species-notes": "", "IHCP-species-checked": "notRecommended", "IHCP-species-dilution-info": "", "IHCP-species-notes": "<p></p>", "ICCIF-species-checked": "notRecommended", "ICCIF-species-dilution-info": "", "ICCIF-species-notes": "" } } }

您可能对以下产品感兴趣:

AB242228

Human LIF ELISA Kit

0

0 Reviews

查看产品
为什么推荐这个?

我们推荐这个产品,因为它经常被用于相同的实验或相关的研究。

我们建议您务必查阅产品说明书,以确认其是否符合您的实验需求;若有疑问,也可联系我们的技术团队获取协助。

产品详情

Patented technology
Our RabMAb® technology is a patented hybridoma-based technology for making rabbit monoclonal antibodies. For details on our patents, please refer to RabMAb® patents.

What are the advantages of a recombinant monoclonal antibody?
This product is a recombinant monoclonal antibody, which offers several advantages including:

  • - High batch-to-batch consistency and reproducibility
  • - Improved sensitivity and specificity
  • - Long-term security of supply
  • - Animal-free batch production

For more information, read more on recombinant antibodies.

性能和储存信息

形式
Liquid
纯化工艺
Affinity purification Protein A
存储溶液
pH: 7.2 - 7.4 Preservative: 0.01% Sodium azide Constituents: PBS, 40% Glycerol (glycerin, glycerine), 0.05% BSA
运输条件
Blue Ice
推荐的短期储存时间
1-2 weeks
推荐的短期储存条件
+4°C
推荐的长期储存条件
-20°C
分装信息
Upon delivery aliquot
储存信息
Avoid freeze / thaw cycle

补充信息

This supplementary information is collated from multiple sources and compiled automatically.

Leukemia Inhibitory Factor (LIF) also known as LIF protein plays a critical mechanical role in cell communication and survival. It is a glycoprotein with a molecular weight (LIF MW) generally around 19 kilodaltons. In various tissues particularly in the mouse LIF expression occurs in the bone marrow muscle and notably the nervous system. Besides its presence in normal tissues it shows up in embryonic stem cells where it maintains their pluripotency in culture conditions.
Biological function summary

LIF influences cell differentiation growth and inflammatory response. As part of the interleukin-6 cytokine family LIF exerts its effects through a receptor complex involving LIFR (LIF receptor) and GP130. The LIF protein's signaling controls processes like neuronal cell differentiation and bone formation. It impacts hematopoietic cells and supports embryonic implantation and placental development by preparing the uterine environment.

Pathways

The LIF protein is essential in the JAK/STAT signaling pathway which regulates gene expression vital for survival and proliferation. It also interacts with the MAPK/ERK pathway ensuring diverse cellular responses. These pathways link LIF to related proteins like STAT3 and ERK1/2 which mediate further downstream effects. The interplay between these signaling cascades highlights LIF's role in managing cell survival and proliferation in various contexts.

LIF contributes to physiological and pathological states. In cancer such as leukemia LIF influences tumor growth and cancer cell survival. The interaction with other cytokines like Interleukin-6 enhances its effect in oncogenic processes. In inflammatory diseases like rheumatoid arthritis LIF's role relates to inflammation and joint destruction. Understanding its interaction with inflammatory mediators can aid in targeted therapeutic strategies.

产品实验方案

For this product, it's our understanding that no specific protocols are required. You can visit:

靶点信息

LIF has the capacity to induce terminal differentiation in leukemic cells. Its activities include the induction of hematopoietic differentiation in normal and myeloid leukemia cells, the induction of neuronal cell differentiation, and the stimulation of acute-phase protein synthesis in hepatocytes.
See full target information LIF

Abcam Product Promise

我们致力于为您的研究提供高质量的试剂,为您科研的每一步提供支持。若我们的产品未能达到预期性能,我们向您提供 Abcam Product Promise 保障。
详情请参阅我们的条款与条件。

Please note: All products are 'FOR RESEARCH USE ONLY. NOT FOR USE IN DIAGNOSTIC OR THERAPEUTIC PROCEDURES'.

For licensing inquiries, please contact partnerships@abcam.com